JavaScript is disabled in your browser. Please enable JavaScript to view this website.
AB235452

Anti-CD43 antibody [EPR21903]

Be the first to review this product! Submit a review

|

(1 Publication)

Rabbit Recombinant Monoclonal CD43 antibody. Suitable for WB, ICC/IF, IHC-P and reacts with Human samples. Cited in 1 publication.

View Alternative Names

CD43, SPN, Leukosialin, GPL115, Galactoglycoprotein, Leukocyte sialoglycoprotein, Sialophorin, GALGP

4 Images
Immunocytochemistry/ Immunofluorescence - Anti-CD43 antibody [EPR21903] (AB235452)
  • ICC/IF

Unknown

Immunocytochemistry/ Immunofluorescence - Anti-CD43 antibody [EPR21903] (AB235452)

Immunofluorescent analysis of 4% paraformaldehyde-fixed, 0.1% Triton X-100 permeabilized IM-9 (human multiple myeloma B lymphoblast cell line) cells labeling CD43 with ab235452 at 1/500 dilution, followed by Goat Anti-Rabbit IgG H&L (Alexa Fluor® 488) (ab150077) secondary antibody at 1/1000 dilution (green). Confocal image showing membranous staining on the IM-9 cell line. The nuclear counter stain is DAPI (blue). Tubulin is detected with Anti-alpha Tubulin antibody [DM1A] - Microtubule Marker (Alexa Fluor® 594) (ab195889) at 1/200 dilution (red)

Secondary antibody only control : Used PBS instead of primary antibody, followed by Goat Anti-Rabbit IgG H&L (Alexa Fluor® 488) (ab150077) secondary antibody at 1/1000 dilution.

Immunohistochemistry (Formalin/PFA-fixed paraffin-embedded sections) - Anti-CD43 antibody [EPR21903] (AB235452)
  • IHC-P

Unknown

Immunohistochemistry (Formalin/PFA-fixed paraffin-embedded sections) - Anti-CD43 antibody [EPR21903] (AB235452)

Immunohistochemical analysis of paraffin-embedded human tonsil tissue labeling CD43 with ab235452 at 1/2000 dilution, followed by Goat Anti-Rabbit IgG H&L (HRP) ready to use. Positive staining in the T cell zone and scattered T cells in the germinal center (PMID : 2794085) is observed. Counter stained with hematoxylin.

Secondary antibody only control : Used PBS instead of primary antibody, secondary antibody is Goat Anti-Rabbit IgG H&L (HRP) ready to use.

Heat-mediated antigen retrieval using ab93684 (Tris/EDTA buffer, pH 9.0).

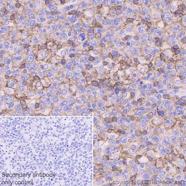
Immunohistochemistry (Formalin/PFA-fixed paraffin-embedded sections) - Anti-CD43 antibody [EPR21903] (AB235452)
  • IHC-P

Unknown

Immunohistochemistry (Formalin/PFA-fixed paraffin-embedded sections) - Anti-CD43 antibody [EPR21903] (AB235452)

Immunohistochemical analysis of paraffin-embedded human B cell lymphoma tissue labeling CD43 with ab235452 at 1/2000 dilution, followed by Goat Anti-Rabbit IgG H&L (HRP) ready to use. Membranous staining on human B cell lymphoma (PMID : 2794085) is observed. Counter stained with hematoxylin.

Secondary antibody only control : Used PBS instead of primary antibody, secondary antibody is Goat Anti-Rabbit IgG H&L (HRP) ready to use.

Heat-mediated antigen retrieval using ab93684 (Tris/EDTA buffer, pH 9.0).

Western blot - Anti-CD43 antibody [EPR21903] (AB235452)
  • WB

Unknown

Western blot - Anti-CD43 antibody [EPR21903] (AB235452)

Blocking and dilution buffer : 5% NFDM/TBST.

Exposure times.

Lanes 1-4 : 15 seconds; Lanes 5 & 6 : 3 minutes.

The expression profile observed is consistent with what has been described in the literature (PMIDs : 2794085, 23987472 and 7683406). We also observe additional bands at or below 20 kDa in some cell lines, which could be due to proteolysitic cleavage of the protein (PMIDs : 18586676 and 15540986).

All lanes:

Western blot - Anti-CD43 antibody [EPR21903] (ab235452) at 1/1000 dilution

Lane 1:

HL-60 (human promyelocytic leukemia cell line) whole cell lysate at 10 µg

Lane 2:

Ramos (human Burkitt's lymphoma B lymphocyte), whole cell lysate at 10 µg

Lane 3:

IM-9 (human multiple myeloma B lymphoblast cell line) whole cell lysate at 10 µg

Lane 4:

THP-1 (human monocytic leukemia cell line0 whole cell lysate at 10 µg

Lane 5:

Human colon lysate at 10 µg

Lane 6:

Human lung lysate at 10 µg

Secondary

All lanes:

Western blot - Goat Anti-Rabbit IgG H&L (HRP) (<a href='/en-us/products/secondary-antibodies/goat-rabbit-igg-h-l-hrp-ab97051'>ab97051</a>) at 1/100000 dilution

Predicted band size: 40 kDa

Observed band size: 100-150 kDa,20 kDa,50-60 kDa

false

  • Carrier free

    Anti-CD43 antibody [EPR21903] - BSA and Azide free

Key facts

Host species

Rabbit

Clonality

Monoclonal

Clone number

EPR21903

Isotype

IgG

Carrier free

No

Reacts with

Human

Applications

ICC/IF, WB, IHC-P

applications

Immunogen

The exact immunogen used to generate this antibody is proprietary information.

Reactivity data

{ "title": "Reactivity Data", "filters": { "stats": ["", "Species", "Dilution Info", "Notes"], "tabs": { "all-applications": {"fullname" : "All Applications", "shortname": "All Applications"}, "WB" : {"fullname" : "Western blot", "shortname":"WB"}, "ICCIF" : {"fullname" : "Immunocytochemistry/ Immunofluorescence", "shortname":"ICC/IF"}, "IHCP" : {"fullname" : "Immunohistochemistry (Formalin/PFA-fixed paraffin-embedded sections)", "shortname":"IHC-P"} }, "product-promise": { "all": "all", "testedAndGuaranteed": "tested", "guaranteed": "expected", "predicted": "predicted", "notRecommended": "not-recommended" } }, "values": { "Human": { "WB-species-checked": "testedAndGuaranteed", "WB-species-dilution-info": "1/1000", "WB-species-notes": "<p></p>", "ICCIF-species-checked": "testedAndGuaranteed", "ICCIF-species-dilution-info": "1/500", "ICCIF-species-notes": "<p></p>", "IHCP-species-checked": "testedAndGuaranteed", "IHCP-species-dilution-info": "1/2000", "IHCP-species-notes": "<p></p> Perform heat-mediated antigen retrieval with Tris/EDTA buffer pH 9.0 before commencing with IHC staining protocol." } } }

Product details

Patented technology
Our RabMAb® technology is a patented hybridoma-based technology for making rabbit monoclonal antibodies. For details on our patents, please refer to RabMAb® patents.

What are the advantages of a recombinant monoclonal antibody?
This product is a recombinant monoclonal antibody, which offers several advantages including:

  • - High batch-to-batch consistency and reproducibility
  • - Improved sensitivity and specificity
  • - Long-term security of supply
  • - Animal-free batch production

For more information, read more on recombinant antibodies.

Properties and storage information

Form
Liquid
Purification technique
Affinity purification Protein A
Storage buffer
pH: 7.2 - 7.4 Preservative: 0.01% Sodium azide Constituents: PBS, 40% Glycerol (glycerin, glycerine), 0.05% BSA
Shipped at conditions
Blue Ice
Appropriate short-term storage duration
1-2 weeks
Appropriate short-term storage conditions
+4°C
Appropriate long-term storage conditions
-20°C
Aliquoting information
Upon delivery aliquot
Storage information
Avoid freeze / thaw cycle

Product protocols

For this product, it's our understanding that no specific protocols are required. You can visit:

Target data

Predominant cell surface sialoprotein of leukocytes which regulates multiple T-cell functions, including T-cell activation, proliferation, differentiation, trafficking and migration. Positively regulates T-cell trafficking to lymph-nodes via its association with ERM proteins (EZR, RDX and MSN) (By similarity). Negatively regulates Th2 cell differentiation and predisposes the differentiation of T-cells towards a Th1 lineage commitment. Promotes the expression of IFN-gamma by T-cells during T-cell receptor (TCR) activation of naive cells and induces the expression of IFN-gamma by CD4(+) T-cells and to a lesser extent by CD8(+) T-cells (PubMed : 18036228). Plays a role in preparing T-cells for cytokine sensing and differentiation into effector cells by inducing the expression of cytokine receptors IFNGR and IL4R, promoting IFNGR and IL4R signaling and by mediating the clustering of IFNGR with TCR (PubMed : 24328034). Acts as a major E-selectin ligand responsible for Th17 cell rolling on activated vasculature and recruitment during inflammation. Mediates Th17 cells, but not Th1 cells, adhesion to E-selectin. Acts as a T-cell counter-receptor for SIGLEC1 (By similarity).. CD43 cytoplasmic tail. Protects cells from apoptotic signals, promoting cell survival.
See full target information SPN

Publications (1)

Recent publications for all applications. Explore the full list and refine your search

Cell death and differentiation 32:1336-1352 PubMed40021897

2025

The Trim32-DPEP2 axis is an inflammatory switch in macrophages during intestinal inflammation.

Applications

Unspecified application

Species

Unspecified reactive species

Zhiyan Zhan,Huisheng Liang,Zhuoqi Zhao,Liya Pan,Jing Li,Yuyun Chen,Zhoulonglong Xie,Zhilong Yan,Ying Xiang,Wenxue Liu,Li Hong
View all publications

Product promise

We are committed to supporting your work with high-quality reagents, and we're here for you every step of the way. In the unlikely event that one of our products does not perform as expected, you're protected by our Product Promise.
For full details, please see our Terms & Conditions

Please note: All products are 'FOR RESEARCH USE ONLY. NOT FOR USE IN DIAGNOSTIC OR THERAPEUTIC PROCEDURES'.

For licensing inquiries, please contact partnerships@abcam.com