JavaScript is disabled in your browser. Please enable JavaScript to view this website.
AB108248

Anti-CD39 antibody [EPR3678(2)]

Be the first to review this product! Submit a review

|

(20 Publications)

Rabbit Recombinant Monoclonal CD39 antibody. Suitable for WB and reacts with Mouse, Rat, Human samples. Cited in 20 publications.

View Alternative Names

CD39, ENTPD1, Ectonucleoside triphosphate diphosphohydrolase 1, ATP diphosphohydrolase, Ecto-ATP diphosphohydrolase 1, Ecto-apyrase, Lymphoid cell activation antigen, Nucleoside triphosphate diphosphohydrolase 1, ATP-DPH, ATPDase, Ecto-ATPDase 1, Ecto-ATPase 1, NTPDase1

4 Images
Western blot - Anti-CD39 antibody [EPR3678(2)] (AB108248)
  • WB

Unknown

Western blot - Anti-CD39 antibody [EPR3678(2)] (AB108248)

All lanes:

Western blot - Anti-CD39 antibody [EPR3678(2)] (ab108248) at 1/1000 dilution

Lane 1:

Human placenta lysate

Lane 2:

IM-9 cell lysate

Predicted band size: 58 kDa

false

Western blot - Anti-CD39 antibody [EPR3678(2)] (AB108248)
  • WB

Lab

Western blot - Anti-CD39 antibody [EPR3678(2)] (AB108248)

Blocking and diluting buffer and concentration 5% NFDM/TBST.

Ref : PMID : 18693757

Lane 1:

Western blot - Anti-CD39 antibody [EPR3678(2)] (ab108248) at 1/100 dilution

Lane 2:

Western blot - Anti-CD39 antibody [EPR3678(2)] (ab108248) at 1/1000 dilution

All lanes:

HUVEC whole cell lysate at 20 µg

Secondary

All lanes:

Western blot - Goat Anti-Rabbit IgG H&L (HRP) (<a href='/en-us/products/secondary-antibodies/goat-rabbit-igg-h-l-hrp-ab97051'>ab97051</a>) at 1/20000 dilution

Predicted band size: 58 kDa

Observed band size: 70 kDa,74 kDa

false

Exposure time: 3min

Western blot - Anti-CD39 antibody [EPR3678(2)] (AB108248)
  • WB

Lab

Western blot - Anti-CD39 antibody [EPR3678(2)] (AB108248)

Blocking and diluting buffer and concentration 5% NFDM/TBST.

The PKC beta 2 recombinant protein is GST-tagged, so the molecular weight is higher.

All lanes:

Western blot - Anti-CD39 antibody [EPR3678(2)] (ab108248) at 1/1000 dilution

Lane 1:

Mouse placenta tissue lysate at 20 µg

Lane 2:

Mouse urinary bladder tissue lysate at 20 µg

Secondary

All lanes:

Western blot - Goat Anti-Rabbit IgG H&L (HRP) (<a href='/en-us/products/secondary-antibodies/goat-rabbit-igg-h-l-hrp-ab97051'>ab97051</a>) at 1/20000 dilution

Predicted band size: 58 kDa,73 kDa

Observed band size: 70 kDa

false

Exposure time: 15s

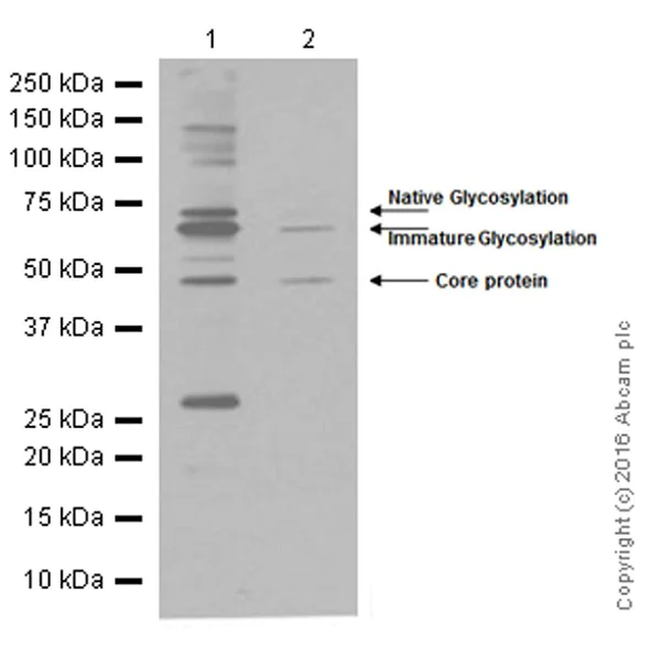
Western blot - Anti-CD39 antibody [EPR3678(2)] (AB108248)
  • WB

Lab

Western blot - Anti-CD39 antibody [EPR3678(2)] (AB108248)

Blocking and diluting buffer and concentration 5% NFDM/TBST.

All lanes:

Western blot - Anti-CD39 antibody [EPR3678(2)] (ab108248) at 1/1000 dilution

Lane 1:

Rat hippocampus tissue lysate at 20 µg

Lane 2:

Rat pancreas tissue lysate at 20 µg

Secondary

All lanes:

Western blot - Goat Anti-Rabbit IgG H&L (HRP) (<a href='/en-us/products/secondary-antibodies/goat-rabbit-igg-h-l-hrp-ab97051'>ab97051</a>) at 1/20000 dilution

Predicted band size: 58 kDa

Observed band size: 70 kDa,74 kDa

false

  • Carrier free

    Anti-CD39 antibody [EPR3678(2)] - BSA and Azide free

Key facts

Host species

Rabbit

Clonality

Monoclonal

Clone number

EPR3678(2)

Isotype

IgG

Carrier free

No

Reacts with

Mouse, Rat, Human

Applications

WB

applications

Immunogen

The exact immunogen used to generate this antibody is proprietary information.

Reactivity data

{ "title": "Reactivity Data", "filters": { "stats": ["", "Species", "Dilution Info", "Notes"], "tabs": { "all-applications": {"fullname" : "All Applications", "shortname": "All Applications"}, "WB" : {"fullname" : "Western blot", "shortname":"WB"}, "ICCIF" : {"fullname" : "Immunocytochemistry/ Immunofluorescence", "shortname":"ICC/IF"}, "IHCP" : {"fullname" : "Immunohistochemistry (Formalin/PFA-fixed paraffin-embedded sections)", "shortname":"IHC-P"}, "IP" : {"fullname" : "Immunoprecipitation", "shortname":"IP"}, "FlowCyt" : {"fullname" : "Flow Cytometry", "shortname":"Flow Cyt"} }, "product-promise": { "all": "all", "testedAndGuaranteed": "tested", "guaranteed": "expected", "predicted": "predicted", "notRecommended": "not-recommended" } }, "values": { "Human": { "WB-species-checked": "testedAndGuaranteed", "WB-species-dilution-info": "1/1000 - 1/10000", "WB-species-notes": "<p></p>", "ICCIF-species-checked": "notRecommended", "ICCIF-species-dilution-info": "", "ICCIF-species-notes": "<p></p>", "IHCP-species-checked": "notRecommended", "IHCP-species-dilution-info": "", "IHCP-species-notes": "<p></p>", "IP-species-checked": "notRecommended", "IP-species-dilution-info": "", "IP-species-notes": "<p></p>", "FlowCyt-species-checked": "notRecommended", "FlowCyt-species-dilution-info": "", "FlowCyt-species-notes": "<p></p>" }, "Mouse": { "WB-species-checked": "testedAndGuaranteed", "WB-species-dilution-info": "1/1000 - 1/10000", "WB-species-notes": "<p></p>", "ICCIF-species-checked": "notRecommended", "ICCIF-species-dilution-info": "", "ICCIF-species-notes": "<p></p>", "IHCP-species-checked": "notRecommended", "IHCP-species-dilution-info": "", "IHCP-species-notes": "<p></p>", "IP-species-checked": "notRecommended", "IP-species-dilution-info": "", "IP-species-notes": "<p></p>", "FlowCyt-species-checked": "notRecommended", "FlowCyt-species-dilution-info": "", "FlowCyt-species-notes": "<p></p>" }, "Rat": { "WB-species-checked": "testedAndGuaranteed", "WB-species-dilution-info": "1/1000 - 1/10000", "WB-species-notes": "<p></p>", "ICCIF-species-checked": "notRecommended", "ICCIF-species-dilution-info": "", "ICCIF-species-notes": "<p></p>", "IHCP-species-checked": "notRecommended", "IHCP-species-dilution-info": "", "IHCP-species-notes": "<p></p>", "IP-species-checked": "notRecommended", "IP-species-dilution-info": "", "IP-species-notes": "<p></p>", "FlowCyt-species-checked": "notRecommended", "FlowCyt-species-dilution-info": "", "FlowCyt-species-notes": "<p></p>" } } }

Product details

Patented technology
Our RabMAb® technology is a patented hybridoma-based technology for making rabbit monoclonal antibodies. For details on our patents, please refer to RabMAb® patents.

What are the advantages of a recombinant monoclonal antibody?
This product is a recombinant monoclonal antibody, which offers several advantages including:

  • - High batch-to-batch consistency and reproducibility
  • - Improved sensitivity and specificity
  • - Long-term security of supply
  • - Animal-free batch production

For more information, read more on recombinant antibodies.

Properties and storage information

Form
Liquid
Purification technique
Affinity purification Protein A
Storage buffer
pH: 7.2 - 7.4 Preservative: 0.01% Sodium azide Constituents: PBS, 40% Glycerol (glycerin, glycerine), 0.05% BSA
Shipped at conditions
Blue Ice
Appropriate short-term storage conditions
+4°C
Appropriate long-term storage conditions
-20°C
Storage information
Stable for 12 months at -20°C

Product protocols

For this product, it's our understanding that no specific protocols are required. You can visit:

Target data

Catalyzes the hydrolysis of nucleoside triphosphates (NTPs) and diphosphates (NDPs) (Probable) (PubMed : 8529670, PubMed : 8626624, PubMed : 8955160, PubMed : 8996251). The enzyme sequentially removes phosphate groups in two successive steps, converting NTPs to nucleoside monophosphates (NMPs) via NDP intermediates (Probable) (PubMed : 8529670, PubMed : 8626624, PubMed : 8955160, PubMed : 8996251). This activity contributes to the regulation of extracellular levels of nucleotides (Probable) (PubMed : 8529670, PubMed : 8626624, PubMed : 8955160, PubMed : 8996251). By hydrolyzing proinflammatory ATP and platelet-activating ADP to AMP, it blocks platelet aggregation and supports blood flow (PubMed : 8955160, PubMed : 8996251).
See full target information ENTPD1

Publications (20)

Recent publications for all applications. Explore the full list and refine your search

Clinical proteomics 20:39 PubMed37749499

2023

Identification of potential molecular targets for the treatment of cluster 1 human pheochromocytoma and paraganglioma via comprehensive proteomic characterization.

Applications

Unspecified application

Species

Unspecified reactive species

Ondrej Vit,Pavel Talacko,Zdenek Musil,Igor Hartmann,Karel Pacak,Jiri Petrak

mBio 14:e0345922 PubMed36786572

2023

Epstein-Barr Virus-Positive Lymphomas Exploit Ectonucleotidase Activity To Limit Immune Responses and Prevent Cell Death.

Applications

Unspecified application

Species

Unspecified reactive species

Philip T Lange,Blossom Damania

Annals of neurology 92:304-321 PubMed35471564

2022

Biallelic Variants in the Ectonucleotidase ENTPD1 Cause a Complex Neurodevelopmental Disorder with Intellectual Disability, Distinct White Matter Abnormalities, and Spastic Paraplegia.

Applications

Unspecified application

Species

Unspecified reactive species

Daniel G Calame,Isabella Herman,Reza Maroofian,Aren E Marshall,Karina Carvalho Donis,Jawid M Fatih,Tadahiro Mitani,Haowei Du,Christopher M Grochowski,Sergio B Sousa,Charul Gijavanekar,Somayeh Bakhtiari,Yoko A Ito,Clarissa Rocca,Jill V Hunter,V Reid Sutton,Lisa T Emrick,Kym M Boycott,Alexander Lossos,Yakov Fellig,Eugenia Prus,Yosef Kalish,Vardiella Meiner,Manon Suerink,Claudia Ruivenkamp,Kayla Muirhead,Nebal W Saadi,Maha S Zaki,Arjan Bouman,Tahsin Stefan Barakat,David L Skidmore,Matthew Osmond,Thiago Oliveira Silva,David Murphy,Ehsan Ghayoor Karimiani,Yalda Jamshidi,Asaad Ghanim Jaddoa,Homa Tajsharghi,Sheng Chih Jin,Mohammad Reza Abbaszadegan,Reza Ebrahimzadeh-Vesal,Susan Hosseini,Shahryar Alavi,Amir Bahreini,Elahe Zarean,Mohammad Mehdi Salehi,Nouriya Abbas Al-Sannaa,Giovanni Zifarelli,Peter Bauer,Simon C Robson,Zeynep Coban-Akdemir,Lorena Travaglini,Francesco Nicita,Shalini N Jhangiani,Richard A Gibbs,Jennifer E Posey,Michael C Kruer,Kristin D Kernohan,Jonas A Morales Saute,Henry Houlden,Adeline Vanderver,Sarah H Elsea,Davut Pehlivan,Dana Marafi,James R Lupski

Nature communications 13:1606 PubMed35338135

2022

CRISPR activation screen identifies BCL-2 proteins and B3GNT2 as drivers of cancer resistance to T cell-mediated cytotoxicity.

Applications

Unspecified application

Species

Unspecified reactive species

Julia Joung,Paul C Kirchgatterer,Ankita Singh,Jang H Cho,Suchita P Nety,Rebecca C Larson,Rhiannon K Macrae,Rebecca Deasy,Yuen-Yi Tseng,Marcela V Maus,Feng Zhang

European journal of pain (London, England) 26:991-1005 PubMed35138669

2022

Electroacupuncture relieves neuropathic pain by inhibiting degradation of the ecto-nucleotidase PAP in the dorsal root ganglions of CCI mice.

Applications

Unspecified application

Species

Unspecified reactive species

Xiaoxin Zhou,Wanbing Dai,Yi Qin,Siyi Qi,Yizhe Zhang,Weitian Tian,Xiyao Gu,Beijie Zheng,Jie Xiao,Weifeng Yu,Xuemei Chen,Diansan Su

American journal of transplantation : official journal of the American Society of Transplantation and the American Society of Transplant Surgeons 21:2372-2386 PubMed33171019

2020

Donor-derived regulatory dendritic cell infusion results in host cell cross-dressing and T cell subset changes in prospective living donor liver transplant recipients.

Applications

Unspecified application

Species

Unspecified reactive species

Camila Macedo,Lillian M Tran,Alan F Zahorchak,Helong Dai,Xinyan Gu,Ranjithkumar Ravichandran,Thalachallour Mohanakumar,Beth Elinoff,Adriana Zeevi,Mindi A Styn,Abhinav Humar,Fadi G Lakkis,Diana M Metes,Angus W Thomson

Journal of cell science 133: PubMed32079656

2020

Increased host ATP efflux and its conversion to extracellular adenosine is crucial for establishing infection.

Applications

Unspecified application

Species

Unspecified reactive species

Moumita Basu,Purnima Gupta,Ananya Dutta,Kuladip Jana,Anindita Ukil

Frontiers in immunology 10:2524 PubMed31736956

2019

Toll-Like Receptor-Mediated Activation of CD39 Internalization in BMDCs Leads to Extracellular ATP Accumulation and Facilitates P2X7 Receptor Activation.

Applications

Unspecified application

Species

Unspecified reactive species

Ronglan Zhao,Jinjuan Qiao,Xumei Zhang,Yansong Zhao,Xiangying Meng,Deming Sun,Xiaoxiang Peng

PloS one 14:e0220094 PubMed31652269

2019

Monitoring and characterizing soluble and membrane-bound ectonucleotidases CD73 and CD39.

Applications

Unspecified application

Species

Unspecified reactive species

Said A Goueli,Kevin Hsiao

International journal of molecular medicine 44:1707-1718 PubMed31545401

2019

Overexpressed CD39 mitigates sepsis‑induced kidney epithelial cell injury via suppressing the activation of NLR family pyrin domain containing 3.

Applications

Unspecified application

Species

Unspecified reactive species

Meixia Yang,Linxin Lu,Zhiqin Kang,Tianlong Ma,Yu Wang
View all publications

Product promise

We are committed to supporting your work with high-quality reagents, and we're here for you every step of the way. In the unlikely event that one of our products does not perform as expected, you're protected by our Product Promise.
For full details, please see our Terms & Conditions

Please note: All products are 'FOR RESEARCH USE ONLY. NOT FOR USE IN DIAGNOSTIC OR THERAPEUTIC PROCEDURES'.

For licensing inquiries, please contact partnerships@abcam.com