JavaScript is disabled in your browser. Please enable JavaScript to view this website.
AB97552

Anti-CD39 antibody [AC2]

Be the first to review this product! Submit a review

|

(3 Publications)

Mouse Recombinant Monoclonal CD39 antibody. Suitable for Flow Cyt, ICC/IF, IHC-Fr and reacts with Human samples. Cited in 3 publications.

View Alternative Names

CD39, ENTPD1, Ectonucleoside triphosphate diphosphohydrolase 1, ATP diphosphohydrolase, Ecto-ATP diphosphohydrolase 1, Ecto-apyrase, Lymphoid cell activation antigen, Nucleoside triphosphate diphosphohydrolase 1, ATP-DPH, ATPDase, Ecto-ATPDase 1, Ecto-ATPase 1, NTPDase1

5 Images
Flow Cytometry - Anti-CD39 antibody [AC2] (AB97552)
  • Flow Cyt

Lab

Flow Cytometry - Anti-CD39 antibody [AC2] (AB97552)

Flow cytometry staining of human whole blood with ab97552 (right) or mouse IgG1κ (ab170190) isotype (left). Red blood cells of 200 μl blood were lysed, then cells were incubated for 30 min on ice in 1x PBS containing 10μg/ml human IgG and 10% normal goat serum to block FC receptors and non-specific protein-protein interaction followed by the antibody (ab97552) or mouse IgG1κ (ab170190) isotype (1x106 in 100 μl at 0.2 μg/ml) for 30 min on ice.

The secondary antibody Goat anti-mouse IgG H&L (Alexa Fluor® 488, pre-adsorbed) (ab150117) was used at 1/2000 dilution for 30 min on ice.

The cells were simultaneously stained with CD19 APC.

Acquisition of >30000 events were collected using a 50 mW Blue laser (488nm) and 525/40 bandpass filter. Events were gated on alive cells.

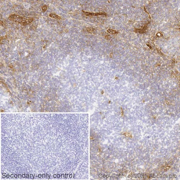
Immunohistochemistry (Frozen sections) - Anti-CD39 antibody [AC2] (AB97552)
  • IHC-Fr

Lab

Immunohistochemistry (Frozen sections) - Anti-CD39 antibody [AC2] (AB97552)

IHC image of CD39 staining in a section of frozen normal human tonsil* performed on a Leica BOND™ system using the standard protocol. The section was fixed in 10% paraformaldehyde (10 min) prior to staining. The section was incubated with ab97552, 1μg/ml for 15 mins at room temperature and detected using an HRP conjugated compact polymer system. DAB was used as the chromogen. The section was then counterstained with haematoxylin and mounted with DPX. The inset secondary-only control image is taken from an identical assay without primary antibody.
For other IHC staining systems (automated and non-automated) customers should optimize variable parameters such as antigen retrieval conditions, primary antibody concentration and antibody incubation times.
*Tissue obtained from the Human Research Tissue Bank, supported by the NIHR Cambridge Biomedical Research Centre

Immunohistochemistry (Frozen sections) - Anti-CD39 antibody [AC2] (AB97552)
  • IHC-Fr

Lab

Immunohistochemistry (Frozen sections) - Anti-CD39 antibody [AC2] (AB97552)

IHC image of CD39 staining in a section of frozen normal human pancreas* performed on a Leica BOND™ system using the standard protocol. The section was fixed in 10% paraformaldehyde (10 min) prior to staining. The section was incubated with ab97552, 1μg/ml for 15 mins at room temperature and detected using an HRP conjugated compact polymer system. DAB was used as the chromogen. The section was then counterstained with haematoxylin and mounted with DPX. The inset secondary-only control image is taken from an identical assay without primary antibody.
For other IHC staining systems (automated and non-automated) customers should optimize variable parameters such as antigen retrieval conditions, primary antibody concentration and antibody incubation times.
*Tissue obtained from the Human Research Tissue Bank, supported by the NIHR Cambridge Biomedical Research Centre

Immunohistochemistry (Frozen sections) - Anti-CD39 antibody [AC2] (AB97552)
  • IHC-Fr

Lab

Immunohistochemistry (Frozen sections) - Anti-CD39 antibody [AC2] (AB97552)

IHC image of CD39 staining in a section of frozen normal human placenta* performed on a Leica BOND™ system using the standard protocol. The section was fixed in 10% paraformaldehyde (10 min) prior to staining. The section was incubated with ab97552, 1μg/ml for 15 mins at room temperature and detected using an HRP conjugated compact polymer system. DAB was used as the chromogen. The section was then counterstained with haematoxylin and mounted with DPX. The inset secondary-only control image is taken from an identical assay without primary antibody.
For other IHC staining systems (automated and non-automated) customers should optimize variable parameters such as antigen retrieval conditions, primary antibody concentration and antibody incubation times.
*Tissue obtained from the Human Research Tissue Bank, supported by the NIHR Cambridge Biomedical Research Centre

Immunocytochemistry/ Immunofluorescence - Anti-CD39 antibody [AC2] (AB97552)
  • ICC/IF

Lab

Immunocytochemistry/ Immunofluorescence - Anti-CD39 antibody [AC2] (AB97552)

ab97552 staining CD39 in human peripheral blood mononuclear cells. The cells were fixed with 4% paraformaldehyde (10 min),
permeabilized with 0.1% PBS-Tween for 5 minutes and then blocked with 1% BSA/10% normal goat serum/0.3M glycine in
0.1% PBS-Tween for 1h. The cells were then incubated overnight at 4°C with ab97552 at 1μg/ml and ab6046, Rabbit polyclonal to beta Tubulin - Loading Control. Cells were then incubated with ab150117, Goat polyclonal Secondary Antibody to Mouse IgG H&L (Alexa Fluor® 488) preadsorbed at 1/1000 dilution (shown in green) and ab150080, Goat polyclonal Secondary Antibody to Rabbit IgG - H&L (Alexa Fluor® 594) at 1/1000 dilution (shown in pseudocolour red). Nuclear DNA was labelled with DAPI (shown in blue).

Image was acquired with a confocal microscope (LeicaMicrosystems TCS SP8) and a single confocal section is shown.

  • Carrier free

    Anti-CD39 antibody [AC2] - BSA and Azide free

Key facts

Host species

Mouse

Clonality

Monoclonal

Clone number

AC2

Isotype

IgG1

Carrier free

No

Reacts with

Human

Applications

IHC-Fr, Flow Cyt, ICC/IF

applications

Reactivity data

{ "title": "Reactivity Data", "filters": { "stats": ["", "Species", "Dilution Info", "Notes"], "tabs": { "all-applications": {"fullname" : "All Applications", "shortname": "All Applications"}, "FlowCyt" : {"fullname" : "Flow Cytometry", "shortname":"Flow Cyt"}, "ICCIF" : {"fullname" : "Immunocytochemistry/ Immunofluorescence", "shortname":"ICC/IF"}, "IHCFr" : {"fullname" : "Immunohistochemistry (Frozen sections)", "shortname":"IHC-Fr"} }, "product-promise": { "all": "all", "testedAndGuaranteed": "tested", "guaranteed": "expected", "predicted": "predicted", "notRecommended": "not-recommended" } }, "values": { "Human": { "FlowCyt-species-checked": "testedAndGuaranteed", "FlowCyt-species-dilution-info": "0.2 µg/mL", "FlowCyt-species-notes": "<p><a href='/en-us/products/primary-antibodies/mouse-igg1-kappa-monoclonal-15-6e10a7-isotype-control-ab170190'>ab170190</a> - Mouse monoclonal IgG1, is suitable for use as an isotype control with this antibody.</p>", "ICCIF-species-checked": "testedAndGuaranteed", "ICCIF-species-dilution-info": "1 µg/mL", "ICCIF-species-notes": "<p></p>", "IHCFr-species-checked": "testedAndGuaranteed", "IHCFr-species-dilution-info": "2.5 µg/mL", "IHCFr-species-notes": "<p></p>" } } }

Product details

This product was switched from a hybridoma to a recombinant production format on 27th October 2021.

What are the advantages of a recombinant monoclonal antibody?
This product is a recombinant monoclonal antibody, which offers several advantages including:

  • - High batch-to-batch consistency and reproducibility
  • - Improved sensitivity and specificity
  • - Long-term security of supply
  • - Animal-free batch production

For more information, read more on recombinant antibodies.

Properties and storage information

Form
Liquid
Purification technique
Affinity purification Protein A
Storage buffer
Preservative: 0.01% Sodium azide Constituents: PBS, 40% Glycerol (glycerin, glycerine), 0.05% BSA
Shipped at conditions
Blue Ice
Appropriate short-term storage duration
1-2 weeks
Appropriate short-term storage conditions
+4°C
Appropriate long-term storage conditions
-20°C
Aliquoting information
Upon delivery aliquot
Storage information
Avoid freeze / thaw cycle

Product protocols

For this product, it's our understanding that no specific protocols are required. You can visit:

Target data

Catalyzes the hydrolysis of both di- and triphosphate nucleotides (NDPs and NTPs) and hydrolyze NTPs to nucleotide monophosphates (NMPs) in two distinct successive phosphate-releasing steps, with NDPs as intermediates and participates in the regulation of extracellular levels of nucleotides (Probable) (PubMed : 8529670, PubMed : 8626624, PubMed : 8955160, PubMed : 8996251). By hydrolyzing proinflammatory ATP and platelet-activating ADP to AMP, it blocks platelet aggregation and supports blood flow (PubMed : 8955160, PubMed : 8996251).
See full target information ENTPD1

Publications (3)

Recent publications for all applications. Explore the full list and refine your search

Cell 179:1160-1176.e24 PubMed31730855

2019

Mucosal Profiling of Pediatric-Onset Colitis and IBD Reveals Common Pathogenics and Therapeutic Pathways.

Applications

Unspecified application

Species

Unspecified reactive species

Bing Huang,Zhanghua Chen,Lanlan Geng,Jun Wang,Huiying Liang,Yujie Cao,Huan Chen,Wanming Huang,Meiling Su,Hanqing Wang,Yanhui Xu,Yukun Liu,Bingtai Lu,Huifang Xian,Huiwen Li,Huilin Li,Lu Ren,Jing Xie,Liping Ye,Hongli Wang,Junhong Zhao,Peiyu Chen,Li Zhang,Shanmeizi Zhao,Ting Zhang,Banglao Xu,Di Che,Wenyue Si,Xiaoqiong Gu,Liang Zeng,Yong Wang,Dingyou Li,Yifan Zhan,David Delfouneso,Andrew M Lew,Jun Cui,Wai Ho Tang,Yan Zhang,Sitang Gong,Fan Bai,Min Yang,Yuxia Zhang

Journal of cellular biochemistry 120:17912-17925 PubMed31135072

2019

Simultaneous interference of SP1 and HIF1α retarding the proliferation, migration, and invasion of human microvascular endothelial cells (HMEC-1) under hypoxia.

Applications

Unspecified application

Species

Unspecified reactive species

Liqianyu Ai,Sen Lin,Chanjuan Huang,Ling Gao,Jiaxing Zhou,Chunlin Chen,Jian Ye

International journal of cancer 29:373-81 PubMed6282762

1982

Monoclonal antibodies to Epstein-Barr virus-induced, transformation-associated cell surface antigens: binding patterns and effect upon virus-specific T-cell cytotoxicity.

Applications

Unspecified application

Species

Unspecified reactive species

M Rowe,J E Hildreth,A B Rickinson,M A Epstein
View all publications

Product promise

We are committed to supporting your work with high-quality reagents, and we're here for you every step of the way. In the unlikely event that one of our products does not perform as expected, you're protected by our Product Promise.
For full details, please see our Terms & Conditions

Please note: All products are 'FOR RESEARCH USE ONLY. NOT FOR USE IN DIAGNOSTIC OR THERAPEUTIC PROCEDURES'.

For licensing inquiries, please contact partnerships@abcam.com