JavaScript is disabled in your browser. Please enable JavaScript to view this website.
AB213072

Anti-CD44 antibody [156-3C11] - BSA and Azide free

Be the first to review this product! Submit a review

|

(1 Publication)

Mouse Monoclonal CD44 antibody. Carrier free. Suitable for IHC-P and reacts with Human, Baboon samples. Cited in 1 publication. Immunogen corresponding to Cell preparation containing CD44 protein.

View Alternative Names

CD44, LHR, MDU2, MDU3, MIC4, CD44 antigen, CDw44, Epican, Extracellular matrix receptor III, GP90 lymphocyte homing/adhesion receptor, HUTCH-I, Heparan sulfate proteoglycan, Hermes antigen, Hyaluronate receptor, Phagocytic glycoprotein 1, Phagocytic glycoprotein I, ECMR-III, PGP-1, PGP-I

2 Images
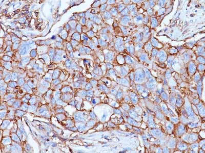
Immunohistochemistry (Formalin/PFA-fixed paraffin-embedded sections) - Anti-CD44 antibody [156-3C11] - BSA and Azide free (AB213072)
  • IHC-P

Supplier Data

Immunohistochemistry (Formalin/PFA-fixed paraffin-embedded sections) - Anti-CD44 antibody [156-3C11] - BSA and Azide free (AB213072)

Immunohistochemical analysis of formalin-fixed, paraffin-embedded Human breast carcinoma tissue labeling CD44 with ab213072 at 0.5 μg/ml.

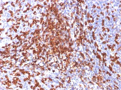
Immunohistochemistry (Formalin/PFA-fixed paraffin-embedded sections) - Anti-CD44 antibody [156-3C11] - BSA and Azide free (AB213072)
  • IHC-P

Supplier Data

Immunohistochemistry (Formalin/PFA-fixed paraffin-embedded sections) - Anti-CD44 antibody [156-3C11] - BSA and Azide free (AB213072)

Immunohistochemical analysis of formalin-fixed, paraffin-embedded Human tonsil tissue labeling CD44 with ab213072 at 0.5 μg/ml.

Key facts

Host species

Mouse

Clonality

Monoclonal

Clone number

156-3C11

Isotype

IgG2

Light chain type

kappa

Carrier free

Yes

Reacts with

Human, Baboon

Applications

IHC-P

applications

Immunogen

Cell preparation containing CD44 protein. The exact immunogen used to generate this antibody is proprietary information.

P16070

Reactivity data

{ "title": "Reactivity Data", "filters": { "stats": ["", "Species", "Dilution Info", "Notes"], "tabs": { "all-applications": {"fullname" : "All Applications", "shortname": "All Applications"}, "IHCP" : {"fullname" : "Immunohistochemistry (Formalin/PFA-fixed paraffin-embedded sections)", "shortname":"IHC-P"} }, "product-promise": { "all": "all", "testedAndGuaranteed": "tested", "guaranteed": "expected", "predicted": "predicted", "notRecommended": "not-recommended" } }, "values": { "Human": { "IHCP-species-checked": "testedAndGuaranteed", "IHCP-species-dilution-info": "0.25-0.5 µg/mL", "IHCP-species-notes": "<p>(Primary incubation for 30 minutes at RT).</p> Perform heat-mediated antigen retrieval with citrate buffer pH 6 before commencing with IHC staining protocol." }, "Baboon": { "IHCP-species-checked": "guaranteed", "IHCP-species-dilution-info": "0.25-0.5 µg/mL", "IHCP-species-notes": "<p>(Primary incubation for 30 minutes at RT).</p> Perform heat-mediated antigen retrieval with citrate buffer pH 6 before commencing with IHC staining protocol." } } }

Properties and storage information

Form
Liquid
Purification technique
Affinity purification Protein A
Purification notes
ab213072 was purified from Bioreactor Concentrate by Protein A/G.
Storage buffer
pH: 7.2 - 7.4 Constituents: PBS
Shipped at conditions
Blue Ice
Appropriate short-term storage duration
1-2 weeks
Appropriate short-term storage conditions
+4°C
Appropriate long-term storage conditions
-20°C
Aliquoting information
Upon delivery aliquot
Storage information
Avoid freeze / thaw cycle

Product protocols

For this product, it's our understanding that no specific protocols are required. You can visit:

Target data

The protein expressed by gene CD44 functions as a cell-surface receptor involved in cell-cell interactions, cell adhesion, and migration, allowing cells to detect and react to changes in their tissue microenvironment. It is implicated in numerous cellular processes, including the activation, recirculation, and homing of T-lymphocytes, hematopoiesis, inflammation, and the response to bacterial infection. Through its ectodomain, CD44 interacts with extracellular matrix components like hyaluronan, collagen, growth factors, cytokines, and proteases, serving as a platform for signal transduction by forming protein complexes with receptor kinases and membrane proteases via its cytoplasmic domain. Effectors such as PKN2, the RhoGTPases RAC1 and RHOA, Rho-kinases, and phospholipase C coordinate signaling pathways that promote calcium mobilization and actin-mediated cytoskeleton reorganization crucial for cell migration and adhesion. This supplementary information is collated from multiple sources and compiled automatically.
See full target information CD44

Publications (1)

Recent publications for all applications. Explore the full list and refine your search

Wound repair and regeneration : official publication of the Wound Healing Society [and] the European Tissue Repair Society 30:376-396 PubMed35384137

2022

Foamy macrophages potentially inhibit tuberculous wound healing by inhibiting the TLRs/NF-κB signalling pathway.

Applications

Unspecified application

Species

Unspecified reactive species

Peng Wang,Bin Yin,Zexin Zhang,Shuting Mao,Wu Bao,Wenqin Lian,Yueying Fan,Chao Hong,Yingjun Su,Chiyu Jia
View all publications

Product promise

We are committed to supporting your work with high-quality reagents, and we're here for you every step of the way. In the unlikely event that one of our products does not perform as expected, you're protected by our Product Promise.
For full details, please see our Terms & Conditions

Please note: All products are 'FOR RESEARCH USE ONLY. NOT FOR USE IN DIAGNOSTIC OR THERAPEUTIC PROCEDURES'.

For licensing inquiries, please contact partnerships@abcam.com