JavaScript is disabled in your browser. Please enable JavaScript to view this website.
AB30436

Anti-CD44v6 antibody [VFF-7]

4

(1 Review)

|

(14 Publications)

Mouse Monoclonal CD44 antibody. Suitable for WB, IHC-P and reacts with Human samples. Cited in 14 publications. Immunogen corresponding to Recombinant Protein within Human CD44.

View Alternative Names

CD44, LHR, MDU2, MDU3, MIC4, CD44 antigen, CDw44, Epican, Extracellular matrix receptor III, GP90 lymphocyte homing/adhesion receptor, HUTCH-I, Heparan sulfate proteoglycan, Hermes antigen, Hyaluronate receptor, Phagocytic glycoprotein 1, Phagocytic glycoprotein I, ECMR-III, PGP-1, PGP-I

2 Images
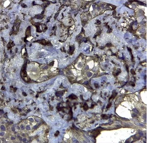
Immunohistochemistry (Formalin/PFA-fixed paraffin-embedded sections) - Anti-CD44v6 antibody [VFF-7] (AB30436)
  • IHC-P

Supplier Data

Immunohistochemistry (Formalin/PFA-fixed paraffin-embedded sections) - Anti-CD44v6 antibody [VFF-7] (AB30436)

Immunoperoxidase staining of formalin fixed, paraffin embedded human breast cancer tissue with ab30436 at 1/200 dilution.

Western blot - Anti-CD44v6 antibody [VFF-7] (AB30436)
  • WB

Lab

Western blot - Anti-CD44v6 antibody [VFF-7] (AB30436)

Lanes 1 - 4 : Merged signal (red and green). Green - ab30436 observed at 80 kDa. Red - loading control, ab52866 (Rabbit anti-alpha Tubulin antibody [EP1332Y]) observed at 55kDa.

ab30436 was shown to react with CD44v6 in wild-type HeLa cells in western blot. Loss of signal was observed when CD44 knockout sample was used. Wild-type HeLa and CD44 knockout cell lysates were subjected to SDS-PAGE. Membranes were blocked in 3% milk in TBS-T (0.1% Tween®) before incubation with ab30436 and ab52866 (Rabbit anti-alpha Tubulin antibody [EP1332Y]) overnight at 4°C at a 1 in 1000 dilution and a 1 in 20000 dilution respectively. Blots were incubated with Goat anti-Mouse IgG H&L (IRDye® 800CW) preabsorbed (ab216772) and Goat anti-Rabbit IgG H&L (IRDye® 680RD) preabsorbed (ab216777) secondary antibodies at 1 in 20000 dilution for 1 hour at room temperature before imaging.

All lanes:

Western blot - Anti-CD44v6 antibody [VFF-7] (ab30436) at 1/1000 dilution

Lane 1:

Wild-type HeLa (Human epithelial cell line from cervix adenocarcinoma) whole cell lysate at 20 µg

Lane 2:

CD44 knockout HeLa (Human epithelial cell line from cervix adenocarcinoma) whole cell lysate at 20 µg

Lane 2:

Western blot - Human CD44 knockout HeLa cell line (<a href='/en-us/products/cell-lines/human-cd44-knockout-hela-cell-line-ab262515'>ab262515</a>)

Lane 3:

A549 (Human lung carcinoma cell line) whole cell lysate at 20 µg

Lane 4:

LNCaP (Human prostate cancer cell line) whole cell lysate at 20 µg

Predicted band size: 81 kDa,82 kDa

Observed band size: 80 kDa

false

Key facts

Host species

Mouse

Clonality

Monoclonal

Clone number

VFF-7

Isotype

IgG1

Carrier free

No

Reacts with

Human

Applications

IHC-P, WB

applications

Immunogen

Recombinant Protein within Human CD44. The exact immunogen used to generate this antibody is proprietary information.

P16070

Epitope

This antibody specifically recognises an epitope encoded by exon v6 on the variant portion of human CD44.

Reactivity data

{ "title": "Reactivity Data", "filters": { "stats": ["", "Species", "Dilution Info", "Notes"], "tabs": { "all-applications": {"fullname" : "All Applications", "shortname": "All Applications"}, "WB" : {"fullname" : "Western blot", "shortname":"WB"}, "IHCP" : {"fullname" : "Immunohistochemistry (Formalin/PFA-fixed paraffin-embedded sections)", "shortname":"IHC-P"} }, "product-promise": { "all": "all", "testedAndGuaranteed": "tested", "guaranteed": "expected", "predicted": "predicted", "notRecommended": "not-recommended" } }, "values": { "Human": { "WB-species-checked": "testedAndGuaranteed", "WB-species-dilution-info": "", "WB-species-notes": "<p></p>", "IHCP-species-checked": "testedAndGuaranteed", "IHCP-species-dilution-info": "1/200", "IHCP-species-notes": "<p></p>" } } }

Properties and storage information

Form
Liquid
Purification technique
Affinity purification Protein G
Storage buffer
Preservative: 0.01% Thimerosal (merthiolate) Constituents: PBS
Shipped at conditions
Blue Ice
Appropriate short-term storage duration
1-2 weeks
Appropriate short-term storage conditions
+4°C
Appropriate long-term storage conditions
-20°C
Aliquoting information
Upon delivery aliquot

Product protocols

For this product, it's our understanding that no specific protocols are required. You can visit:

Target data

The protein expressed by gene CD44 functions as a cell-surface receptor involved in cell-cell interactions, cell adhesion, and migration, allowing cells to detect and react to changes in their tissue microenvironment. It is implicated in numerous cellular processes, including the activation, recirculation, and homing of T-lymphocytes, hematopoiesis, inflammation, and the response to bacterial infection. Through its ectodomain, CD44 interacts with extracellular matrix components like hyaluronan, collagen, growth factors, cytokines, and proteases, serving as a platform for signal transduction by forming protein complexes with receptor kinases and membrane proteases via its cytoplasmic domain. Effectors such as PKN2, the RhoGTPases RAC1 and RHOA, Rho-kinases, and phospholipase C coordinate signaling pathways that promote calcium mobilization and actin-mediated cytoskeleton reorganization crucial for cell migration and adhesion. This supplementary information is collated from multiple sources and compiled automatically.
See full target information CD44

Publications (14)

Recent publications for all applications. Explore the full list and refine your search

Thyroid research 18:47 PubMed41039489

2025

CD44v6 expression in non-anaplastic thyroid carcinoma: characterization of candidates for targeted therapy.

Applications

Unspecified application

Species

Unspecified reactive species

Adam Stenman,Joachim N Nilsson,Vincenzo Condello,Anja C L Mortensen,Marika Nestor,Jan Zedenius,C Christofer Juhlin

Future oncology (London, England) 20:1799-1806 PubMed39011948

2024

Co-expression of CD44v6 and MMP2 predicts lung metastasis and unfavorable prognosis in osteosarcoma.

Applications

Unspecified application

Species

Unspecified reactive species

Shoulei Liang,Liang Li,Zhiliang Guo,Haijing Sun,Yan Yang

Stem cells international 2022:5853707 PubMed36387747

2022

CD44v6+ Hepatocellular Carcinoma Cells Maintain Stemness Properties through Met/cJun/Nanog Signaling.

Applications

Unspecified application

Species

Unspecified reactive species

Wei Chen,Ronghua Wang,Yuchong Zhao,Yawen Li,Xiju Wang,Wang Peng,Shuya Bai,Mengli Zheng,Man Liu,Bin Cheng

Iranian journal of pathology 17:480-490 PubMed36532641

2022

Exploring the Integrated Role of AKT2, CD44v6, And MT1-MMP as Predictors of Axillary Lymph Node Metastasis in Invasive Breast Carcinoma of No Special Type.

Applications

Unspecified application

Species

Unspecified reactive species

Primariadewi Rustamadji,Elvan Wiyarta,Kristina Anna Bethania

Frontiers in oncology 12:862250 PubMed35707369

2022

SFPQ Promotes Lung Cancer Malignancy Regulation of CD44 v6 Expression.

Applications

Unspecified application

Species

Unspecified reactive species

Libang Yang,Jianbo Yang,Blake Jacobson,Adam Gilbertsen,Karen Smith,LeeAnn Higgins,Candace Guerrero,Hong Xia,Craig A Henke,Jizhen Lin

Diagnostics (Basel, Switzerland) 12: PubMed35626430

2022

Evaluation of CD44s, CD44v6, CXCR2, CXCL1, and IL-1β in Benign and Malignant Tumors of Salivary Glands.

Applications

Unspecified application

Species

Unspecified reactive species

Fonthip Laohavisudhi,Titikorn Chunchai,Natnicha Ketchaikosol,Wacharaporn Thosaporn,Nipon Chattipakorn,Siriporn C Chattipakorn

Cancers 13: PubMed34885116

2021

Integrin αvβ6 as a Target for Tumor-Specific Imaging of Vulvar Squamous Cell Carcinoma and Adjacent Premalignant Lesions.

Applications

Unspecified application

Species

Unspecified reactive species

Bertine W Huisman,Merve Cankat,Tjalling Bosse,Alexander L Vahrmeijer,Robert Rissmann,Jacobus Burggraaf,Cornelis F M Sier,Mariette I E van Poelgeest

Theranostics 7:482-492 PubMed28255344

2017

Functional Genomic mRNA Profiling of Colorectal Adenomas: Identification and Validation of CD44 and Splice Variant CD44v6 as Molecular Imaging Targets.

Applications

Unspecified application

Species

Unspecified reactive species

Elmire Hartmans,Veronique Orian-Rousseau,Alexandra Matzke-Ogi,Arend Karrenbeld,Derk Jan A de Groot,Steven de Jong,Gooitzen M van Dam,Rudolf S N Fehrmann,Wouter B Nagengast

Experimental and therapeutic medicine 12:2827-2834 PubMed27882081

2016

Effects of different sutures on fibrosis and wound healing in a rabbit model of corneal wounds.

Applications

Unspecified application

Species

Unspecified reactive species

Ying Li,Hui J Chen,Hua Zhang,Jian G Wu,Yun T Hu,Zhi Z Ma

BMC cancer 16:654 PubMed27542596

2016

Dynamic changes of tumor gene expression during repeated pressurized intraperitoneal aerosol chemotherapy (PIPAC) in women with peritoneal cancer.

Applications

Unspecified application

Species

Unspecified reactive species

Günther A Rezniczek,Friederike Jüngst,Hendrik Jütte,Andrea Tannapfel,Ziad Hilal,Lukas A Hefler,Marc-André Reymond,Clemens B Tempfer
View all publications

Product promise

We are committed to supporting your work with high-quality reagents, and we're here for you every step of the way. In the unlikely event that one of our products does not perform as expected, you're protected by our Product Promise.
For full details, please see our Terms & Conditions

Please note: All products are 'FOR RESEARCH USE ONLY. NOT FOR USE IN DIAGNOSTIC OR THERAPEUTIC PROCEDURES'.

For licensing inquiries, please contact partnerships@abcam.com