JavaScript is disabled in your browser. Please enable JavaScript to view this website.
AB223843

Anti-CD39 antibody [EPR20461]

Be the first to review this product! Submit a review

|

(6 Publications)

Rabbit Recombinant Monoclonal CD39 antibody. Suitable for WB, IHC-P and reacts with Human samples. Cited in 6 publications.

View Alternative Names

CD39, ENTPD1, Ectonucleoside triphosphate diphosphohydrolase 1, ATP diphosphohydrolase, Ecto-ATP diphosphohydrolase 1, Ecto-apyrase, Lymphoid cell activation antigen, Nucleoside triphosphate diphosphohydrolase 1, ATP-DPH, ATPDase, Ecto-ATPDase 1, Ecto-ATPase 1, NTPDase1

4 Images
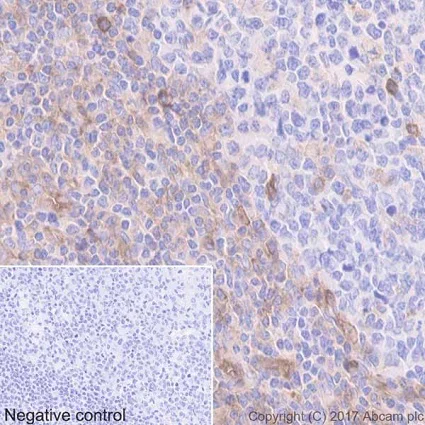
Immunohistochemistry (Formalin/PFA-fixed paraffin-embedded sections) - Anti-CD39 antibody [EPR20461] (AB223843)
  • IHC-P

Supplier Data

Immunohistochemistry (Formalin/PFA-fixed paraffin-embedded sections) - Anti-CD39 antibody [EPR20461] (AB223843)

Immunohistochemical analysis of paraffin-embedded human colon carcinoma tissue labeling CD39 with ab223843 at 1/500 dilution, followed by Goat Anti-Rabbit IgG H&L (HRP) Ready to use. Positive staining on stromal cells of human colon carcinoma (PMID : 25403716). Counter stained with hematoxylin.

Secondary antibody only control : Used PBS instead of primary antibody, secondary antibody is Goat Anti-Rabbit IgG H&L (HRP) Ready to use.

Perform heat mediated antigen retrieval with Tris/EDTA buffer pH 9.0 before commencing with IHC staining protocol.

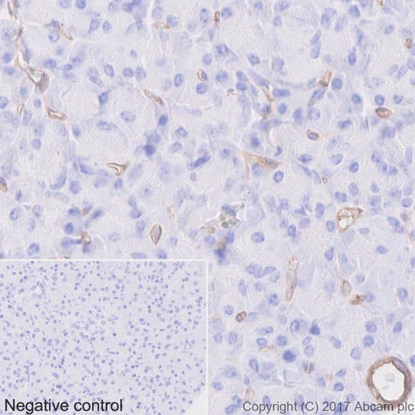
Immunohistochemistry (Formalin/PFA-fixed paraffin-embedded sections) - Anti-CD39 antibody [EPR20461] (AB223843)
  • IHC-P

Supplier Data

Immunohistochemistry (Formalin/PFA-fixed paraffin-embedded sections) - Anti-CD39 antibody [EPR20461] (AB223843)

Immunohistochemical analysis of paraffin-embedded human tonsil tissue labeling CD39 with ab223843 at 1/500 dilution, followed by Goat Anti-Rabbit IgG H&L (HRP) Ready to use. Membranous and cytoplasmic staining on human tonsil (PMID : 27532024). Counter stained with hematoxylin.

Secondary antibody only control : Used PBS instead of primary antibody, secondary antibody is Goat Anti-Rabbit IgG H&L (HRP) Ready to use.

Perform heat mediated antigen retrieval with Tris/EDTA buffer pH 9.0 before commencing with IHC staining protocol.

Immunohistochemistry (Formalin/PFA-fixed paraffin-embedded sections) - Anti-CD39 antibody [EPR20461] (AB223843)
  • IHC-P

Supplier Data

Immunohistochemistry (Formalin/PFA-fixed paraffin-embedded sections) - Anti-CD39 antibody [EPR20461] (AB223843)

Immunohistochemical analysis of paraffin-embedded human pancreas tissue labeling CD39 with ab223843 at 1/500 dilution, followed by Goat Anti-Rabbit IgG H&L (HRP) Ready to use. Membranous staining on endothelial cells of human pancreas (PMID : 18567823; PMID : 19308674). Counter stained with hematoxylin.

Secondary antibody only control : Used PBS instead of primary antibody, secondary antibody is Goat Anti-Rabbit IgG H&L (HRP) Ready to use.

Perform heat mediated antigen retrieval with Tris/EDTA buffer pH 9.0 before commencing with IHC staining protocol.

Western blot - Anti-CD39 antibody [EPR20461] (AB223843)
  • WB

Lab

Western blot - Anti-CD39 antibody [EPR20461] (AB223843)

Blocking buffer : 5% NFDM/TBST.

All lanes:

Western blot - Anti-CD39 antibody [EPR20461] (ab223843) at 1/1000 dilution

Lane 1:

Human kidney lysate at 15 µg

Lane 2:

Human tonsil lysate at 15 µg

Secondary

All lanes:

Goat Anti-Rabbit IgG (HRP) with minimal cross-reactivity with human IgG at 1/2000 dilution

Predicted band size: 58 kDa

Observed band size: 78 kDa

false

Key facts

Host species

Rabbit

Clonality

Monoclonal

Clone number

EPR20461

Isotype

IgG

Carrier free

No

Reacts with

Human

Applications

WB, IHC-P

applications

Immunogen

The exact immunogen used to generate this antibody is proprietary information.

Reactivity data

{ "title": "Reactivity Data", "filters": { "stats": ["", "Species", "Dilution Info", "Notes"], "tabs": { "all-applications": {"fullname" : "All Applications", "shortname": "All Applications"}, "FlowCyt" : {"fullname" : "Flow Cytometry", "shortname":"Flow Cyt"}, "WB" : {"fullname" : "Western blot", "shortname":"WB"}, "IHCP" : {"fullname" : "Immunohistochemistry (Formalin/PFA-fixed paraffin-embedded sections)", "shortname":"IHC-P"} }, "product-promise": { "all": "all", "testedAndGuaranteed": "tested", "guaranteed": "expected", "predicted": "predicted", "notRecommended": "not-recommended" } }, "values": { "Human": { "FlowCyt-species-checked": "notRecommended", "FlowCyt-species-dilution-info": "", "FlowCyt-species-notes": "<p></p>", "WB-species-checked": "testedAndGuaranteed", "WB-species-dilution-info": "1/1000", "WB-species-notes": "<p></p>", "IHCP-species-checked": "testedAndGuaranteed", "IHCP-species-dilution-info": "1/500", "IHCP-species-notes": "<p></p> Perform heat-mediated antigen retrieval with Tris/EDTA buffer pH 9.0 before commencing with IHC staining protocol." } } }

Product details

Patented technology
Our RabMAb® technology is a patented hybridoma-based technology for making rabbit monoclonal antibodies. For details on our patents, please refer to RabMAb® patents.

What are the advantages of a recombinant monoclonal antibody?
This product is a recombinant monoclonal antibody, which offers several advantages including:

  • - High batch-to-batch consistency and reproducibility
  • - Improved sensitivity and specificity
  • - Long-term security of supply
  • - Animal-free batch production

For more information, read more on recombinant antibodies.

Properties and storage information

Form
Liquid
Purification technique
Affinity purification Protein A
Storage buffer
pH: 7.2 - 7.4 Preservative: 0.01% Sodium azide Constituents: PBS, 40% Glycerol (glycerin, glycerine), 0.05% BSA
Shipped at conditions
Blue Ice
Appropriate short-term storage duration
1-2 weeks
Appropriate short-term storage conditions
+4°C
Appropriate long-term storage conditions
-20°C
Aliquoting information
Upon delivery aliquot
Storage information
Avoid freeze / thaw cycle

Product protocols

For this product, it's our understanding that no specific protocols are required. You can visit:

Target data

Catalyzes the hydrolysis of both di- and triphosphate nucleotides (NDPs and NTPs) and hydrolyze NTPs to nucleotide monophosphates (NMPs) in two distinct successive phosphate-releasing steps, with NDPs as intermediates and participates in the regulation of extracellular levels of nucleotides (Probable) (PubMed : 8529670, PubMed : 8626624, PubMed : 8955160, PubMed : 8996251). By hydrolyzing proinflammatory ATP and platelet-activating ADP to AMP, it blocks platelet aggregation and supports blood flow (PubMed : 8955160, PubMed : 8996251).
See full target information ENTPD1

Publications (6)

Recent publications for all applications. Explore the full list and refine your search

Discover oncology 16:427 PubMed40158055

2025

Quantifying CD73 expression after chemotherapy or chemoradiotherapy in esophageal squamous cell carcinoma.

Applications

Unspecified application

Species

Unspecified reactive species

Zachary A Cooper,Ying Wang,Philip L Martin,Kosho Murayama,Rakesh Kumar,Ken Kato,Shun Yamamoto,Shigeki Sekine

Scientific reports 15:9635 PubMed40113898

2025

mTOR Inhibition limits LPS induced acute kidney injury and ameliorates hallmarks of cellular senescence.

Applications

Unspecified application

Species

Unspecified reactive species

Alessandra Stasi,Rossana Franzin,Fabio Sallustio,Alessandro Scagliotti,Paola Cappello,Elena Squiccimarro,Gianvito Caggiano,Rosa Losapio,Monica Campioni,Antonino Castellaneta,Vincenzo Cantaluppi,Claudia Curci,Paola Pontrelli,Giovanni Stallone,Loreto Gesualdo,Vito Fanelli,Giuseppe Castellano

Biomedicines 11: PubMed37509688

2023

A2AR Expression and Immunosuppressive Environment Independent of and Mutations in Pseudomyxoma Peritonei.

Applications

Unspecified application

Species

Unspecified reactive species

Shigeki Kusamura,Adele Busico,Elena Conca,Iolanda Capone,Luca Agnelli,Daniele Lorenzini,Silvia Brich,Marta Angelini,Chiara Costanza Volpi,Desirè Viola Trupia,Vincenzo Lagano,Tommaso Torelli,Annunziata Gloghini,Dario Baratti,Marcello Guaglio,Massimo Milione,Marcello Deraco,Federica Perrone

ImmunoHorizons 7:366-379 PubMed37219538

2023

SRF617 Is a Potent Inhibitor of CD39 with Immunomodulatory and Antitumor Properties.

Applications

Unspecified application

Species

Unspecified reactive species

Michael C Warren,Stephan Matissek,Matthew Rausch,Marisella Panduro,R J Hall,Austin Dulak,David Brennan,Sonia Das Yekkirala,Secil Koseoglu,Ricard Masia,Yu Yang,Navamallika Reddy,Robert Prenovitz,Jamie Strand,Tauqueer Zaidi,Erik Devereaux,Célia Jacoberger Foissac,John Stagg,Benjamin H Lee,Pamela Holland,Vito J Palombella,Andrew C Lake

Cancer immunology research 11:56-71 PubMed36409930

2022

CD73 Inhibits cGAS-STING and Cooperates with CD39 to Promote Pancreatic Cancer.

Applications

Unspecified application

Species

Unspecified reactive species

Célia Jacoberger-Foissac,Isabelle Cousineau,Yacine Bareche,David Allard,Pavel Chrobak,Bertrand Allard,Sandra Pommey,Nouredin Messaoudi,Yannic McNicoll,Geneviève Soucy,Secil Koseoglu,Ricard Masia,Andrew C Lake,Heewon Seo,Christopher B Eeles,Neha Rohatgi,Simon C Robson,Simon Turcotte,Benjamin Haibe-Kains,John Stagg

Molecular human reproduction 27: PubMed33993290

2021

Testicular adenosine acts as a pro-inflammatory molecule: role of testicular peritubular cells.

Applications

Unspecified application

Species

Unspecified reactive species

Annika Missel,Lena Walenta,Katja Eubler,Nadine Mundt,Hanna Heikelä,Ulrich Pickl,Matthias Trottmann,Bastian Popper,Matti Poutanen,Leena Strauss,Frank-Michael Köhn,Lars Kunz,Marc Spehr,Artur Mayerhofer
View all publications

Product promise

We are committed to supporting your work with high-quality reagents, and we're here for you every step of the way. In the unlikely event that one of our products does not perform as expected, you're protected by our Product Promise.
For full details, please see our Terms & Conditions

Please note: All products are 'FOR RESEARCH USE ONLY. NOT FOR USE IN DIAGNOSTIC OR THERAPEUTIC PROCEDURES'.

For licensing inquiries, please contact partnerships@abcam.com