JavaScript is disabled in your browser. Please enable JavaScript to view this website.
AB227669

Anti-CD42b antibody [SP202]

5

(3 Reviews)

|

(8 Publications)

Anti-CD42b antibody [SP202] (ab227669) is a rabbit monoclonal antibody detecting CD42b in IHC-P, IHC-Fr. Suitable for Human, Mouse, Rat.

- Biophysical QC for unrivalled batch-batch consistency

View Alternative Names

CD42b, Platelet glycoprotein Ib alpha chain, GP-Ib alpha, GPIb-alpha, GPIbA, Glycoprotein Ibalpha, Antigen CD42b-alpha, GP1BA

6 Images
Immunohistochemistry (Formalin/PFA-fixed paraffin-embedded sections) - Anti-CD42b antibody [SP202] (AB227669)
  • IHC-P

Supplier Data

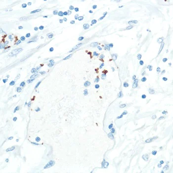
Immunohistochemistry (Formalin/PFA-fixed paraffin-embedded sections) - Anti-CD42b antibody [SP202] (AB227669)

Formalin-fixed, paraffin-embedded human spleen tissue stained for CD42b with ab227669 at 1/100 dilution in immunohistochemical analysis.

Immunohistochemistry (Formalin/PFA-fixed paraffin-embedded sections) - Anti-CD42b antibody [SP202] (AB227669)
  • IHC-P

Supplier Data

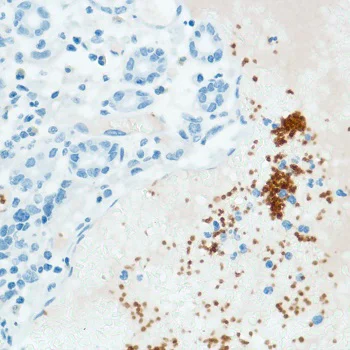
Immunohistochemistry (Formalin/PFA-fixed paraffin-embedded sections) - Anti-CD42b antibody [SP202] (AB227669)

Formalin-fixed, paraffin-embedded human pancreatic adenocarcinoma tissue stained for CD42b with ab227669 at 1/100 dilution in immunohistochemical analysis.

Immunohistochemistry (Formalin/PFA-fixed paraffin-embedded sections) - Anti-CD42b antibody [SP202] (AB227669)
  • IHC-P

Unknown

Immunohistochemistry (Formalin/PFA-fixed paraffin-embedded sections) - Anti-CD42b antibody [SP202] (AB227669)

Formalin-fixed, paraffin-embedded human stomach adenocarcinoma tissue stained for CD42b with ab227669 at 1/100 dilution in immunohistochemical analysis.

Immunohistochemistry (Formalin/PFA-fixed paraffin-embedded sections) - Anti-CD42b antibody [SP202] (AB227669)
  • IHC-P

Supplier Data

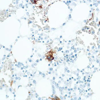
Immunohistochemistry (Formalin/PFA-fixed paraffin-embedded sections) - Anti-CD42b antibody [SP202] (AB227669)

Formalin-fixed, paraffin-embedded human bone marrow tissue stained for CD42b with ab227669 at 1/100 dilution in immunohistochemical analysis.

Immunohistochemistry (Frozen sections) - Anti-CD42b antibody [SP202] (AB227669)
  • IHC-Fr

Unknown

Immunohistochemistry (Frozen sections) - Anti-CD42b antibody [SP202] (AB227669)

Immunohistochemistry (Frozen) analysis of mouse spleen tissue section labeling CD42b with purified ab227669. Sections were fixed in 4% paraformaldehyde and permeabilized with 0.2% Triton X-100. Antigen retrieval was heat mediated antigen retrieval using sodium citrate buffer (10mM citrate pH 6.0 + 0.05% Tween-20). Goat anti rabbit IgG (Alexa Fluor® 488, ab150077) was used as the secondary antibody. DAPI was used as nuclear counterstain. PBS instead of the primary antibody was used as the secondary antibody only control.

Immunohistochemistry (Frozen sections) - Anti-CD42b antibody [SP202] (AB227669)
  • IHC-Fr

Unknown

Immunohistochemistry (Frozen sections) - Anti-CD42b antibody [SP202] (AB227669)

Immunohistochemistry (Frozen) analysis of rat spleen tissue section labeling CD42b with purified ab227669. Sections were fixed in 4% paraformaldehyde and permeabilized with 0.2% Triton X-100. Antigen retrieval was heat mediated antigen retrieval using sodium citrate buffer (10mM citrate pH 6.0 + 0.05% Tween-20). Goat anti rabbit IgG (Alexa Fluor® 488, ab150077) was used as the secondary antibody. DAPI was used as nuclear counterstain. PBS instead of the primary antibody was used as the secondary antibody only control.

Key facts

Host species

Rabbit

Clonality

Monoclonal

Clone number

SP202

Isotype

IgG

Carrier free

No

Reacts with

Mouse, Rat, Human

Applications

IHC-Fr, IHC-P

applications

Immunogen

The exact immunogen used to generate this antibody is proprietary information.

Reactivity data

{ "title": "Reactivity Data", "filters": { "stats": ["", "Species", "Dilution Info", "Notes"], "tabs": { "all-applications": {"fullname" : "All Applications", "shortname": "All Applications"}, "IHCP" : {"fullname" : "Immunohistochemistry (Formalin/PFA-fixed paraffin-embedded sections)", "shortname":"IHC-P"}, "IHCFr" : {"fullname" : "Immunohistochemistry (Frozen sections)", "shortname":"IHC-Fr"} }, "product-promise": { "all": "all", "testedAndGuaranteed": "tested", "guaranteed": "expected", "predicted": "predicted", "notRecommended": "not-recommended" } }, "values": { "Human": { "IHCP-species-checked": "testedAndGuaranteed", "IHCP-species-dilution-info": "1/100", "IHCP-species-notes": "<p>Antigen retrieval: Boil tissue section in EDTA buffer, pH 8.0 for 10 minutes followed by cooling at room temperature for 20 minutes.</p>", "IHCFr-species-checked": "guaranteed", "IHCFr-species-dilution-info": "", "IHCFr-species-notes": "" }, "Mouse": { "IHCP-species-checked": "guaranteed", "IHCP-species-dilution-info": "", "IHCP-species-notes": "", "IHCFr-species-checked": "testedAndGuaranteed", "IHCFr-species-dilution-info": "", "IHCFr-species-notes": "<p></p>" }, "Rat": { "IHCP-species-checked": "guaranteed", "IHCP-species-dilution-info": "", "IHCP-species-notes": "", "IHCFr-species-checked": "testedAndGuaranteed", "IHCFr-species-dilution-info": "", "IHCFr-species-notes": "<p></p>" } } }

Product details

What is this antibody validated in?
Anti-CD42b antibody [SP202] (ab227669) is a rabbit recombinant monoclonal antibody and is validated for use in Immunohistochemistry (IHC-P), Immunohistochemistry (IHC-Fr) in Human, Mouse, Rat samples.

Collaboration
Anti-CD42b [SP202] (ab227669) is a clone from the portfolio of Spring Bioscience (Roche) SP clones which have been optimised for immunohistochemistry (IHC).

Other related products
We have a range of other formats of antibody clone [SP202] also available for your convenience: ab227669, Carrier free - ab240406, Alexa Fluor® 488 - ab320504, Alexa Fluor® 647 - ab320505, Alexa Fluor® 555 - ab320506, Alexa Fluor® 594 - ab320507, PE - ab320508, APC - ab320509, Alexa Fluor® 750 - ab321444

Patented technology
Our RabMAb® technology is a patented hybridoma-based technology for making rabbit monoclonal antibodies. For details on our patents, please refer to RabMAb® patents.

What are the advantages of a recombinant monoclonal antibody?
This product is a recombinant monoclonal antibody, which offers several advantages including:

  • - High batch-to-batch consistency and reproducibility
  • - Improved sensitivity and specificity
  • - Long-term security of supply
  • - Animal-free batch production

For more information, read more on recombinant antibodies.

Properties and storage information

Form
Liquid
Purification technique
Affinity purification Protein A
Storage buffer
pH: 7.2 - 7.4 Preservative: 0.1% Sodium azide Constituents: PBS, 1% BSA
Shipped at conditions
Blue Ice
Appropriate short-term storage duration
1-2 weeks
Appropriate short-term storage conditions
+4°C
Appropriate long-term storage conditions
-20°C
Aliquoting information
Upon delivery aliquot
Storage information
Avoid freeze / thaw cycle

Product protocols

For this product, it's our understanding that no specific protocols are required. You can visit:

Target data

GP-Ib, a surface membrane protein of platelets, participates in the formation of platelet plugs by binding to the A1 domain of vWF, which is already bound to the subendothelium.
See full target information GP1BA

Publications (8)

Recent publications for all applications. Explore the full list and refine your search

Nature 644:516-526 PubMed40681898

2025

Pathology-oriented multiplexing enables integrative disease mapping.

Applications

Unspecified application

Species

Unspecified reactive species

Malte Kuehl,Yusuke Okabayashi,Milagros N Wong,Lukas Gernhold,Gabriele Gut,Nico Kaiser,Maria Schwerk,Stefanie K Gräfe,Frank Y Ma,Jovan Tanevski,Philipp S L Schäfer,Sam Mezher,Jacobo Sarabia Del Castillo,Thiago Goldbeck-Strieder,Olga Zolotareva,Michael Hartung,Fernando M Delgado Chaves,Lukas Klinkert,Ann-Christin Gnirck,Marc Spehr,David Fleck,Mehdi Joodaki,Victor Parra,Mina Shaigan,Martin Diebold,Marco Prinz,Jennifer Kranz,Johan M Kux,Fabian Braun,Oliver Kretz,Hui Wu,Florian Grahammer,Sven Heins,Marina Zimmermann,Fabian Haas,Dominik Kylies,Nicola Wanner,Jan Czogalla,Bernhard Dumoulin,Nikolay Zolotarev,Maja Lindenmeyer,Pall Karlson,Jens R Nyengaard,Marcial Sebode,Sören Weidemann,Thorsten Wiech,Hermann-Josef Groene,Nicola M Tomas,Catherine Meyer-Schwesinger,Christoph Kuppe,Rafael Kramann,Alexandre Karras,Patrick Bruneval,Pierre-Louis Tharaux,Diego Pastene,Benito Yard,Jennifer A Schaub,Phillip J McCown,Laura Pyle,Ye Ji Choi,Takashi Yokoo,Jan Baumbach,Pablo J Sáez,Ivan Costa,Jan-Eric Turner,Jeffrey B Hodgin,Julio Saez-Rodriguez,Tobias B Huber,Petter Bjornstad,Matthias Kretzler,Olivia Lenoir,David J Nikolic-Paterson,Lucas Pelkmans,Stefan Bonn,Victor G Puelles

Xenotransplantation 32:e70040 PubMed40375624

2025

Quantitative Proteomic Analysis of Cardiac Xenograft Failure in a Pig-to-Non-Human Primate Model Identifies NF-κB as a Critical Immunomodulatory Target.

Applications

Unspecified application

Species

Unspecified reactive species

Hao Cui,Zirui Liu,Songren Shu,Xin Yan,Xiumeng Hua,Yuan Chang,Xiao Chen,Menghao Tao,Mingming Su,Mengxia Fu,Shengshou Hu,Jiangping Song

Cancer medicine 13:e70551 PubMed39718130

2024

Prognostic Value of N1/N2 Neutrophils Heterogeneity and Tertiary Lymphoid Structure in Hepatocellular Carcinoma Patients.

Applications

Unspecified application

Species

Unspecified reactive species

Yanfei Lang,Weiwei Fu,Wei Xu,Chao Ma,Xiuyun Tian,Chunyi Hao,Shigang Ding

BMC neurology 24:90 PubMed38454378

2024

High thrombin-activatable fibrinolysis inhibitor expression in thrombi from stroke patients in elevated estrogen states.

Applications

Unspecified application

Species

Unspecified reactive species

Tamanna Agarwal,Oana Madalina Mereuta,Sherief Ghozy,Jorge L Arturo Larco,Cem Bilgin,Ram Kadirvel,Waleed Brinjikji,David F Kallmes

European journal of cardio-thoracic surgery : official journal of the European Association for Cardio-thoracic Surgery 65: PubMed38290761

2024

Tissue-engineered and autologous pericardium in congenital heart surgery: comparative histopathological study of human vascular explants.

Applications

Unspecified application

Species

Unspecified reactive species

Katja Eildermann,Maksim Durashov,Kira Kuschnerus,Andrea Poppe,Viktoria Weixler,Joachim Photiadis,Matthias Sigler,Peter Murin

Nature nanotechnology 18:336-342 PubMed37037895

2023

Expansion-enhanced super-resolution radial fluctuations enable nanoscale molecular profiling of pathology specimens.

Applications

Unspecified application

Species

Unspecified reactive species

Dominik Kylies,Marina Zimmermann,Fabian Haas,Maria Schwerk,Malte Kuehl,Michael Brehler,Jan Czogalla,Lola C Hernandez,Leonie Konczalla,Yusuke Okabayashi,Julia Menzel,Ilka Edenhofer,Sam Mezher,Hande Aypek,Bernhard Dumoulin,Hui Wu,Smilla Hofmann,Oliver Kretz,Nicola Wanner,Nicola M Tomas,Susanne Krasemann,Markus Glatzel,Christoph Kuppe,Rafael Kramann,Bella Banjanin,Rebekka K Schneider,Christopher Urbschat,Petra Arck,Nicola Gagliani,Marc van Zandvoort,Thorsten Wiech,Florian Grahammer,Pablo J Sáez,Milagros N Wong,Stefan Bonn,Tobias B Huber,Victor G Puelles

Journal of stroke and cerebrovascular diseases : the official journal of National Stroke Association 30:106127 PubMed34592611

2021

Characterization of the 'White' Appearing Clots that Cause Acute Ischemic Stroke.

Applications

Unspecified application

Species

Unspecified reactive species

Oana Madalina Mereuta,Rosanna Rossi,Andrew Douglas,Sara Molina Gil,Seán Fitzgerald,Abhay Pandit,Ray McCarthy,Michael Gilvarry,Eric Ceder,Dennis Dunker,Annika Nordanstig,Petra Redfors,Katarina Jood,Georgios Magoufis,Klearchos Psychogios,Georgios Tsivgoulis,Alan O'Hare,Sarah Power,Paul Brennan,András Nagy,Ágnes Vadász,Waleed Brinjikji,David F Kallmes,Istvan Szikora,Alexandros Rentzos,Turgut Tatlisumak,John Thornton,Karen M Doyle

Journal of neurointerventional surgery 13:906-911 PubMed33361274

2020

High-resolution scanning electron microscopy for the analysis of three-dimensional ultrastructure of clots in acute ischemic stroke.

Applications

Unspecified application

Species

Unspecified reactive species

Oana Madalina Mereuta,Seán Fitzgerald,Trace A Christensen,Adam L Jaspersen,Daying Dai,Mehdi Abbasi,Tejaswini Puttappa,Ram Kadirvel,David F Kallmes,Karen M Doyle,Waleed Brinjikji
View all publications

Product promise

We are committed to supporting your work with high-quality reagents, and we're here for you every step of the way. In the unlikely event that one of our products does not perform as expected, you're protected by our Product Promise.
For full details, please see our Terms & Conditions

Please note: All products are 'FOR RESEARCH USE ONLY. NOT FOR USE IN DIAGNOSTIC OR THERAPEUTIC PROCEDURES'.

For licensing inquiries, please contact partnerships@abcam.com