JavaScript is disabled in your browser. Please enable JavaScript to view this website.
AB257326

Anti-CD43 antibody [SPN/3388] - BSA and Azide free

Be the first to review this product! Submit a review

|

(1 Publication)

Mouse Monoclonal CD43 antibody. Carrier free. Suitable for IHC-P, Flow Cyt, ICC/IF and reacts with Human samples. Cited in 1 publication. Immunogen corresponding to Recombinant Full Length Protein corresponding to Human SPN.

View Alternative Names

CD43, SPN, Leukosialin, GPL115, Galactoglycoprotein, Leukocyte sialoglycoprotein, Sialophorin, GALGP

3 Images
Flow Cytometry - Anti-CD43 antibody [SPN/3388] - BSA and Azide free (AB257326)
  • Flow Cyt

Supplier Data

Flow Cytometry - Anti-CD43 antibody [SPN/3388] - BSA and Azide free (AB257326)

Paraformadehyde-fixed K562 (human chronic myelogenous leukemia cell line from bone marrow) cells labeling CD43 using ab257315 at 2 μg / 106 cells (blue) as compared to an isotype control (red) in flow cytometric analysis.

This data was produced with ab257315, the same antibody in a different formulation with BSA and Azide.

Immunocytochemistry/ Immunofluorescence - Anti-CD43 antibody [SPN/3388] - BSA and Azide free (AB257326)
  • ICC/IF

Supplier Data

Immunocytochemistry/ Immunofluorescence - Anti-CD43 antibody [SPN/3388] - BSA and Azide free (AB257326)

K562 (human chronic myelogenous leukemia cell line from bone marrow) cells labeling CD43 using ab257315 at 2 μg/ml (green) in ICC/IF.

The nuclear counterstain is NucSpot Live 650 (red).

This data was produced with ab257315, the same antibody in a different formulation with BSA and Azide.

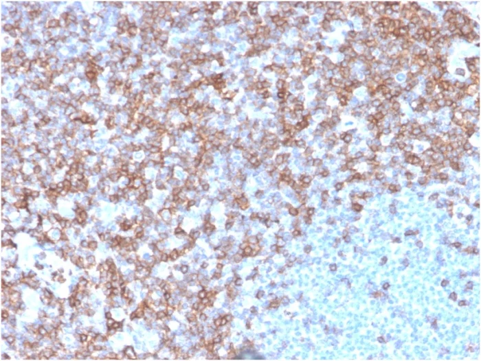
Immunohistochemistry (Formalin/PFA-fixed paraffin-embedded sections) - Anti-CD43 antibody [SPN/3388] - BSA and Azide free (AB257326)
  • IHC-P

Supplier Data

Immunohistochemistry (Formalin/PFA-fixed paraffin-embedded sections) - Anti-CD43 antibody [SPN/3388] - BSA and Azide free (AB257326)

Formalin-fixed, Paraffin-embedded human spleeen tissue labeling CD43 using ab257315 at 2 μg/ml in immunohistochemical analysis.

Staining of formalin-fixed tissues requires boiling tissue sections in 10mM citrate buffer, pH 6.0, for 10-20 min followed by cooling at RT for 20 minutes.

This data was produced with ab257315, the same antibody in a different formulation with BSA and Azide.

Key facts

Host species

Mouse

Clonality

Monoclonal

Clone number

SPN/3388

Isotype

IgG1

Light chain type

kappa

Carrier free

Yes

Reacts with

Human

Applications

ICC/IF, IHC-P, Flow Cyt

applications

Immunogen

Recombinant Full Length Protein corresponding to Human SPN.

P16150

Reactivity data

{ "title": "Reactivity Data", "filters": { "stats": ["", "Species", "Dilution Info", "Notes"], "tabs": { "all-applications": {"fullname" : "All Applications", "shortname": "All Applications"}, "IHCP" : {"fullname" : "Immunohistochemistry (Formalin/PFA-fixed paraffin-embedded sections)", "shortname":"IHC-P"}, "FlowCyt" : {"fullname" : "Flow Cytometry", "shortname":"Flow Cyt"}, "ICCIF" : {"fullname" : "Immunocytochemistry/ Immunofluorescence", "shortname":"ICC/IF"} }, "product-promise": { "all": "all", "testedAndGuaranteed": "tested", "guaranteed": "expected", "predicted": "predicted", "notRecommended": "not-recommended" } }, "values": { "Human": { "IHCP-species-checked": "testedAndGuaranteed", "IHCP-species-dilution-info": "1-2 µg/mL", "IHCP-species-notes": "<p>Incubate with primary antibody for 30 minutes at room temperature.</p> Perform heat-mediated antigen retrieval with citrate buffer pH 6 before commencing with IHC staining protocol.", "FlowCyt-species-checked": "testedAndGuaranteed", "FlowCyt-species-dilution-info": "1-2 µg for 10^6 Cells", "FlowCyt-species-notes": "<p></p>", "ICCIF-species-checked": "testedAndGuaranteed", "ICCIF-species-dilution-info": "1-2 µg/mL", "ICCIF-species-notes": "<p></p>" } } }

Product details

ab257326 is the carrier-free version of ab257315.

Conjugation ready
Our carrier-free antibodies are typically supplied in a PBS-only formulation, purified and free of BSA, sodium azide and glycerol. This conjugation-ready format is designed for use with fluorochromes, metal isotopes, oligonucleotides, and enzymes, which makes them ideal for antibody labelling, functional and cell-based assays, flow-based assays (e.g. mass cytometry) and Multiplex Imaging applications.

Use our conjugation kits for antibody conjugates that are ready-to-use in as little as 20 minutes with 1 minute hands-on-time and 100% antibody recovery: available for fluorescent dyes, HRP, biotin and gold.

Properties and storage information

Form
Liquid
Purification technique
Affinity purification Protein A/G
Purification notes
Purified from bioreactor concentrate.
Storage buffer
pH: 7.2 - 7.4 Constituents: PBS
Shipped at conditions
Blue Ice
Appropriate short-term storage duration
1-2 weeks
Appropriate short-term storage conditions
+4°C
Appropriate long-term storage conditions
-20°C
Aliquoting information
Upon delivery aliquot
Storage information
Avoid freeze / thaw cycle

Product protocols

For this product, it's our understanding that no specific protocols are required. You can visit:

Target data

Predominant cell surface sialoprotein of leukocytes which regulates multiple T-cell functions, including T-cell activation, proliferation, differentiation, trafficking and migration. Positively regulates T-cell trafficking to lymph-nodes via its association with ERM proteins (EZR, RDX and MSN) (By similarity). Negatively regulates Th2 cell differentiation and predisposes the differentiation of T-cells towards a Th1 lineage commitment. Promotes the expression of IFN-gamma by T-cells during T-cell receptor (TCR) activation of naive cells and induces the expression of IFN-gamma by CD4(+) T-cells and to a lesser extent by CD8(+) T-cells (PubMed : 18036228). Plays a role in preparing T-cells for cytokine sensing and differentiation into effector cells by inducing the expression of cytokine receptors IFNGR and IL4R, promoting IFNGR and IL4R signaling and by mediating the clustering of IFNGR with TCR (PubMed : 24328034). Acts as a major E-selectin ligand responsible for Th17 cell rolling on activated vasculature and recruitment during inflammation. Mediates Th17 cells, but not Th1 cells, adhesion to E-selectin. Acts as a T-cell counter-receptor for SIGLEC1 (By similarity).. CD43 cytoplasmic tail. Protects cells from apoptotic signals, promoting cell survival.
See full target information SPN

Publications (1)

Recent publications for all applications. Explore the full list and refine your search

Cancer immunology, immunotherapy : CII 73:78 PubMed38554152

2024

Lipid droplets-related Perilipin-3: potential immune checkpoint and oncogene in oral squamous cell carcinoma.

Applications

Unspecified application

Species

Unspecified reactive species

Yijia He,Lingyun Liu,Yuexin Dong,Xiaoxin Zhang,Yuxian Song,Yue Jing,Yanhong Ni,Yi Wang,Zhiyong Wang,Liang Ding
View all publications

Product promise

We are committed to supporting your work with high-quality reagents, and we're here for you every step of the way. In the unlikely event that one of our products does not perform as expected, you're protected by our Product Promise.
For full details, please see our Terms & Conditions

Please note: All products are 'FOR RESEARCH USE ONLY. NOT FOR USE IN DIAGNOSTIC OR THERAPEUTIC PROCEDURES'.

For licensing inquiries, please contact partnerships@abcam.com