JavaScript is disabled in your browser. Please enable JavaScript to view this website.
AB203189

Anti-CD41 antibody

Be the first to review this product! Submit a review

|

(3 Publications)

Rabbit Polyclonal Itga2b antibody. Suitable for IHC-P and reacts with Rat samples. Cited in 3 publications. Immunogen corresponding to Synthetic Peptide within Mouse Itga2b aa 350-450 conjugated to Keyhole Limpet Haemocyanin.

View Alternative Names

BDPLT16, BDPLT2, CD41, CD41B, GP 2B, GP IIb, GPalpha IIb, GT, GTA, HPA3, ITA2B_HUMAN, ITGA2B, ITGAB, Integrin alpha 2b, Integrin alpha IIb, Integrin alpha-IIb light chain, Integrin, alpha 2b (platelet glycoprotein IIb of IIb/IIIa complex, antigen CD41), PPP1R93, Platelet glycoprotein IIb of IIb/IIIa complex, Platelet membrane glycoprotein IIb, antigen CD41, form 2, platelet fibrinogen receptor, alpha subunit, platelet specific antigen BAK

1 Images
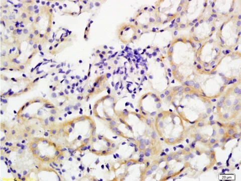
Immunohistochemistry (Formalin/PFA-fixed paraffin-embedded sections) - Anti-CD41 antibody (AB203189)
  • IHC-P

Supplier Data

Immunohistochemistry (Formalin/PFA-fixed paraffin-embedded sections) - Anti-CD41 antibody (AB203189)

Immunohistochemical analysis of formalin-fixed, paraffin embedded rat kidney tissue labeling CD41 with ab203189 at 1/200 dilution followed by conjugation to the secondary antibody and DAB staining.

Key facts

Host species

Rabbit

Clonality

Polyclonal

Isotype

IgG

Carrier free

No

Reacts with

Rat

Applications

IHC-P

applications

Immunogen

Synthetic Peptide within Mouse Itga2b aa 350-450 conjugated to Keyhole Limpet Haemocyanin. The exact immunogen used to generate this antibody is proprietary information.

Q9QUM0

Reactivity data

{ "title": "Reactivity Data", "filters": { "stats": ["", "Species", "Dilution Info", "Notes"], "tabs": { "all-applications": {"fullname" : "All Applications", "shortname": "All Applications"}, "IHCP" : {"fullname" : "Immunohistochemistry (Formalin/PFA-fixed paraffin-embedded sections)", "shortname":"IHC-P"} }, "product-promise": { "all": "all", "testedAndGuaranteed": "tested", "guaranteed": "expected", "predicted": "predicted", "notRecommended": "not-recommended" } }, "values": { "Human": { "IHCP-species-checked": "predicted", "IHCP-species-dilution-info": "", "IHCP-species-notes": "" }, "Mouse": { "IHCP-species-checked": "predicted", "IHCP-species-dilution-info": "", "IHCP-species-notes": "" }, "Rat": { "IHCP-species-checked": "testedAndGuaranteed", "IHCP-species-dilution-info": "1/50 - 1/500", "IHCP-species-notes": "<p></p>" } } }

Properties and storage information

Form
Liquid
Purification technique
Affinity purification Protein A
Storage buffer
pH: 7.4 Preservative: 0.02% Proclin 300 Constituents: 50% Glycerol (glycerin, glycerine), 48.98% TBS, 1X, 1% BSA
Shipped at conditions
Blue Ice
Appropriate short-term storage duration
1-2 weeks
Appropriate short-term storage conditions
+4°C
Appropriate long-term storage conditions
-20°C
Aliquoting information
Upon delivery aliquot
Storage information
Avoid freeze / thaw cycle

Product protocols

For this product, it's our understanding that no specific protocols are required. You can visit:

Publications (3)

Recent publications for all applications. Explore the full list and refine your search

BMC pharmacology & toxicology 26:4 PubMed39762913

2025

Effects of different antiplatelet therapy drugs on platelet activation and platelet-leukocyte aggregate formation in early septic ARDS.

Applications

Unspecified application

Species

Unspecified reactive species

Lu Wang,Liang-Yu Mi,Xiang-Yu Chen,Huai-Wu He,Yun Long

Biomedicines 12: PubMed38672230

2024

Coronary Microvascular Dysfunction in Acute Cholestasis-Induced Liver Injury.

Applications

Unspecified application

Species

Unspecified reactive species

Sebastian Billig,Marc Hein,Celine Kirchner,David Schumacher,Moriz Aljoscha Habigt,Mare Mechelinck,Dieter Fuchs,Uwe Klinge,Alexander Theißen,Christian Beckers,Christian Bleilevens,Rafael Kramann,Moritz Uhlig

Metabolism: clinical and experimental 152:155772 PubMed38176644

2024

GDF15 activates AMPK and inhibits gluconeogenesis and fibrosis in the liver by attenuating the TGF-β1/SMAD3 pathway.

Applications

Unspecified application

Species

Unspecified reactive species

Javier Jurado-Aguilar,Emma Barroso,Maribel Bernard,Meijian Zhang,Mona Peyman,Patricia Rada,Ángela M Valverde,Walter Wahli,Xavier Palomer,Manuel Vázquez-Carrera
View all publications

Product promise

We are committed to supporting your work with high-quality reagents, and we're here for you every step of the way. In the unlikely event that one of our products does not perform as expected, you're protected by our Product Promise.
For full details, please see our Terms & Conditions

Please note: All products are 'FOR RESEARCH USE ONLY. NOT FOR USE IN DIAGNOSTIC OR THERAPEUTIC PROCEDURES'.

For licensing inquiries, please contact partnerships@abcam.com