JavaScript is disabled in your browser. Please enable JavaScript to view this website.
AB216647

Anti-CD44 antibody [EPR1013Y] - BSA and Azide free

1

(1 Review)

|

(40 Publications)

Rabbit Recombinant Monoclonal CD44 antibody. Carrier free. Suitable for IHC-P, WB and reacts with Human samples. Cited in 40 publications.

View Alternative Names

CD44, LHR, MDU2, MDU3, MIC4, CD44 antigen, CDw44, Epican, Extracellular matrix receptor III, GP90 lymphocyte homing/adhesion receptor, HUTCH-I, Heparan sulfate proteoglycan, Hermes antigen, Hyaluronate receptor, Phagocytic glycoprotein 1, Phagocytic glycoprotein I, ECMR-III, PGP-1, PGP-I

10 Images
Immunohistochemistry (Formalin/PFA-fixed paraffin-embedded sections) - Anti-CD44 antibody [EPR1013Y] - BSA and Azide free (AB216647)
  • IHC-P

Unknown

Immunohistochemistry (Formalin/PFA-fixed paraffin-embedded sections) - Anti-CD44 antibody [EPR1013Y] - BSA and Azide free (AB216647)

Immunohistochemical analysis of paraffin-embedded human cervical cancer tissue labeling CD44 with ab51037 at 1/100 dilution followed by goat anti-rabbit IgG H&L (HRP) (ab97051, 1/500). The sample was counter stained with hematoxylin.

This data was developed using the same antibody clone in a different buffer formulation containing PBS, BSA, glycerol, and sodium azide (ab51037).

Immunohistochemistry (Formalin/PFA-fixed paraffin-embedded sections) - Anti-CD44 antibody [EPR1013Y] - BSA and Azide free (AB216647)
  • IHC-P

Unknown

Immunohistochemistry (Formalin/PFA-fixed paraffin-embedded sections) - Anti-CD44 antibody [EPR1013Y] - BSA and Azide free (AB216647)

Immunohistochemical analysis of paraffin-embedded human pancreatic cancer tissue labeling CD44 with ab51037 at 1/100 dilution followed by goat anti-rabbit IgG H&L (HRP) (ab97051, 1/500). The sample was counter stained with hematoxylin.

This data was developed using the same antibody clone in a different buffer formulation containing PBS, BSA, glycerol, and sodium azide (ab51037).

Immunohistochemistry (Formalin/PFA-fixed paraffin-embedded sections) - Anti-CD44 antibody [EPR1013Y] - BSA and Azide free (AB216647)
  • IHC-P

Unknown

Immunohistochemistry (Formalin/PFA-fixed paraffin-embedded sections) - Anti-CD44 antibody [EPR1013Y] - BSA and Azide free (AB216647)

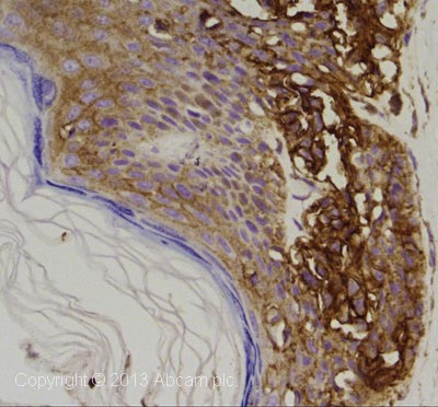
Immunohistochemical analysis of paraffin-embedded human skin tissue labeling CD44 with ab51037 at 1/100 dilution followed by goat anti-rabbit IgG H&L (HRP) (ab97051, 1/500). The sample was counter stained with hematoxylin.

This data was developed using the same antibody clone in a different buffer formulation containing PBS, BSA, glycerol, and sodium azide (ab51037).

Immunohistochemistry (Formalin/PFA-fixed paraffin-embedded sections) - Anti-CD44 antibody [EPR1013Y] - BSA and Azide free (AB216647)
  • IHC-P

Unknown

Immunohistochemistry (Formalin/PFA-fixed paraffin-embedded sections) - Anti-CD44 antibody [EPR1013Y] - BSA and Azide free (AB216647)

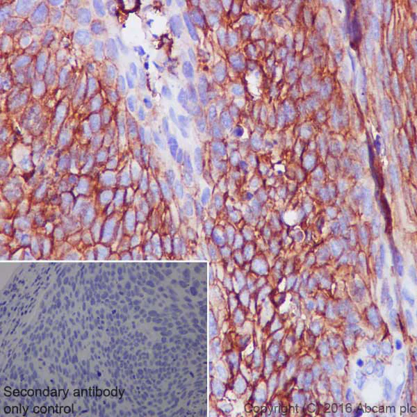
This IHC data was generated using the same anti-CD44 antibody clone, EPR1013Y, in a different buffer formulation (cat# ab51037).

ab51037 (1 : 100) showing positive staining in human Breast carcinoma tissue.

Heat mediated antigen retrieval was performed with citrate buffer pH 6 before commencing with IHC staining protocol.

Immunohistochemistry (Formalin/PFA-fixed paraffin-embedded sections) - Anti-CD44 antibody [EPR1013Y] - BSA and Azide free (AB216647)
  • IHC-P

Unknown

Immunohistochemistry (Formalin/PFA-fixed paraffin-embedded sections) - Anti-CD44 antibody [EPR1013Y] - BSA and Azide free (AB216647)

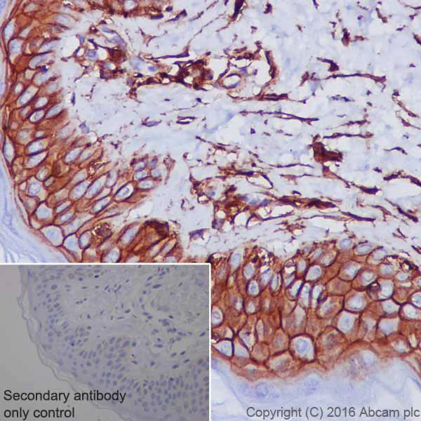
This IHC data was generated using the same anti-CD44 antibody clone, EPR1013Y, in a different buffer formulation (cat# ab51037).

Immunohistochemical analysis of paraffin-embedded human tonsil tissue labeling CD44 with ab51037 at 1/100 dilution followed by goat anti-rabbit IgG H&L (HRP) (ab97051, 1/500). The sample was counter stained with hematoxylin.

Heat mediated antigen retrieval was performed with citrate buffer pH 6 before commencing with IHC staining protocol.

Immunohistochemistry (Formalin/PFA-fixed paraffin-embedded sections) - Anti-CD44 antibody [EPR1013Y] - BSA and Azide free (AB216647)
  • IHC-P

Unknown

Immunohistochemistry (Formalin/PFA-fixed paraffin-embedded sections) - Anti-CD44 antibody [EPR1013Y] - BSA and Azide free (AB216647)

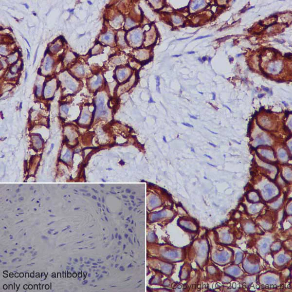
ab51037 (1 : 100) showing positive staining in human Thyroid gland carcinoma tissue.

This data was developed using the same antibody clone in a different buffer formulation containing PBS, BSA, glycerol, and sodium azide (ab51037).

Immunohistochemistry (Formalin/PFA-fixed paraffin-embedded sections) - Anti-CD44 antibody [EPR1013Y] - BSA and Azide free (AB216647)
  • IHC-P

Unknown

Immunohistochemistry (Formalin/PFA-fixed paraffin-embedded sections) - Anti-CD44 antibody [EPR1013Y] - BSA and Azide free (AB216647)

ab51037 (1 : 100) showing positive staining in human Glioma tissue.

This data was developed using the same antibody clone in a different buffer formulation containing PBS, BSA, glycerol, and sodium azide (ab51037).

Western blot - Anti-CD44 antibody [EPR1013Y] - BSA and Azide free (AB216647)
  • WB

Lab

Western blot - Anti-CD44 antibody [EPR1013Y] - BSA and Azide free (AB216647)

This data was developed using the same antibody clone in a different buffer formulation (ab51037).

Lanes 1 - 4 : Merged signal (red and green). Green - ab51037 observed at 80 kDa. Red - loading control, ab8245 (Mouse anti-GAPDH antibody [6C5]) observed at 37kDa.

ab51037 was shown to react with CD44 in wild-type HeLa cells in western blot. Loss of signal was observed when CD44 knockout sample was used. Wild-type HeLa and CD44 knockout cell lysates were subjected to SDS-PAGE. Membranes were blocked in 3% milk in TBS-T (0.1% Tween®) before incubation with ab51037 and ab8245 (Mouse anti-GAPDH antibody [6C5]) overnight at 4°C at a 1 in 5000 dilution and a 1 in 20000 dilution respectively. Blots were incubated with Goat anti-Rabbit IgG H&L (IRDye® 800CW) preabsorbed (ab216773) and Goat anti-Mouse IgG H&L (IRDye® 680RD) preabsorbed (ab216776) secondary antibodies at 1 in 20000 dilution for 1 hour at room temperature before imaging.

All lanes:

Western blot - Anti-CD44 antibody [EPR1013Y] (<a href='/en-us/products/primary-antibodies/cd44-antibody-epr1013y-ab51037'>ab51037</a>) at 1/5000 dilution

Lane 1:

Wild-type HeLa (Human epithelial cell line from cervix adenocarcinoma) whole cell lysate at 20 µg

Lane 2:

CD44 knockout HeLa (Human epithelial cell line from cervix adenocarcinoma) whole cell lysate at 20 µg

Lane 2:

Western blot - Human CD44 knockout HeLa cell line (<a href='/en-us/products/cell-lines/human-cd44-knockout-hela-cell-line-ab262515'>ab262515</a>)

Lane 3:

A549 (Human lung carcinoma cell line) whole cell lysate at 20 µg

Lane 4:

LNCaP (Human prostate cancer cell line) whole cell lysate at 20 µg

Predicted band size: 81 kDa

Observed band size: 80 kDa

false

Western blot - Anti-CD44 antibody [EPR1013Y] - BSA and Azide free (AB216647)
  • WB

Lab

Western blot - Anti-CD44 antibody [EPR1013Y] - BSA and Azide free (AB216647)

False colour image of Western blot : Anti-CD44 antibody [EPR1013Y] staining at 1/5000 dilution, shown in green; Mouse anti-Alpha Tubulin [DM1A] (ab7291) loading control staining at 1/20000 dilution, shown in red. In Western blot, ab51037 was shown to bind specifically to CD44. A band was observed at 75-80 kDa in wild-type HeLa cell lysates with no signal observed at this size in CD44 knockout cell line ab262515 (knockout cell lysate ab263938). To generate this image, wild-type and CD44 knockout HeLa cell lysates were analysed. First, samples were run on an SDS-PAGE gel then transferred onto a nitrocellulose membrane. Membranes were blocked in 3 % milk in TBS-0.1 % Tween® 20 (TBS-T) before incubation with primary antibodies overnight at 4°C. Blots were washed four times in TBS-T, incubated with secondary antibodies for 1 h at room temperature, washed again four times then imaged. Secondary antibodies used were Goat anti-Rabbit IgG H&L (IRDye® 800CW) preabsorbed (ab216773) and Goat anti-Mouse IgG H&L (IRDye® 680RD) preabsorbed (ab216776) at 1/20000 dilution.

All lanes:

Western blot - Anti-CD44 antibody [EPR1013Y] (<a href='/en-us/products/primary-antibodies/cd44-antibody-epr1013y-ab51037'>ab51037</a>) at 1/5000 dilution

Lane 1:

Wild-type HeLa cell lysate at 20 µg

Lane 2:

CD44 knockout HeLa cell lysate at 20 µg

Lane 2:

Western blot - Human CD44 knockout HeLa cell line (<a href='/en-us/products/cell-lines/human-cd44-knockout-hela-cell-line-ab262515'>ab262515</a>)

Lane 3:

A549 cell lysate at 20 µg

Lane 4:

LNCaP cell lysate at 20 µg

Predicted band size: 81 kDa

Observed band size: 75-80 kDa

false

OI-RD Scanning - Anti-CD44 antibody [EPR1013Y] - BSA and Azide free (AB216647)
  • OI-RD Scanning

Unknown

OI-RD Scanning - Anti-CD44 antibody [EPR1013Y] - BSA and Azide free (AB216647)

We have systematically measured KD (the equilibrium dissociation constant between the antibody and its antigen), of more than 840 recombinant antibodies to assess not only their individual KD values but also to see the average affinity of antibody. Based on the comparison with published literature values for mouse monoclonal antibodies, Recombinant antibodies appear to be on average 1-2 order of magnitude higher affinity.

Key facts

Host species

Rabbit

Clonality

Monoclonal

Clone number

EPR1013Y

Isotype

IgG

Carrier free

Yes

Reacts with

Human

Applications

IHC-P, WB

applications

Immunogen

The exact immunogen used to generate this antibody is proprietary information.

Reactivity data

{ "title": "Reactivity Data", "filters": { "stats": ["", "Species", "Dilution Info", "Notes"], "tabs": { "all-applications": {"fullname" : "All Applications", "shortname": "All Applications"}, "ICCIF" : {"fullname" : "Immunocytochemistry/ Immunofluorescence", "shortname":"ICC/IF"}, "IHCP" : {"fullname" : "Immunohistochemistry (Formalin/PFA-fixed paraffin-embedded sections)", "shortname":"IHC-P"}, "IP" : {"fullname" : "Immunoprecipitation", "shortname":"IP"}, "FlowCyt" : {"fullname" : "Flow Cytometry", "shortname":"Flow Cyt"}, "WB" : {"fullname" : "Western blot", "shortname":"WB"} }, "product-promise": { "all": "all", "testedAndGuaranteed": "tested", "guaranteed": "expected", "predicted": "predicted", "notRecommended": "not-recommended" } }, "values": { "Human": { "ICCIF-species-checked": "notRecommended", "ICCIF-species-dilution-info": "", "ICCIF-species-notes": "<p></p>", "IHCP-species-checked": "testedAndGuaranteed", "IHCP-species-dilution-info": "", "IHCP-species-notes": "<p></p>", "IP-species-checked": "notRecommended", "IP-species-dilution-info": "", "IP-species-notes": "<p></p>", "FlowCyt-species-checked": "notRecommended", "FlowCyt-species-dilution-info": "", "FlowCyt-species-notes": "<p></p>", "WB-species-checked": "testedAndGuaranteed", "WB-species-dilution-info": "", "WB-species-notes": "<p></p>" }, "Mouse": { "ICCIF-species-checked": "notRecommended", "ICCIF-species-dilution-info": "", "ICCIF-species-notes": "<p></p>", "IHCP-species-checked": "notRecommended", "IHCP-species-dilution-info": "", "IHCP-species-notes": "<p></p>", "IP-species-checked": "notRecommended", "IP-species-dilution-info": "", "IP-species-notes": "<p></p>", "FlowCyt-species-checked": "notRecommended", "FlowCyt-species-dilution-info": "", "FlowCyt-species-notes": "<p></p>", "WB-species-checked": "notRecommended", "WB-species-dilution-info": "", "WB-species-notes": "<p></p>" }, "Rat": { "ICCIF-species-checked": "notRecommended", "ICCIF-species-dilution-info": "", "ICCIF-species-notes": "<p></p>", "IHCP-species-checked": "notRecommended", "IHCP-species-dilution-info": "", "IHCP-species-notes": "<p></p>", "IP-species-checked": "notRecommended", "IP-species-dilution-info": "", "IP-species-notes": "<p></p>", "FlowCyt-species-checked": "notRecommended", "FlowCyt-species-dilution-info": "", "FlowCyt-species-notes": "<p></p>", "WB-species-checked": "notRecommended", "WB-species-dilution-info": "", "WB-species-notes": "<p></p>" } } }

Product details

ab216647 is the carrier-free version of ab51037.

Patented technology
Our RabMAb® technology is a patented hybridoma-based technology for making rabbit monoclonal antibodies. For details on our patents, please refer to RabMAb® patents.

What are the advantages of a recombinant monoclonal antibody?
This product is a recombinant monoclonal antibody, which offers several advantages including:

  • - High batch-to-batch consistency and reproducibility
  • - Improved sensitivity and specificity
  • - Long-term security of supply
  • - Animal-free batch production

For more information, read more on recombinant antibodies.

Conjugation ready
Our carrier-free antibodies are typically supplied in a PBS-only formulation, purified and free of BSA, sodium azide and glycerol. This conjugation-ready format is designed for use with fluorochromes, metal isotopes, oligonucleotides, and enzymes, which makes them ideal for antibody labelling, functional and cell-based assays, flow-based assays (e.g. mass cytometry) and Multiplex Imaging applications.

Use our conjugation kits for antibody conjugates that are ready-to-use in as little as 20 minutes with 1 minute hands-on-time and 100% antibody recovery: available for fluorescent dyes, HRP, biotin and gold.

Compatibility
This product is compatible with the Maxpar® Antibody Labeling Kit from Fluidigm, without the need for antibody preparation. Maxpar® is a trademark of Fluidigm Canada Inc.

Properties and storage information

Form
Liquid
Purification technique
Affinity purification Protein A
Storage buffer
pH: 7.2 - 7.4 Constituents: PBS
Shipped at conditions
Blue Ice
Appropriate short-term storage conditions
+4°C
Appropriate long-term storage conditions
+4°C
Storage information
Do Not Freeze

Product protocols

For this product, it's our understanding that no specific protocols are required. You can visit:

Target data

The protein expressed by gene CD44 functions as a cell-surface receptor involved in cell-cell interactions, cell adhesion, and migration, allowing cells to detect and react to changes in their tissue microenvironment. It is implicated in numerous cellular processes, including the activation, recirculation, and homing of T-lymphocytes, hematopoiesis, inflammation, and the response to bacterial infection. Through its ectodomain, CD44 interacts with extracellular matrix components like hyaluronan, collagen, growth factors, cytokines, and proteases, serving as a platform for signal transduction by forming protein complexes with receptor kinases and membrane proteases via its cytoplasmic domain. Effectors such as PKN2, the RhoGTPases RAC1 and RHOA, Rho-kinases, and phospholipase C coordinate signaling pathways that promote calcium mobilization and actin-mediated cytoskeleton reorganization crucial for cell migration and adhesion. This supplementary information is collated from multiple sources and compiled automatically.
See full target information CD44

Publications (40)

Recent publications for all applications. Explore the full list and refine your search

iScience 27:110668 PubMed39246442

2024

Multiplex imaging of localized prostate tumors reveals altered spatial organization of AR-positive cells in the microenvironment.

Applications

Unspecified application

Species

Unspecified reactive species

Çiğdem Ak,Zeynep Sayar,Guillaume Thibault,Erik A Burlingame,M J Kuykendall,Jennifer Eng,Alex Chitsazan,Koei Chin,Andrew C Adey,Christopher Boniface,Paul T Spellman,George V Thomas,Ryan P Kopp,Emek Demir,Young Hwan Chang,Vasilis Stavrinides,Sebnem Ece Eksi

Frontiers in oncology 12:781093 PubMed35402219

2022

OCT4 and SOX2 Specific Cytotoxic T Cells Exhibit Not Only Good Efficiency but Also Synergize PD-1 Inhibitor (Nivolumab) in Treating Breast Cancer Stem-Like Cells and Drug-Resistant Breast Cancer Mice.

Applications

Unspecified application

Species

Unspecified reactive species

Wei Peng,Liang Chang,Wenqiang Li,Yanan Liu,Min Zhang

Cell reports. Medicine 3:100525 PubMed35243422

2022

An omic and multidimensional spatial atlas from serial biopsies of an evolving metastatic breast cancer.

Applications

Unspecified application

Species

Unspecified reactive species

Brett E Johnson,Allison L Creason,Jayne M Stommel,Jamie M Keck,Swapnil Parmar,Courtney B Betts,Aurora Blucher,Christopher Boniface,Elmar Bucher,Erik Burlingame,Todd Camp,Koei Chin,Jennifer Eng,Joseph Estabrook,Heidi S Feiler,Michael B Heskett,Zhi Hu,Annette Kolodzie,Ben L Kong,Marilyne Labrie,Jinho Lee,Patrick Leyshock,Souraya Mitri,Janice Patterson,Jessica L Riesterer,Shamilene Sivagnanam,Julia Somers,Damir Sudar,Guillaume Thibault,Benjamin R Weeder,Christina Zheng,Xiaolin Nan,Reid F Thompson,Laura M Heiser,Paul T Spellman,George Thomas,Emek Demir,Young Hwan Chang,Lisa M Coussens,Alexander R Guimaraes,Christopher Corless,Jeremy Goecks,Raymond Bergan,Zahi Mitri,Gordon B Mills,Joe W Gray

International journal of biological sciences 18:1363-1380 PubMed35280694

2022

Cancer-associated adipocytes promote the invasion and metastasis in breast cancer through LIF/CXCLs positive feedback loop.

Applications

Unspecified application

Species

Unspecified reactive species

Chong Zhou,Xi He,Chang Tong,Honghui Li,Caifeng Xie,Yudong Wu,Lieliang Wang,Xiaohua Yan,Daya Luo,Yunpeng Tang,Zhongman Cheng,Xiangyang Xiong

Cell reports methods 1: PubMed34485971

2021

Toward reproducible, scalable, and robust data analysis across multiplex tissue imaging platforms.

Applications

Unspecified application

Species

Unspecified reactive species

Erik A Burlingame,Jennifer Eng,Guillaume Thibault,Koei Chin,Joe W Gray,Young Hwan Chang

Cancer cell international 20:583 PubMed33372595

2020

CD44, a marker of cancer stem cells, is positively correlated with PD-L1 expression and immune cells infiltration in lung adenocarcinoma.

Applications

Unspecified application

Species

Unspecified reactive species

Chenyue Zhang,Hui Wang,Xia Wang,Chenglong Zhao,Haiyong Wang

Applied bionics and biomechanics 2020:8865841 PubMed33343699

2020

Bionic Silk Fibroin Film Induces Morphological Changes and Differentiation of Tendon Stem/Progenitor Cells.

Applications

Unspecified application

Species

Unspecified reactive species

Kang Lu,Xiaodie Chen,Hong Tang,Mei Zhou,Gang He,Juan Liu,Xuting Bian,Yupeng Guo,Fan Lai,Mingyu Yang,Zhisong Lu,Kanglai Tang

Stem cells international 2020:8857380 PubMed33204279

2020

Bionic Silk Fibroin Film Promotes Tenogenic Differentiation of Tendon Stem/Progenitor Cells by Activating Focal Adhesion Kinase.

Applications

Unspecified application

Species

Unspecified reactive species

Kang Lu,Xiaodie Chen,Hong Tang,Mei Zhou,Gang He,Zhisong Lu,Kanglai Tang

PeerJ 8:e9928 PubMed32999767

2020

Mesenchymal stem cell exosomes reverse acute lung injury through Nrf-2/ARE and NF-B signaling pathways.

Applications

Unspecified application

Species

Unspecified reactive species

Jun Li,Xingqi Deng,Xiangling Ji,Xiaojun Shi,Zhiying Ying,Kan Shen,Dongwei Xu,Zhihui Cheng

Cell death & disease 11:542 PubMed32681092

2020

CircAGFG1 drives metastasis and stemness in colorectal cancer by modulating YY1/CTNNB1.

Applications

Unspecified application

Species

Unspecified reactive species

Lei Zhang,Xiaoqiao Dong,Bo Yan,Wenhua Yu,Letian Shan
View all publications

Product promise

We are committed to supporting your work with high-quality reagents, and we're here for you every step of the way. In the unlikely event that one of our products does not perform as expected, you're protected by our Product Promise.
For full details, please see our Terms & Conditions

Please note: All products are 'FOR RESEARCH USE ONLY. NOT FOR USE IN DIAGNOSTIC OR THERAPEUTIC PROCEDURES'.

For licensing inquiries, please contact partnerships@abcam.com