JavaScript is disabled in your browser. Please enable JavaScript to view this website.
AB257315

Anti-CD43 antibody [SPN/3388]

Be the first to review this product! Submit a review

|

(2 Publications)

Mouse Monoclonal CD43 antibody. Suitable for IHC-P, Flow Cyt, ICC/IF and reacts with Human samples. Cited in 2 publications. Immunogen corresponding to Recombinant Full Length Protein corresponding to Human SPN.

View Alternative Names

CD43, SPN, Leukosialin, GPL115, Galactoglycoprotein, Leukocyte sialoglycoprotein, Sialophorin, GALGP

3 Images
Immunocytochemistry/ Immunofluorescence - Anti-CD43 antibody [SPN/3388] (AB257315)
  • ICC/IF

Supplier Data

Immunocytochemistry/ Immunofluorescence - Anti-CD43 antibody [SPN/3388] (AB257315)

K562 (human chronic myelogenous leukemia cell line from bone marrow) cells labeling CD43 using ab257315 at 2 μg/ml, followed by Goat anti-Mouse IgG CF488 (green) in ICC/IF.

Ther nuclear counterstain is NucSpot Live 650 (red).

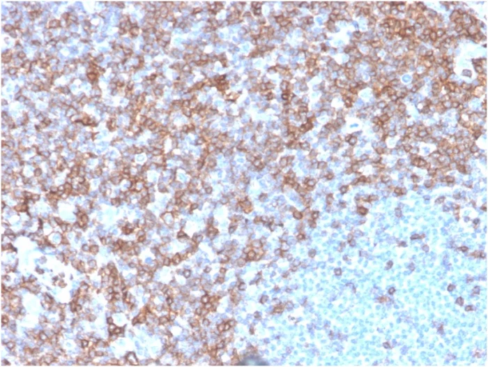
Immunohistochemistry (Formalin/PFA-fixed paraffin-embedded sections) - Anti-CD43 antibody [SPN/3388] (AB257315)
  • IHC-P

Supplier Data

Immunohistochemistry (Formalin/PFA-fixed paraffin-embedded sections) - Anti-CD43 antibody [SPN/3388] (AB257315)

Formalin-fixed, Paraffin-embedded human spleeen tissue labeling CD43 using ab257315 at 2 μg/ml in immunohistochemical analysis.

Staining of formalin-fixed tissues requires boiling tissue sections in 10mM citrate buffer, pH 6.0, for 10-20 min followed by cooling at RT for 20 minutes.

Flow Cytometry - Anti-CD43 antibody [SPN/3388] (AB257315)
  • Flow Cyt

Supplier Data

Flow Cytometry - Anti-CD43 antibody [SPN/3388] (AB257315)

Paraformadehyde-fixed K562 (human chronic myelogenous leukemia cell line from bone marrow) cells labeling CD43 using ab257315 at 2 μg / 106 cells, followed by Goat anti-Mouse IgG CF488 (blue) as compared to an isotype control (red) in flow cytometric analysis.

Key facts

Host species

Mouse

Clonality

Monoclonal

Clone number

SPN/3388

Isotype

IgG1

Light chain type

kappa

Carrier free

No

Reacts with

Human

Applications

Flow Cyt, ICC/IF, IHC-P

applications

Immunogen

Recombinant Full Length Protein corresponding to Human SPN.

P16150

Reactivity data

{ "title": "Reactivity Data", "filters": { "stats": ["", "Species", "Dilution Info", "Notes"], "tabs": { "all-applications": {"fullname" : "All Applications", "shortname": "All Applications"}, "IHCP" : {"fullname" : "Immunohistochemistry (Formalin/PFA-fixed paraffin-embedded sections)", "shortname":"IHC-P"}, "FlowCyt" : {"fullname" : "Flow Cytometry", "shortname":"Flow Cyt"}, "ICCIF" : {"fullname" : "Immunocytochemistry/ Immunofluorescence", "shortname":"ICC/IF"} }, "product-promise": { "all": "all", "testedAndGuaranteed": "tested", "guaranteed": "expected", "predicted": "predicted", "notRecommended": "not-recommended" } }, "values": { "Human": { "IHCP-species-checked": "testedAndGuaranteed", "IHCP-species-dilution-info": "1-2 µg/mL", "IHCP-species-notes": "<p>Incubate with primary antibody for 30 minutes at room temperature.</p> Perform heat-mediated antigen retrieval with citrate buffer pH 6 before commencing with IHC staining protocol.", "FlowCyt-species-checked": "testedAndGuaranteed", "FlowCyt-species-dilution-info": "1-2 µg for 10^6 Cells", "FlowCyt-species-notes": "<p></p>", "ICCIF-species-checked": "testedAndGuaranteed", "ICCIF-species-dilution-info": "1-2 µg/mL", "ICCIF-species-notes": "<p></p>" } } }

Properties and storage information

Form
Liquid
Purification technique
Affinity purification Protein A/G
Purification notes
Purified from bioreactor concentrate.
Storage buffer
pH: 7.2 - 7.4 Preservative: 0.05% Sodium azide Constituents: PBS, 0.05% BSA
Shipped at conditions
Blue Ice
Appropriate short-term storage duration
1-2 weeks
Appropriate short-term storage conditions
+4°C
Appropriate long-term storage conditions
-20°C
Aliquoting information
Upon delivery aliquot
Storage information
Avoid freeze / thaw cycle

Product protocols

For this product, it's our understanding that no specific protocols are required. You can visit:

Target data

Predominant cell surface sialoprotein of leukocytes which regulates multiple T-cell functions, including T-cell activation, proliferation, differentiation, trafficking and migration. Positively regulates T-cell trafficking to lymph-nodes via its association with ERM proteins (EZR, RDX and MSN) (By similarity). Negatively regulates Th2 cell differentiation and predisposes the differentiation of T-cells towards a Th1 lineage commitment. Promotes the expression of IFN-gamma by T-cells during T-cell receptor (TCR) activation of naive cells and induces the expression of IFN-gamma by CD4(+) T-cells and to a lesser extent by CD8(+) T-cells (PubMed : 18036228). Plays a role in preparing T-cells for cytokine sensing and differentiation into effector cells by inducing the expression of cytokine receptors IFNGR and IL4R, promoting IFNGR and IL4R signaling and by mediating the clustering of IFNGR with TCR (PubMed : 24328034). Acts as a major E-selectin ligand responsible for Th17 cell rolling on activated vasculature and recruitment during inflammation. Mediates Th17 cells, but not Th1 cells, adhesion to E-selectin. Acts as a T-cell counter-receptor for SIGLEC1 (By similarity).. CD43 cytoplasmic tail. Protects cells from apoptotic signals, promoting cell survival.
See full target information SPN

Publications (2)

Recent publications for all applications. Explore the full list and refine your search

Archives of dermatological research 316:382 PubMed38850312

2024

Aberrant expression of B7-H4 and B7-H5 contributes to the development of cutaneous squamous cell carcinoma.

Applications

Unspecified application

Species

Unspecified reactive species

Lu Chen,Bin Zhou,Minhui Tang,Yuxu Yao,Yue Zhao,Ying Hu,Yuxin Lin,Jiang Ji,Qingqing Jiao

Advanced science (Weinheim, Baden-Wurttemberg, Germany) 10:e2204565 PubMed36709495

2023

Single-Cell Transcriptomic Analysis of Primary and Metastatic Tumor Ecosystems in Esophageal Squamous Cell Carcinoma.

Applications

Unspecified application

Species

Unspecified reactive species

Yongxu Jia,Baifeng Zhang,Chunyang Zhang,Dora Lai-Wan Kwong,Zhiwei Chang,Shanshan Li,Zehua Wang,Huiqiong Han,Jing Li,Yali Zhong,Xin Sui,Li Fu,Xinyuan Guan,Yanru Qin
View all publications

Product promise

We are committed to supporting your work with high-quality reagents, and we're here for you every step of the way. In the unlikely event that one of our products does not perform as expected, you're protected by our Product Promise.
For full details, please see our Terms & Conditions

Please note: All products are 'FOR RESEARCH USE ONLY. NOT FOR USE IN DIAGNOSTIC OR THERAPEUTIC PROCEDURES'.

For licensing inquiries, please contact partnerships@abcam.com