JavaScript is disabled in your browser. Please enable JavaScript to view this website.
AB223842

Anti-CD39 antibody [EPR20627]

5

(6 Reviews)

|

(8 Publications)

Anti-CD39 antibody [EPR20627] (ab223842) is a rabbit monoclonal antibody detecting CD39 in Western Blot, IHC-P. Suitable for Human, Mouse.

- Biophysical QC for unrivalled batch-batch consistency

View Alternative Names

CD39, ENTPD1, Ectonucleoside triphosphate diphosphohydrolase 1, ATP diphosphohydrolase, Ecto-ATP diphosphohydrolase 1, Ecto-apyrase, Lymphoid cell activation antigen, Nucleoside triphosphate diphosphohydrolase 1, ATP-DPH, ATPDase, Ecto-ATPDase 1, Ecto-ATPase 1, NTPDase1

8 Images
Immunohistochemistry (Formalin/PFA-fixed paraffin-embedded sections) - Anti-CD39 antibody [EPR20627] (AB223842)
  • IHC-P

Lab

Immunohistochemistry (Formalin/PFA-fixed paraffin-embedded sections) - Anti-CD39 antibody [EPR20627] (AB223842)

Tissue Microarrays stained for "Anti-CD39 antibody [EPR20627]" using "ab223842"in immunohistochemical analysis. This table provides a detailed overview of positive (tick mark) and negative (cross mark) staining per sample type tested. The sections were pre-treated using Heat mediated antigen retrieval using ab93684 (Tris/EDTA buffer, pH 9.0). The sections were incubated with ab223842 at +4°C overnight followed by a ready to use Goat Anti-Rabbit IgG H&L (HRP polymer).

Immunohistochemistry (Formalin/PFA-fixed paraffin-embedded sections) - Anti-CD39 antibody [EPR20627] (AB223842)
  • IHC-P

Lab

Immunohistochemistry (Formalin/PFA-fixed paraffin-embedded sections) - Anti-CD39 antibody [EPR20627] (AB223842)

Tissue Microarrays stained for "Anti-CD39 antibody [EPR20627]" using "ab223842"in immunohistochemical analysis. This table provides a detailed overview of positive (tick mark) and negative (cross mark) staining per sample type tested. The sections were pre-treated using Heat mediated antigen retrieval using ab93684 (Tris/EDTA buffer, pH 9.0). The sections were incubated with ab223842 at +4°C overnight followed by a ready to use Goat Anti-Rabbit IgG H&L (HRP polymer).

Western blot - Anti-CD39 antibody [EPR20627] (AB223842)
  • WB

Supplier Data

Western blot - Anti-CD39 antibody [EPR20627] (AB223842)

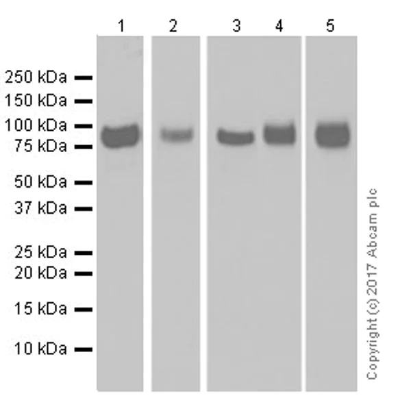
Exposure times : Lane 1 : 30 seconds; Lane 2 : 3 seconds.

Blocking/Dilution buffer : 5% NFDM/TBST.

The molecular weight observed is consistent with what has been described in the literature (PMID : 18036594; PMID : 10636909).

All lanes:

Western blot - Anti-CD39 antibody [EPR20627] (ab223842) at 1/1000 dilution

Lane 1:

Mouse brain lysate at 20 µg

Lane 2:

Mouse heart lysate at 20 µg

Lane 3:

Mouse kidney lysate at 20 µg

Secondary

All lanes:

Western blot - Goat Anti-Rabbit IgG H&L (HRP) (<a href='/en-us/products/secondary-antibodies/goat-rabbit-igg-h-l-hrp-ab97051'>ab97051</a>) at 1/100000 dilution

Predicted band size: 58 kDa

Observed band size: 78 kDa

true

Immunohistochemistry (Formalin/PFA-fixed paraffin-embedded sections) - Anti-CD39 antibody [EPR20627] (AB223842)
  • IHC-P

Supplier Data

Immunohistochemistry (Formalin/PFA-fixed paraffin-embedded sections) - Anti-CD39 antibody [EPR20627] (AB223842)

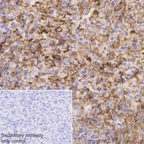
Immunohistochemical analysis of paraffin-embedded human spleen tissue labeling CD39 with ab223842 at 1/1000 dilution, followed by Goat Anti-Rabbit IgG H&L (HRP) Ready to use. Membranous and cytoplasmic staining on human spleen (PMID : 22684996; PMID : 27532024). Counter stained with Hematoxylin.

Secondary antibody only control : Used PBS instead of primary antibody, secondary antibody is Goat Anti-Rabbit IgG H&L (HRP) Ready to use.

Perform heat mediated antigen retrieval with Tris/EDTA buffer pH 9.0 before commencing with IHC staining protocol.

Immunohistochemistry (Formalin/PFA-fixed paraffin-embedded sections) - Anti-CD39 antibody [EPR20627] (AB223842)
  • IHC-P

Supplier Data

Immunohistochemistry (Formalin/PFA-fixed paraffin-embedded sections) - Anti-CD39 antibody [EPR20627] (AB223842)

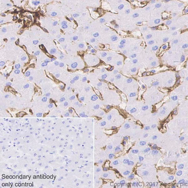
Immunohistochemical analysis of paraffin-embedded human liver tissue labeling CD39 with ab223842 at 1/1000 dilution, followed by Goat Anti-Rabbit IgG H&L (HRP) Ready to use. Membranous staining on endothelial cells of human liver (PMID : 18567823; PMID : 19308674). Counter stained with Hematoxylin.

Secondary antibody only control : Used PBS instead of primary antibody, secondary antibody is Goat Anti-Rabbit IgG H&L (HRP) Ready to use.

Perform heat mediated antigen retrieval with Tris/EDTA buffer pH 9.0 before commencing with IHC staining protocol.

Immunohistochemistry (Formalin/PFA-fixed paraffin-embedded sections) - Anti-CD39 antibody [EPR20627] (AB223842)
  • IHC-P

Supplier Data

Immunohistochemistry (Formalin/PFA-fixed paraffin-embedded sections) - Anti-CD39 antibody [EPR20627] (AB223842)

Immunohistochemical analysis of paraffin-embedded human colon carcinoma tissue labeling CD39 with ab223842 at 1/1000 dilution, followed by Goat Anti-Rabbit IgG H&L (HRP) Ready to use. Positive staining on stromal cells of human colon carcinoma (PMID : 25403716). Counter stained with Hematoxylin.

Secondary antibody only control : Used PBS instead of primary antibody, secondary antibody is Goat Anti-Rabbit IgG H&L (HRP) Ready to use.

Perform heat mediated antigen retrieval with Tris/EDTA buffer pH 9.0 before commencing with IHC staining protocol.

Immunohistochemistry (Formalin/PFA-fixed paraffin-embedded sections) - Anti-CD39 antibody [EPR20627] (AB223842)
  • IHC-P

Supplier Data

Immunohistochemistry (Formalin/PFA-fixed paraffin-embedded sections) - Anti-CD39 antibody [EPR20627] (AB223842)

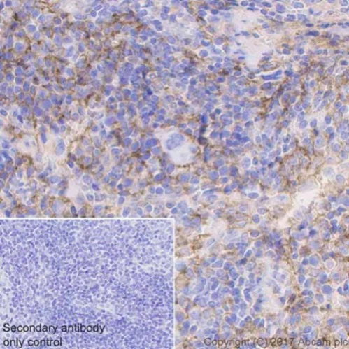
Immunohistochemical analysis of paraffin-embedded mouse spleen tissue labeling CD39 with ab223842 at 1/1000 dilution, followed by Goat Anti-Rabbit IgG H&L (HRP) Ready to use. Cytoplasmic staining on mouse spleen (PMID : 22684996; PMID : 27532024). Counter stained with Hematoxylin.

Secondary antibody only control : Used PBS instead of primary antibody, secondary antibody is Goat Anti-Rabbit IgG H&L (HRP) Ready to use.

Perform heat mediated antigen retrieval with Tris/EDTA buffer pH 9.0 before commencing with IHC staining protocol.

Western blot - Anti-CD39 antibody [EPR20627] (AB223842)
  • WB

Supplier Data

Western blot - Anti-CD39 antibody [EPR20627] (AB223842)

Exposure time : Lane 1 : 30 seconds; Lane 2 : 3 seconds.

Blocking/Dilution buffer : 5% NFDM/TBST.

The molecular weight observed is consistent with what has been described in the literature (PMID : 18036594; PMID : 10636909).

Lanes 1 - 2:

Western blot - Anti-CD39 antibody [EPR20627] (ab223842) at 1/1000 dilution

Lanes 3 - 5:

Western blot - Anti-CD39 antibody [EPR20627] (ab223842) at 1/10000 dilution

Lane 1:

Human fetal heart lysate at 20 µg

Lane 2:

Human placenta lysate at 20 µg

Lane 3:

Human fetal spleen lysate at 20 µg

Lane 4:

Human tonsil lysate at 20 µg

Lane 5:

Mouse placenta lysate at 20 µg

Secondary

All lanes:

Western blot - Goat Anti-Rabbit IgG H&L (HRP) (<a href='/en-us/products/secondary-antibodies/goat-rabbit-igg-h-l-hrp-ab97051'>ab97051</a>) at 1/100000 dilution

Predicted band size: 58 kDa

Observed band size: 78 kDa

true

Key facts

Host species

Rabbit

Clonality

Monoclonal

Clone number

EPR20627

Isotype

IgG

Carrier free

No

Reacts with

Mouse, Human

Applications

IHC-P, WB

applications

Immunogen

The exact immunogen used to generate this antibody is proprietary information.

Reactivity data

{ "title": "Reactivity Data", "filters": { "stats": ["", "Species", "Dilution Info", "Notes"], "tabs": { "all-applications": {"fullname" : "All Applications", "shortname": "All Applications"}, "WB" : {"fullname" : "Western blot", "shortname":"WB"}, "IHCP" : {"fullname" : "Immunohistochemistry (Formalin/PFA-fixed paraffin-embedded sections)", "shortname":"IHC-P"} }, "product-promise": { "all": "all", "testedAndGuaranteed": "tested", "guaranteed": "expected", "predicted": "predicted", "notRecommended": "not-recommended" } }, "values": { "Human": { "WB-species-checked": "testedAndGuaranteed", "WB-species-dilution-info": "1/1000", "WB-species-notes": "<p></p>", "IHCP-species-checked": "testedAndGuaranteed", "IHCP-species-dilution-info": "1/1000", "IHCP-species-notes": "<p></p> Perform heat-mediated antigen retrieval with Tris/EDTA buffer pH 9.0 before commencing with IHC staining protocol." }, "Mouse": { "WB-species-checked": "testedAndGuaranteed", "WB-species-dilution-info": "1/1000", "WB-species-notes": "<p></p>", "IHCP-species-checked": "testedAndGuaranteed", "IHCP-species-dilution-info": "1/1000", "IHCP-species-notes": "<p></p> Perform heat-mediated antigen retrieval with Tris/EDTA buffer pH 9.0 before commencing with IHC staining protocol." } } }

Product details

What is this antibody validated in?
Anti-CD39 antibody [EPR20627] (ab223842) is a rabbit recombinant monoclonal antibody and is validated for use in Western Blot (WB), Immunohistochemistry (IHC-P) in Human, Mouse samples.

What is the molecular weight of CD39?
Anti-CD39 [EPR20627] (ab223842) specifically detects a band for CD39 (UniProt: P49961) at a molecular weight of 57kDa.

Reviewed by scientists
Anti-CD39 [EPR20627] (ab223842) has over 5 independent reviews from customers.

Trial sizes available!
Test your antibody or perform pre-screening before committing to a larger quantity. Sold in 10µl. Discover our selection of trial-size antibodies.

Other related products
We have a range of other formats of antibody clone [EPR20627] also available for your convenience: ab223842, Carrier free - ab236038, Carrier free - ab302868, Alexa Fluor® 647 - ab312897, Alexa Fluor® 488 - ab313728

Patented technology
Our RabMAb® technology is a patented hybridoma-based technology for making rabbit monoclonal antibodies. For details on our patents, please refer to RabMAb® patents.

What are the advantages of a recombinant monoclonal antibody?
This product is a recombinant monoclonal antibody, which offers several advantages including:

  • - High batch-to-batch consistency and reproducibility
  • - Improved sensitivity and specificity
  • - Long-term security of supply
  • - Animal-free batch production

For more information, read more on recombinant antibodies.

Properties and storage information

Form
Liquid
Purification technique
Affinity purification Protein A
Storage buffer
pH: 7.2 - 7.4 Preservative: 0.01% Sodium azide Constituents: PBS, 40% Glycerol (glycerin, glycerine), 0.05% BSA
Shipped at conditions
Blue Ice
Appropriate short-term storage duration
1-2 weeks
Appropriate short-term storage conditions
+4°C
Appropriate long-term storage conditions
-20°C
Aliquoting information
Upon delivery aliquot
Storage information
Avoid freeze / thaw cycle

Product protocols

For this product, it's our understanding that no specific protocols are required. You can visit:

Target data

Catalyzes the hydrolysis of both di- and triphosphate nucleotides (NDPs and NTPs) and hydrolyze NTPs to nucleotide monophosphates (NMPs) in two distinct successive phosphate-releasing steps, with NDPs as intermediates and participates in the regulation of extracellular levels of nucleotides (Probable) (PubMed : 8529670, PubMed : 8626624, PubMed : 8955160, PubMed : 8996251). By hydrolyzing proinflammatory ATP and platelet-activating ADP to AMP, it blocks platelet aggregation and supports blood flow (PubMed : 8955160, PubMed : 8996251).
See full target information ENTPD1

Publications (8)

Recent publications for all applications. Explore the full list and refine your search

Neoplasia (New York, N.Y.) 35:100855 PubMed36410227

2022

Tumor-associated tissue eosinophilia promotes angiogenesis and metastasis in head and neck squamous cell carcinoma.

Applications

Unspecified application

Species

Unspecified reactive species

Tsung-Lun Lee,Tien-Hua Chen,Ying-Ju Kuo,Hsin-Yi Lan,Muh-Hwa Yang,Pen-Yuan Chu

Nature communications 13:6740 PubMed36347860

2022

Single cell sequencing reveals that CD39 inhibition mediates changes to the tumor microenvironment.

Applications

Unspecified application

Species

Unspecified reactive species

Lilong Liu,Yaxin Hou,Changqi Deng,Zhen Tao,Zhaohui Chen,Junyi Hu,Ke Chen

Frontiers in immunology 13:894919 PubMed36420264

2022

Immune profiling identifies CD8 T-cell subset signatures as prognostic markers for recurrence in papillary thyroid cancer.

Applications

Unspecified application

Species

Unspecified reactive species

Zhen Chen,Meng-Li Guo,Ya-Yi Li,Kai Yan,Liang Li,Fei Shen,Haixia Guan,Qing-Zhi Liu,Bo Xu,Zhe-Xiong Lian

Frontiers in oncology 12:995027 PubMed36147911

2022

Radiofrequency ablation in combination with CD73 inhibitor AB680 reduces tumor growth and enhances anti-tumor immunity in a syngeneic model of pancreatic ductal adenocarcinoma.

Applications

Unspecified application

Species

Unspecified reactive species

Erika Y Faraoni,Lincoln N Strickland,Baylee J O'Brien,Joseph F Barraza,Nirav C Thosani,Curtis J Wray,Tingting W Mills,Jennifer M Bailey-Lundberg

Frontiers in immunology 13:813218 PubMed35222389

2022

CD39/CD73 Dysregulation of Adenosine Metabolism Increases Decidual Natural Killer Cell Cytotoxicity: Implications in Unexplained Recurrent Spontaneous Abortion.

Applications

Unspecified application

Species

Unspecified reactive species

Jianan Zhu,Guangmin Song,Xiaobo Zhou,Ting-Li Han,Xinyang Yu,Hao Chen,Toby Mansell,Boris Novakovic,Philip N Baker,Richard D Cannon,Richard Saffery,Chang Chen,Hua Zhang

Cancers 13: PubMed33925516

2021

Increased Extracellular Adenosine in Radiotherapy-Resistant Breast Cancer Cells Enhances Tumor Progression through A2AR-Akt-β-Catenin Signaling.

Applications

Unspecified application

Species

Unspecified reactive species

Hana Jin,Jong-Sil Lee,Dong-Chul Kim,Young-Shin Ko,Gyeong-Won Lee,Hye-Jung Kim

OncoTargets and therapy 13:10453-10464 PubMed33116625

2020

High Expression of CD39 is Associated with Poor Prognosis and Immune Infiltrates in Clear Cell Renal Cell Carcinoma.

Applications

Unspecified application

Species

Unspecified reactive species

Jie Wu,Yu-Chen Wang,Wen-Hao Xu,Wen-Jie Luo,Fang-Ning Wan,Hai-Liang Zhang,Ding-Wei Ye,Yuan-Yuan Qu,Yi-Ping Zhu

Nature cancer 1:197-209 PubMed33305293

2020

Molecular analysis of primary melanoma T cells identifies patients at risk for metastatic recurrence.

Applications

Unspecified application

Species

Unspecified reactive species

Wiebke Pruessmann,Julie Rytlewski,James Wilmott,Martin C Mihm,Grace H Attrill,Beatrice Dyring-Andersen,Paul Fields,Qian Zhan,Andrew J Colebatch,Peter M Ferguson,John F Thompson,Klaus Kallenbach,Erik Yusko,Rachael A Clark,Harlan Robins,Richard A Scolyer,Thomas S Kupper
View all publications

Product promise

We are committed to supporting your work with high-quality reagents, and we're here for you every step of the way. In the unlikely event that one of our products does not perform as expected, you're protected by our Product Promise.
For full details, please see our Terms & Conditions

Associated Products

Select an associated product type
Alternative Product
Primary Antibodies

AB232976

PE Anti-CD39 antibody [TU66]

primary-antibodies

pe-cd39-antibody-tu66-ab232976

0

(0 reviews)

Alternative Product
Primary Antibodies

AB30423

FITC Anti-CD39 antibody [A1]

primary-antibodies

fitc-cd39-antibody-a1-ab30423

0

(0 reviews)

Alternative Product
Primary Antibodies

AB189258

Anti-CD39 antibody [A1]

primary-antibodies

cd39-antibody-a1-ab189258

0

(0 reviews)

Alternative Product
Primary Antibodies

AB231983

Anti-CD39 antibody

primary-antibodies

cd39-antibody-ab231983

0

(0 reviews)

Alternative Product
Primary Antibodies

AB97552

Anti-CD39 antibody [AC2]

primary-antibodies

cd39-antibody-ac2-ab97552

0

(0 reviews)

Alternative Product
Primary Antibodies

AB223843

Anti-CD39 antibody [EPR20461]

primary-antibodies

cd39-antibody-epr20461-ab223843

0

(0 reviews)

Alternative Product
Primary Antibodies

AB256129

Anti-CD39 antibody [AC2] - BSA and Azide free

primary-antibodies

cd39-antibody-ac2-bsa-and-azide-free-ab256129

0

(0 reviews)

Alternative Product
Primary Antibodies

AB232537

Anti-CD39 antibody [EPR20461] - BSA and Azide free

primary-antibodies

cd39-antibody-epr20461-bsa-and-azide-free-ab232537

4

(1 reviews)

Alternative Product
Primary Antibodies

AB178572

Anti-CD39 antibody [IMG17B5F11]

primary-antibodies

cd39-antibody-img17b5f11-ab178572

0

(0 reviews)

Alternative Product
Primary Antibodies

AB108248

Anti-CD39 antibody [EPR3678(2)]

primary-antibodies

cd39-antibody-epr36782-ab108248

0

(0 reviews)

Please note: All products are 'FOR RESEARCH USE ONLY. NOT FOR USE IN DIAGNOSTIC OR THERAPEUTIC PROCEDURES'.

For licensing inquiries, please contact partnerships@abcam.com