JavaScript is disabled in your browser. Please enable JavaScript to view this website.
AB316867

Anti-CD4 antibody [RM1136] - BSA and Azide free

Be the first to review this product! Submit a review

|

(0 Publication)

Rabbit Recombinant Multiclonal CD4 antibody. Carrier free. Suitable for Flow Cyt, ICC/IF, IHC-P and reacts with Human, Mouse samples.

View Alternative Names

CD4, T-cell surface glycoprotein CD4, T-cell surface antigen T4/Leu-3

8 Images
Immunocytochemistry/ Immunofluorescence - Anti-CD4 antibody [RM1136] - BSA and Azide free (AB316867)
  • ICC/IF

Supplier Data

Immunocytochemistry/ Immunofluorescence - Anti-CD4 antibody [RM1136] - BSA and Azide free (AB316867)

This data was developed using ab316866, the same antibody clone in a different buffer formulation.

Immunofluorescent analysis of 4% Paraformaldehyde-fixed, 0.1% Tween-20 permeabilized Human PBMC (human primary peripheral blood mononuclear cell) cells labelling CD4 with ab316866 at 1/500 (1.066 ug/ml) dilution, followed by ab150081 Goat Anti-Rabbit IgG H&L (Alexa Fluor® 488) preadsorbed antibody at 1/1000 2 ug/ml dilution (Green).

Confocal image showing membranous staining in subsets of human PBMCs (shown in green). The counterstain was observed in magenta. Nuclear DNA was labeled with DAPI (shown in blue). Image was taken with a confocal microscope (Leica-Microsystems, TCS SP8).

Anti-human CD3 mouse monoclonal antibody (Alexa Fluor® 647) was used to counterstain tubulin at 1/200 2.5 dilution (Magenta). The Nuclear counterstain was DAPI (Blue).

Secondary antibody only control : Secondary antibody is ab150081 Goat Anti-Rabbit IgG H&L (Alexa Fluor® 488) preadsorbed at 1/1000 2 ug/ml dilution.

Flow Cytometry - Anti-CD4 antibody [RM1136] - BSA and Azide free (AB316867)
  • Flow Cyt

Supplier Data

Flow Cytometry - Anti-CD4 antibody [RM1136] - BSA and Azide free (AB316867)

This data was developed using ab316866, the same antibody clone in a different buffer formulation.

Flow cytometric analysis of human PBMC (human peripheral blood mononuclear cell) cells labelling CD4 with ab316866 at 1/50 dilution (1 ug)/Right compared with a Rabbit monoclonal IgG (ab172730) / Left isotype control and an unlabelled control (cells without incubation with primary antibody and secondary antibody) (Blue).

Goat Anti-Rabbit IgG (Alexa Fluor® 488, ab150081) at 1/5000 dilution was used as the secondary antibody.

human PBMC are co-stained with CD3 conjugated Alexa Fluor®647.
Gated on viable cell.

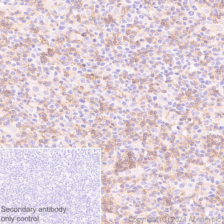
Immunohistochemistry (Formalin/PFA-fixed paraffin-embedded sections) - Anti-CD4 antibody [RM1136] - BSA and Azide free (AB316867)
  • IHC-P

Supplier Data

Immunohistochemistry (Formalin/PFA-fixed paraffin-embedded sections) - Anti-CD4 antibody [RM1136] - BSA and Azide free (AB316867)

This data was developed using ab316866, the same antibody clone in a different buffer formulation.

Immunohistochemical analysis of paraffin-embedded Human tonsil tissue labeling CD4 with ab316866 at 1/4000 (0.133 ug/ml) dilution, followed by a ready to use Rabbit specific IHC polymer detection kit HRP/DAB (ab209101).

Positive staining on human tonsil. The section was incubated with ab316866 for 30 mins at room temperature.
The immunostaining was performed on a Leica Biosystems BOND® RX instrument

Counterstained with Hematoxylin.

Secondary antibody only control : Secondary antibody is a ready to use Rabbit specific IHC polymer detection kit HRP/DAB (ab209101).

Heat mediated antigen retrieval was performed with Tris-EDTA buffer (pH 9.0, Epitope Retrieval Solution2) for 20 mins

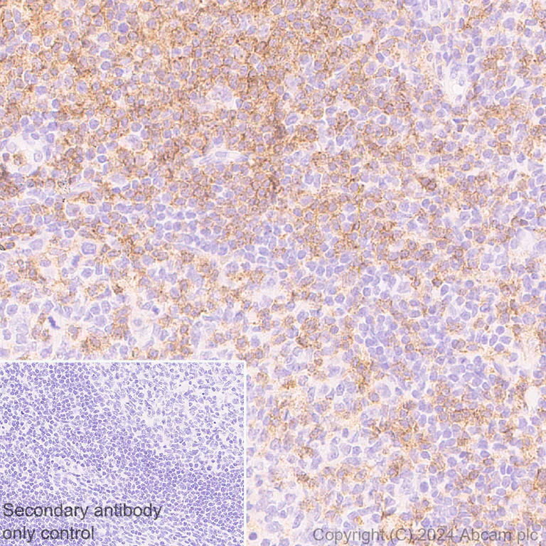
Immunohistochemistry (Formalin/PFA-fixed paraffin-embedded sections) - Anti-CD4 antibody [RM1136] - BSA and Azide free (AB316867)
  • IHC-P

Supplier Data

Immunohistochemistry (Formalin/PFA-fixed paraffin-embedded sections) - Anti-CD4 antibody [RM1136] - BSA and Azide free (AB316867)

This data was developed using ab316866, the same antibody clone in a different buffer formulation.

Immunohistochemical analysis of paraffin-embedded Human Hodgkin lymphoma tissue labeling CD4 with ab316866 at 1/4000 (0.133 ug/ml) dilution, followed by a ready to use Rabbit specific IHC polymer detection kit HRP/DAB (ab209101).

Positive staining on human Hodgkin lymphoma. The section was incubated with ab316866 for 30 mins at room temperature.
The immunostaining was performed on a Leica Biosystems BOND® RX instrument

Counterstained with Hematoxylin.

Secondary antibody only control : Secondary antibody is a ready to use Rabbit specific IHC polymer detection kit HRP/DAB (ab209101).

Heat mediated antigen retrieval was performed with Tris-EDTA buffer (pH 9.0, Epitope Retrieval Solution2) for 20 mins

Flow Cytometry - Anti-CD4 antibody [RM1136] - BSA and Azide free (AB316867)
  • Flow Cyt

Supplier Data

Flow Cytometry - Anti-CD4 antibody [RM1136] - BSA and Azide free (AB316867)

This data was developed using ab316866, the same antibody clone in a different buffer formulation.

Flow cytometric analysis of human PBMC (human peripheral blood mononuclear cell) cells labelling CD4 with ab316866 at 1/50 dilution (1 ug)/Right compared with a Rabbit monoclonal IgG (ab172730) / Left isotype control and an unlabelled control (cells without incubation with primary antibody and secondary antibody) (Blue).

Goat Anti-Rabbit IgG (Alexa Fluor® 488, ab150081) at 1/5000 dilution was used as the secondary antibody.

human PBMC are co-stained with CD8a conjugated Pacific Blue (450/50BP).
Gated on viable cell.

Flow Cytometry - Anti-CD4 antibody [RM1136] - BSA and Azide free (AB316867)
  • Flow Cyt

Supplier Data

Flow Cytometry - Anti-CD4 antibody [RM1136] - BSA and Azide free (AB316867)

This data was developed using ab316866, the same antibody clone in a different buffer formulation.

Flow cytometric analysis of mouse PBMC (mouse peripheral blood mononuclear cell) cells labelling CD4 with ab316866 at 1/50 dilution (1 ug)/Right compared with a Rabbit monoclonal IgG (ab172730) / Left isotype control and an unlabelled control (cells without incubation with primary antibody and secondary antibody) (Blue).

Goat Anti-Rabbit IgG (Alexa Fluor® 488, ab150081) at 1/5000 dilution was used as the secondary antibody.

mouse PBMC are co-stained with CD8a conjugated BV421 (440/50BP).
Gated on viable cell.

Flow Cytometry - Anti-CD4 antibody [RM1136] - BSA and Azide free (AB316867)
  • Flow Cyt

Supplier Data

Flow Cytometry - Anti-CD4 antibody [RM1136] - BSA and Azide free (AB316867)

This data was developed using ab316866, the same antibody clone in a different buffer formulation.

Flow cytometric analysis of mouse PBMC (mouse peripheral blood mononuclear cell) cells labelling CD4 with ab316866 at 1/50 dilution (1 ug)/Right compared with a Rabbit monoclonal IgG (ab172730) / Left isotype control and an unlabelled control (cells without incubation with primary antibody and secondary antibody) (Blue).

Goat Anti-Rabbit IgG (Alexa Fluor® 488, ab150081) at 1/5000 dilution was used as the secondary antibody.

mouse PBMC are co-stained with CD3 conjugated Alexa Fluor®647.
Gated on viable cell.

Immunohistochemistry (Formalin/PFA-fixed paraffin-embedded sections) - Anti-CD4 antibody [RM1136] - BSA and Azide free (AB316867)
  • IHC-P

Supplier Data

Immunohistochemistry (Formalin/PFA-fixed paraffin-embedded sections) - Anti-CD4 antibody [RM1136] - BSA and Azide free (AB316867)

This data was developed using ab316866, the same antibody clone in a different buffer formulation.

Immunohistochemical analysis of paraffin-embedded Human skeletal muscle tissue labeling CD4 with ab316866 at 1/4000 (0.133 ug/ml) dilution, followed by a ready to use Rabbit specific IHC polymer detection kit HRP/DAB (ab209101).

Negative control : no staining on human skeletal muscle. The section was incubated with ab316866 for 30 mins at room temperature.
The immunostaining was performed on a Leica Biosystems BOND® RX instrument

Counterstained with Hematoxylin.

Secondary antibody only control : Secondary antibody is a ready to use Rabbit specific IHC polymer detection kit HRP/DAB (ab209101).

Heat mediated antigen retrieval was performed with Tris-EDTA buffer (pH 9.0, Epitope Retrieval Solution2) for 20 mins

Key facts

Host species

Rabbit

Clonality

Multiclonal

Clone number

RM1136

Isotype

IgG

Carrier free

Yes

Reacts with

Human, Mouse

Applications

IHC-P, ICC/IF, Flow Cyt

applications

Immunogen

The exact immunogen used to generate this antibody is proprietary information.

Specificity

Unsuitable for mouse IHC and mouse ICC

Reactivity data

{ "title": "Reactivity Data", "filters": { "stats": ["", "Species", "Dilution Info", "Notes"], "tabs": { "all-applications": {"fullname" : "All Applications", "shortname": "All Applications"}, "FlowCyt" : {"fullname" : "Flow Cytometry", "shortname":"Flow Cyt"}, "ICCIF" : {"fullname" : "Immunocytochemistry/ Immunofluorescence", "shortname":"ICC/IF"}, "IHCP" : {"fullname" : "Immunohistochemistry (Formalin/PFA-fixed paraffin-embedded sections)", "shortname":"IHC-P"}, "WB" : {"fullname" : "Western blot", "shortname":"WB"} }, "product-promise": { "all": "all", "testedAndGuaranteed": "tested", "guaranteed": "expected", "predicted": "predicted", "notRecommended": "not-recommended" } }, "values": { "Human": { "FlowCyt-species-checked": "testedAndGuaranteed", "FlowCyt-species-dilution-info": "", "FlowCyt-species-notes": "<p></p>", "ICCIF-species-checked": "testedAndGuaranteed", "ICCIF-species-dilution-info": "", "ICCIF-species-notes": "<p></p>", "IHCP-species-checked": "testedAndGuaranteed", "IHCP-species-dilution-info": "", "IHCP-species-notes": "<p></p>", "WB-species-checked": "notRecommended", "WB-species-dilution-info": "", "WB-species-notes": "<p></p>" }, "Mouse": { "FlowCyt-species-checked": "testedAndGuaranteed", "FlowCyt-species-dilution-info": "", "FlowCyt-species-notes": "<p></p>", "ICCIF-species-checked": "notRecommended", "ICCIF-species-dilution-info": "", "ICCIF-species-notes": "<p></p>", "IHCP-species-checked": "notRecommended", "IHCP-species-dilution-info": "", "IHCP-species-notes": "<p></p>", "WB-species-checked": "notRecommended", "WB-species-dilution-info": "", "WB-species-notes": "<p></p>" }, "Rat": { "FlowCyt-species-checked": "notRecommended", "FlowCyt-species-dilution-info": "", "FlowCyt-species-notes": "<p></p>", "ICCIF-species-checked": "notRecommended", "ICCIF-species-dilution-info": "", "ICCIF-species-notes": "", "IHCP-species-checked": "notRecommended", "IHCP-species-dilution-info": "", "IHCP-species-notes": "<p></p>", "WB-species-checked": "notRecommended", "WB-species-dilution-info": "", "WB-species-notes": "<p></p>" } } }

Product details

ab316867 is the carrier-free version of ab316866.

What are recombinant multiclonals?
Recombinant multiclonals are a mixture of recombinant antibodies co-expressed from a library of heavy and light chains. They offer several advantages including:

  • - The sensitivity of polyclonal antibodies by recognising multiple epitopes
  • - High batch-to-batch consistency and reproducibility
  • - Improved sensitivity and specificity
  • - Long-term security of supply
  • - Animal-free batch production

View our range of recombinant multiclonal antibodies.

Patented technology
Our RabMAb® technology is a patented hybridoma-based technology for making rabbit monoclonal antibodies. For details on our patents, please refer to RabMAb® patents.

Conjugation ready
Our carrier-free antibodies are typically supplied in a PBS-only formulation, purified and free of BSA, sodium azide and glycerol. This conjugation-ready format is designed for use with fluorochromes, metal isotopes, oligonucleotides, and enzymes, which makes them ideal for antibody labelling, functional and cell-based assays, flow-based assays (e.g. mass cytometry) and Multiplex Imaging applications.

Use our conjugation kits for antibody conjugates that are ready-to-use in as little as 20 minutes with 1 minute hands-on-time and 100% antibody recovery: available for fluorescent dyes, HRP, biotin and gold.

Compatibility
This product is compatible with the Maxpar® Antibody Labeling Kit from Fluidigm, without the need for antibody preparation. Maxpar® is a trademark of Fluidigm Canada Inc.

Properties and storage information

Form
Liquid
Purification technique
Affinity purification Protein A
Storage buffer
pH: 7.2 - 7.4 Constituents: 100% PBS
Shipped at conditions
Blue Ice
Appropriate short-term storage conditions
+4°C
Appropriate long-term storage conditions
+4°C

Product protocols

For this product, it's our understanding that no specific protocols are required. You can visit:

Target data

Integral membrane glycoprotein that plays an essential role in the immune response and serves multiple functions in responses against both external and internal offenses. In T-cells, functions primarily as a coreceptor for MHC class II molecule : peptide complex. The antigens presented by class II peptides are derived from extracellular proteins while class I peptides are derived from cytosolic proteins. Interacts simultaneously with the T-cell receptor (TCR) and the MHC class II presented by antigen presenting cells (APCs). In turn, recruits the Src kinase LCK to the vicinity of the TCR-CD3 complex. LCK then initiates different intracellular signaling pathways by phosphorylating various substrates ultimately leading to lymphokine production, motility, adhesion and activation of T-helper cells. In other cells such as macrophages or NK cells, plays a role in differentiation/activation, cytokine expression and cell migration in a TCR/LCK-independent pathway. Participates in the development of T-helper cells in the thymus and triggers the differentiation of monocytes into functional mature macrophages.. (Microbial infection) Primary receptor for human immunodeficiency virus-1 (HIV-1) (PubMed : 12089508, PubMed : 16331979, PubMed : 2214026, PubMed : 9641677). Down-regulated by HIV-1 Vpu (PubMed : 17346169). Acts as a receptor for Human Herpes virus 7/HHV-7 (PubMed : 7909607).
See full target information CD4

Product promise

We are committed to supporting your work with high-quality reagents, and we're here for you every step of the way. In the unlikely event that one of our products does not perform as expected, you're protected by our Product Promise.
For full details, please see our Terms & Conditions

Please note: All products are 'FOR RESEARCH USE ONLY. NOT FOR USE IN DIAGNOSTIC OR THERAPEUTIC PROCEDURES'.

For licensing inquiries, please contact partnerships@abcam.com