JavaScript is disabled in your browser. Please enable JavaScript to view this website.
AB134096

Anti-CD3G antibody [EPR4517]

5

(1 Review)

|

(27 Publications)

Anti-CD3G antibody [EPR4517] (ab134096) is a rabbit monoclonal antibody detecting CD3G in Western Blot, Flow Cytometry (Intra), Flow Cytometry, IP, IHC-P, ICC/IF. Suitable for Human, Mouse.

- Biophysical QC for unrivalled batch-batch consistency
- Over 20 publications

View Alternative Names

CD3g, T3G, CD3G, T-cell surface glycoprotein CD3 gamma chain, T-cell receptor T3 gamma chain

12 Images
Flow Cytometry (Intracellular) - Anti-CD3G antibody [EPR4517] (AB134096)
  • Flow Cyt (Intra)

Lab

Flow Cytometry (Intracellular) - Anti-CD3G antibody [EPR4517] (AB134096)

Intracellular Flow Cytometry analysis of Jurkat (human acute T cell leukemia) cells labeling CD3G with purified ab134096 at 1/70 dilution (10ug/mL) (red). Cells were fixed with 4% paraformaldehyde and permeabilised with 90% methanol. A Goat anti rabbit IgG (Alexa Fluor®488) (1/2000 dilution) was used as the secondary antibody. Rabbit monoclonal IgG (Black) was used as the isotype control, cells without incubation with primary antibody and secondary antibody (Blue) was used as the unlabeled control.

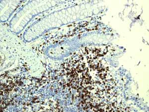
Immunohistochemistry (Formalin/PFA-fixed paraffin-embedded sections) - Anti-CD3G antibody [EPR4517] (AB134096)
  • IHC-P

Lab

Immunohistochemistry (Formalin/PFA-fixed paraffin-embedded sections) - Anti-CD3G antibody [EPR4517] (AB134096)

Immunohistochemistry (Formalin/PFA-fixed paraffin-embedded sections) analysis of human tonsil tissue labelling CD3G with purified ab134096 at 1/1000. Heat mediated antigen retrieval was performed using Tris/EDTA buffer pH 9. A prediluted HRP-polymer conjugated anti-rabbit IgG was used as the secondary antibody. Negative control using PBS instead of primary antibody. Counterstained with hematoxylin.

Immunocytochemistry/ Immunofluorescence - Anti-CD3G antibody [EPR4517] (AB134096)
  • ICC/IF

Lab

Immunocytochemistry/ Immunofluorescence - Anti-CD3G antibody [EPR4517] (AB134096)

Immunocytochemistry/Immunofluorescence analysis of Jurkat cells labelling CD3G with purified ab134096 at 1/1000. Cells were fixed with 4% paraformaldehyde and permeabilized with 0.1% Triton X-100. An Alexa Fluor® 555-conjugated goat anti-rabbit IgG (1/500) was used as the secondary antibody. DAPI (blue) was used as the nuclear counterstain.

Control : primary antibody (1/1000) and secondary antibody, ab150113, an Alexa Fluor® 488-conjugated goat anti-mouse IgG (1/500).

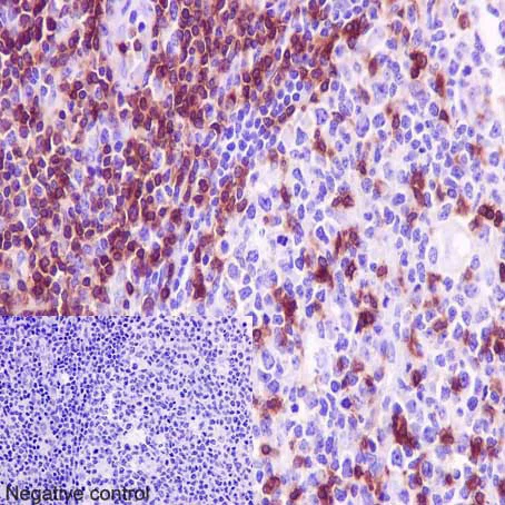
Immunohistochemistry (Formalin/PFA-fixed paraffin-embedded sections) - Anti-CD3G antibody [EPR4517] (AB134096)
  • IHC-P

Unknown

Immunohistochemistry (Formalin/PFA-fixed paraffin-embedded sections) - Anti-CD3G antibody [EPR4517] (AB134096)

Immunohistochemistry (Formalin/PFA-fixed paraffin-embedded sections) analysis of human tonsil tissue labelling CD3G with unpurified ab134096.

Perform heat mediated antigen retrieval with citrate buffer pH 6 before commencing with IHC staining protocol.

Immunohistochemistry (Formalin/PFA-fixed paraffin-embedded sections) - Anti-CD3G antibody [EPR4517] (AB134096)
  • IHC-P

Unknown

Immunohistochemistry (Formalin/PFA-fixed paraffin-embedded sections) - Anti-CD3G antibody [EPR4517] (AB134096)

Immunohistochemistry (Formalin/PFA-fixed parffin-embedded sections) analysis of human skeletal muscle tissue. Unpurified ab32362 shows negative staining.

Perform heat mediated antigen retrieval with citrate buffer pH 6 before commencing with IHC staining protocol.

Immunohistochemistry (Formalin/PFA-fixed paraffin-embedded sections) - Anti-CD3G antibody [EPR4517] (AB134096)
  • IHC-P

Unknown

Immunohistochemistry (Formalin/PFA-fixed paraffin-embedded sections) - Anti-CD3G antibody [EPR4517] (AB134096)

Immunohistochemistry (Formalin/PFA-fixed paraffin-embedded sections) analysis of human colon (lymphocytes) tissue labelling CD3G with unpurified ab134096.

Perform heat mediated antigen retrieval with citrate buffer pH 6 before commencing with IHC staining protocol.

Immunohistochemistry (Formalin/PFA-fixed paraffin-embedded sections) - Anti-CD3G antibody [EPR4517] (AB134096)
  • IHC-P

Unknown

Immunohistochemistry (Formalin/PFA-fixed paraffin-embedded sections) - Anti-CD3G antibody [EPR4517] (AB134096)

Immunohistochemistry (Formalin/PFA-fixed parffin-embedded sections) analysis of human brain tissue. Unpurified ab32362 shows negative staining.

Perform heat mediated antigen retrieval with citrate buffer pH 6 before commencing with IHC staining protocol.

Immunohistochemistry (Formalin/PFA-fixed paraffin-embedded sections) - Anti-CD3G antibody [EPR4517] (AB134096)
  • IHC-P

Unknown

Immunohistochemistry (Formalin/PFA-fixed paraffin-embedded sections) - Anti-CD3G antibody [EPR4517] (AB134096)

Immunohistochemistry (Formalin/PFA-fixed paraffin-embedded sections) analysis of mouse spleen tissue labelling CD3G with unpurified ab134096.

Perform heat mediated antigen retrieval with citrate buffer pH 6 before commencing with IHC staining protocol.

Western blot - Anti-CD3G antibody [EPR4517] (AB134096)
  • WB

Unknown

Western blot - Anti-CD3G antibody [EPR4517] (AB134096)

All lanes:

Western blot - Anti-CD3G antibody [EPR4517] (ab134096) at 1/10000 dilution

Lane 1:

Jurkat cell lysate at 10 µg

Lane 2:

Mouse thymus tissue lysate at 10 µg

Secondary

All lanes:

HRP-conjugated goat anti-rabbit IgG at 1/2000 dilution

Predicted band size: 20 kDa

false

Western blot - Anti-CD3G antibody [EPR4517] (AB134096)
  • WB

Lab

Western blot - Anti-CD3G antibody [EPR4517] (AB134096)

Blocking buffer and concentration : 5% NFDM/TBST.

Diluting buffer and concentration : 5% NFDM /TBST.

All lanes:

Western blot - Anti-CD3G antibody [EPR4517] (ab134096) at 1/50000 dilution

All lanes:

Mouse thymus tissue lysate at 20 µg

Secondary

All lanes:

Peroxidase-conjugated goat anti-rabbit IgG (H+L) at 1/1000 dilution

Predicted band size: 20 kDa

Observed band size: 18-28 kDa

false

Immunoprecipitation - Anti-CD3G antibody [EPR4517] (AB134096)
  • IP

Lab

Immunoprecipitation - Anti-CD3G antibody [EPR4517] (AB134096)

ab134096 (purified) at 1/40 immunoprecipitating CD3G in Jurkat cell lysate (Lane 1). Lane 2 - PBS. For western blotting, a HRP-conjugated anti-rabbit IgG, specific to the non-reduced form of IgG was used as the secondary antibody (1/1500).

Blocking buffer and concentration : 5% NFDM/TBST.

Diluting buffer and concentration : 5% NFDM /TBST.

All lanes:

Immunoprecipitation - Anti-CD3G antibody [EPR4517] (ab134096)

Predicted band size: 20 kDa

Observed band size: 18-28 kDa

false

Western blot - Anti-CD3G antibody [EPR4517] (AB134096)
  • WB

Lab

Western blot - Anti-CD3G antibody [EPR4517] (AB134096)

Blocking buffer and concentration : 5% NFDM/TBST.

Diluting buffer and concentration : 5% NFDM /TBST.

All lanes:

Western blot - Anti-CD3G antibody [EPR4517] (ab134096) at 1/50000 dilution

Lane 1:

Jurkat cell lysate at 20 µg

Lane 2:

Human fetal thymus lysate at 20 µg

Secondary

All lanes:

Peroxidase-conjugated goat anti-rabbit IgG (H+L) at 1/1000 dilution

Predicted band size: 20 kDa

Observed band size: 18-28 kDa

false

Key facts

Host species

Rabbit

Clonality

Monoclonal

Clone number

EPR4517

Isotype

IgG

Carrier free

No

Reacts with

Mouse, Human

Applications

Flow Cyt (Intra), ICC/IF, WB, IP, IHC-P

applications

Immunogen

The exact immunogen used to generate this antibody is proprietary information.

Reactivity data

{ "title": "Reactivity Data", "filters": { "stats": ["", "Species", "Dilution Info", "Notes"], "tabs": { "all-applications": {"fullname" : "All Applications", "shortname": "All Applications"}, "IHCP" : {"fullname" : "Immunohistochemistry (Formalin/PFA-fixed paraffin-embedded sections)", "shortname":"IHC-P"}, "IP" : {"fullname" : "Immunoprecipitation", "shortname":"IP"}, "WB" : {"fullname" : "Western blot", "shortname":"WB"}, "ICCIF" : {"fullname" : "Immunocytochemistry/ Immunofluorescence", "shortname":"ICC/IF"}, "FlowCytIntra" : {"fullname" : "Flow Cytometry (Intracellular)", "shortname":"Flow Cyt (Intra)"} }, "product-promise": { "all": "all", "testedAndGuaranteed": "tested", "guaranteed": "expected", "predicted": "predicted", "notRecommended": "not-recommended" } }, "values": { "Human": { "IHCP-species-checked": "testedAndGuaranteed", "IHCP-species-dilution-info": "1/1000", "IHCP-species-notes": "<p><strong>For unpurified use at 1/250 - 1/500.</strong></p> Perform heat-mediated antigen retrieval with citrate buffer pH 6 before commencing with IHC staining protocol.", "IP-species-checked": "testedAndGuaranteed", "IP-species-dilution-info": "1/40", "IP-species-notes": "<p><strong>For unpurified use at 1/10 - 1/100.</strong></p>", "WB-species-checked": "testedAndGuaranteed", "WB-species-dilution-info": "1/20000 - 1/200000", "WB-species-notes": "<p><strong>For unpurified use at 1/10000 - 1/50000.</strong></p>", "ICCIF-species-checked": "testedAndGuaranteed", "ICCIF-species-dilution-info": "1/1000", "ICCIF-species-notes": "<p><strong>For unpurified use at 1/500 - 1/1000.</strong></p>", "FlowCytIntra-species-checked": "testedAndGuaranteed", "FlowCytIntra-species-dilution-info": "1/70", "FlowCytIntra-species-notes": "<p></p>" }, "Mouse": { "IHCP-species-checked": "testedAndGuaranteed", "IHCP-species-dilution-info": "1/1000", "IHCP-species-notes": "<p><strong>For unpurified use at 1/250 - 1/500.</strong></p> Perform heat-mediated antigen retrieval with citrate buffer pH 6 before commencing with IHC staining protocol.", "IP-species-checked": "guaranteed", "IP-species-dilution-info": "", "IP-species-notes": "", "WB-species-checked": "guaranteed", "WB-species-dilution-info": "", "WB-species-notes": "", "ICCIF-species-checked": "guaranteed", "ICCIF-species-dilution-info": "", "ICCIF-species-notes": "", "FlowCytIntra-species-checked": "guaranteed", "FlowCytIntra-species-dilution-info": "", "FlowCytIntra-species-notes": "" } } }

Product details

What is this antibody validated in?
Anti-CD3G antibody [EPR4517] (ab134096) is a rabbit recombinant monoclonal antibody and is validated for use in Western Blot (WB), Flow Cytometry (Intra), Flow Cytometry (Flow Cyt), Immunoprecipitation (IP), Immunohistochemistry (IHC-P), Immunocytochemistry/immunofluorescence (ICC/IF) in Human, Mouse samples.

What is the molecular weight of CD3G?
Anti-CD3G [EPR4517] (ab134096) specifically detects a band for CD3G (UniProt: P09693) at a molecular weight of 20kDa.

Trusted by the scientific community
Anti-CD3G [EPR4517] (ab134096) was first used in a scientific publication in 2012 and has been cited over 20 times in peer-reviewed journals.

Trial sizes available!
Test your antibody or perform pre-screening before committing to a larger quantity. Sold in 10µl. Discover our selection of trial-size antibodies.

Other related products
We have a range of other formats of antibody clone [EPR4517] also available for your convenience: ab134096, Carrier free - ab229282, PE - ab305817, APC - ab305818, HRP - ab305819, Alkaline Phosphatase - ab308730, Alexa Fluor® 647 - ab310055, Alexa Fluor® 594 - ab310447, Alexa Fluor® 555 - ab311974, Alexa Fluor® 568 - ab312448, Alexa Fluor® 750 - ab321073

Patented technology
Our RabMAb® technology is a patented hybridoma-based technology for making rabbit monoclonal antibodies. For details on our patents, please refer to RabMAb® patents.

What are the advantages of a recombinant monoclonal antibody?
This product is a recombinant monoclonal antibody, which offers several advantages including:

  • - High batch-to-batch consistency and reproducibility
  • - Improved sensitivity and specificity
  • - Long-term security of supply
  • - Animal-free batch production

For more information, read more on recombinant antibodies.

Species reactivity
Rat: We have preliminary internal testing data to indicate this antibody may not react with this species.
Please contact us for more information.

Properties and storage information

Form
Liquid
Purification technique
Affinity purification Protein A
Storage buffer
pH: 7.2 - 7.4 Preservative: 0.01% Sodium azide Constituents: PBS, 40% Glycerol (glycerin, glycerine), 0.05% BSA
Shipped at conditions
Blue Ice
Appropriate short-term storage duration
1-2 weeks
Appropriate short-term storage conditions
+4°C
Appropriate long-term storage conditions
-20°C
Aliquoting information
Upon delivery aliquot
Storage information
Stable for 12 months at -20°C

Product protocols

For this product, it's our understanding that no specific protocols are required. You can visit:

Target data

Part of the TCR-CD3 complex present on T-lymphocyte cell surface that plays an essential role in adaptive immune response. When antigen presenting cells (APCs) activate T-cell receptor (TCR), TCR-mediated signals are transmitted across the cell membrane by the CD3 chains CD3D, CD3E, CD3G and CD3Z. All CD3 chains contain immunoreceptor tyrosine-based activation motifs (ITAMs) in their cytoplasmic domain. Upon TCR engagement, these motifs become phosphorylated by Src family protein tyrosine kinases LCK and FYN, resulting in the activation of downstream signaling pathways (PubMed : 2470098). In addition to this role of signal transduction in T-cell activation, CD3G plays an essential role in the dynamic regulation of TCR expression at the cell surface (PubMed : 8187769). Indeed, constitutive TCR cycling is dependent on the di-leucine-based (diL) receptor-sorting motif present in CD3G.
See full target information CD3G

Publications (27)

Recent publications for all applications. Explore the full list and refine your search

JCI insight 10: PubMed40485582

2025

De novo variant in RING finger protein 213 causes systemic vasculopathy.

Applications

Unspecified application

Species

Unspecified reactive species

Ayako Kashimada,Tomoko Mizuno,Eriko Tanaka,Susumu Hosokawa,Tomohiro Udagawa,Yuichi Hiraoka,Keisuke Uchida,Tomohiro Morio,Kenjiro Kosaki,Masatoshi Takagi

NPJ precision oncology 9:94 PubMed40169839

2025

Zebrafish Avatar testing preclinical study predicts chemotherapy response in breast cancer.

Applications

Unspecified application

Species

Unspecified reactive species

Raquel V Mendes,Joana M Ribeiro,Helena Gouveia,Cátia Rebelo de Almeida,Mireia Castillo-Martin,Maria José Brito,Rita Canas-Marques,Eva Batista,Celeste Alves,Berta Sousa,Pedro Gouveia,Miguel Godinho Ferreira,Maria João Cardoso,Fatima Cardoso,Rita Fior

Nature cancer 6:647-665 PubMed40097658

2025

Design of sensitive monospecific and bispecific synthetic chimeric T cell receptors for cancer therapy.

Applications

Unspecified application

Species

Unspecified reactive species

Sylvain Simon,Grace Bugos,Rachel Prins,Anusha Rajan,Arulmozhi Palani,Kersten Heyer,Andrew Stevens,Longhui Zeng,Kirsten A Thompson,Pinar A Atilla,Jason P Price,Mitchell G Kluesner,Carla A Jaeger-Ruckstuhl,Tamer B Shabaneh,James M Olson,Xiaolei Su,Stanley R Riddell

British journal of pharmacology 182:1741-1762 PubMed39833988

2025

Genetic deficiency or pharmacological inhibition of cGAS-STING signalling suppresses kidney inflammation and fibrosis.

Applications

Unspecified application

Species

Unspecified reactive species

Baihai Jiao,Changlong An,Hao Du,Melanie Tran,Duomeng Yang,Yuqi Zhao,Penghua Wang,Zhaoyong Hu,Dong Zhou,Yanlin Wang

eLife 13: PubMed38980810

2024

Tumor purity-related genes for predicting the prognosis and drug sensitivity of DLBCL patients.

Applications

Unspecified application

Species

Unspecified reactive species

Zhenbang Ye,Ning Huang,Yongliang Fu,Rongle Tian,Liming Wang,Wenting Huang

The American journal of pathology 193:2031-2046 PubMed37689386

2023

Depletion of Bone Marrow Hematopoietic Cells in Ebolavirus-Infected Rhesus Macaques: A Possible Cause of Hematologic Abnormalities in Ebolavirus Disease.

Applications

Unspecified application

Species

Unspecified reactive species

David X Liu,Bapi Pahar,Donna L Perry,Huanbin Xu,Timothy K Cooper,Louis M Huzella,Randy J Hart,Amanda M W Hischak,John Bernbaum,Marisa St Claire,Russell Byrum,Richard S Bennett,Travis Warren,Michael R Holbrook,Lisa E Hensley,Ian Crozier,Connie S Schmaljohn

Journal of cellular physiology 237:983-991 PubMed34515350

2021

Myeloid PTEN deficiency aggravates renal inflammation and fibrosis in angiotensin II-induced hypertension.

Applications

Unspecified application

Species

Unspecified reactive species

Changlong An,Baihai Jiao,Hao Du,Melanie Tran,Dong Zhou,Yanlin Wang

The Journal of clinical investigation 131: PubMed34491908

2021

CD146 bound to LCK promotes T cell receptor signaling and antitumor immune responses in mice.

Applications

Unspecified application

Species

Unspecified reactive species

Hongxia Duan,Lin Jing,Xiaoqing Jiang,Yanbin Ma,Daji Wang,Jianquan Xiang,Xuehui Chen,Zhenzhen Wu,Huiwen Yan,Junying Jia,Zheng Liu,Jing Feng,Mingzhao Zhu,Xiyun Yan

Cancer immunology, immunotherapy : CII 71:889-903 PubMed34482409

2021

Combination therapy for hepatocellular carcinoma with diacylglycerol kinase alpha inhibition and anti-programmed cell death-1 ligand blockade.

Applications

Unspecified application

Species

Unspecified reactive species

Naoki Okada,Ko Sugiyama,Shunsuke Shichi,Yasuhito Shirai,Kaoru Goto,Fumio Sakane,Hidemitsu Kitamura,Akinobu Taketomi

The EMBO journal 40:e105492 PubMed33709510

2021

Unbiased proteomic profiling of host cell extracellular vesicle composition and dynamics upon HIV-1 infection.

Applications

Unspecified application

Species

Unspecified reactive species

Lorena Martin-Jaular,Nathalie Nevo,Julia P Schessner,Mercedes Tkach,Mabel Jouve,Florent Dingli,Damarys Loew,Kenneth W Witwer,Matias Ostrowski,Georg H H Borner,Clotilde Théry
View all publications

Product promise

We are committed to supporting your work with high-quality reagents, and we're here for you every step of the way. In the unlikely event that one of our products does not perform as expected, you're protected by our Product Promise.
For full details, please see our Terms & Conditions

Please note: All products are 'FOR RESEARCH USE ONLY. NOT FOR USE IN DIAGNOSTIC OR THERAPEUTIC PROCEDURES'.

For licensing inquiries, please contact partnerships@abcam.com