JavaScript is disabled in your browser. Please enable JavaScript to view this website.
AB271945

Anti-CD4 antibody [EPR19514] - BSA and Azide free

4

(2 Reviews)

|

(1 Publication)

Rabbit Recombinant Monoclonal CD4 antibody. Carrier free. Suitable for IP, WB, IHC-Fr, IHC-P and reacts with Mouse samples. Cited in 1 publication.

View Alternative Names

CD4, T-cell surface glycoprotein CD4, T-cell differentiation antigen L3T4, T-cell surface antigen T4/Leu-3, Cd4

17 Images
Immunohistochemistry (Formalin/PFA-fixed paraffin-embedded sections) - Anti-CD4 antibody [EPR19514] - BSA and Azide free (AB271945)
  • IHC-P

AbReview68740****

Immunohistochemistry (Formalin/PFA-fixed paraffin-embedded sections) - Anti-CD4 antibody [EPR19514] - BSA and Azide free (AB271945)

Formaldehyde-fixed, non-permeabilized mouse spleen tissue stained for CD4 with ab183685 (30mins at a 1/1000 dilution) in immunohistochemical analysis. A Goat polyclonal HRP conjugate was used as the secondary.

Heat mediated antigen retrieval buffer/enzyme used : Leica ER2 solution.

This data was developed using the same antibody clone in a different buffer formulation containing PBS, BSA, glycerol, and sodium azide (ab183685).

Zohar Gavish

Immunohistochemistry (Formalin/PFA-fixed paraffin-embedded sections) - Anti-CD4 antibody [EPR19514] - BSA and Azide free (AB271945)
  • IHC-P

AbReview63464****

Immunohistochemistry (Formalin/PFA-fixed paraffin-embedded sections) - Anti-CD4 antibody [EPR19514] - BSA and Azide free (AB271945)

Formalin-fixed, 0.2% Triton-X permeabilized mouse Eo771 mammary tumor tissue stained for CD4 with ab183685 (18 hours, 4°C at a 1/1000 dilution) in immunohistochemical analysis. A Goat anti Rabbit IgG (H&L) polyclonal AlexaFluor®488 conjugate was used as the secondary (green).

Heat mediated antigen retrieval buffer/enzyme used : Citrate buffer.

Blocking step : 4% BSA for 1 hour at 25°C.

This data was developed using the same antibody clone in a different buffer formulation containing PBS, BSA, glycerol, and sodium azide (ab183685).

Anugraha Rajagopalan

Immunohistochemistry (Formalin/PFA-fixed paraffin-embedded sections) - Anti-CD4 antibody [EPR19514] - BSA and Azide free (AB271945)
  • IHC-P

AbReview58971****

Immunohistochemistry (Formalin/PFA-fixed paraffin-embedded sections) - Anti-CD4 antibody [EPR19514] - BSA and Azide free (AB271945)

Formaldehyde-fixed, paraffin-embedded mouse spleen tissue stained for CD4 using ab183685 at 1/2000 dilution in immunohistochemical analysis, followed by Goat anti Rabbit IgG Biotin.

This data was developed using the same antibody clone in a different buffer formulation containing PBS, BSA, glycerol, and sodium azide (ab183685).

This image is courtesy of an Abreview submitted by Mr. Carl Hobbs.

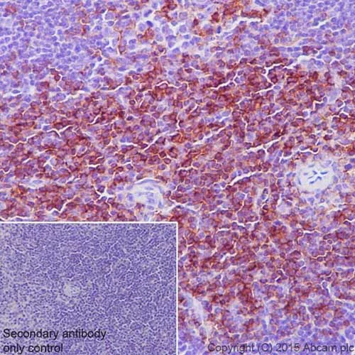
Immunohistochemistry (Formalin/PFA-fixed paraffin-embedded sections) - Anti-CD4 antibody [EPR19514] - BSA and Azide free (AB271945)
  • IHC-P

Supplier Data

Immunohistochemistry (Formalin/PFA-fixed paraffin-embedded sections) - Anti-CD4 antibody [EPR19514] - BSA and Azide free (AB271945)

Immunohistochemical analysis of paraffin-embedded Mouse spleen tissue labeling CD4 with ab183685 at 1/1000 dilution, followed by Goat Anti-Rabbit IgG H&L (HRP) (ab97051) at 1/500 dilution.

Membrane staining on T cells is observed.

Counter stained with Hematoxylin.

Secondary antibody only control : Used PBS instead of primary antibody, secondary antibody is ab97051 at 1/500 dilution.

Perform heat mediated antigen retrieval with Tris/EDTA buffer pH 9.0 before commencing with IHC staining protocol.

This data was developed using the same antibody clone in a different buffer formulation containing PBS, BSA, glycerol, and sodium azide (ab183685).

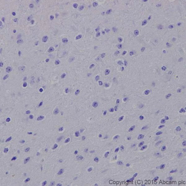
Immunohistochemistry (Formalin/PFA-fixed paraffin-embedded sections) - Anti-CD4 antibody [EPR19514] - BSA and Azide free (AB271945)
  • IHC-P

Supplier Data

Immunohistochemistry (Formalin/PFA-fixed paraffin-embedded sections) - Anti-CD4 antibody [EPR19514] - BSA and Azide free (AB271945)

Immunohistochemical analysis of paraffin-embedded Mouse cerebrum tissue labeling CD4 with ab183685 at 1/1000 dilution, followed by Goat Anti-Rabbit IgG H&L (HRP) (ab97051) at 1/500 dilution.

Negative on mouse cerebrum.

Counter stained with Hematoxylin.

Secondary antibody only control : Used PBS instead of primary antibody, secondary antibody is ab97051 at 1/500 dilution.

Perform heat mediated antigen retrieval with Tris/EDTA buffer pH 9.0 before commencing with IHC staining protocol.

This data was developed using the same antibody clone in a different buffer formulation containing PBS, BSA, glycerol, and sodium azide (ab183685).

Immunohistochemistry (Formalin/PFA-fixed paraffin-embedded sections) - Anti-CD4 antibody [EPR19514] - BSA and Azide free (AB271945)
  • IHC-P

AbReview68614****

Immunohistochemistry (Formalin/PFA-fixed paraffin-embedded sections) - Anti-CD4 antibody [EPR19514] - BSA and Azide free (AB271945)

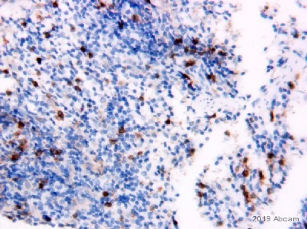
Formaldehyde-fixed, 3% hydrogen peroxide permeabilized B16F10 (melanoma) syngeneic mouse tumor tissue stained for CD4 with ab183685 (36mins, 37°C at a 1/1000 dilution) in immunohistochemical analysis. A Goat anti Rabbit IgG polyclonal HRP conjugate was used as the secondary.

Heat mediated antigen retrieval buffer/enzyme used : Tris/EDTA.

This data was developed using the same antibody clone in a different buffer formulation containing PBS, BSA, glycerol, and sodium azide (ab183685).

Verified customer

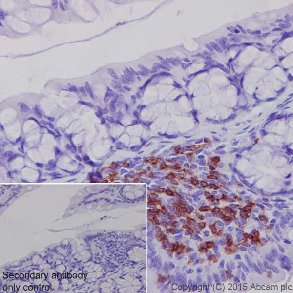
Immunohistochemistry (Formalin/PFA-fixed paraffin-embedded sections) - Anti-CD4 antibody [EPR19514] - BSA and Azide free (AB271945)
  • IHC-P

Supplier Data

Immunohistochemistry (Formalin/PFA-fixed paraffin-embedded sections) - Anti-CD4 antibody [EPR19514] - BSA and Azide free (AB271945)

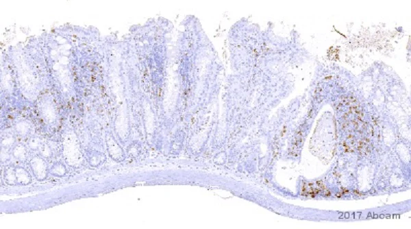
Immunohistochemical analysis of paraffin-embedded Mouse colon tissue labeling CD4 with ab183685 at 1/1000 dilution, followed by Goat Anti-Rabbit IgG H&L (HRP) (ab97051) at 1/500 dilution.

Membrane staining on lymphocytes and negative on epithelium cells of mouse colon is observed.

Counter stained with Hematoxylin.

Secondary antibody only control : Used PBS instead of primary antibody, secondary antibody is ab97051 at 1/500 dilution.

Perform heat mediated antigen retrieval with Tris/EDTA buffer pH 9.0 before commencing with IHC staining protocol.

This data was developed using the same antibody clone in a different buffer formulation containing PBS, BSA, glycerol, and sodium azide (ab183685).

Immunohistochemistry (Formalin/PFA-fixed paraffin-embedded sections) - Anti-CD4 antibody [EPR19514] - BSA and Azide free (AB271945)
  • IHC-P

AbReview59119****

Immunohistochemistry (Formalin/PFA-fixed paraffin-embedded sections) - Anti-CD4 antibody [EPR19514] - BSA and Azide free (AB271945)

Formaldehyde-fixed mouse colon, chronic mucosal inflammation tissue stained for CD4 with ab183685 (90 mins at a 1/1000 dilution) in immunohistochemical analysis. A Goat polyclonal biotin conjugate was used as the secondary.

Heat mediated antigen retrieval buffer/enzyme used : High pH CC1.

Blocking step : 1% BSA for 40 mins at 24°C.

This data was developed using the same antibody clone in a different buffer formulation containing PBS, BSA, glycerol, and sodium azide (ab183685).

Verified customer

Immunohistochemistry (Frozen sections) - Anti-CD4 antibody [EPR19514] - BSA and Azide free (AB271945)
  • IHC-Fr

Supplier Data

Immunohistochemistry (Frozen sections) - Anti-CD4 antibody [EPR19514] - BSA and Azide free (AB271945)

Immunohistochemical analysis of 4% paraformaldehyde-fixed, 0.2% Triton X-100 permeabilized frozen Mouse spleen tissue labeling CD4 with ab183685 at 1/500 dilution, followed by Goat Anti-Rabbit IgG (Alexa Fluor® 488) (ab150077) secondary antibody at 1/1000 dilution (green).

The result showed membrane staining on mouse spleen.

The nuclear counterstain is DAPI (blue).

Secondary antibody only control : Used PBS instead of primary antibody, secondary antibody is ab150077 at 1/1000 dilution.

Antigen retrieval : Heated citrate solution (10mM citrate pH 6.0 + 0.05% Tween-20).

This data was developed using the same antibody clone in a different buffer formulation containing PBS, BSA, glycerol, and sodium azide (ab183685).

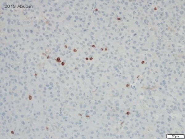
Immunohistochemistry (Formalin/PFA-fixed paraffin-embedded sections) - Anti-CD4 antibody [EPR19514] - BSA and Azide free (AB271945)
  • IHC-P

AbReview66989****

Immunohistochemistry (Formalin/PFA-fixed paraffin-embedded sections) - Anti-CD4 antibody [EPR19514] - BSA and Azide free (AB271945)

Formaldehyde-fixed, paraffin-embedded mouse lung tissue stained for CD4 with ab183685 (18 hours, 4°C at a 1/1000 dilution) in immunohistochemical analysis. A Goat anti Rabbit IgG polyclonal HRP conjugate was used as the secondary at a 1/250 dilution (red).

Heat mediated antigen retrieval buffer/enzyme used : Citrate buffer pH 6.0.

Blocking step : 10% serum for 1 hour at 25°C.

This data was developed using the same antibody clone in a different buffer formulation containing PBS, BSA, glycerol, and sodium azide (ab183685).

Verified customer

Immunohistochemistry (Frozen sections) - Anti-CD4 antibody [EPR19514] - BSA and Azide free (AB271945)
  • IHC-Fr

AbReview61721****

Immunohistochemistry (Frozen sections) - Anti-CD4 antibody [EPR19514] - BSA and Azide free (AB271945)

Paraformaldehyde-fixed, 0.1% Tween 0.3% Triton in PBS permeabilized mouse liver tissue stained for CD4 with ab183685 (12 hours, 4°C at a 1/100 dilution) in immunohistochemical analysis. A Donkey anti Rabbit IgG (H+L) AlexaFluor®647 was used as the secondary at a 1/500 dilution (red).

Blocking step : 1% BSA for 12 hours at 4°C.

This data was developed using the same antibody clone in a different buffer formulation containing PBS, BSA, glycerol, and sodium azide (ab183685).

Verified customer

Immunohistochemistry (Frozen sections) - Anti-CD4 antibody [EPR19514] - BSA and Azide free (AB271945)
  • IHC-Fr

Lab

Immunohistochemistry (Frozen sections) - Anti-CD4 antibody [EPR19514] - BSA and Azide free (AB271945)

IHC image of CD4 staining in a section of frozen normal Mouse Spleen.

The section was fixed using 10% formaldehyde in 1XPBS for 10 minutes. No antigen retrieval step was performed prior to staining. Non-specific protein-protein interactions were then blocked in TBS containing 0.025% (v/v) Triton X-100, 0.3M glycine and 1% (w/v) BSA for 1h at room temperature. The section was then incubated overnight at +4°C in TBS containing 0.025% (v/v) Triton X-100 and 1% (w/v) BSA with ab183685 (Rabbit monoclonal [EPR19514] to CD4) at 1/200 and ab243840 at 1μg/ml, to show the distinct staining of B cells and T cells. The section was then incubated with ab150165 (Goat Anti-Rat IgG H&L (Alexa Fluor® 488) preabsorbed, (Shown in green) 1/1000) and ab150080 (Goat Anti-Rabbit IgG H&L (Alexa Fluor®594) (Shown in red) 1/1000) for 1 hour at room temperature. The secondary-only control insert image is taken from an identical assay without primary antibody. DAPI was used to stain the cell nuclei (blue). The section was then mounted using Fluoromount®.

Image was taken with a confocal microscope (Leica-Microsystems, TCS SP8).

For IHC staining systems (automated and non-automated), customers should optimize variable parameters such as antibody concentrations and incubation times.

This data was developed using the same antibody clone in a different buffer formulation containing PBS, BSA, glycerol, and sodium azide (ab183685).

Immunohistochemistry (Formalin/PFA-fixed paraffin-embedded sections) - Anti-CD4 antibody [EPR19514] - BSA and Azide free (AB271945)
  • IHC-P

AbReview64045****

Immunohistochemistry (Formalin/PFA-fixed paraffin-embedded sections) - Anti-CD4 antibody [EPR19514] - BSA and Azide free (AB271945)

Formaldehyde-fixed, paraffin-embedded mouse thymus tissue stained for CD4 using ab183685 at 1/500 dilution in immunohistochemical analysis.

This data was developed using the same antibody clone in a different buffer formulation containing PBS, BSA, glycerol, and sodium azide (ab183685).

This image is courtesy of an anonymous Abreview.

Immunohistochemistry (Formalin/PFA-fixed paraffin-embedded sections) - Anti-CD4 antibody [EPR19514] - BSA and Azide free (AB271945)
  • IHC-P

AbReview62644****

Immunohistochemistry (Formalin/PFA-fixed paraffin-embedded sections) - Anti-CD4 antibody [EPR19514] - BSA and Azide free (AB271945)

Formaldehyde-fixed, non-permeabilized mouse colon tissue stained for CD4 with ab183685 (30 mins at a 1/500 dilution) in immunohistochemical analysis. A Rabbit polyclonal HRP conjugate was used as the secondary.

Heat mediated antigen retrieval buffer/enzyme used : pH 9.0 EDTA.

Blocking step : 1% ab64226 for 10 mins at RT.

This data was developed using the same antibody clone in a different buffer formulation containing PBS, BSA, glycerol, and sodium azide (ab183685).

Verified customer

Immunohistochemistry (Formalin/PFA-fixed paraffin-embedded sections) - Anti-CD4 antibody [EPR19514] - BSA and Azide free (AB271945)
  • IHC-P

AbReview57043****

Immunohistochemistry (Formalin/PFA-fixed paraffin-embedded sections) - Anti-CD4 antibody [EPR19514] - BSA and Azide free (AB271945)

10% NBF-fixed, paraffin-embedded mouse spleen tissue stained for CD4 using ab183685 at 1/2000 dilution in immunohistochemical analysis, followed by Goat anti-Rabbit IgG Alexa Fluor® 647.

This data was developed using the same antibody clone in a different buffer formulation containing PBS, BSA, glycerol, and sodium azide (ab183685).

This image is courtesy of an anonymous Abreview.

Immunohistochemistry (Formalin/PFA-fixed paraffin-embedded sections) - Anti-CD4 antibody [EPR19514] - BSA and Azide free (AB271945)
  • IHC-P

AbReview65667****

Immunohistochemistry (Formalin/PFA-fixed paraffin-embedded sections) - Anti-CD4 antibody [EPR19514] - BSA and Azide free (AB271945)

Formaldehyde-fixed, non-permeabilized mouse brain tissue stained for CD4 with ab183685 (14 hours, 4°C at a 1/1000 dilution) in immunohistochemical analysis. A Goat anti Rabbit IgG monoclonal HRP conjugate was used as the secondary at a 1/200 dilution.

Blocking step : 5% normal goat serum for 1 hour at 26°C.

Perform heat mediated antigen retrieval with Tris/EDTA buffer pH 9.0 before commencing with IHC staining protocol.

This data was developed using the same antibody clone in a different buffer formulation containing PBS, BSA, glycerol, and sodium azide (ab183685).

Herr Dr. Markus Kipp

Immunoprecipitation - Anti-CD4 antibody [EPR19514] - BSA and Azide free (AB271945)
  • IP

Supplier Data

Immunoprecipitation - Anti-CD4 antibody [EPR19514] - BSA and Azide free (AB271945)

CD4 was immunoprecipitated from 1mg of Mouse thymus whole cell lysate with ab183685 at 1/40 dilution.

Western blot was performed from the immunoprecipitate using ab183685 at 1/1000 dilution.

VeriBlot for IP Detection Reagent (HRP) (ab131366), was used for detection at 1/10000 dilution.

Lane 1 : Mouse thymus whole cell lysate, 10μg (Input).

Lane 2 : ab183685 IP in Mouse thymus whole cell lysate.

Lane 3 : Rabbit IgG,monoclonal [EPR25A] - Isotype Control (ab172730) instead of ab183685 in Mouse thymus whole cell lysate.

Blocking and dilution buffer and concentration : 5% NFDM/TBST.

Exposure time : 5 seconds.

This data was developed using the same antibody clone in a different buffer formulation containing PBS, BSA, glycerol, and sodium azide (ab183685).

All lanes:

Immunoprecipitation - Anti-CD4 antibody [EPR19514] (<a href='/en-us/products/primary-antibodies/cd4-antibody-epr19514-ab183685'>ab183685</a>)

Predicted band size: 51 kDa

false

Key facts

Host species

Rabbit

Clonality

Monoclonal

Clone number

EPR19514

Isotype

IgG

Carrier free

Yes

Reacts with

Mouse

Applications

IHC-Fr, IP, IHC-P, WB

applications

Immunogen

The exact immunogen used to generate this antibody is proprietary information.

Reactivity data

{ "title": "Reactivity Data", "filters": { "stats": ["", "Species", "Dilution Info", "Notes"], "tabs": { "all-applications": {"fullname" : "All Applications", "shortname": "All Applications"}, "IP" : {"fullname" : "Immunoprecipitation", "shortname":"IP"}, "WB" : {"fullname" : "Western blot", "shortname":"WB"}, "IHCFr" : {"fullname" : "Immunohistochemistry (Frozen sections)", "shortname":"IHC-Fr"}, "IHCP" : {"fullname" : "Immunohistochemistry (Formalin/PFA-fixed paraffin-embedded sections)", "shortname":"IHC-P"} }, "product-promise": { "all": "all", "testedAndGuaranteed": "tested", "guaranteed": "expected", "predicted": "predicted", "notRecommended": "not-recommended" } }, "values": { "Mouse": { "IP-species-checked": "testedAndGuaranteed", "IP-species-dilution-info": "", "IP-species-notes": "<p></p>", "WB-species-checked": "guaranteed", "WB-species-dilution-info": "", "WB-species-notes": "<p></p>", "IHCFr-species-checked": "testedAndGuaranteed", "IHCFr-species-dilution-info": "", "IHCFr-species-notes": "<p></p>", "IHCP-species-checked": "testedAndGuaranteed", "IHCP-species-dilution-info": "", "IHCP-species-notes": "<p></p>" } } }

Product details

ab271945 is the carrier-free version of ab183685.

Patented technology
Our RabMAb® technology is a patented hybridoma-based technology for making rabbit monoclonal antibodies. For details on our patents, please refer to RabMAb® patents.

What are the advantages of a recombinant monoclonal antibody?
This product is a recombinant monoclonal antibody, which offers several advantages including:

  • - High batch-to-batch consistency and reproducibility
  • - Improved sensitivity and specificity
  • - Long-term security of supply
  • - Animal-free batch production

For more information, read more on recombinant antibodies.

Conjugation ready
Our carrier-free antibodies are typically supplied in a PBS-only formulation, purified and free of BSA, sodium azide and glycerol. This conjugation-ready format is designed for use with fluorochromes, metal isotopes, oligonucleotides, and enzymes, which makes them ideal for antibody labelling, functional and cell-based assays, flow-based assays (e.g. mass cytometry) and Multiplex Imaging applications.

Use our conjugation kits for antibody conjugates that are ready-to-use in as little as 20 minutes with 1 minute hands-on-time and 100% antibody recovery: available for fluorescent dyes, HRP, biotin and gold.

Compatibility
This product is compatible with the Maxpar® Antibody Labeling Kit from Fluidigm, without the need for antibody preparation. Maxpar® is a trademark of Fluidigm Canada Inc.

Properties and storage information

Form
Liquid
Purification technique
Affinity purification Protein A
Storage buffer
pH: 7.2 - 7.4 Constituents: PBS
Shipped at conditions
Blue Ice
Appropriate short-term storage conditions
+4°C
Appropriate long-term storage conditions
+4°C
Storage information
Do Not Freeze

Product protocols

For this product, it's our understanding that no specific protocols are required. You can visit:

Target data

Integral membrane glycoprotein that plays an essential role in the immune response and serves multiple functions in responses against both external and internal offenses. In T-cells, functions primarily as a coreceptor for MHC class II molecule : peptide complex. The antigens presented by class II peptides are derived from extracellular proteins while class I peptides are derived from cytosolic proteins. Interacts simultaneously with the T-cell receptor (TCR) and the MHC class II presented by antigen presenting cells (APCs). In turn, recruits the Src kinase LCK to the vicinity of the TCR-CD3 complex. LCK then initiates different intracellular signaling pathways by phosphorylating various substrates ultimately leading to lymphokine production, motility, adhesion and activation of T-helper cells. In other cells such as macrophages or NK cells, plays a role in differentiation/activation, cytokine expression and cell migration in a TCR/LCK-independent pathway. Participates in the development of T-helper cells in the thymus and triggers the differentiation of monocytes into functional mature macrophages.
See full target information Cd4

Publications (1)

Recent publications for all applications. Explore the full list and refine your search

Frontiers in immunology 14:1159085 PubMed37234161

2023

Dynamic change in Siglec-15 expression in peritumoral macrophages confers an immunosuppressive microenvironment and poor outcome in glioma.

Applications

Unspecified application

Species

Unspecified reactive species

Quan Chen,Bingkun Chen,Chunhua Wang,Li Hu,Qiongwen Wu,Yanyang Zhu,Qiuyu Zhang
View all publications

Product promise

We are committed to supporting your work with high-quality reagents, and we're here for you every step of the way. In the unlikely event that one of our products does not perform as expected, you're protected by our Product Promise.
For full details, please see our Terms & Conditions

Please note: All products are 'FOR RESEARCH USE ONLY. NOT FOR USE IN DIAGNOSTIC OR THERAPEUTIC PROCEDURES'.

For licensing inquiries, please contact partnerships@abcam.com