JavaScript is disabled in your browser. Please enable JavaScript to view this website.
AB300065

Anti-CD39 antibody [EPR26473-58]

  • BOND RX™ Validated
  • 20ul selling size
  • RabMAb
  • Recombinant
  • What is this?

Be the first to review this product! Submit a review

|

(3 Publications)

Rabbit Recombinant Monoclonal CD39 antibody. Suitable for WB, IHC-P, Flow Cyt, IP, ICC/IF and reacts with Human samples. Cited in 3 publications.

View Alternative Names

CD39, ENTPD1, Ectonucleoside triphosphate diphosphohydrolase 1, ATP diphosphohydrolase, Ecto-ATP diphosphohydrolase 1, Ecto-apyrase, Lymphoid cell activation antigen, Nucleoside triphosphate diphosphohydrolase 1, ATP-DPH, ATPDase, Ecto-ATPDase 1, Ecto-ATPase 1, NTPDase1

10 Images
Immunohistochemistry (Formalin/PFA-fixed paraffin-embedded sections) - Anti-CD39 antibody [EPR26473-58] (AB300065)
  • IHC-P

Supplier Data

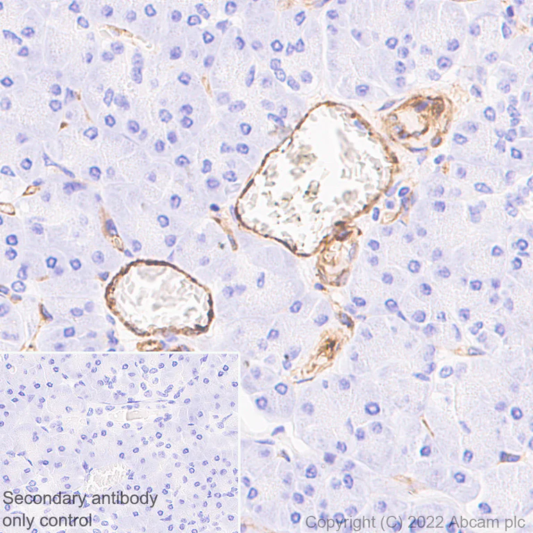
Immunohistochemistry (Formalin/PFA-fixed paraffin-embedded sections) - Anti-CD39 antibody [EPR26473-58] (AB300065)

Immunohistochemical analysis of paraffin-embedded Human liver tissue labelling CD39 with ab300065 at 1/2000 (0.295 μg/ml) followed by a ready to use LeicaDS9800 (BOND™ Polymer Refine Detection) was used. Positive staining on the endothelial cells and smooth muscle of human liver.The section was incubated with ab300065 for 30 mins at room temperature.The immunostaining was performed on a Leica Biosystems BOND® RX instrument Counterstained with Hematoxylin.

Secondary antibody only control : Secondary antibody is a ready to use LeicaDS9800 (BOND™ Polymer Refine Detection) was used.

Heat mediated antigen retrieval with Tris-EDTA buffer (pH 9.0, epitope retrieval solution2) for 20 mins

Immunohistochemistry (Formalin/PFA-fixed paraffin-embedded sections) - Anti-CD39 antibody [EPR26473-58] (AB300065)
  • IHC-P

Supplier Data

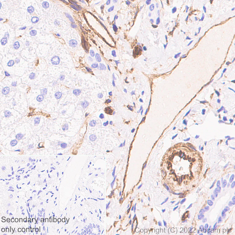
Immunohistochemistry (Formalin/PFA-fixed paraffin-embedded sections) - Anti-CD39 antibody [EPR26473-58] (AB300065)

Immunohistochemical analysis of paraffin-embedded Human endometrial carcinoma tissue labelling CD39 with ab300065 at 1/2000 (0.295 μg/ml) followed by a ready to use LeicaDS9800 (BOND™ Polymer Refine Detection) was used. Positive staining on the stromal cells of human endometrial carcinoma (PMID : 25403716).The section was incubated with ab300065 for 30 mins at room temperature.The immunostaining was performed on a Leica Biosystems BOND® RX instrument Counterstained with Hematoxylin.

Secondary antibody only control : Secondary antibody is a ready to use LeicaDS9800 (BOND™ Polymer Refine Detection) was used.

Heat mediated antigen retrieval with Tris-EDTA buffer (pH 9.0, epitope retrieval solution2) for 20 mins

Immunocytochemistry/ Immunofluorescence - Anti-CD39 antibody [EPR26473-58] (AB300065)
  • ICC/IF

Supplier Data

Immunocytochemistry/ Immunofluorescence - Anti-CD39 antibody [EPR26473-58] (AB300065)

Immunofluorescent analysis of 80% Methanol-fixed, 0.1% TritonX-100 permeilized IM-9 (human multiple myeloma B Lymphoblast) cells lebelling CD39 with ab300065 at 1/50 (11.8 μg/ml) dilution, followed by ab150081 Goat Anti-Rabbit IgG H&L (Alexa Fluor® 488) preadsorbed antibody at 1/1000 (2μg/mL) dilution (Green). Confocal image showing membranous and cytoplasmic staining in IM-9 cell line. Negative control : Jurkat (PMID : 24319640). ab195889 Anti-alpha Tubulin mouse monoclonal antibody - Microtubule Marker (Alexa Fluor® 594) was used to counterstain tubulin at 1/200 (2.5μg/ml) dilution (Red). The Nuclear counterstain was DAPI (Blue).

Secondary antibody only control : Secondary antibody is ab150081 Goat Anti-Rabbit IgG H&L (Alexa Fluor® 488) preadsorbed at 1/1000 (2μg/mL) dilution.

Immunocytochemistry/ Immunofluorescence - Anti-CD39 antibody [EPR26473-58] (AB300065)
  • ICC/IF

Supplier Data

Immunocytochemistry/ Immunofluorescence - Anti-CD39 antibody [EPR26473-58] (AB300065)

Immunofluorescent analysis of 80% Methanol-fixed, 0.1% TritonX-100 permeilized Human PBMC cells lebelling CD39 with ab300065 at 1/50 (11.8 μg/ml) dilution, followed by ab150081 Goat Anti-Rabbit IgG H&L (Alexa Fluor® 488) preadsorbed antibody at 1/1000 (2μg/mL) dilution (Green). Confocal image showing membranous and cytoplasmic staining in human PBMC is observed. ab195889 Anti-alpha Tubulin mouse monoclonal antibody - Microtubule Marker (Alexa Fluor® 594) was used to counterstain tubulin at 1/200 (2.5μg/ml) dilution (Red). The Nuclear counterstain was DAPI (Blue).

Secondary antibody only control : Secondary antibody is ab150081 Goat Anti-Rabbit IgG H&L (Alexa Fluor® 488) preadsorbed at 1/1000 (2 μg/mL) dilution.

Flow Cytometry - Anti-CD39 antibody [EPR26473-58] (AB300065)
  • Flow Cyt

Supplier Data

Flow Cytometry - Anti-CD39 antibody [EPR26473-58] (AB300065)

Flow cytometric analysis of Human peripheral blood mononuclear cell (PBMC) cells labelling CD39 with ab300065 at 1/500 dilution (0.1μg)/ Right compared with a Rabbit monoclonal IgG (ab172730) / Left isotype control. Goat Anti-Rabbit IgG (Alexa Fluor® 488, ab150081) at 1/2000 dilution was used as the secondary antibody. Gated on viable cells. Cells were stained with rabbit IgG or ab300065. Then stained with anti-CD19 conjugated to Alexa Fluor®647.

Immunohistochemistry (Formalin/PFA-fixed paraffin-embedded sections) - Anti-CD39 antibody [EPR26473-58] (AB300065)
  • IHC-P

Supplier Data

Immunohistochemistry (Formalin/PFA-fixed paraffin-embedded sections) - Anti-CD39 antibody [EPR26473-58] (AB300065)

Immunohistochemical analysis of paraffin-embedded Human pancreas tissue labelling with ab300065 at 1/2000 (0.295 μg/ml) followed by a ready to use LeicaDS9800 (BOND™ Polymer Refine Detection) was used. Positive staining on the endothelial cells and smooth muscle of human pancreas.The section was incubated with ab300065 for 30 mins at room temperature.The immunostaining was performed on a Leica Biosystems BOND® RX instrument. Counterstained with Hematoxylin.

Secondary antibody only control : Secondary antibody is a ready to use LeicaDS9800 (BOND™ Polymer Refine Detection) was used.

Heat mediated antigen retrieval with Tris-EDTA buffer (pH 9.0, epitope retrieval solution2) for 20 mins

Immunoprecipitation - Anti-CD39 antibody [EPR26473-58] (AB300065)
  • IP

Supplier Data

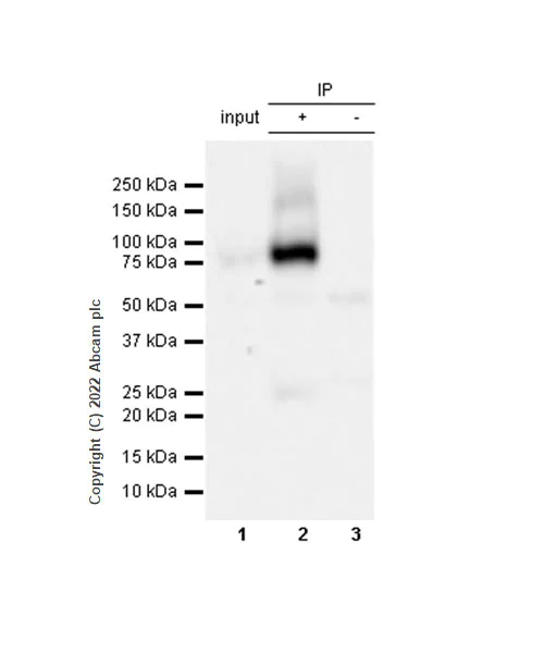
Immunoprecipitation - Anti-CD39 antibody [EPR26473-58] (AB300065)

CD39 was immunoprecipitated from 0.35 mg Human heart tissue lysate 10μg with ab300065 at 1/30 dilution (2μg in 0.35mg lysates). Western blot was performed on the immunoprecipitate using ab300065 at 1/1000 dilution. VeriBlot for IP secondary antibody(HRP)(ab131366) was used at 1/5000 dilution.

Lane 1 : Human heart tissue lysate 10μ

Lane 2 : ab300065 in Human heart tissue lysate

Lane 3 : Rabbit monoclonal IgG (ab172730) instead of ab300065 in Human heart tissue lysate

Blocking and dilution buffer and concentration : 5% NFDM/TBST.

Exposure time : 67 seconds

All lanes:

Immunoprecipitation - Anti-CD39 antibody [EPR26473-58] (ab300065)

Predicted band size: 58 kDa

false

Immunoprecipitation - Anti-CD39 antibody [EPR26473-58] (AB300065)
  • IP

Supplier Data

Immunoprecipitation - Anti-CD39 antibody [EPR26473-58] (AB300065)

CD39 was immunoprecipitated from 0.35 mg Human placenta tissue lysate 10μg with ab300065 at 1/30 dilution (2μg in 0.35mg lysates). Western blot was performed on the immunoprecipitate using ab300065 at 1/1000 dilution. VeriBlot for IP secondary antibody(HRP)(ab131366) was used at 1/5000 dilution.

Lane 1 : Human placenta tissue lysate 10μg

Lane 2 : ab300065 in Human placenta tissue lysate

Lane 3 : Rabbit monoclonal IgG (ab172730) instead of ab300065 in Human placenta tissue lysate

Blocking and dilution buffer and concentration : 5% NFDM/TBST.

Exposure time : 10 seconds

All lanes:

Immunoprecipitation - Anti-CD39 antibody [EPR26473-58] (ab300065)

Predicted band size: 58 kDa

false

Western blot - Anti-CD39 antibody [EPR26473-58] (AB300065)
  • WB

Supplier Data

Western blot - Anti-CD39 antibody [EPR26473-58] (AB300065)

5% NFDM/TBST was used as blocking and diluting buffer.

Exposure time :

Lane 1 : 10 seconds
Lane 2 and 3 : 103 seconds

Negative control : Jurkat ( PMID : 9077545).

All lanes:

Western blot - Anti-CD39 antibody [EPR26473-58] (ab300065) at 1/1000 dilution

Lane 1:

IM-9 (Human multiple myeloma B Lymphoblast) whole cell lysate at 20 µg

Lane 2:

THP-1 (Human monocytic leukemia monocyte) whole cell lysate at 20 µg

Lane 3:

Jurkat ( Human T cell leukemia T lymphocyte) whole cell lysate at 20 µg

Secondary

All lanes:

Western blot - Goat Anti-Rabbit IgG H&L (HRP) (<a href='/en-us/products/secondary-antibodies/goat-rabbit-igg-h-l-hrp-ab97051'>ab97051</a>) at 1/50000 dilution

Predicted band size: 58 kDa

Observed band size: 78 kDa

false

Western blot - Anti-CD39 antibody [EPR26473-58] (AB300065)
  • WB

Supplier Data

Western blot - Anti-CD39 antibody [EPR26473-58] (AB300065)

5% NFDM/TBST was used as blocking and diluting buffer.

Exposure time :

Lane 1:59 seconds
Lane 2:180 seconds

All lanes:

Western blot - Anti-CD39 antibody [EPR26473-58] (ab300065) at 1/1000 dilution

Lane 1:

Human placenta tissue lysate at 20 µg

Lane 2:

Human heart tissue lysate at 20 µg

Secondary

All lanes:

Western blot - VeriBlot for IP Detection Reagent (HRP) (<a href='/en-us/products/reagents/veriblot-for-ip-detection-reagent-hrp-ab131366'>ab131366</a>) at 1/1000 dilution

Predicted band size: 58 kDa

Observed band size: 78 kDa

false

Key facts

Host species

Rabbit

Clonality

Monoclonal

Clone number

EPR26473-58

Isotype

IgG

Carrier free

No

Reacts with

Human

Applications

WB, IHC-P, ICC/IF, Flow Cyt, IP

applications

Immunogen

The exact immunogen used to generate this antibody is proprietary information.

Reactivity data

{ "title": "Reactivity Data", "filters": { "stats": ["", "Species", "Dilution Info", "Notes"], "tabs": { "all-applications": {"fullname" : "All Applications", "shortname": "All Applications"}, "WB" : {"fullname" : "Western blot", "shortname":"WB"}, "IHCP" : {"fullname" : "Immunohistochemistry (Formalin/PFA-fixed paraffin-embedded sections)", "shortname":"IHC-P"}, "FlowCyt" : {"fullname" : "Flow Cytometry", "shortname":"Flow Cyt"}, "IP" : {"fullname" : "Immunoprecipitation", "shortname":"IP"}, "ICCIF" : {"fullname" : "Immunocytochemistry/ Immunofluorescence", "shortname":"ICC/IF"}, "IHCFr" : {"fullname" : "Immunohistochemistry (Frozen sections)", "shortname":"IHC-Fr"} }, "product-promise": { "all": "all", "testedAndGuaranteed": "tested", "guaranteed": "expected", "predicted": "predicted", "notRecommended": "not-recommended" } }, "values": { "Human": { "WB-species-checked": "testedAndGuaranteed", "WB-species-dilution-info": "1/1000", "WB-species-notes": "<p></p>", "IHCP-species-checked": "testedAndGuaranteed", "IHCP-species-dilution-info": "1/2000", "IHCP-species-notes": "<p></p> Perform heat-mediated antigen retrieval with Tris/EDTA buffer pH 9.0 before commencing with IHC staining protocol.", "FlowCyt-species-checked": "testedAndGuaranteed", "FlowCyt-species-dilution-info": "1/500", "FlowCyt-species-notes": "<p></p>", "IP-species-checked": "testedAndGuaranteed", "IP-species-dilution-info": "1/30", "IP-species-notes": "<p></p>", "ICCIF-species-checked": "testedAndGuaranteed", "ICCIF-species-dilution-info": "1/50", "ICCIF-species-notes": "<p></p>", "IHCFr-species-checked": "notRecommended", "IHCFr-species-dilution-info": "", "IHCFr-species-notes": "<p></p>" }, "Mouse": { "WB-species-checked": "notRecommended", "WB-species-dilution-info": "1/1000", "WB-species-notes": "<p></p>", "IHCP-species-checked": "notRecommended", "IHCP-species-dilution-info": "1/2000", "IHCP-species-notes": "<p></p> Perform heat-mediated antigen retrieval with Tris/EDTA buffer pH 9.0 before commencing with IHC staining protocol.", "FlowCyt-species-checked": "notRecommended", "FlowCyt-species-dilution-info": "", "FlowCyt-species-notes": "", "IP-species-checked": "notRecommended", "IP-species-dilution-info": "", "IP-species-notes": "", "ICCIF-species-checked": "notRecommended", "ICCIF-species-dilution-info": "", "ICCIF-species-notes": "", "IHCFr-species-checked": "notRecommended", "IHCFr-species-dilution-info": "", "IHCFr-species-notes": "<p></p>" }, "Rat": { "WB-species-checked": "notRecommended", "WB-species-dilution-info": "1/1000", "WB-species-notes": "<p></p>", "IHCP-species-checked": "notRecommended", "IHCP-species-dilution-info": "1/2000", "IHCP-species-notes": "<p></p> Perform heat-mediated antigen retrieval with Tris/EDTA buffer pH 9.0 before commencing with IHC staining protocol.", "FlowCyt-species-checked": "notRecommended", "FlowCyt-species-dilution-info": "", "FlowCyt-species-notes": "", "IP-species-checked": "notRecommended", "IP-species-dilution-info": "", "IP-species-notes": "", "ICCIF-species-checked": "notRecommended", "ICCIF-species-dilution-info": "", "ICCIF-species-notes": "", "IHCFr-species-checked": "notRecommended", "IHCFr-species-dilution-info": "", "IHCFr-species-notes": "<p></p>" } } }

Product details

Patented technology
Our RabMAb® technology is a patented hybridoma-based technology for making rabbit monoclonal antibodies. For details on our patents, please refer to RabMAb® patents.

What are the advantages of a recombinant monoclonal antibody?
This product is a recombinant monoclonal antibody, which offers several advantages including:

  • - High batch-to-batch consistency and reproducibility
  • - Improved sensitivity and specificity
  • - Long-term security of supply
  • - Animal-free batch production

For more information, read more on recombinant antibodies.

Properties and storage information

Form
Liquid
Purification technique
Affinity purification Protein A
Storage buffer
pH: 7.2 - 7.4 Preservative: 0.01% Sodium azide Constituents: PBS, 40% Glycerol (glycerin, glycerine), 0.05% BSA
Shipped at conditions
Blue Ice
Appropriate short-term storage duration
1-2 weeks
Appropriate short-term storage conditions
+4°C
Appropriate long-term storage conditions
-20°C
Aliquoting information
Upon delivery aliquot
Storage information
Avoid freeze / thaw cycle

Product protocols

For this product, it's our understanding that no specific protocols are required. You can visit:

Target data

Catalyzes the hydrolysis of both di- and triphosphate nucleotides (NDPs and NTPs) and hydrolyze NTPs to nucleotide monophosphates (NMPs) in two distinct successive phosphate-releasing steps, with NDPs as intermediates and participates in the regulation of extracellular levels of nucleotides (Probable) (PubMed : 8529670, PubMed : 8626624, PubMed : 8955160, PubMed : 8996251). By hydrolyzing proinflammatory ATP and platelet-activating ADP to AMP, it blocks platelet aggregation and supports blood flow (PubMed : 8955160, PubMed : 8996251).
See full target information ENTPD1

Publications (3)

Recent publications for all applications. Explore the full list and refine your search

Journal of nanobiotechnology 23:413 PubMed40462160

2025

Targeting CD39 boosts PD-1 blockade antitumor therapeutic efficacy via strengthening CD8 + TILs function and recruiting B cells in cervical cancer.

Applications

Unspecified application

Species

Unspecified reactive species

Lili Jiang,Tong Wu,Xinyu Qu,Shuqi Li,Qi'an Jiang,Tingting Ren,Jiali Liang,Yan Ding,Keqin Hua,Zhongmin Tang,Junjun Qiu

Cell communication and signaling : CCS 22:474 PubMed39367435

2024

GZMA suppressed GPX4-mediated ferroptosis to improve intestinal mucosal barrier function in inflammatory bowel disease.

Applications

Unspecified application

Species

Unspecified reactive species

Rongwei Niu,Jiaoli Lan,Danxia Liang,Li Xiang,Jiaxin Wu,Xiaoyan Zhang,Zhiling Li,Huan Chen,Lanlan Geng,Wanfu Xu,Sitang Gong,Min Yang

Respiratory research 25:349 PubMed39342213

2024

Differential proteins from EVs identification based on tandem mass tags analysis and effect of Treg-derived EVs on T-lymphocytes in COPD patients.

Applications

Unspecified application

Species

Unspecified reactive species

Xuefang Tao,Zhisong Xu,Hai Tian,Jingfeng He,Guowen Wang,Xuexia Tao
View all publications

Product promise

We are committed to supporting your work with high-quality reagents, and we're here for you every step of the way. In the unlikely event that one of our products does not perform as expected, you're protected by our Product Promise.
For full details, please see our Terms & Conditions

Please note: All products are 'FOR RESEARCH USE ONLY. NOT FOR USE IN DIAGNOSTIC OR THERAPEUTIC PROCEDURES'.

For licensing inquiries, please contact partnerships@abcam.com