JavaScript is disabled in your browser. Please enable JavaScript to view this website.
AB213215

Anti-CD4 antibody [SP35]

  • BOND RX™ Validated
  • RabMAb
  • Recombinant
  • Lab Essentials
  • Advanced Validation
  • 20ul selling size
  • What is this?

4

(3 Reviews)

|

(24 Publications)

Anti-CD4 antibody [SP35] (ab213215) is a rabbit monoclonal antibody detecting CD4 in Flow Cytometry, IHC-P, ICC/IF, mIHC. Suitable for Human.

- Multiplex IHC validated on the Leica BOND® MAX using Opal reagents
- Biophysical QC for unrivalled batch-batch consistency
- Over 10 publications

View Alternative Names

CD4, T-cell surface glycoprotein CD4, T-cell surface antigen T4/Leu-3

11 Images
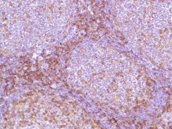
Immunohistochemistry (Formalin/PFA-fixed paraffin-embedded sections) - Anti-CD4 antibody [SP35] (AB213215)
  • IHC-P

Unknown

Immunohistochemistry (Formalin/PFA-fixed paraffin-embedded sections) - Anti-CD4 antibody [SP35] (AB213215)

Immunohistochemistry (Formalin/PFA-fixed paraffin-embedded sections) analysis of Human tonsil tissue sections labeling CD4 with ab213215 at 1/50 dilution (3.1 μg/ml). Heat mediated antigen retrieval with Tris-EDTA buffer (pH 9.0, epitope retrieval solution 2) for 10mins. Rabbit specific IHC polymer detection kit HRP/DAB (ab209101) was used as the secondary antibody. Hematoxylin was used as a counterstain. Positive staining on the human tonsil, performed on a Leica Biosystems BOND™ RX instrument.
The section was incubated with ab213215 for 30 mins at room temperature.

Immunohistochemistry (Formalin/PFA-fixed paraffin-embedded sections) - Anti-CD4 antibody [SP35] (AB213215)
  • IHC-P

Supplier Data

Immunohistochemistry (Formalin/PFA-fixed paraffin-embedded sections) - Anti-CD4 antibody [SP35] (AB213215)

Immunohistochemical analysis of formalin-fixed, paraffin-embedded human tonsil tissue labeling CD4 with ab213215 at 1/50 dilution.

Immunohistochemistry (Formalin/PFA-fixed paraffin-embedded sections) - Anti-CD4 antibody [SP35] (AB213215)
  • IHC-P

Unknown

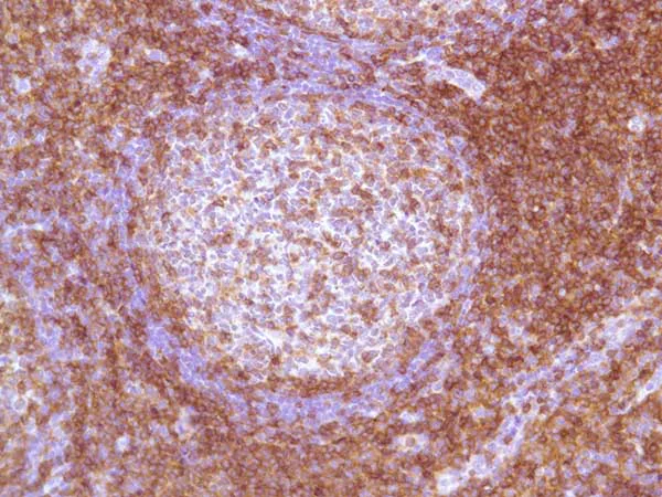
Immunohistochemistry (Formalin/PFA-fixed paraffin-embedded sections) - Anti-CD4 antibody [SP35] (AB213215)

Immunohistochemistry (Formalin/PFA-fixed paraffin-embedded sections) analysis of Human Hodgkin lymphoma tissue sections labeling CD4 with ab213215 at 1/50 dilution (3.1 μg/ml). Heat mediated antigen retrieval with Tris-EDTA buffer (pH 9.0, epitope retrieval solution 2) for 10mins. Rabbit specific IHC polymer detection kit HRP/DAB (ab209101) was used as the secondary antibody. Hematoxylin was used as a counterstain. Positive staining on the human Hodgkin's lymphoma, performed on a Leica Biosystems BOND™ RX instrument.
The section was incubated with ab213215 for 30 mins at room temperature.

Flow Cytometry - Anti-CD4 antibody [SP35] (AB213215)
  • Flow Cyt

Supplier Data

Flow Cytometry - Anti-CD4 antibody [SP35] (AB213215)

Flow cytometric analysis of Jurkat (Human T cell leukemia cell line from peripheral blood) cells labeling CD4 with ab213215 at 1/100 dilution (green), compared with a rabbit IgG negative control (blue).

Flow Cytometry - Anti-CD4 antibody [SP35] (AB213215)
  • Flow Cyt

Unknown

Flow Cytometry - Anti-CD4 antibody [SP35] (AB213215)

Flow cytometry analysis of THP-1 (human acute monocytic leukemia) labeling CD4 with purified ab213215 at 1/20 dilution (7.75 μg/ml) (red).

Goat anti rabbit IgG (Alexa Fluor® 488, ab150081) at 1/2000 dilution was used as a secondary antibody. Isotype control - Rabbit monoclonal IgG (ab172730) (Black). Unlableled control - Unlabeled cells (blue).

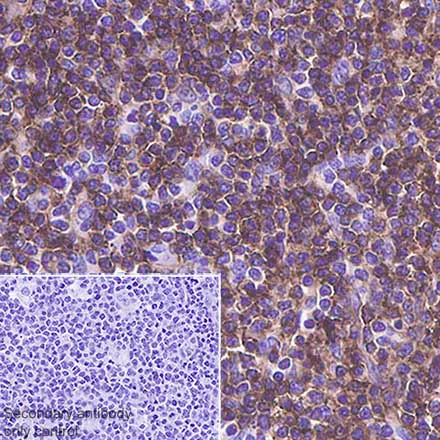
Immunohistochemistry (Formalin/PFA-fixed paraffin-embedded sections) - Anti-CD4 antibody [SP35] (AB213215)
  • IHC-P

Supplier Data

Immunohistochemistry (Formalin/PFA-fixed paraffin-embedded sections) - Anti-CD4 antibody [SP35] (AB213215)

Immunohistochemical analysis of formalin-fixed, paraffin-embedded human tonsil tissue labeling CD4 with ab213215 at 1/50 dilution.

Multiplex immunohistochemistry - Anti-CD4 antibody [SP35] (AB213215)
  • mIHC

Supplier Data

Multiplex immunohistochemistry - Anti-CD4 antibody [SP35] (AB213215)

This data was developed using ab238798 , the same antibody clone in a different buffer formulation. Multiplex immunohistochemistry analysis of formalin/PFA-fixed paraffin-embedded Human tonsil tissue labeling CD8 alpha with ab245118 at 1/500 dilution, CD4 with ab238798 at 1/500, and CD19 with ab237772 at 1/5000 dilution. Panel A : merged staining of anti-CD8 alpha (magenta; Opal™690), anti-CD4 (green; Opal™520) and anti-CD19 (red; Opal™570) on human tonsil. Panel B : anti-CD8 alpha stained on cytotoxic T cells. Panel C : anti-CD4 stained on T helper cells. Panel D : anti-CD19 stained on B cells. Sections  were treated using heat mediated antigen retrieval with Tris-EDTA buffer (pH 9.0, epitope retrieval solution2) for 20 mins before antibody incubation. The section was incubated in three rounds of staining : in the order of abab245118 for 30 mins, then ab238798 and ab237772 for 10 mins at room temperature. Each round was followed by a separate fluorescent tyramide signal amplification system. DAPI was used as a nuclear counterstain. The immunostaining was performed on a Leica Biosystems BOND® RX instrument with an Opal™ 4-color kit. Image acquisition was performed with Leica SP8 confocal microscope.

Immunohistochemistry (Formalin/PFA-fixed paraffin-embedded sections) - Anti-CD4 antibody [SP35] (AB213215)
  • IHC-P

Lab

Immunohistochemistry (Formalin/PFA-fixed paraffin-embedded sections) - Anti-CD4 antibody [SP35] (AB213215)

Tissue Microarrays stained for "Anti-CD4 antibody [SP35]" using "ab213215"in immunohistochemical analysis. This table provides a detailed overview of positive (tick mark) and negative (cross mark) staining per sample type tested. The sections were pre-treated using Heat mediated antigen retrieval using Bond™ Epitope Retrieval Solution 2 (pH 9.0) for 10 minutes. The sections were incubated with ab213215 for 30 mins at room temperature followed by a ready to use Rabbit specific IHC polymer detection kit HRP/DAB (ab209101). The immunostaining was performed on a Leica Biosystems BOND® RX instrument.

Multiplex immunohistochemistry - Anti-CD4 antibody [SP35] (AB213215)
  • mIHC

Supplier Data

Multiplex immunohistochemistry - Anti-CD4 antibody [SP35] (AB213215)

This data was developed using ab238798 , the same antibody clone in a different buffer formulation. Multiplex immunohistochemistry analysis of formalin/PFA-fixed paraffin-embedded Human spleen tissue labeling CD8 alpha with ab245118 at 1/500 dilution, CD4 with ab238798 at 1/500, and CD19 with ab237772 at 1/5000 dilution. Panel A : merged staining of anti-CD8 alpha (magenta; Opal™690), anti-CD4 (green; Opal™520) and anti-CD19 (red; Opal™570) on human spleen. Panel B : anti-CD8 alpha stained on cytotoxic T cells. Panel C : anti-CD4 stained on T helper cells. Panel D : anti-CD19 stained on B cells. Sections  were treated using heat mediated antigen retrieval with Tris-EDTA buffer (pH 9.0, epitope retrieval solution2) for 20 mins before antibody incubation. The section was incubated in three rounds of staining : in the order of abab245118 for 30 mins, then ab238798 and ab237772 for 10 mins at room temperature. Each round was followed by a separate fluorescent tyramide signal amplification system. DAPI was used as a nuclear counterstain. The immunostaining was performed on a Leica Biosystems BOND® RX instrument with an Opal™ 4-color kit. Image acquisition was performed with Leica SP8 confocal microscope.

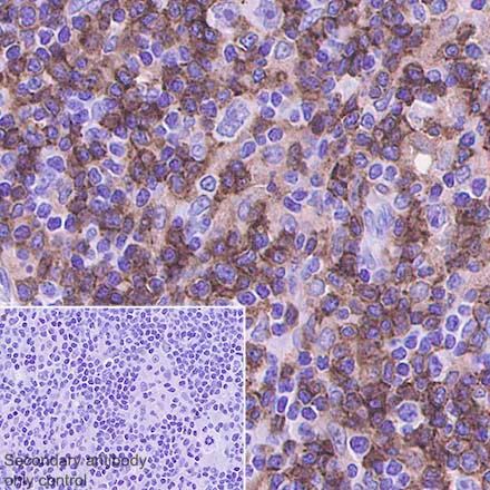
Immunohistochemistry (Formalin/PFA-fixed paraffin-embedded sections) - Anti-CD4 antibody [SP35] (AB213215)
  • IHC-P

Lab

Immunohistochemistry (Formalin/PFA-fixed paraffin-embedded sections) - Anti-CD4 antibody [SP35] (AB213215)

Immunohistochemical analysis of formalin fixed paraffin embedded human tonsil labelling CD4 with ab213215 at a dilution of 1/50. The immunostaining was performed on a Ventana DISCOVERY ULTRA (Roche Tissue Diagnostics) instrument with a OptiView DAB IHC Detection Kit. Heat mediated antigen retrieval was performed with DISCOVERY cell conditioning solution (CC1) 100°C, pH8.5 for 32mins.

Anti-CD4 antibody [SP35] was incubated for 16mins at 37°C. Sections were counterstained with Hematoxylin II. Image inset shows absence of staining in secondary antibody only control.

Customers are encouraged to optimise antigen retrieval conditions, antibody concentration, incubation times and temperature for best results in their own IHC assay workflow (automated and manual).

Immunocytochemistry/ Immunofluorescence - Anti-CD4 antibody [SP35] (AB213215)
  • ICC/IF

Lab

Immunocytochemistry/ Immunofluorescence - Anti-CD4 antibody [SP35] (AB213215)

Immunocytochemistry/ Immunofluorescence analysis of human PBMC (human primary peripheral blood mononuclear cell) labeling CD4 with ab238798 at 1/100 dilution followed by ab150081 at 1/1000 dilution (green). The counterstain was Anti-human CD3 mouse monoclonal antibody (Alexa Fluor® 64) at 1/200 dilution observed in magenta. Nuclear DNA was labeled with DAPI (shown in blue). Cells were fixed with 4% Paraformaldehyde and permeabilised with 0.1% Tween-20. Image was taken with a confocal microscope (Leica-Microsystems, TCS SP8).

Key facts

Host species

Rabbit

Clonality

Monoclonal

Clone number

SP35

Isotype

IgG

Carrier free

No

Reacts with

Human

Applications

IHC-P, ICC/IF, mIHC, Flow Cyt

applications

Immunogen

The exact immunogen used to generate this antibody is proprietary information.

Reactivity data

{ "title": "Reactivity Data", "filters": { "stats": ["", "Species", "Dilution Info", "Notes"], "tabs": { "all-applications": {"fullname" : "All Applications", "shortname": "All Applications"}, "ICCIF" : {"fullname" : "Immunocytochemistry/ Immunofluorescence", "shortname":"ICC/IF"}, "mIHC" : {"fullname" : "Multiplex immunohistochemistry", "shortname":"mIHC"}, "FlowCyt" : {"fullname" : "Flow Cytometry", "shortname":"Flow Cyt"}, "IHCP" : {"fullname" : "Immunohistochemistry (Formalin/PFA-fixed paraffin-embedded sections)", "shortname":"IHC-P"} }, "product-promise": { "all": "all", "testedAndGuaranteed": "tested", "guaranteed": "expected", "predicted": "predicted", "notRecommended": "not-recommended" } }, "values": { "Human": { "ICCIF-species-checked": "testedAndGuaranteed", "ICCIF-species-dilution-info": "1/100", "ICCIF-species-notes": "<p></p>", "mIHC-species-checked": "testedAndGuaranteed", "mIHC-species-dilution-info": "", "mIHC-species-notes": "<p></p> Perform heat-mediated antigen retrieval with Tris/EDTA buffer pH 9.0 before commencing with IHC staining protocol.", "FlowCyt-species-checked": "testedAndGuaranteed", "FlowCyt-species-dilution-info": "1/20 - 1/100", "FlowCyt-species-notes": "<p>Incubate with primary antibody for 30 minutes at 4°C.</p>", "IHCP-species-checked": "testedAndGuaranteed", "IHCP-species-dilution-info": "1/50", "IHCP-species-notes": "<p>Deparaffinize slides using xylene or xylene alternative and graded alcohols. Boil tissue section in EDTA buffer for 10 min followed by cooling at room temperature for 20 min. Incubate with primary antibody for 30 minutes at room temperature. Slides must be washed in between steps. Rinse slides with PBS/0.05% Tween.</p>" }, "Chimpanzee": { "ICCIF-species-checked": "predicted", "ICCIF-species-dilution-info": "", "ICCIF-species-notes": "", "mIHC-species-checked": "predicted", "mIHC-species-dilution-info": "", "mIHC-species-notes": "", "FlowCyt-species-checked": "predicted", "FlowCyt-species-dilution-info": "", "FlowCyt-species-notes": "", "IHCP-species-checked": "predicted", "IHCP-species-dilution-info": "", "IHCP-species-notes": "" } } }

Product details

What is this antibody validated in?
Anti-CD4 antibody [SP35] (ab213215) is a rabbit recombinant monoclonal antibody and is validated for use in Flow Cytometry (Flow Cyt), Immunohistochemistry (IHC-P), Immunocytochemistry/immunofluorescence (ICC/IF), Multiplex IHC (mIHC) in Human samples.

Collaboration
Anti-CD4 [SP35] (ab213215) is a clone from the portfolio of Spring Bioscience (Roche) SP clones which have been optimised for immunohistochemistry (IHC).

Trusted by the scientific community
Anti-CD4 [SP35] (ab213215) was first used in a scientific publication in 2016 and has been cited over 10 times in peer-reviewed journals.

Trial sizes available!
Test your antibody or perform pre-screening before committing to a larger quantity. Sold in 10µl. Discover our selection of trial-size antibodies.

Other related products
We have a range of other formats of antibody clone [SP35] also available for your convenience: ab101530, ab213215, Carrier free - ab238798, ab279480, PE - ab305622, APC - ab305623, HRP - ab305624, Alkaline Phosphatase - ab308987, Alexa Fluor® 488 - ab309931, Alexa Fluor® 647 - ab310298, Alexa Fluor® 594 - ab310760, Alexa Fluor® 555 - ab312287, Alexa Fluor® 568 - ab312782, Alexa Fluor® 750 - ab321373

Properties and storage information

Form
Liquid
Purification technique
Affinity purification Protein A/G
Purification notes
Purified from TCS by protein A/G.
Storage buffer
pH: 7.6 Preservative: 0.1% Sodium azide Constituents: PBS, 1% BSA
Shipped at conditions
Blue Ice
Appropriate short-term storage duration
1-2 weeks
Appropriate short-term storage conditions
+4°C
Appropriate long-term storage conditions
-20°C
Aliquoting information
Upon delivery aliquot
Storage information
Avoid freeze / thaw cycle

Product protocols

For this product, it's our understanding that no specific protocols are required. You can visit:

Target data

Integral membrane glycoprotein that plays an essential role in the immune response and serves multiple functions in responses against both external and internal offenses. In T-cells, functions primarily as a coreceptor for MHC class II molecule : peptide complex. The antigens presented by class II peptides are derived from extracellular proteins while class I peptides are derived from cytosolic proteins. Interacts simultaneously with the T-cell receptor (TCR) and the MHC class II presented by antigen presenting cells (APCs). In turn, recruits the Src kinase LCK to the vicinity of the TCR-CD3 complex. LCK then initiates different intracellular signaling pathways by phosphorylating various substrates ultimately leading to lymphokine production, motility, adhesion and activation of T-helper cells. In other cells such as macrophages or NK cells, plays a role in differentiation/activation, cytokine expression and cell migration in a TCR/LCK-independent pathway. Participates in the development of T-helper cells in the thymus and triggers the differentiation of monocytes into functional mature macrophages.. (Microbial infection) Primary receptor for human immunodeficiency virus-1 (HIV-1) (PubMed : 12089508, PubMed : 16331979, PubMed : 2214026, PubMed : 9641677). Down-regulated by HIV-1 Vpu (PubMed : 17346169). Acts as a receptor for Human Herpes virus 7/HHV-7 (PubMed : 7909607).
See full target information CD4

Publications (24)

Recent publications for all applications. Explore the full list and refine your search

Oncology letters 30:456 PubMed40762017

2025

Acute myeloid leukemia with plasmacytoid dendritic cell proliferation: A case report and literature review.

Applications

Unspecified application

Species

Unspecified reactive species

Zhixin Pei,Yi Zhang,Han Xu,Pei Pei,Zhengyang Zhang,Hongxia Wang,Bei Zhang,Junjun Bai,Yingxin Zhao,Jingjing Gu,Zhiyu Fang,Miaomiao Liu,Qinglin Song

Cancers 17: PubMed40723259

2025

The Prognostic Role of Tertiary Lymphoid Structures and Immune Microenvironment Signatures in Early-Stage -Mutant Lung Adenocarcinoma.

Applications

Unspecified application

Species

Unspecified reactive species

Wei-Hsun Hsu,Chia-Chi Hsu,Min-Shu Hsieh,James Chih-Hsin Yang

Clinical cancer research : an official journal of the American Association for Cancer Research 31:2495-2514 PubMed40192737

2025

Single-Cell Transcriptomic Landscape Deciphers Intratumoral Heterogeneity and Subtypes of Acral and Mucosal Melanomas.

Applications

Unspecified application

Species

Unspecified reactive species

Yunyan Li,Ziyang Cui,Xiaole Song,Yeqing Chen,Cang Li,Junfeng Shi,Wenkang Qian,Guoxin Ren,Jiang Zhou,Chunpu Li,Xiaoqing Ma,Yifan Chen,Dongdong Jia,Yongli Zhang,Zhilin Zhang,Ronghao Zhang,Zhaotian Zhang,Yong Chen,Zhixiang Xu,Wantao Chen,Xiao Miao,Hongmeng Yu,Jianxin Chen,Kai Wang,Colin R Goding,Zhi Wei,Tao Li,Rutao Cui

Stem cell research & therapy 15:425 PubMed39538338

2024

B2M or CIITA knockdown decreased the alloimmune response of dental pulp stem cells: an in vitro study.

Applications

Unspecified application

Species

Unspecified reactive species

Mingxin Hu,Yuchen Zhang,Junqing Liu,Yihan Chen,Jun Kang,Jialin Zhong,Shulan Lin,Ye Liang,Rong Cen,Xiaofei Zhu,Chengfei Zhang

Molecular cancer therapeutics 23:1626-1638 PubMed39186309

2024

SC134-TCB Targeting Fucosyl-GM1, a T Cell-Engaging Antibody with Potent Antitumor Activity in Preclinical Small Cell Lung Cancer Models.

Applications

Unspecified application

Species

Unspecified reactive species

Foram Dave,Poonam Vaghela,Bryony Heath,Zuzana Dunster,Elena Dubinina,Dhruma Thakker,Katie Mann,Joe Chadwick,Gaëlle Cane,Bubacarr G Kaira,Omar J Mohammed,Ruhul Choudhury,Samantha Paston,Tina Parsons,Mireille Vankemmelbeke,Lindy Durrant

Journal of cutaneous pathology 51:790-798 PubMed38973067

2024

Immunophenotyping and viral studies in pityriasis lichenoides et varioliformis acuta lesions.

Applications

Unspecified application

Species

Unspecified reactive species

Salih Mishlab,Emily Avitan-Hersh,Yaniv Zohar,Moran Szwarcwort-Cohen,Reuven Bergman

Clinical and translational medicine 12:e999 PubMed35917405

2022

Iron controls T helper cell pathogenicity by promoting glucose metabolism in autoimmune myopathy.

Applications

Unspecified application

Species

Unspecified reactive species

Yimei Lai,Siyuan Zhao,Binfeng Chen,Yuefang Huang,Chaohuan Guo,Mengyuan Li,Baokui Ye,Shuyi Wang,Hui Zhang,Niansheng Yang

Thoracic cancer 13:2134-2141 PubMed35791738

2022

Relationship between consolidation tumor ratio and tumor-infiltrating lymphocytes in small-sized lung adenocarcinoma.

Applications

Unspecified application

Species

Unspecified reactive species

Yuki Ono,Tetsuzo Tagawa,Fumihiko Kinoshita,Naoki Haratake,Kazuki Takada,Mikihiro Kohno,Tomoyoshi Takenaka,Takeshi Kamitani,Mototsugu Shimokawa,Yoshinao Oda,Masaki Mori,Tomoharu Yoshizumi

Journal of immunology research 2022:4012920 PubMed35497876

2022

Histone Methyltransferase SETDB1 Promotes Immune Evasion in Colorectal Cancer FOSB-Mediated Downregulation of MicroRNA-22 through BATF3/PD-L1 Pathway.

Applications

Unspecified application

Species

Unspecified reactive species

Jiale Tian,Weiwei Wang,Jichao Zhu,Yun Zhuang,Chunrun Qi,Zhengxin Cai,Wenhui Yan,Wenying Lu,Anquan Shang

JCI insight 7: PubMed35192548

2022

Multiplexed single-cell analysis reveals prognostic and nonprognostic T cell types in human colorectal cancer.

Applications

Unspecified application

Species

Unspecified reactive species

Kazuya Masuda,Adam Kornberg,Jonathan Miller,Sijie Lin,Nathan Suek,Theo Botella,Kerim A Secener,Alyssa M Bacarella,Liang Cheng,Matthew Ingham,Vilma Rosario,Ahmed M Al-Mazrou,Steven A Lee-Kong,Ravi P Kiran,Marlon Stoeckius,Peter Smibert,Armando Del Portillo,Paul E Oberstein,Peter A Sims,Kelley S Yan,Arnold Han
View all publications

Product promise

We are committed to supporting your work with high-quality reagents, and we're here for you every step of the way. In the unlikely event that one of our products does not perform as expected, you're protected by our Product Promise.
For full details, please see our Terms & Conditions

Please note: All products are 'FOR RESEARCH USE ONLY. NOT FOR USE IN DIAGNOSTIC OR THERAPEUTIC PROCEDURES'.

For licensing inquiries, please contact partnerships@abcam.com