JavaScript is disabled in your browser. Please enable JavaScript to view this website.
AB183685

Anti-CD4 antibody [EPR19514]

  • RabMAb
  • Recombinant
  • Lab Essentials
  • 20ul selling size
  • What is this?

5

(21 Reviews)

|

(583 Publications)

Anti-CD4 antibody [EPR19514] (ab183685) is a rabbit monoclonal antibody detecting CD4 in Western Blot, IP, IHC-P, IHC-Fr. Suitable for Mouse.

- Biophysical QC for unrivalled batch-batch consistency - Over 350 publications

IL-4 plays a key role in immunology by promoting the differentiation of naïve T cells into Th2 cells, which are essential for humoral immunity. It also stimulates B cell proliferation and antibody class switching, particularly toward IgE, contributing to allergic and anti-parasitic responses. IL-4 also plays a role in conditions like systemic lupus erythematosus (SLE) and multiple sclerosis, where it influences immune responses and inflammation.

View Alternative Names

CD4, T-cell surface glycoprotein CD4, T-cell differentiation antigen L3T4, T-cell surface antigen T4/Leu-3, Cd4

18 Images
Immunohistochemistry (Formalin/PFA-fixed paraffin-embedded sections) - Anti-CD4 antibody [EPR19514] (AB183685)
  • IHC-P

Supplier Data

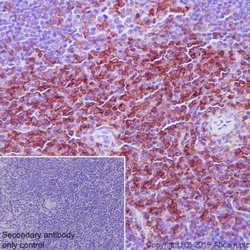
Immunohistochemistry (Formalin/PFA-fixed paraffin-embedded sections) - Anti-CD4 antibody [EPR19514] (AB183685)

Immunohistochemical analysis of paraffin-embedded Mouse spleen tissue labeling CD4 with ab183685 at 1/1000 dilution followed by Goat Anti-Rabbit IgG H&L (HRP) (ab97051) at 1/500 dilution.

Membrane staining on T cells is observed.

Counter stained with Hematoxylin.

Secondary antibody only control : Used PBS instead of primary antibody secondary antibody is ab97051 at 1/500 dilution.

Perform heat mediated antigen retrieval with Tris/EDTA buffer pH 9.0 before commencing with IHC staining protocol.

Immunohistochemistry (Formalin/PFA-fixed paraffin-embedded sections) - Anti-CD4 antibody [EPR19514] (AB183685)
  • IHC-P

AbReview63464****

Immunohistochemistry (Formalin/PFA-fixed paraffin-embedded sections) - Anti-CD4 antibody [EPR19514] (AB183685)

Formalin-fixed 0.2% Triton-X permeabilized mouse Eo771 mammary tumor tissue stained for CD4 with ab183685 (18 hours 4°C at a 1/1000 dilution) in immunohistochemical analysis. A Goat anti Rabbit IgG (H&L) polyclonal AlexaFluor®488 conjugate was used as the secondary (green).

Heat mediated antigen retrieval buffer/enzyme used : Citrate buffer.

Blocking step : 4% BSA for 1 hour at 25°C.

Anugraha Rajagopalan

Immunohistochemistry (Formalin/PFA-fixed paraffin-embedded sections) - Anti-CD4 antibody [EPR19514] (AB183685)
  • IHC-P

AbReview68740****

Immunohistochemistry (Formalin/PFA-fixed paraffin-embedded sections) - Anti-CD4 antibody [EPR19514] (AB183685)

Formaldehyde-fixed non-permeabilized mouse spleen tissue stained for CD4 with ab183685 (30mins at a 1/1000 dilution) in immunohistochemical analysis. A Goat polyclonal HRP conjugate was used as the secondary.

Heat mediated antigen retrieval buffer/enzyme used : Leica ER2 solution.

Zohar Gavish

Immunohistochemistry (Formalin/PFA-fixed paraffin-embedded sections) - Anti-CD4 antibody [EPR19514] (AB183685)
  • IHC-P

AbReview58971****

Immunohistochemistry (Formalin/PFA-fixed paraffin-embedded sections) - Anti-CD4 antibody [EPR19514] (AB183685)

Formaldehyde-fixed paraffin-embedded mouse spleen tissue stained for CD4 using ab183685 at 1/2000 dilution in immunohistochemical analysis followed by Goat anti Rabbit IgG Biotin.

This image is courtesy of an Abreview submitted by Mr. Carl Hobbs.

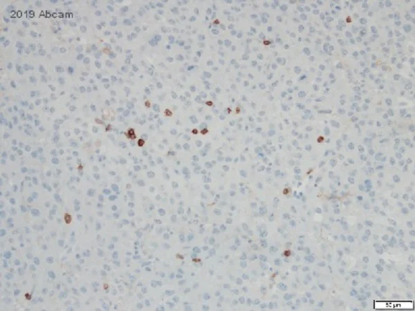
Immunohistochemistry (Formalin/PFA-fixed paraffin-embedded sections) - Anti-CD4 antibody [EPR19514] (AB183685)
  • IHC-P

Supplier Data

Immunohistochemistry (Formalin/PFA-fixed paraffin-embedded sections) - Anti-CD4 antibody [EPR19514] (AB183685)

Immunohistochemical analysis of paraffin-embedded Mouse cerebrum tissue labeling CD4 with ab183685 at 1/1000 dilution followed by Goat Anti-Rabbit IgG H&L (HRP) (ab97051) at 1/500 dilution.

Negative on mouse cerebrum.

Counter stained with Hematoxylin.

Secondary antibody only control : Used PBS instead of primary antibody secondary antibody is ab97051 at 1/500 dilution.

Perform heat mediated antigen retrieval with Tris/EDTA buffer pH 9.0 before commencing with IHC staining protocol.

Immunohistochemistry (Formalin/PFA-fixed paraffin-embedded sections) - Anti-CD4 antibody [EPR19514] (AB183685)
  • IHC-P

AbReview68614****

Immunohistochemistry (Formalin/PFA-fixed paraffin-embedded sections) - Anti-CD4 antibody [EPR19514] (AB183685)

Formaldehyde-fixed 3% hydrogen peroxide permeabilized B16F10 (melanoma) syngeneic mouse tumor tissue stained for CD4 with ab183685 (36mins 37°C at a 1/1000 dilution) in immunohistochemical analysis. A Goat anti Rabbit IgG polyclonal HRP conjugate was used as the secondary.

Heat mediated antigen retrieval buffer/enzyme used : Tris/EDTA.

Verified customer

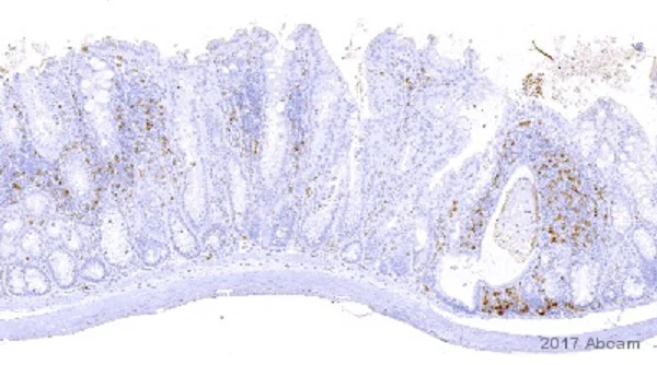
Immunohistochemistry (Formalin/PFA-fixed paraffin-embedded sections) - Anti-CD4 antibody [EPR19514] (AB183685)
  • IHC-P

Supplier Data

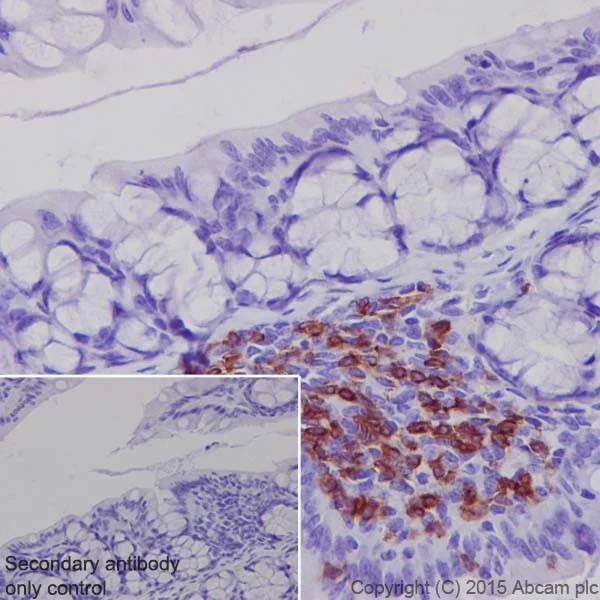
Immunohistochemistry (Formalin/PFA-fixed paraffin-embedded sections) - Anti-CD4 antibody [EPR19514] (AB183685)

Immunohistochemical analysis of paraffin-embedded Mouse colon tissue labeling CD4 with ab183685 at 1/1000 dilution followed by Goat Anti-Rabbit IgG H&L (HRP) (ab97051) at 1/500 dilution.

Membrane staining on lymphocytes and negative on epithelium cells of mouse colon is observed.

Counter stained with Hematoxylin.

Secondary antibody only control : Used PBS instead of primary antibody secondary antibody is ab97051 at 1/500 dilution.

Perform heat mediated antigen retrieval with Tris/EDTA buffer pH 9.0 before commencing with IHC staining protocol.

Immunohistochemistry (Formalin/PFA-fixed paraffin-embedded sections) - Anti-CD4 antibody [EPR19514] (AB183685)
  • IHC-P

AbReview59119****

Immunohistochemistry (Formalin/PFA-fixed paraffin-embedded sections) - Anti-CD4 antibody [EPR19514] (AB183685)

Formaldehyde-fixed mouse colon chronic mucosal inflammation tissue stained for CD4 with ab183685 (90 mins at a 1/1000 dilution) in immunohistochemical analysis. A Goat polyclonal biotin conjugate was used as the secondary.

Heat mediated antigen retrieval buffer/enzyme used : High pH CC1.

Blocking step : 1% BSA for 40 mins at 24°C.

Verified customer

Immunohistochemistry (Frozen sections) - Anti-CD4 antibody [EPR19514] (AB183685)
  • IHC-Fr

Supplier Data

Immunohistochemistry (Frozen sections) - Anti-CD4 antibody [EPR19514] (AB183685)

Immunohistochemical analysis of 4% paraformaldehyde-fixed 0.2% Triton X-100 permeabilized frozen Mouse spleen tissue labeling CD4 with ab183685 at 1/500 dilution followed by Goat Anti-Rabbit IgG (Alexa Fluor® 488) (ab150077) secondary antibody at 1/1000 dilution (green).

The result showed membrane staining on mouse spleen.

The nuclear counterstain is DAPI (blue).

Secondary antibody only control : Used PBS instead of primary antibody secondary antibody is ab150077 at 1/1000 dilution.

Antigen retrieval : Heated citrate solution (10mM citrate pH 6.0 + 0.05% Tween-20).

Immunohistochemistry (Formalin/PFA-fixed paraffin-embedded sections) - Anti-CD4 antibody [EPR19514] (AB183685)
  • IHC-P

AbReview66989****

Immunohistochemistry (Formalin/PFA-fixed paraffin-embedded sections) - Anti-CD4 antibody [EPR19514] (AB183685)

Formaldehyde-fixed paraffin-embedded mouse lung tissue stained for CD4 with ab183685 (18 hours 4°C at a 1/1000 dilution) in immunohistochemical analysis. A Goat anti Rabbit IgG polyclonal HRP conjugate was used as the secondary at a 1/250 dilution (red).

Heat mediated antigen retrieval buffer/enzyme used : Citrate buffer pH 6.0.

Blocking step : 10% serum for 1 hour at 25°C.

Verified customer

Immunohistochemistry (Frozen sections) - Anti-CD4 antibody [EPR19514] (AB183685)
  • IHC-Fr

AbReview61721****

Immunohistochemistry (Frozen sections) - Anti-CD4 antibody [EPR19514] (AB183685)

Paraformaldehyde-fixed 0.1% Tween 0.3% Triton in PBS permeabilized mouse liver tissue stained for CD4 with ab183685 (12 hours 4°C at a 1/100 dilution) in immunohistochemical analysis. A Donkey anti Rabbit IgG (H+L) AlexaFluor®647 was used as the secondary at a 1/500 dilution (red).

Blocking step : 1% BSA for 12 hours at 4°C.

Verified customer

Immunohistochemistry (Frozen sections) - Anti-CD4 antibody [EPR19514] (AB183685)
  • IHC-Fr

Lab

Immunohistochemistry (Frozen sections) - Anti-CD4 antibody [EPR19514] (AB183685)

IHC image of CD4 staining in a section of frozen normal Mouse Spleen.

The section was fixed using 10% formaldehyde in 1XPBS for 10 minutes. No antigen retrieval step was performed prior to staining. Non-specific protein-protein interactions were then blocked in TBS containing 0.025% (v/v) Triton X-100 0.3M glycine and 1% (w/v) BSA for 1h at room temperature. The section was then incubated overnight at +4°C in TBS containing 0.025% (v/v) Triton X-100 and 1% (w/v) BSA with ab183685 (Rabbit monoclonal [EPR19514] to CD4) at 1/200 and ab243840 at 1μg/ml to show the distinct staining of B cells and T cells. The section was then incubated with ab150165 (Goat Anti-Rat IgG H&L (Alexa Fluor® 488) preabsorbed (Shown in green) 1/1000) and ab150080 (Goat Anti-Rabbit IgG H&L (Alexa Fluor®594) (Shown in red) 1/1000) for 1 hour at room temperature. The secondary-only control insert image is taken from an identical assay without primary antibody. DAPI was used to stain the cell nuclei (blue). The section was then mounted using Fluoromount®.

Image was taken with a confocal microscope (Leica-Microsystems TCS SP8).

For IHC staining systems (automated and non-automated) customers should optimize variable parameters such as antibody concentrations and incubation times.

Immunohistochemistry (Formalin/PFA-fixed paraffin-embedded sections) - Anti-CD4 antibody [EPR19514] (AB183685)
  • IHC-P

AbReview64045****

Immunohistochemistry (Formalin/PFA-fixed paraffin-embedded sections) - Anti-CD4 antibody [EPR19514] (AB183685)

Formaldehyde-fixed paraffin-embedded mouse thymus tissue stained for CD4 using ab183685 at 1/500 dilution in immunohistochemical analysis.

This image is courtesy of an anonymous Abreview.

Immunohistochemistry (Formalin/PFA-fixed paraffin-embedded sections) - Anti-CD4 antibody [EPR19514] (AB183685)
  • IHC-P

AbReview62644****

Immunohistochemistry (Formalin/PFA-fixed paraffin-embedded sections) - Anti-CD4 antibody [EPR19514] (AB183685)

Formaldehyde-fixed non-permeabilized mouse colon tissue stained for CD4 with ab183685 (30 mins at a 1/500 dilution) in immunohistochemical analysis. A Rabbit polyclonal HRP conjugate was used as the secondary.

Heat mediated antigen retrieval buffer/enzyme used : pH 9.0 EDTA.

Blocking step : 1% ab64226 for 10 mins at RT.

Verified customer

Immunohistochemistry (Formalin/PFA-fixed paraffin-embedded sections) - Anti-CD4 antibody [EPR19514] (AB183685)
  • IHC-P

AbReview57043****

Immunohistochemistry (Formalin/PFA-fixed paraffin-embedded sections) - Anti-CD4 antibody [EPR19514] (AB183685)

10% NBF-fixed paraffin-embedded mouse spleen tissue stained for CD4 using ab183685 at 1/2000 dilution in immunohistochemical analysis followed by Goat anti-Rabbit IgG Alexa Fluor® 647.

This image is courtesy of an anonymous Abreview.

Immunohistochemistry (Formalin/PFA-fixed paraffin-embedded sections) - Anti-CD4 antibody [EPR19514] (AB183685)
  • IHC-P

AbReview65667****

Immunohistochemistry (Formalin/PFA-fixed paraffin-embedded sections) - Anti-CD4 antibody [EPR19514] (AB183685)

Formaldehyde-fixed non-permeabilized mouse brain tissue stained for CD4 with ab183685 (14 hours 4°C at a 1/1000 dilution) in immunohistochemical analysis. A Goat anti Rabbit IgG monoclonal HRP conjugate was used as the secondary at a 1/200 dilution.

Blocking step : 5% normal goat serum for 1 hour at 26°C.

Perform heat mediated antigen retrieval with Tris/EDTA buffer pH 9.0 before commencing with IHC staining protocol.

Herr Dr. Markus Kipp

Immunoprecipitation - Anti-CD4 antibody [EPR19514] (AB183685)
  • IP

Supplier Data

Immunoprecipitation - Anti-CD4 antibody [EPR19514] (AB183685)

CD4 was immunoprecipitated from 1mg of Mouse thymus whole cell lysate with ab183685 at 1/40 dilution.

Western blot was performed from the immunoprecipitate using ab183685 at 1/1000 dilution.

VeriBlot for IP Detection Reagent (HRP) (ab131366), was used for detection at 1/10000 dilution.

Lane 1 : Mouse thymus whole cell lysate, 10μg (Input).

Lane 2 : ab183685 IP in Mouse thymus whole cell lysate.

Lane 3 : Rabbit IgG,monoclonal [EPR25A] - Isotype Control (ab172730) instead of ab183685 in Mouse thymus whole cell lysate.

Blocking and dilution buffer and concentration : 5% NFDM/TBST.

Exposure time : 5 seconds.

All lanes:

Immunoprecipitation - Anti-CD4 antibody [EPR19514] (ab183685)

Predicted band size: 51 kDa

false

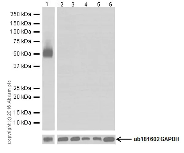
Western blot - Anti-CD4 antibody [EPR19514] (AB183685)
  • WB

Lab

Western blot - Anti-CD4 antibody [EPR19514] (AB183685)

The expression profile observed is consistent with what has been described in the literature (PMID : 2155425).

Blocking/Dilution buffer : 5% NFDM/TBST.

Exposure time : Lane 1 : 3 seconds; Lanes 2,3,4,5 and 6 : 30 seconds

All lanes:

Western blot - Anti-CD4 antibody [EPR19514] (ab183685) at 1/2000 dilution

Lane 1:

Mouse thymus lysate at 20 µg

Lane 2:

Mouse liver tissue lysate at 20 µg

Lane 3:

Mouse brain tissue lysate at 20 µg

Lane 4:

Mouse kidney tissue lysate at 20 µg

Lane 5:

Raw264.7 (mouse abelson murine leukemia virus-induced tumor) whole cell lysate at 20 µg

Lane 6:

NIH/3T3 (mouse embryo) whole cell lysate at 20 µg

Secondary

All lanes:

Western blot - Goat Anti-Rabbit IgG H&L (HRP) (<a href='/en-us/products/secondary-antibodies/goat-rabbit-igg-h-l-hrp-ab97051'>ab97051</a>) at 1/100000 dilution

Predicted band size: 51 kDa

Observed band size: 51 kDa

false

Key facts

Host species

Rabbit

Clonality

Monoclonal

Clone number

EPR19514

Isotype

IgG

Carrier free

No

Reacts with

Mouse

Applications

IP, IHC-Fr, IHC-P, WB

applications

Immunogen

The exact immunogen used to generate this antibody is proprietary information.

Reactivity data

{ "title": "Reactivity Data", "filters": { "stats": ["", "Species", "Dilution Info", "Notes"], "tabs": { "all-applications": {"fullname" : "All Applications", "shortname": "All Applications"}, "IP" : {"fullname" : "Immunoprecipitation", "shortname":"IP"}, "WB" : {"fullname" : "Western blot", "shortname":"WB"}, "IHCFr" : {"fullname" : "Immunohistochemistry (Frozen sections)", "shortname":"IHC-Fr"}, "IHCP" : {"fullname" : "Immunohistochemistry (Formalin/PFA-fixed paraffin-embedded sections)", "shortname":"IHC-P"} }, "product-promise": { "all": "all", "testedAndGuaranteed": "tested", "guaranteed": "expected", "predicted": "predicted", "notRecommended": "not-recommended" } }, "values": { "Mouse": { "IP-species-checked": "testedAndGuaranteed", "IP-species-dilution-info": "1/40", "IP-species-notes": "<p></p>", "WB-species-checked": "testedAndGuaranteed", "WB-species-dilution-info": "1/1000", "WB-species-notes": "<p></p>", "IHCFr-species-checked": "testedAndGuaranteed", "IHCFr-species-dilution-info": "1/200", "IHCFr-species-notes": "<p></p>", "IHCP-species-checked": "testedAndGuaranteed", "IHCP-species-dilution-info": "1/1000", "IHCP-species-notes": "<p></p> Perform heat-mediated antigen retrieval with Tris/EDTA buffer pH 9.0 before commencing with IHC staining protocol." } } }

Product details

Anti-CD4 antibody [EPR19514] (ab183685) was developed by Abcam using patented rabbit monoclonal antibody technology and is validated for use in IHC-Fr IHC-P, IP and WB.

Anti-CD4 antibody [EPR19514] (ab183685) was first used in a scientific publication in 2016 and has been cited over 351 times in peer reviewed journals. It's performance in IHC in mouse samples is trusted by the scientific community.

Abcam's high quality manufacturing and validation processes ensure Anti-CD4 antibody [EPR19514] (ab183685) has high sensitivity and specificity alongside high lot-to-lot consistency and reproducibility.

Anti-CD4 antibody [EPR19514] (ab183685) has 20 independent reviews from customers.

Anti-CD4 antibody [EPR19514] (ab183685) specifically detects CD4 (UniProt ID: P06332; Molecular weight: 49kDa) and is sold in 100 µL and 1 mL selling sizes.

Conjugation-ready, carrier free format available for antibody clone EPR19514 - ab221775.

Antibody clone EPR19514 is also available pre-conjugated to a variety of labels for your convenience - Alexa Fluor® 647, Alexa Fluor® 488, Alexa Fluor® 555 (ab225310, ab277275, ab313727).

IL-4 plays a role in conditions like systemic lupus erythematosus (SLE) and multiple sclerosis, where it influences immune responses and inflammation.

Patented technology
Our RabMAb® technology is a patented hybridoma-based technology for making rabbit monoclonal antibodies. For details on our patents, please refer to RabMAb® patents.

What are the advantages of a recombinant monoclonal antibody?
This product is a recombinant monoclonal antibody, which offers several advantages including:

  • - High batch-to-batch consistency and reproducibility
  • - Improved sensitivity and specificity
  • - Long-term security of supply
  • - Animal-free batch production

For more information, read more on recombinant antibodies.

Properties and storage information

Form
Liquid
Purification technique
Affinity purification Protein A
Storage buffer
pH: 7.2 Preservative: 0.01% Sodium azide Constituents: PBS, 40% Glycerol (glycerin, glycerine), 0.05% BSA
Shipped at conditions
Blue Ice
Appropriate short-term storage duration
1-2 weeks
Appropriate short-term storage conditions
+4°C
Appropriate long-term storage conditions
-20°C
Aliquoting information
Upon delivery aliquot
Storage information
Avoid freeze / thaw cycle

Product protocols

For this product, it's our understanding that no specific protocols are required. You can visit:

Target data

Integral membrane glycoprotein that plays an essential role in the immune response and serves multiple functions in responses against both external and internal offenses. In T-cells, functions primarily as a coreceptor for MHC class II molecule : peptide complex. The antigens presented by class II peptides are derived from extracellular proteins while class I peptides are derived from cytosolic proteins. Interacts simultaneously with the T-cell receptor (TCR) and the MHC class II presented by antigen presenting cells (APCs). In turn, recruits the Src kinase LCK to the vicinity of the TCR-CD3 complex. LCK then initiates different intracellular signaling pathways by phosphorylating various substrates ultimately leading to lymphokine production, motility, adhesion and activation of T-helper cells. In other cells such as macrophages or NK cells, plays a role in differentiation/activation, cytokine expression and cell migration in a TCR/LCK-independent pathway. Participates in the development of T-helper cells in the thymus and triggers the differentiation of monocytes into functional mature macrophages.
See full target information Cd4

Publications (583)

Recent publications for all applications. Explore the full list and refine your search

Science advances 11:eadv9161 PubMed41061056

2025

Combination LIGHT overexpression and checkpoint blockade disrupts the tumor immune environment impacting colorectal liver metastases.

Applications

Unspecified application

Species

Unspecified reactive species

Bridget P Keenan,Guilin Qiao,Nicholas Kunda,Lyonell Kone,Sophia M Guldberg,Letizia Todeschini,Prabhakaran Kumar,Tommaso Pollini,Sophia Hernandez,Jianzhong Qin,Lawrence Fong,Matthew H Spitzer,Bellur S Prabhakar,Ajay V Maker

Nature communications 16:8478 PubMed41006211

2025

CD137L promotes immune surveillance in melanoma via HLTF regulation.

Applications

Unspecified application

Species

Unspecified reactive species

Long Liang,Lin Zhu,Xin Li,Wenbin Zhou,Yanbin Zhang,Mien-Chie Hung,Guanxiong Zhang,Yong Chen,Xinwei Kuang,Juan Su,Jing Liu,Xiang Chen,Hong Liu

The Journal of experimental medicine 222: PubMed40986319

2025

Type I IFN drives neutrophil swarming, impeding lung T cell-macrophage interactions and TB control.

Applications

Unspecified application

Species

Unspecified reactive species

William J Branchett,Evangelos Stavropoulos,Jessica Shields,Alaa Al-Dibouni,Marcos Cardoso,Ana Isabel Fernandes,Lúcia Moreira-Teixeira,Hubert Slawinski,Anna Mikolajczak,Angela Rodgers,Margarida Saraiva,Anne O'Garra

Frontiers in immunology 16:1649891 PubMed40977690

2025

FLT3L combined with GM-CSF induced dendritic cells drive broad tumor-specific CD8 T cell responses and remodel the tumor microenvironment to enhance anti-tumor efficacy.

Applications

Unspecified application

Species

Unspecified reactive species

Qian Zheng,Jiajie Zhang,He Sui,Yu Sun,Ningning Lv,Lin Liu,Ming Qu,Jiateng Tan,Bin Zhang,Zhanhao Mo

Bio-protocol 15:e5437 PubMed40948895

2025

NanoPDLIM2-Based Combination Therapy for Lung Cancer Treatment in Mouse Preclinical Studies.

Applications

Unspecified application

Species

Unspecified reactive species

Thi Hoa Le,Fan Sun,Gutian Xiao,Zhaoxia Qu

Frontiers in immunology 16:1591196 PubMed40909293

2025

Constructing the optimal experimental autoimmune thyroiditis mouse model using porcine thyroglobulin.

Applications

Unspecified application

Species

Unspecified reactive species

Ke Liu,Pei Zhang,Zi-Shan Jin,Xiang-Kun Meng,Jin-Li Luo,Lin Han,Xiao-Tong Yu

BMC cancer 25:1417 PubMed40898094

2025

KRAS mutation promotes immune escape of lung adenocarcinoma via ZNF24/SLC7A5/PD-L1 axis.

Applications

Unspecified application

Species

Unspecified reactive species

Leilei Li,Qiang Feng,Ya Jiang,Lilin Yang,Hong Fang,Wenmang Xu,Yuanyuan Wang,Xinyan Pan,Julun Yang

Neoplasia (New York, N.Y.) 69:101222 PubMed40882404

2025

Steatohepatitis alters lymphocytes cytotoxicity and localization, accelerating colorectal liver metastases.

Applications

Unspecified application

Species

Unspecified reactive species

Adi S Yehezkel,Eyal Yehezkel,Nathalie Abudi,Rinat Abramovitch

Cancers 17: PubMed40867310

2025

Antitumor Effects of Combination Therapy with Oncolytic Vaccinia Virus and Tepotinib on Lung Cancer Cells.

Applications

Unspecified application

Species

Unspecified reactive species

Takuya Inoue,Nobuhiro Kanaji,Takafumi Nakamura,Masanao Yokohira,Yuta Komori,Yasuhiro Ohara,Hitoshi Mizoguchi,Naoki Watanabe,Norimitsu Kadowaki

Communications biology 8:1192 PubMed40783650

2025

Multi-omics insights of immune cells in the risk and prognosis of idiopathic membranous nephropathy.

Applications

Unspecified application

Species

Unspecified reactive species

Xiaoyi Song,Wen Zhu,Yang Li,Zhanyu Li,Wanwei Cao,Jieyu Lu,Wanping Pan,Jingyue Wei,Man Li
View all publications

Product promise

We are committed to supporting your work with high-quality reagents, and we're here for you every step of the way. In the unlikely event that one of our products does not perform as expected, you're protected by our Product Promise.
For full details, please see our Terms & Conditions

Please note: All products are 'FOR RESEARCH USE ONLY. NOT FOR USE IN DIAGNOSTIC OR THERAPEUTIC PROCEDURES'.

For licensing inquiries, please contact partnerships@abcam.com