JavaScript is disabled in your browser. Please enable JavaScript to view this website.
AB231983

Anti-CD39 antibody

Be the first to review this product! Submit a review

|

(1 Publication)

Rabbit Polyclonal CD39 antibody. Suitable for WB, IHC-P and reacts with Pig, Human samples. Cited in 1 publication. Immunogen corresponding to Recombinant Fragment Protein within Human ENTPD1 aa 200-500.

View Alternative Names

CD39, ENTPD1, Ectonucleoside triphosphate diphosphohydrolase 1, ATP diphosphohydrolase, Ecto-ATP diphosphohydrolase 1, Ecto-apyrase, Lymphoid cell activation antigen, Nucleoside triphosphate diphosphohydrolase 1, ATP-DPH, ATPDase, Ecto-ATPDase 1, Ecto-ATPase 1, NTPDase1

4 Images
Immunohistochemistry (Formalin/PFA-fixed paraffin-embedded sections) - Anti-CD39 antibody (AB231983)
  • IHC-P

Supplier Data

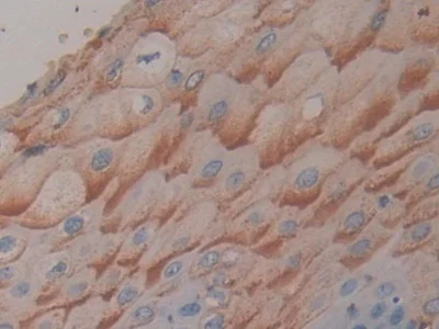
Immunohistochemistry (Formalin/PFA-fixed paraffin-embedded sections) - Anti-CD39 antibody (AB231983)

Formalin-fixed, paraffin-embedded human stomach cancer tissue stained for CD39 using ab231983 at 10 μg/ml in immunohistochemical analysis. DAB staining.

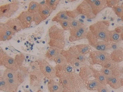
Immunohistochemistry (Formalin/PFA-fixed paraffin-embedded sections) - Anti-CD39 antibody (AB231983)
  • IHC-P

Supplier Data

Immunohistochemistry (Formalin/PFA-fixed paraffin-embedded sections) - Anti-CD39 antibody (AB231983)

Formalin-fixed, paraffin-embedded human liver tissue stained for CD39 using ab231983 at 10 μg/ml in immunohistochemical analysis. DAB staining.

Western blot - Anti-CD39 antibody (AB231983)
  • WB

Supplier Data

Western blot - Anti-CD39 antibody (AB231983)

All lanes:

Western blot - Anti-CD39 antibody (ab231983) at 5 µg/mL

All lanes:

Pig liver tissue lysate

Predicted band size: 58 kDa

true

Western blot - Anti-CD39 antibody (AB231983)
  • WB

Supplier Data

Western blot - Anti-CD39 antibody (AB231983)

All lanes:

Western blot - Anti-CD39 antibody (ab231983) at 2 µg/mL

All lanes:

Recombinant human CD39 protein

Predicted band size: 58 kDa

true

Key facts

Host species

Rabbit

Clonality

Polyclonal

Isotype

IgG

Carrier free

No

Reacts with

Human, Pig

Applications

WB, IHC-P

applications

Immunogen

Recombinant Fragment Protein within Human ENTPD1 aa 200-500. The exact immunogen used to generate this antibody is proprietary information.

P49961

Reactivity data

{ "title": "Reactivity Data", "filters": { "stats": ["", "Species", "Dilution Info", "Notes"], "tabs": { "all-applications": {"fullname" : "All Applications", "shortname": "All Applications"}, "WB" : {"fullname" : "Western blot", "shortname":"WB"}, "IHCP" : {"fullname" : "Immunohistochemistry (Formalin/PFA-fixed paraffin-embedded sections)", "shortname":"IHC-P"} }, "product-promise": { "all": "all", "testedAndGuaranteed": "tested", "guaranteed": "expected", "predicted": "predicted", "notRecommended": "not-recommended" } }, "values": { "Human": { "WB-species-checked": "testedAndGuaranteed", "WB-species-dilution-info": "0.2-2 µg/mL", "WB-species-notes": "<p></p>", "IHCP-species-checked": "testedAndGuaranteed", "IHCP-species-dilution-info": "5-20 µg/mL", "IHCP-species-notes": "<p></p>" }, "Pig": { "WB-species-checked": "testedAndGuaranteed", "WB-species-dilution-info": "0.2-2 µg/mL", "WB-species-notes": "<p></p>", "IHCP-species-checked": "guaranteed", "IHCP-species-dilution-info": "", "IHCP-species-notes": "" } } }

Properties and storage information

Form
Liquid
Purification technique
Affinity purification Immunogen
Purification notes
Antigen-specific affinity chromatography followed by Protein A affinity chromatography.
Storage buffer
pH: 7.4 Preservative: 0.02% Sodium azide Constituents: PBS, 55.77% Glycerol (glycerin, glycerine)
Shipped at conditions
Blue Ice
Appropriate short-term storage duration
1-2 weeks
Appropriate short-term storage conditions
+4°C
Appropriate long-term storage conditions
-20°C
Aliquoting information
Upon delivery aliquot
Storage information
Avoid freeze / thaw cycle

Product protocols

For this product, it's our understanding that no specific protocols are required. You can visit:

Target data

Catalyzes the hydrolysis of both di- and triphosphate nucleotides (NDPs and NTPs) and hydrolyze NTPs to nucleotide monophosphates (NMPs) in two distinct successive phosphate-releasing steps, with NDPs as intermediates and participates in the regulation of extracellular levels of nucleotides (Probable) (PubMed : 8529670, PubMed : 8626624, PubMed : 8955160, PubMed : 8996251). By hydrolyzing proinflammatory ATP and platelet-activating ADP to AMP, it blocks platelet aggregation and supports blood flow (PubMed : 8955160, PubMed : 8996251).
See full target information ENTPD1

Publications (1)

Recent publications for all applications. Explore the full list and refine your search

Nature communications 16:5996 PubMed40595596

2025

The loss of OPA1 accelerates intervertebral disc degeneration and osteoarthritis in aged mice.

Applications

Unspecified application

Species

Unspecified reactive species

Vedavathi Madhu,Miriam Hernandaz-Meadows,Ashley Coleman,Kimheak Sao,Kameron Inguito,Owen Haslam,Paige K Boneski,Hiromi Sesaki,Ruteja A Barve,John A Collins,Makarand V Risbud
View all publications

Product promise

We are committed to supporting your work with high-quality reagents, and we're here for you every step of the way. In the unlikely event that one of our products does not perform as expected, you're protected by our Product Promise.
For full details, please see our Terms & Conditions

Please note: All products are 'FOR RESEARCH USE ONLY. NOT FOR USE IN DIAGNOSTIC OR THERAPEUTIC PROCEDURES'.

For licensing inquiries, please contact partnerships@abcam.com