JavaScript is disabled in your browser. Please enable JavaScript to view this website.
AB238799

Anti-CD43 antibody [SP55] - BSA and Azide free

Be the first to review this product! Submit a review

|

(1 Publication)

Rabbit Recombinant Monoclonal CD43 antibody. Carrier free. Suitable for WB, IHC-P, ICC/IF, Flow Cyt and reacts with Human samples. Cited in 1 publication.

View Alternative Names

CD43, SPN, Leukosialin, GPL115, Galactoglycoprotein, Leukocyte sialoglycoprotein, Sialophorin, GALGP

6 Images
Immunohistochemistry (Formalin/PFA-fixed paraffin-embedded sections) - Anti-CD43 antibody [SP55] - BSA and Azide free (AB238799)
  • IHC-P

Unknown

Immunohistochemistry (Formalin/PFA-fixed paraffin-embedded sections) - Anti-CD43 antibody [SP55] - BSA and Azide free (AB238799)

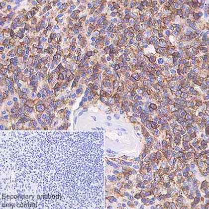
Immunohistochemistry (Formalin/PFA-fixed paraffin-embedded sections) analysis of Human spleen tissue sections labeling CD43 with ab101533 at 1/200 dilution (0.55 μg/ml). Heat mediated antigen retrieval with sodium citrate buffer (pH 6.0, epitope retrieval solution 1) for 10mins. Rabbit specific IHC polymer detection kit HRP/DAB (ab209101) was used as the secondary antibody. Hematoxylin was used as a counterstain. Positive staining on human spleen, performed on a Leica Biosystems BOND™ RX instrument.
The section was incubated with ab101533 for 30 mins at room temperature. This image was generated using ab101533, the same clone, but with a different buffer formulation.

Immunohistochemistry (Formalin/PFA-fixed paraffin-embedded sections) - Anti-CD43 antibody [SP55] - BSA and Azide free (AB238799)
  • IHC-P

Unknown

Immunohistochemistry (Formalin/PFA-fixed paraffin-embedded sections) - Anti-CD43 antibody [SP55] - BSA and Azide free (AB238799)

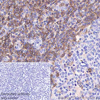
Immunohistochemistry (Formalin/PFA-fixed paraffin-embedded sections) analysis of Human tonsil tissue sections labeling CD43 with ab101533 at 1/200 dilution (0.55 μg/ml). Heat mediated antigen retrieval with sodium citrate buffer (pH 6.0, epitope retrieval solution 1) for 10mins. Rabbit specific IHC polymer detection kit HRP/DAB (ab209101) was used as the secondary antibody. Hematoxylin was used as a counterstain. Positive staining on human tonsil, performed on a Leica Biosystems BOND™ RX instrument.
The section was incubated with ab101533 for 30 mins at room temperature. This image was generated using ab101533, the same clone, but with a different buffer formulation.

Immunocytochemistry/ Immunofluorescence - Anti-CD43 antibody [SP55] - BSA and Azide free (AB238799)
  • ICC/IF

Unknown

Immunocytochemistry/ Immunofluorescence - Anti-CD43 antibody [SP55] - BSA and Azide free (AB238799)

Immunocytochemistry/ Immunofluorescence analysis of IM-9 (human multiple myeloma B Lymphoblast) cells labeling CD43 with purified ab101533 at 1 : 50 (2 µg/ml). Cells were fixed in 4% paraformaldehyde and permeabilized with 0.1% Triton X-100. Cells were counterstained with ab195889 Anti-alpha Tubulin antibody [DM1A] - Microtubule Marker (Alexa Fluor® 594) 1 : 200 (2.5 µg/ml). Goat anti rabbit IgG (Alexa Fluor® 488, ab150077) was used as the secondary antibody at 1 : 1000 (2 µg/ml) dilution. DAPI nuclear counterstain. PBS instead of the primary antibody was used as the secondary antibody only control.This data was developed using the same antibody clone in a different buffer formulation containing PBS, BSA, glycerol, and sodium azide (ab238799)

Immunohistochemistry (Formalin/PFA-fixed paraffin-embedded sections) - Anti-CD43 antibody [SP55] - BSA and Azide free (AB238799)
  • IHC-P

Unknown

Immunohistochemistry (Formalin/PFA-fixed paraffin-embedded sections) - Anti-CD43 antibody [SP55] - BSA and Azide free (AB238799)

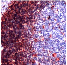
Staining of Human CD43 in a Formalin/PFA-fixed paraffin-embedded section of Human Tonsil using ab101533 at a dilution of 1/200.

This data was developed using the same antibody clone in a different buffer formulation containing PBS, BSA, and sodium azide (ab101533).

Flow Cytometry - Anti-CD43 antibody [SP55] - BSA and Azide free (AB238799)
  • Flow Cyt

Unknown

Flow Cytometry - Anti-CD43 antibody [SP55] - BSA and Azide free (AB238799)

Intracellular Flow Cytometry analysis of IM-9 (human multiple myeloma B Lymphoblast) cells labeling CD43 with purified ab101533 at 1/20 dilution (5.05 μg/ml) - Red. A Goat anti rabbit IgG (Alexa Fluor® 488, ab150081) secondary antibody was used at 1/2000 dilution. Isotype control - Rabbit monoclonal IgG (ab172730) - Black. Unlabeled control - Blue. This data was developed using the same antibody clone in a different buffer formulation containing PBS, BSA, glycerol, and sodium azide (ab238799)

Flow Cytometry - Anti-CD43 antibody [SP55] - BSA and Azide free (AB238799)
  • Flow Cyt

Supplier Data

Flow Cytometry - Anti-CD43 antibody [SP55] - BSA and Azide free (AB238799)

Intracellular flow cytometric analysis of rabbit anti-CD43 (SP55) antibody ab101533 (1/100) in Jurkat cells (green) compared to negative control of rabbit IgG (blue).

This data was developed using the same antibody clone in a different buffer formulation containing PBS, BSA, glycerol, and sodium azide (ab101533).

Key facts

Host species

Rabbit

Clonality

Monoclonal

Clone number

SP55

Isotype

IgG

Carrier free

Yes

Reacts with

Human

Applications

WB, IHC-P, Flow Cyt, ICC/IF

applications

Immunogen

The exact immunogen used to generate this antibody is proprietary information.

Reactivity data

{ "title": "Reactivity Data", "filters": { "stats": ["", "Species", "Dilution Info", "Notes"], "tabs": { "all-applications": {"fullname" : "All Applications", "shortname": "All Applications"}, "WB" : {"fullname" : "Western blot", "shortname":"WB"}, "IHCP" : {"fullname" : "Immunohistochemistry (Formalin/PFA-fixed paraffin-embedded sections)", "shortname":"IHC-P"}, "ICCIF" : {"fullname" : "Immunocytochemistry/ Immunofluorescence", "shortname":"ICC/IF"}, "FlowCyt" : {"fullname" : "Flow Cytometry", "shortname":"Flow Cyt"} }, "product-promise": { "all": "all", "testedAndGuaranteed": "tested", "guaranteed": "expected", "predicted": "predicted", "notRecommended": "not-recommended" } }, "values": { "Human": { "WB-species-checked": "testedAndGuaranteed", "WB-species-dilution-info": "", "WB-species-notes": "<p></p>", "IHCP-species-checked": "testedAndGuaranteed", "IHCP-species-dilution-info": "", "IHCP-species-notes": "<p>Antigen retrieval is recommended: Boil tissue sections in 10mM citrate buffer, pH 6.0 for 10 min followed by cooling at RT for 20 min.</p>", "ICCIF-species-checked": "testedAndGuaranteed", "ICCIF-species-dilution-info": "", "ICCIF-species-notes": "<p></p>", "FlowCyt-species-checked": "testedAndGuaranteed", "FlowCyt-species-dilution-info": "", "FlowCyt-species-notes": "<p><a href='/en-us/products/primary-antibodies/rabbit-igg-monoclonal-epr25a-isotype-control-ab172730'>ab172730</a> - Rabbit monoclonal IgG, is suitable for use as an isotype control with this antibody.</p>" } } }

Product details

ab238799 is the carrier-free version of ab101533.

What are the advantages of a recombinant monoclonal antibody?
This product is a recombinant monoclonal antibody, which offers several advantages including:

  • - High batch-to-batch consistency and reproducibility
  • - Improved sensitivity and specificity
  • - Long-term security of supply
  • - Animal-free batch production

For more information, read more on recombinant antibodies.

Conjugation ready
Our carrier-free antibodies are typically supplied in a PBS-only formulation, purified and free of BSA, sodium azide and glycerol. This conjugation-ready format is designed for use with fluorochromes, metal isotopes, oligonucleotides, and enzymes, which makes them ideal for antibody labelling, functional and cell-based assays, flow-based assays (e.g. mass cytometry) and Multiplex Imaging applications.

Use our conjugation kits for antibody conjugates that are ready-to-use in as little as 20 minutes with 1 minute hands-on-time and 100% antibody recovery: available for fluorescent dyes, HRP, biotin and gold.

Compatibility
This product is compatible with the Maxpar® Antibody Labeling Kit from Fluidigm, without the need for antibody preparation. Maxpar® is a trademark of Fluidigm Canada Inc.

Properties and storage information

Form
Liquid
Purification technique
Affinity purification Protein A/G
Purification notes
Purified from TCS by protein A/G.
Storage buffer
pH: 7.2 - 7.4 Constituents: PBS
Shipped at conditions
Blue Ice
Appropriate short-term storage conditions
+4°C
Appropriate long-term storage conditions
+4°C
Storage information
Do Not Freeze

Product protocols

For this product, it's our understanding that no specific protocols are required. You can visit:

Target data

Predominant cell surface sialoprotein of leukocytes which regulates multiple T-cell functions, including T-cell activation, proliferation, differentiation, trafficking and migration. Positively regulates T-cell trafficking to lymph-nodes via its association with ERM proteins (EZR, RDX and MSN) (By similarity). Negatively regulates Th2 cell differentiation and predisposes the differentiation of T-cells towards a Th1 lineage commitment. Promotes the expression of IFN-gamma by T-cells during T-cell receptor (TCR) activation of naive cells and induces the expression of IFN-gamma by CD4(+) T-cells and to a lesser extent by CD8(+) T-cells (PubMed : 18036228). Plays a role in preparing T-cells for cytokine sensing and differentiation into effector cells by inducing the expression of cytokine receptors IFNGR and IL4R, promoting IFNGR and IL4R signaling and by mediating the clustering of IFNGR with TCR (PubMed : 24328034). Acts as a major E-selectin ligand responsible for Th17 cell rolling on activated vasculature and recruitment during inflammation. Mediates Th17 cells, but not Th1 cells, adhesion to E-selectin. Acts as a T-cell counter-receptor for SIGLEC1 (By similarity).. CD43 cytoplasmic tail. Protects cells from apoptotic signals, promoting cell survival.
See full target information SPN

Publications (1)

Recent publications for all applications. Explore the full list and refine your search

Cell reports. Medicine 2:100166 PubMed33521697

2021

A distinct innate immune signature marks progression from mild to severe COVID-19.

Applications

Unspecified application

Species

Unspecified reactive species

Stéphane Chevrier,Yves Zurbuchen,Carlo Cervia,Sarah Adamo,Miro E Raeber,Natalie de Souza,Sujana Sivapatham,Andrea Jacobs,Esther Bachli,Alain Rudiger,Melina Stüssi-Helbling,Lars C Huber,Dominik J Schaer,Jakob Nilsson,Onur Boyman,Bernd Bodenmiller
View all publications

Product promise

We are committed to supporting your work with high-quality reagents, and we're here for you every step of the way. In the unlikely event that one of our products does not perform as expected, you're protected by our Product Promise.
For full details, please see our Terms & Conditions

Please note: All products are 'FOR RESEARCH USE ONLY. NOT FOR USE IN DIAGNOSTIC OR THERAPEUTIC PROCEDURES'.

For licensing inquiries, please contact partnerships@abcam.com