JavaScript is disabled in your browser. Please enable JavaScript to view this website.
AB255946

Anti-CD44 antibody [Hermes-3] - BSA and Azide free

5

(2 Reviews)

|

(0 Publication)

Mouse Recombinant Monoclonal CD44 antibody. Carrier free. Suitable for ICC/IF, IP, ELISA, WB, IHC-P and reacts with Human, Recombinant fragment - Human samples.

View Alternative Names

CD44, LHR, MDU2, MDU3, MIC4, CD44 antigen, CDw44, Epican, Extracellular matrix receptor III, GP90 lymphocyte homing/adhesion receptor, HUTCH-I, Heparan sulfate proteoglycan, Hermes antigen, Hyaluronate receptor, Phagocytic glycoprotein 1, Phagocytic glycoprotein I, ECMR-III, PGP-1, PGP-I

9 Images
Immunocytochemistry/ Immunofluorescence - Anti-CD44 antibody [Hermes-3] - BSA and Azide free (AB255946)
  • ICC/IF

Collaborator

Immunocytochemistry/ Immunofluorescence - Anti-CD44 antibody [Hermes-3] - BSA and Azide free (AB255946)

This data was developed using the same antibody clone in a different buffer formulation (ab254530). ab254530 was shown to react with CD44 in wild-type HAP1 cells in Immunocytochemistry with loss of signal observed in a CD44 knockout cell line. Wild-type and knockout cells were mixed and pelleted at a 1 : 1 ratio on coverslips. The cells were fixed with 4% paraformaldehyde (15 min) then permeabilized with 0.1% Triton X-100 (10min) and then blocked with 1/2000. The cells were then incubated with ab254530 at 1/500 dilution overnight at 4°C followed by a further incubation at room temperature for 1h with a secondary antibody to (Alexa Fluor® 555) at 0.5 μg/ml. Acquisition of the green (wild-type), red (antibody staining) and far-red (knockout) channels was performed. Representative grayscale images of the red channel are shown. Wild-type and knockout cells are outlined with yellow and magenta dashed line, respectively. Schematic representation of the mosaic strategy used is shown on the bottom-right panel. Image was acquired with a Zeiss(LSM-880). These data were provided by YCharOS Inc., an open science company with the mission of characterizing commercially available antibody reagents for all human proteins. Abcam and YCharOS are working together to help address the reproducibility crisis by enabling the life science community to better evaluate commercially available antibodies.

Immunocytochemistry/ Immunofluorescence - Anti-CD44 antibody [Hermes-3] - BSA and Azide free (AB255946)
  • ICC/IF

Lab

Immunocytochemistry/ Immunofluorescence - Anti-CD44 antibody [Hermes-3] - BSA and Azide free (AB255946)

This data was developed using the same antibody clone in a different buffer formulation (ab254530). ab254530 staining CD44 in wild-type HeLa cells (top panel) and CD44 knockout HeLa cells (ab262515)(bottom panel). The cells were fixed with 100% methanol (5 min) then permeabilized with 0.1% Tween for 5 minutes and then blocked with 1% BSA/10% normal goat serum/0.3M glycine in 0.1% PBS-Tween for 1h. The cells were then incubated with ab254530 at 0.4μg/ml concentration and ab6046 (Rabbit polyclonal to beta Tubulin) at 1/1000 dilution overnight at 4°C followed by a further incubation at room temperature for 1h with a goat secondary antibody to mouse IgG (Alexa Fluor® 488) (ab150117) at 2 μg/ml (shown in green) and a goat secondary antibody to rabbit IgG (Alexa Fluor® 594) (ab150080) at 2 μg/ml (shown in red). Nuclear DNA was labelled in blue with DAPI.
Image was taken with a confocal microscope (Leica-Microsystems TCS SP8).

Immunohistochemistry (Formalin/PFA-fixed paraffin-embedded sections) - Anti-CD44 antibody [Hermes-3] - BSA and Azide free (AB255946)
  • IHC-P

Supplier Data

Immunohistochemistry (Formalin/PFA-fixed paraffin-embedded sections) - Anti-CD44 antibody [Hermes-3] - BSA and Azide free (AB255946)

This data was developed using the same antibody clone in a different buffer formulation containing PBS, BSA, Glycerol and sodium azide (ab254530).

Immunohistochemical analysis of paraffin-embedded human bladder carcinoma tissue labeling CD44 with ab254530 at 0.107μg/ml, followed by ready to use secondary. Membranous staining on human bladder carcinoma is observed. The section was incubated with ab254530 for 5 mins at RT. The immunostaining staining was performed on a Leica Biosystems BOND® RX instrument. Counterstained with hematoxylin.
Secondary antibody only control : Used PBS instead of primary antibody, followed by ready to use secondary.

Heat mediated antigen retrieval with Tris-EDTA buffer (pH 9.0, epitope retrieval solution 2) for 20 mins.

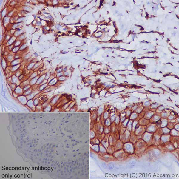
Immunohistochemistry (Formalin/PFA-fixed paraffin-embedded sections) - Anti-CD44 antibody [Hermes-3] - BSA and Azide free (AB255946)
  • IHC-P

AbReview83285****

Immunohistochemistry (Formalin/PFA-fixed paraffin-embedded sections) - Anti-CD44 antibody [Hermes-3] - BSA and Azide free (AB255946)

Immunohistochemistry (Formalin/PFA-fixed paraffin-embedded sections) analysis of human tonsil tissue staining CD44 with ab255946 at 1/200 dilution and co-stained with ab256584. Secondary antibody used was Alexa Fluor® 488 Donkey anti-mouse IgG (H+L)at 1/200 dilution. The tissue was incubated for 18 hours with PBS +2% normal human serum at 4 degrees. Blocking was done with 5% serum for 1 hour at room temperature. Heat mediated antigen retrieval with Tris-EDTA 1mM PH9.

This image is courtesy of an Abreview submitted by Natalie Papazian

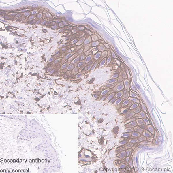
Immunohistochemistry (Formalin/PFA-fixed paraffin-embedded sections) - Anti-CD44 antibody [Hermes-3] - BSA and Azide free (AB255946)
  • IHC-P

Supplier Data

Immunohistochemistry (Formalin/PFA-fixed paraffin-embedded sections) - Anti-CD44 antibody [Hermes-3] - BSA and Azide free (AB255946)

This data was developed using the same antibody clone in a different buffer formulation containing PBS, BSA, Glycerol and sodium azide (ab254530).

Immunohistochemical analysis of paraffin-embedded human skin tissue labeling CD44 with ab254530 at 0.107μg/ml, followed by ready to use secondary. Membranous staining on human skin is observed. The section was incubated with ab254530 for 5 mins at RT. The immunostaining staining was performed on a Leica Biosystems BOND® RX instrument. Counterstained with hematoxylin.
Secondary antibody only control : Used PBS instead of primary antibody, followed by ready to use secondary.

Heat mediated antigen retrieval with Tris-EDTA buffer (pH 9.0, epitope retrieval solution 2) for 20 mins.

ELISA - Anti-CD44 antibody [Hermes-3] - BSA and Azide free (AB255946)
  • ELISA

Supplier Data

ELISA - Anti-CD44 antibody [Hermes-3] - BSA and Azide free (AB255946)

This data was developed using the same antibody clone in a different buffer formulation containing PBS, BSA, Glycerol and sodium azide (ab254530).

ELISA - Anti-CD44 antibody [Hermes-3] (ab254530).

Antigen : Human CD44.

ab254530 used at 1000-0 ng/ml.

Secondary is an Alkaline Phosphatase-conjugated AffiniPure Goat Anti-Mouse IgG (H+L) used at a 1/1000 dilution.

Immunoprecipitation - Anti-CD44 antibody [Hermes-3] - BSA and Azide free (AB255946)
  • IP

Collaborator

Immunoprecipitation - Anti-CD44 antibody [Hermes-3] - BSA and Azide free (AB255946)

This data was developed using the same antibody clone in a different buffer formulation (ab255946). Immunoprecipitation of CD44 in HAP1 cells. Lysates were prepared and immunoprecipitation was performed using 1.0 μg of ab254530 pre-coupled to prot.G-Sepharose beads. Samples were washed and processed for western blot with ab189524 at 1/2000. SM=10% starting material; UB=10% unbound fraction; IP=immunoprecipitate. These data were provided by YCharOS Inc., an open science company with the mission of characterizing commercially available antibody reagents for all human proteins. Abcam and YCharOS are working together to help address the reproducibility crisis by enabling the life science community to better evaluate commercially available antibodies.

All lanes:

Immunoprecipitation - Anti-CD44 antibody [Hermes-3] (<a href='/en-us/products/primary-antibodies/cd44-antibody-hermes-3-ab254530'>ab254530</a>)

Predicted band size: 81 kDa

false

Western blot - Anti-CD44 antibody [Hermes-3] - BSA and Azide free (AB255946)
  • WB

Supplier Data

Western blot - Anti-CD44 antibody [Hermes-3] - BSA and Azide free (AB255946)

This data was developed using the same antibody clone in a different buffer formulation containing PBS, BSA, Glycerol and sodium azide (ab254530).

Blocking/Dilution buffer : 5% NFDM/TBST.

All lanes:

Western blot - Anti-CD44 antibody [Hermes-3] (<a href='/en-us/products/primary-antibodies/cd44-antibody-hermes-3-ab254530'>ab254530</a>) at 0.536 µg/mL

Lane 1:

A549 (human lung carcinoma epithelial cell) whole cell lysate at 20 µg

Lane 2:

HeLa (human cervix adenocarcinoma epithelial cell) whole cell lysate at 20 µg

Secondary

All lanes:

Peroxidase-Conjugated Goat anti-Mouse IgG (H+L) at 1/10000 dilution

Predicted band size: 81 kDa

false

Exposure time: 1s

Western blot - Anti-CD44 antibody [Hermes-3] - BSA and Azide free (AB255946)
  • WB

Collaborator

Western blot - Anti-CD44 antibody [Hermes-3] - BSA and Azide free (AB255946)

This data was developed using the same antibody in a different buffer formulation (ab254530).

ab254530 was shown to react with CD44 in wild-type HAP1 cells in Western blot with loss of signal observed in a CD44 knockout cell line. Wild-type HAP1 and CD44 knockout cell lysates were subjected to SDS-PAGE. Membranes were blocked in 5% milk in TBST for 1 hr before incubation with ab254530 overnight at 4 °C at a 1/1000 dilution. Blots were incubated with goat anti-mouse HRP secondary antibodies at 0.3ug/mL before imaging. These data were provided by YCharOS Inc., an open science company with the mission of characterizing commercially available antibody reagents for all human proteins. Abcam and YCharOS are working together to help address the reproducibility crisis by enabling the life science community to better evaluate commercially available antibodies.

All lanes:

Western blot - Anti-CD44 antibody [Hermes-3] (<a href='/en-us/products/primary-antibodies/cd44-antibody-hermes-3-ab254530'>ab254530</a>) at 1/1000 dilution

Lane 1:

Wild-type HAP1 cell lysate at 20 µg

Lane 2:

CD44 knockout HAP1 cell lysate at 20 µg

Predicted band size: 81 kDa

false

Key facts

Host species

Mouse

Clonality

Monoclonal

Clone number

Hermes-3

Isotype

IgG2a

Carrier free

Yes

Reacts with

Human

Applications

IP, ICC/IF, WB, IHC-P, ELISA

applications

Immunogen

The exact immunogen used to generate this antibody is proprietary information.

Reactivity data

{ "title": "Reactivity Data", "filters": { "stats": ["", "Species", "Dilution Info", "Notes"], "tabs": { "all-applications": {"fullname" : "All Applications", "shortname": "All Applications"}, "ICCIF" : {"fullname" : "Immunocytochemistry/ Immunofluorescence", "shortname":"ICC/IF"}, "IP" : {"fullname" : "Immunoprecipitation", "shortname":"IP"}, "ELISA" : {"fullname" : "ELISA", "shortname":"ELISA"}, "WB" : {"fullname" : "Western blot", "shortname":"WB"}, "IHCP" : {"fullname" : "Immunohistochemistry (Formalin/PFA-fixed paraffin-embedded sections)", "shortname":"IHC-P"} }, "product-promise": { "all": "all", "testedAndGuaranteed": "tested", "guaranteed": "expected", "predicted": "predicted", "notRecommended": "not-recommended" } }, "values": { "Human": { "ICCIF-species-checked": "testedAndGuaranteed", "ICCIF-species-dilution-info": "1/500", "ICCIF-species-notes": "<p></p>", "IP-species-checked": "testedAndGuaranteed", "IP-species-dilution-info": "", "IP-species-notes": "<p></p>", "ELISA-species-checked": "guaranteed", "ELISA-species-dilution-info": "", "ELISA-species-notes": "", "WB-species-checked": "testedAndGuaranteed", "WB-species-dilution-info": "0.536 µg/mL", "WB-species-notes": "<p></p>", "IHCP-species-checked": "testedAndGuaranteed", "IHCP-species-dilution-info": "0.107 µg/mL", "IHCP-species-notes": "<p></p> Perform heat-mediated antigen retrieval with Tris/EDTA buffer pH 9.0 before commencing with IHC staining protocol." }, "Recombinant fragment - Human": { "ICCIF-species-checked": "notRecommended", "ICCIF-species-dilution-info": "", "ICCIF-species-notes": "", "IP-species-checked": "notRecommended", "IP-species-dilution-info": "", "IP-species-notes": "", "ELISA-species-checked": "testedAndGuaranteed", "ELISA-species-dilution-info": "100-1000 µg/cells", "ELISA-species-notes": "<p>100-1000 ng/ml.</p>", "WB-species-checked": "notRecommended", "WB-species-dilution-info": "", "WB-species-notes": "", "IHCP-species-checked": "notRecommended", "IHCP-species-dilution-info": "", "IHCP-species-notes": "" } } }

Product details

ab255946 is the carrier-free version of ab254530.

What are the advantages of a recombinant monoclonal antibody?
This product is a recombinant monoclonal antibody, which offers several advantages including:

  • - High batch-to-batch consistency and reproducibility
  • - Improved sensitivity and specificity
  • - Long-term security of supply
  • - Animal-free batch production

For more information, read more on recombinant antibodies.

Want a custom formulation?
This antibody clone is manufactured by Abcam. If you require a custom buffer formulation or conjugation for your experiments, please contact orders@abcam.com

Conjugation ready
Our carrier-free antibodies are typically supplied in a PBS-only formulation, purified and free of BSA, sodium azide and glycerol. This conjugation-ready format is designed for use with fluorochromes, metal isotopes, oligonucleotides, and enzymes, which makes them ideal for antibody labelling, functional and cell-based assays, flow-based assays (e.g. mass cytometry) and Multiplex Imaging applications.

Use our conjugation kits for antibody conjugates that are ready-to-use in as little as 20 minutes with 1 minute hands-on-time and 100% antibody recovery: available for fluorescent dyes, HRP, biotin and gold.

Compatibility
This product is compatible with the Maxpar® Antibody Labeling Kit from Fluidigm, without the need for antibody preparation. Maxpar® is a trademark of Fluidigm Canada Inc.

Properties and storage information

Form
Liquid
Purification technique
Affinity purification Protein A
Storage buffer
pH: 7.2 - 7.4 Constituents: PBS
Shipped at conditions
Blue Ice
Appropriate short-term storage conditions
+4°C
Appropriate long-term storage conditions
+4°C
Storage information
Do Not Freeze

Product protocols

For this product, it's our understanding that no specific protocols are required. You can visit:

Target data

The protein expressed by gene CD44 functions as a cell-surface receptor involved in cell-cell interactions, cell adhesion, and migration, allowing cells to detect and react to changes in their tissue microenvironment. It is implicated in numerous cellular processes, including the activation, recirculation, and homing of T-lymphocytes, hematopoiesis, inflammation, and the response to bacterial infection. Through its ectodomain, CD44 interacts with extracellular matrix components like hyaluronan, collagen, growth factors, cytokines, and proteases, serving as a platform for signal transduction by forming protein complexes with receptor kinases and membrane proteases via its cytoplasmic domain. Effectors such as PKN2, the RhoGTPases RAC1 and RHOA, Rho-kinases, and phospholipase C coordinate signaling pathways that promote calcium mobilization and actin-mediated cytoskeleton reorganization crucial for cell migration and adhesion. This supplementary information is collated from multiple sources and compiled automatically.
See full target information CD44

Product promise

We are committed to supporting your work with high-quality reagents, and we're here for you every step of the way. In the unlikely event that one of our products does not perform as expected, you're protected by our Product Promise.
For full details, please see our Terms & Conditions

Please note: All products are 'FOR RESEARCH USE ONLY. NOT FOR USE IN DIAGNOSTIC OR THERAPEUTIC PROCEDURES'.

For licensing inquiries, please contact partnerships@abcam.com