JavaScript is disabled in your browser. Please enable JavaScript to view this website.
AB323574

Anti-CD37 antibody [RM1306]

  • BOND RX™ Validated
  • Recombinant
  • 20ul selling size
  • RabMAb
  • What is this?

Be the first to review this product! Submit a review

|

(0 Publication)

Rabbit Recombinant Multiclonal CD37 antibody. Suitable for WB, IHC-P, Flow Cyt, IP, ICC/IF and reacts with Human, Mouse samples.

View Alternative Names

CD37, TSPAN26, Leukocyte antigen CD37, Tetraspanin-26, Tspan-26

13 Images
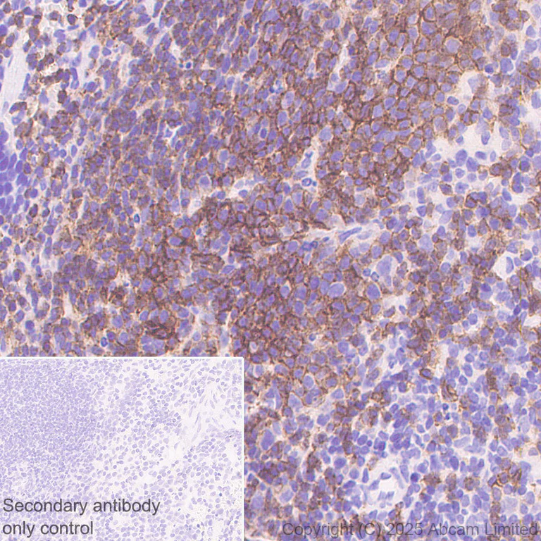
Immunohistochemistry (Formalin/PFA-fixed paraffin-embedded sections) - Anti-CD37 antibody [RM1306] (AB323574)
  • IHC-P

Supplier Data

Immunohistochemistry (Formalin/PFA-fixed paraffin-embedded sections) - Anti-CD37 antibody [RM1306] (AB323574)

Immunohistochemical analysis of paraffin-embedded Human tonsil tissue labeling CD37 with ab323574 at 1/300 (1.68 ug/ml) dilution, followed by a ready to use LeicaDS9800 (Bond™ Polymer Refine Detection).

Positive staining on human tonsil.
The image on (A) ab323574 is applied with Anti-CD37 antibody at 1/300 dilution and (B) ab251820 is applied with Anti-CD37 antibody at 1/50 dilution.
The section was incubated with ab323574 for 30 mins at room temperature.
The immunostaining was performed on a Leica Biosystems BOND® RX instrument

Counterstained with Hematoxylin.

Secondary antibody only control : Secondary antibody is a ready to use LeicaDS9800 (Bond™ Polymer Refine Detection).

Heat mediated antigen retrieval was performed with Citrate buffer (pH 6.0, Epitope Retrieval Solution 1) for 20 mins

Immunohistochemistry (Formalin/PFA-fixed paraffin-embedded sections) - Anti-CD37 antibody [RM1306] (AB323574)
  • IHC-P

Supplier Data

Immunohistochemistry (Formalin/PFA-fixed paraffin-embedded sections) - Anti-CD37 antibody [RM1306] (AB323574)

Immunohistochemical analysis of paraffin-embedded Human testis tissue labeling CD37 with ab323574 at 1/300 (1.68 ug/ml) dilution, followed by a ready to use LeicaDS9800 (Bond™ Polymer Refine Detection).

Negative control : no staining on human testis.
The section was incubated with ab323574 for 30 mins at room temperature.
The immunostaining was performed on a Leica Biosystems BOND® RX instrument

Counterstained with Hematoxylin.

Secondary antibody only control : Secondary antibody is a ready to use LeicaDS9800 (Bond™ Polymer Refine Detection).

Heat mediated antigen retrieval was performed with Citrate buffer (pH 6.0, Epitope Retrieval Solution 1) for 20 mins

Immunohistochemistry (Formalin/PFA-fixed paraffin-embedded sections) - Anti-CD37 antibody [RM1306] (AB323574)
  • IHC-P

Supplier Data

Immunohistochemistry (Formalin/PFA-fixed paraffin-embedded sections) - Anti-CD37 antibody [RM1306] (AB323574)

Immunohistochemical analysis of paraffin-embedded Human spleen tissue labeling CD37 with ab323574 at 1/300 (1.68 ug/ml) dilution, followed by a ready to use LeicaDS9800 (Bond™ Polymer Refine Detection).

Positive staining on human spleen.
The image on (A) ab323574 is applied with Anti-CD37 antibody at 1/300 dilution and (B) ab251820 is applied with Anti-CD37 antibody at 1/50 dilution.
The section was incubated with ab323574 for 30 mins at room temperature.
The immunostaining was performed on a Leica Biosystems BOND® RX instrument

Counterstained with Hematoxylin.

Secondary antibody only control : Secondary antibody is a ready to use LeicaDS9800 (Bond™ Polymer Refine Detection).

Heat mediated antigen retrieval was performed with Citrate buffer (pH 6.0, Epitope Retrieval Solution 1) for 20 mins

Flow Cytometry - Anti-CD37 antibody [RM1306] (AB323574)
  • Flow Cyt

Supplier Data

Flow Cytometry - Anti-CD37 antibody [RM1306] (AB323574)

Flow cytometric analysis of MCF7 (human breast adenocarcinoma epithelial cell, Left) / Daudi (human Burkitt's lymphoma lymphoblast, Right) cells labelling CD37 with ab323574 at 1/500 dilution (0.1 ug) (Red) compared with a Rabbit monoclonal IgG (ab172730) / Left isotype control and an unlabelled control (cells without incubation with primary antibody and secondary antibody).

Goat Anti-Rabbit IgG (Alexa Fluor® 488, ab150081) at 1/5000 dilution was used as the secondary antibody.

Low expression : MCF7.

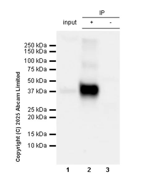
Immunoprecipitation - Anti-CD37 antibody [RM1306] (AB323574)
  • IP

Supplier Data

Immunoprecipitation - Anti-CD37 antibody [RM1306] (AB323574)

CD37 was immunoprecipitated from 0.35 mg Daudi (human Burkitt's lymphoma lymphoblast) whole cell lysate with ab323574 at 1/1000 dilution (2ug in 0.35mg lysates). Western blot was performed on the immunoprecipitate using ab323574 at 1/1000 dilution.

Blocking and dilution buffer and concentration : 5% NFDM/TBST

All lanes:

Immunoprecipitation - Anti-CD37 antibody [RM1306] (ab323574) at 1/1000 dilution

Lane 1:

Daudi (human Burkitt's lymphoma lymphoblast) whole cell lysate at 10 µg

Lane 2:

ab323574 at 1/30 IP in Daudi (human Burkitt's lymphoma lymphoblast) whole cell lysate at 10 µg

Lane 3:

Rabbit monoclonal IgG (<a href='/en-us/products/primary-antibodies/rabbit-igg-monoclonal-epr25a-isotype-control-ab172730'>ab172730</a>) instead of ab323574 in Daudi whole cell lysate at 10 µg

Secondary

All lanes:

Immunoprecipitation - VeriBlot for IP Detection Reagent (HRP) (<a href='/en-us/products/reagents/veriblot-for-ip-detection-reagent-hrp-ab131366'>ab131366</a>) at 1/5000 dilution

Observed band size: 40 kDa

false

Exposure time: 6s

Immunohistochemistry (Formalin/PFA-fixed paraffin-embedded sections) - Anti-CD37 antibody [RM1306] (AB323574)
  • IHC-P

Supplier Data

Immunohistochemistry (Formalin/PFA-fixed paraffin-embedded sections) - Anti-CD37 antibody [RM1306] (AB323574)

Immunohistochemical analysis of paraffin-embedded Mouse skeletal muscle tissue labeling CD37 with ab323574 at 1/1200 (0.42 ug/ml) dilution, followed by a ready to use LeicaDS9800 (Bond™ Polymer Refine Detection).

Negative control : no staining on mouse skeletal muscle.
The section was incubated with ab323574 for 30 mins at room temperature.
The immunostaining was performed on a Leica Biosystems BOND® RX instrument

Counterstained with Hematoxylin.

Secondary antibody only control : Secondary antibody is a ready to use LeicaDS9800 (Bond™ Polymer Refine Detection).

Heat mediated antigen retrieval was performed with Citrate buffer (pH 6.0, Epitope Retrieval Solution 1) for 20 mins

Immunohistochemistry (Formalin/PFA-fixed paraffin-embedded sections) - Anti-CD37 antibody [RM1306] (AB323574)
  • IHC-P

Supplier Data

Immunohistochemistry (Formalin/PFA-fixed paraffin-embedded sections) - Anti-CD37 antibody [RM1306] (AB323574)

Immunohistochemical analysis of paraffin-embedded Mouse spleen tissue labeling CD37 with ab323574 at 1/1200 (0.42 ug/ml) dilution, followed by a ready to use LeicaDS9800 (Bond™ Polymer Refine Detection).

Positive staining on mouse spleen.
The section was incubated with ab323574 for 30 mins at room temperature.
The immunostaining was performed on a Leica Biosystems BOND® RX instrument

Counterstained with Hematoxylin.

Secondary antibody only control : Secondary antibody is a ready to use LeicaDS9800 (Bond™ Polymer Refine Detection).

Heat mediated antigen retrieval was performed with Citrate buffer (pH 6.0, Epitope Retrieval Solution 1) for 20 mins

Immunocytochemistry/ Immunofluorescence - Anti-CD37 antibody [RM1306] (AB323574)
  • ICC/IF

Supplier Data

Immunocytochemistry/ Immunofluorescence - Anti-CD37 antibody [RM1306] (AB323574)

Immunofluorescent analysis of 4% Paraformaldehyde-fixed, 0.1% Tween-20 permeabilized A20 (mouse reticulum sarcoma B lymphocyte) cells labelling CD37 with ab323574 at 1/50 (10.08 ug/ml) dilution, followed by ab150081 Goat Anti-Rabbit IgG H&L (Alexa Fluor® 488) preadsorbed antibody at 1/ 1000 2ug/ml dilution (Green).

Confocal image showing membranous staining in A20 cells (shown in green). The counterstain was observed in magenta. Nuclear DNA was labelled with DAPI (shown in blue).
Low expression : 4T1.
Image was taken with a confocal microscope (Leica-Microsystems, TCS SP8).

ab195889 Anti-alpha Tubulin mouse monoclonal antibody - Microtubule Marker (Alexa Fluor® 594) was used to counterstain tubulin at 1/200 2.5ug/ml dilution (Magenta). The Nuclear counterstain was DAPI (Blue).

Secondary antibody only control : Secondary antibody is ab150081 Goat Anti-Rabbit IgG H&L (Alexa Fluor® 488) preadsorbed at 1/ 1000 2ug/ml dilution.

Flow Cytometry - Anti-CD37 antibody [RM1306] (AB323574)
  • Flow Cyt

Supplier Data

Flow Cytometry - Anti-CD37 antibody [RM1306] (AB323574)

Flow cytometric analysis of 4T1 (mouse mammary gland carcinoma epithelial cell, Left) / A20 (mouse reticulum sarcoma B lymphocyte, Right) cells labelling CD37 with ab323574 at 1/500 dilution (0.1 ug) (Red) compared with a Rabbit monoclonal IgG (ab172730) / Left isotype control and an unlabelled control (cells without incubation with primary antibody and secondary antibody).

Goat Anti-Rabbit IgG (Alexa Fluor® 488, ab150081) at 1/5000 dilution was used as the secondary antibody.

Negative control : 4T1.

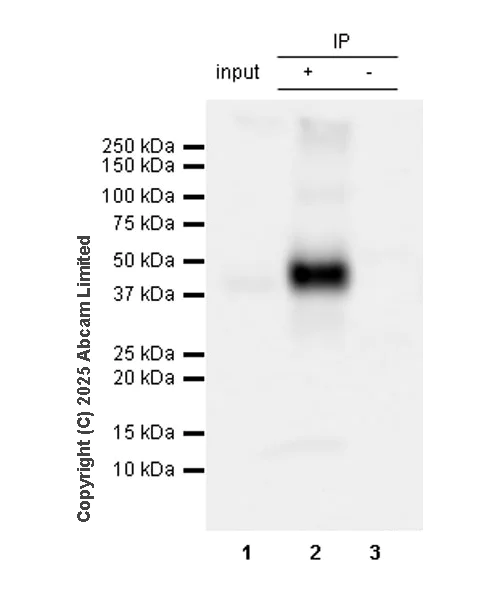
Immunoprecipitation - Anti-CD37 antibody [RM1306] (AB323574)
  • IP

Supplier Data

Immunoprecipitation - Anti-CD37 antibody [RM1306] (AB323574)

CD37 was immunoprecipitated from 0.35 mg A20 (mouse reticulum sarcoma B lymphocyte) whole cell lysate with ab323574 at 1/1000 dilution (2ug in 0.35mg lysates). Western blot was performed on the immunoprecipitate using ab323574 at 1/1000 dilution.

Blocking and dilution buffer and concentration : 5% NFDM/TBST

All lanes:

Immunoprecipitation - Anti-CD37 antibody [RM1306] (ab323574) at 1/1000 dilution

Lane 1:

A20 (mouse reticulum sarcoma B lymphocyte) whole cell lysate at 10 µg

Lane 2:

ab323574 at 1/30 IP in A20 (mouse reticulum sarcoma B lymphocyte) whole cell lysate at 10 µg

Lane 3:

Rabbit monoclonal IgG (<a href='/en-us/products/primary-antibodies/rabbit-igg-monoclonal-epr25a-isotype-control-ab172730'>ab172730</a>) instead of ab323574 in A20 whole cell lysate at 10 µg

Secondary

All lanes:

Immunoprecipitation - VeriBlot for IP Detection Reagent (HRP) (<a href='/en-us/products/reagents/veriblot-for-ip-detection-reagent-hrp-ab131366'>ab131366</a>) at 1/5000 dilution

Observed band size: 40 kDa

false

Exposure time: 6s

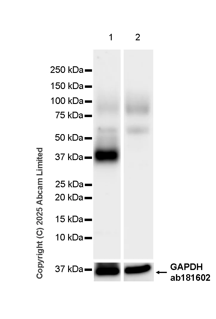
Western blot - Anti-CD37 antibody [RM1306] (AB323574)
  • WB

Supplier Data

Western blot - Anti-CD37 antibody [RM1306] (AB323574)

Blocking and diluting buffer and concentration : 5% NFDM/TBST.

Negative control : testis.

Samples are non-boiled as boiling may cause protein aggregation.

The identity of the bands between 50 kDa and 100 kDa are unknown.

In Western blot, Anti-GAPDH antibody [EPR16891] - Loading Control (ab181602) staining at 1/200000 dilution.

All lanes:

Western blot - Anti-CD37 antibody [RM1306] (ab323574) at 1/1000 dilution

Lane 1:

Human tonsil tissue lysate at 20 µg

Lane 2:

Human testis tissue lysate at 20 µg

Secondary

All lanes:

Western blot - Goat Anti-Rabbit IgG H&L (HRP) (<a href='/en-us/products/secondary-antibodies/goat-rabbit-igg-h-l-hrp-ab97051'>ab97051</a>) at 1/100000 dilution

Observed band size: 40 kDa,36 kDa

false

Exposure time: 37s

Western blot - Anti-CD37 antibody [RM1306] (AB323574)
  • WB

Supplier Data

Western blot - Anti-CD37 antibody [RM1306] (AB323574)

Blocking and diluting buffer and concentration : 5% NFDM/TBST.

Negative control : MCF7 (PMID : 33652767), HepG2, heart.

Samples are non-boiled as boiling may cause protein aggregation.

The identity of the higher MW band at approximately 75 kDa (in lane 6) is unknown.

The molecular weight observed is consistent with what has been described in the literature (PMID : 33652767, PMID : 23267131, PMID : 38846084).

This blot of lane 5-6 was developed using a high-sensitivity ECL substrate, allowing for the detection of proteins in the mid-femtogram range.

In Western blot, Anti-GAPDH antibody [EPR16891] - Loading Control (ab181602) staining at 1/200000 dilution.

Exposure time : Lane 1-4 : 81 seconds Lane 5-6 : 92 seconds

All lanes:

Western blot - Anti-CD37 antibody [RM1306] (ab323574) at 1/1000 dilution

Lane 1:

Daudi (human Burkitts lymphoma lymphoblast) whole cell lysate at 20 µg

Lane 2:

Raji (human Burkitts lymphoma B lymphocyte) whole cell lysate at 20 µg

Lane 3:

MCF7 (human breast adenocarcinoma epithelial cell) whole cell lysate at 20 µg

Lane 4:

HepG2 (human hepatocellular carcinoma epithelial cell) whole cell lysate at 20 µg

Lane 5:

Mouse spleen tissue lysate at 20 µg

Lane 6:

Mouse heart tissue lysate at 20 µg

Secondary

All lanes:

Western blot - Goat Anti-Rabbit IgG H&L (HRP) (<a href='/en-us/products/secondary-antibodies/goat-rabbit-igg-h-l-hrp-ab97051'>ab97051</a>) at 1/100000 dilution

Observed band size: 40-50 kDa,36 kDa

false

Western blot - Anti-CD37 antibody [RM1306] (AB323574)
  • WB

Supplier Data

Western blot - Anti-CD37 antibody [RM1306] (AB323574)

Blocking and diluting buffer and concentration : 5% NFDM/TBST.

Low expression : 4T1.

Samples are non-boiled as boiling may cause protein aggregation.

The molecular weight observed is consistent with what has been described in the literature (PMID : 33333768).

In Western blot, Anti-GAPDH antibody [EPR16891] - Loading Control (ab181602) staining at 1/200000 dilution.

All lanes:

Western blot - Anti-CD37 antibody [RM1306] (ab323574) at 1/1000 dilution

Lane 1:

A20 (mouse reticulum sarcoma B lymphocyte) whole cell lysate at 20 µg

Lane 2:

WEHI-231 (mouse B cell lymphoma B lymphocyte) whole cell lysate at 20 µg

Lane 3:

4T1 (mouse mammary gland carcinoma epithelial cell) whole cell lysate at 20 µg

Secondary

All lanes:

Western blot - Goat Anti-Rabbit IgG H&L (HRP) (<a href='/en-us/products/secondary-antibodies/goat-rabbit-igg-h-l-hrp-ab97051'>ab97051</a>) at 1/100000 dilution

Observed band size: 40-64 kDa,36 kDa

false

Exposure time: 103s

Key facts

Host species

Rabbit

Clonality

Multiclonal

Clone number

RM1306

Isotype

IgG

Carrier free

No

Reacts with

Human, Mouse

Applications

ICC/IF, Flow Cyt, WB, IHC-P, IP

applications

Immunogen

The exact immunogen used to generate this antibody is proprietary information.

Specificity

Unsuitable for human ICC/IF.

Reactivity data

{ "title": "Reactivity Data", "filters": { "stats": ["", "Species", "Dilution Info", "Notes"], "tabs": { "all-applications": {"fullname" : "All Applications", "shortname": "All Applications"}, "WB" : {"fullname" : "Western blot", "shortname":"WB"}, "IHCP" : {"fullname" : "Immunohistochemistry (Formalin/PFA-fixed paraffin-embedded sections)", "shortname":"IHC-P"}, "FlowCyt" : {"fullname" : "Flow Cytometry", "shortname":"Flow Cyt"}, "IP" : {"fullname" : "Immunoprecipitation", "shortname":"IP"}, "ICCIF" : {"fullname" : "Immunocytochemistry/ Immunofluorescence", "shortname":"ICC/IF"} }, "product-promise": { "all": "all", "testedAndGuaranteed": "tested", "guaranteed": "expected", "predicted": "predicted", "notRecommended": "not-recommended" } }, "values": { "Human": { "WB-species-checked": "testedAndGuaranteed", "WB-species-dilution-info": "1/1000", "WB-species-notes": "<p></p>", "IHCP-species-checked": "testedAndGuaranteed", "IHCP-species-dilution-info": "1/300", "IHCP-species-notes": "<p></p> Perform heat-mediated antigen retrieval with citrate buffer pH 6 before commencing with IHC staining protocol.", "FlowCyt-species-checked": "testedAndGuaranteed", "FlowCyt-species-dilution-info": "1/500", "FlowCyt-species-notes": "<p></p>", "IP-species-checked": "testedAndGuaranteed", "IP-species-dilution-info": "1/1000", "IP-species-notes": "<p></p>", "ICCIF-species-checked": "notRecommended", "ICCIF-species-dilution-info": "", "ICCIF-species-notes": "<p></p>" }, "Mouse": { "WB-species-checked": "testedAndGuaranteed", "WB-species-dilution-info": "1/1000", "WB-species-notes": "<p></p>", "IHCP-species-checked": "testedAndGuaranteed", "IHCP-species-dilution-info": "1/1200", "IHCP-species-notes": "<p></p> Perform heat-mediated antigen retrieval with citrate buffer pH 6 before commencing with IHC staining protocol.", "FlowCyt-species-checked": "testedAndGuaranteed", "FlowCyt-species-dilution-info": "1/500", "FlowCyt-species-notes": "<p></p>", "IP-species-checked": "testedAndGuaranteed", "IP-species-dilution-info": "1/1000", "IP-species-notes": "<p></p>", "ICCIF-species-checked": "testedAndGuaranteed", "ICCIF-species-dilution-info": "1/50", "ICCIF-species-notes": "<p></p>" }, "Rat": { "WB-species-checked": "notRecommended", "WB-species-dilution-info": "", "WB-species-notes": "<p></p>", "IHCP-species-checked": "notRecommended", "IHCP-species-dilution-info": "", "IHCP-species-notes": "<p></p>", "FlowCyt-species-checked": "notRecommended", "FlowCyt-species-dilution-info": "", "FlowCyt-species-notes": "", "IP-species-checked": "notRecommended", "IP-species-dilution-info": "", "IP-species-notes": "", "ICCIF-species-checked": "notRecommended", "ICCIF-species-dilution-info": "", "ICCIF-species-notes": "" } } }

Product details

Patented technology
Our RabMAb® technology is a patented hybridoma-based technology for making rabbit monoclonal antibodies. For details on our patents, please refer to RabMAb® patents.

What are recombinant multiclonals?
Recombinant multiclonals are a mixture of recombinant antibodies co-expressed from a library of heavy and light chains. They offer several advantages including:

  • - The sensitivity of polyclonal antibodies by recognising multiple epitopes
  • - High batch-to-batch consistency and reproducibility
  • - Improved sensitivity and specificity
  • - Long-term security of supply
  • - Animal-free batch production

View our range of recombinant multiclonal antibodies.

Properties and storage information

Form
Liquid
Purification technique
Affinity purification Protein A
Storage buffer
pH: 7.2 - 7.4 Preservative: 0.01% Sodium azide Constituents: PBS, 40% Glycerol (glycerin, glycerine), 0.05% BSA
Shipped at conditions
Blue Ice
Appropriate short-term storage duration
1-2 weeks
Appropriate short-term storage conditions
+4°C
Appropriate long-term storage conditions
-20°C
Aliquoting information
Upon delivery aliquot
Storage information
Avoid freeze / thaw cycle

Product protocols

For this product, it's our understanding that no specific protocols are required. You can visit:

Target data

Structural component of specialized membrane microdomains known as tetraspanin-enriched microdomains (TERMs), which act as platforms for receptor clustering and signaling. Participates thereby in diverse biological functions such as cell signal transduction, adhesion, migration and protein trafficking (PubMed : 22624718). Upon ligand binding, two signaling pathways are activated, one acting through phosphorylation by LYN leading to cell death or a survival pathway with activation of GSK3B (PubMed : 22624718). Plays an essential role essential for clustering of integrin ITGA4/ITGB1 and promotes its mobility in the plasma membrane of B-cells. In turn, participates in ITGA4/ITGB1 integrin-mediated antiapoptotic signaling through AKT (By similarity). Plays also a role in the migration of dendritic cells and neutrophils to draining lymph nodes, as well as in their integrin-mediated adhesion (By similarity). Negatively regulates IL-6 responses through direct interaction with SOCS3 thereby preventing constitutive IL-6 signaling (PubMed : 26784544). Alternatively, inhibition of IL-6 signaling can also occur via interaction and stabilization of DECTIN1/CLEC7A at the cell membrane to inhibit its ability to promote the production of IL-6 (PubMed : 17182550).
See full target information CD37

Additional targets

Cd37

Product promise

We are committed to supporting your work with high-quality reagents, and we're here for you every step of the way. In the unlikely event that one of our products does not perform as expected, you're protected by our Product Promise.
For full details, please see our Terms & Conditions

Please note: All products are 'FOR RESEARCH USE ONLY. NOT FOR USE IN DIAGNOSTIC OR THERAPEUTIC PROCEDURES'.

For licensing inquiries, please contact partnerships@abcam.com