JavaScript is disabled in your browser. Please enable JavaScript to view this website.
AB183326

Anti-CD38 antibody [SP149] - C-terminal

  • BOND RX™ Validated
  • 20ul selling size
  • RabMAb
  • Recombinant
  • What is this?

3

(3 Reviews)

|

(4 Publications)

Anti-CD38 antibody [SP149] - C-terminal (ab183326) is a rabbit monoclonal antibody detecting CD38 in Flow Cytometry, IHC-P. Suitable for Human.

- Biophysical QC for unrivalled batch-batch consistency

View Alternative Names

CD38, ADP-ribosyl cyclase/cyclic ADP-ribose hydrolase 1, 2'-phospho-ADP-ribosyl cyclase, 2'-phospho-ADP-ribosyl cyclase/2'-phospho-cyclic-ADP-ribose transferase, 2'-phospho-cyclic-ADP-ribose transferase, ADP-ribosyl cyclase 1, Cyclic ADP-ribose hydrolase 1, T10, ADPRC 1, cADPR hydrolase 1

17 Images
Flow Cytometry - Anti-CD38 antibody [SP149] - C-terminal (AB183326)
  • Flow Cyt

Supplier Data

Flow Cytometry - Anti-CD38 antibody [SP149] - C-terminal (AB183326)

Flow cytometric analysis of rabbit anti-CD38 C terminal (SP149) ab183326 (1/100) antibody in HeLa cells (green) compared to negative control of rabbit IgG (blue).

Immunohistochemistry (Formalin/PFA-fixed paraffin-embedded sections) - Anti-CD38 antibody [SP149] - C-terminal (AB183326)
  • IHC-P

Unknown

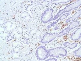
Immunohistochemistry (Formalin/PFA-fixed paraffin-embedded sections) - Anti-CD38 antibody [SP149] - C-terminal (AB183326)

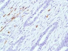
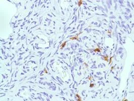
Immunohistochemistry (Formalin/PFA-fixed paraffin-embedded sections) analysis of Human colon tissue sections labeling CD38 with ab183326 at 1/100 dilution. Heat mediated antigen retrieval with sodium citrate buffer (pH 6.0, epitope retrieval solution 1) for 10mins. Rabbit specific IHC polymer detection kit HRP/DAB (ab209101) was used as the secondary antibody. Hematoxylin was used as a counterstain. Positive staining on stromal cells in human colon, performed on a Leica Biosystems BOND™ RX instrument.
The section was incubated with ab183326 for 10 mins at room temperature.

Immunohistochemistry (Formalin/PFA-fixed paraffin-embedded sections) - Anti-CD38 antibody [SP149] - C-terminal (AB183326)
  • IHC-P

Supplier Data

Immunohistochemistry (Formalin/PFA-fixed paraffin-embedded sections) - Anti-CD38 antibody [SP149] - C-terminal (AB183326)

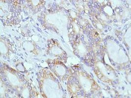
Immunohistochemical analysis of paraffin embedded Human prostate tissue labeling CD38 with ab183326 at 1/100.

Immunohistochemistry (Formalin/PFA-fixed paraffin-embedded sections) - Anti-CD38 antibody [SP149] - C-terminal (AB183326)
  • IHC-P

Supplier Data

Immunohistochemistry (Formalin/PFA-fixed paraffin-embedded sections) - Anti-CD38 antibody [SP149] - C-terminal (AB183326)

Immunohistochemical analysis of paraffin embedded Human spleen tissue labeling CD38 with ab183326 at 1/100.

Immunohistochemistry (Formalin/PFA-fixed paraffin-embedded sections) - Anti-CD38 antibody [SP149] - C-terminal (AB183326)
  • IHC-P

Supplier Data

Immunohistochemistry (Formalin/PFA-fixed paraffin-embedded sections) - Anti-CD38 antibody [SP149] - C-terminal (AB183326)

Immunohistochemical analysis of paraffin embedded Human stomach tissue labeling CD38 with ab183326 at 1/100.

Immunohistochemistry (Formalin/PFA-fixed paraffin-embedded sections) - Anti-CD38 antibody [SP149] - C-terminal (AB183326)
  • IHC-P

Unknown

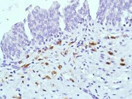
Immunohistochemistry (Formalin/PFA-fixed paraffin-embedded sections) - Anti-CD38 antibody [SP149] - C-terminal (AB183326)

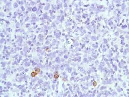
Immunohistochemistry (Formalin/PFA-fixed paraffin-embedded sections) analysis of Human tonsil tissue sections labeling CD38 with ab183326 at 1/100 dilution. Heat mediated antigen retrieval with sodium citrate buffer (pH 6.0, epitope retrieval solution 1) for 10mins. Rabbit specific IHC polymer detection kit HRP/DAB (ab209101) was used as the secondary antibody. Hematoxylin was used as a counterstain. Membranous staining on sporadic cells in human tonsil, performed on a Leica Biosystems BOND™ RX instrument.
The section was incubated with ab183326 for 10 mins at room temperature.

Immunohistochemistry (Formalin/PFA-fixed paraffin-embedded sections) - Anti-CD38 antibody [SP149] - C-terminal (AB183326)
  • IHC-P

Supplier Data

Immunohistochemistry (Formalin/PFA-fixed paraffin-embedded sections) - Anti-CD38 antibody [SP149] - C-terminal (AB183326)

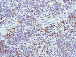
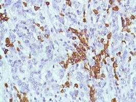
Immunohistochemical analysis of paraffin embedded Human HK Lymphoma tissue labeling CD38 with ab183326 at 1/100

Immunohistochemistry (Formalin/PFA-fixed paraffin-embedded sections) - Anti-CD38 antibody [SP149] - C-terminal (AB183326)
  • IHC-P

Supplier Data

Immunohistochemistry (Formalin/PFA-fixed paraffin-embedded sections) - Anti-CD38 antibody [SP149] - C-terminal (AB183326)

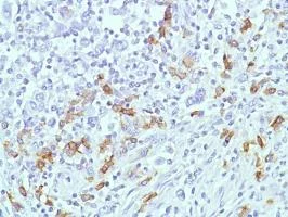
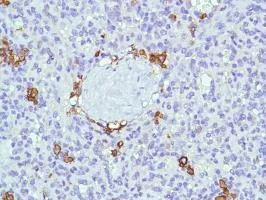
Immunohistochemical analysis of paraffin embedded Human B cell lymphoma tissue labeling CD38 with ab183326 at 1/100.

Immunohistochemistry (Formalin/PFA-fixed paraffin-embedded sections) - Anti-CD38 antibody [SP149] - C-terminal (AB183326)
  • IHC-P

Supplier Data

Immunohistochemistry (Formalin/PFA-fixed paraffin-embedded sections) - Anti-CD38 antibody [SP149] - C-terminal (AB183326)

Immunohistochemical analysis of paraffin embedded Human Stomach Adenocarcinoma tissue labeling CD38 with ab183326 at 1/100.

Immunohistochemistry (Formalin/PFA-fixed paraffin-embedded sections) - Anti-CD38 antibody [SP149] - C-terminal (AB183326)
  • IHC-P

Supplier Data

Immunohistochemistry (Formalin/PFA-fixed paraffin-embedded sections) - Anti-CD38 antibody [SP149] - C-terminal (AB183326)

Immunohistochemical analysis of paraffin embedded Human ovary tissue labeling CD38 with ab183326 at 1/100.

Immunohistochemistry (Formalin/PFA-fixed paraffin-embedded sections) - Anti-CD38 antibody [SP149] - C-terminal (AB183326)
  • IHC-P

Supplier Data

Immunohistochemistry (Formalin/PFA-fixed paraffin-embedded sections) - Anti-CD38 antibody [SP149] - C-terminal (AB183326)

Immunohistochemical analysis of paraffin embedded Human Colon Adenocarcinoma tissue labeling CD38 with ab183326 at 1/100.

Immunohistochemistry (Formalin/PFA-fixed paraffin-embedded sections) - Anti-CD38 antibody [SP149] - C-terminal (AB183326)
  • IHC-P

Supplier Data

Immunohistochemistry (Formalin/PFA-fixed paraffin-embedded sections) - Anti-CD38 antibody [SP149] - C-terminal (AB183326)

Immunohistochemical analysis of paraffin embedded Human prostate adenocarcinoma tissue labeling CD38 with ab183326 at 1/100.

Immunohistochemistry (Formalin/PFA-fixed paraffin-embedded sections) - Anti-CD38 antibody [SP149] - C-terminal (AB183326)
  • IHC-P

Supplier Data

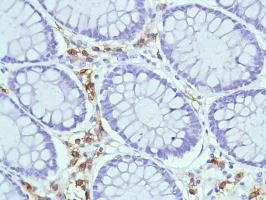
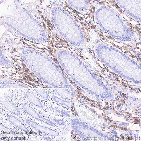
Immunohistochemistry (Formalin/PFA-fixed paraffin-embedded sections) - Anti-CD38 antibody [SP149] - C-terminal (AB183326)

Immunohistochemical analysis of paraffin embedded Human colon tissue labeling CD38 with ab183326 at 1/100.

Immunohistochemistry (Formalin/PFA-fixed paraffin-embedded sections) - Anti-CD38 antibody [SP149] - C-terminal (AB183326)
  • IHC-P

Supplier Data

Immunohistochemistry (Formalin/PFA-fixed paraffin-embedded sections) - Anti-CD38 antibody [SP149] - C-terminal (AB183326)

Immunohistochemical analysis of paraffin embedded Human bladder tissue labeling CD38 with ab183326 at 1/100.

Immunohistochemistry (Formalin/PFA-fixed paraffin-embedded sections) - Anti-CD38 antibody [SP149] - C-terminal (AB183326)
  • IHC-P

Supplier Data

Immunohistochemistry (Formalin/PFA-fixed paraffin-embedded sections) - Anti-CD38 antibody [SP149] - C-terminal (AB183326)

Immunohistochemical analysis of paraffin embedded Human tonsil tissue labeling CD38 with ab183326 at 1/100.

Immunohistochemistry (Formalin/PFA-fixed paraffin-embedded sections) - Anti-CD38 antibody [SP149] - C-terminal (AB183326)
  • IHC-P

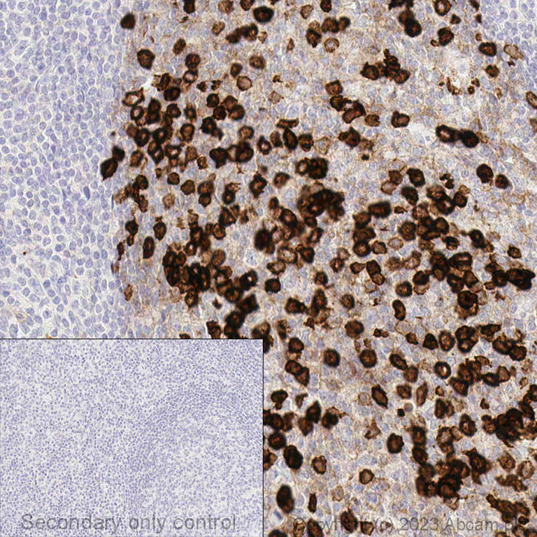
Lab

Immunohistochemistry (Formalin/PFA-fixed paraffin-embedded sections) - Anti-CD38 antibody [SP149] - C-terminal (AB183326)

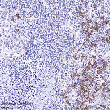
Immunohistochemical analysis of formalin-fixed paraffin-embedded human tonsil labelling CD38 with ab236232 at a concentration of 0.5µg/ml. The immunostaining was performed on a Ventana DISCOVERY ULTRA (Roche Tissue Diagnostics) instrument with an OptiView DAB IHC Detection Kit. Heat mediated antigen retrieval was conducted for 32min with ULTRA cell conditioning solution (CC1 pH8.5). ab236232 anti C38 antibody was incubated at 37°C for 16min. Sections were counterstained is with Hematoxylin II. Image inset shows absence of staining in secondary antibody only control.

This data was developed using the same antibody clone in a different buffer formulation (ab236232).

Immunohistochemistry (Formalin/PFA-fixed paraffin-embedded sections) - Anti-CD38 antibody [SP149] - C-terminal (AB183326)
  • IHC-P

Supplier Data

Immunohistochemistry (Formalin/PFA-fixed paraffin-embedded sections) - Anti-CD38 antibody [SP149] - C-terminal (AB183326)

Immunohistochemical analysis of paraffin embedded Human thymus tissue labeling CD38 with ab183326 at 1/100.

  • Carrier free

    Anti-CD38 antibody [SP149] - BSA and Azide free

  • 578 PE

    PE Anti-CD38 antibody [SP149] (C-terminal)

  • 660 APC

    APC Anti-CD38 antibody [SP149] (C-terminal)

  • HRP

    HRP Anti-CD38 antibody [SP149] (C-terminal)

  • Alkaline Phosphatase

    Alkaline Phosphatase Anti-CD38 antibody [SP149] - C-terminal

  • 519 Alexa Fluor® 488

    Alexa Fluor® 488 Anti-CD38 antibody [SP149] - C-terminal

  • 617 Alexa Fluor® 594

    Alexa Fluor® 594 Anti-CD38 antibody [SP149] - C-terminal

  • 603 Alexa Fluor® 568

    Alexa Fluor® 568 Anti-CD38 antibody [SP149] - C-terminal

  • 565 Alexa Fluor® 555

    Alexa Fluor® 555 Anti-CD38 antibody [SP149] - C-terminal

  • 665 Alexa Fluor® 647

    Alexa Fluor® 647 Anti-CD38 antibody [SP149] - C-terminal

  • 775 Alexa Fluor® 750

    Alexa Fluor® 750 Anti-CD38 antibody [SP149] - C-terminal

Key facts

Host species

Rabbit

Clonality

Monoclonal

Clone number

SP149

Isotype

IgG

Carrier free

No

Reacts with

Human

Applications

IHC-P, Flow Cyt

applications

Immunogen

The exact immunogen used to generate this antibody is proprietary information.

Reactivity data

{ "title": "Reactivity Data", "filters": { "stats": ["", "Species", "Dilution Info", "Notes"], "tabs": { "all-applications": {"fullname" : "All Applications", "shortname": "All Applications"}, "IHCP" : {"fullname" : "Immunohistochemistry (Formalin/PFA-fixed paraffin-embedded sections)", "shortname":"IHC-P"}, "FlowCyt" : {"fullname" : "Flow Cytometry", "shortname":"Flow Cyt"} }, "product-promise": { "all": "all", "testedAndGuaranteed": "tested", "guaranteed": "expected", "predicted": "predicted", "notRecommended": "not-recommended" } }, "values": { "Human": { "IHCP-species-checked": "testedAndGuaranteed", "IHCP-species-dilution-info": "1/100", "IHCP-species-notes": "<p></p> Perform heat-mediated antigen retrieval with citrate buffer pH 6 before commencing with IHC staining protocol.", "FlowCyt-species-checked": "testedAndGuaranteed", "FlowCyt-species-dilution-info": "", "FlowCyt-species-notes": "<p><a href='/en-us/products/primary-antibodies/rabbit-igg-monoclonal-epr25a-isotype-control-ab172730'>ab172730</a> - Rabbit monoclonal IgG, is suitable for use as an isotype control with this antibody.</p>" }, "Rhesus monkey": { "IHCP-species-checked": "predicted", "IHCP-species-dilution-info": "", "IHCP-species-notes": "", "FlowCyt-species-checked": "predicted", "FlowCyt-species-dilution-info": "", "FlowCyt-species-notes": "" } } }

Product details

What is this antibody validated in?
Anti-CD38 antibody [SP149] - C-terminal (ab183326) is a rabbit recombinant monoclonal antibody and is validated for use in Flow Cytometry (Flow Cyt), Immunohistochemistry (IHC-P) in Human samples.

Collaboration
Anti-CD38 [SP149] - C-terminal (ab183326) is a clone from the portfolio of Spring Bioscience (Roche) SP clones which have been optimised for immunohistochemistry (IHC).

Trial sizes available!
Test your antibody or perform pre-screening before committing to a larger quantity. Sold in 20µl. Discover our selection of trial-size antibodies.

Other related products
We have a range of other formats of antibody clone [SP149] also available for your convenience: ab183326, Carrier free - ab236232, ab279486, PE - ab306156, APC - ab306157, HRP - ab306158, Alkaline Phosphatase - ab308991, Alexa Fluor® 488 - ab309934, Alexa Fluor® 647 - ab310301, Alexa Fluor® 594 - ab310764, Alexa Fluor® 555 - ab312291, Alexa Fluor® 568 - ab312786, Alexa Fluor® 750 - ab321269

Properties and storage information

Form
Liquid
Purity
Tissue culture supernatant
Purification technique
Affinity purification Protein A/G
Purification notes
Purified from TCS by protein A/G.
Storage buffer
pH: 7.6 Preservative: 0.1% Sodium azide Constituents: Tissue culture supernatant, Tris buffered saline, 1% BSA
Shipped at conditions
Blue Ice
Appropriate short-term storage duration
1-2 weeks
Appropriate short-term storage conditions
+4°C
Appropriate long-term storage conditions
-20°C
Aliquoting information
Upon delivery aliquot
Storage information
Avoid freeze / thaw cycle

Product protocols

For this product, it's our understanding that no specific protocols are required. You can visit:

Target data

Synthesizes cyclic ADP-ribose (cADPR), a second messenger for glucose-induced insulin secretion (PubMed : 7961800, PubMed : 8253715). Synthesizes the Ca(2+) mobilizer nicotinate-adenine dinucleotide phosphate, NAADP(+), from 2'-phospho-cADPR and nicotinic acid, as well as from NADP(+) and nicotinic acid. At both pH 5.0 and pH 7.4 preferentially transforms 2'-phospho-cADPR into NAADP(+), while preferentially cleaving NADP(+) to cADPR and ADPRP rather than into NADDP(+) (PubMed : 16690024). Has cADPR hydrolase activity (PubMed : 7961800, PubMed : 8253715).
See full target information CD38

Publications (4)

Recent publications for all applications. Explore the full list and refine your search

Nature communications 15:5423 PubMed38926338

2024

MRE11 and TREX1 control senescence by coordinating replication stress and interferon signaling.

Applications

Unspecified application

Species

Unspecified reactive species

Hervé Técher,Diyavarshini Gopaul,Jonathan Heuzé,Nail Bouzalmad,Baptiste Leray,Audrey Vernet,Clément Mettling,Jérôme Moreaux,Philippe Pasero,Yea-Lih Lin

HemaSphere 8:e32 PubMed38434534

2024

CDK6 protein expression is associated with disease progression and treatment resistance in multiple myeloma.

Applications

Unspecified application

Species

Unspecified reactive species

Johannes Steinhart,Peter Möller,Miriam Kull,Jan Krönke,Thomas F E Barth

European journal of nuclear medicine and molecular imaging 48:2749-2760 PubMed33543326

2021

ImmunoPET imaging of multiple myeloma with [Ga]Ga-NOTA-Nb1053.

Applications

Unspecified application

Species

Unspecified reactive species

Cheng Wang,Yumei Chen,Yun Nan Hou,Qiufang Liu,Di Zhang,Haitao Zhao,You Zhang,Shuxian An,Lianghua Li,Jian Hou,Gang Huang,Jianjun Liu,Yong Juan Zhao,Weijun Wei

AIDS (London, England) 33:2125-2136 PubMed31335802

2019

Pre-exposure prophylaxis differentially alters circulating and mucosal immune cell activation in herpes simplex virus type 2 seropositive women.

Applications

Unspecified application

Species

Unspecified reactive species

Laura E Richert-Spuhler,Laura Pattacini,Margot Plews,Elizabeth Irungu,Timothy R Muwonge,Elly Katabira,Nelly Mugo,Adrienne F A Meyers,Connie Celum,Jared M Baeten,Jairam R Lingappa,Jennifer M Lund
View all publications

Product promise

We are committed to supporting your work with high-quality reagents, and we're here for you every step of the way. In the unlikely event that one of our products does not perform as expected, you're protected by our Product Promise.
For full details, please see our Terms & Conditions

Please note: All products are 'FOR RESEARCH USE ONLY. NOT FOR USE IN DIAGNOSTIC OR THERAPEUTIC PROCEDURES'.

For licensing inquiries, please contact partnerships@abcam.com