JavaScript is disabled in your browser. Please enable JavaScript to view this website.
AB229280

Anti-CD3D antibody [EPR20544] - BSA and Azide free

Be the first to review this product! Submit a review

|

(0 Publication)

Rabbit Recombinant Monoclonal CD3d antibody. Carrier free. Suitable for IP, Flow Cyt, WB, IHC-Fr, IHC-P and reacts with Mouse samples.

View Alternative Names

CD3d, T3d, Cd3d, T-cell surface glycoprotein CD3 delta chain, T-cell receptor T3 delta chain

6 Images
Immunohistochemistry (Frozen sections) - Anti-CD3D antibody [EPR20544] - BSA and Azide free (AB229280)
  • IHC-Fr

Supplier Data

Immunohistochemistry (Frozen sections) - Anti-CD3D antibody [EPR20544] - BSA and Azide free (AB229280)

This data was developed using ab213362, the same antibody clone in a different buffer formulation.

Immunohistochemical analysis of 4% paraformaldehyde-fixed, 0.2% Triton X-100 permeabilized frozen mouse spleen tissue labeling CD3D with ab213362 at 1/100 dilution, followed by Goat anti-rabbit IgG (Alexa Fluor® 488) (ab150077) secondary antibody at 1/1000 dilution (green).

Cytoplasmic and membranous staining on mouse splenic periarterial lymphatic sheath is observed.

The nuclear counterstain is DAPI (blue).

Secondary antibody only control : Used PBS instead of primary antibody, secondary antibody is Goat anti-rabbit IgG (Alexa Fluor® 488) (ab150077) at 1/1000 dilution.

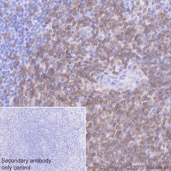
Immunohistochemistry (Formalin/PFA-fixed paraffin-embedded sections) - Anti-CD3D antibody [EPR20544] - BSA and Azide free (AB229280)
  • IHC-P

Supplier Data

Immunohistochemistry (Formalin/PFA-fixed paraffin-embedded sections) - Anti-CD3D antibody [EPR20544] - BSA and Azide free (AB229280)

This data was developed using ab213362, the same antibody clone in a different buffer formulation.

Immunohistochemical analysis of paraffin-embedded mouse thymus tissue labeling CD3D with ab213362 at 1/2000 dilution, followed by Goat Anti-Rabbit IgG H&L (HRP) Ready to use.

Cytoplasmic and membranous staining on T cells of mouse thymus medulla is observed.

Counter stained with Hematoxylin.

Secondary antibody only control : Used PBS instead of primary antibody, secondary antibody is Goat Anti-Rabbit IgG H&L (HRP) Ready to use.

Perform heat mediated antigen retrieval with Tris/EDTA buffer pH 9.0 before commencing with IHC staining protocol.

Flow Cytometry - Anti-CD3D antibody [EPR20544] - BSA and Azide free (AB229280)
  • Flow Cyt

Supplier Data

Flow Cytometry - Anti-CD3D antibody [EPR20544] - BSA and Azide free (AB229280)

This data was developed using ab213362, the same antibody clone in a different buffer formulation.

Flow cytometric analysis of mouse spleen cells labeling CD3D with ab213362 at 1/600 dilution (right panel), compared with a rabbit monoclonal IgG isotype control (ab172730) (left panel). Goat anti rabbit IgG (Alexa Fluor® 488) at 1/2000 dilution was used as the secondary antibody.

Firstly, cells surface was stained with anti-mouse CD3 Alexa Fluor 647 (Y axis), then cells were fixed with 4% PFA followed by intracellular staining with ab213362. The same population of cells were stained by both : anti-mouse CD3 and anti-mouse CD3D (ab213362) antibodies.

Immunohistochemistry (Formalin/PFA-fixed paraffin-embedded sections) - Anti-CD3D antibody [EPR20544] - BSA and Azide free (AB229280)
  • IHC-P

Supplier Data

Immunohistochemistry (Formalin/PFA-fixed paraffin-embedded sections) - Anti-CD3D antibody [EPR20544] - BSA and Azide free (AB229280)

This data was developed using ab213362, the same antibody clone in a different buffer formulation.

Immunohistochemical analysis of paraffin-embedded mouse spleen tissue labeling CD3D with ab213362 at 1/2000 dilution, followed by Goat Anti-Rabbit IgG H&L (HRP) Ready to use.

Cytoplasmic staining on T cells of mouse splenic periarterial lymphatic sheath is observed.

Counter stained with Hematoxylin.

Secondary antibody only control : Used PBS instead of primary antibody, secondary antibody is Goat Anti-Rabbit IgG H&L (HRP) Ready to use.

Perform heat mediated antigen retrieval with Tris/EDTA buffer pH 9.0 before commencing with IHC staining protocol.

Immunoprecipitation - Anti-CD3D antibody [EPR20544] - BSA and Azide free (AB229280)
  • IP

Supplier Data

Immunoprecipitation - Anti-CD3D antibody [EPR20544] - BSA and Azide free (AB229280)

This data was developed using ab213362, the same antibody clone in a different buffer formulation.

CD3D was immunoprecipitated from 0.35 mg of mouse thymus lysate with ab213362 at 1/30 dilution.

Western blot was performed from the immunoprecipitate using ab213362 at 1/1000 dilution.

VeriBlot for IP Detection Reagent (HRP) (ab131366), was used for detection at 1/10,000 dilution.

Lane 1 : Mouse thymus lysate, 10 μg (Input).

Lane 2 : ab213362 IP in mouse thymus lysate.

Lane 3 : Rabbit monoclonal IgG (ab172730) instead of ab213362 in mouse thymus lysate .

Blocking and dilution buffer : 5% NFDM/TBST.

Exposure time : 10 seconds.

All lanes:

Immunoprecipitation - Anti-CD3D antibody [EPR20544] (<a href='/en-us/products/primary-antibodies/cd3d-antibody-epr20544-ab213362'>ab213362</a>)

Predicted band size: 19 kDa

Observed band size: 24 kDa

false

Western blot - Anti-CD3D antibody [EPR20544] - BSA and Azide free (AB229280)
  • WB

Supplier Data

Western blot - Anti-CD3D antibody [EPR20544] - BSA and Azide free (AB229280)

This data was developed using ab213362, the same antibody clone in a different buffer formulation.

Blocking and dilution buffer : 5% NFDM/TBST.

Exposure times : Lane 1 : 15 seconds; Lane 2 : 3 minutes.

All lanes:

Western blot - Anti-CD3D antibody [EPR20544] (<a href='/en-us/products/primary-antibodies/cd3d-antibody-epr20544-ab213362'>ab213362</a>) at 1/1000 dilution

Lane 1:

Mouse thymus tissue lysate at 20 µg

Lane 2:

Mouse lymph node tissue lysate at 20 µg

Secondary

All lanes:

Western blot - Goat Anti-Rabbit IgG H&L (HRP) (<a href='/en-us/products/secondary-antibodies/goat-rabbit-igg-h-l-hrp-ab97051'>ab97051</a>) at 1/100000 dilution

Predicted band size: 19 kDa

Observed band size: 24 kDa

false

Key facts

Host species

Rabbit

Clonality

Monoclonal

Clone number

EPR20544

Isotype

IgG

Carrier free

Yes

Reacts with

Mouse

Applications

IP, Flow Cyt, WB, IHC-P, IHC-Fr

applications

Immunogen

The exact immunogen used to generate this antibody is proprietary information.

Reactivity data

{ "title": "Reactivity Data", "filters": { "stats": ["", "Species", "Dilution Info", "Notes"], "tabs": { "all-applications": {"fullname" : "All Applications", "shortname": "All Applications"}, "IP" : {"fullname" : "Immunoprecipitation", "shortname":"IP"}, "FlowCyt" : {"fullname" : "Flow Cytometry", "shortname":"Flow Cyt"}, "WB" : {"fullname" : "Western blot", "shortname":"WB"}, "IHCFr" : {"fullname" : "Immunohistochemistry (Frozen sections)", "shortname":"IHC-Fr"}, "IHCP" : {"fullname" : "Immunohistochemistry (Formalin/PFA-fixed paraffin-embedded sections)", "shortname":"IHC-P"} }, "product-promise": { "all": "all", "testedAndGuaranteed": "tested", "guaranteed": "expected", "predicted": "predicted", "notRecommended": "not-recommended" } }, "values": { "Mouse": { "IP-species-checked": "testedAndGuaranteed", "IP-species-dilution-info": "", "IP-species-notes": "<p></p>", "FlowCyt-species-checked": "testedAndGuaranteed", "FlowCyt-species-dilution-info": "", "FlowCyt-species-notes": "<p></p>", "WB-species-checked": "testedAndGuaranteed", "WB-species-dilution-info": "", "WB-species-notes": "<p></p>", "IHCFr-species-checked": "testedAndGuaranteed", "IHCFr-species-dilution-info": "", "IHCFr-species-notes": "<p>Antigen retrieval: Heated citrate solution (10mM citrate pH 6.0 + 0.05% Tween-20).</p>", "IHCP-species-checked": "testedAndGuaranteed", "IHCP-species-dilution-info": "", "IHCP-species-notes": "<p></p>" } } }

Product details

ab229280 is the carrier-free version of ab213362.

Patented technology
Our RabMAb® technology is a patented hybridoma-based technology for making rabbit monoclonal antibodies. For details on our patents, please refer to RabMAb® patents.

What are the advantages of a recombinant monoclonal antibody?
This product is a recombinant monoclonal antibody, which offers several advantages including:

  • - High batch-to-batch consistency and reproducibility
  • - Improved sensitivity and specificity
  • - Long-term security of supply
  • - Animal-free batch production

For more information, read more on recombinant antibodies.

Conjugation ready
Our carrier-free antibodies are typically supplied in a PBS-only formulation, purified and free of BSA, sodium azide and glycerol. This conjugation-ready format is designed for use with fluorochromes, metal isotopes, oligonucleotides, and enzymes, which makes them ideal for antibody labelling, functional and cell-based assays, flow-based assays (e.g. mass cytometry) and Multiplex Imaging applications.

Use our conjugation kits for antibody conjugates that are ready-to-use in as little as 20 minutes with 1 minute hands-on-time and 100% antibody recovery: available for fluorescent dyes, HRP, biotin and gold.

Compatibility
This product is compatible with the Maxpar® Antibody Labeling Kit from Fluidigm, without the need for antibody preparation. Maxpar® is a trademark of Fluidigm Canada Inc.

Properties and storage information

Form
Liquid
Purification technique
Affinity purification Protein A
Storage buffer
pH: 7.2 - 7.4 Constituents: PBS
Shipped at conditions
Blue Ice
Appropriate short-term storage conditions
+4°C
Appropriate long-term storage conditions
+4°C
Storage information
Do Not Freeze

Product protocols

For this product, it's our understanding that no specific protocols are required. You can visit:

Target data

Part of the TCR-CD3 complex present on T-lymphocyte cell surface that plays an essential role in adaptive immune response. When antigen presenting cells (APCs) activate T-cell receptor (TCR), TCR-mediated signals are transmitted across the cell membrane by the CD3 chains CD3D, CD3E, CD3G and CD3Z. All CD3 chains contain immunoreceptor tyrosine-based activation motifs (ITAMs) in their cytoplasmic domain. Upon TCR engagement, these motifs become phosphorylated by Src family protein tyrosine kinases LCK and FYN, resulting in the activation of downstream signaling pathways. In addition of this role of signal transduction in T-cell activation, CD3D plays an essential role in thymocyte differentiation. Indeed, participates in correct intracellular TCR-CD3 complex assembly and surface expression. In absence of a functional TCR-CD3 complex, thymocytes are unable to differentiate properly (PubMed : 10935641). Interacts with CD4 and CD8 and thus serves to establish a functional link between the TCR and coreceptors CD4 and CD8, which is needed for activation and positive selection of CD4 or CD8 T-cells.
See full target information Cd3d

Product promise

We are committed to supporting your work with high-quality reagents, and we're here for you every step of the way. In the unlikely event that one of our products does not perform as expected, you're protected by our Product Promise.
For full details, please see our Terms & Conditions

Please note: All products are 'FOR RESEARCH USE ONLY. NOT FOR USE IN DIAGNOSTIC OR THERAPEUTIC PROCEDURES'.

For licensing inquiries, please contact partnerships@abcam.com