JavaScript is disabled in your browser. Please enable JavaScript to view this website.
AB236232

Anti-CD38 antibody [SP149] - BSA and Azide free

Be the first to review this product! Submit a review

|

(0 Publication)

Rabbit Recombinant Monoclonal CD38 antibody. Carrier free. Suitable for IHC-P, Flow Cyt and reacts with Human samples.

View Alternative Names

CD38, ADP-ribosyl cyclase/cyclic ADP-ribose hydrolase 1, 2'-phospho-ADP-ribosyl cyclase, 2'-phospho-ADP-ribosyl cyclase/2'-phospho-cyclic-ADP-ribose transferase, 2'-phospho-cyclic-ADP-ribose transferase, ADP-ribosyl cyclase 1, Cyclic ADP-ribose hydrolase 1, T10, ADPRC 1, cADPR hydrolase 1

16 Images
Immunohistochemistry (Formalin/PFA-fixed paraffin-embedded sections) - Anti-CD38 antibody [SP149] - BSA and Azide free (AB236232)
  • IHC-P

Unknown

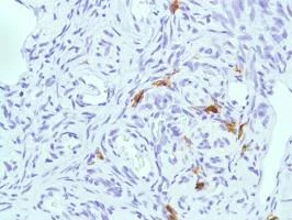
Immunohistochemistry (Formalin/PFA-fixed paraffin-embedded sections) - Anti-CD38 antibody [SP149] - BSA and Azide free (AB236232)

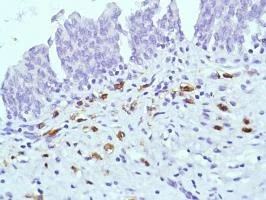
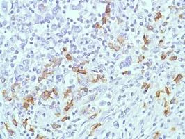
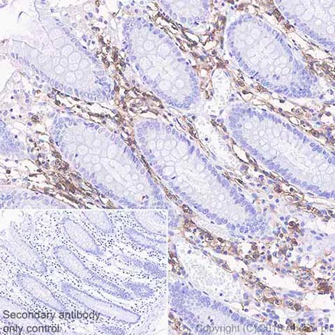
Immunohistochemistry (Formalin/PFA-fixed paraffin-embedded sections) analysis of Human colon tissue sections labeling CD38 with ab183326 at 1/100 dilution. Heat mediated antigen retrieval with sodium citrate buffer (pH 6.0, epitope retrieval solution 1) for 10mins. Rabbit specific IHC polymer detection kit HRP/DAB (ab209101) was used as the secondary antibody. Hematoxylin was used as a counterstain. Positive staining on stromal cells in human colon, performed on a Leica Biosystems BOND™ RX instrument.
The section was incubated with ab183326 for 10 mins at room temperature. This image was generated using ab183326, the same clone, but with a different buffer formulation.

Immunohistochemistry (Formalin/PFA-fixed paraffin-embedded sections) - Anti-CD38 antibody [SP149] - BSA and Azide free (AB236232)
  • IHC-P

Supplier Data

Immunohistochemistry (Formalin/PFA-fixed paraffin-embedded sections) - Anti-CD38 antibody [SP149] - BSA and Azide free (AB236232)

Immunohistochemical analysis of paraffin embedded human prostate tissue labeling CD38 with ab183326 at 1/100.

This data was developed using the same antibody clone in a different buffer formulation containing PBS, BSA and sodium azide (ab183326).

Immunohistochemistry (Formalin/PFA-fixed paraffin-embedded sections) - Anti-CD38 antibody [SP149] - BSA and Azide free (AB236232)
  • IHC-P

Supplier Data

Immunohistochemistry (Formalin/PFA-fixed paraffin-embedded sections) - Anti-CD38 antibody [SP149] - BSA and Azide free (AB236232)

This data was developed using the same antibody clone in a different buffer formulation containing PBS, BSA, glycerol, and sodium azide (ab183326).

Immunohistochemical analysis of paraffin embedded Human spleen tissue labeling CD38 with ab183326 at 1/100.

Immunohistochemistry (Formalin/PFA-fixed paraffin-embedded sections) - Anti-CD38 antibody [SP149] - BSA and Azide free (AB236232)
  • IHC-P

Supplier Data

Immunohistochemistry (Formalin/PFA-fixed paraffin-embedded sections) - Anti-CD38 antibody [SP149] - BSA and Azide free (AB236232)

This data was developed using the same antibody clone in a different buffer formulation containing PBS, BSA, glycerol, and sodium azide (ab183326).

Immunohistochemical analysis of paraffin embedded Human stomach tissue labeling CD38 with ab183326 at 1/100.

Immunohistochemistry (Formalin/PFA-fixed paraffin-embedded sections) - Anti-CD38 antibody [SP149] - BSA and Azide free (AB236232)
  • IHC-P

Unknown

Immunohistochemistry (Formalin/PFA-fixed paraffin-embedded sections) - Anti-CD38 antibody [SP149] - BSA and Azide free (AB236232)

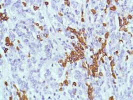
Immunohistochemistry (Formalin/PFA-fixed paraffin-embedded sections) analysis of Human tonsil tissue sections labeling CD38 with ab183326 at 1/100 dilution. Heat mediated antigen retrieval with sodium citrate buffer (pH 6.0, epitope retrieval solution 1) for 10mins. Rabbit specific IHC polymer detection kit HRP/DAB (ab209101) was used as the secondary antibody. Hematoxylin was used as a counterstain. Membranous staining on sporadic cells in human tonsil, performed on a Leica Biosystems BOND™ RX instrument.
The section was incubated with ab183326 for 10 mins at room temperature. This image was generated using ab183326, the same clone, but with a different buffer formulation.

Immunohistochemistry (Formalin/PFA-fixed paraffin-embedded sections) - Anti-CD38 antibody [SP149] - BSA and Azide free (AB236232)
  • IHC-P

Supplier Data

Immunohistochemistry (Formalin/PFA-fixed paraffin-embedded sections) - Anti-CD38 antibody [SP149] - BSA and Azide free (AB236232)

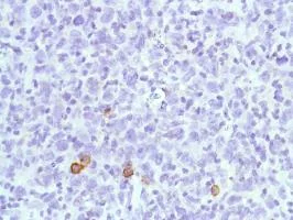
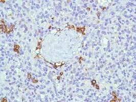
This data was developed using the same antibody clone in a different buffer formulation containing PBS, BSA, glycerol, and sodium azide (ab183326).

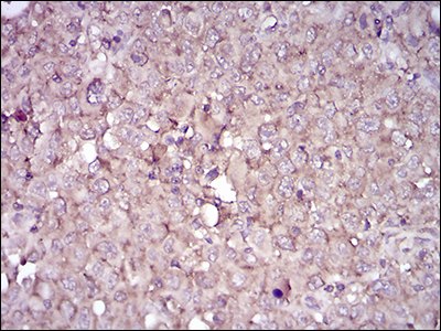
Immunohistochemical analysis of paraffin embedded Human HK Lymphoma tissue labeling CD38 with ab183326 at 1/100.

Immunohistochemistry (Formalin/PFA-fixed paraffin-embedded sections) - Anti-CD38 antibody [SP149] - BSA and Azide free (AB236232)
  • IHC-P

Supplier Data

Immunohistochemistry (Formalin/PFA-fixed paraffin-embedded sections) - Anti-CD38 antibody [SP149] - BSA and Azide free (AB236232)

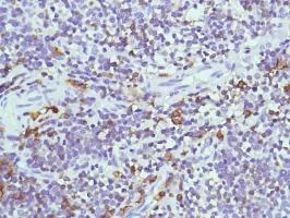
This data was developed using the same antibody clone in a different buffer formulation containing PBS, BSA, glycerol, and sodium azide (ab183326).

Immunohistochemical analysis of paraffin embedded Human B cell lymphoma tissue labeling CD38 with ab183326 at 1/100.

Immunohistochemistry (Formalin/PFA-fixed paraffin-embedded sections) - Anti-CD38 antibody [SP149] - BSA and Azide free (AB236232)
  • IHC-P

Supplier Data

Immunohistochemistry (Formalin/PFA-fixed paraffin-embedded sections) - Anti-CD38 antibody [SP149] - BSA and Azide free (AB236232)

This data was developed using the same antibody clone in a different buffer formulation containing PBS, BSA, glycerol, and sodium azide (ab183326).

Immunohistochemical analysis of paraffin embedded Human Stomach Adenocarcinoma tissue labeling CD38 with ab183326 at 1/100.

Immunohistochemistry (Formalin/PFA-fixed paraffin-embedded sections) - Anti-CD38 antibody [SP149] - BSA and Azide free (AB236232)
  • IHC-P

Supplier Data

Immunohistochemistry (Formalin/PFA-fixed paraffin-embedded sections) - Anti-CD38 antibody [SP149] - BSA and Azide free (AB236232)

This data was developed using the same antibody clone in a different buffer formulation containing PBS, BSA, glycerol, and sodium azide (ab183326).

Immunohistochemical analysis of paraffin embedded Human ovary tissue labeling CD38 with ab183326 at 1/100.

Immunohistochemistry (Formalin/PFA-fixed paraffin-embedded sections) - Anti-CD38 antibody [SP149] - BSA and Azide free (AB236232)
  • IHC-P

Supplier Data

Immunohistochemistry (Formalin/PFA-fixed paraffin-embedded sections) - Anti-CD38 antibody [SP149] - BSA and Azide free (AB236232)

This data was developed using the same antibody clone in a different buffer formulation containing PBS, BSA, glycerol, and sodium azide (ab183326).

Immunohistochemical analysis of paraffin embedded Human Colon Adenocarcinoma tissue labeling CD38 with ab183326 at 1/100.

Immunohistochemistry (Formalin/PFA-fixed paraffin-embedded sections) - Anti-CD38 antibody [SP149] - BSA and Azide free (AB236232)
  • IHC-P

Supplier Data

Immunohistochemistry (Formalin/PFA-fixed paraffin-embedded sections) - Anti-CD38 antibody [SP149] - BSA and Azide free (AB236232)

This data was developed using the same antibody clone in a different buffer formulation containing PBS, BSA, glycerol, and sodium azide (ab183326).

Immunohistochemical analysis of paraffin embedded Human prostate adenocarcinoma tissue labeling CD38 with ab183326 at 1/100.

Immunohistochemistry (Formalin/PFA-fixed paraffin-embedded sections) - Anti-CD38 antibody [SP149] - BSA and Azide free (AB236232)
  • IHC-P

Supplier Data

Immunohistochemistry (Formalin/PFA-fixed paraffin-embedded sections) - Anti-CD38 antibody [SP149] - BSA and Azide free (AB236232)

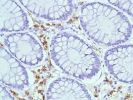
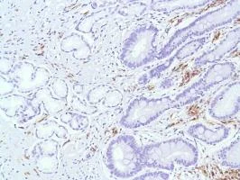
This data was developed using the same antibody clone in a different buffer formulation containing PBS, BSA, glycerol, and sodium azide (ab183326).

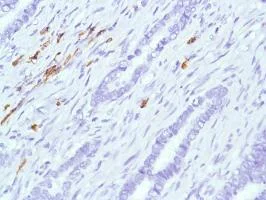
Immunohistochemical analysis of paraffin embedded Human colon tissue labeling CD38 with ab183326 at 1/100.

Immunohistochemistry (Formalin/PFA-fixed paraffin-embedded sections) - Anti-CD38 antibody [SP149] - BSA and Azide free (AB236232)
  • IHC-P

Supplier Data

Immunohistochemistry (Formalin/PFA-fixed paraffin-embedded sections) - Anti-CD38 antibody [SP149] - BSA and Azide free (AB236232)

This data was developed using the same antibody clone in a different buffer formulation containing PBS, BSA, glycerol, and sodium azide (ab183326).

Immunohistochemical analysis of paraffin embedded Human bladder tissue labeling CD38 with ab183326 at 1/100.

Immunohistochemistry (Formalin/PFA-fixed paraffin-embedded sections) - Anti-CD38 antibody [SP149] - BSA and Azide free (AB236232)
  • IHC-P

Supplier Data

Immunohistochemistry (Formalin/PFA-fixed paraffin-embedded sections) - Anti-CD38 antibody [SP149] - BSA and Azide free (AB236232)

This data was developed using the same antibody clone in a different buffer formulation containing PBS, BSA, glycerol, and sodium azide (ab183326).

Immunohistochemical analysis of paraffin embedded Human tonsil tissue labeling CD38 with ab183326 at 1/100.

Immunohistochemistry (Formalin/PFA-fixed paraffin-embedded sections) - Anti-CD38 antibody [SP149] - BSA and Azide free (AB236232)
  • IHC-P

Lab

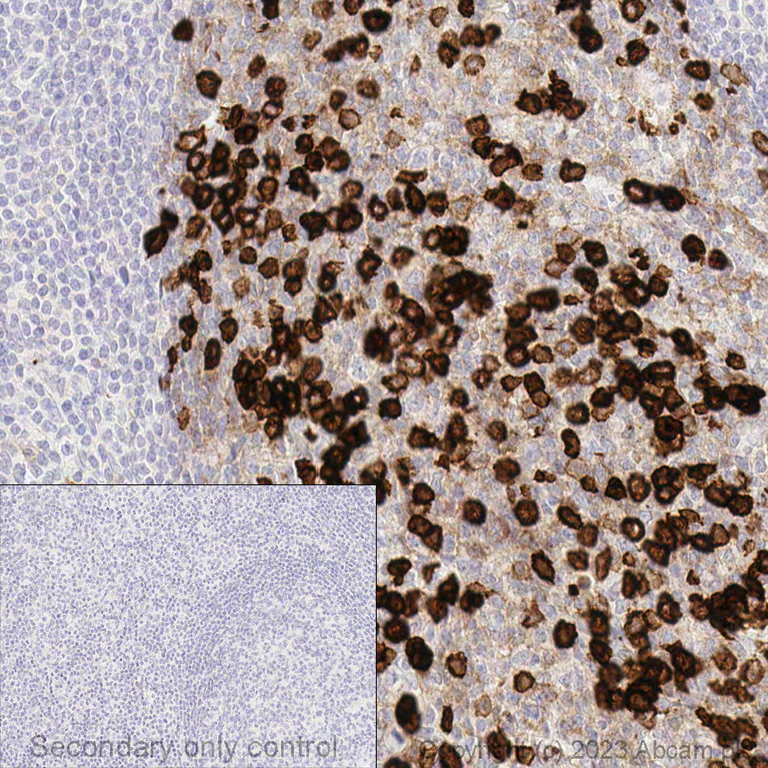
Immunohistochemistry (Formalin/PFA-fixed paraffin-embedded sections) - Anti-CD38 antibody [SP149] - BSA and Azide free (AB236232)

Immunohistochemical analysis of formalin-fixed paraffin-embedded human tonsil labelling CD38 with ab236232 at a concentration of 0.5µg/ml. The immunostaining was performed on a Ventana DISCOVERY ULTRA (Roche Tissue Diagnostics) instrument with an OptiView DAB IHC Detection Kit. Heat mediated antigen retrieval was conducted for 32min with ULTRA cell conditioning solution (CC1 pH8.5). ab236232 anti C38 antibody was incubated at 37°C for 16min. Sections were counterstained is with Hematoxylin II. Image inset shows absence of staining in secondary antibody only control.

Immunohistochemistry (Formalin/PFA-fixed paraffin-embedded sections) - Anti-CD38 antibody [SP149] - BSA and Azide free (AB236232)
  • IHC-P

Supplier Data

Immunohistochemistry (Formalin/PFA-fixed paraffin-embedded sections) - Anti-CD38 antibody [SP149] - BSA and Azide free (AB236232)

This data was developed using the same antibody clone in a different buffer formulation containing PBS, BSA, glycerol, and sodium azide (ab183326).

Immunohistochemical analysis of paraffin embedded Human thymus tissue labeling CD38 with ab183326 at 1/100.

  • Unconjugated

    Anti-CD38 antibody [SP149] - C-terminal

  • 775 Alexa Fluor® 750

    Alexa Fluor® 750 Anti-CD38 antibody [SP149] - C-terminal

  • 578 PE

    PE Anti-CD38 antibody [SP149] (C-terminal)

  • 660 APC

    APC Anti-CD38 antibody [SP149] (C-terminal)

  • HRP

    HRP Anti-CD38 antibody [SP149] (C-terminal)

  • Alkaline Phosphatase

    Alkaline Phosphatase Anti-CD38 antibody [SP149] - C-terminal

  • 519 Alexa Fluor® 488

    Alexa Fluor® 488 Anti-CD38 antibody [SP149] - C-terminal

  • 617 Alexa Fluor® 594

    Alexa Fluor® 594 Anti-CD38 antibody [SP149] - C-terminal

  • 603 Alexa Fluor® 568

    Alexa Fluor® 568 Anti-CD38 antibody [SP149] - C-terminal

  • 565 Alexa Fluor® 555

    Alexa Fluor® 555 Anti-CD38 antibody [SP149] - C-terminal

  • 665 Alexa Fluor® 647

    Alexa Fluor® 647 Anti-CD38 antibody [SP149] - C-terminal

Key facts

Host species

Rabbit

Clonality

Monoclonal

Clone number

SP149

Isotype

IgG

Carrier free

Yes

Reacts with

Human

Applications

IHC-P, Flow Cyt

applications

Immunogen

The exact immunogen used to generate this antibody is proprietary information.

Reactivity data

{ "title": "Reactivity Data", "filters": { "stats": ["", "Species", "Dilution Info", "Notes"], "tabs": { "all-applications": {"fullname" : "All Applications", "shortname": "All Applications"}, "IHCP" : {"fullname" : "Immunohistochemistry (Formalin/PFA-fixed paraffin-embedded sections)", "shortname":"IHC-P"}, "FlowCyt" : {"fullname" : "Flow Cytometry", "shortname":"Flow Cyt"} }, "product-promise": { "all": "all", "testedAndGuaranteed": "tested", "guaranteed": "expected", "predicted": "predicted", "notRecommended": "not-recommended" } }, "values": { "Human": { "IHCP-species-checked": "testedAndGuaranteed", "IHCP-species-dilution-info": "", "IHCP-species-notes": "<p></p>", "FlowCyt-species-checked": "testedAndGuaranteed", "FlowCyt-species-dilution-info": "", "FlowCyt-species-notes": "<p><a href='/en-us/products/primary-antibodies/rabbit-igg-monoclonal-epr25a-isotype-control-ab172730'>ab172730</a> - Rabbit monoclonal IgG, is suitable for use as an isotype control with this antibody.</p>" }, "Rhesus monkey": { "IHCP-species-checked": "predicted", "IHCP-species-dilution-info": "", "IHCP-species-notes": "", "FlowCyt-species-checked": "predicted", "FlowCyt-species-dilution-info": "", "FlowCyt-species-notes": "" } } }

Product details

ab236232 is the carrier-free version of ab183326.

What are the advantages of a recombinant monoclonal antibody?
This product is a recombinant monoclonal antibody, which offers several advantages including:

  • - High batch-to-batch consistency and reproducibility
  • - Improved sensitivity and specificity
  • - Long-term security of supply
  • - Animal-free batch production

For more information, read more on recombinant antibodies.

Conjugation ready
Our carrier-free antibodies are typically supplied in a PBS-only formulation, purified and free of BSA, sodium azide and glycerol. This conjugation-ready format is designed for use with fluorochromes, metal isotopes, oligonucleotides, and enzymes, which makes them ideal for antibody labelling, functional and cell-based assays, flow-based assays (e.g. mass cytometry) and Multiplex Imaging applications.

Use our conjugation kits for antibody conjugates that are ready-to-use in as little as 20 minutes with 1 minute hands-on-time and 100% antibody recovery: available for fluorescent dyes, HRP, biotin and gold.

Compatibility
This product is compatible with the Maxpar® Antibody Labeling Kit from Fluidigm, without the need for antibody preparation. Maxpar® is a trademark of Fluidigm Canada Inc.

Properties and storage information

Form
Liquid
Purification technique
Affinity purification Protein A/G
Purification notes
Purified from TCS by protein A/G.
Storage buffer
pH: 7.2 - 7.4 Constituents: PBS
Shipped at conditions
Blue Ice
Appropriate short-term storage conditions
+4°C
Appropriate long-term storage conditions
+4°C
Storage information
Do Not Freeze

Product protocols

For this product, it's our understanding that no specific protocols are required. You can visit:

Target data

Synthesizes cyclic ADP-ribose (cADPR), a second messenger for glucose-induced insulin secretion (PubMed : 7961800, PubMed : 8253715). Synthesizes the Ca(2+) mobilizer nicotinate-adenine dinucleotide phosphate, NAADP(+), from 2'-phospho-cADPR and nicotinic acid, as well as from NADP(+) and nicotinic acid. At both pH 5.0 and pH 7.4 preferentially transforms 2'-phospho-cADPR into NAADP(+), while preferentially cleaving NADP(+) to cADPR and ADPRP rather than into NADDP(+) (PubMed : 16690024). Has cADPR hydrolase activity (PubMed : 7961800, PubMed : 8253715).
See full target information CD38

Product promise

We are committed to supporting your work with high-quality reagents, and we're here for you every step of the way. In the unlikely event that one of our products does not perform as expected, you're protected by our Product Promise.
For full details, please see our Terms & Conditions

Please note: All products are 'FOR RESEARCH USE ONLY. NOT FOR USE IN DIAGNOSTIC OR THERAPEUTIC PROCEDURES'.

For licensing inquiries, please contact partnerships@abcam.com