JavaScript is disabled in your browser. Please enable JavaScript to view this website.
AB288724

Anti-CD4 antibody [RM1013]

  • BOND RX™ Validated
  • RabMAb
  • Recombinant
  • Lab Essentials
  • 20ul selling size
  • What is this?

5

(4 Reviews)

|

(37 Publications)

Anti-CD4 antibody [RM1013] (ab288724) is a rabbit recombinant multiclonal antibody detecting CD4 in Western Blot, IP, IHC-P, IHC-Fr, ICC/IF. Suitable for Human, Mouse.

- Biophysical QC for unrivalled batch-batch consistency

View Alternative Names

CD4, T-cell surface glycoprotein CD4, T-cell surface antigen T4/Leu-3

11 Images
Immunohistochemistry (Formalin/PFA-fixed paraffin-embedded sections) - Anti-CD4 antibody [RM1013] (AB288724)
  • IHC-P

Collaborator

Immunohistochemistry (Formalin/PFA-fixed paraffin-embedded sections) - Anti-CD4 antibody [RM1013] (AB288724)

The BOND™ Polymer Refine Detection System on the BOND RX Automated Stainer (DS9800, Leica Biosystems, Wetzlar, Germany) was used for immunohistochemical labelling of formalin-fixed, paraffin-embedded (FFPE) tissues. The protocol includes a peroxide block, post-primary reagent, polymer detection, DAB chromogen, and haematoxylin counterstain, all automated to minimize variability. Antigen retrieval was performed by heat-induced epitope retrieval (HIER) for 20 minutes in Tris-EDTA buffer (BOND Epitope Retrieval Solution 2, AR9640, Leica Biosystems, Wetzlar, Germany). For mouse and rabbit antibodies, the sequence comprised peroxide block (10 min), primary antibody incubation (30 min), post-primary (10 min), polymer (10 min), DAB (10 min), and haematoxylin (8 min). For rat antibodies, an anti-rat step (1 : 300 dilution, Vector Laboratories, California, USA; 20 min) was included prior to polymer application (15 min).

For mouse tissues, antigen retrieval was performed using high pH buffers (Dako, Agilent), followed by blocking of endogenous peroxidase activity with 3% hydrogen peroxide. Slides were then incubated with the primary antibody. Antigen/antibody complexes detection was carried out using a horseradish peroxidase-conjugated visualization system (Novolink Polymer, Leica). Staining was developed with 3,3′-diaminobenzidine (EnVision FLEX DAB Enhancer, Dako, Agilent), and nuclei were counterstained with hematoxylin (FLEX Hematoxylin, SM806, Dako, Agilent). Images were acquired using an Axiocam CCD camera (Zeiss) and processed with ZEN 2.1 software and Photoshop 9.0

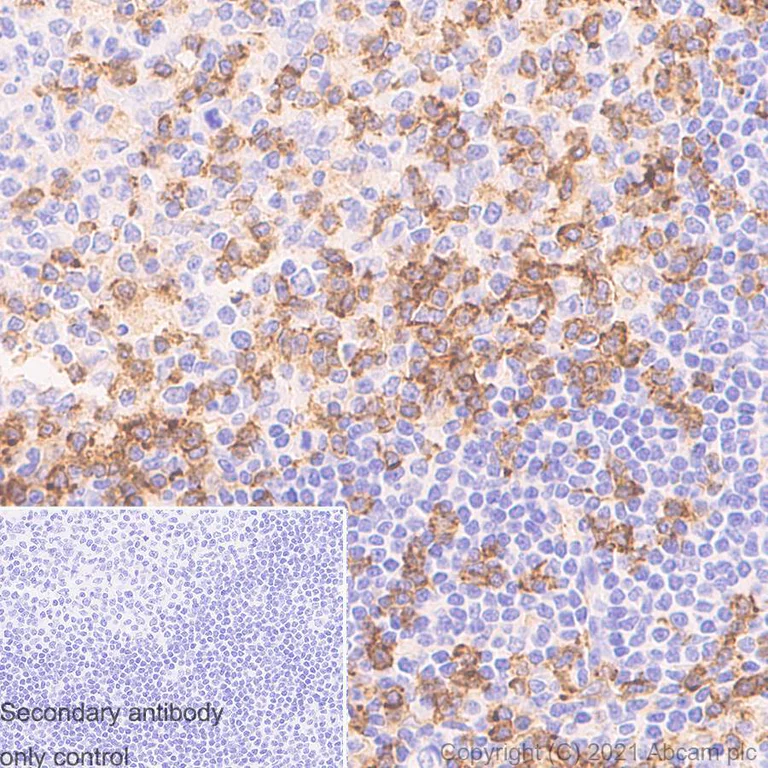
Immunohistochemistry (Frozen sections) - Anti-CD4 antibody [RM1013] (AB288724)
  • IHC-Fr

Supplier Data

Immunohistochemistry (Frozen sections) - Anti-CD4 antibody [RM1013] (AB288724)

IHC image of CD4 staining in a section of frozen human tonsil* performed on a Leica Biosystems BOND® RX instrument using the standard protocol. The section was fixed in 10% paraformaldehyde (10 min) prior to staining. The section was incubated with ab288724, 0.5 ug/ml, for 15 mins at room temperature and detected using an HRP conjugated compact polymer system. DAB was used as the chromogen. The section was then counterstained with haematoxylin and mounted with DPX. The inset secondary-only control image is taken from an identical assay without primary antibody.

For other IHC staining systems (automated and non-automated) customers should optimize variable parameters such as antigen retrieval conditions, primary antibody concentration and antibody incubation times.

*Tissue obtained from the Human Research Tissue Bank, supported by the NIHR Cambridge Biomedical Research Centre.

Immunohistochemistry (Formalin/PFA-fixed paraffin-embedded sections) - Anti-CD4 antibody [RM1013] (AB288724)
  • IHC-P

Lab

Immunohistochemistry (Formalin/PFA-fixed paraffin-embedded sections) - Anti-CD4 antibody [RM1013] (AB288724)

Immunohistochemical analysis of paraffin-embedded Human spleen tissue labelling CD4 with ab288724 at 1/1000 (0.55 μg/ml) followed by a ready to use LeicaDS9800 (Bond™ Polymer Refine Detection). Positive staining on the human spleen. The section was incubated with ab288724 for 30 mins at room temperature. The immunostaining was performed on a Leica Biosystems BOND® RX instrument. Counterstained with Hematoxylin.

Secondary antibody only control : Secondary antibody is a ready to use LeicaDS9800 (Bond™ Polymer Refine Detection).

Heat mediated antigen retrieval with Tris-EDTA buffer (pH 9.0, epitope retrieval solution2) for 20 mins

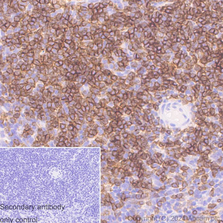
Immunohistochemistry (Formalin/PFA-fixed paraffin-embedded sections) - Anti-CD4 antibody [RM1013] (AB288724)
  • IHC-P

Lab

Immunohistochemistry (Formalin/PFA-fixed paraffin-embedded sections) - Anti-CD4 antibody [RM1013] (AB288724)

Immunohistochemical analysis of paraffin-embedded Human tonsil tissue labelling CD4 with ab288724 at 1/1000 (0.55 μg/ml) followed by a ready to use LeicaDS9800 (Bond™ Polymer Refine Detection). Positive staining on the human tonsil. The section was incubated with ab288724 for 30 mins at room temperature. The immunostaining was performed on a Leica Biosystems BOND® RX instrument. Counterstained with Hematoxylin.

Secondary antibody only control : Secondary antibody is a ready to use LeicaDS9800 (Bond™ Polymer Refine Detection).

Heat mediated antigen retrieval with Tris-EDTA buffer (pH 9.0, epitope retrieval solution2) for 20 mins.

Immunocytochemistry/ Immunofluorescence - Anti-CD4 antibody [RM1013] (AB288724)
  • ICC/IF

Lab

Immunocytochemistry/ Immunofluorescence - Anti-CD4 antibody [RM1013] (AB288724)

Immunofluorescent analysis of 80% Methanol-fixed, 0.1% TritonX-100 permeabilized THP-1 cells labelling CD4 with ab288724 at 1/50 dilution, followed by ab150081 Goat Anti-Rabbit IgG H&L (Alexa Fluor® 488) preadsorbed antibody at 1/1000 dilution (Green). Confocal image showing cytoplasmic and membranous staining in THP-1 cell line. Negative control : K-562. ab195889 Anti-alpha Tubulin mouse monoclonal antibody - Microtubule Marker (Alexa Fluor® 594) was used to counterstain tubulin at 1/200 dilution (Red). The Nuclear counterstain was DAPI (Blue).

Secondary antibody only control : Secondary antibody is ab150081 Goat Anti-Rabbit IgG H&L (Alexa Fluor® 488) preadsorbed at 1/1000 dilution.

Immunoprecipitation - Anti-CD4 antibody [RM1013] (AB288724)
  • IP

Lab

Immunoprecipitation - Anti-CD4 antibody [RM1013] (AB288724)

CD4 was immunoprecipitated from 0.35 mg THP-1 (Human monocytic leukemia monocyte) whole cell lysate with ab288724 at 1/30 dilution. Western blot was performed on the immunoprecipitate using ab288724 at 1/1000 dilution. VeriBlot for IP secondary antibody (HRP) (ab131366) was used at 1/5000 dilution.

Lane 1 : THP-1 (Human monocytic leukemia monocyte) whole cell lysate 10 μg

Lane 2 : ab288724 IP in THP-1 whole cell lysate

Lane 3 : Rabbit monoclonal IgG (ab172730) instead of ab288724 in THP-1 whole cell lysate

Blocking and dilution buffer and concentration : 5% NFDM/TBST.

Exposure time : 10 seconds.

All lanes:

Immunoprecipitation - Anti-CD4 antibody [RM1013] (ab288724)

Predicted band size: 51 kDa

Observed band size: 51 kDa

false

Immunohistochemistry (Frozen sections) - Anti-CD4 antibody [RM1013] (AB288724)
  • IHC-Fr

Lab

Immunohistochemistry (Frozen sections) - Anti-CD4 antibody [RM1013] (AB288724)

Immunohistochemical analysis of 4% PFA-fixed, 0.2% Triton X-100 permeabilized frozen Mouse thymus (fresh) tissue labeling CD4 with ab288724 at 1/50 dilution followed by ab150081 Goat Anti-Rabbit IgG H&L (Alexa Fluor® 488) preadsorbed at 1/1000 dilution (Green). Positive staining on mouse thymus is observed. The nuclear counterstain was DAPI (Blue).

Secondary antibody control : Secondary antibody is ab150081 Goat Anti-Rabbit IgG H&L (Alexa Fluor® 488) preadsorbed at 1/1000 dilution.

Immunocytochemistry/ Immunofluorescence - Anti-CD4 antibody [RM1013] (AB288724)
  • ICC/IF

Lab

Immunocytochemistry/ Immunofluorescence - Anti-CD4 antibody [RM1013] (AB288724)

Immunofluorescent analysis of 80% Methanol-fixed, 0.1% TritonX-100 permeabilized Mouse thymus cell cells labelling CD4 with ab288724 at 1/50 dilution, followed by ab150081 Goat Anti-Rabbit IgG H&L (Alexa Fluor® 488) preadsorbed antibody at 1/1000 dilution (Green). Confocal image showing membranous staining in mouse thymus cells. ab195889 Anti-alpha Tubulin mouse monoclonal antibody - Microtubule Marker (Alexa Fluor® 594) was used to counterstain tubulin at 1/200 dilution (Red). The Nuclear counterstain was DAPI (Blue).

Secondary antibody only control : Secondary antibody is ab150081 Goat Anti-Rabbit IgG H&L (Alexa Fluor® 488) preadsorbed at 1/1000 dilution.

Immunohistochemistry (Formalin/PFA-fixed paraffin-embedded sections) - Anti-CD4 antibody [RM1013] (AB288724)
  • IHC-P

Lab

Immunohistochemistry (Formalin/PFA-fixed paraffin-embedded sections) - Anti-CD4 antibody [RM1013] (AB288724)

Immunohistochemical analysis of paraffin-embedded Mouse spleen tissue labelling CD4 with ab288724 at 1/1000 (0.55 μg/ml) followed by a ready to use LeicaDS9800 (Bond™ Polymer Refine Detection) was used. Positive staining on the mouse spleen. The section was incubated with ab288724 for 30 mins at room temperature. The immunostaining was performed on a Leica Biosystems BOND® RX instrument. Counterstained with Hematoxylin.

Secondary antibody only control : Secondary antibody is a ready to use LeicaDS9800 (Bond™ Polymer Refine Detection).

Heat mediated antigen retrieval with Tris-EDTA buffer (pH 9.0, epitope retrieval solution2) for 20 mins

Immunoprecipitation - Anti-CD4 antibody [RM1013] (AB288724)
  • IP

Lab

Immunoprecipitation - Anti-CD4 antibody [RM1013] (AB288724)

CD4 was immunoprecipitated from 0.35 mg Mouse thymus lysate with ab288724 at 1/30 dilution (2μg in 0.35mg lysates). Western blot was performed on the immunoprecipitate using ab288724 at 1/1000 dilution. VeriBlot for IP secondary antibody (HRP) (ab131366) was used at 1/5000 dilution.

Lane 1 : Mouse thymus lysate 10μg

Lane 2 : ab288724 IP in Mouse thymus lysate

Lane 3 : Rabbit monoclonal IgG (ab172730) instead of ab288724 in Mouse thymus lysate

Blocking and dilution buffer and concentration : 5% NFDM/TBST.

Exposure time : 23 seconds

All lanes:

Immunoprecipitation - Anti-CD4 antibody [RM1013] (ab288724)

Predicted band size: 51 kDa

Observed band size: 51 kDa

false

Western blot - Anti-CD4 antibody [RM1013] (AB288724)
  • WB

Lab

Western blot - Anti-CD4 antibody [RM1013] (AB288724)

Blocking and diluting buffer and concentration : 5% NFDM/TBST

Negative control : K-562.

All lanes:

Western blot - Anti-CD4 antibody [RM1013] (ab288724) at 1/1000 dilution

Lane 1:

THP-1 (Human monocytic leukemia monocyte) whole cell lysate at 20 µg

Lane 2:

Jurkat (Human T cell leukemia T lymphocyte) whole cell lysate at 20 µg

Lane 3:

K-562 (Human chronic myelogenous leukemia lymphoblast) whole cell lysate at 20 µg

Lane 4:

Human lymphoma lysate at 20 µg

Lane 5:

Mouse thymus lysate at 20 µg

Secondary

All lanes:

Western blot - Goat Anti-Rabbit IgG H&L (HRP) (<a href='/en-us/products/secondary-antibodies/goat-rabbit-igg-h-l-hrp-ab97051'>ab97051</a>) at 1/100000 dilution

Predicted band size: 51 kDa

Observed band size: 51 kDa

false

Exposure time: 70s

  • Carrier free

    Anti-CD4 antibody [RM1013] - BSA and Azide free

Key facts

Host species

Rabbit

Clonality

Multiclonal

Clone number

RM1013

Isotype

IgG

Carrier free

No

Reacts with

Mouse, Human, Goat, Sheep

Applications

IP, WB, IHC-P, ICC/IF, IHC-Fr

applications

Immunogen

This product was produced with the following immunogens:

The exact immunogen used to generate this antibody is proprietary information.

The exact immunogen used to generate this antibody is proprietary information.

Reactivity data

{ "title": "Reactivity Data", "filters": { "stats": ["", "Species", "Dilution Info", "Notes"], "tabs": { "all-applications": {"fullname" : "All Applications", "shortname": "All Applications"}, "IHCP" : {"fullname" : "Immunohistochemistry (Formalin/PFA-fixed paraffin-embedded sections)", "shortname":"IHC-P"}, "IHCFr" : {"fullname" : "Immunohistochemistry (Frozen sections)", "shortname":"IHC-Fr"}, "ICCIF" : {"fullname" : "Immunocytochemistry/ Immunofluorescence", "shortname":"ICC/IF"}, "IP" : {"fullname" : "Immunoprecipitation", "shortname":"IP"}, "FlowCyt" : {"fullname" : "Flow Cytometry", "shortname":"Flow Cyt"}, "WB" : {"fullname" : "Western blot", "shortname":"WB"} }, "product-promise": { "all": "all", "testedAndGuaranteed": "tested", "guaranteed": "expected", "predicted": "predicted", "notRecommended": "not-recommended" } }, "values": { "Human": { "IHCP-species-checked": "testedAndGuaranteed", "IHCP-species-dilution-info": "1/1000", "IHCP-species-notes": "<p></p>", "IHCFr-species-checked": "testedAndGuaranteed", "IHCFr-species-dilution-info": "0.5 µg/mL", "IHCFr-species-notes": "<p></p>", "ICCIF-species-checked": "testedAndGuaranteed", "ICCIF-species-dilution-info": "1/50", "ICCIF-species-notes": "<p></p>", "IP-species-checked": "testedAndGuaranteed", "IP-species-dilution-info": "1/30", "IP-species-notes": "<p></p>", "FlowCyt-species-checked": "notRecommended", "FlowCyt-species-dilution-info": "", "FlowCyt-species-notes": "<p></p>", "WB-species-checked": "testedAndGuaranteed", "WB-species-dilution-info": "1/1000", "WB-species-notes": "<p></p>" }, "Mouse": { "IHCP-species-checked": "testedAndGuaranteed", "IHCP-species-dilution-info": "1/1000", "IHCP-species-notes": "<p></p>", "IHCFr-species-checked": "testedAndGuaranteed", "IHCFr-species-dilution-info": "1/50", "IHCFr-species-notes": "<p></p>", "ICCIF-species-checked": "testedAndGuaranteed", "ICCIF-species-dilution-info": "1/50", "ICCIF-species-notes": "<p></p>", "IP-species-checked": "testedAndGuaranteed", "IP-species-dilution-info": "1/30", "IP-species-notes": "<p></p>", "FlowCyt-species-checked": "notRecommended", "FlowCyt-species-dilution-info": "", "FlowCyt-species-notes": "<p></p>", "WB-species-checked": "testedAndGuaranteed", "WB-species-dilution-info": "1/1000", "WB-species-notes": "<p></p>" }, "Rat": { "IHCP-species-checked": "notRecommended", "IHCP-species-dilution-info": "", "IHCP-species-notes": "<p></p>", "IHCFr-species-checked": "notRecommended", "IHCFr-species-dilution-info": "", "IHCFr-species-notes": "<p></p>", "ICCIF-species-checked": "notRecommended", "ICCIF-species-dilution-info": "", "ICCIF-species-notes": "", "IP-species-checked": "notRecommended", "IP-species-dilution-info": "", "IP-species-notes": "", "FlowCyt-species-checked": "notRecommended", "FlowCyt-species-dilution-info": "", "FlowCyt-species-notes": "", "WB-species-checked": "notRecommended", "WB-species-dilution-info": "", "WB-species-notes": "<p></p>" }, "Goat": { "IHCP-species-checked": "testedAndGuaranteed", "IHCP-species-dilution-info": "1/500", "IHCP-species-notes": "<p></p> Perform heat-mediated antigen retrieval with Tris/EDTA buffer pH 9.0 before commencing with IHC staining protocol.", "IHCFr-species-checked": "guaranteed", "IHCFr-species-dilution-info": "", "IHCFr-species-notes": "", "ICCIF-species-checked": "guaranteed", "ICCIF-species-dilution-info": "", "ICCIF-species-notes": "", "IP-species-checked": "guaranteed", "IP-species-dilution-info": "", "IP-species-notes": "", "FlowCyt-species-checked": "notRecommended", "FlowCyt-species-dilution-info": "", "FlowCyt-species-notes": "", "WB-species-checked": "guaranteed", "WB-species-dilution-info": "", "WB-species-notes": "" }, "Sheep": { "IHCP-species-checked": "testedAndGuaranteed", "IHCP-species-dilution-info": "1/500", "IHCP-species-notes": "<p></p> Perform heat-mediated antigen retrieval with Tris/EDTA buffer pH 9.0 before commencing with IHC staining protocol.", "IHCFr-species-checked": "guaranteed", "IHCFr-species-dilution-info": "", "IHCFr-species-notes": "", "ICCIF-species-checked": "guaranteed", "ICCIF-species-dilution-info": "", "ICCIF-species-notes": "", "IP-species-checked": "guaranteed", "IP-species-dilution-info": "", "IP-species-notes": "", "FlowCyt-species-checked": "notRecommended", "FlowCyt-species-dilution-info": "", "FlowCyt-species-notes": "", "WB-species-checked": "guaranteed", "WB-species-dilution-info": "", "WB-species-notes": "" } } }

Product details

What is this antibody validated in?
Anti-CD4 antibody [RM1013] (ab288724) is a rabbit recombinant recombinant multiclonal antibody and is validated for use in Western Blot (WB), Immunoprecipitation (IP), Immunohistochemistry (IHC-P), Immunohistochemistry (IHC-Fr), Immunocytochemistry/immunofluorescence (ICC/IF) in Human, Mouse samples.

What is the molecular weight of CD4?
Anti-CD4 [RM1013] (ab288724) specifically detects a band for CD4 (UniProt: P01730) at a molecular weight of 51kDa.

Trial sizes available!
Test your antibody or perform pre-screening before committing to a larger quantity. Sold in 10µl. Discover our selection of trial-size antibodies.

Other related products
We have a range of other formats of antibody clone [RM1013] also available for your convenience: ab288724, Carrier free - ab288725

What are recombinant multiclonals?
Recombinant multiclonals are a mixture of recombinant antibodies co-expressed from a library of heavy and light chains. They offer several advantages including:

  • - The sensitivity of polyclonal antibodies by recognising multiple epitopes
  • - High batch-to-batch consistency and reproducibility
  • - Improved sensitivity and specificity
  • - Long-term security of supply
  • - Animal-free batch production

View our range of recombinant multiclonal antibodies.

Patented technology
Our RabMAb® technology is a patented hybridoma-based technology for making rabbit monoclonal antibodies. For details on our patents, please refer to RabMAb® patents.

Properties and storage information

Form
Liquid
Purification technique
Affinity purification Protein A
Storage buffer
pH: 7.2 - 7.4 Preservative: 0.01% Sodium azide Constituents: PBS, 40% Glycerol (glycerin, glycerine), 0.05% BSA
Shipped at conditions
Blue Ice
Appropriate short-term storage duration
1-2 weeks
Appropriate short-term storage conditions
+4°C
Appropriate long-term storage conditions
-20°C
Aliquoting information
Upon delivery aliquot
Storage information
Avoid freeze / thaw cycle

Product protocols

For this product, it's our understanding that no specific protocols are required. You can visit:

Target data

Integral membrane glycoprotein that plays an essential role in the immune response and serves multiple functions in responses against both external and internal offenses. In T-cells, functions primarily as a coreceptor for MHC class II molecule : peptide complex. The antigens presented by class II peptides are derived from extracellular proteins while class I peptides are derived from cytosolic proteins. Interacts simultaneously with the T-cell receptor (TCR) and the MHC class II presented by antigen presenting cells (APCs). In turn, recruits the Src kinase LCK to the vicinity of the TCR-CD3 complex. LCK then initiates different intracellular signaling pathways by phosphorylating various substrates ultimately leading to lymphokine production, motility, adhesion and activation of T-helper cells. In other cells such as macrophages or NK cells, plays a role in differentiation/activation, cytokine expression and cell migration in a TCR/LCK-independent pathway. Participates in the development of T-helper cells in the thymus and triggers the differentiation of monocytes into functional mature macrophages.. (Microbial infection) Primary receptor for human immunodeficiency virus-1 (HIV-1) (PubMed : 12089508, PubMed : 16331979, PubMed : 2214026, PubMed : 9641677). Down-regulated by HIV-1 Vpu (PubMed : 17346169). Acts as a receptor for Human Herpes virus 7/HHV-7 (PubMed : 7909607).
See full target information CD4

Publications (37)

Recent publications for all applications. Explore the full list and refine your search

Medical sciences (Basel, Switzerland) 13: PubMed40981193

2025

Mast Cell Association with the Microenvironment of a Phosphaturic Mesenchymal Tumour Secreting Fibroblast Growth Factor 23.

Applications

Unspecified application

Species

Unspecified reactive species

Andrey Kostin,Alexei Lyundup,Alexander Alekhnovich,Aleksandra Prikhodko,Olga Patsap,Sofia Gronskaia,Zhanna Belaya,Olga Lesnyak,Galina Melnichenko,Natalia Mokrysheva,Igor Buchwalow,Markus Tiemann,Dmitrii Atiakshin

International journal of nanomedicine 20:9885-9897 PubMed40827233

2025

Bionic Power Play: Dual-Targeting MDMX/MDM2 to Reboot p53 to Beat Lung Adenocarcinoma's Immune Tricks.

Applications

Unspecified application

Species

Unspecified reactive species

Solomon Wong,Lu Xu,Weiming You,Wangxiao He,Xiaoqiang Zheng,Zhongquan Qi

Science advances 11:eadw5001 PubMed40779634

2025

In situ-formed immunotherapeutic hydrogel containing sphingosine-1-phosphate for enhanced lung cancer immunotherapy.

Applications

Unspecified application

Species

Unspecified reactive species

Hui Shen,Qi Deng,Zhike Chen,Qiang Zhang,Xiao Zhou,Qian Chen,Jiang Fan

The Journal of clinical investigation 135: PubMed40759573

2025

A CD4+ T lymphocyte-specific TCR/GSDMD/IL-2 axis facilitates antitumor immunity.

Applications

Unspecified application

Species

Unspecified reactive species

Yihan Yao,Lingling Wang,Weiqin Jiang,Ning Wang,Mengjie Li,Wenlong Lin,Ting Zhang,Wanqiang Sheng,Xiaojian Wang

BMC medicine 23:387 PubMed40597177

2025

Faecalibacterium prausnitzii promotes anti-PD-L1 efficacy in natural killer/T-cell lymphoma by enhancing antitumor immunity.

Applications

Unspecified application

Species

Unspecified reactive species

Zhuangzhuang Shi,Wenxing Jiang,Hongwen Li,Yue Zhang,Weili Xue,Yingjun Wang,Mingzhi Zhang,Zhaoming Li

Vaccines 13: PubMed40573917

2025

A DNA Vaccine Against Proadrenomedullin N-Terminal 20 Peptide (PAMP) Reduces Angiogenesis and Increases Lymphocyte and Macrophage Infiltration but Has No Effect on Tumor Burden in a Mouse Model of Lung Metastasis.

Applications

Unspecified application

Species

Unspecified reactive species

Tom Kalathil Raju,Srdan Tadic,Pablo Garrido,Laura Ochoa-Callejero,Judit Narro-Íñiguez,Josune García-Sanmartín,Alfredo Martínez

Frontiers in oncology 15:1545780 PubMed40376586

2025

Inhibiting ADORA1 enhances glioma apoptosis and increases its sensitivity to anti-PD1 therapy.

Applications

Unspecified application

Species

Unspecified reactive species

Hong-Jiang Li,Zhi-Yun Yu,Hua-Ping Gao,Yi-Ran Xu,Xue-Yuan Li,Wei Jiang,Di Chen,Dong-Ming Yan,Chao Yang,Xian-Zhi Liu

Infectious agents and cancer 20:29 PubMed40346620

2025

Tumor-infiltrating CD4 CD25 FOXP3 Treg is associated with plasma EBV DNA and disease progression in nasopharyngeal carcinoma.

Applications

Unspecified application

Species

Unspecified reactive species

Enzi Feng,Yaoyu Yang,Jie Yang,Rongyi Hu,Ling Tian,Xinyu Yang,Meng Yang,Qianqian Qu,Yanxin Ren,Xiaojiang Li

Journal of inflammation research 18:5759-5775 PubMed40322534

2025

IGF1R Promotes Th17/Treg Cell Development in Experimental Autoimmune Prostatitis.

Applications

Unspecified application

Species

Unspecified reactive species

Yu Guan,Shaoyu Yue,Yiding Chen,Andong Cheng,Hao Li,Feixiang Yang,Yi Liu,Chaozhao Liang,Jialin Meng

Microbiology spectrum :e0283024 PubMed40202312

2025

Prognostic implications of the interaction between intratumoral microbiome and immune response in gastric cancer.

Applications

Unspecified application

Species

Unspecified reactive species

Sifan Liu,Lingyu Qi,Lu Dong,Wenjing Sun,Siying Liu,Peng Li,Nan Zhang
View all publications

Product promise

We are committed to supporting your work with high-quality reagents, and we're here for you every step of the way. In the unlikely event that one of our products does not perform as expected, you're protected by our Product Promise.
For full details, please see our Terms & Conditions

Please note: All products are 'FOR RESEARCH USE ONLY. NOT FOR USE IN DIAGNOSTIC OR THERAPEUTIC PROCEDURES'.

For licensing inquiries, please contact partnerships@abcam.com