JavaScript is disabled in your browser. Please enable JavaScript to view this website.
AB229448

Anti-CD41 antibody [EPR4330] - Low endotoxin, Azide free

Be the first to review this product! Submit a review

|

(1 Publication)

Rabbit Recombinant Monoclonal CD41 antibody. Carrier free. Suitable for WB, ICC/IF, IHC-P and reacts with Human, Mouse samples. Cited in 1 publication.

View Alternative Names

CD41, GP2B, ITGAB, ITGA2B, Integrin alpha-IIb, GPalpha IIb, Platelet membrane glycoprotein IIb, GPIIb

4 Images
Immunocytochemistry/ Immunofluorescence - Anti-CD41 antibody [EPR4330] - Low endotoxin, Azide free (AB229448)
  • ICC/IF

Lab

Immunocytochemistry/ Immunofluorescence - Anti-CD41 antibody [EPR4330] - Low endotoxin, Azide free (AB229448)

ab134131 staining CD41 in HEL (human Erythroleukemia erythroblast) cells by ICC/IF (Immunocytochemistry/Immunofluorescence. Cells were fixed with 4% paraformaldehyde and permeabilized with 0.1% TritonX-100. Samples were incubated with primary antibody at 1/100 dilution (6 μg/ml). An AlexaFluor® 488 Goat anti-Rabbit (ab150077) was used as the secondary antibody at 1/1000 dilution (2 μg/ml). Anti-alpha Tubulin antibody [DM1A] - Microtubule Marker (Alexa Fluor® 594) ab195889 was used a counterstain antibody at 1/200 dilution (2.5 μg/ml). DAPI was used as a nuclear counterstain. Confocal image showing membranous staining in HEL cell line.

Negative control : K562( PMID 2458779)

This data was developed using the same antibody clone in a different buffer formulation containing PBS BSA glycerol and sodium azide (ab134131).

Immunohistochemistry (Formalin/PFA-fixed paraffin-embedded sections) - Anti-CD41 antibody [EPR4330] - Low endotoxin, Azide free (AB229448)
  • IHC-P

Lab

Immunohistochemistry (Formalin/PFA-fixed paraffin-embedded sections) - Anti-CD41 antibody [EPR4330] - Low endotoxin, Azide free (AB229448)

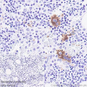
ab134131 staining CD41 in paraffin embedded Human bone marrow tissue sections by Immunohistochemistry. Heat mediated antigen retrieval was performed using ab93684 (Tris/EDTA buffer pH 9.0). Samples were incubated with primary antibody at 1/2000 dilution (0.30 μg/ml). A ready to use Goat Anti-rabbit IgG H&L (HRP) was used as the secondary antibody. Hematoxylin was used as a counterstain. Cytoplasmic staining in megakaryocytes of human bone marrow (PMID : 27128503; PMID : 23667055).

This data was developed using the same antibody clone in a different buffer formulation containing PBS BSA glycerol and sodium azide (ab134131).

Immunohistochemistry (Formalin/PFA-fixed paraffin-embedded sections) - Anti-CD41 antibody [EPR4330] - Low endotoxin, Azide free (AB229448)
  • IHC-P

Lab

Immunohistochemistry (Formalin/PFA-fixed paraffin-embedded sections) - Anti-CD41 antibody [EPR4330] - Low endotoxin, Azide free (AB229448)

This data was developed using ab134131, the same antibody clone in a different buffer formulation.

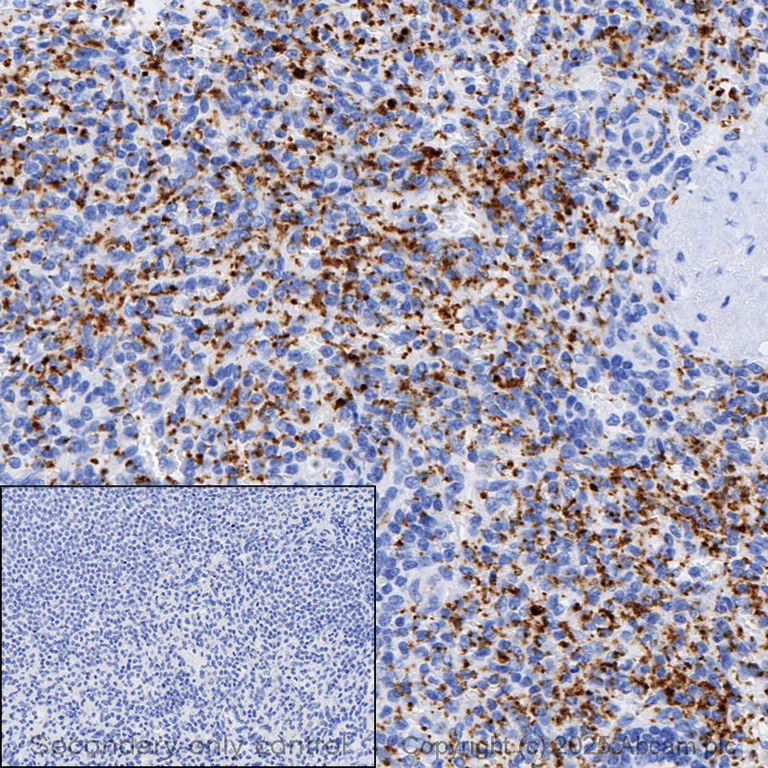
Immunohistochemical analysis of formalin fixed paraffin embedded human spleen labelling CD41 with ab134131 at a concentration of 0.5µg/ml. The immunostaining was performed on a Ventana DISCOVERY ULTRA (Roche Tissue Diagnostics) instrument with a OptiView DAB IHC Detection Kit. Heat mediated antigen retrieval was performed with DISCOVERY cell conditioning solution (CC1) 100°C, pH8.5 for 32mins.

ab134131 anti-CD41 antibody [EPR4330] was incubated for 16mins at 37°C. Sections were counterstained with Hematoxylin II. Image inset shows absence of staining in secondary antibody only control.

Customers are encouraged to optimise antigen retrieval conditions, antibody concentration, incubation times and temperature for best results in their own IHC assay workflow (automated and manual).

Immunohistochemistry (Formalin/PFA-fixed paraffin-embedded sections) - Anti-CD41 antibody [EPR4330] - Low endotoxin, Azide free (AB229448)
  • IHC-P

Lab

Immunohistochemistry (Formalin/PFA-fixed paraffin-embedded sections) - Anti-CD41 antibody [EPR4330] - Low endotoxin, Azide free (AB229448)

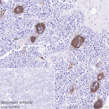
ab134131 staining CD41 paraffin embedded Mouse bone marrow tissue sections by Immunohistochemistry. Heat mediated antigen retrieval was performed using ab93684 (Tris/EDTA buffer pH 9.0). Samples were incubated with primary antibody at 1/500 dilution (1.21 μg/ml). A ready to use Goat Anti-rabbit IgG H&L (HRP) was used as the secondary antibody. Hematoxylin was used as a counterstain. Cytoplasmic staining in megakaryocytes of mouse bone marrow (PMID : 27128503).

This data was developed using the same antibody clone in a different buffer formulation containing PBS BSA glycerol and sodium azide (ab134131).

Key facts

Host species

Rabbit

Clonality

Monoclonal

Clone number

EPR4330

Isotype

IgG

Carrier free

Yes

Reacts with

Mouse, Human

Applications

IHC-P, ICC/IF, WB

applications

Immunogen

The exact immunogen used to generate this antibody is proprietary information.

Specificity

Mouse reactivity is only guaranteed for IHC-P.

Reactivity data

{ "title": "Reactivity Data", "filters": { "stats": ["", "Species", "Dilution Info", "Notes"], "tabs": { "all-applications": {"fullname" : "All Applications", "shortname": "All Applications"}, "IP" : {"fullname" : "Immunoprecipitation", "shortname":"IP"}, "WB" : {"fullname" : "Western blot", "shortname":"WB"}, "ICCIF" : {"fullname" : "Immunocytochemistry/ Immunofluorescence", "shortname":"ICC/IF"}, "IHCP" : {"fullname" : "Immunohistochemistry (Formalin/PFA-fixed paraffin-embedded sections)", "shortname":"IHC-P"} }, "product-promise": { "all": "all", "testedAndGuaranteed": "tested", "guaranteed": "expected", "predicted": "predicted", "notRecommended": "not-recommended" } }, "values": { "Human": { "IP-species-checked": "notRecommended", "IP-species-dilution-info": "", "IP-species-notes": "<p></p>", "WB-species-checked": "testedAndGuaranteed", "WB-species-dilution-info": "", "WB-species-notes": "<p></p>", "ICCIF-species-checked": "testedAndGuaranteed", "ICCIF-species-dilution-info": "", "ICCIF-species-notes": "<p></p>", "IHCP-species-checked": "testedAndGuaranteed", "IHCP-species-dilution-info": "", "IHCP-species-notes": "<p></p> Perform heat-mediated antigen retrieval with Tris/EDTA buffer pH 9.0 before commencing with IHC staining protocol." }, "Mouse": { "IP-species-checked": "notRecommended", "IP-species-dilution-info": "", "IP-species-notes": "<p></p>", "WB-species-checked": "notRecommended", "WB-species-dilution-info": "", "WB-species-notes": "<p></p>", "ICCIF-species-checked": "notRecommended", "ICCIF-species-dilution-info": "", "ICCIF-species-notes": "<p></p>", "IHCP-species-checked": "testedAndGuaranteed", "IHCP-species-dilution-info": "", "IHCP-species-notes": "<p></p> Perform heat-mediated antigen retrieval with Tris/EDTA buffer pH 9.0 before commencing with IHC staining protocol." } } }

Product details

ab229448 is the carrier-free version of ab134131.

Species reactivity
Mouse, Rat: We have preliminary internal testing data to indicate this antibody may not react with these species.
Please contact us for more information.

Conjugation ready
Our carrier-free antibodies are typically supplied in a PBS-only formulation, purified and free of BSA, sodium azide and glycerol. This conjugation-ready format is designed for use with fluorochromes, metal isotopes, oligonucleotides, and enzymes, which makes them ideal for antibody labelling, functional and cell-based assays, flow-based assays (e.g. mass cytometry) and Multiplex Imaging applications.

Use our conjugation kits for antibody conjugates that are ready-to-use in as little as 20 minutes with 1 minute hands-on-time and 100% antibody recovery: available for fluorescent dyes, HRP, biotin and gold.

What does low endotoxin mean?
Our low endotoxin, azide-free formats have low endotoxin level (1 EU/mg, determined by the TAL assay) and are free from azide, to achieve consistent experimental results in functional assays.

Properties and storage information

Form
Liquid
Purification technique
Affinity purification Protein A
Storage buffer
pH: 7.2 - 7.4 Constituents: PBS
Shipped at conditions
Blue Ice
Appropriate short-term storage conditions
+4°C
Appropriate long-term storage conditions
+4°C
Storage information
Do Not Freeze

Product protocols

For this product, it's our understanding that no specific protocols are required. You can visit:

Target data

Integrin alpha-IIb/beta-3 is a receptor for fibronectin, fibrinogen, plasminogen, prothrombin, thrombospondin and vitronectin. It recognizes the sequence R-G-D in a wide array of ligands. It recognizes the sequence H-H-L-G-G-G-A-K-Q-A-G-D-V in fibrinogen gamma chain (By similarity). Following activation integrin alpha-IIb/beta-3 brings about platelet/platelet interaction through binding of soluble fibrinogen (PubMed : 9111081). This step leads to rapid platelet aggregation which physically plugs ruptured endothelial cell surface (By similarity).
See full target information ITGA2B

Publications (1)

Recent publications for all applications. Explore the full list and refine your search

Immunity 55:2369-2385.e10 PubMed36370712

2022

The transcription factor IRF2 drives interferon-mediated CD8 T cell exhaustion to restrict anti-tumor immunity.

Applications

Unspecified application

Species

Unspecified reactive species

Sabelo Lukhele,Diala Abd Rabbo,Mengdi Guo,Jian Shen,Heidi J Elsaesser,Rene Quevedo,Madeleine Carew,Ramy Gadalla,Laura M Snell,Lawanya Mahesh,M Teresa Ciudad,Bryan E Snow,Annick You-Ten,Jillian Haight,Andrew Wakeham,Pamela S Ohashi,Tak W Mak,Weiguo Cui,Tracy L McGaha,David G Brooks
View all publications

Product promise

We are committed to supporting your work with high-quality reagents, and we're here for you every step of the way. In the unlikely event that one of our products does not perform as expected, you're protected by our Product Promise.
For full details, please see our Terms & Conditions

Please note: All products are 'FOR RESEARCH USE ONLY. NOT FOR USE IN DIAGNOSTIC OR THERAPEUTIC PROCEDURES'.

For licensing inquiries, please contact partnerships@abcam.com