JavaScript is disabled in your browser. Please enable JavaScript to view this website.
AB16728

Anti-CD44 antibody [156-3C11]

4

(3 Reviews)

|

(9 Publications)

Mouse Monoclonal CD44 antibody. Suitable for IHC-P, Flow Cyt, ICC/IF and reacts with Human, Baboon samples. Cited in 9 publications. Immunogen corresponding to Cell preparation containing CD44 protein.

View Alternative Names

CD44, LHR, MDU2, MDU3, MIC4, CD44 antigen, CDw44, Epican, Extracellular matrix receptor III, GP90 lymphocyte homing/adhesion receptor, HUTCH-I, Heparan sulfate proteoglycan, Hermes antigen, Hyaluronate receptor, Phagocytic glycoprotein 1, Phagocytic glycoprotein I, ECMR-III, PGP-1, PGP-I

4 Images
Flow Cytometry - Anti-CD44 antibody [156-3C11] (AB16728)
  • Flow Cyt

Supplier Data

Flow Cytometry - Anti-CD44 antibody [156-3C11] (AB16728)

Human peripheral blood lymphocytes stained with ab16728 (red). Human whole blood was processed using a modified protocol based on Chow et al, 2005 (PMID : 16080188). In brief, human whole blood was fixed in 4% formaldehyde (methanol-free) for 10 min at 22°C. Red blood cells were then lyzed by the addition of Triton X-100 (final concentration - 0.1%) for 15 min at 37°C. For experimentation, cells were treated with 50% methanol (-20°C) for 15 min at 4°C. Cells were then incubated with the antibody (ab16728, 1/1000 dilution) for 30 min at 4°C. The secondary antibody used was Alexa Fluor® 488 goat anti-mouse IgG (H&L) (ab150113) at 1/2000 dilution for 30 min at 4°C. Acquisition of >30,000 total events were collected using a 20mW Argon ion laser (488nm) and 525/30 bandpass filter. Gating strategy - peripheral blood lymphocytes.

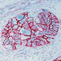
Immunohistochemistry (Formalin/PFA-fixed paraffin-embedded sections) - Anti-CD44 antibody [156-3C11] (AB16728)
  • IHC-P

AbReview5424****

Immunohistochemistry (Formalin/PFA-fixed paraffin-embedded sections) - Anti-CD44 antibody [156-3C11] (AB16728)

ab16728 at 1/50 dilution staining baboon skin tissue sections by Immunohistochemistry (Formalin/PFA-fixed paraffin-embedded sections). The sections were fixed with formaldehyde and blocked with a 1% Hydrogen peroxide / Methanol solution prior to incubation with the antibody for 1 hour. A biotinylated swine anti-goat, mouse, rabbit antibody was used as the secondary.

This image is courtesy of an anonymous Abreview

Immunocytochemistry/ Immunofluorescence - Anti-CD44 antibody [156-3C11] (AB16728)
  • ICC/IF

Unknown

Immunocytochemistry/ Immunofluorescence - Anti-CD44 antibody [156-3C11] (AB16728)

ICC/IF image of ab16728 stained HeLa cells. The cells were 4% formaldehyde fixed (10 min) and then incubated in 1%BSA / 10% normal goat serum / 0.3M glycine in 0.1% PBS-Tween for 1h to permeabilise the cells and block non-specific protein-protein interactions. The cells were then incubated with the antibody (ab16728, 1/100 dilution) overnight at +4°C. The secondary antibody (green) was ab96879, DyLight® 488 goat anti-mouse IgG (H+L) used at a 1/250 dilution for 1h. Alexa Fluor® 594 WGA was used to label plasma membranes (red) at a 1/200 dilution for 1h. DAPI was used to stain the cell nuclei (blue) at a concentration of 1.43µM.

Immunohistochemistry (Formalin/PFA-fixed paraffin-embedded sections) - Anti-CD44 antibody [156-3C11] (AB16728)
  • IHC-P

Unknown

Immunohistochemistry (Formalin/PFA-fixed paraffin-embedded sections) - Anti-CD44 antibody [156-3C11] (AB16728)

ab16728 staining human tonsil by IHC-P.

Key facts

Host species

Mouse

Clonality

Monoclonal

Clone number

156-3C11

Isotype

IgG2a

Carrier free

No

Reacts with

Human, Baboon

Applications

ICC/IF, IHC-P, Flow Cyt

applications

Immunogen

Cell preparation containing CD44 protein. The exact immunogen used to generate this antibody is proprietary information.

P16070

Reactivity data

{ "title": "Reactivity Data", "filters": { "stats": ["", "Species", "Dilution Info", "Notes"], "tabs": { "all-applications": {"fullname" : "All Applications", "shortname": "All Applications"}, "IHCP" : {"fullname" : "Immunohistochemistry (Formalin/PFA-fixed paraffin-embedded sections)", "shortname":"IHC-P"}, "FlowCyt" : {"fullname" : "Flow Cytometry", "shortname":"Flow Cyt"}, "ICCIF" : {"fullname" : "Immunocytochemistry/ Immunofluorescence", "shortname":"ICC/IF"} }, "product-promise": { "all": "all", "testedAndGuaranteed": "tested", "guaranteed": "expected", "predicted": "predicted", "notRecommended": "not-recommended" } }, "values": { "Human": { "IHCP-species-checked": "testedAndGuaranteed", "IHCP-species-dilution-info": "1/25 - 1/75", "IHCP-species-notes": "<p></p> Perform heat-mediated antigen retrieval before commencing with IHC staining protocol.", "FlowCyt-species-checked": "testedAndGuaranteed", "FlowCyt-species-dilution-info": "1/1000", "FlowCyt-species-notes": "<p><a href='/en-us/products/primary-antibodies/mouse-igg2c-kappa-monoclonal-18c8bc7ad10-isotype-control-ab170191'>ab170191</a> - Mouse monoclonal IgG2a, is suitable for use as an isotype control with this antibody.</p>", "ICCIF-species-checked": "testedAndGuaranteed", "ICCIF-species-dilution-info": "1/100", "ICCIF-species-notes": "<p></p>" }, "Baboon": { "IHCP-species-checked": "testedAndGuaranteed", "IHCP-species-dilution-info": "1/25 - 1/75", "IHCP-species-notes": "<p></p> Perform heat-mediated antigen retrieval before commencing with IHC staining protocol.", "FlowCyt-species-checked": "guaranteed", "FlowCyt-species-dilution-info": "", "FlowCyt-species-notes": "", "ICCIF-species-checked": "guaranteed", "ICCIF-species-dilution-info": "", "ICCIF-species-notes": "" } } }

Properties and storage information

Form
Liquid
Purification technique
Affinity purification Protein A
Storage buffer
pH: 7.3 - 7.5 Preservative: 0.05% Sodium azide Constituents: 1% BSA
Shipped at conditions
Blue Ice
Appropriate short-term storage duration
1-2 weeks
Appropriate short-term storage conditions
+4°C
Appropriate long-term storage conditions
-20°C
Storage information
Avoid freeze / thaw cycle

Product protocols

For this product, it's our understanding that no specific protocols are required. You can visit:

Target data

The protein expressed by gene CD44 functions as a cell-surface receptor involved in cell-cell interactions, cell adhesion, and migration, allowing cells to detect and react to changes in their tissue microenvironment. It is implicated in numerous cellular processes, including the activation, recirculation, and homing of T-lymphocytes, hematopoiesis, inflammation, and the response to bacterial infection. Through its ectodomain, CD44 interacts with extracellular matrix components like hyaluronan, collagen, growth factors, cytokines, and proteases, serving as a platform for signal transduction by forming protein complexes with receptor kinases and membrane proteases via its cytoplasmic domain. Effectors such as PKN2, the RhoGTPases RAC1 and RHOA, Rho-kinases, and phospholipase C coordinate signaling pathways that promote calcium mobilization and actin-mediated cytoskeleton reorganization crucial for cell migration and adhesion. This supplementary information is collated from multiple sources and compiled automatically.
See full target information CD44

Publications (9)

Recent publications for all applications. Explore the full list and refine your search

Nature machine intelligence 6:1077-1093 PubMed39309216

2024

Accelerating histopathology workflows with generative AI-based virtually multiplexed tumour profiling.

Applications

Unspecified application

Species

Unspecified reactive species

Pushpak Pati,Sofia Karkampouna,Francesco Bonollo,Eva Compérat,Martina Radić,Martin Spahn,Adriano Martinelli,Martin Wartenberg,Marianna Kruithof-de Julio,Marianna Rapsomaniki

Frontiers in medicine 9:697443 PubMed35223886

2022

Glucocorticoids Inhibit EGFR Signaling Activation in Podocytes in Anti-GBM Crescentic Glomerulonephritis.

Applications

Unspecified application

Species

Unspecified reactive species

Xiaomei Wu,Lu Ren,Qianqian Yang,Hui Song,Qiaoli Tang,Mingchao Zhang,Jiong Zhang,Zheng Tang,Shaolin Shi

Nature communications 12:6867 PubMed34824203

2021

Interrogation of the microenvironmental landscape in spinal ependymomas reveals dual functions of tumor-associated macrophages.

Applications

Unspecified application

Species

Unspecified reactive species

Qianqian Zhang,Sijin Cheng,Yongzhi Wang,Mengdi Wang,Yufeng Lu,Zengqi Wen,Yuxin Ge,Qiang Ma,Youqiao Chen,Yaowu Zhang,Ren Cao,Min Li,Weihao Liu,Bo Wang,Qian Wu,Wenqing Jia,Xiaoqun Wang

International journal of general medicine 14:2191-2204 PubMed34103974

2021

High Levels of Serum IgG for and CD44 Expression Predict Worse Prognosis for Cholangiocarcinoma Patients after Curative Resection.

Applications

Unspecified application

Species

Unspecified reactive species

Attapol Titapun,Vor Luvira,Tharatip Srisuk,Apiwat Jareanrat,Vasin Thanasukarn,Malinee Thanee,Prakasit Sa-Ngiamwibool,Sureerat Padthaisong,Kassaporn Duangkumpha,Manida Suksawat,Watcharin Loilome,Paiboon Sithithaworn,Anchalee Techasen,Bandit Thinkhamrop,Alexa Dzienny,Ayse Caglayan,David Park,Simran Mahmud,Narong Khuntikeo

PloS one 14:e0214654 PubMed30925179

2019

Characterization of pulmonary intimal sarcoma cells isolated from a surgical specimen: In vitro and in vivo study.

Applications

Unspecified application

Species

Unspecified reactive species

Takayuki Jujo Sanada,Seiichiro Sakao,Akira Naito,Hatsue Ishibashi-Ueda,Masaki Suga,Hiroki Shoji,Hideki Miwa,Rika Suda,Shunichiro Iwasawa,Yuji Tada,Keiichi Ishida,Nobuhiro Tanabe,Koichiro Tatsumi

Oncology letters 17:797-806 PubMed30655832

2019

Extracellular matrix differences in glioblastoma patients with different prognoses.

Applications

Unspecified application

Species

Unspecified reactive species

József Virga,László Szivos,Tibor Hortobágyi,Mahan Kouhsari Chalsaraei,Gábor Zahuczky,László Steiner,Judit Tóth,Judit Reményi-Puskár,László Bognár,Almos Klekner

Frontiers in physiology 9:1412 PubMed30364198

2018

The Presence of Urinary Renal Progenitor Cells in Stable Kidney Transplant Recipients Anticipates Allograft Deterioration.

Applications

Unspecified application

Species

Unspecified reactive species

Anna Manonelles,Roser Guiteras,Edoardo Melilli,Elena Lazzeri,Montse Goma,Elena Crespo,Oriol Bestard,Anna Sola,Paola Romagnani,Josep M Cruzado

Clinical journal of the American Society of Nephro 7:1852-8 PubMed22917699

2012

Parietal epithelial cell activation marker in early recurrence of FSGS in the transplant.

Applications

IHC

Species

Human

Huma Fatima,Marcus J Moeller,Bart Smeets,Hai-Chun Yang,Vivette D D'Agati,Charles E Alpers,Agnes B Fogo

Journal of the American Society of Nephrology : JA 22:1262-74 PubMed21719782

2011

Parietal epithelial cells participate in the formation of sclerotic lesions in focal segmental glomerulosclerosis.

Applications

IHC

Species

Human

Bart Smeets,Christoph Kuppe,Eva-Maria Sicking,Astrid Fuss,Peggy Jirak,Toin H van Kuppevelt,Karlhans Endlich,Jack F M Wetzels,Hermann-Josef Gröne,Jürgen Floege,Marcus J Moeller
View all publications

Product promise

We are committed to supporting your work with high-quality reagents, and we're here for you every step of the way. In the unlikely event that one of our products does not perform as expected, you're protected by our Product Promise.
For full details, please see our Terms & Conditions

Please note: All products are 'FOR RESEARCH USE ONLY. NOT FOR USE IN DIAGNOSTIC OR THERAPEUTIC PROCEDURES'.

For licensing inquiries, please contact partnerships@abcam.com