JavaScript is disabled in your browser. Please enable JavaScript to view this website.
AB236038

Anti-CD39 antibody [EPR20627] - BSA and Azide free

1

(1 Review)

|

(4 Publications)

Anti-CD39 antibody [EPR20627] - BSA and Azide free (ab236038) is a rabbit recombinant monoclonal antibody provided in a PBS only buffer for easy conjugation detecting CD39 in Western Blot, IHC-P. Suitable for Human, Mouse.

- BSA, sodium azide, and glycerol-free for easy conjugation
- Biophysical QC for unrivalled batch-batch consistency

View Alternative Names

CD39, ENTPD1, Ectonucleoside triphosphate diphosphohydrolase 1, ATP diphosphohydrolase, Ecto-ATP diphosphohydrolase 1, Ecto-apyrase, Lymphoid cell activation antigen, Nucleoside triphosphate diphosphohydrolase 1, ATP-DPH, ATPDase, Ecto-ATPDase 1, Ecto-ATPase 1, NTPDase1

7 Images
Immunohistochemistry (Formalin/PFA-fixed paraffin-embedded sections) - Anti-CD39 antibody [EPR20627] - BSA and Azide free (AB236038)
  • IHC-P

Supplier Data

Immunohistochemistry (Formalin/PFA-fixed paraffin-embedded sections) - Anti-CD39 antibody [EPR20627] - BSA and Azide free (AB236038)

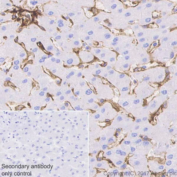
Immunohistochemical analysis of paraffin-embedded human liver tissue labeling CD39 with ab223842 at 1/1000 dilution, followed by Goat Anti-Rabbit IgG H&L (HRP) Ready to use. Membranous staining on endothelial cells of human liver (PMID : 18567823; PMID : 19308674). Counter stained with Hematoxylin.

Secondary antibody only control : Used PBS instead of primary antibody, secondary antibody is Goat Anti-Rabbit IgG H&L (HRP) Ready to use.

This data was developed using the same antibody clone in a different buffer formulation containing PBS, BSA, glycerol, and sodium azide (ab223842).

Heat mediated antigen retrieval was performed with Tris/EDTA buffer pH 9.0 before commencing with IHC staining protocol.

Immunohistochemistry (Formalin/PFA-fixed paraffin-embedded sections) - Anti-CD39 antibody [EPR20627] - BSA and Azide free (AB236038)
  • IHC-P

Supplier Data

Immunohistochemistry (Formalin/PFA-fixed paraffin-embedded sections) - Anti-CD39 antibody [EPR20627] - BSA and Azide free (AB236038)

Immunohistochemical analysis of paraffin-embedded human colon carcinoma tissue labeling CD39 with ab223842 at 1/1000 dilution, followed by Goat Anti-Rabbit IgG H&L (HRP) Ready to use. Positive staining on stromal cells of human colon carcinoma (PMID : 25403716). Counter stained with Hematoxylin.

Secondary antibody only control : Used PBS instead of primary antibody, secondary antibody is Goat Anti-Rabbit IgG H&L (HRP) Ready to use.

This data was developed using the same antibody clone in a different buffer formulation containing PBS, BSA, glycerol, and sodium azide (ab223842).

Heat mediated antigen retrieval was performed with Tris/EDTA buffer pH 9.0 before commencing with IHC staining protocol.

Immunohistochemistry (Formalin/PFA-fixed paraffin-embedded sections) - Anti-CD39 antibody [EPR20627] - BSA and Azide free (AB236038)
  • IHC-P

Supplier Data

Immunohistochemistry (Formalin/PFA-fixed paraffin-embedded sections) - Anti-CD39 antibody [EPR20627] - BSA and Azide free (AB236038)

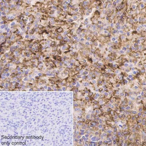
Immunohistochemical analysis of paraffin-embedded human spleen tissue labeling CD39 with ab223842 at 1/1000 dilution, followed by Goat Anti-Rabbit IgG H&L (HRP) Ready to use. Membranous and cytoplasmic staining on human spleen (PMID : 22684996; PMID : 27532024). Counter stained with Hematoxylin.

Secondary antibody only control : Used PBS instead of primary antibody, secondary antibody is Goat Anti-Rabbit IgG H&L (HRP) Ready to use.

This data was developed using the same antibody clone in a different buffer formulation containing PBS, BSA, glycerol, and sodium azide (ab223842).

Heat mediated antigen retrieval was performed with Tris/EDTA buffer pH 9.0 before commencing with IHC staining protocol.

Mass Cytometry - Anti-CD39 antibody [EPR20627] - BSA and Azide free (AB236038)
  • Mass Cytometry

Collaborator

Mass Cytometry - Anti-CD39 antibody [EPR20627] - BSA and Azide free (AB236038)

Imaging Mass Cytometry™ (IMC™) image of human tonsil tissue stained with Anti-CD39 antibody [EPR20627]. ab236038 (carrier-free antibody, purified) was metal-conjugated using a Maxpar® Antibody Labeling Kit from Fluidigm. Immunostaining was performed according to Fluidigm's protocols. Briefly, slides were subject to deparaffinization and heat-induced epitope retrieval, followed by overnight incubation at 4°C with an antibody cocktail containing metal-tagged antibodies in blocking buffer. Slides were subsequently washed with 0.2% Triton-X and 1x PBS, counterstained with Cell-ID™ Intercalator-Ir diluted at 1/400 in 1x PBS for 30 min at room temperature, rinsed for 5 min with distilled H2O, and air-dried prior to IMC™ acquisition. IMC™ acquisition was performed using the Fluidigm Hyperion™ Imaging System.

Imaging Mass Cytometry™, IMC™, Cell-ID™, Hyperion™ and Maxpar® are trademarks of Fluidigm Canada

This image is courtesy of the Single Cell & Imaging Mass Cytometry Analysis Platform, Goodman Cancer Research Centre, McGill University

Immunohistochemistry (Formalin/PFA-fixed paraffin-embedded sections) - Anti-CD39 antibody [EPR20627] - BSA and Azide free (AB236038)
  • IHC-P

Lab

Immunohistochemistry (Formalin/PFA-fixed paraffin-embedded sections) - Anti-CD39 antibody [EPR20627] - BSA and Azide free (AB236038)

Tissue Microarrays stained for "Anti-CD39 antibody [EPR20627]" using "ab223842"in immunohistochemical analysis. This table provides a detailed overview of positive (tick mark) and negative (cross mark) staining per sample type tested. The sections were pre-treated using Heat mediated antigen retrieval using ab93684 (Tris/EDTA buffer, pH 9.0). The sections were incubated with ab223842 at +4°C overnight followed by a ready to use Goat Anti-Rabbit IgG H&L (HRP polymer).

Immunohistochemistry (Formalin/PFA-fixed paraffin-embedded sections) - Anti-CD39 antibody [EPR20627] - BSA and Azide free (AB236038)
  • IHC-P

Lab

Immunohistochemistry (Formalin/PFA-fixed paraffin-embedded sections) - Anti-CD39 antibody [EPR20627] - BSA and Azide free (AB236038)

Tissue Microarrays stained for "Anti-CD39 antibody [EPR20627]" using "ab223842"in immunohistochemical analysis. This table provides a detailed overview of positive (tick mark) and negative (cross mark) staining per sample type tested. The sections were pre-treated using Heat mediated antigen retrieval using ab93684 (Tris/EDTA buffer, pH 9.0). The sections were incubated with ab223842 at +4°C overnight followed by a ready to use Goat Anti-Rabbit IgG H&L (HRP polymer).

Immunohistochemistry (Formalin/PFA-fixed paraffin-embedded sections) - Anti-CD39 antibody [EPR20627] - BSA and Azide free (AB236038)
  • IHC-P

Supplier Data

Immunohistochemistry (Formalin/PFA-fixed paraffin-embedded sections) - Anti-CD39 antibody [EPR20627] - BSA and Azide free (AB236038)

Immunohistochemical analysis of paraffin-embedded mouse spleen tissue labeling CD39 with ab223842 at 1/1000 dilution, followed by Goat Anti-Rabbit IgG H&L (HRP) Ready to use. Cytoplasmic staining on mouse spleen (PMID : 22684996; PMID : 27532024). Counter stained with Hematoxylin.

Secondary antibody only control : Used PBS instead of primary antibody, secondary antibody is Goat Anti-Rabbit IgG H&L (HRP) Ready to use.

This data was developed using the same antibody clone in a different buffer formulation containing PBS, BSA, glycerol, and sodium azide (ab223842).

Heat mediated antigen retrieval was performed with Tris/EDTA buffer pH 9.0 before commencing with IHC staining protocol.

Key facts

Host species

Rabbit

Clonality

Monoclonal

Clone number

EPR20627

Isotype

IgG

Carrier free

Yes

Reacts with

Mouse, Human

Applications

IHC-P, WB

applications

Immunogen

The exact immunogen used to generate this antibody is proprietary information.

Reactivity data

{ "title": "Reactivity Data", "filters": { "stats": ["", "Species", "Dilution Info", "Notes"], "tabs": { "all-applications": {"fullname" : "All Applications", "shortname": "All Applications"}, "WB" : {"fullname" : "Western blot", "shortname":"WB"}, "IHCP" : {"fullname" : "Immunohistochemistry (Formalin/PFA-fixed paraffin-embedded sections)", "shortname":"IHC-P"} }, "product-promise": { "all": "all", "testedAndGuaranteed": "tested", "guaranteed": "expected", "predicted": "predicted", "notRecommended": "not-recommended" } }, "values": { "Human": { "WB-species-checked": "testedAndGuaranteed", "WB-species-dilution-info": "", "WB-species-notes": "<p></p>", "IHCP-species-checked": "testedAndGuaranteed", "IHCP-species-dilution-info": "", "IHCP-species-notes": "<p></p> Perform heat-mediated antigen retrieval with Tris/EDTA buffer pH 9.0 before commencing with IHC staining protocol." }, "Mouse": { "WB-species-checked": "testedAndGuaranteed", "WB-species-dilution-info": "", "WB-species-notes": "<p></p> Perform heat-mediated antigen retrieval with Tris/EDTA buffer pH 9.0 before commencing with IHC staining protocol.", "IHCP-species-checked": "testedAndGuaranteed", "IHCP-species-dilution-info": "", "IHCP-species-notes": "<p></p> Perform heat-mediated antigen retrieval with Tris/EDTA buffer pH 9.0 before commencing with IHC staining protocol." } } }

Product details

What is this antibody validated in?
Anti-CD39 antibody [EPR20627] - BSA and Azide free (ab236038) is a rabbit recombinant monoclonal antibody and is validated for use in Western Blot (WB), Immunohistochemistry (IHC-P) in Human, Mouse samples.

What is the molecular weight of CD39?
Anti-CD39 [EPR20627] - BSA and Azide free (ab236038) specifically detects a band for CD39 (UniProt: P49961) at a molecular weight of 57kDa.

Other related products
We have a range of other formats of antibody clone [EPR20627] also available for your convenience: ab223842, Carrier free - ab236038, Carrier free - ab302868, Alexa Fluor® 647 - ab312897, Alexa Fluor® 488 - ab313728

Patented technology
Our RabMAb® technology is a patented hybridoma-based technology for making rabbit monoclonal antibodies. For details on our patents, please refer to RabMAb® patents.

What are the advantages of a recombinant monoclonal antibody?
This product is a recombinant monoclonal antibody, which offers several advantages including:

  • - High batch-to-batch consistency and reproducibility
  • - Improved sensitivity and specificity
  • - Long-term security of supply
  • - Animal-free batch production

For more information, read more on recombinant antibodies.

Conjugation ready
Our carrier-free antibodies are typically supplied in a PBS-only formulation, purified and free of BSA, sodium azide and glycerol. This conjugation-ready format is designed for use with fluorochromes, metal isotopes, oligonucleotides, and enzymes, which makes them ideal for antibody labelling, functional and cell-based assays, flow-based assays (e.g. mass cytometry) and Multiplex Imaging applications.

Use our conjugation kits for antibody conjugates that are ready-to-use in as little as 20 minutes with 1 minute hands-on-time and 100% antibody recovery: available for fluorescent dyes, HRP, biotin and gold.

Compatibility
This product is compatible with the Maxpar® Antibody Labeling Kit from Fluidigm, without the need for antibody preparation. Maxpar® is a trademark of Fluidigm Canada Inc.

Properties and storage information

Form
Liquid
Purification technique
Affinity purification Protein A
Storage buffer
pH: 7.2 - 7.4 Constituents: PBS
Shipped at conditions
Blue Ice
Appropriate short-term storage conditions
+4°C
Appropriate long-term storage conditions
+4°C
Storage information
Do Not Freeze

Product protocols

For this product, it's our understanding that no specific protocols are required. You can visit:

Target data

Catalyzes the hydrolysis of both di- and triphosphate nucleotides (NDPs and NTPs) and hydrolyze NTPs to nucleotide monophosphates (NMPs) in two distinct successive phosphate-releasing steps, with NDPs as intermediates and participates in the regulation of extracellular levels of nucleotides (Probable) (PubMed : 8529670, PubMed : 8626624, PubMed : 8955160, PubMed : 8996251). By hydrolyzing proinflammatory ATP and platelet-activating ADP to AMP, it blocks platelet aggregation and supports blood flow (PubMed : 8955160, PubMed : 8996251).
See full target information ENTPD1

Publications (4)

Recent publications for all applications. Explore the full list and refine your search

BMC pharmacology & toxicology 23:81 PubMed36273189

2022

Dexmedetomidine alleviates inflammatory response and oxidative stress injury of vascular smooth muscle cell via α2AR/GSK-3β/MKP-1/NRF2 axis in intracranial aneurysm.

Applications

Unspecified application

Species

Unspecified reactive species

Ze Zhang,Xiue Mu,Xiaohui Zhou

iScience 25:103785 PubMed35146396

2022

PD-L1CD8 T cells enrichment in lung cancer exerted regulatory function and tumor-promoting tolerance.

Applications

Unspecified application

Species

Unspecified reactive species

Yingxia Zheng,Li Han,Zheyi Chen,Yiyang Li,Bingqian Zhou,Rui Hu,Shiyu Chen,Haibo Xiao,Yanhui Ma,Guohua Xie,Junyao Yang,Xianting Ding,Lisong Shen

Immunity 54:1594-1610.e11 PubMed34174183

2021

Deep spatial profiling of human COVID-19 brains reveals neuroinflammation with distinct microanatomical microglia-T-cell interactions.

Applications

Unspecified application

Species

Unspecified reactive species

Marius Schwabenland,Henrike Salié,Jovan Tanevski,Saskia Killmer,Marilyn Salvat Lago,Alexandra Emilia Schlaak,Lena Mayer,Jakob Matschke,Klaus Püschel,Antonia Fitzek,Benjamin Ondruschka,Henrik E Mei,Tobias Boettler,Christoph Neumann-Haefelin,Maike Hofmann,Angele Breithaupt,Nafiye Genc,Christine Stadelmann,Julio Saez-Rodriguez,Peter Bronsert,Klaus-Peter Knobeloch,Thomas Blank,Robert Thimme,Markus Glatzel,Marco Prinz,Bertram Bengsch

Nature cancer 2:545-562 PubMed35122017

2021

Neutrophil oxidative stress mediates obesity-associated vascular dysfunction and metastatic transmigration.

Applications

Unspecified application

Species

Unspecified reactive species

Sheri A C McDowell,Robin B E Luo,Azadeh Arabzadeh,Samuel Doré,Nicolas C Bennett,Valérie Breton,Elham Karimi,Morteza Rezanejad,Ryan R Yang,Katherine D Lach,Marianne S M Issac,Bozena Samborska,Lucas J M Perus,Dan Moldoveanu,Yuhong Wei,Benoit Fiset,Roni F Rayes,Ian R Watson,Lawrence Kazak,Marie-Christine Guiot,Pierre O Fiset,Jonathan D Spicer,Andrew J Dannenberg,Logan A Walsh,Daniela F Quail
View all publications

Product promise

We are committed to supporting your work with high-quality reagents, and we're here for you every step of the way. In the unlikely event that one of our products does not perform as expected, you're protected by our Product Promise.
For full details, please see our Terms & Conditions

Please note: All products are 'FOR RESEARCH USE ONLY. NOT FOR USE IN DIAGNOSTIC OR THERAPEUTIC PROCEDURES'.

For licensing inquiries, please contact partnerships@abcam.com