JavaScript is disabled in your browser. Please enable JavaScript to view this website.
AB317587

Anti-CD40 antibody [RM1193] - BSA and Azide free

Be the first to review this product! Submit a review

|

(0 Publication)

Rabbit Recombinant Multiclonal CD40 antibody. Carrier free. Suitable for WB, IHC-P, ICC/IF, Flow Cyt, IP and reacts with Human, Mouse samples.

View Alternative Names

CD40, Tnfrsf5, Cd40, Tumor necrosis factor receptor superfamily member 5, B-cell surface antigen CD40, Bp50, CD40L receptor

13 Images
Immunocytochemistry/ Immunofluorescence - Anti-CD40 antibody [RM1193] - BSA and Azide free (AB317587)
  • ICC/IF

Supplier Data

Immunocytochemistry/ Immunofluorescence - Anti-CD40 antibody [RM1193] - BSA and Azide free (AB317587)

This data was developed using ab317586, the same antibody clone in a different buffer formulation.

Immunofluorescent analysis of 4% Paraformaldehyde-fixed, 0.1% TritonX-100 permeabilized Raji (human Burkitt's lymphoma B lymphocyte) cells labelling CD40 with ab317586 at 1/50 (10.16 ug/ml) dilution, followed by ab150081 Goat Anti-Rabbit IgG H&L (Alexa Fluor® 488) preadsorbed antibody at 1/1000 2 ug/ml dilution (Green).

Confocal image showing membranous staining in Raji cell line (shown in green). The counterstain was observed in magenta. Nuclear DNA was labeled with DAPI (shown in blue).
Negative control : Jurkat (PMID : 10498643, PMID : 15708600).
Image was taken with a confocal microscope (Leica-Microsystems, TCS SP8).

ab195889 Anti-alpha Tubulin mouse monoclonal antibody - Microtubule Marker (Alexa Fluor® 594) was used to counterstain tubulin at 1/200 2.5 ug/ml dilution (Magenta). The Nuclear counterstain was DAPI (Blue).

Secondary antibody only control : Secondary antibody is ab150081 Goat Anti-Rabbit IgG H&L (Alexa Fluor® 488) preadsorbed at 1/1000 2 ug/ml dilution.

Flow Cytometry - Anti-CD40 antibody [RM1193] - BSA and Azide free (AB317587)
  • Flow Cyt

Supplier Data

Flow Cytometry - Anti-CD40 antibody [RM1193] - BSA and Azide free (AB317587)

This data was developed using ab317586, the same antibody clone in a different buffer formulation.

Flow cytometric analysis of Jurkat(human T cell leukemia T lymphocyte from peripheral blood, Left) / Raji(human Burkitt's lymphoma B lymphocyte, Right) cells labelling CD40 with ab317586 at 1/500 dilution (0.1 ug)/Red compared with a Rabbit monoclonal IgG (ab172730) (Black) isotype control and an unlabelled control (cells without incubation with primary antibody and secondary antibody) (Blue).

Goat Anti-Rabbit IgG (Alexa Fluor® 488, ab150081) at 1/5000 dilution was used as the secondary antibody.

Gated on viable cell.
Negative control : Jurkat.

Immunohistochemistry (Formalin/PFA-fixed paraffin-embedded sections) - Anti-CD40 antibody [RM1193] - BSA and Azide free (AB317587)
  • IHC-P

Supplier Data

Immunohistochemistry (Formalin/PFA-fixed paraffin-embedded sections) - Anti-CD40 antibody [RM1193] - BSA and Azide free (AB317587)

This data was developed using ab317586, the same antibody clone in a different buffer formulation.

Immunohistochemical analysis of paraffin-embedded Human diffuse large B-cell lymphoma tissue labeling CD40 with ab317586 at 1/2000 (0.254 ug/ml) dilution, followed by a ready to use LeicaDS9800 (Bond™ Polymer Refine Detection).

Positive staining on human diffuse large B-cell lymphoma. The section was incubated with ab317586 for 30 mins at room temperature.
The immunostaining was performed on a Leica Biosystems BOND® RX instrument

Counterstained with Hematoxylin.

Secondary antibody only control : Secondary antibody is a ready to use LeicaDS9800 (Bond™ Polymer Refine Detection).

Heat mediated antigen retrieval was performed with Tris-EDTA buffer (pH 9.0, Epitope Retrieval Solution2) for 20 mins

Immunohistochemistry (Formalin/PFA-fixed paraffin-embedded sections) - Anti-CD40 antibody [RM1193] - BSA and Azide free (AB317587)
  • IHC-P

Supplier Data

Immunohistochemistry (Formalin/PFA-fixed paraffin-embedded sections) - Anti-CD40 antibody [RM1193] - BSA and Azide free (AB317587)

This data was developed using ab317586, the same antibody clone in a different buffer formulation.

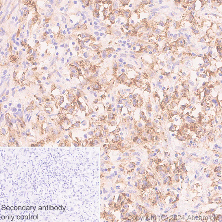
Immunohistochemical analysis of paraffin-embedded Human hodgkin's lymphoma tissue labeling CD40 with ab317586 at 1/2000 (0.254 ug/ml) dilution, followed by a ready to use LeicaDS9800 (Bond™ Polymer Refine Detection).

Positive staining on human hodgkin's lymphoma. The section was incubated with ab317586 for 30 mins at room temperature.
The immunostaining was performed on a Leica Biosystems BOND® RX instrument

Counterstained with Hematoxylin.

Secondary antibody only control : Secondary antibody is a ready to use LeicaDS9800 (Bond™ Polymer Refine Detection).

Heat mediated antigen retrieval was performed with Tris-EDTA buffer (pH 9.0, Epitope Retrieval Solution2) for 20 mins

Immunohistochemistry (Formalin/PFA-fixed paraffin-embedded sections) - Anti-CD40 antibody [RM1193] - BSA and Azide free (AB317587)
  • IHC-P

Supplier Data

Immunohistochemistry (Formalin/PFA-fixed paraffin-embedded sections) - Anti-CD40 antibody [RM1193] - BSA and Azide free (AB317587)

This data was developed using ab317586, the same antibody clone in a different buffer formulation.

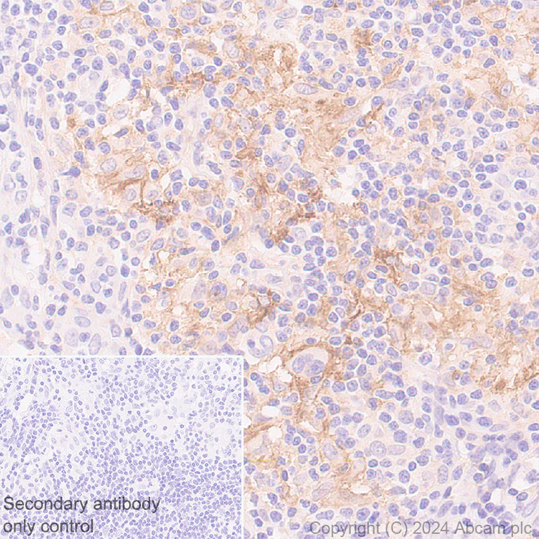
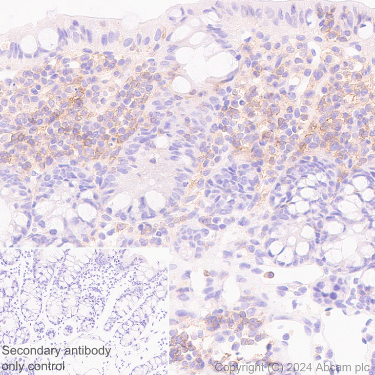
Immunohistochemical analysis of paraffin-embedded Human colon tissue labeling CD40 with ab317586 at 1/2000 (0.254 ug/ml) dilution, followed by a ready to use LeicaDS9800 (Bond™ Polymer Refine Detection).

Positive staining on immune cells of human colon in (A) ab317586, non-specific staining on human colon in (B) ab13545. The image on (A) ab317586 is applied with Anti-CD40 antibody at 1/2000 dilution and (B) ab13545 is applied with Anti-CD40 antibody at 1/4000 dilution.
The section was incubated with ab317586 or ab13545 for 30 mins at room temperature.
The immunostaining was performed on a Leica Biosystems BOND® RX instrument

Counterstained with Hematoxylin.

Secondary antibody only control : Secondary antibody is a ready to use LeicaDS9800 (Bond™ Polymer Refine Detection).

Heat mediated antigen retrieval was performed with Tris-EDTA buffer (pH 9.0, Epitope Retrieval Solution2) for 20 mins

Immunohistochemistry (Formalin/PFA-fixed paraffin-embedded sections) - Anti-CD40 antibody [RM1193] - BSA and Azide free (AB317587)
  • IHC-P

Supplier Data

Immunohistochemistry (Formalin/PFA-fixed paraffin-embedded sections) - Anti-CD40 antibody [RM1193] - BSA and Azide free (AB317587)

This data was developed using ab317586, the same antibody clone in a different buffer formulation.

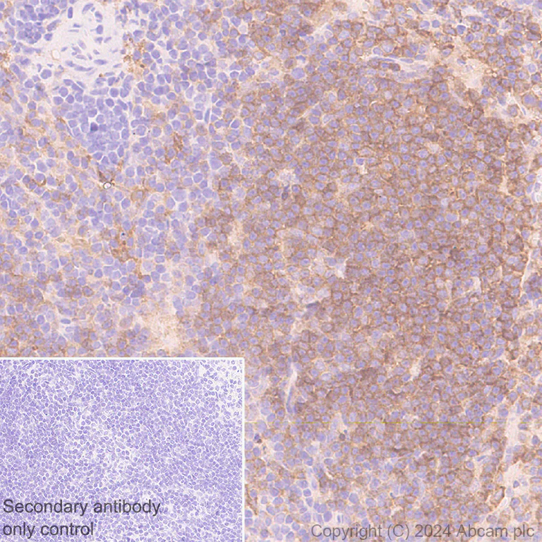
Immunohistochemical analysis of paraffin-embedded Human tonsil tissue labeling CD40 with ab317586 at 1/2000 (0.254 ug/ml) dilution, followed by a ready to use LeicaDS9800 (Bond™ Polymer Refine Detection).

Positive staining on human tonsil in (A) ab317586 and (B) ab13545.
The image on (A) ab317586 is applied with Anti-CD40 antibody at 1/2000 dilution and (B) ab13545 is applied with Anti-CD40 antibody at 1/4000 dilution.
The section was incubated with ab317586 or ab13545 for 30 mins at room temperature.
The immunostaining was performed on a Leica Biosystems BOND® RX instrument

Counterstained with Hematoxylin.

Secondary antibody only control : Secondary antibody is a ready to use LeicaDS9800 (Bond™ Polymer Refine Detection).

Heat mediated antigen retrieval was performed with Tris-EDTA buffer (pH 9.0, Epitope Retrieval Solution2) for 20 mins

Immunohistochemistry (Formalin/PFA-fixed paraffin-embedded sections) - Anti-CD40 antibody [RM1193] - BSA and Azide free (AB317587)
  • IHC-P

Supplier Data

Immunohistochemistry (Formalin/PFA-fixed paraffin-embedded sections) - Anti-CD40 antibody [RM1193] - BSA and Azide free (AB317587)

This data was developed using ab317586, the same antibody clone in a different buffer formulation.

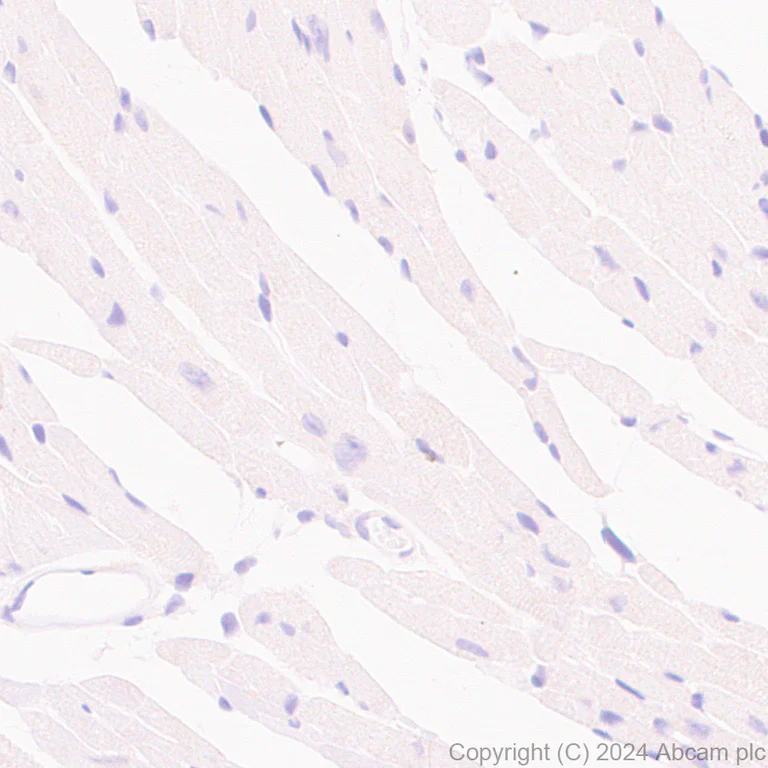
Immunohistochemical analysis of paraffin-embedded Human cardiac muscle tissue labeling CD40 with ab317586 at 1/2000 (0.254 ug/ml) dilution, followed by a ready to use LeicaDS9800 (Bond™ Polymer Refine Detection).

Negative control : no staining on human cardiac muscle. The section was incubated with ab317586 for 30 mins at room temperature.
The immunostaining was performed on a Leica Biosystems BOND® RX instrument

Counterstained with Hematoxylin.

Secondary antibody only control : Secondary antibody is a ready to use LeicaDS9800 (Bond™ Polymer Refine Detection).

Heat mediated antigen retrieval was performed with Tris-EDTA buffer (pH 9.0, Epitope Retrieval Solution2) for 20 mins

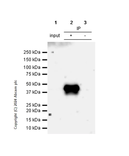
Immunoprecipitation - Anti-CD40 antibody [RM1193] - BSA and Azide free (AB317587)
  • IP

Supplier Data

Immunoprecipitation - Anti-CD40 antibody [RM1193] - BSA and Azide free (AB317587)

This data was developed using ab317586, the same antibody clone in a different buffer formulation.

CD40 was immunoprecipitated from 0.35 mg Raji (human Burkitt's lymphoma B lymphocyte) whole cell lysate with ab317586 at 1/30 dilution (2ug in 0.35mg lysates). Western blot was performed on the immunoprecipitate using ab317586 at 1/1000 dilution. VeriBlot for IP secondary antibody(HRP)(ab131366) was used at 1/5000 dilution.

Lane 1 : Raji (human Burkitt's lymphoma B lymphocyte) whole cell lysate
Lane 2 : ab317586 IP in Raji (human Burkitt's lymphoma B lymphocyte) whole cell lysate
Lane 3 : Rabbit monoclonal IgG (ab172730) instead of ab317586 in Raji whole cell lysate

Blocking and dilution buffer and concentration : 5% NFDM/TBST.

All lanes:

Immunoprecipitation - Anti-CD40 antibody [RM1193] (<a href='/en-us/products/primary-antibodies/cd40-antibody-rm1193-ab317586'>ab317586</a>) at 1/30 dilution

Lane 1:

Raji (human Burkitt's lymphoma B lymphocyte) whole cell lysate

Lane 2:

<a href='/en-us/products/primary-antibodies/cd40-antibody-rm1193-ab317586'>ab317586</a> IP in Raji (human Burkitt's lymphoma B lymphocyte) whole cell lysate

Secondary

All lanes:

Immunoprecipitation - VeriBlot for IP Detection Reagent (HRP) (<a href='/en-us/products/reagents/veriblot-for-ip-detection-reagent-hrp-ab131366'>ab131366</a>) at 1/5000 dilution

false

Exposure time: 111s

Immunohistochemistry (Formalin/PFA-fixed paraffin-embedded sections) - Anti-CD40 antibody [RM1193] - BSA and Azide free (AB317587)
  • IHC-P

Supplier Data

Immunohistochemistry (Formalin/PFA-fixed paraffin-embedded sections) - Anti-CD40 antibody [RM1193] - BSA and Azide free (AB317587)

This data was developed using ab317586, the same antibody clone in a different buffer formulation.

Immunohistochemical analysis of paraffin-embedded Mouse colon tissue labeling CD40 with ab317586 at 1/500 (1.016 ug/ml) dilution, followed by a ready to use LeicaDS9800 (Bond™ Polymer Refine Detection).

Positive staining on mouse colon. The section was incubated with ab317586 for 30 mins at room temperature.
The immunostaining was performed on a Leica Biosystems BOND® RX instrument

Counterstained with Hematoxylin.

Secondary antibody only control : Secondary antibody is a ready to use LeicaDS9800 (Bond™ Polymer Refine Detection).

Heat mediated antigen retrieval was performed with Tris-EDTA buffer (pH 9.0, Epitope Retrieval Solution2) for 20 mins

Immunohistochemistry (Formalin/PFA-fixed paraffin-embedded sections) - Anti-CD40 antibody [RM1193] - BSA and Azide free (AB317587)
  • IHC-P

Supplier Data

Immunohistochemistry (Formalin/PFA-fixed paraffin-embedded sections) - Anti-CD40 antibody [RM1193] - BSA and Azide free (AB317587)

This data was developed using ab317586, the same antibody clone in a different buffer formulation.

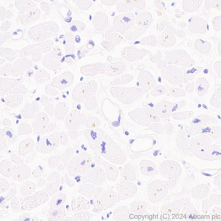
Immunohistochemical analysis of paraffin-embedded Mouse cardiac muscle tissue labeling CD40 with ab317586 at 1/500 (1.016 ug/ml) dilution, followed by a ready to use LeicaDS9800 (Bond™ Polymer Refine Detection).

Negative control : no staining on mouse cardiac muscle. The section was incubated with ab317586 for 30 mins at room temperature.
The immunostaining was performed on a Leica Biosystems BOND® RX instrument

Counterstained with Hematoxylin.

Secondary antibody only control : Secondary antibody is a ready to use LeicaDS9800 (Bond™ Polymer Refine Detection).

Heat mediated antigen retrieval was performed with Tris-EDTA buffer (pH 9.0, Epitope Retrieval Solution2) for 20 mins

Immunohistochemistry (Formalin/PFA-fixed paraffin-embedded sections) - Anti-CD40 antibody [RM1193] - BSA and Azide free (AB317587)
  • IHC-P

Supplier Data

Immunohistochemistry (Formalin/PFA-fixed paraffin-embedded sections) - Anti-CD40 antibody [RM1193] - BSA and Azide free (AB317587)

This data was developed using ab317586, the same antibody clone in a different buffer formulation.

Immunohistochemical analysis of paraffin-embedded Mouse spleen tissue labeling CD40 with ab317586 at 1/500 (1.016 ug/ml) dilution, followed by a ready to use LeicaDS9800 (Bond™ Polymer Refine Detection).

Positive staining on mouse spleen. The section was incubated with ab317586 for 30 mins at room temperature.
The immunostaining was performed on a Leica Biosystems BOND® RX instrument

Counterstained with Hematoxylin.

Secondary antibody only control : Secondary antibody is a ready to use LeicaDS9800 (Bond™ Polymer Refine Detection).

Heat mediated antigen retrieval was performed with Tris-EDTA buffer (pH 9.0, Epitope Retrieval Solution2) for 20 mins

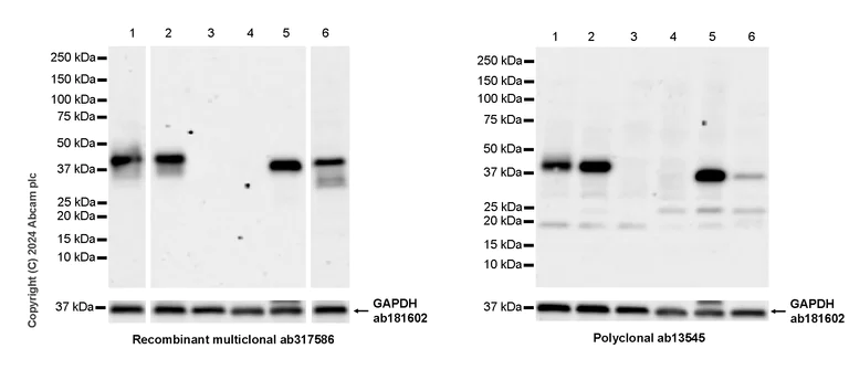
Western blot - Anti-CD40 antibody [RM1193] - BSA and Azide free (AB317587)
  • WB

Supplier Data

Western blot - Anti-CD40 antibody [RM1193] - BSA and Azide free (AB317587)

This data was developed using ab317586, the same antibody clone in a different buffer formulation.

Anti-CD40 antibody (ab317586) staining at 1/1000 dilution is specific to human and mouse species. Anti-CD40 antibody (ab13545) at 1/1000 dilution is bandy than ab317586.

The molecular weight observed is consistent with the literature (PMID : 23404288).

Negative control : Jurkat (PMID : 10498643; PMID : 15708600).

Blocking and diluting buffer and concentration : 5% NFDM/TBST.

Exposure time : Lane 1, 6 : 103 seconds Lane 2-5 : 92 seconds

All lanes:

Western blot - Anti-CD40 antibody [RM1193] (<a href='/en-us/products/primary-antibodies/cd40-antibody-rm1193-ab317586'>ab317586</a>) at 1/1000 dilution

Lane 1:

Daudi (human Burkitts lymphoma lymphoblast) whole cell lysate at 20 µg

Lane 2:

Raji (human Burkitts lymphoma B lymphocyte) whole cell lysate at 20 µg

Lane 3:

Jurkat (human T cell leukemia T lymphocyte from peripheral blood) whole cell lysate at 20 µg

Lane 4:

RAW 264.7 (mouse Abelson murine leukemia virus-induced tumor macrophage) whole cell lysate at 20 µg

Lane 5:

RAW 264.7 treated with /ml LPS (Lipopolysaccharide) for 6 hours whole cell lysate at 20 µg

Lane 6:

A20 (mouse reticum sarcoma B lymphocyte) whole cell lysate at 20 µg

Secondary

All lanes:

Western blot - Goat Anti-Rabbit IgG H&L (HRP) (<a href='/en-us/products/secondary-antibodies/goat-rabbit-igg-h-l-hrp-ab97051'>ab97051</a>) at 1/100000 dilution

Observed band size: 42 kDa,36 kDa

false

Western blot - Anti-CD40 antibody [RM1193] - BSA and Azide free (AB317587)
  • WB

Supplier Data

Western blot - Anti-CD40 antibody [RM1193] - BSA and Azide free (AB317587)

This data was developed using ab317586, the same antibody clone in a different buffer formulation.

Anti-CD40 antibody (ab317586) staining at 1/1000 dilution is specific to human and mouse species. Anti-CD40 antibody (ab13545) at 1/1000 dilution is weak than ab317586 in mouse tissue lysate.

The molecular weight observed is consistent with the literature (PMID : 23404288).

The lysis conditions of the tissues could be further optimised to improve performance.

Blocking and diluting buffer and concentration : 5% NFDM/TBST.

All lanes:

Western blot - Anti-CD40 antibody [RM1193] (<a href='/en-us/products/primary-antibodies/cd40-antibody-rm1193-ab317586'>ab317586</a>) at 1/1000 dilution

Lane 1:

Human lymph node tissue lysate at 20 µg

Lane 2:

Mouse thymus tissue lysate at 20 µg

Lane 3:

Mouse spleen tissue lysate at 20 µg

Secondary

All lanes:

Western blot - Goat Anti-Rabbit IgG H&L (HRP) (<a href='/en-us/products/secondary-antibodies/goat-rabbit-igg-h-l-hrp-ab97051'>ab97051</a>) at 1/100000 dilution

Observed band size: 42 kDa,36 kDa

true

Exposure time: 136s

Key facts

Host species

Rabbit

Clonality

Multiclonal

Clone number

RM1193

Isotype

IgG

Carrier free

Yes

Reacts with

Human, Mouse

Applications

ICC/IF, IP, Flow Cyt, IHC-P, WB

applications

Immunogen

The exact immunogen used to generate this antibody is proprietary information.

Specificity

Unsuitable for mouse ICC and mouse IP.

Reactivity data

{ "title": "Reactivity Data", "filters": { "stats": ["", "Species", "Dilution Info", "Notes"], "tabs": { "all-applications": {"fullname" : "All Applications", "shortname": "All Applications"}, "WB" : {"fullname" : "Western blot", "shortname":"WB"}, "IHCP" : {"fullname" : "Immunohistochemistry (Formalin/PFA-fixed paraffin-embedded sections)", "shortname":"IHC-P"}, "ICCIF" : {"fullname" : "Immunocytochemistry/ Immunofluorescence", "shortname":"ICC/IF"}, "FlowCyt" : {"fullname" : "Flow Cytometry", "shortname":"Flow Cyt"}, "IP" : {"fullname" : "Immunoprecipitation", "shortname":"IP"} }, "product-promise": { "all": "all", "testedAndGuaranteed": "tested", "guaranteed": "expected", "predicted": "predicted", "notRecommended": "not-recommended" } }, "values": { "Human": { "WB-species-checked": "testedAndGuaranteed", "WB-species-dilution-info": "", "WB-species-notes": "<p></p>", "IHCP-species-checked": "testedAndGuaranteed", "IHCP-species-dilution-info": "", "IHCP-species-notes": "<p></p>", "ICCIF-species-checked": "testedAndGuaranteed", "ICCIF-species-dilution-info": "", "ICCIF-species-notes": "<p></p>", "FlowCyt-species-checked": "testedAndGuaranteed", "FlowCyt-species-dilution-info": "", "FlowCyt-species-notes": "<p></p>", "IP-species-checked": "testedAndGuaranteed", "IP-species-dilution-info": "", "IP-species-notes": "<p></p>" }, "Mouse": { "WB-species-checked": "testedAndGuaranteed", "WB-species-dilution-info": "", "WB-species-notes": "<p></p>", "IHCP-species-checked": "testedAndGuaranteed", "IHCP-species-dilution-info": "", "IHCP-species-notes": "<p></p>", "ICCIF-species-checked": "notRecommended", "ICCIF-species-dilution-info": "", "ICCIF-species-notes": "<p></p>", "FlowCyt-species-checked": "guaranteed", "FlowCyt-species-dilution-info": "", "FlowCyt-species-notes": "", "IP-species-checked": "notRecommended", "IP-species-dilution-info": "", "IP-species-notes": "<p></p>" }, "Rat": { "WB-species-checked": "notRecommended", "WB-species-dilution-info": "", "WB-species-notes": "<p></p>", "IHCP-species-checked": "notRecommended", "IHCP-species-dilution-info": "", "IHCP-species-notes": "<p></p>", "ICCIF-species-checked": "notRecommended", "ICCIF-species-dilution-info": "", "ICCIF-species-notes": "", "FlowCyt-species-checked": "notRecommended", "FlowCyt-species-dilution-info": "", "FlowCyt-species-notes": "", "IP-species-checked": "notRecommended", "IP-species-dilution-info": "", "IP-species-notes": "" } } }

Product details

ab317587 is the carrier-free version of ab317586.

What are recombinant multiclonals?
Recombinant multiclonals are a mixture of recombinant antibodies co-expressed from a library of heavy and light chains. They offer several advantages including:

  • - The sensitivity of polyclonal antibodies by recognising multiple epitopes
  • - High batch-to-batch consistency and reproducibility
  • - Improved sensitivity and specificity
  • - Long-term security of supply
  • - Animal-free batch production

View our range of recombinant multiclonal antibodies.

Patented technology
Our RabMAb® technology is a patented hybridoma-based technology for making rabbit monoclonal antibodies. For details on our patents, please refer to RabMAb® patents.

Conjugation ready
Our carrier-free antibodies are typically supplied in a PBS-only formulation, purified and free of BSA, sodium azide and glycerol. This conjugation-ready format is designed for use with fluorochromes, metal isotopes, oligonucleotides, and enzymes, which makes them ideal for antibody labelling, functional and cell-based assays, flow-based assays (e.g. mass cytometry) and Multiplex Imaging applications.

Use our conjugation kits for antibody conjugates that are ready-to-use in as little as 20 minutes with 1 minute hands-on-time and 100% antibody recovery: available for fluorescent dyes, HRP, biotin and gold.

Compatibility
This product is compatible with the Maxpar® Antibody Labeling Kit from Fluidigm, without the need for antibody preparation. Maxpar® is a trademark of Fluidigm Canada Inc.

Properties and storage information

Form
Liquid
Purification technique
Affinity purification Protein A
Storage buffer
pH: 7.2 - 7.4 Constituents: PBS
Shipped at conditions
Blue Ice
Appropriate short-term storage conditions
+4°C
Appropriate long-term storage conditions
+4°C

Product protocols

For this product, it's our understanding that no specific protocols are required. You can visit:

Target data

Receptor for TNFSF5/CD40LG (By similarity). Transduces TRAF6- and MAP3K8-mediated signals that activate ERK in macrophages and B cells, leading to induction of immunoglobulin secretion (PubMed : 12881420).
See full target information Cd40

Product promise

We are committed to supporting your work with high-quality reagents, and we're here for you every step of the way. In the unlikely event that one of our products does not perform as expected, you're protected by our Product Promise.
For full details, please see our Terms & Conditions

Please note: All products are 'FOR RESEARCH USE ONLY. NOT FOR USE IN DIAGNOSTIC OR THERAPEUTIC PROCEDURES'.

For licensing inquiries, please contact partnerships@abcam.com