JavaScript is disabled in your browser. Please enable JavaScript to view this website.
AB318146

Anti-CD3D+CD3G+CD3 epsilon antibody [RM1128]

  • BOND RX™ Validated
  • 20ul selling size
  • Recombinant
  • RabMAb
  • What is this?

Be the first to review this product! Submit a review

|

(0 Publication)

Anti-CD3D+CD3G+CD3 epsilon antibody [RM1128] is a Rabbit Recombinant Multiclonal antibody that is used in CD3D+CD3G+CD3 epsilon Flow Cytometry (Intra), ICC/IF, IHC-P, IP, Western Blot. Suitable for Human, Mouse, Rat samples.

CD3 is a protein complex found on T cells that is essential for T-cell receptor signaling and activation. In cancer research, CD3-targeted therapies, such as bispecific antibodies, are used to engage T cells and enhance their ability to recognize and destroy tumor cells. This approach has shown promise in treating various cancers, including both hematologic and solid malignancies.

View Alternative Names

CD3e, T3E, CD3E, T-cell surface glycoprotein CD3 epsilon chain, T-cell surface antigen T3/Leu-4 epsilon chain, CD3e, T-cell surface glycoprotein CD3 epsilon chain, T-cell surface antigen T3/Leu-4 epsilon chain, Cd3e, CD3d, T3D, CD3D, T-cell surface glycoprotein CD3 delta chain, T-cell receptor T3 delta chain, CD3g, T3G, CD3G, T-cell surface glycoprotein CD3 gamma chain, T-cell receptor T3 gamma chain, CD3d, T3d, Cd3d, T-cell surface glycoprotein CD3 delta chain, T-cell receptor T3 delta chain

18 Images
Immunohistochemistry (Formalin/PFA-fixed paraffin-embedded sections) - Anti-CD3D+CD3G+CD3 epsilon antibody [RM1128] (AB318146)
  • IHC-P

Supplier Data

Immunohistochemistry (Formalin/PFA-fixed paraffin-embedded sections) - Anti-CD3D+CD3G+CD3 epsilon antibody [RM1128] (AB318146)

Immunohistochemical analysis of paraffin-embedded Human cerebrum tissue labeling CD3D+CD3G+CD3 epsilon with ab318146 at 1/2000 (0.248 ug/ml) dilution, followed by a ready to use LeicaDS9800 (Bond™ Polymer Refine Detection).

Negative control : no staining on human cerebrum. The section was incubated with ab318146 for 30 mins at room temperature.
The immunostaining was performed on a Leica Biosystems BOND® RX instrument

Counterstained with Hematoxylin.

Secondary antibody only control : Secondary antibody is a ready to use LeicaDS9800 (Bond™ Polymer Refine Detection).

Heat mediated antigen retrieval was performed with Tris-EDTA buffer (pH 9.0, Epitope Retrieval Solution2) for 20 mins

Immunocytochemistry/ Immunofluorescence - Anti-CD3D+CD3G+CD3 epsilon antibody [RM1128] (AB318146)
  • ICC/IF

Supplier Data

Immunocytochemistry/ Immunofluorescence - Anti-CD3D+CD3G+CD3 epsilon antibody [RM1128] (AB318146)

Immunofluorescent analysis of 4% Paraformaldehyde-fixed, 0.1% Tween-20 permeabilized MOLT-4 (human lymphoblastic leukemia T lymphoblast) cells labelling CD3D+CD3G+CD3 epsilon with ab318146 at 1/1000 (0.495 ug/ml) dilution, followed by ab150081 Goat Anti-Rabbit IgG H&L (Alexa Fluor® 488) preadsorbed antibody at 1/1000 2 ug/ml dilution (Green).

Confocal image showing membranous staining in MOLT-4 cell line (shown in green). The counterstain was observed in magenta. Nuclear DNA was labeled with DAPI (shown in blue).
Negative control : Raji.
Image was taken with a confocal microscope (Leica-Microsystems, TCS SP8).

ab195889 Anti-alpha Tubulin mouse monoclonal antibody - Microtubule Marker (Alexa Fluor® 594) was used to counterstain tubulin at 1/200 2.5ug/ml dilution (Magenta). The Nuclear counterstain was DAPI (Blue).

Secondary antibody only control : Secondary antibody is ab150081 Goat Anti-Rabbit IgG H&L (Alexa Fluor® 488) preadsorbed at 1/1000 2 ug/ml dilution.

Immunocytochemistry/ Immunofluorescence - Anti-CD3D+CD3G+CD3 epsilon antibody [RM1128] (AB318146)
  • ICC/IF

Supplier Data

Immunocytochemistry/ Immunofluorescence - Anti-CD3D+CD3G+CD3 epsilon antibody [RM1128] (AB318146)

Immunofluorescent analysis of 4% Paraformaldehyde-fixed, 0.1% Tween-20 permeabilized Human PBMC (human primary peripheral blood mononuclear cell) cells labelling CD3D+CD3G+CD3 epsilon with ab318146 at 1/1000 (0.495 ug/ml) dilution, followed by ab150081 Goat Anti-Rabbit IgG H&L (Alexa Fluor® 488) preadsorbed antibody at 1/1000 2 ug/ml dilution (Green).

Confocal image showing membranous staining in subsets of human PBMCs (shown in green). The counterstain was observed in magenta. Nuclear DNA was labeled with DAPI (shown in blue).
Image was taken with a confocal microscope (Leica-Microsystems, TCS SP8).

Anti-human CD4 mouse monoclonal antibody (Alexa Fluor® 594) was used to counterstain tubulin at 1/200 2.5ug/ml dilution (Magenta). The Nuclear counterstain was DAPI (Blue).

Secondary antibody only control : Secondary antibody is ab150081 Goat Anti-Rabbit IgG H&L (Alexa Fluor® 488) preadsorbed at 1/1000 2 ug/ml dilution.

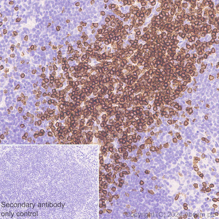
Immunohistochemistry (Formalin/PFA-fixed paraffin-embedded sections) - Anti-CD3D+CD3G+CD3 epsilon antibody [RM1128] (AB318146)
  • IHC-P

Supplier Data

Immunohistochemistry (Formalin/PFA-fixed paraffin-embedded sections) - Anti-CD3D+CD3G+CD3 epsilon antibody [RM1128] (AB318146)

Immunohistochemical analysis of paraffin-embedded Human spleen tissue labeling CD3D+CD3G+CD3 epsilon with ab318146 at 1/2000 (0.248 ug/ml) dilution, followed by a ready to use LeicaDS9800 (Bond™ Polymer Refine Detection).

Positive staining on T cell in human spleen. The section was incubated with ab318146 for 30 mins at room temperature.
The immunostaining was performed on a Leica Biosystems BOND® RX instrument

Counterstained with Hematoxylin.

Secondary antibody only control : Secondary antibody is a ready to use LeicaDS9800 (Bond™ Polymer Refine Detection).

Heat mediated antigen retrieval was performed with Tris-EDTA buffer (pH 9.0, Epitope Retrieval Solution2) for 20 mins

Flow Cytometry (Intracellular) - Anti-CD3D+CD3G+CD3 epsilon antibody [RM1128] (AB318146)
  • Flow Cyt (Intra)

Supplier Data

Flow Cytometry (Intracellular) - Anti-CD3D+CD3G+CD3 epsilon antibody [RM1128] (AB318146)

Flow cytometric analysis of 4% paraformaldehyde fixed 0.1% Tween-20 permeabilized Human PBMC (human peripheral blood mononuclear cell) cells labelling CD3D+CD3G+CD3 epsilon with ab318146 at 1/5000 dilution (0.01ug)/Right compared with a Rabbit monoclonal IgG (ab172730) / Left isotype control.

Goat Anti-Rabbit IgG (Alexa Fluor® 488, ab150081) at 1/5000 dilution was used as the secondary antibody.

Cells were co-stained with anti human CD19 conjugated to PE/Cy7. Fixed with 4% PFA for 10 min followed by intracellularly staining with rabbit IgG or ab318146

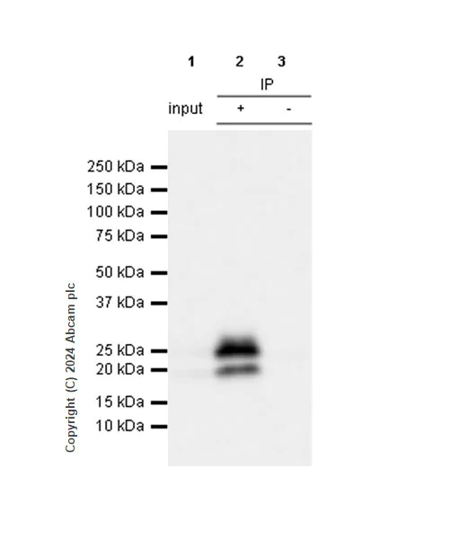
Immunoprecipitation - Anti-CD3D+CD3G+CD3 epsilon antibody [RM1128] (AB318146)
  • IP

Supplier Data

Immunoprecipitation - Anti-CD3D+CD3G+CD3 epsilon antibody [RM1128] (AB318146)

CD3D+CD3G+CD3 epsilon was immunoprecipitated from 0.35 mg MOLT-4 (human lymphoblastic leukemia T lymphoblast) whole cell lysate with ab318146 at 1/30 dilution (2ug in 0.35mg lysates). Western blot was performed on the immunoprecipitate using ab318146 at 1/1000 dilution. VeriBlot for IP secondary antibody(HRP)(ab131366) was used at 1/5000 dilution.

Blocking and diluting buffer and concentration : 5% NFDM/TBST.

Lane 1 : MOLT-4 (human lymphoblastic leukemia T lymphoblast) whole cell lysate
Lane 2 : ab318146 IP in MOLT-4 (human lymphoblastic leukemia T lymphoblast) whole cell lysate
Lane 3 : Rabbit monoclonal IgG (ab172730) instead of ab318146 in MOLT-4 whole cell lysate

All lanes:

Immunoprecipitation - Anti-CD3D+CD3G+CD3 epsilon antibody [RM1128] (ab318146) at 1/30 dilution

All lanes:

MOLT-4 (human lymphoblastic leukemia T lymphoblast) whole cell lysate

Secondary

All lanes:

Immunoprecipitation - VeriBlot for IP Detection Reagent (HRP) (<a href='/en-us/products/reagents/veriblot-for-ip-detection-reagent-hrp-ab131366'>ab131366</a>) at 1/5000 dilution

false

Exposure time: 6s

Immunocytochemistry/ Immunofluorescence - Anti-CD3D+CD3G+CD3 epsilon antibody [RM1128] (AB318146)
  • ICC/IF

Supplier Data

Immunocytochemistry/ Immunofluorescence - Anti-CD3D+CD3G+CD3 epsilon antibody [RM1128] (AB318146)

Immunofluorescent analysis of 4% Paraformaldehyde-fixed, 0.1% Tween-20 permeabilized EL4 (mouse lymphoma T lymphocyte) cells labelling CD3D+CD3G+CD3 epsilon with ab318146 at 1/1000 (0.495 ug/ml) dilution, followed by ab150081 Goat Anti-Rabbit IgG H&L (Alexa Fluor® 488) preadsorbed antibody at 1/1000 2 ug/ml dilution (Green).

Confocal image showing membranous staining in EL4 cell line (shown in green). The counterstain was observed in magenta. Nuclear DNA was labeled with DAPI (shown in blue).
Negative control : C2C12.
Image was taken with a confocal microscope (Leica-Microsystems, TCS SP8).

ab195889 Anti-alpha Tubulin mouse monoclonal antibody - Microtubule Marker (Alexa Fluor® 594) was used to counterstain tubulin at 1/200 2.5ug/ml dilution (Magenta). The Nuclear counterstain was DAPI (Blue).

Secondary antibody only control : Secondary antibody is ab150081 Goat Anti-Rabbit IgG H&L (Alexa Fluor® 488) preadsorbed at 1/1000 2 ug/ml dilution.

Immunohistochemistry (Formalin/PFA-fixed paraffin-embedded sections) - Anti-CD3D+CD3G+CD3 epsilon antibody [RM1128] (AB318146)
  • IHC-P

Supplier Data

Immunohistochemistry (Formalin/PFA-fixed paraffin-embedded sections) - Anti-CD3D+CD3G+CD3 epsilon antibody [RM1128] (AB318146)

Immunohistochemical analysis of paraffin-embedded Mouse cerebrum tissue labeling CD3D+CD3G+CD3 epsilon with ab318146 at 1/2000 (0.248 ug/ml) dilution, followed by a ready to use LeicaDS9800 (Bond™ Polymer Refine Detection).

Negative control : no staining on mouse cerebrum. The section was incubated with ab318146 for 30 mins at room temperature.
The immunostaining was performed on a Leica Biosystems BOND® RX instrument

Counterstained with Hematoxylin.

Secondary antibody only control : Secondary antibody is a ready to use LeicaDS9800 (Bond™ Polymer Refine Detection).

Heat mediated antigen retrieval was performed with Tris-EDTA buffer (pH 9.0, Epitope Retrieval Solution2) for 20 mins

Immunohistochemistry (Formalin/PFA-fixed paraffin-embedded sections) - Anti-CD3D+CD3G+CD3 epsilon antibody [RM1128] (AB318146)
  • IHC-P

Supplier Data

Immunohistochemistry (Formalin/PFA-fixed paraffin-embedded sections) - Anti-CD3D+CD3G+CD3 epsilon antibody [RM1128] (AB318146)

Immunohistochemical analysis of paraffin-embedded Rat cerebrum tissue labeling CD3D+CD3G+CD3 epsilon with ab318146 at 1/2000 (0.248 ug/ml) dilution, followed by a ready to use LeicaDS9800 (Bond™ Polymer Refine Detection).

Negative control : no staining on rat cerebrum. The section was incubated with ab318146 for 30 mins at room temperature.
The immunostaining was performed on a Leica Biosystems BOND® RX instrument

Counterstained with Hematoxylin.

Secondary antibody only control : Secondary antibody is a ready to use LeicaDS9800 (Bond™ Polymer Refine Detection).

Heat mediated antigen retrieval was performed with Tris-EDTA buffer (pH 9.0, Epitope Retrieval Solution2) for 20 mins

Immunohistochemistry (Formalin/PFA-fixed paraffin-embedded sections) - Anti-CD3D+CD3G+CD3 epsilon antibody [RM1128] (AB318146)
  • IHC-P

Supplier Data

Immunohistochemistry (Formalin/PFA-fixed paraffin-embedded sections) - Anti-CD3D+CD3G+CD3 epsilon antibody [RM1128] (AB318146)

Immunohistochemical analysis of paraffin-embedded Mouse spleen tissue labeling CD3D+CD3G+CD3 epsilon with ab318146 at 1/2000 (0.248 ug/ml) dilution, followed by a ready to use LeicaDS9800 (Bond™ Polymer Refine Detection).

Positive staining on T cell in mouse spleen. The section was incubated with ab318146 for 30 mins at room temperature.
The immunostaining was performed on a Leica Biosystems BOND® RX instrument

Counterstained with Hematoxylin.

Secondary antibody only control : Secondary antibody is a ready to use LeicaDS9800 (Bond™ Polymer Refine Detection).

Heat mediated antigen retrieval was performed with Tris-EDTA buffer (pH 9.0, Epitope Retrieval Solution2) for 20 mins

Immunocytochemistry/ Immunofluorescence - Anti-CD3D+CD3G+CD3 epsilon antibody [RM1128] (AB318146)
  • ICC/IF

Supplier Data

Immunocytochemistry/ Immunofluorescence - Anti-CD3D+CD3G+CD3 epsilon antibody [RM1128] (AB318146)

Immunofluorescent analysis of 4% Paraformaldehyde-fixed, 0.1% Tween-20 permeabilized Mouse PBMC (mouse primary peripheral blood mononuclear cell) cells labelling CD3D+CD3G+CD3 epsilon with ab318146 at 1/1000 (0.495 ug/ml) dilution, followed by ab150081 Goat Anti-Rabbit IgG H&L (Alexa Fluor® 488) preadsorbed antibody at 1/1000 2 ug/ml dilution (Green).

Confocal image showing membranous staining in subsets of mouse PBMCs (shown in green). The counterstain was observed in magenta. Nuclear DNA was labeled with DAPI (shown in blue).
Image was taken with a confocal microscope (Leica-Microsystems, TCS SP8).

ab195889 Anti-alpha Tubulin mouse monoclonal antibody - Microtubule Marker (Alexa Fluor® 594) was used to counterstain tubulin at 1/200 2.5ug/ml dilution (Magenta). The Nuclear counterstain was DAPI (Blue).

Secondary antibody only control : Secondary antibody is ab150081 Goat Anti-Rabbit IgG H&L (Alexa Fluor® 488) preadsorbed at 1/1000 2 ug/ml dilution.

Flow Cytometry (Intracellular) - Anti-CD3D+CD3G+CD3 epsilon antibody [RM1128] (AB318146)
  • Flow Cyt (Intra)

Supplier Data

Flow Cytometry (Intracellular) - Anti-CD3D+CD3G+CD3 epsilon antibody [RM1128] (AB318146)

Flow cytometric analysis of 4% paraformaldehyde fixed 0.1% Tween-20 permeabilized Mouse PBMC cells labelling CD3D+CD3G+CD3 epsilon with ab318146 at 1/5000 dilution (0.01ug)/Right compared with a Rabbit monoclonal IgG (ab172730) / Left isotype control.

Goat Anti-Rabbit IgG (Alexa Fluor® 488, ab150081) at 1/5000 dilution was used as the secondary antibody.

Cells were co-stained with anti mouse CD19 conjugated to PE/Cy7. Fixed with 4% PFA for 10 min followed by intracellularly staining with rabbit IgG or ab318146.

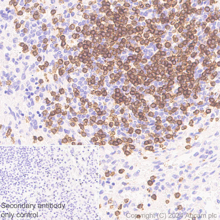
Immunohistochemistry (Formalin/PFA-fixed paraffin-embedded sections) - Anti-CD3D+CD3G+CD3 epsilon antibody [RM1128] (AB318146)
  • IHC-P

Supplier Data

Immunohistochemistry (Formalin/PFA-fixed paraffin-embedded sections) - Anti-CD3D+CD3G+CD3 epsilon antibody [RM1128] (AB318146)

Immunohistochemical analysis of paraffin-embedded Rat spleen tissue labeling CD3D+CD3G+CD3 epsilon with ab318146 at 1/2000 (0.248 ug/ml) dilution, followed by a ready to use LeicaDS9800 (Bond™ Polymer Refine Detection).

Positive staining on T cell in rat spleen. The section was incubated with ab318146 for 30 mins at room temperature.
The immunostaining was performed on a Leica Biosystems BOND® RX instrument

Counterstained with Hematoxylin.

Secondary antibody only control : Secondary antibody is a ready to use LeicaDS9800 (Bond™ Polymer Refine Detection).

Heat mediated antigen retrieval was performed with Tris-EDTA buffer (pH 9.0, Epitope Retrieval Solution2) for 20 mins

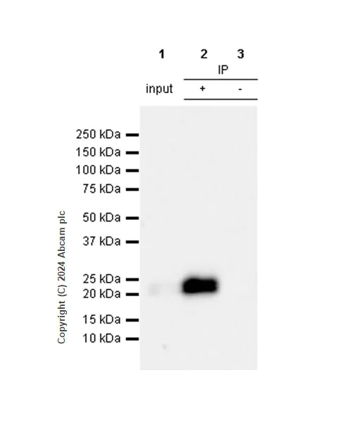
Immunoprecipitation - Anti-CD3D+CD3G+CD3 epsilon antibody [RM1128] (AB318146)
  • IP

Supplier Data

Immunoprecipitation - Anti-CD3D+CD3G+CD3 epsilon antibody [RM1128] (AB318146)

CD3D+CD3G+CD3 epsilon was immunoprecipitated from 0.35 mg EL4 (mouse lymphoma T lymphocyte) whole cell lysate with ab318146 at 1/30 dilution (2ug in 0.35mg lysates). Western blot was performed on the immunoprecipitate using ab318146 at 1/1000 dilution. VeriBlot for IP secondary antibody(HRP)(ab131366) was used at 1/5000 dilution.

Blocking and diluting buffer and concentration : 5% NFDM/TBST.

Lane 1 : EL4 (mouse lymphoma T lymphocyte) whole cell lysate
Lane 2 : ab318146 IP in EL4 (mouse lymphoma T lymphocyte) whole cell lysate
Lane 3 : Rabbit monoclonal IgG (ab172730) instead of ab318146 in EL4 whole cell lysate

All lanes:

Immunoprecipitation - Anti-CD3D+CD3G+CD3 epsilon antibody [RM1128] (ab318146) at 1/30 dilution

All lanes:

EL4 (mouse lymphoma T lymphocyte) whole cell lysate

Secondary

All lanes:

Immunoprecipitation - VeriBlot for IP Detection Reagent (HRP) (<a href='/en-us/products/reagents/veriblot-for-ip-detection-reagent-hrp-ab131366'>ab131366</a>) at 1/5000 dilution

false

Exposure time: 3s

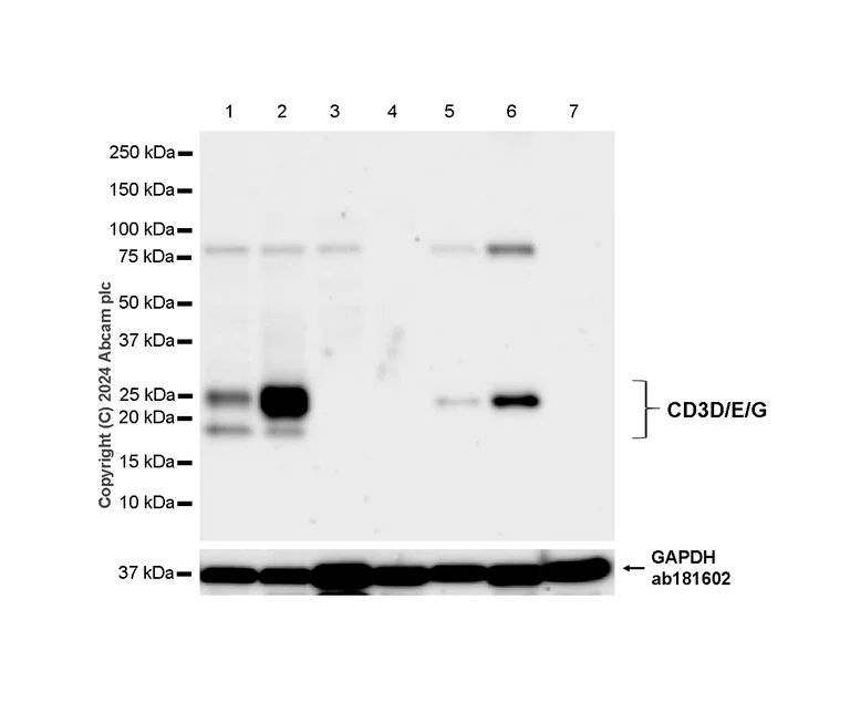
Western blot - Anti-CD3D+CD3G+CD3 epsilon antibody [RM1128] (AB318146)
  • WB

Supplier Data

Western blot - Anti-CD3D+CD3G+CD3 epsilon antibody [RM1128] (AB318146)

Negative control : U-937, Raji, C2C12.

In Western blot, Anti-GAPDH antibody [EPR16891] - Loading Control (ab181602) staining at 1/200000 dilution.

Exposure time : Lane 1-4 : 180 seconds Lane 5-7 : 103 seconds

Blocking and diluting buffer and concentration : 5% NFDM/TBST.

All lanes:

Western blot - Anti-CD3D+CD3G+CD3 epsilon antibody [RM1128] (ab318146) at 1/1000 dilution

Lane 1:

Jurkat (human T cell leukemia T lymphocyte from peripheral blood) whole cell lysate at 20 µg

Lane 2:

MOLT-4 (human lymphoblastic leukemia T lymphoblast) whole cell lysate at 20 µg

Lane 3:

U-937 (human histiocytic lymphoma monocyte) whole cell lysate at 20 µg

Lane 4:

Raji (human Burkitts lymphoma B lymphocyte) whole cell lysate at 20 µg

Lane 5:

EL4.IL-2 (mouse lymphoma T lymphocyte) whole cell lysate at 20 µg

Lane 6:

EL4 (mouse lymphoma T lymphocyte) whole cell lysate at 20 µg

Lane 7:

C2C12 (mouse myoblast) whole cell lysate at 20 µg

Secondary

All lanes:

Western blot - Goat Anti-Rabbit IgG H&L (HRP) (<a href='/en-us/products/secondary-antibodies/goat-rabbit-igg-h-l-hrp-ab97051'>ab97051</a>) at 1/100000 dilution

Observed band size: 18-23 kDa,36 kDa

false

Western blot - Anti-CD3D+CD3G+CD3 epsilon antibody [RM1128] (AB318146)
  • WB

Supplier Data

Western blot - Anti-CD3D+CD3G+CD3 epsilon antibody [RM1128] (AB318146)

Negative control : skeletal muscle.

The identity of the higher MW bands at approximately 75kDa are unknown.

In Western blot, Anti-GAPDH antibody [EPR16891] - Loading Control (ab181602) staining at 1/200000 dilution.

Blocking and diluting buffer and concentration : 5% NFDM/TBST.

All lanes:

Western blot - Anti-CD3D+CD3G+CD3 epsilon antibody [RM1128] (ab318146) at 1/1000 dilution

Lane 1:

Human spleen tissue lysate at 40 µg

Lane 2:

Human skeletal muscle tissue lysate at 40 µg

Secondary

All lanes:

Western blot - Goat Anti-Rabbit IgG H&L (HRP) (<a href='/en-us/products/secondary-antibodies/goat-rabbit-igg-h-l-hrp-ab97051'>ab97051</a>) at 1/20000 dilution

Observed band size: 18-23 kDa,36 kDa

false

Exposure time: 81s

Western blot - Anti-CD3D+CD3G+CD3 epsilon antibody [RM1128] (AB318146)
  • WB

Supplier Data

Western blot - Anti-CD3D+CD3G+CD3 epsilon antibody [RM1128] (AB318146)

Negative control : skeletal muscle and brain.

The identity of the higher MW bands at approximately 75kDa are unknown.

In Western blot, Anti-GAPDH antibody [EPR16891] - Loading Control (ab181602) staining at 1/200000 dilution.

Blocking and diluting buffer and concentration : 5% NFDM/TBST.

All lanes:

Western blot - Anti-CD3D+CD3G+CD3 epsilon antibody [RM1128] (ab318146) at 1/1000 dilution

Lane 1:

Mouse spleen tissue lysate at 40 µg

Lane 2:

Mouse thymus tissue lysate at 40 µg

Lane 3:

Mouse skeletal muscle tissue lysate at 40 µg

Lane 4:

Mouse brain tissue lysate at 40 µg

Lane 5:

Rat spleen tissue lysate at 40 µg

Lane 6:

Rat thymus tissue lysate at 40 µg

Lane 7:

Rat brain tissue lysate at 40 µg

Secondary

All lanes:

Western blot - Goat Anti-Rabbit IgG H&L (HRP) (<a href='/en-us/products/secondary-antibodies/goat-rabbit-igg-h-l-hrp-ab97051'>ab97051</a>) at 1/20000 dilution

Observed band size: 18-23 kDa,23 kDa,36 kDa

false

Exposure time: 59s

Western blot - Anti-CD3D+CD3G+CD3 epsilon antibody [RM1128] (AB318146)
  • WB

Supplier Data

Western blot - Anti-CD3D+CD3G+CD3 epsilon antibody [RM1128] (AB318146)

This antibody cross-reacts with both human and mouse CD3D+CD3G+CD3 epsilon.

In Western blot, Anti-GAPDH antibody [EPR16891] - Loading Control (ab181602) staining at 1/200000 dilution.

In Western blot, Anti-6X His tag® antibody [EPR20547] - ChIP Grade (ab213204) staining at 1/5000 dilution.

Blocking and diluting buffer and concentration : 5% NFDM/TBST.

All lanes:

Western blot - Anti-CD3D+CD3G+CD3 epsilon antibody [RM1128] (ab318146) at 1/1000 dilution

Lane 1:

HEK-293T cells transfected with an empty vector containing a His tag, whole cell lysate at 20 µg

Lane 2:

HEK-293T cells transfected with a human CD3E vector containing a His tag, whole cell lysate at 4 µg

Lane 3:

HEK-293T cells transfected with a human CD3G vector containing a His tag, whole cell lysate at 4 µg

Lane 4:

HEK-293T cells transfected with a human CD3D vector containing a His tag, whole cell lysate at 4 µg

Lane 5:

HEK-293T cells transfected with a mouse CD3E vector containing a His tag, whole cell lysate at 20 µg

Lane 6:

HEK-293T cells transfected with a mouse CD3D vector containing a His tag, whole cell lysate at 20 µg

Lane 7:

HEK-293T cells transfected with a mouse CD3G vector containing a His tag, whole cell lysate at 20 µg

Secondary

All lanes:

Western blot - Goat Anti-Rabbit IgG H&L (HRP) (<a href='/en-us/products/secondary-antibodies/goat-rabbit-igg-h-l-hrp-ab97051'>ab97051</a>) at 1/100000 dilution

Observed band size: 18-25 kDa,36 kDa

false

Exposure time: 6s

  • Carrier free

    Anti-CD3D+CD3G+CD3 epsilon antibody [RM1128] - BSA and Azide free

Key facts

Host species

Rabbit

Clonality

Multiclonal

Clone number

RM1128

Isotype

IgG

Carrier free

No

Reacts with

Human, Mouse, Rat

Applications

IHC-P, IP, Flow Cyt (Intra), WB, ICC/IF

applications

Immunogen

This product was produced with the following immunogens:

The exact immunogen used to generate this antibody is proprietary information.

The exact immunogen used to generate this antibody is proprietary information.

The exact immunogen used to generate this antibody is proprietary information.

The exact immunogen used to generate this antibody is proprietary information.

The exact immunogen used to generate this antibody is proprietary information.

The exact immunogen used to generate this antibody is proprietary information.

Reactivity data

{ "title": "Reactivity Data", "filters": { "stats": ["", "Species", "Dilution Info", "Notes"], "tabs": { "all-applications": {"fullname" : "All Applications", "shortname": "All Applications"}, "WB" : {"fullname" : "Western blot", "shortname":"WB"}, "IHCP" : {"fullname" : "Immunohistochemistry (Formalin/PFA-fixed paraffin-embedded sections)", "shortname":"IHC-P"}, "ICCIF" : {"fullname" : "Immunocytochemistry/ Immunofluorescence", "shortname":"ICC/IF"}, "FlowCytIntra" : {"fullname" : "Flow Cytometry (Intracellular)", "shortname":"Flow Cyt (Intra)"}, "IP" : {"fullname" : "Immunoprecipitation", "shortname":"IP"} }, "product-promise": { "all": "all", "testedAndGuaranteed": "tested", "guaranteed": "expected", "predicted": "predicted", "notRecommended": "not-recommended" } }, "values": { "Human": { "WB-species-checked": "testedAndGuaranteed", "WB-species-dilution-info": "1/1000", "WB-species-notes": "<p></p>", "IHCP-species-checked": "testedAndGuaranteed", "IHCP-species-dilution-info": "1/2000", "IHCP-species-notes": "<p></p> Perform heat-mediated antigen retrieval with Tris/EDTA buffer pH 9.0 before commencing with IHC staining protocol.", "ICCIF-species-checked": "testedAndGuaranteed", "ICCIF-species-dilution-info": "1/1000", "ICCIF-species-notes": "<p></p>", "FlowCytIntra-species-checked": "testedAndGuaranteed", "FlowCytIntra-species-dilution-info": "1/5000", "FlowCytIntra-species-notes": "<p></p>", "IP-species-checked": "testedAndGuaranteed", "IP-species-dilution-info": "1/30", "IP-species-notes": "<p></p>" }, "Mouse": { "WB-species-checked": "testedAndGuaranteed", "WB-species-dilution-info": "1/1000", "WB-species-notes": "<p></p>", "IHCP-species-checked": "testedAndGuaranteed", "IHCP-species-dilution-info": "1/2000", "IHCP-species-notes": "<p></p> Perform heat-mediated antigen retrieval with Tris/EDTA buffer pH 9.0 before commencing with IHC staining protocol.", "ICCIF-species-checked": "testedAndGuaranteed", "ICCIF-species-dilution-info": "1/1000", "ICCIF-species-notes": "<p></p>", "FlowCytIntra-species-checked": "testedAndGuaranteed", "FlowCytIntra-species-dilution-info": "1/5000", "FlowCytIntra-species-notes": "<p></p>", "IP-species-checked": "testedAndGuaranteed", "IP-species-dilution-info": "1/30", "IP-species-notes": "<p></p>" }, "Rat": { "WB-species-checked": "testedAndGuaranteed", "WB-species-dilution-info": "1/1000", "WB-species-notes": "<p></p>", "IHCP-species-checked": "testedAndGuaranteed", "IHCP-species-dilution-info": "1/2000", "IHCP-species-notes": "<p></p> Perform heat-mediated antigen retrieval with Tris/EDTA buffer pH 9.0 before commencing with IHC staining protocol.", "ICCIF-species-checked": "guaranteed", "ICCIF-species-dilution-info": "", "ICCIF-species-notes": "", "FlowCytIntra-species-checked": "guaranteed", "FlowCytIntra-species-dilution-info": "", "FlowCytIntra-species-notes": "", "IP-species-checked": "guaranteed", "IP-species-dilution-info": "", "IP-species-notes": "" }, "Transfected cell lysate - Human": { "WB-species-checked": "testedAndGuaranteed", "WB-species-dilution-info": "1/1000", "WB-species-notes": "<p></p>", "IHCP-species-checked": "notRecommended", "IHCP-species-dilution-info": "", "IHCP-species-notes": "", "ICCIF-species-checked": "notRecommended", "ICCIF-species-dilution-info": "", "ICCIF-species-notes": "", "FlowCytIntra-species-checked": "notRecommended", "FlowCytIntra-species-dilution-info": "", "FlowCytIntra-species-notes": "", "IP-species-checked": "notRecommended", "IP-species-dilution-info": "", "IP-species-notes": "" }, "Transfected cell lysate - Mouse": { "WB-species-checked": "testedAndGuaranteed", "WB-species-dilution-info": "1/1000", "WB-species-notes": "<p></p>", "IHCP-species-checked": "notRecommended", "IHCP-species-dilution-info": "", "IHCP-species-notes": "", "ICCIF-species-checked": "notRecommended", "ICCIF-species-dilution-info": "", "ICCIF-species-notes": "", "FlowCytIntra-species-checked": "notRecommended", "FlowCytIntra-species-dilution-info": "", "FlowCytIntra-species-notes": "", "IP-species-checked": "notRecommended", "IP-species-dilution-info": "", "IP-species-notes": "" } } }

Product details

What are recombinant multiclonals?
Recombinant multiclonals are a mixture of recombinant antibodies co-expressed from a library of heavy and light chains. They offer several advantages including:

  • - The sensitivity of polyclonal antibodies by recognising multiple epitopes
  • - High batch-to-batch consistency and reproducibility
  • - Improved sensitivity and specificity
  • - Long-term security of supply
  • - Animal-free batch production

View our range of recombinant multiclonal antibodies.

Patented technology
Our RabMAb® technology is a patented hybridoma-based technology for making rabbit monoclonal antibodies. For details on our patents, please refer to RabMAb® patents.

Properties and storage information

Form
Liquid
Purification technique
Affinity purification Protein A
Storage buffer
pH: 7.2 - 7.4 Preservative: 0.01% Sodium azide Constituents: PBS, 40% Glycerol (glycerin, glycerine), 0.05% BSA
Shipped at conditions
Blue Ice
Appropriate short-term storage duration
1-2 weeks
Appropriate short-term storage conditions
+4°C
Appropriate long-term storage conditions
-20°C
Aliquoting information
Upon delivery aliquot
Storage information
Avoid freeze / thaw cycle

Product protocols

For this product, it's our understanding that no specific protocols are required. You can visit:

Target data

Part of the TCR-CD3 complex present on T-lymphocyte cell surface that plays an essential role in adaptive immune response (PubMed : 15294938, PubMed : 15546002, PubMed : 2470098, PubMed : 40592325, PubMed : 8490660). When antigen presenting cells (APCs) activate T-cell receptor (TCR), TCR-mediated signals are transmitted across the cell membrane by the CD3 chains CD3D, CD3E, CD3G and CD247/CD3Z (PubMed : 2470098, PubMed : 40592325). All CD3 chains contain immunoreceptor tyrosine-based activation motifs (ITAMs) in their cytoplasmic domain (PubMed : 2470098, PubMed : 40592325). Upon TCR engagement, these motifs become phosphorylated by Src family protein tyrosine kinases LCK and FYN, resulting in the activation of downstream signaling pathways (PubMed : 2470098, PubMed : 40592325). CD3E ITAM phosphorylation creates docking sites for the protein kinase ZAP70 leading to ZAP70 phosphorylation and its conversion into a catalytically active enzyme (By similarity). In addition of this role of signal transduction in T-cell activation, CD3E plays an essential role in correct T-cell development (By similarity). Also participates in internalization and cell surface down-regulation of TCR-CD3 complexes via endocytosis sequences present in CD3E cytosolic region (PubMed : 10384095, PubMed : 26507128). In addition to its role as a TCR coreceptor, it serves as a receptor for ITPRIPL1 (PubMed : 38614099). Ligand recognition inhibits T-cell activation by promoting interaction with NCK1, which prevents CD3E-ZAP70 interaction and blocks the ERK-NFkB signaling cascade and calcium influx (PubMed : 12110186, PubMed : 38614099).
See full target information CD3E

Additional targets

CD3D,CD3G,Cd3e,Cd3d

Product promise

We are committed to supporting your work with high-quality reagents, and we're here for you every step of the way. In the unlikely event that one of our products does not perform as expected, you're protected by our Product Promise.
For full details, please see our Terms & Conditions

Please note: All products are 'FOR RESEARCH USE ONLY. NOT FOR USE IN DIAGNOSTIC OR THERAPEUTIC PROCEDURES'.

For licensing inquiries, please contact partnerships@abcam.com