JavaScript is disabled in your browser. Please enable JavaScript to view this website.
AB238464

Anti-CD44 antibody [OX49]

Be the first to review this product! Submit a review

|

(7 Publications)

Mouse Recombinant Monoclonal CD44 antibody. Suitable for Flow Cyt, ICC/IF, IHC-P and reacts with Rat samples. Cited in 7 publications.

View Alternative Names

CD44, CD44 antigen, Extracellular matrix receptor III, GP90 lymphocyte homing/adhesion receptor, HUTCH-I, Hermes antigen, Hyaluronate receptor, Phagocytic glycoprotein 1, Phagocytic glycoprotein I, ECMR-III, PGP-1, PGP-I, Cd44

4 Images
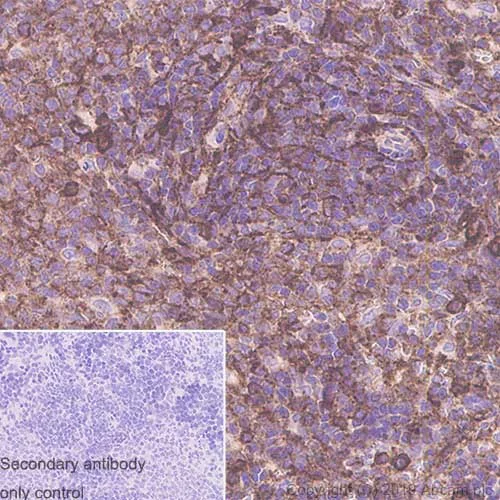
Immunohistochemistry (Formalin/PFA-fixed paraffin-embedded sections) - Anti-CD44 antibody [OX49] (AB238464)
  • IHC-P

Supplier Data

Immunohistochemistry (Formalin/PFA-fixed paraffin-embedded sections) - Anti-CD44 antibody [OX49] (AB238464)

Immunohistochemical analysis of paraffin-embedded rat spleen tissue labeling CD44 with ab238464 at 0.085μg/ml, followed by a ready to use secondary. Membranous staining on rat spleen is observed. The section was incubated with ab238464 for 5 mins at room temperature. The immunostaining staining was performed on a Leica Biosystems BOND® RX instrument. Counterstained with hematoxylin.
Secondary antibody only control : Used PBS instead of primary antibody, followed by ready to use secondary.

Heat mediated antigen retrieval with Tris-EDTA buffer (pH 9.0, epitope retrieval solution 2) for 20 mins.

Flow Cytometry - Anti-CD44 antibody [OX49] (AB238464)
  • Flow Cyt

Supplier Data

Flow Cytometry - Anti-CD44 antibody [OX49] (AB238464)

Flow cytometric analysis of C6 (Rat glial tumor glial cell) cell line labeling CD44 with ab238464 at 0.474μg/ml (red) compared with a Mouse monoclonal IgG Isotype Control (black) and an unlabeled control (cells without incubation with primary antibody and secondary antibody) (blue). Goat anti mouse IgG (Alexa Fluor® 488, ab150113) at 1/2000 dilution was used as the secondary antibody.

Gated on viable cells.

Immunocytochemistry/ Immunofluorescence - Anti-CD44 antibody [OX49] (AB238464)
  • ICC/IF

Supplier Data

Immunocytochemistry/ Immunofluorescence - Anti-CD44 antibody [OX49] (AB238464)

Immunofluorescent analysis of 4% paraformaldehyde-fixed, 0.1% Triton X-100 permeabilized rat splenocytes labeling CD44 with ab238464 at 0.854μg/ml, followed by ab150113 AlexaFluor®488 Goat anti-Mouse secondary antibody at 1/1000 dilution (green). Confocal image showing membranous staining on rat splenocytes. The nuclear counterstain is DAPI (blue).
Tubulin is detected with ab179504 Anti-beta IV Tubulin antibody - Microtubule Marker at a 1/200 dilution followed by ab150080 AlexaFluor®594 Goat anti-Rabbit secondary at a 1/1000 dilution.
The negative controls are as follows :
-ve control 1 : ab238464 at 1/200 dilution, followed by ab150080 AlexaFluor®594 Goat anti-Rabbit secondary at 1/1000 dilution.
-ve control 2 : ab179504 at 1/200 dilution, followed by ab150113 AlexaFluor®488 Goat anti-Mouse secondary at 1/1000 dilution.

Immunocytochemistry/ Immunofluorescence - Anti-CD44 antibody [OX49] (AB238464)
  • ICC/IF

Supplier Data

Immunocytochemistry/ Immunofluorescence - Anti-CD44 antibody [OX49] (AB238464)

Immunofluorescent analysis of 4% paraformaldehyde-fixed, 0.1% Triton X-100 permeabilized C6 (rat glial tumor glial cell) cells labeling CD44 with ab238464 at 0.854μg/ml, followed by ab150113 AlexaFluor®488 Goat anti-Mouse secondary antibody at 1/1000 dilution (green). Confocal image showing membranous staining on C6 cell line. The nuclear counterstain is DAPI (blue).
Tubulin is detected with ab179504 Anti-beta IV Tubulin antibody - Microtubule Marker at a 1/200 dilution followed by ab150080 AlexaFluor®594 Goat anti-Rabbit secondary at a 1/1000 dilution.
The negative controls are as follows :
-ve control 1 : ab238464 at 1/500 dilution, followed by ab150080 AlexaFluor®594 Goat anti-Rabbit secondary at 1/1000 dilution.
-ve control 2 : ab179504 at 1/200 dilution, followed by ab150113 AlexaFluor®488 Goat anti-Mouse secondary at 1/1000 dilution.

  • Carrier free

    Anti-CD44 antibody [OX49] - BSA and Azide free

Key facts

Host species

Mouse

Clonality

Monoclonal

Clone number

OX49

Isotype

IgG2a

Carrier free

No

Reacts with

Rat

Applications

IHC-P, ICC/IF, Flow Cyt

applications

Immunogen

The exact immunogen used to generate this antibody is proprietary information.

Reactivity data

{ "title": "Reactivity Data", "filters": { "stats": ["", "Species", "Dilution Info", "Notes"], "tabs": { "all-applications": {"fullname" : "All Applications", "shortname": "All Applications"}, "FlowCyt" : {"fullname" : "Flow Cytometry", "shortname":"Flow Cyt"}, "ICCIF" : {"fullname" : "Immunocytochemistry/ Immunofluorescence", "shortname":"ICC/IF"}, "IHCP" : {"fullname" : "Immunohistochemistry (Formalin/PFA-fixed paraffin-embedded sections)", "shortname":"IHC-P"} }, "product-promise": { "all": "all", "testedAndGuaranteed": "tested", "guaranteed": "expected", "predicted": "predicted", "notRecommended": "not-recommended" } }, "values": { "Rat": { "FlowCyt-species-checked": "testedAndGuaranteed", "FlowCyt-species-dilution-info": "0.474 µg/mL", "FlowCyt-species-notes": "<p></p>", "ICCIF-species-checked": "testedAndGuaranteed", "ICCIF-species-dilution-info": "0.854 µg/mL", "ICCIF-species-notes": "<p></p>", "IHCP-species-checked": "testedAndGuaranteed", "IHCP-species-dilution-info": "0.085 µg/mL", "IHCP-species-notes": "<p></p> Perform heat-mediated antigen retrieval with Tris/EDTA buffer pH 9.0 before commencing with IHC staining protocol." } } }

Product details

What are the advantages of a recombinant monoclonal antibody?
This product is a recombinant monoclonal antibody, which offers several advantages including:

  • - High batch-to-batch consistency and reproducibility
  • - Improved sensitivity and specificity
  • - Long-term security of supply
  • - Animal-free batch production

For more information, read more on recombinant antibodies.

Want a custom formulation?
This antibody clone is manufactured by Abcam. If you require a custom buffer formulation or conjugation for your experiments, please contact orders@abcam.com

Properties and storage information

Form
Liquid
Purification technique
Affinity purification Protein A
Storage buffer
pH: 7.2 - 7.4 Preservative: 0.01% Sodium azide Constituents: PBS, 40% Glycerol (glycerin, glycerine), 0.05% BSA
Shipped at conditions
Blue Ice
Appropriate short-term storage duration
1-2 weeks
Appropriate short-term storage conditions
+4°C
Appropriate long-term storage conditions
-20°C
Aliquoting information
Upon delivery aliquot
Storage information
Avoid freeze / thaw cycle

Product protocols

For this product, it's our understanding that no specific protocols are required. You can visit:

Target data

Cell-surface receptor that plays a role in cell-cell interactions, cell adhesion and migration, helping them to sense and respond to changes in the tissue microenvironment. Participates thereby in a wide variety of cellular functions including the activation, recirculation and homing of T-lymphocytes, hematopoiesis, inflammation and response to bacterial infection. Engages, through its ectodomain, extracellular matrix components such as hyaluronan/HA, collagen, growth factors, cytokines or proteases and serves as a platform for signal transduction by assembling, via its cytoplasmic domain, protein complexes containing receptor kinases and membrane proteases. Such effectors include PKN2, the RhoGTPases RAC1 and RHOA, Rho-kinases and phospholipase C that coordinate signaling pathways promoting calcium mobilization and actin-mediated cytoskeleton reorganization essential for cell migration and adhesion.
See full target information Cd44

Publications (7)

Recent publications for all applications. Explore the full list and refine your search

Stem cell research & therapy 15:503 PubMed39736729

2024

A chitosan/acellular matrix-based neural graft carrying mesenchymal stem cells to promote peripheral nerve repair.

Applications

Unspecified application

Species

Unspecified reactive species

Zhifa Zhang,Molin Li,Gang Cheng,Peng Wang,Chunhui Zhou,Yang Liu,Xiaofeng Duan,Jing Wang,Fang Xie,Yaqiong Zhu,Jianning Zhang

Bioactive materials 35:208-227 PubMed38327823

2024

Bio-integrated scaffold facilitates large bone regeneration dominated by endochondral ossification.

Applications

Unspecified application

Species

Unspecified reactive species

Lili Sun,Haoyi Niu,Yuqiong Wu,Shiyan Dong,Xuefeng Li,Betty Y S Kim,Changsheng Liu,Yifan Ma,Wen Jiang,Yuan Yuan

Cells 13: PubMed38247821

2024

The Matrix Receptor CD44 Is Present in Astrocytes throughout the Human Central Nervous System and Accumulates in Hypoxia and Seizures.

Applications

Unspecified application

Species

Unspecified reactive species

Osama Al-Dalahmah,Alexander A Sosunov,Yu Sun,Yang Liu,Nacoya Madden,E Sander Connolly,Carol M Troy,Guy M McKhann,James E Goldman

International journal of experimental pathology 105:52-63 PubMed38152045

2023

MiR-22-3p facilitates bone marrow mesenchymal stem cell osteogenesis and fracture healing through the SOSTDC1-PI3K/AKT pathway.

Applications

Unspecified application

Species

Unspecified reactive species

Chunqiu Wang,Xinguo Wang,Hui Cheng,Jiahu Fang

Scientific reports 13:18353 PubMed37884630

2023

Hsa_circRNA_001676 accelerates the proliferation, migration and stemness in colorectal cancer through regulating miR-556-3p/G3BP2 axis.

Applications

Unspecified application

Species

Unspecified reactive species

Qin Hao,Miao Zhang,Yingcai Wu,Yuchen Guo,Yanling Zheng,Lijuan Wu,Li Feng,Zhenfei Wang

BMC pharmacology & toxicology 23:81 PubMed36273189

2022

Dexmedetomidine alleviates inflammatory response and oxidative stress injury of vascular smooth muscle cell via α2AR/GSK-3β/MKP-1/NRF2 axis in intracranial aneurysm.

Applications

Unspecified application

Species

Unspecified reactive species

Ze Zhang,Xiue Mu,Xiaohui Zhou

Journal of the National Cancer Institute 65:33-42 PubMed6993744

1980

Subpopulations of normal and leukemic human thymocytes: an analysis with the use of monoclonal antibodies.

Applications

Unspecified application

Species

Unspecified reactive species

K F Bradstock,G Janossy,G Pizzolo,A V Hoffbrand,A McMichael,J R Pilch,C Milstein,P Beverley,F J Bollum
View all publications

Product promise

We are committed to supporting your work with high-quality reagents, and we're here for you every step of the way. In the unlikely event that one of our products does not perform as expected, you're protected by our Product Promise.
For full details, please see our Terms & Conditions

Please note: All products are 'FOR RESEARCH USE ONLY. NOT FOR USE IN DIAGNOSTIC OR THERAPEUTIC PROCEDURES'.

For licensing inquiries, please contact partnerships@abcam.com