JavaScript is disabled in your browser. Please enable JavaScript to view this website.
AB235453

Anti-CD43 antibody [EPR21904]

Be the first to review this product! Submit a review

|

(1 Publication)

Rabbit Recombinant Monoclonal CD43 antibody. Suitable for Flow Cyt, WB, ICC/IF, IHC-P and reacts with Human samples. Cited in 1 publication.

View Alternative Names

CD43, SPN, Leukosialin, GPL115, Galactoglycoprotein, Leukocyte sialoglycoprotein, Sialophorin, GALGP

5 Images
Flow Cytometry - Anti-CD43 antibody [EPR21904] (AB235453)
  • Flow Cyt

Supplier Data

Flow Cytometry - Anti-CD43 antibody [EPR21904] (AB235453)

Flow cytometric analysis of IM-9 (human multiple myeloma B lymphoblast cell line) cell line labeling CD43 with ab235453 at 1/50 (red) compared with a Rabbit IgG, monoclonal [EPR25A] - Isotype Control (ab172730) (black) and an unlabeled control (cells without incubation with primary antibody and secondary antibody) (blue). Goat anti rabbit IgG (Alexa Fluor® 488, ab150077), at 1/2000 dilution was used as the secondary antibody.

Gated on viable cells.

Immunohistochemistry (Formalin/PFA-fixed paraffin-embedded sections) - Anti-CD43 antibody [EPR21904] (AB235453)
  • IHC-P

Unknown

Immunohistochemistry (Formalin/PFA-fixed paraffin-embedded sections) - Anti-CD43 antibody [EPR21904] (AB235453)

Immunohistochemical analysis of paraffin-embedded human B cell lymphoma tissue labeling CD43 with ab235453 at 1/2000 dilution, followed by Goat Anti-Rabbit IgG H&L (HRP) Ready to use. Membranous staining on human B cell lymphoma (PMID : 2794085). Counter stained with Hematoxylin.

Secondary antibody only control : Used PBS instead of primary antibody, secondary antibody is Goat Anti-Rabbit IgG H&L (HRP) Ready to use.

Heat mediated antigen retrieval was performed with Tris/EDTA buffer pH 9.0 before commencing with IHC staining protocol.

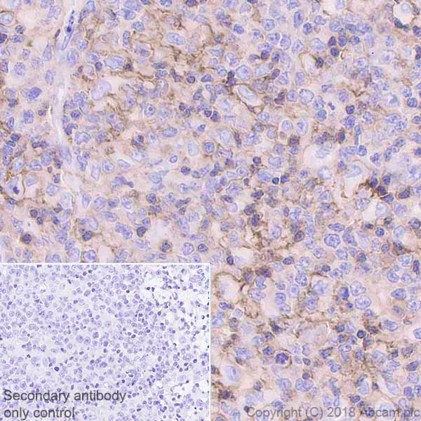
Immunohistochemistry (Formalin/PFA-fixed paraffin-embedded sections) - Anti-CD43 antibody [EPR21904] (AB235453)
  • IHC-P

Supplier Data

Immunohistochemistry (Formalin/PFA-fixed paraffin-embedded sections) - Anti-CD43 antibody [EPR21904] (AB235453)

Immunohistochemical analysis of paraffin-embedded human tonsil tissue labeling CD43 with ab235453 at 1/1000 dilution, followed by Goat Anti-Rabbit IgG H&L (HRP) Ready to use. Positive staining in the T cell zone and scattered T cells in the germinal center (PMID : 2794085). Counter stained with Hematoxylin.

Secondary antibody only control : Used PBS instead of primary antibody, secondary antibody is Goat Anti-Rabbit IgG H&L (HRP) Ready to use.

Heat mediated antigen retrieval was performed with Tris/EDTA buffer pH 9.0 before commencing with IHC staining protocol.

Immunocytochemistry/ Immunofluorescence - Anti-CD43 antibody [EPR21904] (AB235453)
  • ICC/IF

Supplier Data

Immunocytochemistry/ Immunofluorescence - Anti-CD43 antibody [EPR21904] (AB235453)

Immunofluorescent analysis of 4% paraformaldehyde-fixed, 0.1% Triton X-100 permeabilized IM-9 (human multiple myeloma B lymphoblast cell line) cells labeling CD43 with ab235453 at 1/100 dilution, followed by Goat Anti-Rabbit IgG H&L (Alexa Fluor® 488) (ab150077) secondary antibody at 1/1000 dilution (green). Confocal image showing membranous staining on the IM-9 cell line.

The nuclear counter stain is DAPI (blue). Tubulin is detected with Anti-alpha Tubulin antibody [DM1A] - Microtubule Marker (Alexa Fluor® 594) (ab195889) (red) at 1/200 dilution.

Secondary antibody only control : Used PBS instead of primary antibody, secondary antibody is Goat Anti-Rabbit IgG H&L (Alexa Fluor® 488) (ab150077) secondary antibody at 1/1000 dilution.

Western blot - Anti-CD43 antibody [EPR21904] (AB235453)
  • WB

Supplier Data

Western blot - Anti-CD43 antibody [EPR21904] (AB235453)

Blocking/Dilution buffer : 5% NFDM/TBST.

The molecular mass observed is consistent with what has been described in the literature (PMID : 2794085). We observed low CD43 expression in the Ramos B cell line which is consistent with the literature (PMID : 24999313).

All lanes:

Western blot - Anti-CD43 antibody [EPR21904] (ab235453) at 1/1000 dilution

Lane 1:

HL-60 (human promyelocytic leukemia cell line) whole cell lysate at 10 µg

Lane 2:

Ramos (human Burkitt's lymphoma cell line) whole cell lysate at 10 µg

Lane 3:

IM-9 (human multiple myeloma B Lymphoblast cell line) whole cell lysate at 10 µg

Lane 4:

THP-1 (human monocytic leukemia cell line) whole cell lysate at 10 µg

Secondary

All lanes:

Western blot - Goat Anti-Rabbit IgG H&L (HRP) (<a href='/en-us/products/secondary-antibodies/goat-rabbit-igg-h-l-hrp-ab97051'>ab97051</a>) at 1/100000 dilution

Predicted band size: 40 kDa

Observed band size: 100-150 kDa

false

Exposure time: 3min

  • Carrier free

    Anti-CD43 antibody [EPR21904] - BSA and Azide free

Key facts

Host species

Rabbit

Clonality

Monoclonal

Clone number

EPR21904

Isotype

IgG

Carrier free

No

Reacts with

Human

Applications

WB, ICC/IF, IHC-P, Flow Cyt

applications

Immunogen

The exact immunogen used to generate this antibody is proprietary information.

Reactivity data

{ "title": "Reactivity Data", "filters": { "stats": ["", "Species", "Dilution Info", "Notes"], "tabs": { "all-applications": {"fullname" : "All Applications", "shortname": "All Applications"}, "FlowCyt" : {"fullname" : "Flow Cytometry", "shortname":"Flow Cyt"}, "WB" : {"fullname" : "Western blot", "shortname":"WB"}, "ICCIF" : {"fullname" : "Immunocytochemistry/ Immunofluorescence", "shortname":"ICC/IF"}, "IHCP" : {"fullname" : "Immunohistochemistry (Formalin/PFA-fixed paraffin-embedded sections)", "shortname":"IHC-P"} }, "product-promise": { "all": "all", "testedAndGuaranteed": "tested", "guaranteed": "expected", "predicted": "predicted", "notRecommended": "not-recommended" } }, "values": { "Human": { "FlowCyt-species-checked": "testedAndGuaranteed", "FlowCyt-species-dilution-info": "1/50", "FlowCyt-species-notes": "<p></p>", "WB-species-checked": "testedAndGuaranteed", "WB-species-dilution-info": "1/1000", "WB-species-notes": "<p></p>", "ICCIF-species-checked": "testedAndGuaranteed", "ICCIF-species-dilution-info": "1/100", "ICCIF-species-notes": "<p></p>", "IHCP-species-checked": "testedAndGuaranteed", "IHCP-species-dilution-info": "1/1000", "IHCP-species-notes": "<p></p> Perform heat-mediated antigen retrieval with Tris/EDTA buffer pH 9.0 before commencing with IHC staining protocol." } } }

Product details

Patented technology
Our RabMAb® technology is a patented hybridoma-based technology for making rabbit monoclonal antibodies. For details on our patents, please refer to RabMAb® patents.

What are the advantages of a recombinant monoclonal antibody?
This product is a recombinant monoclonal antibody, which offers several advantages including:

  • - High batch-to-batch consistency and reproducibility
  • - Improved sensitivity and specificity
  • - Long-term security of supply
  • - Animal-free batch production

For more information, read more on recombinant antibodies.

Properties and storage information

Form
Liquid
Purification technique
Affinity purification Protein A
Storage buffer
pH: 7.2 - 7.4 Preservative: 0.01% Sodium azide Constituents: PBS, 50% Glycerol (glycerin, glycerine), 0.05% BSA
Shipped at conditions
Blue Ice
Appropriate short-term storage duration
1-2 weeks
Appropriate short-term storage conditions
+4°C
Appropriate long-term storage conditions
-20°C
Aliquoting information
Upon delivery aliquot
Storage information
Avoid freeze / thaw cycle

Product protocols

For this product, it's our understanding that no specific protocols are required. You can visit:

Target data

Predominant cell surface sialoprotein of leukocytes which regulates multiple T-cell functions, including T-cell activation, proliferation, differentiation, trafficking and migration. Positively regulates T-cell trafficking to lymph-nodes via its association with ERM proteins (EZR, RDX and MSN) (By similarity). Negatively regulates Th2 cell differentiation and predisposes the differentiation of T-cells towards a Th1 lineage commitment. Promotes the expression of IFN-gamma by T-cells during T-cell receptor (TCR) activation of naive cells and induces the expression of IFN-gamma by CD4(+) T-cells and to a lesser extent by CD8(+) T-cells (PubMed : 18036228). Plays a role in preparing T-cells for cytokine sensing and differentiation into effector cells by inducing the expression of cytokine receptors IFNGR and IL4R, promoting IFNGR and IL4R signaling and by mediating the clustering of IFNGR with TCR (PubMed : 24328034). Acts as a major E-selectin ligand responsible for Th17 cell rolling on activated vasculature and recruitment during inflammation. Mediates Th17 cells, but not Th1 cells, adhesion to E-selectin. Acts as a T-cell counter-receptor for SIGLEC1 (By similarity).. CD43 cytoplasmic tail. Protects cells from apoptotic signals, promoting cell survival.
See full target information SPN

Publications (1)

Recent publications for all applications. Explore the full list and refine your search

Cell death and differentiation 32:1336-1352 PubMed40021897

2025

The Trim32-DPEP2 axis is an inflammatory switch in macrophages during intestinal inflammation.

Applications

Unspecified application

Species

Unspecified reactive species

Zhiyan Zhan,Huisheng Liang,Zhuoqi Zhao,Liya Pan,Jing Li,Yuyun Chen,Zhoulonglong Xie,Zhilong Yan,Ying Xiang,Wenxue Liu,Li Hong
View all publications

Product promise

We are committed to supporting your work with high-quality reagents, and we're here for you every step of the way. In the unlikely event that one of our products does not perform as expected, you're protected by our Product Promise.
For full details, please see our Terms & Conditions

Please note: All products are 'FOR RESEARCH USE ONLY. NOT FOR USE IN DIAGNOSTIC OR THERAPEUTIC PROCEDURES'.

For licensing inquiries, please contact partnerships@abcam.com