JavaScript is disabled in your browser. Please enable JavaScript to view this website.
AB183345

Anti-CD42b antibody [SP219]

  • BOND RX™ Validated
  • RabMAb
  • Recombinant
  • KO Validated
  • What is this?

5

(7 Reviews)

|

(23 Publications)

Anti-CD42b antibody [SP219] (ab183345) is a rabbit monoclonal antibody detecting CD42b in Flow Cytometry (Intra), IHC-P, IHC-Fr. Suitable for Human, Mouse.

- KO validated for confirmed specificity
- Biophysical QC for unrivalled batch-batch consistency
- Over 10 publications

View Alternative Names

CD42b, Platelet glycoprotein Ib alpha chain, GP-Ib alpha, GPIb-alpha, GPIbA, Glycoprotein Ibalpha, Antigen CD42b-alpha, GP1BA

12 Images
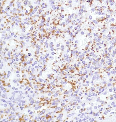
Immunohistochemistry (Formalin/PFA-fixed paraffin-embedded sections) - Anti-CD42b antibody [SP219] (AB183345)
  • IHC-P

Unknown

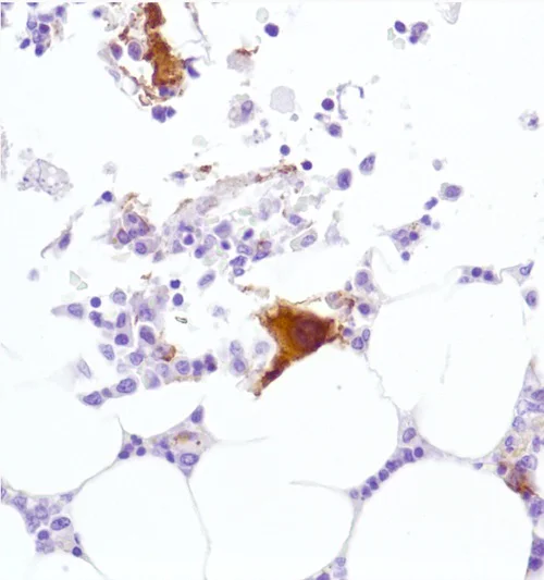
Immunohistochemistry (Formalin/PFA-fixed paraffin-embedded sections) - Anti-CD42b antibody [SP219] (AB183345)

Immunohistochemistry (Formalin/PFA-fixed paraffin-embedded sections) analysis of Human bone marrow tissue sections labeling CD42b with ab183345 at 1/100 dilution (1.94 μg/ml). Heat mediated antigen retrieval with citrate buffer (pH 6.0, epitope retrieval solution 1) for 10mins. Rabbit specific IHC polymer detection kit HRP/DAB (ab209101) was used as the secondary antibody. Hematoxylin was used as a counterstain. Positive staining on the megakaryocytes in the human bone marrow, performed on a Leica Biosystems BOND™ RX instrument.
The section was incubated with ab183345 for 10 mins at room temperature.

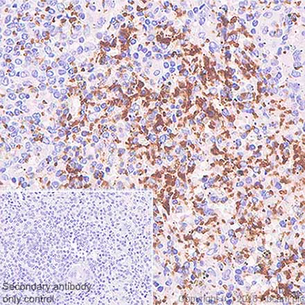
Immunohistochemistry (Formalin/PFA-fixed paraffin-embedded sections) - Anti-CD42b antibody [SP219] (AB183345)
  • IHC-P

Unknown

Immunohistochemistry (Formalin/PFA-fixed paraffin-embedded sections) - Anti-CD42b antibody [SP219] (AB183345)

Immunohistochemistry (Formalin/PFA-fixed paraffin-embedded sections) analysis of Human spleen tissue sections labeling CD42b with ab183345 at 1/100 dilution (1.94 μg/ml). Heat mediated antigen retrieval with citrate buffer (pH 6.0, epitope retrieval solution 1) for 10mins. Rabbit specific IHC polymer detection kit HRP/DAB (ab209101) was used as the secondary antibody. Hematoxylin was used as a counterstain. Positive staining on platelets in the human spleen, performed on a Leica Biosystems BOND™ RX instrument.
The section was incubated with ab183345 for 10 mins at room temperature.

Flow Cytometry (Intracellular) - Anti-CD42b antibody [SP219] (AB183345)
  • Flow Cyt (Intra)

Unknown

Flow Cytometry (Intracellular) - Anti-CD42b antibody [SP219] (AB183345)

Flow cytometry analysis of HEL (human bone marrow erythroleukemia) labeling CD42b with purified ab183345 at 1/20 dilution (9.7 μg/ml) (red). Cells were fixed with 4% paraformaldehyde and permeabilized with 90% methanol. Goat anti rabbit IgG (Alexa Fluor® 488, ab150077) at 1/2000 dilution was used as a secondary antibody. Isotype control - Rabbit monoclonal IgG (ab172730) (Black). Unlableled control - Unlabeled cells (blue).

Flow Cytometry (Intracellular) - Anti-CD42b antibody [SP219] (AB183345)
  • Flow Cyt (Intra)

Supplier Data

Flow Cytometry (Intracellular) - Anti-CD42b antibody [SP219] (AB183345)

Flow cytometric analysis of rabbit anti-CD42b (SP219) antibody using ab183345 (diluted 1/400) in Jurkat cells (green) compared to negative control of rabbit IgG (blue).

Immunohistochemistry (Formalin/PFA-fixed paraffin-embedded sections) - Anti-CD42b antibody [SP219] (AB183345)
  • IHC-P

Lab

Immunohistochemistry (Formalin/PFA-fixed paraffin-embedded sections) - Anti-CD42b antibody [SP219] (AB183345)

Immunohistochemical analysis of formalin fixed paraffin embedded human spleen labelling CD42b with ab183345 at a concentration of 1 μg/ml. The immunostaining was performed on a Ventana DISCOVERY ULTRA (Roche Tissue Diagnostics) instrument with a OptiView DAB IHC Detection Kit. The heat-mediated antigen retrieval was conducted with at 100 °C, pH 8.5 for 32 mins. ab183345 Anti-CD42b antibody [SP219] was incubated for 16 mins, at 37 °C. Sections were counterstained with Hematoxylin II. Image inset shows absence of staining in secondary antibody only control. Customers are encouraged to optimise antigen retrieval conditions, antibody concentration, incubation times and temperature for best results in their own IHC assay workflow (automated and manual).

Immunohistochemistry (Formalin/PFA-fixed paraffin-embedded sections) - Anti-CD42b antibody [SP219] (AB183345)
  • IHC-P

Supplier Data

Immunohistochemistry (Formalin/PFA-fixed paraffin-embedded sections) - Anti-CD42b antibody [SP219] (AB183345)

Immunohistochemical analysis of paraffin embedded human bone marrow tissue labeling CD42b with ab183345 at 1/100 dilution.

Immunohistochemistry (Formalin/PFA-fixed paraffin-embedded sections) - Anti-CD42b antibody [SP219] (AB183345)
  • IHC-P

Supplier Data

Immunohistochemistry (Formalin/PFA-fixed paraffin-embedded sections) - Anti-CD42b antibody [SP219] (AB183345)

Immunohistochemical analysis of paraffin embedded human spleen tissue labeling CD42b with ab183345 at 1/100 dilution.

Flow Cytometry (Intracellular) - Anti-CD42b antibody [SP219] (AB183345)
  • Flow Cyt (Intra)

Unknown

Flow Cytometry (Intracellular) - Anti-CD42b antibody [SP219] (AB183345)

Flow cytometry analysis of mouse splenocytes cell labeling CD42b with purified ab183345 at 1/20 dilution (9.7 μg/ml) (red). Cells were fixed with 4% paraformaldehyde and permeabilised with 90% methanol. Goat anti rabbit IgG (Alexa Fluor® 488, ab150081) at 1/2000 dilution was used as a secondary antibody. Isotype control -Rabbit monoclonal IgG (ab172730) (Black). Unlableled control -Unlabeled cells (blue).

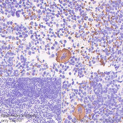
Immunohistochemistry (Formalin/PFA-fixed paraffin-embedded sections) - Anti-CD42b antibody [SP219] (AB183345)
  • IHC-P

Lab

Immunohistochemistry (Formalin/PFA-fixed paraffin-embedded sections) - Anti-CD42b antibody [SP219] (AB183345)

Immunohistochemical analysis of paraffin-embedded (A) Spleen tissue from wild-type C57BL/6JGpt mice, (B) Spleen tissue from CD42b knockout mice staining with ab183345 at 1/500 dilution and ready-to-use Goat Anti-Rabbit IgG H&L (HRP) secondary. Counterstaining with hematoxylin. Heat mediated antigen retrieval was performed with Citrate buffer (pH 6.0, Epitope Retrieval Solution 1) for 20 mins. Positive staining on (A) Spleen tissue from wild-type C57BL/6JGpt mice and no staining on (B) Spleen tissue from CD42b knockout mice. The section was incubated with ab183345 for 10 mins at room temperature. The immunostaining was performed on a Leica Biosystems BOND™ RX instrument. The tissue samples were kindly provided by GemPharmatech. C57BL/6JGpt wildtype mice and CD42b-KO homozygous mice (Strain ID : T028631).

Immunohistochemistry (Formalin/PFA-fixed paraffin-embedded sections) - Anti-CD42b antibody [SP219] (AB183345)
  • IHC-P

Unknown

Immunohistochemistry (Formalin/PFA-fixed paraffin-embedded sections) - Anti-CD42b antibody [SP219] (AB183345)

Immunohistochemistry (Formalin/PFA-fixed paraffin-embedded sections) analysis of Mouse spleen tissue sections labeling CD42b with ab183345 at 1/100 dilution (1.94 μg/ml). Heat mediated antigen retrieval with citrate buffer (pH 6.0, epitope retrieval solution 1) for 10mins. Rabbit specific IHC polymer detection kit HRP/DAB (ab209101) was used as the secondary antibody. Hematoxylin was used as a counterstain. Positive staining on platelets and megakaryocytes in the mouse spleen, performed on a Leica Biosystems BOND™ RX instrument.
The section was incubated with ab183345 for 10 mins at room temperature.

Immunohistochemistry (Frozen sections) - Anti-CD42b antibody [SP219] (AB183345)
  • IHC-Fr

Unknown

Immunohistochemistry (Frozen sections) - Anti-CD42b antibody [SP219] (AB183345)

Immunohistochemistry (Frozen) analysis of mouse spleen tissue section labeling CD42b with purified ab183345 at 1/100 (1.9 μg/ml). Sections were fixed in 4% paraformaldehyde and permeabilized with 0.2% Triton X-100. Antigen retrieval was heat mediated antigen retrieval using sodium citrate buffer (10mM citrate pH 6.0 + 0.05% Tween-20). Goat anti rabbit IgG (Alexa Fluor® 488, ab150077) was used as the secondary antibody at 1/1000 (2 μg/ml) dilution. DAPI was used as nuclear counterstain. PBS instead of the primary antibody was used as the secondary antibody only control.

Immunohistochemistry (Formalin/PFA-fixed paraffin-embedded sections) - Anti-CD42b antibody [SP219] (AB183345)
  • IHC-P

Lab

Immunohistochemistry (Formalin/PFA-fixed paraffin-embedded sections) - Anti-CD42b antibody [SP219] (AB183345)

Immunohistochemical analysis of paraffin-embedded (A) Bone marrow tissue from wild-type C57BL/6JGpt mice (B) Bone marrow tissue from CD42b knockout mice staining with ab183345 at 1/500 dilution and ready-to-use Goat Anti-Rabbit IgG H&L (HRP) secondary. Counterstaining with hematoxylin. Heat mediated antigen retrieval was performed with Citrate buffer (pH 6.0, Epitope Retrieval Solution 1) for 20 mins. Positive staining on (A) Bone marrow tissue from wild-type C57BL/6JGpt mice and no staining on (B) Bone marrow tissue from CD42b knockout mice. The section was incubated with ab183345 for 10 mins at room temperature. The immunostaining was performed on a Leica Biosystems BOND™ RX instrument. The tissue samples were kindly provided by GemPharmatech. C57BL/6JGpt wildtype mice and CD42b-KO homozygous mice (Strain ID : T028631).

Key facts

Host species

Rabbit

Clonality

Monoclonal

Clone number

SP219

Isotype

IgG

Carrier free

No

Reacts with

Mouse, Human

Applications

IHC-P, IHC-Fr, Flow Cyt (Intra)

applications

Immunogen

The exact immunogen used to generate this antibody is proprietary information.

Reactivity data

{ "title": "Reactivity Data", "filters": { "stats": ["", "Species", "Dilution Info", "Notes"], "tabs": { "all-applications": {"fullname" : "All Applications", "shortname": "All Applications"}, "IHCP" : {"fullname" : "Immunohistochemistry (Formalin/PFA-fixed paraffin-embedded sections)", "shortname":"IHC-P"}, "FlowCytIntra" : {"fullname" : "Flow Cytometry (Intracellular)", "shortname":"Flow Cyt (Intra)"}, "IHCFr" : {"fullname" : "Immunohistochemistry (Frozen sections)", "shortname":"IHC-Fr"} }, "product-promise": { "all": "all", "testedAndGuaranteed": "tested", "guaranteed": "expected", "predicted": "predicted", "notRecommended": "not-recommended" } }, "values": { "Human": { "IHCP-species-checked": "testedAndGuaranteed", "IHCP-species-dilution-info": "1/100", "IHCP-species-notes": "<p></p> Perform heat-mediated antigen retrieval with citrate buffer pH 6 before commencing with IHC staining protocol.", "FlowCytIntra-species-checked": "testedAndGuaranteed", "FlowCytIntra-species-dilution-info": "1/20 - 1/100", "FlowCytIntra-species-notes": "<p><a href='/en-us/products/primary-antibodies/rabbit-igg-monoclonal-epr25a-isotype-control-ab172730'>ab172730</a> - Rabbit monoclonal IgG, is suitable for use as an isotype control with this antibody.</p>", "IHCFr-species-checked": "guaranteed", "IHCFr-species-dilution-info": "", "IHCFr-species-notes": "" }, "Mouse": { "IHCP-species-checked": "testedAndGuaranteed", "IHCP-species-dilution-info": "1/100", "IHCP-species-notes": "<p></p> Perform heat-mediated antigen retrieval with citrate buffer pH 6 before commencing with IHC staining protocol.", "FlowCytIntra-species-checked": "testedAndGuaranteed", "FlowCytIntra-species-dilution-info": "1/20 - 1/100", "FlowCytIntra-species-notes": "<p><a href='/en-us/products/primary-antibodies/rabbit-igg-monoclonal-epr25a-isotype-control-ab172730'>ab172730</a> - Rabbit monoclonal IgG, is suitable for use as an isotype control with this antibody.</p>", "IHCFr-species-checked": "testedAndGuaranteed", "IHCFr-species-dilution-info": "1/100", "IHCFr-species-notes": "<p></p>" } } }

Product details

What is this antibody validated in?
Anti-CD42b antibody [SP219] (ab183345) is a rabbit recombinant monoclonal antibody and is validated for use in Flow Cytometry (Intra), Flow Cytometry (Flow Cyt), Immunohistochemistry (IHC-P), Immunohistochemistry (IHC-Fr) in Human, Mouse samples.

Collaboration
Anti-CD42b [SP219] (ab183345) is a clone from the portfolio of Spring Bioscience (Roche) SP clones which have been optimised for immunohistochemistry (IHC).

Trusted by the scientific community
Anti-CD42b [SP219] (ab183345) was first used in a scientific publication in 2014 and has been cited over 10 times in peer-reviewed journals.

Reviewed by scientists
Anti-CD42b [SP219] (ab183345) has over 5 independent reviews from customers.

Trial sizes available!
Test your antibody or perform pre-screening before committing to a larger quantity. Sold in 10µl. Discover our selection of trial-size antibodies.

Specificity confirmed
The specificity of Anti-CD42b antibody [SP219] (ab183345) has been confirmed by Immunohistochemistry (Formalin/PFA-fixed paraffin-embedded sections) testing in GP1BA Knockout Mouse Spleen samples.

Other related products
We have a range of other formats of antibody clone [SP219] also available for your convenience: ab183345, Carrier free - ab240268, Carrier free - ab246709, ab279482, PE - ab305653, APC - ab305654, HRP - ab305655, Alkaline Phosphatase - ab308983, Alexa Fluor® 594 - ab310755, Alexa Fluor® 568 - ab312777, Alexa Fluor® 555 - ab314255, Alexa Fluor® 488 - ab314271, Alexa Fluor® 647 - ab314946, Alexa Fluor® 750 - ab321275

What are the advantages of a recombinant monoclonal antibody?
This product is a recombinant monoclonal antibody, which offers several advantages including:

  • - High batch-to-batch consistency and reproducibility
  • - Improved sensitivity and specificity
  • - Long-term security of supply
  • - Animal-free batch production

For more information, read more on recombinant antibodies.

Properties and storage information

Form
Liquid
Purification technique
Affinity purification Protein A/G
Purification notes
Purified from TCS by protein A/G.
Storage buffer
pH: 7.6 Preservative: 0.1% Sodium azide Constituents: PBS, 1% BSA
Shipped at conditions
Blue Ice
Appropriate short-term storage duration
1-2 weeks
Appropriate short-term storage conditions
+4°C
Appropriate long-term storage conditions
-20°C
Aliquoting information
Upon delivery aliquot
Storage information
Avoid freeze / thaw cycle

Product protocols

For this product, it's our understanding that no specific protocols are required. You can visit:

Target data

GP-Ib, a surface membrane protein of platelets, participates in the formation of platelet plugs by binding to the A1 domain of vWF, which is already bound to the subendothelium.
See full target information GP1BA

Publications (23)

Recent publications for all applications. Explore the full list and refine your search

Nature communications 16:5737 PubMed40593910

2025

Histone lysine methyltransferases MLL3 and MLL4 direct gene expression to produce platelets efficiently.

Applications

Unspecified application

Species

Unspecified reactive species

Guozhen Gao,Josimar Dornelas Moreira,Prosun Das,Kevin Lin,Kai Ge,Taiping Chen,Yue Lu,Margarida A Santos

BMC medicine 23:346 PubMed40490753

2025

Platelets in preeclampsia: an observational study of indices associated with aspirin nonresponsiveness, activation and transcriptional landscape.

Applications

Unspecified application

Species

Unspecified reactive species

Gashaw Garedew Woldeamanuel,Kenean Getaneh Tlaye,Xueqin Wang,Long Nguyen-Hoang,Qiongjie Zhou,Yinan Wang,Bo Wah Leung,Yao Wang,Liona C Poon,Chi Chiu Wang

Scientific reports 15:18859 PubMed40442395

2025

Platelet aggregation elicits FasL expression and hepatocyte apoptosis in sinusoidal obstruction syndrome.

Applications

Unspecified application

Species

Unspecified reactive species

Yuri Higashi,Seiichi Munesue,Masakazu Saeki,Ai Harashima,Kumi Kimura,Yu Oshima,Ryohei Takei,Satoshi Takada,Shinichi Nakanuma,Isamu Makino,Tetsuo Ohta,Shintaro Yagi,Hidehiro Tajima,Yasuhiko Yamamoto

Molecular medicine reports 30: PubMed39301623

2024

High‑fat diet‑induced LCN2 exacerbates myocardial ischemia‑reperfusion injury by enhancing platelet activation.

Applications

Unspecified application

Species

Unspecified reactive species

Peng Li,Juhai Chen,Mingdong Wang,Qi Wang,Xingde Liu

Nature aging 4:1544-1561 PubMed39210150

2024

Ribosomal S6 kinase 1 regulates inflammaging via the senescence secretome.

Applications

Unspecified application

Species

Unspecified reactive species

Suchira Gallage,Elaine E Irvine,Jose Efren Barragan Avila,Virinder Reen,Silvia M A Pedroni,Imanol Duran,Vikas Ranvir,Sanjay Khadayate,Joaquim Pombo,Sharon Brookes,Danijela Heide,Gopuraja Dharmalingham,Agharul I Choudhury,Indrabahadur Singh,Nicolás Herranz,Santiago Vernia,Mathias Heikenwalder,Jesús Gil,Dominic J Withers

International journal of molecular sciences 25: PubMed39062946

2024

The Variation in the Traits Ameliorated by Inhibitors of JAK1/2, TGF-β, P-Selectin, and CXCR1/CXCR2 in the Model Suggests That Myelofibrosis Should Be Treated by These Drugs in Combination.

Applications

Unspecified application

Species

Unspecified reactive species

Francesca Gobbo,Fabrizio Martelli,Antonio Di Virgilio,Elena Demaria,Giuseppe Sarli,Anna Rita Migliaccio

International journal of molecular sciences 25: PubMed38891768

2024

Oleuropein, a Component of Extra Virgin Olive Oil, Improves Liver Steatosis and Lobular Inflammation by Lipopolysaccharides-TLR4 Axis Downregulation.

Applications

Unspecified application

Species

Unspecified reactive species

Leonardo Schirone,Diletta Overi,Guido Carpino,Roberto Carnevale,Elena De Falco,Cristina Nocella,Alessandra D'Amico,Simona Bartimoccia,Vittoria Cammisotto,Valentina Castellani,Giacomo Frati,Sebastiano Sciarretta,Eugenio Gaudio,Pasquale Pignatelli,Domenico Alvaro,Francesco Violi

International journal of molecular sciences 24: PubMed38003518

2023

Assaying ADAMTS13 Activity as a Potential Prognostic Biomarker for Sinusoidal Obstruction Syndrome in Mice.

Applications

Unspecified application

Species

Unspecified reactive species

Masakazu Saeki,Seiichi Munesue,Yuri Higashi,Ai Harashima,Ryohei Takei,Satoshi Takada,Shinichi Nakanuma,Tetsuo Ohta,Shintaro Yagi,Hidehiro Tajima,Yasuhiko Yamamoto

Biomedicines 11: PubMed38001945

2023

Identification of Potential Drug Targets for Antiplatelet Therapy Specifically Targeting Platelets of Old Individuals through Proteomic Analysis.

Applications

Unspecified application

Species

Unspecified reactive species

Seung Hee Lee,Suyeon Cho,Jong Youl Lee,Jung Yeon Hong,Suji Kim,Myong-Ho Jeong,Won-Ho Kim

Clinical cancer research : an official journal of the American Association for Cancer Research 29:3622-3632 PubMed37439808

2023

A Phase Ib Trial of AVID200, a TGFβ 1/3 Trap, in Patients with Myelofibrosis.

Applications

Unspecified application

Species

Unspecified reactive species

John Mascarenhas,Anna Rita Migliaccio,Heidi Kosiorek,Rupali Bhave,Jeanne Palmer,Andrew Kuykendall,Ruben Mesa,Raajit K Rampal,Aaron T Gerds,Abdulraheem Yacoub,Kristen Pettit,Moshe Talpaz,Rami Komrokji,Marina Kremyanskaya,Agapito Gonzalez,Frank Fabris,Kathryn Johnson,Mikaela Dougherty,Erin McGovern,Juan Arango Ossa,Dylan Domenico,Noushin Farnoud,Rona Singer Weinberg,Amy Kong,Vesna Najfeld,Alessandro Maria Vannucchi,Francesca Arciprete,Maria Zingariello,Mario Falchi,Mohamed E Salama,Carolyn Mead-Harvey,Amylou Dueck,Lilian Varricchio,Ronald Hoffman
View all publications

Product promise

We are committed to supporting your work with high-quality reagents, and we're here for you every step of the way. In the unlikely event that one of our products does not perform as expected, you're protected by our Product Promise.
For full details, please see our Terms & Conditions

Please note: All products are 'FOR RESEARCH USE ONLY. NOT FOR USE IN DIAGNOSTIC OR THERAPEUTIC PROCEDURES'.

For licensing inquiries, please contact partnerships@abcam.com