JavaScript is disabled in your browser. Please enable JavaScript to view this website.
AB240268

Anti-CD42b antibody [SP219] - BSA and Azide free

  • BOND RX™ Validated
  • RabMAb
  • Recombinant
  • KO Validated
  • What is this?

Be the first to review this product! Submit a review

|

(1 Publication)

Rabbit Recombinant Monoclonal CD42b antibody. Carrier free. Suitable for IHC-P, IHC-Fr, Flow Cyt (Intra) and reacts with Mouse, Human samples. Cited in 1 publication.

View Alternative Names

CD42b, Platelet glycoprotein Ib alpha chain, GP-Ib alpha, GPIb-alpha, GPIbA, Glycoprotein Ibalpha, Antigen CD42b-alpha, GP1BA

12 Images
Immunohistochemistry (Formalin/PFA-fixed paraffin-embedded sections) - Anti-CD42b antibody [SP219] - BSA and Azide free (AB240268)
  • IHC-P

Unknown

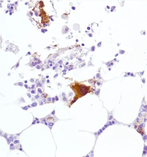
Immunohistochemistry (Formalin/PFA-fixed paraffin-embedded sections) - Anti-CD42b antibody [SP219] - BSA and Azide free (AB240268)

Immunohistochemistry (Formalin/PFA-fixed paraffin-embedded sections) analysis of Human bone marrow tissue sections labeling CD42b with ab183345 at 1/100 dilution (1.94 μg/ml). Heat mediated antigen retrieval with Tris-EDTA buffer (pH 6.0, epitope retrieval solution 1) for 10mins. Rabbit specific IHC polymer detection kit HRP/DAB (ab209101) was used as the secondary antibody. Hematoxylin was used as a counterstain. Positive staining on the megakaryocytes in the human bone marrow, performed on a Leica Biosystems BOND™ RX instrument.
The section was incubated with ab183345 for 10 mins at room temperature. This image was generated using ab183345, the same clone, but with a different buffer formulation.

Immunohistochemistry (Formalin/PFA-fixed paraffin-embedded sections) - Anti-CD42b antibody [SP219] - BSA and Azide free (AB240268)
  • IHC-P

Unknown

Immunohistochemistry (Formalin/PFA-fixed paraffin-embedded sections) - Anti-CD42b antibody [SP219] - BSA and Azide free (AB240268)

Immunohistochemistry (Formalin/PFA-fixed paraffin-embedded sections) analysis of Human spleen tissue sections labeling CD42b with ab183345 at 1/100 dilution (1.94 μg/ml). Heat mediated antigen retrieval with Tris-EDTA buffer (pH 6.0, epitope retrieval solution 1) for 10mins. Rabbit specific IHC polymer detection kit HRP/DAB (ab209101) was used as the secondary antibody. Hematoxylin was used as a counterstain. Positive staining on platelets in the human spleen, performed on a Leica Biosystems BOND™ RX instrument.
The section was incubated with ab183345 for 10 mins at room temperature. This image was generated using ab183345, the same clone, but with a different buffer formulation.

Flow Cytometry (Intracellular) - Anti-CD42b antibody [SP219] - BSA and Azide free (AB240268)
  • Flow Cyt (Intra)

Unknown

Flow Cytometry (Intracellular) - Anti-CD42b antibody [SP219] - BSA and Azide free (AB240268)

Intracellular Flow Cytometry analysis of HEL (human bone marrow erythroleukemia) labeling CD42b with purified ab183345 at 1/20 dilution (9.7μg/ml) (red). Cells were fixed with 4% paraformaldehyde and permeabilized with 90% methanol. Goat anti rabbit IgG (Alexa Fluor® 488, ab150077) at 1/2000 dilution was used as a secondary antibody. Isotypecontrol - Rabbit monoclonal IgG (ab172730) (black). Unlableled control - Unlabeled cells (blue).

This data was developed using the same antibody clone in a different buffer formulation containing PBS, BSA and sodium azide (ab183345).

Flow Cytometry (Intracellular) - Anti-CD42b antibody [SP219] - BSA and Azide free (AB240268)
  • Flow Cyt (Intra)

Supplier Data

Flow Cytometry (Intracellular) - Anti-CD42b antibody [SP219] - BSA and Azide free (AB240268)

Intracellular flow cytometric analysis of rabbit anti-CD42b (SP219) antibody using ab183345 (diluted 1/400) in Jurkat cells (green) compared to negative control of rabbit IgG (blue).

This data was developed using the same antibody clone in a different buffer formulation containing PBS,BSA and sodium azide (ab183345).

Immunohistochemistry (Formalin/PFA-fixed paraffin-embedded sections) - Anti-CD42b antibody [SP219] - BSA and Azide free (AB240268)
  • IHC-P

Lab

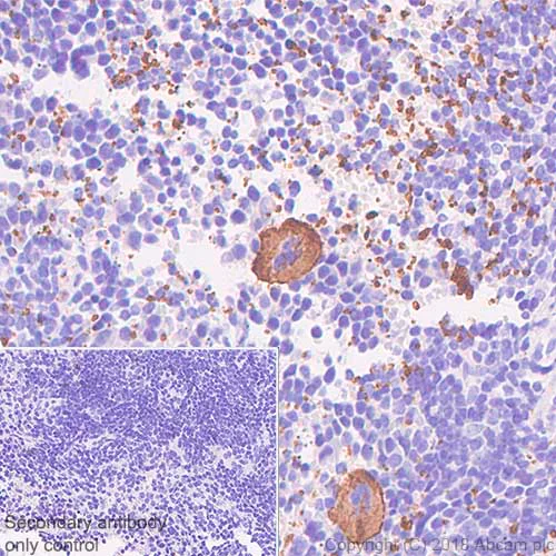
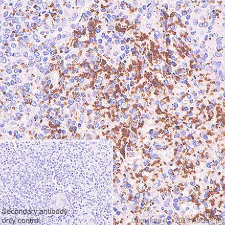
Immunohistochemistry (Formalin/PFA-fixed paraffin-embedded sections) - Anti-CD42b antibody [SP219] - BSA and Azide free (AB240268)

This data was developed using ab183345, the same antibody clone in a different buffer formulation.

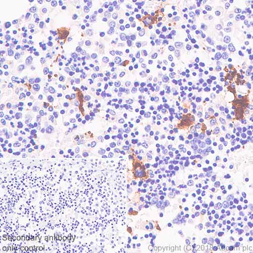
Immunohistochemical analysis of formalin fixed paraffin embedded human spleen labelling CD42b with ab183345 at a concentration of 1 μg/ml. The immunostaining was performed on a Ventana DISCOVERY ULTRA (Roche Tissue Diagnostics) instrument with a OptiView DAB IHC Detection Kit. The heat-mediated antigen retrieval was conducted with at 100 °C, pH 8.5 for 32 mins. ab183345 Anti-CD42b antibody [SP219] was incubated for 16 mins, at 37 °C. Sections were counterstained with Hematoxylin II. Image inset shows absence of staining in secondary antibody only control. Customers are encouraged to optimise antigen retrieval conditions, antibody concentration, incubation times and temperature for best results in their own IHC assay workflow (automated and manual).

Immunohistochemistry (Formalin/PFA-fixed paraffin-embedded sections) - Anti-CD42b antibody [SP219] - BSA and Azide free (AB240268)
  • IHC-P

Supplier Data

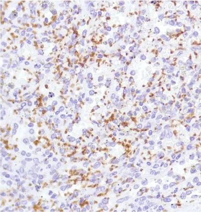
Immunohistochemistry (Formalin/PFA-fixed paraffin-embedded sections) - Anti-CD42b antibody [SP219] - BSA and Azide free (AB240268)

Immunohistochemical analysis of paraffin embedded human bone marrow tissue labeling CD42b with ab183345 at 1/100 dilution.

This data was developed using the same antibody clone in a different buffer formulation containing PBS, BSA and sodium azide (ab183345).

Immunohistochemistry (Formalin/PFA-fixed paraffin-embedded sections) - Anti-CD42b antibody [SP219] - BSA and Azide free (AB240268)
  • IHC-P

Supplier Data

Immunohistochemistry (Formalin/PFA-fixed paraffin-embedded sections) - Anti-CD42b antibody [SP219] - BSA and Azide free (AB240268)

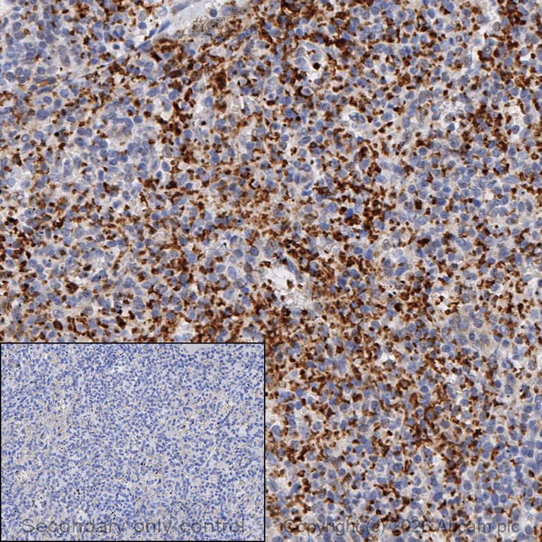
Immunohistochemical analysis of paraffin embedded human spleen tissue labeling CD42b with ab183345 at 1/100 dilution.

This data was developed using the same antibody clone in a different buffer formulation containing PBS, BSA and sodium azide (ab183345).

Flow Cytometry (Intracellular) - Anti-CD42b antibody [SP219] - BSA and Azide free (AB240268)
  • Flow Cyt (Intra)

Unknown

Flow Cytometry (Intracellular) - Anti-CD42b antibody [SP219] - BSA and Azide free (AB240268)

Intracellular Flow Cytometry analysis of mouse splenocytes cell labeling CD42b with purified ab183345 at 1/20 dilution (9.7μg/ml) (red). Cells were fixed with 4% paraformaldehyde and permeabilized with 90% methanol. Goat anti rabbit IgG (Alexa Fluor® 488, ab150081) at 1/2000 dilution was used as a secondary antibody. Isotypecontrol - Rabbit monoclonal IgG (ab172730) (black). Unlableled control - Unlabeled cells (blue).

This data was developed using the same antibody clone in a different buffer formulation containing PBS, BSA and sodium azide (ab183345).

Immunohistochemistry (Formalin/PFA-fixed paraffin-embedded sections) - Anti-CD42b antibody [SP219] - BSA and Azide free (AB240268)
  • IHC-P

Lab

Immunohistochemistry (Formalin/PFA-fixed paraffin-embedded sections) - Anti-CD42b antibody [SP219] - BSA and Azide free (AB240268)

This data was developed using ab183345, the same antibody clone in a different buffer formulation. Immunohistochemical analysis of paraffin-embedded (A) Spleen tissue from wild-type C57BL/6JGpt mice, (B) Spleen tissue from CD42b knockout mice staining with ab183345 at 1/500 dilution and ready-to-use Goat Anti-Rabbit IgG H&L (HRP) secondary. Counterstaining with hematoxylin. Heat mediated antigen retrieval was performed with Citrate buffer (pH 6.0, Epitope Retrieval Solution 1) for 20 mins. Positive staining on (A) Spleen tissue from wild-type C57BL/6JGpt mice and no staining on (B) Spleen tissue from CD42b knockout mice. The section was incubated with ab183345 for 10 mins at room temperature. The immunostaining was performed on a Leica Biosystems BOND™ RX instrument. The tissue samples were kindly provided by GemPharmatech. C57BL/6JGpt wildtype mice and CD42b-KO homozygous mice (Strain ID : T028631).

Immunohistochemistry (Formalin/PFA-fixed paraffin-embedded sections) - Anti-CD42b antibody [SP219] - BSA and Azide free (AB240268)
  • IHC-P

Unknown

Immunohistochemistry (Formalin/PFA-fixed paraffin-embedded sections) - Anti-CD42b antibody [SP219] - BSA and Azide free (AB240268)

Immunohistochemistry (Formalin/PFA-fixed paraffin-embedded sections) analysis of Mouse spleen tissue sections labeling CD42b with ab183345 at 1/100 dilution (1.94 μg/ml). Heat mediated antigen retrieval with Tris-EDTA buffer (pH 6.0, epitope retrieval solution 1) for 10mins. Rabbit specific IHC polymer detection kit HRP/DAB (ab209101) was used as the secondary antibody. Hematoxylin was used as a counterstain. Positive staining on platelets and megakaryocytes in the mouse spleen, performed on a Leica Biosystems BOND™ RX instrument.
The section was incubated with ab183345 for 10 mins at room temperature. This image was generated using ab183345, the same clone, but with a different buffer formulation.

Immunohistochemistry (Frozen sections) - Anti-CD42b antibody [SP219] - BSA and Azide free (AB240268)
  • IHC-Fr

Unknown

Immunohistochemistry (Frozen sections) - Anti-CD42b antibody [SP219] - BSA and Azide free (AB240268)

Immunohistochemistry (Frozen) analysis of mouse spleen tissue section labeling CD42b with purified ab183345 at 1/100 (1.9 μg/ml). Sections were fixed in 4% paraformaldehyde and permeabilized with 0.2% Triton X-100. Antigen retrieval was heat mediated antigen retrieval using sodium citrate buffer (10mM citrate pH 6.0 + 0.05% Tween-20). Goat anti rabbit IgG (Alexa Fluor® 488, ab150077) was used as the secondary antibody at 1/1000 (2 μg/ml) dilution. DAPI was used as nuclear counterstain. PBS instead of the primary antibody was used as the secondary antibody only control.

This data was developed using the same antibody clone in a different buffer formulation containing PBS, BSA and sodium azide (ab183345).

Immunohistochemistry (Formalin/PFA-fixed paraffin-embedded sections) - Anti-CD42b antibody [SP219] - BSA and Azide free (AB240268)
  • IHC-P

Lab

Immunohistochemistry (Formalin/PFA-fixed paraffin-embedded sections) - Anti-CD42b antibody [SP219] - BSA and Azide free (AB240268)

This data was developed using ab183345, the same antibody clone in a different buffer formulation. Immunohistochemical analysis of paraffin-embedded (A) Bone marrow tissue from wild-type C57BL/6JGpt mice (B) Bone marrow tissue from CD42b knockout mice staining with ab183345 at 1/500 dilution and ready-to-use Goat Anti-Rabbit IgG H&L (HRP) secondary. Counterstaining with hematoxylin. Heat mediated antigen retrieval was performed with Citrate buffer (pH 6.0, Epitope Retrieval Solution 1) for 20 mins. Positive staining on (A) Bone marrow tissue from wild-type C57BL/6JGpt mice and no staining on (B) Bone marrow tissue from CD42b knockout mice. The section was incubated with ab183345 for 10 mins at room temperature. The immunostaining was performed on a Leica Biosystems BOND™ RX instrument. The tissue samples were kindly provided by GemPharmatech. C57BL/6JGpt wildtype mice and CD42b-KO homozygous mice (Strain ID : T028631).

Key facts

Host species

Rabbit

Clonality

Monoclonal

Clone number

SP219

Isotype

IgG

Carrier free

Yes

Reacts with

Mouse, Human

Applications

IHC-Fr, Flow Cyt (Intra), IHC-P

applications

Immunogen

The exact immunogen used to generate this antibody is proprietary information.

Reactivity data

{ "title": "Reactivity Data", "filters": { "stats": ["", "Species", "Dilution Info", "Notes"], "tabs": { "all-applications": {"fullname" : "All Applications", "shortname": "All Applications"}, "IHCP" : {"fullname" : "Immunohistochemistry (Formalin/PFA-fixed paraffin-embedded sections)", "shortname":"IHC-P"}, "IHCFr" : {"fullname" : "Immunohistochemistry (Frozen sections)", "shortname":"IHC-Fr"}, "FlowCytIntra" : {"fullname" : "Flow Cytometry (Intracellular)", "shortname":"Flow Cyt (Intra)"} }, "product-promise": { "all": "all", "testedAndGuaranteed": "tested", "guaranteed": "expected", "predicted": "predicted", "notRecommended": "not-recommended" } }, "values": { "Human": { "IHCP-species-checked": "testedAndGuaranteed", "IHCP-species-dilution-info": "", "IHCP-species-notes": "<p></p>", "IHCFr-species-checked": "guaranteed", "IHCFr-species-dilution-info": "", "IHCFr-species-notes": "", "FlowCytIntra-species-checked": "testedAndGuaranteed", "FlowCytIntra-species-dilution-info": "", "FlowCytIntra-species-notes": "<p><a href='/en-us/products/primary-antibodies/rabbit-igg-monoclonal-epr25a-isotype-control-low-endotoxin-azide-free-ab199376'>ab199376</a> - Rabbit monoclonal IgG, is suitable for use as an isotype control with this antibody.</p>" }, "Mouse": { "IHCP-species-checked": "testedAndGuaranteed", "IHCP-species-dilution-info": "", "IHCP-species-notes": "<p></p>", "IHCFr-species-checked": "testedAndGuaranteed", "IHCFr-species-dilution-info": "", "IHCFr-species-notes": "<p></p>", "FlowCytIntra-species-checked": "guaranteed", "FlowCytIntra-species-dilution-info": "", "FlowCytIntra-species-notes": "" }, "Dog": { "IHCP-species-checked": "predicted", "IHCP-species-dilution-info": "", "IHCP-species-notes": "", "IHCFr-species-checked": "predicted", "IHCFr-species-dilution-info": "", "IHCFr-species-notes": "", "FlowCytIntra-species-checked": "predicted", "FlowCytIntra-species-dilution-info": "", "FlowCytIntra-species-notes": "" } } }

Product details

ab240268 is the carrier-free version of ab183345.

What are the advantages of a recombinant monoclonal antibody?
This product is a recombinant monoclonal antibody, which offers several advantages including:

  • - High batch-to-batch consistency and reproducibility
  • - Improved sensitivity and specificity
  • - Long-term security of supply
  • - Animal-free batch production

For more information, read more on recombinant antibodies.

Conjugation ready
Our carrier-free antibodies are typically supplied in a PBS-only formulation, purified and free of BSA, sodium azide and glycerol. This conjugation-ready format is designed for use with fluorochromes, metal isotopes, oligonucleotides, and enzymes, which makes them ideal for antibody labelling, functional and cell-based assays, flow-based assays (e.g. mass cytometry) and Multiplex Imaging applications.

Use our conjugation kits for antibody conjugates that are ready-to-use in as little as 20 minutes with 1 minute hands-on-time and 100% antibody recovery: available for fluorescent dyes, HRP, biotin and gold.

Compatibility
This product is compatible with the Maxpar® Antibody Labeling Kit from Fluidigm, without the need for antibody preparation. Maxpar® is a trademark of Fluidigm Canada Inc.

Properties and storage information

Form
Liquid
Purification technique
Affinity purification Protein A/G
Purification notes
Purified from TCS by protein A/G.
Storage buffer
pH: 7.2 - 7.4 Constituents: PBS
Shipped at conditions
Blue Ice
Appropriate short-term storage conditions
+4°C
Appropriate long-term storage conditions
+4°C
Storage information
Do Not Freeze

Product protocols

For this product, it's our understanding that no specific protocols are required. You can visit:

Target data

GP-Ib, a surface membrane protein of platelets, participates in the formation of platelet plugs by binding to the A1 domain of vWF, which is already bound to the subendothelium.
See full target information GP1BA

Publications (1)

Recent publications for all applications. Explore the full list and refine your search

Cell reports methods 3:100595 PubMed37741277

2023

Dual-modality imaging of immunofluorescence and imaging mass cytometry for whole-slide imaging and accurate segmentation.

Applications

Unspecified application

Species

Unspecified reactive species

Eun Na Kim,Phyllis Zixuan Chen,Dario Bressan,Monika Tripathi,Ahmad Miremadi,Massimiliano di Pietro,Lisa M Coussens,Gregory J Hannon,Rebecca C Fitzgerald,Lizhe Zhuang,Young Hwan Chang
View all publications

Product promise

We are committed to supporting your work with high-quality reagents, and we're here for you every step of the way. In the unlikely event that one of our products does not perform as expected, you're protected by our Product Promise.
For full details, please see our Terms & Conditions

Please note: All products are 'FOR RESEARCH USE ONLY. NOT FOR USE IN DIAGNOSTIC OR THERAPEUTIC PROCEDURES'.

For licensing inquiries, please contact partnerships@abcam.com