JavaScript is disabled in your browser. Please enable JavaScript to view this website.
AB238798

Anti-CD4 antibody [SP35] - BSA and Azide free

  • BOND RX™ Validated
  • Recombinant
  • Advanced Validation
  • RabMAb
  • What is this?

Be the first to review this product! Submit a review

|

(1 Publication)

Anti-CD4 antibody [SP35] - BSA and Azide free (ab238798) is a rabbit recombinant monoclonal antibody provided in a PBS only buffer for easy conjugation detecting CD4 in Flow Cytometry, IHC-P, ICC/IF, mIHC. Suitable for Human.

- BSA, sodium azide, and glycerol-free for easy conjugation
- Multiplex IHC validated on the Leica BOND® MAX using Opal reagents
- Biophysical QC for unrivalled batch-batch consistency

View Alternative Names

CD4, T-cell surface glycoprotein CD4, T-cell surface antigen T4/Leu-3

10 Images
Flow Cytometry - Anti-CD4 antibody [SP35] - BSA and Azide free (AB238798)
  • Flow Cyt

Supplier Data

Flow Cytometry - Anti-CD4 antibody [SP35] - BSA and Azide free (AB238798)

Flow cytometric analysis of rabbit anti-CD4 (SP35) antibody, prediluted, ab101530 in Jurkats cells (green) compared to negative control of rabbit IgG (blue)

This data was developed using the same antibody clone in a different buffer formulation containing PBS, BSA, glycerol, and sodium azide (ab101530).

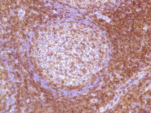
Immunohistochemistry (Formalin/PFA-fixed paraffin-embedded sections) - Anti-CD4 antibody [SP35] - BSA and Azide free (AB238798)
  • IHC-P

Unknown

Immunohistochemistry (Formalin/PFA-fixed paraffin-embedded sections) - Anti-CD4 antibody [SP35] - BSA and Azide free (AB238798)

Immunohistochemistry (Formalin/PFA-fixed paraffin-embedded sections) analysis of Human tonsil tissue sections labeling CD4 with ab213215 at 1/50 dilution (3.1 μg/ml). Heat mediated antigen retrieval with Tris-EDTA buffer (pH 9.0, epitope retrieval solution 2) for 10mins. Rabbit specific IHC polymer detection kit HRP/DAB (ab209101) was used as the secondary antibody. Hematoxylin was used as a counterstain. Positive staining on the human tonsil, performed on a Leica Biosystems BOND™ RX instrument.
The section was incubated with ab213215 for 30 mins at room temperature. This image was generated using ab213215, the same clone, but with a different buffer formulation.

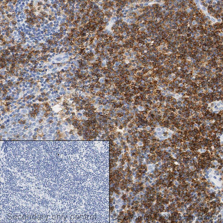
Immunohistochemistry (Formalin/PFA-fixed paraffin-embedded sections) - Anti-CD4 antibody [SP35] - BSA and Azide free (AB238798)
  • IHC-P

Unknown

Immunohistochemistry (Formalin/PFA-fixed paraffin-embedded sections) - Anti-CD4 antibody [SP35] - BSA and Azide free (AB238798)

Immunohistochemistry (Formalin/PFA-fixed paraffin-embedded sections) analysis of Human Hodgkin lymphoma tissue sections labeling CD4 with ab213215 at 1/50 dilution (3.1 μg/ml). Heat mediated antigen retrieval with Tris-EDTA buffer (pH 9.0, epitope retrieval solution 2) for 10mins. Rabbit specific IHC polymer detection kit HRP/DAB (ab209101) was used as the secondary antibody. Hematoxylin was used as a counterstain. Positive staining on the human Hodgkin's lymphoma, performed on a Leica Biosystems BOND™ RX instrument.
The section was incubated with ab213215 for 30 mins at room temperature. This image was generated using ab213215, the same clone, but with a different buffer formulation.

Flow Cytometry - Anti-CD4 antibody [SP35] - BSA and Azide free (AB238798)
  • Flow Cyt

Unknown

Flow Cytometry - Anti-CD4 antibody [SP35] - BSA and Azide free (AB238798)

Flow cytometry analysis of THP-1 (human acute monocytic leukemia) labeling CD4 with purified ab213215 at 1/20 dilution (7.75 μg/ml) (red). Goat anti rabbit IgG (Alexa Fluor® 488, ab150081) at 1/2000 dilution was used as a secondary antibody. Isotypecontrol - Rabbit monoclonal IgG (ab172730) (black). Unlableled control - Unlabelled cells (blue).

This data was developed using the same antibody clone in a different buffer formulation containing PBS, BSA, glycerol, and sodium azide (ab213215).

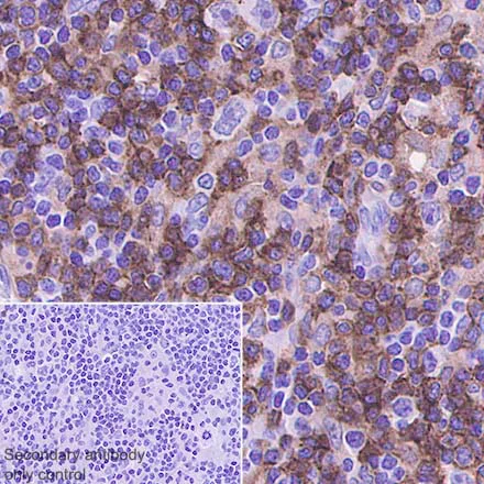
Immunohistochemistry (Formalin/PFA-fixed paraffin-embedded sections) - Anti-CD4 antibody [SP35] - BSA and Azide free (AB238798)
  • IHC-P

Supplier Data

Immunohistochemistry (Formalin/PFA-fixed paraffin-embedded sections) - Anti-CD4 antibody [SP35] - BSA and Azide free (AB238798)

Immunohistochemical analysis of formalin-fixed, paraffin-embedded Human tonsil tissue labeling CD4 with ab213215 at 1/50 dilution.

This data was developed using the same antibody clone in a different buffer formulation containing PBS, BSA, and sodium azide (ab213215).

Multiplex immunohistochemistry - Anti-CD4 antibody [SP35] - BSA and Azide free (AB238798)
  • mIHC

Supplier Data

Multiplex immunohistochemistry - Anti-CD4 antibody [SP35] - BSA and Azide free (AB238798)

Multiplex immunohistochemistry analysis of formalin/PFA-fixed paraffin-embedded Human tonsil tissue labeling CD8 alpha with ab245118 at 1/500 dilution, CD4 with ab238798 at 1/500, and CD19 with ab237772 at 1/5000 dilution. Panel A : merged staining of anti-CD8 alpha (magenta; Opal™690), anti-CD4 (green; Opal™520) and anti-CD19 (red; Opal™570) on human tonsil. Panel B : anti-CD8 alpha stained on cytotoxic T cells. Panel C : anti-CD4 stained on T helper cells. Panel D : anti-CD19 stained on B cells. Sections  were treated using heat mediated antigen retrieval with Tris-EDTA buffer (pH 9.0, epitope retrieval solution2) for 20 mins before antibody incubation. The section was incubated in three rounds of staining : in the order of ab245118 for 30 mins, then ab238798 and ab237772 for 10 mins at room temperature. Each round was followed by a separate fluorescent tyramide signal amplification system. DAPI was used as a nuclear counterstain. The immunostaining was performed on a Leica Biosystems BOND® RX instrument with an Opal™ 4-color kit. Image acquisition was performed with Leica SP8 confocal microscope.

Immunohistochemistry (Formalin/PFA-fixed paraffin-embedded sections) - Anti-CD4 antibody [SP35] - BSA and Azide free (AB238798)
  • IHC-P

Lab

Immunohistochemistry (Formalin/PFA-fixed paraffin-embedded sections) - Anti-CD4 antibody [SP35] - BSA and Azide free (AB238798)

Tissue Microarrays stained for "Anti-CD4 antibody [SP35]" using "ab213215"in immunohistochemical analysis. This table provides a detailed overview of positive (tick mark) and negative (cross mark) staining per sample type tested. The sections were pre-treated using Heat mediated antigen retrieval using Bond™ Epitope Retrieval Solution 2 (pH 9.0) for 10 minutes. The sections were incubated with ab213215 for 30 mins at room temperature followed by a ready to use Rabbit specific IHC polymer detection kit HRP/DAB (ab209101). The immunostaining was performed on a Leica Biosystems BOND® RX instrument.

Multiplex immunohistochemistry - Anti-CD4 antibody [SP35] - BSA and Azide free (AB238798)
  • mIHC

Supplier Data

Multiplex immunohistochemistry - Anti-CD4 antibody [SP35] - BSA and Azide free (AB238798)

Multiplex immunohistochemistry analysis of formalin/PFA-fixed paraffin-embedded Human spleen tissue labeling CD8 alpha with ab245118 at 1/500 dilution, CD4 with ab238798 at 1/500, and CD19 with ab237772 at 1/5000 dilution. Panel A : merged staining of anti-CD8 alpha (magenta; Opal™690), anti-CD4 (green; Opal™520) and anti-CD19 (red; Opal™570) on human spleen. Panel B : anti-CD8 alpha stained on cytotoxic T cells. Panel C : anti-CD4 stained on T helper cells. Panel D : anti-CD19 stained on B cells. Sections  were treated using heat mediated antigen retrieval with Tris-EDTA buffer (pH 9.0, epitope retrieval solution2) for 20 mins before antibody incubation. The section was incubated in three rounds of staining : in the order of ab245118 for 30 mins, then ab238798 and ab237772 for 10 mins at room temperature. Each round was followed by a separate fluorescent tyramide signal amplification system. DAPI was used as a nuclear counterstain. The immunostaining was performed on a Leica Biosystems BOND® RX instrument with an Opal™ 4-color kit. Image acquisition was performed with Leica SP8 confocal microscope.

Immunohistochemistry (Formalin/PFA-fixed paraffin-embedded sections) - Anti-CD4 antibody [SP35] - BSA and Azide free (AB238798)
  • IHC-P

Lab

Immunohistochemistry (Formalin/PFA-fixed paraffin-embedded sections) - Anti-CD4 antibody [SP35] - BSA and Azide free (AB238798)

This data was developed using ab213215, the same antibody clone in a different buffer formulation.

Immunohistochemical analysis of formalin fixed paraffin embedded human tonsil labelling CD4 with ab213215 at a dilution of 1/50. The immunostaining was performed on a Ventana DISCOVERY ULTRA (Roche Tissue Diagnostics) instrument with a OptiView DAB IHC Detection Kit. Heat mediated antigen retrieval was performed with DISCOVERY cell conditioning solution (CC1) 100°C, pH8.5 for 32mins.

Anti-CD4 antibody [SP35] was incubated for 16mins at 37°C. Sections were counterstained with Hematoxylin II. Image inset shows absence of staining in secondary antibody only control.

Customers are encouraged to optimise antigen retrieval conditions, antibody concentration, incubation times and temperature for best results in their own IHC assay workflow (automated and manual).

Immunocytochemistry/ Immunofluorescence - Anti-CD4 antibody [SP35] - BSA and Azide free (AB238798)
  • ICC/IF

Lab

Immunocytochemistry/ Immunofluorescence - Anti-CD4 antibody [SP35] - BSA and Azide free (AB238798)

This image was generated using ab213215, the same clone, but with a different buffer formulation. Immunocytochemistry/ Immunofluorescence analysis of human PBMC (human primary peripheral blood mononuclear cell) labeling CD4 with ab238798 at 1/100 dilution followed by ab150081 at 1/1000 dilution (green). The counterstain was Anti-human CD3 mouse monoclonal antibody (Alexa Fluor® 64) at 1/200 dilution observed in magenta. Nuclear DNA was labeled with DAPI (shown in blue). Cells were fixed with 4% Paraformaldehyde and permeabilised with 0.1% Tween-20. Image was taken with a confocal microscope (Leica-Microsystems, TCS SP8).

Key facts

Host species

Rabbit

Clonality

Monoclonal

Clone number

SP35

Isotype

IgG

Carrier free

Yes

Reacts with

Human

Applications

Flow Cyt, mIHC, ICC/IF, IHC-P

applications

Immunogen

The exact immunogen used to generate this antibody is proprietary information.

Reactivity data

{ "title": "Reactivity Data", "filters": { "stats": ["", "Species", "Dilution Info", "Notes"], "tabs": { "all-applications": {"fullname" : "All Applications", "shortname": "All Applications"}, "ICCIF" : {"fullname" : "Immunocytochemistry/ Immunofluorescence", "shortname":"ICC/IF"}, "mIHC" : {"fullname" : "Multiplex immunohistochemistry", "shortname":"mIHC"}, "FlowCyt" : {"fullname" : "Flow Cytometry", "shortname":"Flow Cyt"}, "IHCP" : {"fullname" : "Immunohistochemistry (Formalin/PFA-fixed paraffin-embedded sections)", "shortname":"IHC-P"} }, "product-promise": { "all": "all", "testedAndGuaranteed": "tested", "guaranteed": "expected", "predicted": "predicted", "notRecommended": "not-recommended" } }, "values": { "Human": { "ICCIF-species-checked": "testedAndGuaranteed", "ICCIF-species-dilution-info": "", "ICCIF-species-notes": "<p></p>", "mIHC-species-checked": "testedAndGuaranteed", "mIHC-species-dilution-info": "1/500", "mIHC-species-notes": "<p></p>", "FlowCyt-species-checked": "testedAndGuaranteed", "FlowCyt-species-dilution-info": "", "FlowCyt-species-notes": "<p>(For 30 minutes at 4°C).</p>", "IHCP-species-checked": "testedAndGuaranteed", "IHCP-species-dilution-info": "", "IHCP-species-notes": "<p>(For 30 minutes at room temperature. Antigen Retrieval: Boil tissue section in EDTA buffer for 10 min followed by cooling at room temperature for 20 min).</p>" }, "Pig": { "ICCIF-species-checked": "predicted", "ICCIF-species-dilution-info": "", "ICCIF-species-notes": "", "mIHC-species-checked": "predicted", "mIHC-species-dilution-info": "", "mIHC-species-notes": "", "FlowCyt-species-checked": "predicted", "FlowCyt-species-dilution-info": "", "FlowCyt-species-notes": "", "IHCP-species-checked": "predicted", "IHCP-species-dilution-info": "", "IHCP-species-notes": "" } } }

Product details

What is this antibody validated in?
Anti-CD4 antibody [SP35] - BSA and Azide free (ab238798) is a rabbit recombinant monoclonal antibody and is validated for use in Flow Cytometry (Flow Cyt), Immunohistochemistry (IHC-P), Immunocytochemistry/immunofluorescence (ICC/IF), Multiplex IHC (mIHC) in Human samples.

Collaboration
Anti-CD4 [SP35] - BSA and Azide free (ab238798) is a clone from the portfolio of Spring Bioscience (Roche) SP clones which have been optimised for immunohistochemistry (IHC).

Other related products
We have a range of other formats of antibody clone [SP35] also available for your convenience: ab101530, ab213215, Carrier free - ab238798, ab279480, PE - ab305622, APC - ab305623, HRP - ab305624, Alkaline Phosphatase - ab308987, Alexa Fluor® 488 - ab309931, Alexa Fluor® 647 - ab310298, Alexa Fluor® 594 - ab310760, Alexa Fluor® 555 - ab312287, Alexa Fluor® 568 - ab312782, Alexa Fluor® 750 - ab321373

What are the advantages of a recombinant monoclonal antibody?
This product is a recombinant monoclonal antibody, which offers several advantages including:

  • - High batch-to-batch consistency and reproducibility
  • - Improved sensitivity and specificity
  • - Long-term security of supply
  • - Animal-free batch production

For more information, read more on recombinant antibodies.

Conjugation ready
Our carrier-free antibodies are typically supplied in a PBS-only formulation, purified and free of BSA, sodium azide and glycerol. This conjugation-ready format is designed for use with fluorochromes, metal isotopes, oligonucleotides, and enzymes, which makes them ideal for antibody labelling, functional and cell-based assays, flow-based assays (e.g. mass cytometry) and Multiplex Imaging applications.

Use our conjugation kits for antibody conjugates that are ready-to-use in as little as 20 minutes with 1 minute hands-on-time and 100% antibody recovery: available for fluorescent dyes, HRP, biotin and gold.

Compatibility
This product is compatible with the Maxpar® Antibody Labeling Kit from Fluidigm, without the need for antibody preparation. Maxpar® is a trademark of Fluidigm Canada Inc.

Properties and storage information

Form
Liquid
Purification technique
Affinity purification Protein A/G
Purification notes
Purified from TCS by protein A/G.
Storage buffer
pH: 7.2 - 7.4 Constituents: PBS
Shipped at conditions
Blue Ice
Appropriate short-term storage conditions
+4°C
Appropriate long-term storage conditions
+4°C
Storage information
Do Not Freeze

Product protocols

For this product, it's our understanding that no specific protocols are required. You can visit:

Target data

Integral membrane glycoprotein that plays an essential role in the immune response and serves multiple functions in responses against both external and internal offenses. In T-cells, functions primarily as a coreceptor for MHC class II molecule : peptide complex. The antigens presented by class II peptides are derived from extracellular proteins while class I peptides are derived from cytosolic proteins. Interacts simultaneously with the T-cell receptor (TCR) and the MHC class II presented by antigen presenting cells (APCs). In turn, recruits the Src kinase LCK to the vicinity of the TCR-CD3 complex. LCK then initiates different intracellular signaling pathways by phosphorylating various substrates ultimately leading to lymphokine production, motility, adhesion and activation of T-helper cells. In other cells such as macrophages or NK cells, plays a role in differentiation/activation, cytokine expression and cell migration in a TCR/LCK-independent pathway. Participates in the development of T-helper cells in the thymus and triggers the differentiation of monocytes into functional mature macrophages.. (Microbial infection) Primary receptor for human immunodeficiency virus-1 (HIV-1) (PubMed : 12089508, PubMed : 16331979, PubMed : 2214026, PubMed : 9641677). Down-regulated by HIV-1 Vpu (PubMed : 17346169). Acts as a receptor for Human Herpes virus 7/HHV-7 (PubMed : 7909607).
See full target information CD4

Publications (1)

Recent publications for all applications. Explore the full list and refine your search

Cell reports. Medicine 2:100166 PubMed33521697

2021

A distinct innate immune signature marks progression from mild to severe COVID-19.

Applications

Unspecified application

Species

Unspecified reactive species

Stéphane Chevrier,Yves Zurbuchen,Carlo Cervia,Sarah Adamo,Miro E Raeber,Natalie de Souza,Sujana Sivapatham,Andrea Jacobs,Esther Bachli,Alain Rudiger,Melina Stüssi-Helbling,Lars C Huber,Dominik J Schaer,Jakob Nilsson,Onur Boyman,Bernd Bodenmiller
View all publications

Product promise

We are committed to supporting your work with high-quality reagents, and we're here for you every step of the way. In the unlikely event that one of our products does not perform as expected, you're protected by our Product Promise.
For full details, please see our Terms & Conditions

Please note: All products are 'FOR RESEARCH USE ONLY. NOT FOR USE IN DIAGNOSTIC OR THERAPEUTIC PROCEDURES'.

For licensing inquiries, please contact partnerships@abcam.com