JavaScript is disabled in your browser. Please enable JavaScript to view this website.
AB217902

Anti-CD44v6 antibody [CD44v6/1246]

Be the first to review this product! Submit a review

|

(2 Publications)

Mouse Monoclonal CD44 antibody. Suitable for IHC-P and reacts with Human samples. Cited in 2 publications. Immunogen corresponding to Recombinant Fragment Protein within Human CD44.

View Alternative Names

CD44, LHR, MDU2, MDU3, MIC4, CD44 antigen, CDw44, Epican, Extracellular matrix receptor III, GP90 lymphocyte homing/adhesion receptor, HUTCH-I, Heparan sulfate proteoglycan, Hermes antigen, Hyaluronate receptor, Phagocytic glycoprotein 1, Phagocytic glycoprotein I, ECMR-III, PGP-1, PGP-I

2 Images
Immunohistochemistry (Formalin/PFA-fixed paraffin-embedded sections) - Anti-CD44v6 antibody [CD44v6/1246] (AB217902)
  • IHC-P

Supplier Data

Immunohistochemistry (Formalin/PFA-fixed paraffin-embedded sections) - Anti-CD44v6 antibody [CD44v6/1246] (AB217902)

Immunohistochemical analysis of formalin-fixed paraffin-embedded human cervival carcinoma labeling CD44v6 with ab217902 at 0.5 μg/mL for 30 minutes at RT.

Immunohistochemistry (Formalin/PFA-fixed paraffin-embedded sections) - Anti-CD44v6 antibody [CD44v6/1246] (AB217902)
  • IHC-P

Supplier Data

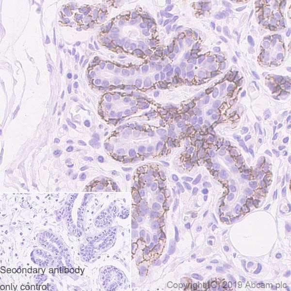
Immunohistochemistry (Formalin/PFA-fixed paraffin-embedded sections) - Anti-CD44v6 antibody [CD44v6/1246] (AB217902)

Immunohistochemical analysis of formalin-fixed paraffin-embedded human tongue carcinoma labeling CD44v6 with ab217902 at 0.5 μg/mL for 30 minutes at RT.

Key facts

Host species

Mouse

Clonality

Monoclonal

Clone number

CD44v6/1246

Isotype

IgG2a

Light chain type

kappa

Carrier free

No

Reacts with

Human

Applications

IHC-P

applications

Immunogen

Recombinant Fragment Protein within Human CD44. The exact immunogen used to generate this antibody is proprietary information.

P16070

Reactivity data

{ "title": "Reactivity Data", "filters": { "stats": ["", "Species", "Dilution Info", "Notes"], "tabs": { "all-applications": {"fullname" : "All Applications", "shortname": "All Applications"}, "IHCP" : {"fullname" : "Immunohistochemistry (Formalin/PFA-fixed paraffin-embedded sections)", "shortname":"IHC-P"} }, "product-promise": { "all": "all", "testedAndGuaranteed": "tested", "guaranteed": "expected", "predicted": "predicted", "notRecommended": "not-recommended" } }, "values": { "Human": { "IHCP-species-checked": "testedAndGuaranteed", "IHCP-species-dilution-info": "1-2 µg/mL", "IHCP-species-notes": "<p></p>" } } }

Properties and storage information

Form
Liquid
Purification technique
Affinity purification Protein A
Storage buffer
pH: 7.2 - 7.4 Preservative: 0.05% Sodium azide Constituents: 99% PBS, 0.05% BSA
Shipped at conditions
Blue Ice
Appropriate short-term storage duration
1-2 weeks
Appropriate short-term storage conditions
+4°C
Appropriate long-term storage conditions
-20°C
Aliquoting information
Upon delivery aliquot
Storage information
Avoid freeze / thaw cycle

Product protocols

For this product, it's our understanding that no specific protocols are required. You can visit:

Target data

The protein expressed by gene CD44 functions as a cell-surface receptor involved in cell-cell interactions, cell adhesion, and migration, allowing cells to detect and react to changes in their tissue microenvironment. It is implicated in numerous cellular processes, including the activation, recirculation, and homing of T-lymphocytes, hematopoiesis, inflammation, and the response to bacterial infection. Through its ectodomain, CD44 interacts with extracellular matrix components like hyaluronan, collagen, growth factors, cytokines, and proteases, serving as a platform for signal transduction by forming protein complexes with receptor kinases and membrane proteases via its cytoplasmic domain. Effectors such as PKN2, the RhoGTPases RAC1 and RHOA, Rho-kinases, and phospholipase C coordinate signaling pathways that promote calcium mobilization and actin-mediated cytoskeleton reorganization crucial for cell migration and adhesion. This supplementary information is collated from multiple sources and compiled automatically.
See full target information CD44

Publications (2)

Recent publications for all applications. Explore the full list and refine your search

Translational pediatrics 13:1190-1200 PubMed39144436

2024

Screening for biomarkers of tuberous sclerosis complex-associated epilepsy: a bioinformatics analysis.

Applications

Unspecified application

Species

Unspecified reactive species

Yongsheng Sun,Haonan Ji,Liqin Xu,Ruiyin Gu,Pasquale Striano,Gavin P Winston,Bin Li,Hui Zhou

BMC musculoskeletal disorders 24:607 PubMed37491225

2023

The clinical significance of CD44v6 in malignant and benign primary bone tumors.

Applications

Unspecified application

Species

Unspecified reactive species

Ameinh Hosseini,Amir Reza Eghtedari,Alireza Mirzaei,Pegah Babaheidarian,Samira Nekoufar,Narges Khademian,Khodamorad Jamshidi,Masoumeh Tavakoli-Yaraki
View all publications

Product promise

We are committed to supporting your work with high-quality reagents, and we're here for you every step of the way. In the unlikely event that one of our products does not perform as expected, you're protected by our Product Promise.
For full details, please see our Terms & Conditions

Please note: All products are 'FOR RESEARCH USE ONLY. NOT FOR USE IN DIAGNOSTIC OR THERAPEUTIC PROCEDURES'.

For licensing inquiries, please contact partnerships@abcam.com