JavaScript is disabled in your browser. Please enable JavaScript to view this website.
AB210407

Anti-CD42b antibody [EPR19204]

Be the first to review this product! Submit a review

|

(1 Publication)

Rabbit Recombinant Monoclonal CD42b antibody. Suitable for IP, WB, IHC-P and reacts with Human samples. Cited in 1 publication.

View Alternative Names

CD42b, Platelet glycoprotein Ib alpha chain, GP-Ib alpha, GPIb-alpha, GPIbA, Glycoprotein Ibalpha, Antigen CD42b-alpha, GP1BA

5 Images
Immunohistochemistry (Formalin/PFA-fixed paraffin-embedded sections) - Anti-CD42b antibody [EPR19204] (AB210407)
  • IHC-P

Supplier Data

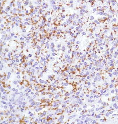
Immunohistochemistry (Formalin/PFA-fixed paraffin-embedded sections) - Anti-CD42b antibody [EPR19204] (AB210407)

Immunohistochemical analysis of paraffin-embedded Human acute myelocytic leukemia tissue labeling CD42b with ab210407 at 1/4000 dilution followed by Goat Anti-Rabbit IgG H&L (HRP) (ab97051) at 1/500 dilution.

Membrane staining on megakaryocytes is observed.

Counter stained with Hematoxylin.

Secondary antibody only control : Used PBS instead of primary antibody secondary antibody is ab97051 at 1/500 dilution.

Perform heat mediated antigen retrieval with Tris/EDTA buffer pH 9.0 before commencing with IHC staining protocol.

Immunohistochemistry (Formalin/PFA-fixed paraffin-embedded sections) - Anti-CD42b antibody [EPR19204] (AB210407)
  • IHC-P

Supplier Data

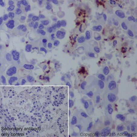
Immunohistochemistry (Formalin/PFA-fixed paraffin-embedded sections) - Anti-CD42b antibody [EPR19204] (AB210407)

Immunohistochemical analysis of paraffin-embedded Human spleen tissue labeling CD42b with ab210407 at 1/4000 dilution followed by Goat Anti-Rabbit IgG H&L (HRP) (ab97051) at 1/500 dilution.

Membrane staining on Human spleen platelets is observed.

Counter stained with Hematoxylin.

Secondary antibody only control : Used PBS instead of primary antibody secondary antibody is ab97051 at 1/500 dilution.

Perform heat mediated antigen retrieval with Tris/EDTA buffer pH 9.0 before commencing with IHC staining protocol.

Immunohistochemistry (Formalin/PFA-fixed paraffin-embedded sections) - Anti-CD42b antibody [EPR19204] (AB210407)
  • IHC-P

Supplier Data

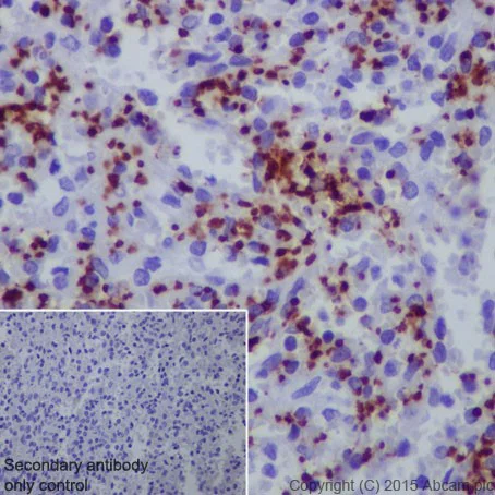
Immunohistochemistry (Formalin/PFA-fixed paraffin-embedded sections) - Anti-CD42b antibody [EPR19204] (AB210407)

Immunohistochemical analysis of paraffin-embedded Human lung cancer tissue labeling CD42b with ab210407 at 1/4000 dilution followed by Goat Anti-Rabbit IgG H&L (HRP) (ab97051) at 1/500 dilution.

Membrane staining on lung cancer platelets is observed.

Counter stained with Hematoxylin.

Secondary antibody only control : Used PBS instead of primary antibody secondary antibody is ab97051 at 1/500 dilution.

Perform heat mediated antigen retrieval with Tris/EDTA buffer pH 9.0 before commencing with IHC staining protocol.

Immunoprecipitation - Anti-CD42b antibody [EPR19204] (AB210407)
  • IP

Supplier Data

Immunoprecipitation - Anti-CD42b antibody [EPR19204] (AB210407)

CD42b was immunoprecipitated from 1mg of Human spleen whole cell lysate with ab210407 at 1/40 dilution.

Western blot was performed from the immunoprecipitate using ab210407 at 1/1000 dilution.

VeriBlot for IP Detection Reagent (HRP) (ab131366), was used for detection at 1/10000 dilution.

Lane 1 : Human spleen whole cell lysate, 10μg (Input).

Lane 2 : ab210407 IP in Human spleen whole cell lysate.

Lane 3 : Rabbit IgG,monoclonal - Isotype Control (ab172730) instead of ab210407 in Human spleen whole cell lysate.

Blocking and dilution buffer and concentration : 5% NFDM/TBST.

Exposure time : 10 seconds.

All lanes:

Immunoprecipitation - Anti-CD42b antibody [EPR19204] (ab210407)

Predicted band size: 72 kDa

false

Western blot - Anti-CD42b antibody [EPR19204] (AB210407)
  • WB

Supplier Data

Western blot - Anti-CD42b antibody [EPR19204] (AB210407)

Blocking/Dilution buffer : 5% NFDM/TBST.

All lanes:

Western blot - Anti-CD42b antibody [EPR19204] (ab210407) at 1/10000 dilution

Lane 1:

Human fetal spleen tissue lysate at 10 µg

Lane 2:

Human fetal brain tissue lysate at 10 µg

Lane 3:

Human fetal heart tissue lysate at 10 µg

Lane 4:

Human fetal kidney tissue lysate at 10 µg

Secondary

All lanes:

Goat Anti-Rabbit IgG Peroxidase Conjugate, specific to the non-reduced form of IgG at 1/10000 dilution

Predicted band size: 72 kDa

Observed band size: 120 kDa

false

Exposure time: 3min

  • Carrier free

    Anti-CD42b antibody [EPR19204] - BSA and Azide free

Key facts

Host species

Rabbit

Clonality

Monoclonal

Clone number

EPR19204

Isotype

IgG

Carrier free

No

Reacts with

Human

Applications

WB, IHC-P, IP

applications

Immunogen

The exact immunogen used to generate this antibody is proprietary information.

Reactivity data

{ "title": "Reactivity Data", "filters": { "stats": ["", "Species", "Dilution Info", "Notes"], "tabs": { "all-applications": {"fullname" : "All Applications", "shortname": "All Applications"}, "IP" : {"fullname" : "Immunoprecipitation", "shortname":"IP"}, "WB" : {"fullname" : "Western blot", "shortname":"WB"}, "IHCP" : {"fullname" : "Immunohistochemistry (Formalin/PFA-fixed paraffin-embedded sections)", "shortname":"IHC-P"} }, "product-promise": { "all": "all", "testedAndGuaranteed": "tested", "guaranteed": "expected", "predicted": "predicted", "notRecommended": "not-recommended" } }, "values": { "Human": { "IP-species-checked": "testedAndGuaranteed", "IP-species-dilution-info": "1/40", "IP-species-notes": "<p></p>", "WB-species-checked": "testedAndGuaranteed", "WB-species-dilution-info": "1/10000", "WB-species-notes": "<p></p>", "IHCP-species-checked": "testedAndGuaranteed", "IHCP-species-dilution-info": "1/4000", "IHCP-species-notes": "<p></p>" } } }

Product details

Patented technology
Our RabMAb® technology is a patented hybridoma-based technology for making rabbit monoclonal antibodies. For details on our patents, please refer to RabMAb® patents.

What are the advantages of a recombinant monoclonal antibody?
This product is a recombinant monoclonal antibody, which offers several advantages including:

  • - High batch-to-batch consistency and reproducibility
  • - Improved sensitivity and specificity
  • - Long-term security of supply
  • - Animal-free batch production

For more information, read more on recombinant antibodies.

Properties and storage information

Form
Liquid
Purification technique
Affinity purification Protein A
Storage buffer
pH: 7.2 - 7.4 Preservative: 0.01% Sodium azide Constituents: PBS, 40% Glycerol (glycerin, glycerine), 0.05% BSA
Shipped at conditions
Blue Ice
Appropriate short-term storage duration
1-2 weeks
Appropriate short-term storage conditions
+4°C
Appropriate long-term storage conditions
-20°C
Aliquoting information
Upon delivery aliquot
Storage information
Avoid freeze / thaw cycle

Product protocols

For this product, it's our understanding that no specific protocols are required. You can visit:

Target data

GP-Ib, a surface membrane protein of platelets, participates in the formation of platelet plugs by binding to the A1 domain of vWF, which is already bound to the subendothelium.
See full target information GP1BA

Publications (1)

Recent publications for all applications. Explore the full list and refine your search

The European journal of neuroscience 59:154-173 PubMed38057955

2023

Changes in neuroinflammatory markers and microglial density in the hippocampus and prefrontal cortex of the C58/J mouse model of autism.

Applications

Unspecified application

Species

Unspecified reactive species

Juan F Duarte-Campos,C Noé Vázquez-Moreno,Mónica Martínez-Marcial,Anahí Chavarría,Ricardo Jair Ramírez-Carreto,Marco A Velasco Velázquez,Marisol De La Fuente-Granada,Aliesha González-Arenas
View all publications

Product promise

We are committed to supporting your work with high-quality reagents, and we're here for you every step of the way. In the unlikely event that one of our products does not perform as expected, you're protected by our Product Promise.
For full details, please see our Terms & Conditions

Please note: All products are 'FOR RESEARCH USE ONLY. NOT FOR USE IN DIAGNOSTIC OR THERAPEUTIC PROCEDURES'.

For licensing inquiries, please contact partnerships@abcam.com