JavaScript is disabled in your browser. Please enable JavaScript to view this website.
AB254174

Anti-CD44v6 antibody [2F10]

Be the first to review this product! Submit a review

|

(3 Publications)

Mouse Recombinant Monoclonal CD44 antibody. Suitable for IHC-P and reacts with Human samples. Cited in 3 publications.

View Alternative Names

CD44, LHR, MDU2, MDU3, MIC4, CD44 antigen, CDw44, Epican, Extracellular matrix receptor III, GP90 lymphocyte homing/adhesion receptor, HUTCH-I, Heparan sulfate proteoglycan, Hermes antigen, Hyaluronate receptor, Phagocytic glycoprotein 1, Phagocytic glycoprotein I, ECMR-III, PGP-1, PGP-I

3 Images
Immunohistochemistry (Formalin/PFA-fixed paraffin-embedded sections) - Anti-CD44v6 antibody [2F10] (AB254174)
  • IHC-P

Supplier Data

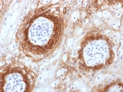
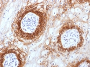
Immunohistochemistry (Formalin/PFA-fixed paraffin-embedded sections) - Anti-CD44v6 antibody [2F10] (AB254174)

Immunohistochemical analysis of paraffin-embedded human breast tissue labeling CD44v6 with ab254174 at 3.73μg/ml followed by a ready to use Goat Anti-Mouse IgG H&L (HRP polymer) (ab214879). Membranous staining on human breast tissue is observed. Counterstained with hematoxylin.
Secondary antibody only control : Used PBS instead of primary antibody, followed by ready to use Goat Anti-Mouse IgG H&L (HRP polymer) (ab214879).
Heat mediated antigen retrieval using ab93684 (Tris/EDTA buffer, pH 9.0).

Immunohistochemistry (Formalin/PFA-fixed paraffin-embedded sections) - Anti-CD44v6 antibody [2F10] (AB254174)
  • IHC-P

Supplier Data

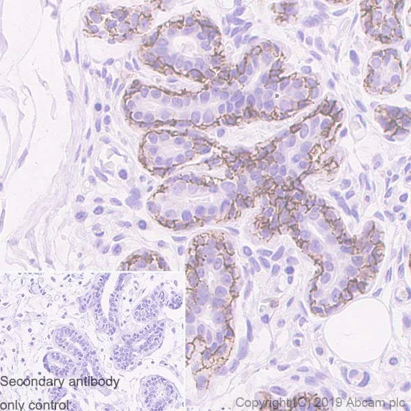
Immunohistochemistry (Formalin/PFA-fixed paraffin-embedded sections) - Anti-CD44v6 antibody [2F10] (AB254174)

Immunohistochemical analysis of paraffin-embedded human breast carcinoma tissue labeling CD44v6 with ab254174 at 3.73μg/ml, followed by a ready to use Goat Anti-Mouse IgG H&L (HRP polymer) (ab214879). Membranous staining on human breast carcinoma tissue is observed. Counterstained with hematoxylin.
Secondary antibody only control : Used PBS instead of primary antibody, followed by ready to use Goat Anti-Mouse IgG H&L (HRP polymer) (ab214879).
Heat mediated antigen retrieval using ab93684 (Tris/EDTA buffer, pH 9.0).

Immunohistochemistry (Formalin/PFA-fixed paraffin-embedded sections) - Anti-CD44v6 antibody [2F10] (AB254174)
  • IHC-P

Supplier Data

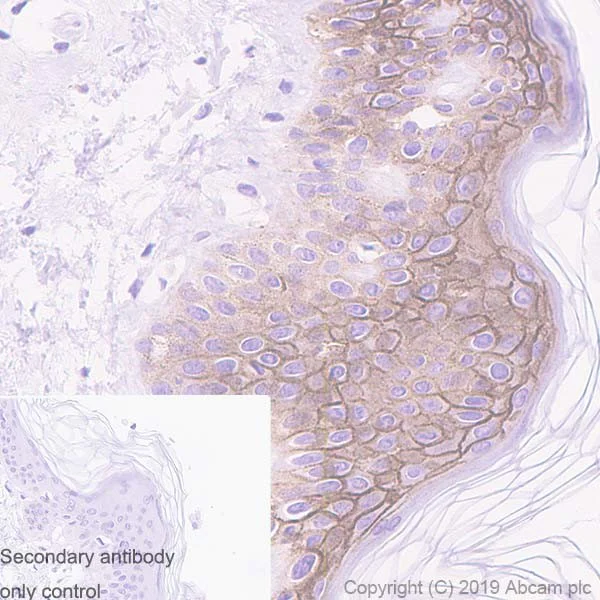
Immunohistochemistry (Formalin/PFA-fixed paraffin-embedded sections) - Anti-CD44v6 antibody [2F10] (AB254174)

Immunohistochemical analysis of paraffin-embedded human skin tissue labeling CD44v6 with ab254174 at 3.73μg/ml, followed by a ready to use Goat Anti-Mouse IgG H&L (HRP polymer) (ab214879). Membranous staining on human skin tissue is observed. Counterstained with hematoxylin.

Secondary antibody only control : Used PBS instead of primary antibody, followed by a ready to use Goat Anti-Mouse IgG H&L (HRP polymer) (ab214879).
Heat mediated antigen retrieval using ab93684 (Tris/EDTA buffer, pH 9.0).

  • Carrier free

    Anti-CD44v6 antibody [2F10] - BSA and Azide free

Key facts

Host species

Mouse

Clonality

Monoclonal

Clone number

2F10

Isotype

IgG1

Carrier free

No

Reacts with

Human

Applications

IHC-P

applications

Immunogen

The exact immunogen used to generate this antibody is proprietary information.

Reactivity data

{ "title": "Reactivity Data", "filters": { "stats": ["", "Species", "Dilution Info", "Notes"], "tabs": { "all-applications": {"fullname" : "All Applications", "shortname": "All Applications"}, "FlowCyt" : {"fullname" : "Flow Cytometry", "shortname":"Flow Cyt"}, "WB" : {"fullname" : "Western blot", "shortname":"WB"}, "ICCIF" : {"fullname" : "Immunocytochemistry/ Immunofluorescence", "shortname":"ICC/IF"}, "IHCP" : {"fullname" : "Immunohistochemistry (Formalin/PFA-fixed paraffin-embedded sections)", "shortname":"IHC-P"} }, "product-promise": { "all": "all", "testedAndGuaranteed": "tested", "guaranteed": "expected", "predicted": "predicted", "notRecommended": "not-recommended" } }, "values": { "Human": { "FlowCyt-species-checked": "notRecommended", "FlowCyt-species-dilution-info": "", "FlowCyt-species-notes": "<p></p>", "WB-species-checked": "notRecommended", "WB-species-dilution-info": "", "WB-species-notes": "<p></p>", "ICCIF-species-checked": "notRecommended", "ICCIF-species-dilution-info": "", "ICCIF-species-notes": "<p></p>", "IHCP-species-checked": "testedAndGuaranteed", "IHCP-species-dilution-info": "3.73 µg/mL", "IHCP-species-notes": "<p></p> Perform heat-mediated antigen retrieval with Tris/EDTA buffer pH 9.0 before commencing with IHC staining protocol." } } }

Product details

What are the advantages of a recombinant monoclonal antibody?
This product is a recombinant monoclonal antibody, which offers several advantages including:

  • - High batch-to-batch consistency and reproducibility
  • - Improved sensitivity and specificity
  • - Long-term security of supply
  • - Animal-free batch production

For more information, read more on recombinant antibodies.

Want a custom formulation?
This antibody clone is manufactured by Abcam. If you require a custom buffer formulation or conjugation for your experiments, please contact orders@abcam.com

Properties and storage information

Form
Liquid
Purification technique
Affinity purification Protein A
Storage buffer
pH: 7.2 - 7.4 Preservative: 0.01% Sodium azide Constituents: PBS, 40% Glycerol (glycerin, glycerine), 0.05% BSA
Shipped at conditions
Blue Ice
Appropriate short-term storage duration
1-2 weeks
Appropriate short-term storage conditions
+4°C
Appropriate long-term storage conditions
-20°C
Aliquoting information
Upon delivery aliquot
Storage information
Avoid freeze / thaw cycle

Product protocols

For this product, it's our understanding that no specific protocols are required. You can visit:

Target data

The protein expressed by gene CD44 functions as a cell-surface receptor involved in cell-cell interactions, cell adhesion, and migration, allowing cells to detect and react to changes in their tissue microenvironment. It is implicated in numerous cellular processes, including the activation, recirculation, and homing of T-lymphocytes, hematopoiesis, inflammation, and the response to bacterial infection. Through its ectodomain, CD44 interacts with extracellular matrix components like hyaluronan, collagen, growth factors, cytokines, and proteases, serving as a platform for signal transduction by forming protein complexes with receptor kinases and membrane proteases via its cytoplasmic domain. Effectors such as PKN2, the RhoGTPases RAC1 and RHOA, Rho-kinases, and phospholipase C coordinate signaling pathways that promote calcium mobilization and actin-mediated cytoskeleton reorganization crucial for cell migration and adhesion. This supplementary information is collated from multiple sources and compiled automatically.
See full target information CD44

Publications (3)

Recent publications for all applications. Explore the full list and refine your search

Clinical and experimental medicine 25:80 PubMed40069421

2025

CD44v6-mediated regulation of gastric cancer stem cells: a potential therapeutic target.

Applications

Unspecified application

Species

Unspecified reactive species

Hao Chen,Ruoyu Ling,Jiayu Lai,Zhiqi Liu,Zhe Wang,Hua Yang,Yi Kong

Biosensors 14: PubMed39727843

2024

Development of a Sensitive and Reliable Meso Scale Discovery-Based Electrochemiluminescence Immunoassay to Quantify TDP-43 in Human Biofluids.

Applications

Unspecified application

Species

Unspecified reactive species

Jiyan An,Lathika Gopalakrishnan,Vanessa Ortega,Justin Saul,Renu Kadali,Robert Bowser

Cancer research 54:4539-46 PubMed7519124

1994

Normal human tissues, in addition to some tumors, express multiple different CD44 isoforms.

Applications

Unspecified application

Species

Unspecified reactive species

S B Fox,J Fawcett,D G Jackson,I Collins,K C Gatter,A L Harris,A Gearing,D L Simmons
View all publications

Product promise

We are committed to supporting your work with high-quality reagents, and we're here for you every step of the way. In the unlikely event that one of our products does not perform as expected, you're protected by our Product Promise.
For full details, please see our Terms & Conditions

Please note: All products are 'FOR RESEARCH USE ONLY. NOT FOR USE IN DIAGNOSTIC OR THERAPEUTIC PROCEDURES'.

For licensing inquiries, please contact partnerships@abcam.com