JavaScript is disabled in your browser. Please enable JavaScript to view this website.
AB9088

Anti-CD43 antibody [MEM-59]

Be the first to review this product! Submit a review

|

(7 Publications)

Mouse Monoclonal CD43 antibody. Suitable for IHC-P, Flow Cyt and reacts with Human samples. Cited in 7 publications. Immunogen corresponding to Cell preparation containing SPN protein.

View Alternative Names

CD43, SPN, Leukosialin, GPL115, Galactoglycoprotein, Leukocyte sialoglycoprotein, Sialophorin, GALGP

2 Images
Flow Cytometry - Anti-CD43 antibody [MEM-59] (AB9088)
  • Flow Cyt

Supplier Data

Flow Cytometry - Anti-CD43 antibody [MEM-59] (AB9088)

Flow cytometric analysis of Human Peripheral Blood cells labelling CD43 with ab9088 at 2 ug/ml showing separation of human CD43 positive lymphocytes (red-filled) from human CD43 negative blood debris (black-dashed).

Immunohistochemistry (Formalin/PFA-fixed paraffin-embedded sections) - Anti-CD43 antibody [MEM-59] (AB9088)
  • IHC-P

Supplier Data

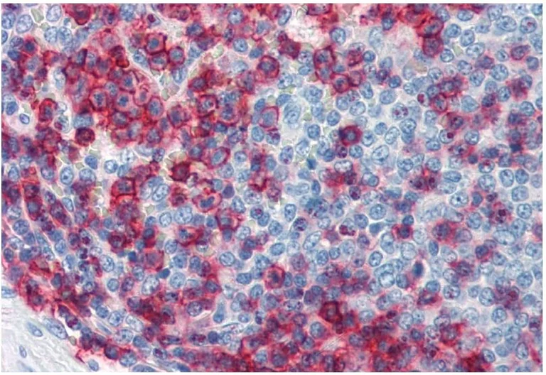
Immunohistochemistry (Formalin/PFA-fixed paraffin-embedded sections) - Anti-CD43 antibody [MEM-59] (AB9088)

Immunohistochemical analysis of Paraffin-embedded sections Human Spleen tissue labelling CD43 with ab9088.

Key facts

Host species

Mouse

Clonality

Monoclonal

Clone number

MEM-59

Isotype

IgG1

Carrier free

No

Reacts with

Human

Applications

IHC-P, Flow Cyt

applications

Immunogen

Cell preparation containing SPN protein. The exact immunogen used to generate this antibody is proprietary information.

P16150

Specificity

Recognizes neuraminidase-sensitive epitope on human CD43 molecule (Leukosialin), which is involved in lymphocyte activation.

Reactivity data

{ "title": "Reactivity Data", "filters": { "stats": ["", "Species", "Dilution Info", "Notes"], "tabs": { "all-applications": {"fullname" : "All Applications", "shortname": "All Applications"}, "IHCP" : {"fullname" : "Immunohistochemistry (Formalin/PFA-fixed paraffin-embedded sections)", "shortname":"IHC-P"}, "FlowCyt" : {"fullname" : "Flow Cytometry", "shortname":"Flow Cyt"} }, "product-promise": { "all": "all", "testedAndGuaranteed": "tested", "guaranteed": "expected", "predicted": "predicted", "notRecommended": "not-recommended" } }, "values": { "Human": { "IHCP-species-checked": "guaranteed", "IHCP-species-dilution-info": "10 µg/mL", "IHCP-species-notes": "<p></p>", "FlowCyt-species-checked": "testedAndGuaranteed", "FlowCyt-species-dilution-info": "1-5 µg/mL", "FlowCyt-species-notes": "<p></p>" } } }

Properties and storage information

Form
Liquid
Purification technique
Affinity purification Protein A
Purification notes
Purified from TCS. Purity >95% by SDS-PAGE.
Storage buffer
pH: 7.4 Preservative: 0.097% Sodium azide Constituents: PBS
Shipped at conditions
Blue Ice
Appropriate short-term storage duration
1-2 weeks
Appropriate short-term storage conditions
+4°C
Appropriate long-term storage conditions
-20°C
Aliquoting information
Upon delivery aliquot
Storage information
Avoid freeze / thaw cycle

Product protocols

For this product, it's our understanding that no specific protocols are required. You can visit:

Target data

Predominant cell surface sialoprotein of leukocytes which regulates multiple T-cell functions, including T-cell activation, proliferation, differentiation, trafficking and migration. Positively regulates T-cell trafficking to lymph-nodes via its association with ERM proteins (EZR, RDX and MSN) (By similarity). Negatively regulates Th2 cell differentiation and predisposes the differentiation of T-cells towards a Th1 lineage commitment. Promotes the expression of IFN-gamma by T-cells during T-cell receptor (TCR) activation of naive cells and induces the expression of IFN-gamma by CD4(+) T-cells and to a lesser extent by CD8(+) T-cells (PubMed : 18036228). Plays a role in preparing T-cells for cytokine sensing and differentiation into effector cells by inducing the expression of cytokine receptors IFNGR and IL4R, promoting IFNGR and IL4R signaling and by mediating the clustering of IFNGR with TCR (PubMed : 24328034). Acts as a major E-selectin ligand responsible for Th17 cell rolling on activated vasculature and recruitment during inflammation. Mediates Th17 cells, but not Th1 cells, adhesion to E-selectin. Acts as a T-cell counter-receptor for SIGLEC1 (By similarity).. CD43 cytoplasmic tail. Protects cells from apoptotic signals, promoting cell survival.
See full target information SPN

Publications (7)

Recent publications for all applications. Explore the full list and refine your search

The EMBO journal 40:e105492 PubMed33709510

2021

Unbiased proteomic profiling of host cell extracellular vesicle composition and dynamics upon HIV-1 infection.

Applications

Unspecified application

Species

Unspecified reactive species

Lorena Martin-Jaular,Nathalie Nevo,Julia P Schessner,Mercedes Tkach,Mabel Jouve,Florent Dingli,Damarys Loew,Kenneth W Witwer,Matias Ostrowski,Georg H H Borner,Clotilde Théry

Proceedings of the National Academy of Sciences of the United States of America 118: PubMed33495350

2021

Genome-wide CRISPR screens reveal a specific ligand for the glycan-binding immune checkpoint receptor Siglec-7.

Applications

Unspecified application

Species

Unspecified reactive species

Simon Wisnovsky,Leonhard Möckl,Stacy A Malaker,Kayvon Pedram,Gaelen T Hess,Nicholas M Riley,Melissa A Gray,Benjamin A H Smith,Michael C Bassik,W E Moerner,Carolyn R Bertozzi

The Journal of biological chemistry 277:7955-61 PubMed11773067

2002

Molecular mechanisms involved in CD43-mediated apoptosis of TF-1 cells. Roles of transcription Daxx expression, and adhesion molecules.

Applications

Unspecified application

Species

Unspecified reactive species

Lukás Cermák,Sárka Símová,Alexandros Pintzas,Vaclav Horejsí,Ladislav Andera

European journal of immunology 25:1051-5 PubMed7537669

1995

MEM-59 monoclonal antibody detects a CD43 epitope involved in lymphocyte activation.

Applications

Unspecified application

Species

Unspecified reactive species

M Alvarado,C Klassen,J Cerny,V Horejsí,R E Schmidt

European journal of immunology 22:2943-7 PubMed1385156

1992

CD59 molecule: a second ligand for CD2 in T cell adhesion.

Applications

Unspecified application

Species

Unspecified reactive species

M Deckert,J Kubar,D Zoccola,G Bernard-Pomier,P Angelisova,V Horejsi,A Bernard

Molecular immunology 26:153-61 PubMed2918859

1989

Characterization of a broadly expressed human leucocyte surface antigen MEM-43 anchored in membrane through phosphatidylinositol.

Applications

Unspecified application

Species

Unspecified reactive species

I Stefanová,I Hilgert,H Kristofová,R Brown,M G Low,V Horejsí

Folia biologica 34:255-65 PubMed2467832

1988

Characterization of a 95 kDa human leucocyte sialoglycoprotein: its identity with CD43, gpL115, leukosialin and sialophorin.

Applications

Unspecified application

Species

Unspecified reactive species

I Stefanová,I Hilgert,P Angelisová,H Kristofová,V Horejsí
View all publications

Product promise

We are committed to supporting your work with high-quality reagents, and we're here for you every step of the way. In the unlikely event that one of our products does not perform as expected, you're protected by our Product Promise.
For full details, please see our Terms & Conditions

Please note: All products are 'FOR RESEARCH USE ONLY. NOT FOR USE IN DIAGNOSTIC OR THERAPEUTIC PROCEDURES'.

For licensing inquiries, please contact partnerships@abcam.com