JavaScript is disabled in your browser. Please enable JavaScript to view this website.
AB247611

Anti-CD39 antibody [EPR3678(2)] - BSA and Azide free

Be the first to review this product! Submit a review

|

(0 Publication)

Rabbit Recombinant Monoclonal CD39 antibody. Carrier free. Suitable for WB and reacts with Mouse, Rat, Human samples.

View Alternative Names

CD39, ENTPD1, Ectonucleoside triphosphate diphosphohydrolase 1, ATP diphosphohydrolase, Ecto-ATP diphosphohydrolase 1, Ecto-apyrase, Lymphoid cell activation antigen, Nucleoside triphosphate diphosphohydrolase 1, ATP-DPH, ATPDase, Ecto-ATPDase 1, Ecto-ATPase 1, NTPDase1

4 Images
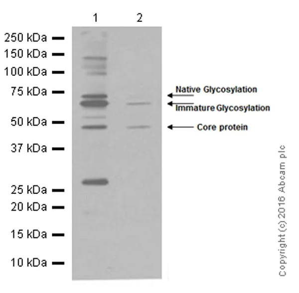
Western blot - Anti-CD39 antibody [EPR3678(2)] - BSA and Azide free (AB247611)
  • WB

Unknown

Western blot - Anti-CD39 antibody [EPR3678(2)] - BSA and Azide free (AB247611)

This data was developed using ab108248, the same antibody clone in a different buffer formulation.

All lanes:

Western blot - Anti-CD39 antibody [EPR3678(2)] (<a href='/en-us/products/primary-antibodies/cd39-antibody-epr36782-ab108248'>ab108248</a>) at 1/1000 dilution

Lane 1:

Human placenta lysate

Lane 2:

IM-9 cell lysate

Predicted band size: 58 kDa

false

Western blot - Anti-CD39 antibody [EPR3678(2)] - BSA and Azide free (AB247611)
  • WB

Lab

Western blot - Anti-CD39 antibody [EPR3678(2)] - BSA and Azide free (AB247611)

This data was developed using ab108248, the same antibody clone in a different buffer formulation.

Blocking and dilution buffer : 5% NFDM/TBST.

The PKC beta 2 recombinant protein is GST-tagged, so the molecular weight is higher.

All lanes:

Western blot - Anti-CD39 antibody [EPR3678(2)] (<a href='/en-us/products/primary-antibodies/cd39-antibody-epr36782-ab108248'>ab108248</a>) at 1/1000 dilution

Lane 1:

Mouse placenta tissue lysate at 20 µg

Lane 2:

Mouse urinary bladder tissue lysate at 20 µg

Secondary

All lanes:

Western blot - Goat Anti-Rabbit IgG H&L (HRP) (<a href='/en-us/products/secondary-antibodies/goat-rabbit-igg-h-l-hrp-ab97051'>ab97051</a>) at 1/20000 dilution

Predicted band size: 58 kDa,73 kDa

Observed band size: 70 kDa

false

Exposure time: 15s

Western blot - Anti-CD39 antibody [EPR3678(2)] - BSA and Azide free (AB247611)
  • WB

Lab

Western blot - Anti-CD39 antibody [EPR3678(2)] - BSA and Azide free (AB247611)

This data was developed using ab108248, the same antibody clone in a different buffer formulation.

Blocking and dilution buffer : 5% NFDM/TBST.

Ref : PMID : 18693757.

Lane 1:

Western blot - Anti-CD39 antibody [EPR3678(2)] (<a href='/en-us/products/primary-antibodies/cd39-antibody-epr36782-ab108248'>ab108248</a>) at 1/100 dilution

Lane 2:

Western blot - Anti-CD39 antibody [EPR3678(2)] (<a href='/en-us/products/primary-antibodies/cd39-antibody-epr36782-ab108248'>ab108248</a>) at 1/1000 dilution

All lanes:

HUVEC whole cell lysate at 20 µg

Secondary

All lanes:

Western blot - Goat Anti-Rabbit IgG H&L (HRP) (<a href='/en-us/products/secondary-antibodies/goat-rabbit-igg-h-l-hrp-ab97051'>ab97051</a>) at 1/20000 dilution

Predicted band size: 58 kDa

Observed band size: 70 kDa,74 kDa

false

Exposure time: 3min

Western blot - Anti-CD39 antibody [EPR3678(2)] - BSA and Azide free (AB247611)
  • WB

Lab

Western blot - Anti-CD39 antibody [EPR3678(2)] - BSA and Azide free (AB247611)

This data was developed using ab108248, the same antibody clone in a different buffer formulation.

Blocking and dilution buffer : 5% NFDM/TBST.

All lanes:

Western blot - Anti-CD39 antibody [EPR3678(2)] (<a href='/en-us/products/primary-antibodies/cd39-antibody-epr36782-ab108248'>ab108248</a>) at 1/1000 dilution

Lane 1:

Rat hippocampus tissue lysate at 20 µg

Lane 2:

Rat pancreas tissue lysate at 20 µg

Secondary

All lanes:

Western blot - Goat Anti-Rabbit IgG H&L (HRP) (<a href='/en-us/products/secondary-antibodies/goat-rabbit-igg-h-l-hrp-ab97051'>ab97051</a>) at 1/20000 dilution

Predicted band size: 58 kDa

Observed band size: 70 kDa,74 kDa

false

Key facts

Host species

Rabbit

Clonality

Monoclonal

Clone number

EPR3678(2)

Isotype

IgG

Carrier free

Yes

Reacts with

Mouse, Rat, Human

Applications

WB

applications

Immunogen

The exact immunogen used to generate this antibody is proprietary information.

Reactivity data

{ "title": "Reactivity Data", "filters": { "stats": ["", "Species", "Dilution Info", "Notes"], "tabs": { "all-applications": {"fullname" : "All Applications", "shortname": "All Applications"}, "WB" : {"fullname" : "Western blot", "shortname":"WB"}, "ICCIF" : {"fullname" : "Immunocytochemistry/ Immunofluorescence", "shortname":"ICC/IF"}, "IP" : {"fullname" : "Immunoprecipitation", "shortname":"IP"}, "FlowCyt" : {"fullname" : "Flow Cytometry", "shortname":"Flow Cyt"}, "IHCP" : {"fullname" : "Immunohistochemistry (Formalin/PFA-fixed paraffin-embedded sections)", "shortname":"IHC-P"} }, "product-promise": { "all": "all", "testedAndGuaranteed": "tested", "guaranteed": "expected", "predicted": "predicted", "notRecommended": "not-recommended" } }, "values": { "Human": { "WB-species-checked": "testedAndGuaranteed", "WB-species-dilution-info": "", "WB-species-notes": "<p></p>", "ICCIF-species-checked": "notRecommended", "ICCIF-species-dilution-info": "", "ICCIF-species-notes": "<p></p>", "IP-species-checked": "notRecommended", "IP-species-dilution-info": "", "IP-species-notes": "<p></p>", "FlowCyt-species-checked": "notRecommended", "FlowCyt-species-dilution-info": "", "FlowCyt-species-notes": "<p></p>", "IHCP-species-checked": "notRecommended", "IHCP-species-dilution-info": "", "IHCP-species-notes": "<p></p>" }, "Mouse": { "WB-species-checked": "testedAndGuaranteed", "WB-species-dilution-info": "", "WB-species-notes": "<p></p>", "ICCIF-species-checked": "notRecommended", "ICCIF-species-dilution-info": "", "ICCIF-species-notes": "<p></p>", "IP-species-checked": "notRecommended", "IP-species-dilution-info": "", "IP-species-notes": "<p></p>", "FlowCyt-species-checked": "notRecommended", "FlowCyt-species-dilution-info": "", "FlowCyt-species-notes": "<p></p>", "IHCP-species-checked": "notRecommended", "IHCP-species-dilution-info": "", "IHCP-species-notes": "<p></p>" }, "Rat": { "WB-species-checked": "testedAndGuaranteed", "WB-species-dilution-info": "", "WB-species-notes": "<p></p>", "ICCIF-species-checked": "notRecommended", "ICCIF-species-dilution-info": "", "ICCIF-species-notes": "<p></p>", "IP-species-checked": "notRecommended", "IP-species-dilution-info": "", "IP-species-notes": "<p></p>", "FlowCyt-species-checked": "notRecommended", "FlowCyt-species-dilution-info": "", "FlowCyt-species-notes": "<p></p>", "IHCP-species-checked": "notRecommended", "IHCP-species-dilution-info": "", "IHCP-species-notes": "<p></p>" } } }

Product details

ab247611 is the carrier-free version of ab108248.

Patented technology
Our RabMAb® technology is a patented hybridoma-based technology for making rabbit monoclonal antibodies. For details on our patents, please refer to RabMAb® patents.

What are the advantages of a recombinant monoclonal antibody?
This product is a recombinant monoclonal antibody, which offers several advantages including:

  • - High batch-to-batch consistency and reproducibility
  • - Improved sensitivity and specificity
  • - Long-term security of supply
  • - Animal-free batch production

For more information, read more on recombinant antibodies.

Conjugation ready
Our carrier-free antibodies are typically supplied in a PBS-only formulation, purified and free of BSA, sodium azide and glycerol. This conjugation-ready format is designed for use with fluorochromes, metal isotopes, oligonucleotides, and enzymes, which makes them ideal for antibody labelling, functional and cell-based assays, flow-based assays (e.g. mass cytometry) and Multiplex Imaging applications.

Use our conjugation kits for antibody conjugates that are ready-to-use in as little as 20 minutes with 1 minute hands-on-time and 100% antibody recovery: available for fluorescent dyes, HRP, biotin and gold.

Compatibility
This product is compatible with the Maxpar® Antibody Labeling Kit from Fluidigm, without the need for antibody preparation. Maxpar® is a trademark of Fluidigm Canada Inc.

Properties and storage information

Form
Liquid
Purification technique
Affinity purification Protein A
Storage buffer
pH: 7.2 - 7.4 Constituents: PBS
Shipped at conditions
Blue Ice
Appropriate short-term storage conditions
+4°C
Appropriate long-term storage conditions
+4°C
Storage information
Do Not Freeze

Product protocols

For this product, it's our understanding that no specific protocols are required. You can visit:

Target data

Catalyzes the hydrolysis of both di- and triphosphate nucleotides (NDPs and NTPs) and hydrolyze NTPs to nucleotide monophosphates (NMPs) in two distinct successive phosphate-releasing steps, with NDPs as intermediates and participates in the regulation of extracellular levels of nucleotides (Probable) (PubMed : 8529670, PubMed : 8626624, PubMed : 8955160, PubMed : 8996251). By hydrolyzing proinflammatory ATP and platelet-activating ADP to AMP, it blocks platelet aggregation and supports blood flow (PubMed : 8955160, PubMed : 8996251).
See full target information ENTPD1

Product promise

We are committed to supporting your work with high-quality reagents, and we're here for you every step of the way. In the unlikely event that one of our products does not perform as expected, you're protected by our Product Promise.
For full details, please see our Terms & Conditions

Please note: All products are 'FOR RESEARCH USE ONLY. NOT FOR USE IN DIAGNOSTIC OR THERAPEUTIC PROCEDURES'.

For licensing inquiries, please contact partnerships@abcam.com