JavaScript is disabled in your browser. Please enable JavaScript to view this website.
AB223546

Anti-CD40 antibody [EPR20540] - Low endotoxin, Azide free

Be the first to review this product! Submit a review

|

(1 Publication)

Rabbit Recombinant Monoclonal CD40 antibody. Carrier free. Suitable for WB, IHC-P and reacts with Human samples. Cited in 1 publication.

View Alternative Names

CD40, TNFRSF5, Tumor necrosis factor receptor superfamily member 5, B-cell surface antigen CD40, Bp50, CD40L receptor, CDw40

5 Images
Immunohistochemistry (Formalin/PFA-fixed paraffin-embedded sections) - Anti-CD40 antibody [EPR20540] - Low endotoxin, Azide free (AB223546)
  • IHC-P

Supplier Data

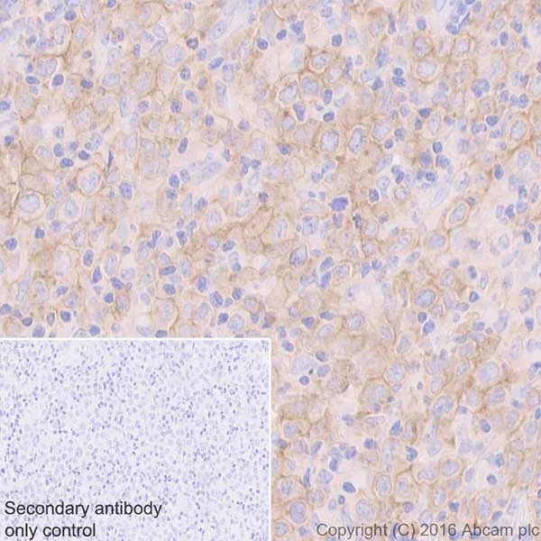
Immunohistochemistry (Formalin/PFA-fixed paraffin-embedded sections) - Anti-CD40 antibody [EPR20540] - Low endotoxin, Azide free (AB223546)

Immunohistochemical analysis of paraffin-embedded human large B cell lymphoma tissue labeling CD40 with ab213205 at 1/1000 dilution followed by Goat Anti-Rabbit IgG H&L (HRP) (ab97051) at 1/500 dilution.

Membranous staining on human large B cell lymphoma is observed [PMID : 7507299].

Counter stained with Hematoxylin.

Secondary antibody only control : Used PBS instead of primary antibody secondary antibody is Goat Anti-Rabbit IgG H&L (HRP) (ab97051) at 1/500 dilution.

This data was developed using the same antibody clone in a different buffer formulation containing PBS BSA glycerol and sodium azide (ab213205).

Perform heat mediated antigen retrieval with Tris/EDTA buffer pH 9.0 before commencing with IHC staining protocol.

Immunohistochemistry (Formalin/PFA-fixed paraffin-embedded sections) - Anti-CD40 antibody [EPR20540] - Low endotoxin, Azide free (AB223546)
  • IHC-P

Supplier Data

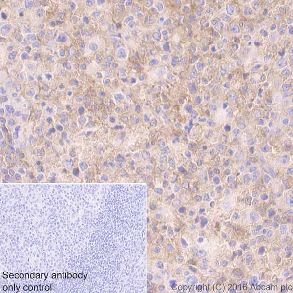
Immunohistochemistry (Formalin/PFA-fixed paraffin-embedded sections) - Anti-CD40 antibody [EPR20540] - Low endotoxin, Azide free (AB223546)

This IHC data was generated using the same anti-CD40 antibody clone [EPR20540] in a different buffer formulation (cat# ab213205).

Immunohistochemical analysis of paraffin-embedded human tonsil tissue labeling CD40 with ab213205 at 1/1000 dilution followed by Goat Anti-Rabbit IgG H&L (HRP) (ab97051) at 1/500 dilution.

Membranous and cytoplasmic staining on germinal center of human tonsil is observed [PMID : 10360965] [PMID : 7507299] [PMID : 24452203].

Counter stained with Hematoxylin.

Secondary antibody only control : Used PBS instead of primary antibody secondary antibody is Goat Anti-Rabbit IgG H&L (HRP) (ab97051) at 1/500 dilution.

Perform heat mediated antigen retrieval with Tris/EDTA buffer pH 9.0 before commencing with IHC staining protocol.

Mass Cytometry - Anti-CD40 antibody [EPR20540] - Low endotoxin, Azide free (AB223546)
  • Mass Cytometry

Collaborator

Mass Cytometry - Anti-CD40 antibody [EPR20540] - Low endotoxin, Azide free (AB223546)

Imaging Mass Cytometry™ (IMC™) image of human tonsil tissue stained with Anti-CD40 antibody [EPR20540]. ab223546 (carrier-free antibody, purified) was metal-conjugated using a Maxpar® Antibody Labeling Kit from Fluidigm. Immunostaining was performed according to Fluidigm’s protocols. Briefly, slides were subject to deparaffinization and heat-induced epitope retrieval, followed by overnight incubation at 4°C with an antibody cocktail containing metal-tagged antibodies in blocking buffer. Slides were subsequently washed with 0.2% Triton-X and 1x PBS, counterstained with Cell-ID™ Intercalator-Ir diluted at 1/400 in 1x PBS for 30 min at room temperature, rinsed for 5 min with distilled H2O, and air-dried prior to IMC™ acquisition. IMC™ acquisition was performed using the Fluidigm Hyperion™ Imaging System. Imaging Mass Cytometry™, IMC™, Cell-ID™, Hyperion™ and Maxpar® are trademarks of Fluidigm Canada

This image is courtesy of the Single Cell & Imaging Mass Cytometry Analysis Platform, Goodman Cancer Research Centre, McGill University

Immunohistochemistry (Formalin/PFA-fixed paraffin-embedded sections) - Anti-CD40 antibody [EPR20540] - Low endotoxin, Azide free (AB223546)
  • IHC-P

Lab

Immunohistochemistry (Formalin/PFA-fixed paraffin-embedded sections) - Anti-CD40 antibody [EPR20540] - Low endotoxin, Azide free (AB223546)

Tissue Microarrays stained for "Anti-CD40 antibody [EPR20540]" using "ab213205"in immunohistochemical analysis. This table provides a detailed overview of positive (tick mark) and negative (cross mark) staining per sample type tested. The sections were pre-treated using Heat mediated antigen retrieval using ab93684 (Tris/EDTA buffer, pH 9.0). The sections were incubated with ab213205 at +4°C overnight followed by Goat Anti-Rabbit IgG H&L (HRP) ab97051 at 1/500.

Western blot - Anti-CD40 antibody [EPR20540] - Low endotoxin, Azide free (AB223546)
  • WB

Lab

Western blot - Anti-CD40 antibody [EPR20540] - Low endotoxin, Azide free (AB223546)

This data was developed using the same antibody clone in a different buffer formulation (ab213205).

Lanes 1 - 3 : Merged signal (red and green). Green - ab213205 observed at 42 kDa. Red - loading control, ab7291 (Mouse anti-Alpha Tubulin [DM1A] observed at 55kDa.

ab213205 was shown to react with CD40 in U-2 OS wild-type cells in Western blot. Loss of signal was observed when CD40 knockout sample was used. U-2 OS wild-type and CD40 knockout cell lysates were subjected to SDS-PAGE. Membranes were blocked in 3% Milk in TBS-T (0.1% Tween®) before incubation with ab213205 and ab7291 (Mouse anti-Alpha Tubulin [DM1A] overnight at 4°C at a 1 in 2000 dilution and a 1 in 20000 dilution respectively. Blots were developed with Goat anti-Rabbit IgG H&L (IRDye® 800CW) preabsorbed (ab216773) and Goat anti-Mouse IgG H&L (IRDye® 680RD) preabsorbed (ab216776) secondary antibodies at 1 in 20000 dilution for 1 hour at room temperature before imaging.

All lanes:

Western blot - Anti-CD40 antibody [EPR20540] (<a href='/en-us/products/primary-antibodies/cd40-antibody-epr20540-ab213205'>ab213205</a>) at 1/2000 dilution

Lane 1:

Wild-type U-2 OS whole cell lysate at 20 µg

Lane 2:

CD40 knockout U-2 OS whole cell lysate at 20 µg

Lane 2:

Western blot - Human CD40 knockout U-2 OS cell line (<a href='/en-us/products/cell-lines/human-cd40-knockout-u-2-os-cell-line-ab262486'>ab262486</a>)

Lane 3:

Raji (Human Burkitt's lymphoma cell line) whole cell lysate at 20 µg

Predicted band size: 30 kDa

Observed band size: 42 kDa

false

Key facts

Host species

Rabbit

Clonality

Monoclonal

Clone number

EPR20540

Isotype

IgG

Carrier free

Yes

Reacts with

Human

Applications

WB, IHC-P

applications

Immunogen

The exact immunogen used to generate this antibody is proprietary information.

Reactivity data

{ "title": "Reactivity Data", "filters": { "stats": ["", "Species", "Dilution Info", "Notes"], "tabs": { "all-applications": {"fullname" : "All Applications", "shortname": "All Applications"}, "WB" : {"fullname" : "Western blot", "shortname":"WB"}, "IHCP" : {"fullname" : "Immunohistochemistry (Formalin/PFA-fixed paraffin-embedded sections)", "shortname":"IHC-P"} }, "product-promise": { "all": "all", "testedAndGuaranteed": "tested", "guaranteed": "expected", "predicted": "predicted", "notRecommended": "not-recommended" } }, "values": { "Human": { "WB-species-checked": "testedAndGuaranteed", "WB-species-dilution-info": "", "WB-species-notes": "<p></p>", "IHCP-species-checked": "testedAndGuaranteed", "IHCP-species-dilution-info": "", "IHCP-species-notes": "<p></p>" } } }

Product details

ab223546 is the carrier-free version of ab213205.

Patented technology
Our RabMAb® technology is a patented hybridoma-based technology for making rabbit monoclonal antibodies. For details on our patents, please refer to RabMAb® patents.

Conjugation ready
Our carrier-free antibodies are typically supplied in a PBS-only formulation, purified and free of BSA, sodium azide and glycerol. This conjugation-ready format is designed for use with fluorochromes, metal isotopes, oligonucleotides, and enzymes, which makes them ideal for antibody labelling, functional and cell-based assays, flow-based assays (e.g. mass cytometry) and Multiplex Imaging applications.

Use our conjugation kits for antibody conjugates that are ready-to-use in as little as 20 minutes with 1 minute hands-on-time and 100% antibody recovery: available for fluorescent dyes, HRP, biotin and gold.

Compatibility
This product is compatible with the Maxpar® Antibody Labeling Kit from Fluidigm, without the need for antibody preparation. Maxpar® is a trademark of Fluidigm Canada Inc.

What does low endotoxin mean?
Our low endotoxin, azide-free formats have low endotoxin level (1 EU/mg, determined by the TAL assay) and are free from azide, to achieve consistent experimental results in functional assays.

Properties and storage information

Form
Liquid
Purification technique
Affinity purification Protein A
Storage buffer
pH: 7.2 - 7.4 Constituents: PBS
Shipped at conditions
Blue Ice
Appropriate short-term storage conditions
+4°C
Appropriate long-term storage conditions
+4°C
Storage information
Do Not Freeze

Product protocols

For this product, it's our understanding that no specific protocols are required. You can visit:

Target data

Receptor for TNFSF5/CD40LG (PubMed : 31331973). Transduces TRAF6- and MAP3K8-mediated signals that activate ERK in macrophages and B cells, leading to induction of immunoglobulin secretion (By similarity).
See full target information CD40

Publications (1)

Recent publications for all applications. Explore the full list and refine your search

Nature genetics 57:1213-1227 PubMed40259083

2025

Multi-omic and spatial analysis of mouse kidneys highlights sex-specific differences in gene regulation across the lifespan.

Applications

Unspecified application

Species

Unspecified reactive species

Siqi Chen,Ruiyang Liu,Chia-Kuei Mo,Michael C Wendl,Andrew Houston,Preet Lal,Yanyan Zhao,Wagma Caravan,Andrew T Shinkle,Atieh Abedin-Do,Nataly Naser Al Deen,Kazuhito Sato,Xiang Li,André Luiz N Targino da Costa,Yize Li,Alla Karpova,John M Herndon,Maxim N Artyomov,Joshua B Rubin,Sanjay Jain,Xue Li,Sheila A Stewart,Li Ding,Feng Chen
View all publications

Product promise

We are committed to supporting your work with high-quality reagents, and we're here for you every step of the way. In the unlikely event that one of our products does not perform as expected, you're protected by our Product Promise.
For full details, please see our Terms & Conditions

Please note: All products are 'FOR RESEARCH USE ONLY. NOT FOR USE IN DIAGNOSTIC OR THERAPEUTIC PROCEDURES'.

For licensing inquiries, please contact partnerships@abcam.com