JavaScript is disabled in your browser. Please enable JavaScript to view this website.
AB176886

Anti-CD38 antibody [EPR4106] - Low endotoxin, Azide free

4

(1 Review)

|

(6 Publications)

Anti-CD38 antibody [EPR4106] - Low endotoxin, Azide free (ab176886) is a rabbit recombinant monoclonal antibody provided in an azide free buffer detecting CD38 in Western Blot, IHC-P. Suitable for Human.

- KO validated for confirmed specificity
- Suitable for in vitro and in vivo studies
- Biophysical QC for unrivalled batch-batch consistency

View Alternative Names

CD38, ADP-ribosyl cyclase/cyclic ADP-ribose hydrolase 1, 2'-phospho-ADP-ribosyl cyclase, 2'-phospho-ADP-ribosyl cyclase/2'-phospho-cyclic-ADP-ribose transferase, 2'-phospho-cyclic-ADP-ribose transferase, ADP-ribosyl cyclase 1, Cyclic ADP-ribose hydrolase 1, T10, ADPRC 1, cADPR hydrolase 1

9 Images
Immunohistochemistry (Formalin/PFA-fixed paraffin-embedded sections) - Anti-CD38 antibody [EPR4106] - Low endotoxin, Azide free (AB176886)
  • IHC-P

Unknown

Immunohistochemistry (Formalin/PFA-fixed paraffin-embedded sections) - Anti-CD38 antibody [EPR4106] - Low endotoxin, Azide free (AB176886)

Immunohistochemistry (Formalin/PFA-fixed paraffin-embedded sections) analysis of human endometrial adenocarcinoma tissue labelling CD38 with unpurified ab108403 at a dilution of 1/100.

This data was developed using the same antibody clone in a different buffer formulation containing PBS, BSA, glycerol, and sodium azide (ab108403).

Immunohistochemistry (Formalin/PFA-fixed paraffin-embedded sections) - Anti-CD38 antibody [EPR4106] - Low endotoxin, Azide free (AB176886)
  • IHC-P

Unknown

Immunohistochemistry (Formalin/PFA-fixed paraffin-embedded sections) - Anti-CD38 antibody [EPR4106] - Low endotoxin, Azide free (AB176886)

Immunohistochemistry (Formalin/PFA-fixed paraffin-embedded sections) analysis of human lymph node tissue labelling CD38 with unpurified ab108403.

This data was developed using the same antibody clone in a different buffer formulation containing PBS, BSA, glycerol, and sodium azide (ab108403).

Immunohistochemistry (Formalin/PFA-fixed paraffin-embedded sections) - Anti-CD38 antibody [EPR4106] - Low endotoxin, Azide free (AB176886)
  • IHC-P

Unknown

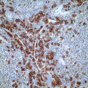
Immunohistochemistry (Formalin/PFA-fixed paraffin-embedded sections) - Anti-CD38 antibody [EPR4106] - Low endotoxin, Azide free (AB176886)

Immunohistochemistry (Formalin/PFA-fixed paraffin-embedded sections) analysis of human tonsil tissue labelling CD38 with unpurified ab108403 at a dilution of 1/100.

This data was developed using the same antibody clone in a different buffer formulation containing PBS, BSA, glycerol, and sodium azide (ab108403).

Immunohistochemistry (Formalin/PFA-fixed paraffin-embedded sections) - Anti-CD38 antibody [EPR4106] - Low endotoxin, Azide free (AB176886)
  • IHC-P

Unknown

Immunohistochemistry (Formalin/PFA-fixed paraffin-embedded sections) - Anti-CD38 antibody [EPR4106] - Low endotoxin, Azide free (AB176886)

Immunohistochemistry (Formalin/PFA-fixed paraffin-embedded sections) analysis of normal human colon tissue labelling CD38 with unpurified ab108403.

This data was developed using the same antibody clone in a different buffer formulation containing PBS, BSA, glycerol, and sodium azide (ab108403).

Immunohistochemistry (Formalin/PFA-fixed paraffin-embedded sections) - Anti-CD38 antibody [EPR4106] - Low endotoxin, Azide free (AB176886)
  • IHC-P

Unknown

Immunohistochemistry (Formalin/PFA-fixed paraffin-embedded sections) - Anti-CD38 antibody [EPR4106] - Low endotoxin, Azide free (AB176886)

This IHC data was generated using the same anti-CD38 antibody clone, EPR4106, in a different buffer formulation (cat# ab108403).

Immunohistochemistry (Formalin/PFA-fixed paraffin-embedded sections) analysis of human skeletal muscle tissue labelling CD38 with purified ab108403 at 1/500. Heat mediated antigen retrieval was performed using Tris/EDTA buffer pH 9. ab97051, a HRP-conjugated goat anti-rabbit IgG (H+L) was used as the secondary antibody (1/500). Negative control using PBS instead of primary antibody. Counterstained with hematoxylin.

Immunohistochemistry (Formalin/PFA-fixed paraffin-embedded sections) - Anti-CD38 antibody [EPR4106] - Low endotoxin, Azide free (AB176886)
  • IHC-P

Unknown

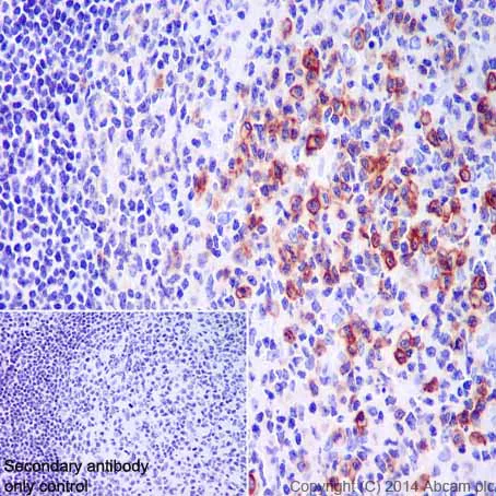
Immunohistochemistry (Formalin/PFA-fixed paraffin-embedded sections) - Anti-CD38 antibody [EPR4106] - Low endotoxin, Azide free (AB176886)

This IHC data was generated using the same anti-CD38 antibody clone, EPR4106, in a different buffer formulation (cat# ab108403).

Immunohistochemistry (Formalin/PFA-fixed paraffin-embedded sections) analysis of human tonsil tissue labelling CD38 with purified ab108403 at 1/500. Heat mediated antigen retrieval was performed using Tris/EDTA buffer pH 9. ab97051, a HRP-conjugated goat anti-rabbit IgG (H+L) was used as the secondary antibody (1/500). Negative control using PBS instead of primary antibody. Counterstained with hematoxylin.

Immunohistochemistry (Formalin/PFA-fixed paraffin-embedded sections) - Anti-CD38 antibody [EPR4106] - Low endotoxin, Azide free (AB176886)
  • IHC-P

Lab

Immunohistochemistry (Formalin/PFA-fixed paraffin-embedded sections) - Anti-CD38 antibody [EPR4106] - Low endotoxin, Azide free (AB176886)

Tissue Microarrays stained for "Anti-CD38 antibody [EPR4106]" using "ab108403"in immunohistochemical analysis. This table provides a detailed overview of positive (tick mark) and negative (cross mark) staining per sample type tested. The sections were pre-treated using Heat mediated antigen retrieval using ab93684 (Tris/EDTA buffer, pH 9.0). The sections were incubated with ab108403 at +4°C overnight followed by a ready to use Goat Anti-Rabbit IgG H&L (HRP polymer).

Western blot - Anti-CD38 antibody [EPR4106] - Low endotoxin, Azide free (AB176886)
  • WB

Lab

Western blot - Anti-CD38 antibody [EPR4106] - Low endotoxin, Azide free (AB176886)

This data was developed using the same antibody clone in a different buffer formulation containing PBS and sodium azide (ab108403). Anti-CD38 antibody [EPR4106] staining at 1/2000 dilution, shown in green; Mouse anti-CANX [CANX/1543] (ab238078) loading control staining at 1/20000 dilution, shown in red. In Western blot, ab108403 was shown to bind specifically to CD38. A band was observed at 42 kDa in wild-type A549 cell lysates with no signal observed at this size in CD38 knockout cell line. To generate this image, wild-type and CD38 knockout A549 cell lysates were analysed. First, samples were run on an SDS-PAGE gel then transferred onto a nitrocellulose membrane. Membranes were blocked in 3 % milk in TBS-0.1 % Tween® 20 (TBS-T) before incubation with primary antibodies overnight at 4 °C. Blots were washed four times in TBS-T, incubated with secondary antibodies for 1 h at room temperature, washed again four times then imaged. Secondary antibodies used were Goat anti-Rabbit IgG H&L 800CW and Goat anti-Mouse IgG H&L 680RD at 1/20000 dilution.

All lanes:

Western blot - Anti-CD38 antibody [EPR4106] (<a href='/en-us/products/primary-antibodies/cd38-antibody-epr4106-ab108403'>ab108403</a>) at 1/2000 dilution

Lane 1:

Wild-type A549 cell lysate at 20 µg

Lane 2:

Western blot - Human CD38 knockout A549 cell line (<a href='/en-us/products/cell-lines/human-cd38-knockout-a549-cell-line-ab289025'>ab289025</a>)

Lane 2:

CD38 knockout A549 cell lysate at 20 µg

Lane 3:

Daudi cell lysate at 20 µg

Lane 4:

HCT 116 cell lysate at 20 µg

Secondary

All lanes:

Goat anti-Rabbit IgG H&L 800CW and Goat anti-Mouse IgG H&L 680RD at 1/20000 dilution

Predicted band size: 34 kDa

Observed band size: 42 kDa

false

OI-RD Scanning - Anti-CD38 antibody [EPR4106] - Low endotoxin, Azide free (AB176886)
  • OI-RD Scanning

Unknown

OI-RD Scanning - Anti-CD38 antibody [EPR4106] - Low endotoxin, Azide free (AB176886)

We have systematically measured KD (the equilibrium dissociation constant between the antibody and its antigen), of more than 840 recombinant antibodies to assess not only their individual KD values but also to see the average affinity of antibody. Based on the comparison with published literature values for mouse monoclonal antibodies, Recombinant antibodies appear to be on average 1-2 order of magnitude higher affinity.

Key facts

Host species

Rabbit

Clonality

Monoclonal

Clone number

EPR4106

Isotype

IgG

Carrier free

Yes

Reacts with

Human

Applications

IHC-P, WB

applications

Immunogen

The exact immunogen used to generate this antibody is proprietary information.

Specificity

Not suitable for mouse and rat samples because antibody shows a non-specific cytoplasmic staining in almost all tested mouse and rat tissues.

Reactivity data

{ "title": "Reactivity Data", "filters": { "stats": ["", "Species", "Dilution Info", "Notes"], "tabs": { "all-applications": {"fullname" : "All Applications", "shortname": "All Applications"}, "IHCP" : {"fullname" : "Immunohistochemistry (Formalin/PFA-fixed paraffin-embedded sections)", "shortname":"IHC-P"}, "FlowCyt" : {"fullname" : "Flow Cytometry", "shortname":"Flow Cyt"}, "WB" : {"fullname" : "Western blot", "shortname":"WB"}, "ICCIF" : {"fullname" : "Immunocytochemistry/ Immunofluorescence", "shortname":"ICC/IF"} }, "product-promise": { "all": "all", "testedAndGuaranteed": "tested", "guaranteed": "expected", "predicted": "predicted", "notRecommended": "not-recommended" } }, "values": { "Human": { "IHCP-species-checked": "testedAndGuaranteed", "IHCP-species-dilution-info": "", "IHCP-species-notes": "<p></p>", "FlowCyt-species-checked": "notRecommended", "FlowCyt-species-dilution-info": "", "FlowCyt-species-notes": "<p></p>", "WB-species-checked": "testedAndGuaranteed", "WB-species-dilution-info": "", "WB-species-notes": "<p></p>", "ICCIF-species-checked": "notRecommended", "ICCIF-species-dilution-info": "", "ICCIF-species-notes": "<p></p>" } } }

Product details

What is this antibody validated in?
Anti-CD38 antibody [EPR4106] - Low endotoxin, Azide free (ab176886) is a rabbit recombinant monoclonal antibody and is validated for use in Western Blot (WB), Immunohistochemistry (IHC-P) in Human samples.

What is the molecular weight of CD38?
Anti-CD38 [EPR4106] - Low endotoxin, Azide free (ab176886) specifically detects a band for CD38 (UniProt: P28907) at a molecular weight of 34kDa.

Specificity confirmed
The specificity of Anti-CD38 antibody [EPR4106] - Low endotoxin, Azide free (ab176886) has been confirmed by Western blot testing in CD38 Knockout A549 cell line, ab289025.

Other related products
We have a range of other formats of antibody clone [EPR4106] also available for your convenience: ab108403, Carrier free - ab176886, Biotin - ab201498, Carrier free - ab226034, Alexa Fluor® 555 - ab279332, Alexa Fluor® 647 - ab279690, Alexa Fluor® 594 - ab280842, Alexa Fluor® 488 - ab323658, PE - ab323659

Patented technology
Our RabMAb® technology is a patented hybridoma-based technology for making rabbit monoclonal antibodies. For details on our patents, please refer to RabMAb® patents.

What are the advantages of a recombinant monoclonal antibody?
This product is a recombinant monoclonal antibody, which offers several advantages including:

  • - High batch-to-batch consistency and reproducibility
  • - Improved sensitivity and specificity
  • - Long-term security of supply
  • - Animal-free batch production

For more information, read more on recombinant antibodies.

Conjugation ready
Our carrier-free antibodies are typically supplied in a PBS-only formulation, purified and free of BSA, sodium azide and glycerol. This conjugation-ready format is designed for use with fluorochromes, metal isotopes, oligonucleotides, and enzymes, which makes them ideal for antibody labelling, functional and cell-based assays, flow-based assays (e.g. mass cytometry) and Multiplex Imaging applications.

Use our conjugation kits for antibody conjugates that are ready-to-use in as little as 20 minutes with 1 minute hands-on-time and 100% antibody recovery: available for fluorescent dyes, HRP, biotin and gold.

Compatibility
This product is compatible with the Maxpar® Antibody Labeling Kit from Fluidigm, without the need for antibody preparation. Maxpar® is a trademark of Fluidigm Canada Inc.

What does low endotoxin mean?
Our low endotoxin, azide-free formats have low endotoxin level (1 EU/mg, determined by the TAL assay) and are free from azide, to achieve consistent experimental results in functional assays.

Properties and storage information

Form
Liquid
Purification technique
Affinity purification Protein A
Storage buffer
Constituents: PBS
Shipped at conditions
Blue Ice
Appropriate short-term storage conditions
+4°C
Appropriate long-term storage conditions
+4°C
Storage information
Do Not Freeze

Product protocols

For this product, it's our understanding that no specific protocols are required. You can visit:

Target data

Synthesizes cyclic ADP-ribose (cADPR), a second messenger for glucose-induced insulin secretion (PubMed : 7961800, PubMed : 8253715). Synthesizes the Ca(2+) mobilizer nicotinate-adenine dinucleotide phosphate, NAADP(+), from 2'-phospho-cADPR and nicotinic acid, as well as from NADP(+) and nicotinic acid. At both pH 5.0 and pH 7.4 preferentially transforms 2'-phospho-cADPR into NAADP(+), while preferentially cleaving NADP(+) to cADPR and ADPRP rather than into NADDP(+) (PubMed : 16690024). Has cADPR hydrolase activity (PubMed : 7961800, PubMed : 8253715).
See full target information CD38

Publications (6)

Recent publications for all applications. Explore the full list and refine your search

Cell reports. Medicine 5:101851 PubMed39657667

2024

Multi-modal analysis reveals tumor and immune features distinguishing EBV-positive and EBV-negative post-transplant lymphoproliferative disorders.

Applications

Unspecified application

Species

Unspecified reactive species

Jiaying Toh,Andrea J Reitsma,Tetsuya Tajima,Sheren F Younes,Chimere Ezeiruaku,Kayla C Jenkins,Josselyn K Peña,Shuchun Zhao,Xi Wang,Esmond Y Z Lee,Marla C Glass,Laurynas Kalesinskas,Ananthakrishnan Ganesan,Irene Liang,Joy A Pai,James T Harden,Francesco Vallania,Edward A Vizcarra,Govind Bhagat,Fiona E Craig,Steven H Swerdlow,Julie Morscio,Daan Dierickx,Thomas Tousseyn,Ansuman T Satpathy,Sheri M Krams,Yasodha Natkunam,Purvesh Khatri,Olivia M Martinez

Cell reports methods 3:100595 PubMed37741277

2023

Dual-modality imaging of immunofluorescence and imaging mass cytometry for whole-slide imaging and accurate segmentation.

Applications

Unspecified application

Species

Unspecified reactive species

Eun Na Kim,Phyllis Zixuan Chen,Dario Bressan,Monika Tripathi,Ahmad Miremadi,Massimiliano di Pietro,Lisa M Coussens,Gregory J Hannon,Rebecca C Fitzgerald,Lizhe Zhuang,Young Hwan Chang

iScience 25:103785 PubMed35146396

2022

PD-L1CD8 T cells enrichment in lung cancer exerted regulatory function and tumor-promoting tolerance.

Applications

Unspecified application

Species

Unspecified reactive species

Yingxia Zheng,Li Han,Zheyi Chen,Yiyang Li,Bingqian Zhou,Rui Hu,Shiyu Chen,Haibo Xiao,Yanhui Ma,Guohua Xie,Junyao Yang,Xianting Ding,Lisong Shen

Nature protocols 16:3802-3835 PubMed34215862

2021

CODEX multiplexed tissue imaging with DNA-conjugated antibodies.

Applications

mIHC

Species

Human

Sarah Black,Darci Phillips,John W Hickey,Julia Kennedy-Darling,Vishal G Venkataraaman,Nikolay Samusik,Yury Goltsev,Christian M Schürch,Garry P Nolan

Immunity 54:1594-1610.e11 PubMed34174183

2021

Deep spatial profiling of human COVID-19 brains reveals neuroinflammation with distinct microanatomical microglia-T-cell interactions.

Applications

Unspecified application

Species

Unspecified reactive species

Marius Schwabenland,Henrike Salié,Jovan Tanevski,Saskia Killmer,Marilyn Salvat Lago,Alexandra Emilia Schlaak,Lena Mayer,Jakob Matschke,Klaus Püschel,Antonia Fitzek,Benjamin Ondruschka,Henrik E Mei,Tobias Boettler,Christoph Neumann-Haefelin,Maike Hofmann,Angele Breithaupt,Nafiye Genc,Christine Stadelmann,Julio Saez-Rodriguez,Peter Bronsert,Klaus-Peter Knobeloch,Thomas Blank,Robert Thimme,Markus Glatzel,Marco Prinz,Bertram Bengsch

Cell 169:736-749.e18 PubMed28475899

2017

An Immune Atlas of Clear Cell Renal Cell Carcinoma.

Applications

IHC

Species

Human

Stéphane Chevrier,Jacob Harrison Levine,Vito Riccardo Tomaso Zanotelli,Karina Silina,Daniel Schulz,Marina Bacac,Carola Hermine Ries,Laurie Ailles,Michael Alexander Spencer Jewett,Holger Moch,Maries van den Broek,Christian Beisel,Michael Beda Stadler,Craig Gedye,Bernhard Reis,Dana Pe'er,Bernd Bodenmiller
View all publications

Product promise

We are committed to supporting your work with high-quality reagents, and we're here for you every step of the way. In the unlikely event that one of our products does not perform as expected, you're protected by our Product Promise.
For full details, please see our Terms & Conditions

Please note: All products are 'FOR RESEARCH USE ONLY. NOT FOR USE IN DIAGNOSTIC OR THERAPEUTIC PROCEDURES'.

For licensing inquiries, please contact partnerships@abcam.com