JavaScript is disabled in your browser. Please enable JavaScript to view this website.
AB221213

Anti-CD42b antibody [EPR6995] - Low endotoxin, Azide free

Be the first to review this product! Submit a review

|

(1 Publication)

Rabbit Recombinant Monoclonal CD42b antibody. Carrier free. Suitable for IHC-P, WB and reacts with Human samples. Cited in 1 publication.

View Alternative Names

CD42b, Platelet glycoprotein Ib alpha chain, GP-Ib alpha, GPIb-alpha, GPIbA, Glycoprotein Ibalpha, Antigen CD42b-alpha, GP1BA

3 Images
Immunohistochemistry (Formalin/PFA-fixed paraffin-embedded sections) - Anti-CD42b antibody [EPR6995] - Low endotoxin, Azide free (AB221213)
  • IHC-P

Lab

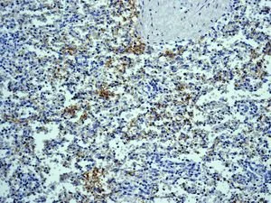
Immunohistochemistry (Formalin/PFA-fixed paraffin-embedded sections) - Anti-CD42b antibody [EPR6995] - Low endotoxin, Azide free (AB221213)

ab134087 staining CD42b in human bone marrow tissue by Immunohistochemistry (IHC-P - paraformaldehyde-fixed paraffin-embedded sections). Tissue was fixed with paraffin and antigen retrieval was by heat mediation in a EDTA buffer. Samples were incubated with primary antibody at a dilution of 1/250. A goat anti-rabbit IgG H&L (HRP) ab97051 was used as the secondary antibody at 1/500.

Negative control 1 : PBS in place of primary antibody.

This data was developed using the same antibody clone in a different buffer formulation containing PBS BSA glycerol and sodium azide (ab134087).

Immunohistochemistry (Formalin/PFA-fixed paraffin-embedded sections) - Anti-CD42b antibody [EPR6995] - Low endotoxin, Azide free (AB221213)
  • IHC-P

Unknown

Immunohistochemistry (Formalin/PFA-fixed paraffin-embedded sections) - Anti-CD42b antibody [EPR6995] - Low endotoxin, Azide free (AB221213)

Immunohistochemical analysis of paraffin embedded Human spleen tissue labelling CD42b with ab134087 at a dilution of 1/100.

This data was developed using the same antibody clone in a different buffer formulation containing PBS BSA glycerol and sodium azide (ab134087).

Perform heat mediated antigen retrieval before commencing with IHC staining protocol.

OI-RD Scanning - Anti-CD42b antibody [EPR6995] - Low endotoxin, Azide free (AB221213)
  • OI-RD Scanning

Unknown

OI-RD Scanning - Anti-CD42b antibody [EPR6995] - Low endotoxin, Azide free (AB221213)

We have systematically measured KD (the equilibrium dissociation constant between the antibody and its antigen), of more than 840 recombinant antibodies to assess not only their individual KD values but also to see the average affinity of antibody. Based on the comparison with published literature values for mouse monoclonal antibodies, Recombinant antibodies appear to be on average 1-2 order of magnitude higher affinity.

Key facts

Host species

Rabbit

Clonality

Monoclonal

Clone number

EPR6995

Isotype

IgG

Carrier free

Yes

Reacts with

Human

Applications

WB, IHC-P

applications

Immunogen

The exact immunogen used to generate this antibody is proprietary information.

Reactivity data

{ "title": "Reactivity Data", "filters": { "stats": ["", "Species", "Dilution Info", "Notes"], "tabs": { "all-applications": {"fullname" : "All Applications", "shortname": "All Applications"}, "IHCP" : {"fullname" : "Immunohistochemistry (Formalin/PFA-fixed paraffin-embedded sections)", "shortname":"IHC-P"}, "WB" : {"fullname" : "Western blot", "shortname":"WB"}, "ICCIF" : {"fullname" : "Immunocytochemistry/ Immunofluorescence", "shortname":"ICC/IF"} }, "product-promise": { "all": "all", "testedAndGuaranteed": "tested", "guaranteed": "expected", "predicted": "predicted", "notRecommended": "not-recommended" } }, "values": { "Human": { "IHCP-species-checked": "testedAndGuaranteed", "IHCP-species-dilution-info": "", "IHCP-species-notes": "<p></p>", "WB-species-checked": "guaranteed", "WB-species-dilution-info": "", "WB-species-notes": "<p></p>", "ICCIF-species-checked": "notRecommended", "ICCIF-species-dilution-info": "", "ICCIF-species-notes": "<p></p>" } } }

Product details

ab221213 is the carrier-free version of ab134087.

Species reactivity
Mouse, Rat: We have preliminary internal testing data to indicate this antibody may not react with these species.
Please contact us for more information.

Patented technology
Our RabMAb® technology is a patented hybridoma-based technology for making rabbit monoclonal antibodies. For details on our patents, please refer to RabMAb® patents.

What are the advantages of a recombinant monoclonal antibody?
This product is a recombinant monoclonal antibody, which offers several advantages including:

  • - High batch-to-batch consistency and reproducibility
  • - Improved sensitivity and specificity
  • - Long-term security of supply
  • - Animal-free batch production

For more information, read more on recombinant antibodies.

Conjugation ready
Our carrier-free antibodies are typically supplied in a PBS-only formulation, purified and free of BSA, sodium azide and glycerol. This conjugation-ready format is designed for use with fluorochromes, metal isotopes, oligonucleotides, and enzymes, which makes them ideal for antibody labelling, functional and cell-based assays, flow-based assays (e.g. mass cytometry) and Multiplex Imaging applications.

Use our conjugation kits for antibody conjugates that are ready-to-use in as little as 20 minutes with 1 minute hands-on-time and 100% antibody recovery: available for fluorescent dyes, HRP, biotin and gold.

What does low endotoxin mean?
Our low endotoxin, azide-free formats have low endotoxin level (1 EU/mg, determined by the TAL assay) and are free from azide, to achieve consistent experimental results in functional assays.

Properties and storage information

Form
Liquid
Purification technique
Affinity purification Protein A
Storage buffer
pH: 7.2 - 7.4 Constituents: PBS
Shipped at conditions
Blue Ice
Appropriate short-term storage conditions
+4°C
Appropriate long-term storage conditions
+4°C
Storage information
Do Not Freeze

Product protocols

For this product, it's our understanding that no specific protocols are required. You can visit:

Target data

GP-Ib, a surface membrane protein of platelets, participates in the formation of platelet plugs by binding to the A1 domain of vWF, which is already bound to the subendothelium.
See full target information GP1BA

Publications (1)

Recent publications for all applications. Explore the full list and refine your search

The Journal of infectious diseases 210:1700-10 PubMed24987031

2014

Platelets direct monocyte differentiation into epithelioid-like multinucleated giant foam cells with suppressive capacity upon mycobacterial stimulation.

Applications

IHC-P

Species

Human

Yonghong Feng,Anca Dorhoi,Hans-Joachim Mollenkopf,Hongyun Yin,Zhengwei Dong,Ling Mao,Jun Zhou,Aixiao Bi,Stephan Weber,Jeroen Maertzdorf,Gang Chen,Yang Chen,Stefan H E Kaufmann
View all publications

Product promise

We are committed to supporting your work with high-quality reagents, and we're here for you every step of the way. In the unlikely event that one of our products does not perform as expected, you're protected by our Product Promise.
For full details, please see our Terms & Conditions

Please note: All products are 'FOR RESEARCH USE ONLY. NOT FOR USE IN DIAGNOSTIC OR THERAPEUTIC PROCEDURES'.

For licensing inquiries, please contact partnerships@abcam.com