JavaScript is disabled in your browser. Please enable JavaScript to view this website.
AB232556

Anti-CD44 antibody [EPR18668] - BSA and Azide free

Be the first to review this product! Submit a review

|

(2 Publications)

Rabbit Recombinant Monoclonal CD44 antibody. Carrier free. Suitable for IP, WB, IHC-P and reacts with Human, Rat, Mouse samples. Cited in 2 publications.

View Alternative Names

CD44, LHR, MDU2, MDU3, MIC4, CD44 antigen, CDw44, Epican, Extracellular matrix receptor III, GP90 lymphocyte homing/adhesion receptor, HUTCH-I, Heparan sulfate proteoglycan, Hermes antigen, Hyaluronate receptor, Phagocytic glycoprotein 1, Phagocytic glycoprotein I, ECMR-III, PGP-1, PGP-I

14 Images
Immunohistochemistry (Formalin/PFA-fixed paraffin-embedded sections) - Anti-CD44 antibody [EPR18668] - BSA and Azide free (AB232556)
  • IHC-P

Supplier Data

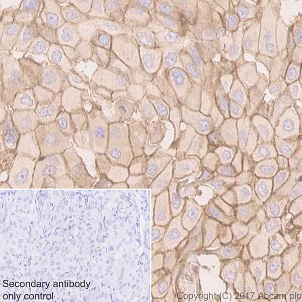
Immunohistochemistry (Formalin/PFA-fixed paraffin-embedded sections) - Anti-CD44 antibody [EPR18668] - BSA and Azide free (AB232556)

Immunohistochemical analysis of paraffin-embedded human breast cancer tissue labeling CD44 with ab189524 at 1/4000 dilution, followed by Goat Anti-Rabbit IgG H&L (HRP) Ready to use. Membranous and weak cytoplasmic staining on human breast cancer [PMID : 15867228].

Counter stained with Hematoxylin.

Secondary antibody only control : Used PBS instead of primary antibody, secondary antibody is Goat Anti-Rabbit IgG H&L (HRP) Ready to use.

This data was developed using the same antibody clone in a different buffer formulation containing PBS, BSA, glycerol, and sodium azide (ab189524).

Immunohistochemistry (Formalin/PFA-fixed paraffin-embedded sections) - Anti-CD44 antibody [EPR18668] - BSA and Azide free (AB232556)
  • IHC-P

Supplier Data

Immunohistochemistry (Formalin/PFA-fixed paraffin-embedded sections) - Anti-CD44 antibody [EPR18668] - BSA and Azide free (AB232556)

This data was developed using ab189524, the same antibody clone in a different buffer formulation.

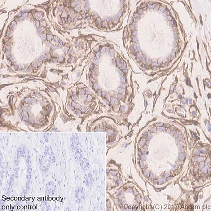
Immunohistochemical analysis of paraffin-embedded human endometrial carcinoma tissue labeling CD44 with ab189524 at 1/8000 dilution (0.099 μg/ml), followed by Goat Anti-Rabbit IgG H&L (HRP) Ready to use. Positive staining on human endometrial carcinoma. The section was incubated with ab189524 at 4°C overnight. Counter stained with Hematoxylin.

Secondary antibody only control : Used PBS instead of primary antibody, secondary antibody is Goat Anti-Rabbit IgG H&L (HRP) Ready to use.

Perform heat mediated antigen retrieval with Tris/EDTA buffer (ab93684) pH 9.0 before commencing with IHC staining protocol.

Immunohistochemistry (Formalin/PFA-fixed paraffin-embedded sections) - Anti-CD44 antibody [EPR18668] - BSA and Azide free (AB232556)
  • IHC-P

Supplier Data

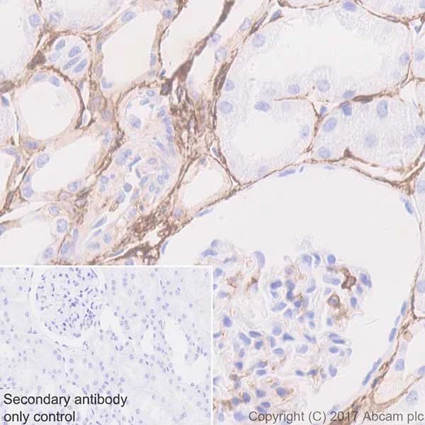
Immunohistochemistry (Formalin/PFA-fixed paraffin-embedded sections) - Anti-CD44 antibody [EPR18668] - BSA and Azide free (AB232556)

Immunohistochemical analysis of paraffin-embedded human kidney tissue labeling CD44 with ab189524 at 1/4000 dilution, followed by Goat Anti-Rabbit IgG H&L (HRP) Ready to use. Membranous and weak cytoplasmic staining on human kidney.

Counter stained with Hematoxylin.

Secondary antibody only control : Used PBS instead of primary antibody, secondary antibody is Goat Anti-Rabbit IgG H&L (HRP) Ready to use.

This data was developed using the same antibody clone in a different buffer formulation containing PBS, BSA, glycerol, and sodium azide (ab189524).

Immunohistochemistry (Formalin/PFA-fixed paraffin-embedded sections) - Anti-CD44 antibody [EPR18668] - BSA and Azide free (AB232556)
  • IHC-P

Supplier Data

Immunohistochemistry (Formalin/PFA-fixed paraffin-embedded sections) - Anti-CD44 antibody [EPR18668] - BSA and Azide free (AB232556)

Immunohistochemical analysis of paraffin-embedded human breast tissue labeling CD44 with ab189524 at 1/4000 dilution, followed by Goat Anti-Rabbit IgG H&L (HRP) Ready to use. Membranous and weak cytoplasmic staining on human breast [PMID : 20103682]. Counter stained with hematoxylin.

Secondary antibody only control : Used PBS instead of primary antibody, secondary antibody is Goat Anti-Rabbit IgG H&L (HRP) Ready to use.

This data was developed using the same antibody clone in a different buffer formulation containing PBS, BSA, glycerol, and sodium azide (ab189524).

Immunohistochemistry (Formalin/PFA-fixed paraffin-embedded sections) - Anti-CD44 antibody [EPR18668] - BSA and Azide free (AB232556)
  • IHC-P

Supplier Data

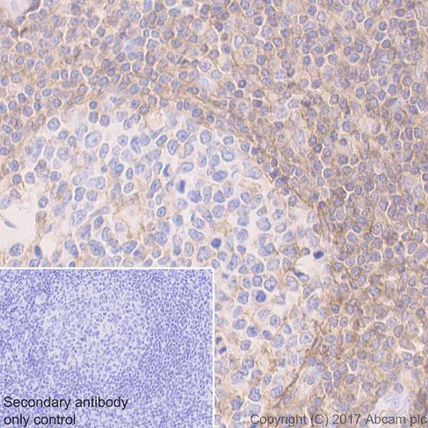
Immunohistochemistry (Formalin/PFA-fixed paraffin-embedded sections) - Anti-CD44 antibody [EPR18668] - BSA and Azide free (AB232556)

Immunohistochemical analysis of paraffin-embedded human tonsil tissue labeling CD44 with ab189524 at 1/4000 dilution, followed by Goat Anti-Rabbit IgG H&L (HRP) Ready to use. Membranous and weak cytoplasmic staining on human tonsil.

Counter stained with Hematoxylin.

Secondary antibody only control : Used PBS instead of primary antibody, secondary antibody is Goat Anti-Rabbit IgG H&L (HRP) Ready to use.

This data was developed using the same antibody clone in a different buffer formulation containing PBS, BSA, glycerol, and sodium azide (ab189524).

Immunoprecipitation - Anti-CD44 antibody [EPR18668] - BSA and Azide free (AB232556)
  • IP

Supplier Data

Immunoprecipitation - Anti-CD44 antibody [EPR18668] - BSA and Azide free (AB232556)

CD44v6 was immunoprecipitated from 1 mg of A549 (Human lung carcinoma cell line) whole cell lysate with ab189524 at 1/25 dilution. Western blot was performed from the immunoprecipitate using ab189524 at 1/1000 dilution. VeriBlot for IP Detection Reagent (HRP) (ab131366), was used for detection at 1/10000 dilution.

Lane 1 : A549 whole cell lysate 10 μg (Input).

Lane 2 : ab189524 IP in A549 whole cell lysate.

Lane 3 : Rabbit monoclonal IgG (ab172730) instead of ab189524 in A549 whole cell lysate.

Blocking and dilution buffer and concentration : 5% NFDM/TBST.

Exposure time : 1 second.

This data was developed using the same antibody clone in a different buffer formulation containing PBS, BSA, glycerol, and sodium azide (ab189524).

All lanes:

Immunoprecipitation - Anti-CD44 antibody [EPR18668] (<a href='/en-us/products/primary-antibodies/cd44-antibody-epr18668-ab189524'>ab189524</a>)

Predicted band size: 81 kDa

false

Immunohistochemistry (Formalin/PFA-fixed paraffin-embedded sections) - Anti-CD44 antibody [EPR18668] - BSA and Azide free (AB232556)
  • IHC-P

Supplier Data

Immunohistochemistry (Formalin/PFA-fixed paraffin-embedded sections) - Anti-CD44 antibody [EPR18668] - BSA and Azide free (AB232556)

Immunohistochemical analysis of paraffin-embedded mouse spleen tissue labeling CD44 with ab189524 at 1/4000 dilution, followed by Goat Anti-Rabbit IgG H&L (HRP) Ready to use. Membranous and weak cytoplasmic staining on mouse spleen.

Counter stained with Hematoxylin.

Secondary antibody only control : Used PBS instead of primary antibody, secondary antibody is Goat Anti-Rabbit IgG H&L (HRP) Ready to use.

This data was developed using the same antibody clone in a different buffer formulation containing PBS, BSA, glycerol, and sodium azide (ab189524).

Immunohistochemistry (Formalin/PFA-fixed paraffin-embedded sections) - Anti-CD44 antibody [EPR18668] - BSA and Azide free (AB232556)
  • IHC-P

Supplier Data

Immunohistochemistry (Formalin/PFA-fixed paraffin-embedded sections) - Anti-CD44 antibody [EPR18668] - BSA and Azide free (AB232556)

Immunohistochemical analysis of paraffin-embedded rat spleen tissue labeling CD44 with ab189524 at 1/4000 dilution, followed by Goat Anti-Rabbit IgG H&L (HRP) Ready to use. Membranous and weak cytoplasmic staining on rat spleen.

Counter stained with Hematoxylin.

Secondary antibody only control : Used PBS instead of primary antibody, secondary antibody is Goat Anti-Rabbit IgG H&L (HRP) Ready to use.

This data was developed using the same antibody clone in a different buffer formulation containing PBS, BSA, glycerol, and sodium azide (ab189524).

Immunohistochemistry (Formalin/PFA-fixed paraffin-embedded sections) - Anti-CD44 antibody [EPR18668] - BSA and Azide free (AB232556)
  • IHC-P

Supplier Data

Immunohistochemistry (Formalin/PFA-fixed paraffin-embedded sections) - Anti-CD44 antibody [EPR18668] - BSA and Azide free (AB232556)

Immunohistochemical analysis of paraffin-embedded mouse stomach tissue labeling CD44 with ab189524 at 1/4000 dilution, followed by Goat Anti-Rabbit IgG H&L (HRP) Ready to use. Membranous and weak cytoplasmic staining on mouse stomach.

Counter stained with Hematoxylin.

Secondary antibody only control : Used PBS instead of primary antibody, secondary antibody is Goat Anti-Rabbit IgG H&L (HRP) Ready to use.

This data was developed using the same antibody clone in a different buffer formulation containing PBS, BSA, glycerol, and sodium azide (ab189524).

Immunohistochemistry (Formalin/PFA-fixed paraffin-embedded sections) - Anti-CD44 antibody [EPR18668] - BSA and Azide free (AB232556)
  • IHC-P

Supplier Data

Immunohistochemistry (Formalin/PFA-fixed paraffin-embedded sections) - Anti-CD44 antibody [EPR18668] - BSA and Azide free (AB232556)

Immunohistochemical analysis of paraffin-embedded rat stomach tissue labeling CD44 with ab189524 at 1/4000 dilution, followed by Goat Anti-Rabbit IgG H&L (HRP) Ready to use. Membranous staining on rat stomach.

Counter stained with Hematoxylin.

Secondary antibody only control : Used PBS instead of primary antibody, secondary antibody is Goat Anti-Rabbit IgG H&L (HRP) Ready to use.

This data was developed using the same antibody clone in a different buffer formulation containing PBS, BSA, glycerol, and sodium azide (ab189524).

Immunohistochemistry (Formalin/PFA-fixed paraffin-embedded sections) - Anti-CD44 antibody [EPR18668] - BSA and Azide free (AB232556)
  • IHC-P

Supplier Data

Immunohistochemistry (Formalin/PFA-fixed paraffin-embedded sections) - Anti-CD44 antibody [EPR18668] - BSA and Azide free (AB232556)

Immunohistochemical analysis of paraffin-embedded mouse colon tissue labeling CD44 with ab189524 at 1/4000 dilution, followed by Goat Anti-Rabbit IgG H&L (HRP) Ready to use. Membranous and weak cytoplasmic staining on mouse colon.

Counter stained with Hematoxylin.

Secondary antibody only control : Used PBS instead of primary antibody, secondary antibody is Goat Anti-Rabbit IgG H&L (HRP) Ready to use.

This data was developed using the same antibody clone in a different buffer formulation containing PBS, BSA, glycerol, and sodium azide (ab189524).

Western blot - Anti-CD44 antibody [EPR18668] - BSA and Azide free (AB232556)
  • WB

Lab

Western blot - Anti-CD44 antibody [EPR18668] - BSA and Azide free (AB232556)

False colour image of Western blot : Anti-CD44 antibody [EPR18668] staining at 1/1000 dilution, shown in green; Mouse anti-Alpha Tubulin [DM1A] (ab7291) loading control staining at 1/20000 dilution, shown in red. In Western blot, ab189524 was shown to bind specifically to CD44. A band was observed at 70-85 kDa in wild-type HeLa cell lysates with no signal observed at this size in CD44 knockout cell line ab262515 (knockout cell lysate ab263938). To generate this image, wild-type and CD44 knockout HeLa cell lysates were analysed. First, samples were run on an SDS-PAGE gel then transferred onto a nitrocellulose membrane. Membranes were blocked in 3 % milk in TBS-0.1 % Tween® 20 (TBS-T) before incubation with primary antibodies overnight at 4 °C. Blots were washed four times in TBS-T, incubated with secondary antibodies for 1 h at room temperature, washed again four times then imaged. Secondary antibodies used were Goat anti-Rabbit IgG H&L (IRDye® 800CW) preabsorbed (ab216773) and Goat anti-Mouse IgG H&L (IRDye® 680RD) preabsorbed (ab216776) at 1/20000 dilution.

All lanes:

Western blot - Anti-CD44 antibody [EPR18668] (<a href='/en-us/products/primary-antibodies/cd44-antibody-epr18668-ab189524'>ab189524</a>) at 1/1000 dilution

Lane 1:

Wild-type HeLa (Human epithelial cell line from cervix adenocarcinoma) whole cell lysate at 20 µg

Lane 2:

CD44 knockout HeLa (Human epithelial cell line from cervix adenocarcinoma) whole cell lysate at 20 µg

Lane 2:

Western blot - Human CD44 knockout HeLa cell line (<a href='/en-us/products/cell-lines/human-cd44-knockout-hela-cell-line-ab262515'>ab262515</a>)

Lane 3:

A549 (Human lung carcinoma cell line) whole cell lysate at 20 µg

Lane 4:

LNCaP (Human prostate cancer cell line) whole cell lysate at 20 µg

Predicted band size: 81 kDa

Observed band size: 70-85 kDa

false

Western blot - Anti-CD44 antibody [EPR18668] - BSA and Azide free (AB232556)
  • WB

Collaborator

Western blot - Anti-CD44 antibody [EPR18668] - BSA and Azide free (AB232556)

This data was developed using the same antibody in a different buffer formulation (ab189524).

ab189524 was shown to react with CD44 in wild-type HAP1 cells in Western blot with loss of signal observed in a CD44 knockout cell line. Wild-type HAP1 and CD44 knockout cell lysates were subjected to SDS-PAGE. Membranes were blocked in 5% milk in TBST for 1 hr before incubation with ab189524 overnight at 4 °C at a 1/1000 dilution. Blots were incubated with goat anti-rabbit HRP secondary antibodies at 0.2ug/mL before imaging. These data were provided by YCharOS Inc., an open science company with the mission of characterizing commercially available antibody reagents for all human proteins. Abcam and YCharOS are working together to help address the reproducibility crisis by enabling the life science community to better evaluate commercially available antibodies.

All lanes:

Western blot - Anti-CD44 antibody [EPR18668] (<a href='/en-us/products/primary-antibodies/cd44-antibody-epr18668-ab189524'>ab189524</a>) at 1/1000 dilution

Lane 1:

Wild-type HAP1 cell lysate at 20 µg

Lane 2:

CD44 knockout HAP1 cell lysate at 20 µg

Predicted band size: 81 kDa

false

Western blot - Anti-CD44 antibody [EPR18668] - BSA and Azide free (AB232556)
  • WB

Lab

Western blot - Anti-CD44 antibody [EPR18668] - BSA and Azide free (AB232556)

This data was developed using the same antibody clone in a different buffer formulation (ab189524).

Lanes 1 - 4 : Merged signal (red and green). Green - ab189524 observed at 80 kDa. Red - loading control, ab7291 (Mouse anti-Alpha Tubulin [DM1A]) observed at 55kDa.

ab189524 was shown to react with CD44 in wild-type HeLa cells in western blot. Loss of signal was observed when CD44 knockout sample was used. Wild-type HeLa and CD44 knockout cell lysates were subjected to SDS-PAGE. Membranes were blocked in 3% milk in TBS-T (0.1% Tween®) before incubation with ab189524 and ab7291 (Mouse anti-Alpha Tubulin [DM1A]) overnight at 4°C at a 1 in 1000 Dilution and a 1 in 20000 dilution respectively. Blots were incubated with Goat anti-Rabbit IgG H&L (IRDye® 800CW) preabsorbed (ab216773) and Goat anti-Mouse IgG H&L (IRDye® 680RD) preabsorbed (ab216776) secondary antibodies at 1 in 20000 dilution for 1 hour at room temperature before imaging.

All lanes:

Western blot - Anti-CD44 antibody [EPR18668] (<a href='/en-us/products/primary-antibodies/cd44-antibody-epr18668-ab189524'>ab189524</a>) at 1/1000 dilution

Lane 1:

Wild-type HeLa (Human epithelial cell line from cervix adenocarcinoma) whole cell lysate at 20 µg

Lane 2:

CD44 knockout HeLa (Human epithelial cell line from cervix adenocarcinoma) whole cell lysate at 20 µg

Lane 2:

Western blot - Human CD44 knockout HeLa cell line (<a href='/en-us/products/cell-lines/human-cd44-knockout-hela-cell-line-ab262515'>ab262515</a>)

Lane 3:

A549 (Human lung carcinoma cell line) whole cell lysate at 20 µg

Lane 4:

LNCaP (Human prostate cancer cell line) whole cell lysate at 20 µg

Predicted band size: 81 kDa

Observed band size: 80 kDa

false

Key facts

Host species

Rabbit

Clonality

Monoclonal

Clone number

EPR18668

Isotype

IgG

Carrier free

Yes

Reacts with

Mouse, Rat, Human

Applications

IP, IHC-P, WB

applications

Immunogen

The exact immunogen used to generate this antibody is proprietary information.

Reactivity data

{ "title": "Reactivity Data", "filters": { "stats": ["", "Species", "Dilution Info", "Notes"], "tabs": { "all-applications": {"fullname" : "All Applications", "shortname": "All Applications"}, "IP" : {"fullname" : "Immunoprecipitation", "shortname":"IP"}, "FlowCyt" : {"fullname" : "Flow Cytometry", "shortname":"Flow Cyt"}, "WB" : {"fullname" : "Western blot", "shortname":"WB"}, "IHCP" : {"fullname" : "Immunohistochemistry (Formalin/PFA-fixed paraffin-embedded sections)", "shortname":"IHC-P"}, "ICCIF" : {"fullname" : "Immunocytochemistry/ Immunofluorescence", "shortname":"ICC/IF"} }, "product-promise": { "all": "all", "testedAndGuaranteed": "tested", "guaranteed": "expected", "predicted": "predicted", "notRecommended": "not-recommended" } }, "values": { "Human": { "IP-species-checked": "testedAndGuaranteed", "IP-species-dilution-info": "", "IP-species-notes": "<p></p>", "FlowCyt-species-checked": "notRecommended", "FlowCyt-species-dilution-info": "", "FlowCyt-species-notes": "<p></p>", "WB-species-checked": "testedAndGuaranteed", "WB-species-dilution-info": "", "WB-species-notes": "<p></p>", "IHCP-species-checked": "testedAndGuaranteed", "IHCP-species-dilution-info": "", "IHCP-species-notes": "<p></p>", "ICCIF-species-checked": "notRecommended", "ICCIF-species-dilution-info": "", "ICCIF-species-notes": "<p></p>" }, "Mouse": { "IP-species-checked": "guaranteed", "IP-species-dilution-info": "", "IP-species-notes": "", "FlowCyt-species-checked": "notRecommended", "FlowCyt-species-dilution-info": "", "FlowCyt-species-notes": "", "WB-species-checked": "testedAndGuaranteed", "WB-species-dilution-info": "", "WB-species-notes": "<p></p>", "IHCP-species-checked": "testedAndGuaranteed", "IHCP-species-dilution-info": "", "IHCP-species-notes": "<p></p>", "ICCIF-species-checked": "notRecommended", "ICCIF-species-dilution-info": "", "ICCIF-species-notes": "" }, "Rat": { "IP-species-checked": "guaranteed", "IP-species-dilution-info": "", "IP-species-notes": "", "FlowCyt-species-checked": "notRecommended", "FlowCyt-species-dilution-info": "", "FlowCyt-species-notes": "", "WB-species-checked": "testedAndGuaranteed", "WB-species-dilution-info": "", "WB-species-notes": "<p></p>", "IHCP-species-checked": "testedAndGuaranteed", "IHCP-species-dilution-info": "", "IHCP-species-notes": "<p></p>", "ICCIF-species-checked": "notRecommended", "ICCIF-species-dilution-info": "", "ICCIF-species-notes": "" } } }

Product details

ab232556 is the carrier-free version of ab189524.

Patented technology
Our RabMAb® technology is a patented hybridoma-based technology for making rabbit monoclonal antibodies. For details on our patents, please refer to RabMAb® patents.

What are the advantages of a recombinant monoclonal antibody?
This product is a recombinant monoclonal antibody, which offers several advantages including:

  • - High batch-to-batch consistency and reproducibility
  • - Improved sensitivity and specificity
  • - Long-term security of supply
  • - Animal-free batch production

For more information, read more on recombinant antibodies.

Conjugation ready
Our carrier-free antibodies are typically supplied in a PBS-only formulation, purified and free of BSA, sodium azide and glycerol. This conjugation-ready format is designed for use with fluorochromes, metal isotopes, oligonucleotides, and enzymes, which makes them ideal for antibody labelling, functional and cell-based assays, flow-based assays (e.g. mass cytometry) and Multiplex Imaging applications.

Use our conjugation kits for antibody conjugates that are ready-to-use in as little as 20 minutes with 1 minute hands-on-time and 100% antibody recovery: available for fluorescent dyes, HRP, biotin and gold.

Compatibility
This product is compatible with the Maxpar® Antibody Labeling Kit from Fluidigm, without the need for antibody preparation. Maxpar® is a trademark of Fluidigm Canada Inc.

Properties and storage information

Form
Liquid
Purification technique
Affinity purification Protein A
Storage buffer
pH: 7.2 - 7.4 Constituents: PBS
Shipped at conditions
Blue Ice
Appropriate short-term storage conditions
+4°C
Appropriate long-term storage conditions
+4°C
Storage information
Do Not Freeze

Product protocols

For this product, it's our understanding that no specific protocols are required. You can visit:

Target data

Cell-surface receptor that plays a role in cell-cell interactions, cell adhesion and migration, helping them to sense and respond to changes in the tissue microenvironment (PubMed : 16541107, PubMed : 19703720, PubMed : 22726066). Participates thereby in a wide variety of cellular functions including the activation, recirculation and homing of T-lymphocytes, hematopoiesis, inflammation and response to bacterial infection (PubMed : 7528188). Engages, through its ectodomain, extracellular matrix components such as hyaluronan/HA, collagen, growth factors, cytokines or proteases and serves as a platform for signal transduction by assembling, via its cytoplasmic domain, protein complexes containing receptor kinases and membrane proteases (PubMed : 18757307, PubMed : 23589287). Such effectors include PKN2, the RhoGTPases RAC1 and RHOA, Rho-kinases and phospholipase C that coordinate signaling pathways promoting calcium mobilization and actin-mediated cytoskeleton reorganization essential for cell migration and adhesion (PubMed : 15123640). Upon interaction with LGALS9 ligand, activates downstream signaling components including LCK, ERK and MAPK to promotes NK cell activation (PubMed : 37006235).. (Microbial infection) Promotes foot-and-mouth disease virus internalization via macropinocytosis.
See full target information CD44

Publications (2)

Recent publications for all applications. Explore the full list and refine your search

Journal of cellular and molecular medicine 26:2089-2103 PubMed35146909

2022

CD44/ERM/F-actin complex mediates targeted nuclear degranulation and excessive neutrophil extracellular trap formation during sepsis.

Applications

Unspecified application

Species

Unspecified reactive species

Yiming Shao,Linbin Li,Lu Liu,Yunxi Yang,Jiamin Huang,Dongdong Ji,Yuying Zhou,Yi Chen,Zhechen Zhu,Bingwei Sun

Iranian journal of basic medical sciences 24:150-159 PubMed33953853

2021

Exercise alleviates cardiac remodelling in diabetic cardiomyopathy via the miR-486a-5p-Mst1 pathway.

Applications

Unspecified application

Species

Unspecified reactive species

Dong Sun,Haichang Wang,Yanhui Su,Jie Lin,Mingming Zhang,Wanrong Man,Xinglong Song,Liang Zhang,Baolin Guo,Kaikai Hao,Dongdong Sun
View all publications

Product promise

We are committed to supporting your work with high-quality reagents, and we're here for you every step of the way. In the unlikely event that one of our products does not perform as expected, you're protected by our Product Promise.
For full details, please see our Terms & Conditions

Please note: All products are 'FOR RESEARCH USE ONLY. NOT FOR USE IN DIAGNOSTIC OR THERAPEUTIC PROCEDURES'.

For licensing inquiries, please contact partnerships@abcam.com