JavaScript is disabled in your browser. Please enable JavaScript to view this website.
AB316123

Anti-CD44 antibody [RM1084]

  • BOND RX™ Validated
  • Recombinant
  • RabMAb
  • Lab Essentials
  • 20ul selling size
  • What is this?

5

(1 Review)

|

(4 Publications)

Rabbit Recombinant Multiclonal CD44 antibody. Suitable for WB, IHC-P, ICC/IF, Flow Cyt and reacts with Human, Mouse, Rat samples. Cited in 4 publications.

View Alternative Names

CD44, LHR, MDU2, MDU3, MIC4, CD44 antigen, CDw44, Epican, Extracellular matrix receptor III, GP90 lymphocyte homing/adhesion receptor, HUTCH-I, Heparan sulfate proteoglycan, Hermes antigen, Hyaluronate receptor, Phagocytic glycoprotein 1, Phagocytic glycoprotein I, ECMR-III, PGP-1, PGP-I

13 Images
Flow Cytometry - Anti-CD44 antibody [RM1084] (AB316123)
  • Flow Cyt

Supplier Data

Flow Cytometry - Anti-CD44 antibody [RM1084] (AB316123)

Flow cytometric analysis of Jurkat (human T cell leukemia T lymphocyte from peripheral blood, Left) / A549 (human lung carcinoma epithelial cell, Right) cells labelling CD44 with ab316123 at 1/500 dilution (0.1 ug)/Red compared with a Rabbit monoclonal IgG (ab172730) (Black) isotype control and an unlabelled control (cells without incubation with primary antibody and secondary antibody) (Blue).

Goat Anti-Rabbit IgG (Alexa Fluor® 488, ab150081) at 1/5000 dilution was used as the secondary antibody.

Negative control : Jurkat. Gated on viable cells.

Immunohistochemistry (Formalin/PFA-fixed paraffin-embedded sections) - Anti-CD44 antibody [RM1084] (AB316123)
  • IHC-P

Supplier Data

Immunohistochemistry (Formalin/PFA-fixed paraffin-embedded sections) - Anti-CD44 antibody [RM1084] (AB316123)

Immunohistochemical analysis of paraffin-embedded (A) A549 (human lung carcinoma epithelial cell) cell pellet (B) Jurkat (human T cell leukemia T lymphocyte from peripheral blood) cell pellet tissue labeling CD44 with ab316123 at 1/5000 (0.104 ug/ml) dilution, followed by a ready to use LeicaDS9800 (Bond™ Polymer Refine Detection).

Positive staining on (A) A549 cell pellet, no staining on (B) Jurkat cell pellet .
The section was incubated with ab316123 for 30 mins at room temperature.
The immunostaining was performed on a Leica Biosystems BOND® RX instrument.

Counterstained with Hematoxylin.

Secondary antibody only control : Secondary antibody is a ready to use LeicaDS9800 (Bond™ Polymer Refine Detection).

Heat mediated antigen retrieval was performed with Citrate buffer (pH 6.0, Epitope Retrieval Solution 1) for 20 mins.

Immunohistochemistry (Formalin/PFA-fixed paraffin-embedded sections) - Anti-CD44 antibody [RM1084] (AB316123)
  • IHC-P

Supplier Data

Immunohistochemistry (Formalin/PFA-fixed paraffin-embedded sections) - Anti-CD44 antibody [RM1084] (AB316123)

Immunohistochemical analysis of paraffin-embedded Human tonsil tissue labeling CD44 with ab316123 at 1/5000 (0.104 ug/ml) dilution, followed by a ready to use LeicaDS9800 (Bond™ Polymer Refine Detection).

Positive staining on human tonsil. Compared with ab316123, the staining intensity of ab157107 was still weaker even at 4 times higher working IgG.
The image on the left is applied with Anti-CD44 antibody [RM1084] (ab316123) at 1/5000 dilution and the image on the right is applied with Anti-CD44 antibody (ab157107) at 1/500 dilution.
The section was incubated with ab316123 or ab157107 for 30 mins at room temperature.
The immunostaining was performed on a Leica Biosystems BOND® RX instrument.

Counterstained with Hematoxylin.

Secondary antibody only control : Secondary antibody is a ready to use LeicaDS9800 (Bond™ Polymer Refine Detection).

Heat mediated antigen retrieval was performed with Tris-EDTA buffer (pH 9.0, Epitope Retrieval Solution2) for 20 mins.

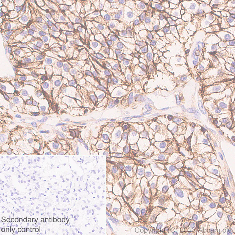
Immunohistochemistry (Formalin/PFA-fixed paraffin-embedded sections) - Anti-CD44 antibody [RM1084] (AB316123)
  • IHC-P

Supplier Data

Immunohistochemistry (Formalin/PFA-fixed paraffin-embedded sections) - Anti-CD44 antibody [RM1084] (AB316123)

Immunohistochemical analysis of paraffin-embedded Human pancreatic cancer tissue labeling CD44 with ab316123 at 1/5000 (0.104 ug/ml) dilution, followed by a ready to use LeicaDS9800 (Bond™ Polymer Refine Detection).

Positive staining on human pancreatic cancer.
The section was incubated with ab316123 for 30 mins at room temperature.
The immunostaining was performed on a Leica Biosystems BOND® RX instrument.

Counterstained with Hematoxylin.

Secondary antibody only control : Secondary antibody is a ready to use LeicaDS9800 (Bond™ Polymer Refine Detection).

Heat mediated antigen retrieval was performed with Citrate buffer (pH 6.0, Epitope Retrieval Solution 1) for 20 mins.

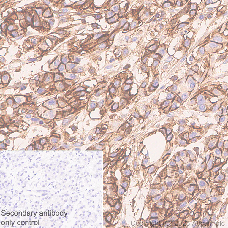
Immunohistochemistry (Formalin/PFA-fixed paraffin-embedded sections) - Anti-CD44 antibody [RM1084] (AB316123)
  • IHC-P

Supplier Data

Immunohistochemistry (Formalin/PFA-fixed paraffin-embedded sections) - Anti-CD44 antibody [RM1084] (AB316123)

Immunohistochemical analysis of paraffin-embedded Clear cell carcinoma of human kidney tissue labeling CD44 with ab316123 at 1/5000 (0.104 ug/ml) dilution, followed by a ready to use LeicaDS9800 (Bond™ Polymer Refine Detection).

Positive staining on clear cell carcinoma of human kidney.
The section was incubated with ab316123 for 30 mins at room temperature.
The immunostaining was performed on a Leica Biosystems BOND® RX instrument.

Counterstained with Hematoxylin.

Secondary antibody only control : Secondary antibody is a ready to use LeicaDS9800 (Bond™ Polymer Refine Detection).

Heat mediated antigen retrieval was performed with Citrate buffer (pH 6.0, Epitope Retrieval Solution 1) for 20 mins.

Immunocytochemistry/ Immunofluorescence - Anti-CD44 antibody [RM1084] (AB316123)
  • ICC/IF

Supplier Data

Immunocytochemistry/ Immunofluorescence - Anti-CD44 antibody [RM1084] (AB316123)

Immunofluorescent analysis of 4% Paraformaldehyde-fixed, 0.1% TritonX-100 permeabilized A549 (human lung carcinoma epithelial cell) cells labelling CD44 with ab316123 at 1/100 (5.22 ug/ml) dilution, followed by ab150081 Goat Anti-Rabbit IgG H&L (Alexa Fluor® 488) preadsorbed antibody at 1/1000 (2 ug/mL) dilution (Green).

Confocal image showing membranous and cytoplasmic staining in A549 cell line.
Negative control : Jurkat.
Image was taken with a confocal microscope(Leica-Microsystems, TCS SP8).

ab195889 Anti-alpha Tubulin mouse monoclonal antibody - Microtubule Marker (Alexa Fluor® 594) was used to counterstain tubulin at 1/500 (1ug/ml) dilution (Red). The Nuclear counterstain was DAPI (Blue).

Secondary antibody only control : Secondary antibody is ab150081 Goat Anti-Rabbit IgG H&L (Alexa Fluor® 488) preadsorbed at 1/1000 (2 ug/mL) dilution.

Immunohistochemistry (Formalin/PFA-fixed paraffin-embedded sections) - Anti-CD44 antibody [RM1084] (AB316123)
  • IHC-P

Supplier Data

Immunohistochemistry (Formalin/PFA-fixed paraffin-embedded sections) - Anti-CD44 antibody [RM1084] (AB316123)

Immunohistochemical analysis of paraffin-embedded Rat spleen tissue labeling CD44 with ab316123 at 1/5000 (0.104 ug/ml) dilution, followed by a ready to use LeicaDS9800 (Bond™ Polymer Refine Detection).

Positive staining on rat spleen.
The section was incubated with ab316123 for 30 mins at room temperature.
The immunostaining was performed on a Leica Biosystems BOND® RX instrument.

Counterstained with Hematoxylin.

Secondary antibody only control : Secondary antibody is a ready to use LeicaDS9800 (Bond™ Polymer Refine Detection).

Heat mediated antigen retrieval was performed with Citrate buffer (pH 6.0, Epitope Retrieval Solution 1) for 20 mins.

Flow Cytometry - Anti-CD44 antibody [RM1084] (AB316123)
  • Flow Cyt

Supplier Data

Flow Cytometry - Anti-CD44 antibody [RM1084] (AB316123)

Flow cytometric analysis of C6 (rat glial tumor glial cell) cells labelling CD44 with ab316123 at 1/50 dilution (1 ug)/Red compared with a Rabbit monoclonal IgG (ab172730) (Black) isotype control and an unlabelled control (cells without incubation with primary antibody and secondary antibody) (Blue).

Goat Anti-Rabbit IgG (Alexa Fluor® 488, ab150081) at 1/5000 dilution was used as the secondary antibody.

Gated on viable cells.

Flow Cytometry - Anti-CD44 antibody [RM1084] (AB316123)
  • Flow Cyt

Supplier Data

Flow Cytometry - Anti-CD44 antibody [RM1084] (AB316123)

Flow cytometric analysis of RAW 264.7 (mouse Abelson murine leukemia virus-induced tumor macrophage) cells labelling CD44 with ab316123 at 1/50 dilution (1 ug)/Red compared with a Rabbit monoclonal IgG (ab172730) (Black) isotype control and an unlabelled control (cells without incubation with primary antibody and secondary antibody) (Blue).

Goat Anti-Rabbit IgG (Alexa Fluor® 488, ab150081) at 1/5000 dilution was used as the secondary antibody.

Gated on viable cells.

Immunocytochemistry/ Immunofluorescence - Anti-CD44 antibody [RM1084] (AB316123)
  • ICC/IF

Supplier Data

Immunocytochemistry/ Immunofluorescence - Anti-CD44 antibody [RM1084] (AB316123)

Immunofluorescent analysis of 4% Paraformaldehyde-fixed, 0.1% TritonX-100 permeabilized RAW 264.7 (mouse Abelson murine leukemia virus-induced tumor macrophage cell) cells labelling CD44 with ab316123 at 1/100 (5.22 ug/ml) dilution, followed by ab150081 Goat Anti-Rabbit IgG H&L (Alexa Fluor® 488) preadsorbed antibody at 1/1000 (2 ug/mL) dilution (Green).

Confocal image showing membranous and cytoplasmic staining in RAW 264.7 cell line.
Image was taken with a confocal microscope(Leica-Microsystems, TCS SP8).

ab195889 Anti-alpha Tubulin mouse monoclonal antibody - Microtubule Marker (Alexa Fluor® 594) was used to counterstain tubulin at 1/500 (1ug/ml) dilution (Red). The Nuclear counterstain was DAPI (Blue).

Secondary antibody only control : Secondary antibody is ab150081 Goat Anti-Rabbit IgG H&L (Alexa Fluor® 488) preadsorbed at 1/1000 (2 ug/mL) dilution.

Immunohistochemistry (Formalin/PFA-fixed paraffin-embedded sections) - Anti-CD44 antibody [RM1084] (AB316123)
  • IHC-P

Supplier Data

Immunohistochemistry (Formalin/PFA-fixed paraffin-embedded sections) - Anti-CD44 antibody [RM1084] (AB316123)

Immunohistochemical analysis of paraffin-embedded Mouse spleen tissue labeling CD44 with ab316123 at 1/5000 (0.104 ug/ml) dilution, followed by a ready to use LeicaDS9800 (Bond™ Polymer Refine Detection).

Positive staining on mouse spleen.
The section was incubated with ab316123 for 30 mins at room temperature.
The immunostaining was performed on a Leica Biosystems BOND® RX instrument.

Counterstained with Hematoxylin.

Secondary antibody only control : Secondary antibody is a ready to use LeicaDS9800 (Bond™ Polymer Refine Detection).

Heat mediated antigen retrieval was performed with Citrate buffer (pH 6.0, Epitope Retrieval Solution 1) for 20 mins.

Western blot - Anti-CD44 antibody [RM1084] (AB316123)
  • WB

Supplier Data

Western blot - Anti-CD44 antibody [RM1084] (AB316123)

Negative control : LNCaP and Jurkat (PMID : 23204518 and PMID : 10462610).

Due to high sequence homology between CD44 isoforms, within the immunogen region, this antibody cross reacts with most isoforms of CD44. The staining pattern is consistent with reference (PMID 19507218).

In Western blot, Anti-GAPDH antibody [EPR16891] - Loading Control (ab181602) staining at 1/200000 dilution.

All lanes:

Western blot - Anti-CD44 antibody [RM1084] (ab316123) at 1/1000 dilution

Lane 1:

HeLa (human cervical adenocarcinoma epithelial cell) whole cell lysate at 20 µg

Lane 2:

A549 (human lung carcinoma epithelial cell) whole cell lysate at 20 µg

Lane 3:

LNCaP (human prostate carcinoma epithelial cell) whole cell lysate at 20 µg

Lane 4:

Jurkat (human T cell leukemia T lymphocyte from peripheral blood) whole cell lysate at 20 µg

Lane 5:

C6 (rat glial tumor glial cell) whole cell lysate at 20 µg

Lane 6:

RAW 264.7 (mouse Abelson murine leukemia virus-induced tumor macrophage) whole cell lysate at 20 µg

Lane 7:

Human cerebellum tissue lysate at 20 µg

Lane 8:

Human spleen tissue lysate at 20 µg

Secondary

All lanes:

Western blot - Goat Anti-Rabbit IgG H&L (HRP) (<a href='/en-us/products/secondary-antibodies/goat-rabbit-igg-h-l-hrp-ab97051'>ab97051</a>) at 1/100000 dilution

Observed band size: 70-81 kDa,36 kDa

false

Exposure time: 26s

Western blot - Anti-CD44 antibody [RM1084] (AB316123)
  • WB

Supplier Data

Western blot - Anti-CD44 antibody [RM1084] (AB316123)

All lanes:

Western blot - Anti-CD44 antibody [RM1084] (ab316123) at 1/1000 dilution

Lane 1:

Mouse spleen tissue lysate at 20 µg

Lane 2:

Rat spleen tissue lysate at 20 µg

Secondary

All lanes:

Western blot - Goat Anti-Rabbit IgG H&L (HRP) (<a href='/en-us/products/secondary-antibodies/goat-rabbit-igg-h-l-hrp-ab97051'>ab97051</a>) at 1/100000 dilution

Observed band size: 81 kDa

false

Exposure time: 15s

  • Carrier free

    Anti-CD44 antibody [RM1084] - BSA and Azide free

Key facts

Host species

Rabbit

Clonality

Multiclonal

Clone number

RM1084

Isotype

IgG

Carrier free

No

Reacts with

Human, Mouse, Rat

Applications

Flow Cyt, ICC/IF, IHC-P, WB

applications

Immunogen

The exact immunogen used to generate this antibody is proprietary information.

Reactivity data

{ "title": "Reactivity Data", "filters": { "stats": ["", "Species", "Dilution Info", "Notes"], "tabs": { "all-applications": {"fullname" : "All Applications", "shortname": "All Applications"}, "WB" : {"fullname" : "Western blot", "shortname":"WB"}, "IHCP" : {"fullname" : "Immunohistochemistry (Formalin/PFA-fixed paraffin-embedded sections)", "shortname":"IHC-P"}, "ICCIF" : {"fullname" : "Immunocytochemistry/ Immunofluorescence", "shortname":"ICC/IF"}, "FlowCyt" : {"fullname" : "Flow Cytometry", "shortname":"Flow Cyt"}, "IP" : {"fullname" : "Immunoprecipitation", "shortname":"IP"} }, "product-promise": { "all": "all", "testedAndGuaranteed": "tested", "guaranteed": "expected", "predicted": "predicted", "notRecommended": "not-recommended" } }, "values": { "Human": { "WB-species-checked": "testedAndGuaranteed", "WB-species-dilution-info": "1/1000", "WB-species-notes": "<p></p>", "IHCP-species-checked": "testedAndGuaranteed", "IHCP-species-dilution-info": "1/5000", "IHCP-species-notes": "<p></p> Perform heat-mediated antigen retrieval with citrate buffer pH 6 before commencing with IHC staining protocol.", "ICCIF-species-checked": "testedAndGuaranteed", "ICCIF-species-dilution-info": "1/100", "ICCIF-species-notes": "<p></p>", "FlowCyt-species-checked": "testedAndGuaranteed", "FlowCyt-species-dilution-info": "1/500", "FlowCyt-species-notes": "<p></p>", "IP-species-checked": "notRecommended", "IP-species-dilution-info": "", "IP-species-notes": "<p></p>" }, "Mouse": { "WB-species-checked": "testedAndGuaranteed", "WB-species-dilution-info": "1/1000", "WB-species-notes": "<p></p>", "IHCP-species-checked": "testedAndGuaranteed", "IHCP-species-dilution-info": "1/5000", "IHCP-species-notes": "<p></p> Perform heat-mediated antigen retrieval with citrate buffer pH 6 before commencing with IHC staining protocol.", "ICCIF-species-checked": "testedAndGuaranteed", "ICCIF-species-dilution-info": "1/100", "ICCIF-species-notes": "<p></p>", "FlowCyt-species-checked": "testedAndGuaranteed", "FlowCyt-species-dilution-info": "1/50", "FlowCyt-species-notes": "<p></p>", "IP-species-checked": "notRecommended", "IP-species-dilution-info": "", "IP-species-notes": "<p></p>" }, "Rat": { "WB-species-checked": "testedAndGuaranteed", "WB-species-dilution-info": "1/1000", "WB-species-notes": "<p></p>", "IHCP-species-checked": "testedAndGuaranteed", "IHCP-species-dilution-info": "1/5000", "IHCP-species-notes": "<p></p> Perform heat-mediated antigen retrieval with citrate buffer pH 6 before commencing with IHC staining protocol.", "ICCIF-species-checked": "guaranteed", "ICCIF-species-dilution-info": "", "ICCIF-species-notes": "", "FlowCyt-species-checked": "testedAndGuaranteed", "FlowCyt-species-dilution-info": "1/50", "FlowCyt-species-notes": "<p></p>", "IP-species-checked": "notRecommended", "IP-species-dilution-info": "", "IP-species-notes": "<p></p>" } } }

Product details

What are recombinant multiclonals?
Recombinant multiclonals are a mixture of recombinant antibodies co-expressed from a library of heavy and light chains. They offer several advantages including:

  • - The sensitivity of polyclonal antibodies by recognising multiple epitopes
  • - High batch-to-batch consistency and reproducibility
  • - Improved sensitivity and specificity
  • - Long-term security of supply
  • - Animal-free batch production

View our range of recombinant multiclonal antibodies.

Patented technology
Our RabMAb® technology is a patented hybridoma-based technology for making rabbit monoclonal antibodies. For details on our patents, please refer to RabMAb® patents.

Properties and storage information

Form
Liquid
Purification technique
Affinity purification Protein A
Storage buffer
pH: 7.2 - 7.4 Preservative: 0.01% Sodium azide Constituents: PBS, 40% Glycerol (glycerin, glycerine), 0.05% BSA
Shipped at conditions
Blue Ice
Appropriate short-term storage duration
1-2 weeks
Appropriate short-term storage conditions
+4°C
Appropriate long-term storage conditions
-20°C
Aliquoting information
Upon delivery aliquot
Storage information
Avoid freeze / thaw cycle

Product protocols

For this product, it's our understanding that no specific protocols are required. You can visit:

Target data

Cell-surface receptor that plays a role in cell-cell interactions, cell adhesion and migration, helping them to sense and respond to changes in the tissue microenvironment (PubMed : 16541107, PubMed : 19703720, PubMed : 22726066). Participates thereby in a wide variety of cellular functions including the activation, recirculation and homing of T-lymphocytes, hematopoiesis, inflammation and response to bacterial infection (PubMed : 7528188). Engages, through its ectodomain, extracellular matrix components such as hyaluronan/HA, collagen, growth factors, cytokines or proteases and serves as a platform for signal transduction by assembling, via its cytoplasmic domain, protein complexes containing receptor kinases and membrane proteases (PubMed : 18757307, PubMed : 23589287). Such effectors include PKN2, the RhoGTPases RAC1 and RHOA, Rho-kinases and phospholipase C that coordinate signaling pathways promoting calcium mobilization and actin-mediated cytoskeleton reorganization essential for cell migration and adhesion (PubMed : 15123640). Upon interaction with LGALS9 ligand, activates downstream signaling components including LCK, ERK and MAPK to promotes NK cell activation (PubMed : 37006235).. (Microbial infection) Promotes foot-and-mouth disease virus internalization via macropinocytosis.
See full target information CD44

Publications (4)

Recent publications for all applications. Explore the full list and refine your search

Journal of translational medicine 23:1056 PubMed41053808

2025

A novel anti-PD-L1/IL-8 bispecific antibody BP2402 enhances antitumor immunity and modulates inflammatory signaling in triple-negative breast cancer mice model.

Applications

Unspecified application

Species

Unspecified reactive species

Liying Song,Sumin Tang,Xuelei Pi,Yuanyuan Yan,Chenxi Hu,Liang Liu,Hongna Chen,Yating Zhang,Shishi Liu,Dan Yu,Chengkai Yin,Tianyan Liu,Xu Li,Deshan Li,Zhenzhong Wang,Wei Zhu,Kaiyuan Hui,Zhihang Liu,Xiaodong Jiang

Cell biology and toxicology 41:122 PubMed40748469

2025

CD44-targeted therapy using mP6/Rg3 micelles inhibits oral cancer stem cell proliferation and migration.

Applications

Unspecified application

Species

Unspecified reactive species

Sijia Cai,Yuwen Chen,Changyu Chen,Ming Liu

Nature communications 16:137 PubMed39747825

2025

Time-series single-cell transcriptomic profiling of luteal-phase endometrium uncovers dynamic characteristics and its dysregulation in recurrent implantation failures.

Applications

Unspecified application

Species

Unspecified reactive species

Dandan Cao,Yijun Liu,Yanfei Cheng,Jue Wang,Bolun Zhang,Yanhui Zhai,Kongfu Zhu,Ye Liu,Ye Shang,Xiao Xiao,Yi Chang,Yin Lau Lee,William Shu Biu Yeung,Yuanhua Huang,Yuanqing Yao

Journal of inflammation research 17:6203-6227 PubMed39281774

2024

Single-Cell WGCNA Combined with Transcriptome Sequencing to Study the Molecular Mechanisms of Inflammation-Related Ferroptosis in Myocardial Ischemia-Reperfusion Injury.

Applications

Unspecified application

Species

Unspecified reactive species

Zhuohua Zhang,Yan Liu,Da Huang,Zhaohe Huang
View all publications

Product promise

We are committed to supporting your work with high-quality reagents, and we're here for you every step of the way. In the unlikely event that one of our products does not perform as expected, you're protected by our Product Promise.
For full details, please see our Terms & Conditions

Please note: All products are 'FOR RESEARCH USE ONLY. NOT FOR USE IN DIAGNOSTIC OR THERAPEUTIC PROCEDURES'.

For licensing inquiries, please contact partnerships@abcam.com