JavaScript is disabled in your browser. Please enable JavaScript to view this website.
AB225896

Anti-CD41 antibody [EPR17876] - BSA and Azide free

Be the first to review this product! Submit a review

|

(4 Publications)

Rabbit Recombinant Monoclonal CD41 antibody. Carrier free. Suitable for WB, IHC-P and reacts with Mouse, Rat samples. Cited in 4 publications.

View Alternative Names

CD41, Integrin alpha-IIb, GPalpha IIb, Platelet membrane glycoprotein IIb, GPIIb, Itga2b

2 Images
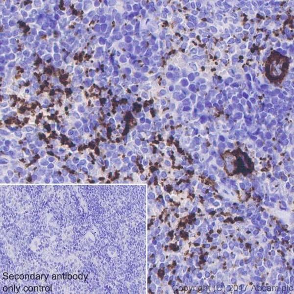
Immunohistochemistry (Formalin/PFA-fixed paraffin-embedded sections) - Anti-CD41 antibody [EPR17876] - BSA and Azide free (AB225896)
  • IHC-P

Supplier Data

Immunohistochemistry (Formalin/PFA-fixed paraffin-embedded sections) - Anti-CD41 antibody [EPR17876] - BSA and Azide free (AB225896)

Immunohistochemical analysis of paraffin-embedded rat spleen tissue labeling CD41 with ab181582 at 1/500 dilution, followed by Goat Anti-Rabbit IgG H&L (HRP), ready to use. Cytoplasmic staining on megakaryocytes and thrombocytes of rat spleen (PMID : 28133558). Counter stained with Hematoxylin.

Secondary antibody only control : Used PBS instead of primary antibody, secondary antibody is Goat Anti-Rabbit IgG H&L (HRP), ready to use.

This data was developed using the same antibody clone in a different buffer formulation containing PBS, BSA, glycerol, and sodium azide (ab181582).

Perform heat mediated antigen retrieval with EDTA buffer pH 9 before commencing with IHC staining protocol.

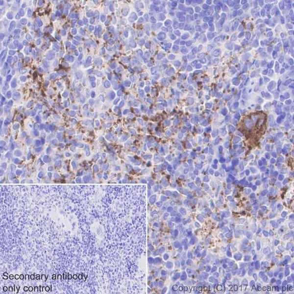
Immunohistochemistry (Formalin/PFA-fixed paraffin-embedded sections) - Anti-CD41 antibody [EPR17876] - BSA and Azide free (AB225896)
  • IHC-P

Supplier Data

Immunohistochemistry (Formalin/PFA-fixed paraffin-embedded sections) - Anti-CD41 antibody [EPR17876] - BSA and Azide free (AB225896)

Immunohistochemical analysis of paraffin-embedded mouse spleen tissue labeling CD41 with ab181582 at 1/500 dilution, followed by Goat Anti-Rabbit IgG H&L (HRP), ready to use. Cytoplasmic staining on megakaryocytes and thrombocytes of mouse spleen (PMID : 28133558). Counter stained with Hematoxylin.

Secondary antibody only control : Used PBS instead of primary antibody, secondary antibody is Goat Anti-Rabbit IgG H&L (HRP), ready to use.

This data was developed using the same antibody clone in a different buffer formulation containing PBS, BSA, glycerol, and sodium azide (ab181582).

Perform heat mediated antigen retrieval with EDTA buffer pH 9 before commencing with IHC staining protocol.

Key facts

Host species

Rabbit

Clonality

Monoclonal

Clone number

EPR17876

Isotype

IgG

Carrier free

Yes

Reacts with

Mouse, Rat

Applications

IHC-P, WB

applications

Immunogen

The exact immunogen used to generate this antibody is proprietary information.

Reactivity data

{ "title": "Reactivity Data", "filters": { "stats": ["", "Species", "Dilution Info", "Notes"], "tabs": { "all-applications": {"fullname" : "All Applications", "shortname": "All Applications"}, "WB" : {"fullname" : "Western blot", "shortname":"WB"}, "IHCP" : {"fullname" : "Immunohistochemistry (Formalin/PFA-fixed paraffin-embedded sections)", "shortname":"IHC-P"}, "ICCIF" : {"fullname" : "Immunocytochemistry/ Immunofluorescence", "shortname":"ICC/IF"} }, "product-promise": { "all": "all", "testedAndGuaranteed": "tested", "guaranteed": "expected", "predicted": "predicted", "notRecommended": "not-recommended" } }, "values": { "Mouse": { "WB-species-checked": "testedAndGuaranteed", "WB-species-dilution-info": "", "WB-species-notes": "<p></p>", "IHCP-species-checked": "testedAndGuaranteed", "IHCP-species-dilution-info": "", "IHCP-species-notes": "<p></p>", "ICCIF-species-checked": "notRecommended", "ICCIF-species-dilution-info": "", "ICCIF-species-notes": "<p></p>" }, "Rat": { "WB-species-checked": "testedAndGuaranteed", "WB-species-dilution-info": "", "WB-species-notes": "<p></p>", "IHCP-species-checked": "testedAndGuaranteed", "IHCP-species-dilution-info": "", "IHCP-species-notes": "<p></p>", "ICCIF-species-checked": "notRecommended", "ICCIF-species-dilution-info": "", "ICCIF-species-notes": "" } } }

Product details

ab225896 is the carrier-free version of ab181582.

Patented technology
Our RabMAb® technology is a patented hybridoma-based technology for making rabbit monoclonal antibodies. For details on our patents, please refer to RabMAb® patents.

What are the advantages of a recombinant monoclonal antibody?
This product is a recombinant monoclonal antibody, which offers several advantages including:

  • - High batch-to-batch consistency and reproducibility
  • - Improved sensitivity and specificity
  • - Long-term security of supply
  • - Animal-free batch production

For more information, read more on recombinant antibodies.

Conjugation ready
Our carrier-free antibodies are typically supplied in a PBS-only formulation, purified and free of BSA, sodium azide and glycerol. This conjugation-ready format is designed for use with fluorochromes, metal isotopes, oligonucleotides, and enzymes, which makes them ideal for antibody labelling, functional and cell-based assays, flow-based assays (e.g. mass cytometry) and Multiplex Imaging applications.

Use our conjugation kits for antibody conjugates that are ready-to-use in as little as 20 minutes with 1 minute hands-on-time and 100% antibody recovery: available for fluorescent dyes, HRP, biotin and gold.

Compatibility
This product is compatible with the Maxpar® Antibody Labeling Kit from Fluidigm, without the need for antibody preparation. Maxpar® is a trademark of Fluidigm Canada Inc.

Properties and storage information

Form
Liquid
Purification technique
Affinity purification Protein A
Storage buffer
pH: 7.2 - 7.4 Constituents: PBS
Shipped at conditions
Blue Ice
Appropriate short-term storage conditions
+4°C
Appropriate long-term storage conditions
+4°C
Storage information
Do Not Freeze

Product protocols

For this product, it's our understanding that no specific protocols are required. You can visit:

Target data

Integrin alpha-IIb/beta-3 is a receptor for fibronectin, fibrinogen, plasminogen, prothrombin, thrombospondin and vitronectin. It recognizes the sequence R-G-D in a wide array of ligands. It recognizes the sequence H-H-L-G-G-G-A-K-Q-A-G-D-V in fibrinogen gamma chain. Following activation integrin alpha-IIb/beta-3 brings about platelet/platelet interaction through binding of soluble fibrinogen. This step leads to rapid platelet aggregation which physically plugs ruptured endothelial cell surface.
See full target information Itga2b

Publications (4)

Recent publications for all applications. Explore the full list and refine your search

Journal of immunology (Baltimore, Md. : 1950) 211:1806-1813 PubMed37870292

2023

Glucagon-like Peptide-1 Receptor Pathway Attenuates Platelet Activation in Aspirin-Exacerbated Respiratory Disease.

Applications

Unspecified application

Species

Unspecified reactive species

Dinah Foer,Taneem Amin,Jun Nagai,Yumi Tani,Chunli Feng,Tao Liu,Dawn C Newcomb,Juying Lai,Hiroaki Hayashi,William E Snyder,Alanna McGill,Anabel Lin,Tanya M Laidlaw,Kevin D Niswender,Joshua A Boyce,Katherine N Cahill

Theranostics 12:2150-2161 PubMed35265204

2022

Exchange of cellular components between platelets and tumor cells: impact on tumor cells behavior.

Applications

Unspecified application

Species

Unspecified reactive species

Alba Rodriguez-Martinez,Iris Simon-Saez,Sonia Perales,Carmen Garrido-Navas,Alessandro Russo,Diego de Miguel-Perez,Ignacio Puche-Sanz,Clara Alaminos,Jorge Ceron,Jose A Lorente,Maria Pilar Molina,Coral Gonzalez,Massimo Cristofanilli,Alba Ortigosa-Palomo,Pedro J Real,Christian Rolfo,María J Serrano

Cellular and molecular gastroenterology and hepatology 12:354-377.e3 PubMed33545428

2021

SMN Depleted Mice Offer a Robust and Rapid Onset Model of Nonalcoholic Fatty Liver Disease.

Applications

Unspecified application

Species

Unspecified reactive species

Marc-Olivier Deguise,Chantal Pileggi,Yves De Repentigny,Ariane Beauvais,Alexandra Tierney,Lucia Chehade,Jean Michaud,Maica Llavero-Hurtado,Douglas Lamont,Abdelmadjid Atrih,Thomas M Wishart,Thomas H Gillingwater,Bernard L Schneider,Mary-Ellen Harper,Simon H Parson,Rashmi Kothary

Mucosal immunology 12:679-690 PubMed30664709

2019

Cysteinyl leukotriene receptor 2 drives lung immunopathology through a platelet and high mobility box 1-dependent mechanism.

Applications

Unspecified application

Species

Unspecified reactive species

Tao Liu,Nora A Barrett,Yoshihide Kanaoka,Kathleen Buchheit,Tanya M Laidlaw,Denise Garofalo,Juying Lai,Howard R Katz,Chunli Feng,Joshua A Boyce
View all publications

Product promise

We are committed to supporting your work with high-quality reagents, and we're here for you every step of the way. In the unlikely event that one of our products does not perform as expected, you're protected by our Product Promise.
For full details, please see our Terms & Conditions

Please note: All products are 'FOR RESEARCH USE ONLY. NOT FOR USE IN DIAGNOSTIC OR THERAPEUTIC PROCEDURES'.

For licensing inquiries, please contact partnerships@abcam.com