JavaScript is disabled in your browser. Please enable JavaScript to view this website.
AB317446

Anti-CD45 antibody [EPR28934-536]

  • BOND RX™ Validated
  • 20ul selling size
  • Recombinant
  • RabMAb
  • What is this?

Be the first to review this product! Submit a review

|

(8 Publications)

Rabbit Recombinant Monoclonal CD45 antibody. Suitable for ICC/IF, WB, Flow Cyt, IP, IHC-P and reacts with Mouse samples. Cited in 8 publications.

View Alternative Names

CD45, Ly-5, Receptor-type tyrosine-protein phosphatase C, Leukocyte common antigen, Lymphocyte antigen 5, T200, L-CA

10 Images
Flow Cytometry - Anti-CD45 antibody [EPR28934-536] (AB317446)
  • Flow Cyt

Supplier Data

Flow Cytometry - Anti-CD45 antibody [EPR28934-536] (AB317446)

Flow cytometric analysis of J774A.1 (mouse reticulum cell sarcoma monocyte/macrophage) (Right) / HL-1 (mouse atrial muscle cell) (Left) cells labelling CD45 with ab317446 at 1/500 dilution (0.1ug)/Red compared with a Rabbit monoclonal IgG (ab172730) (Black) isotype control and an unlabelled control (cells without incubation with primary antibody and secondary antibody) (Blue).

Goat Anti-Rabbit IgG (Alexa Fluor® 488, ab150081) at 1/5000 dilution was used as the secondary antibody.

Low expression : HL-1. Gated on vaible cells.

Flow Cytometry - Anti-CD45 antibody [EPR28934-536] (AB317446)
  • Flow Cyt

Supplier Data

Flow Cytometry - Anti-CD45 antibody [EPR28934-536] (AB317446)

Flow cytometric analysis of RAW 264.7 (mouse Abelson murine leukemia virus-induced tumor macrophage) (Right) / C2C12 (mouse myoblast) (Left) cells labelling CD45 with ab317446 at 1/500 dilution (0.1ug)/Red compared with a Rabbit monoclonal IgG (ab172730) (Black) isotype control and an unlabelled control (cells without incubation with primary antibody and secondary antibody) (Blue).

Goat Anti-Rabbit IgG (Alexa Fluor® 488, ab150081) at 1/5000 dilution was used as the secondary antibody.

Low expression : C2C12. Gated on viable cells.

Immunocytochemistry/ Immunofluorescence - Anti-CD45 antibody [EPR28934-536] (AB317446)
  • ICC/IF

Supplier Data

Immunocytochemistry/ Immunofluorescence - Anti-CD45 antibody [EPR28934-536] (AB317446)

Immunofluorescent analysis of 4% Paraformaldehyde-fixed, 0.1% TritonX-100 permeabilized J774A.1 (mouse reticulum cell sarcoma monocyte/macrophage) cells labelling CD45 with ab317446 at 1/500 (1.03 ug/ml) dilution, followed by ab150081 Goat Anti-Rabbit IgG H&L (Alexa Fluor® 488) preadsorbed antibody at 1/1000 2 ug/mL dilution (Green).

Confocal image showing membrane staining in J774A.1 cell line (shown in green). The counterstain was observed in magenta. Nuclear DNA was labeled with DAPI (shown in blue).
Low expression : C2C12
Image was taken with a confocal microscope (Leica-Microsystems, TCS SP8).

ab195889 Anti-alpha Tubulin mouse monoclonal antibody - Microtubule Marker (Alexa Fluor® 594) was used to counterstain tubulin at 1/200 2.5ug/ml dilution (Magenta). The Nuclear counterstain was DAPI (Blue).

Secondary antibody only control : Secondary antibody is ab150081 Goat Anti-Rabbit IgG H&L (Alexa Fluor® 488) preadsorbed at 1/1000 2 ug/mL dilution.

Immunohistochemistry (Formalin/PFA-fixed paraffin-embedded sections) - Anti-CD45 antibody [EPR28934-536] (AB317446)
  • IHC-P

Supplier Data

Immunohistochemistry (Formalin/PFA-fixed paraffin-embedded sections) - Anti-CD45 antibody [EPR28934-536] (AB317446)

Immunohistochemical analysis of paraffin-embedded Mouse spleen tissue labeling CD45 with ab317446 at 1/2000 (0.258 ug/ml) dilution, followed by a ready to use LeicaDS9800 (Bond™ Polymer Refine Detection).

Positive staining on mouse spleen.
The section was incubated with ab317446 for 30 mins at room temperature.
The immunostaining was performed on a Leica Biosystems BOND® RX instrument

Counterstained with Hematoxylin.

Secondary antibody only control : Secondary antibody is a ready to use LeicaDS9800 (Bond™ Polymer Refine Detection).

Heat mediated antigen retrieval was performed with Tris-EDTA buffer (pH 9.0, Epitope Retrieval Solution2) for 20 mins

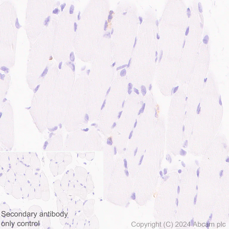
Immunohistochemistry (Formalin/PFA-fixed paraffin-embedded sections) - Anti-CD45 antibody [EPR28934-536] (AB317446)
  • IHC-P

Supplier Data

Immunohistochemistry (Formalin/PFA-fixed paraffin-embedded sections) - Anti-CD45 antibody [EPR28934-536] (AB317446)

Immunohistochemical analysis of paraffin-embedded Mouse skeletal muscle tissue labeling CD45 with ab317446 at 1/2000 (0.258 ug/ml) dilution, followed by a ready to use LeicaDS9800 (Bond™ Polymer Refine Detection).

Low expression tissue : Low expression on immune cells of mouse skeletal muscle.
The section was incubated with ab317446 for 30 mins at room temperature.
The immunostaining was performed on a Leica Biosystems BOND® RX instrument

Counterstained with Hematoxylin.

Secondary antibody only control : Secondary antibody is a ready to use LeicaDS9800 (Bond™ Polymer Refine Detection).

Heat mediated antigen retrieval was performed with Tris-EDTA buffer (pH 9.0, Epitope Retrieval Solution2) for 20 mins

Immunocytochemistry/ Immunofluorescence - Anti-CD45 antibody [EPR28934-536] (AB317446)
  • ICC/IF

Supplier Data

Immunocytochemistry/ Immunofluorescence - Anti-CD45 antibody [EPR28934-536] (AB317446)

Immunofluorescent analysis of 4% Paraformaldehyde-fixed, 0.1% TritonX-100 permeabilized Mouse PBMC (mouse peripheral blood mononuclear cell) cells labelling CD45 with ab317446 at 1/500 (1.03 ug/ml) dilution, followed by ab150081 Goat Anti-Rabbit IgG H&L (Alexa Fluor® 488) preadsorbed antibody at 1/1000 2 ug/mL dilution (Green).

Confocal image showing membrane staining in mouse PBMC (shown in green). The counterstain was observed in magenta. Nuclear DNA was labeled with DAPI (shown in blue).
Image was taken with a confocal microscope (Leica-Microsystems, TCS SP8).

Anti-rat CD3 mouse monoclonal antibody (Alexa Fluor® 647) was used to counterstain tubulin at 1/100 5ug/ml dilution (Magenta). The Nuclear counterstain was DAPI (Blue).

Secondary antibody only control : Secondary antibody is ab150081 Goat Anti-Rabbit IgG H&L (Alexa Fluor® 488) preadsorbed at 1/1000 2 ug/mL dilution.

Flow Cytometry - Anti-CD45 antibody [EPR28934-536] (AB317446)
  • Flow Cyt

Supplier Data

Flow Cytometry - Anti-CD45 antibody [EPR28934-536] (AB317446)

Flow cytometric analysis of Mouse PBMC cells labelling CD45 with ab317446 at 1/500 dilution (0.1ug) / right compared with a Rabbit monoclonal IgG (ab172730) / Left isotype control and an unlabelled control (cells without incubation with primary antibody and secondary antibody) (Blue).

Goat Anti-Rabbit IgG (Alexa Fluor® 488, ab150081) at 1/5000 dilution was used as the secondary antibody.

Cells were co-stained with anti-CD3 conjugated to Alexa Fluor®647.
Gated on viable cells.

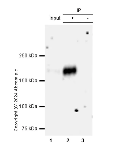
Immunoprecipitation - Anti-CD45 antibody [EPR28934-536] (AB317446)
  • IP

Supplier Data

Immunoprecipitation - Anti-CD45 antibody [EPR28934-536] (AB317446)

CD45 was immunoprecipitated from 0.35 mg J774A.1 (mouse reticulum cell sarcoma monocyte/macrophage) whole cell lysate with ab317446 at 1/30 dilution (2ug in 0.35mg lysates). Western blot was performed on the immunoprecipitate using ab317446 at 1/1000 dilution. VeriBlot for IP secondary antibody(HRP)(ab131366) was used at 1/5000 dilution.

Lane 1 : J774A.1 (mouse reticulum cell sarcoma monocyte/macrophage) whole cell lysate
Lane 2 : ab317446 IP in J774A.1 (mouse reticulum cell sarcoma monocyte/macrophage) whole cell lysate
Lane 3 : Rabbit monoclonal IgG (ab172730) instead of ab317446 in J774A.1 whole cell lysate

Blocking and dilution buffer and concentration : 5% NFDM/TBST.

All lanes:

Immunoprecipitation - Anti-CD45 antibody [EPR28934-536] (ab317446) at 1/30 dilution

All lanes:

J774A.1 (mouse reticulum cell sarcoma monocyte/macrophage) whole cell lysate

Secondary

All lanes:

Immunoprecipitation - VeriBlot for IP Detection Reagent (HRP) (<a href='/en-us/products/reagents/veriblot-for-ip-detection-reagent-hrp-ab131366'>ab131366</a>) at 1/5000 dilution

false

Exposure time: 180s

Western blot - Anti-CD45 antibody [EPR28934-536] (AB317446)
  • WB

Supplier Data

Western blot - Anti-CD45 antibody [EPR28934-536] (AB317446)

Blocking and diluting buffer and concentration : 5% NFDM/TBST.

Low expression : C2C12, HL-1.

The expression profile/ molecular weight observed is consistent with what has been described in the literature (PMID : 37917373).

In Western blot, Anti-Vinculin antibody [EPR8185] (ab129002) staining at 1/10000 dilution.

All lanes:

Western blot - Anti-CD45 antibody [EPR28934-536] (ab317446) at 1/1000 dilution

Lane 1:

J774A.1 (mouse reticulum cell sarcoma monocyte/macrophage) whole cell lysate at 80 µg

Lane 2:

C2C12 (mouse myoblast) whole cell lysate at 80 µg

Lane 3:

HL-1 (mouse atrial muscle cell) whole cell lysate at 80 µg

Secondary

All lanes:

Western blot - Goat Anti-Rabbit IgG H&L (HRP) (<a href='/en-us/products/secondary-antibodies/goat-rabbit-igg-h-l-hrp-ab97051'>ab97051</a>) at 1/100000 dilution

Observed band size: 200 kDa,124 kDa

true

Exposure time: 180s

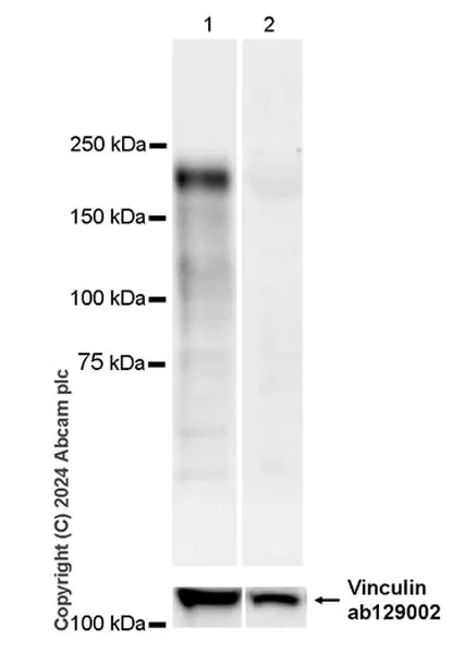
Western blot - Anti-CD45 antibody [EPR28934-536] (AB317446)
  • WB

Supplier Data

Western blot - Anti-CD45 antibody [EPR28934-536] (AB317446)

Blocking and diluting buffer and concentration : 5% NFDM/TBST.

Low expression : skeletal muscle.

The expression profile/ molecular weight observed is consistent with what has been described in the literature (PMID : 37917373).

In Western blot, Anti-Vinculin antibody [EPR8185] (ab129002) staining at 1/10000 dilution.

All lanes:

Western blot - Anti-CD45 antibody [EPR28934-536] (ab317446) at 1/1000 dilution

Lane 1:

Mouse thymus tissue lysate at 80 µg

Lane 2:

Mouse skeletal muscle tissue lysate at 80 µg

Secondary

All lanes:

Western blot - Goat Anti-Rabbit IgG H&L (HRP) (<a href='/en-us/products/secondary-antibodies/goat-rabbit-igg-h-l-hrp-ab97051'>ab97051</a>) at 1/100000 dilution

Observed band size: 200 kDa,124 kDa

true

Exposure time: 81s

  • Carrier free

    Anti-CD45 antibody [EPR28934-536] - BSA and Azide free

  • 665 Alexa Fluor® 647

    Alexa Fluor® 647 Anti-CD45 antibody [EPR28934-536]

  • 578 PE

    PE Anti-CD45 antibody [EPR28934-536]

  • 660 APC

    APC Anti-CD45 antibody [EPR28934-536]

  • 617 Alexa Fluor® 594

    Alexa Fluor® 594 Anti-CD45 antibody [EPR28934-536]

Key facts

Host species

Rabbit

Clonality

Monoclonal

Clone number

EPR28934-536

Isotype

IgG

Carrier free

No

Reacts with

Mouse

Applications

WB, ICC/IF, IP, IHC-P, Flow Cyt

applications

Immunogen

The exact immunogen used to generate this antibody is proprietary information.

Reactivity data

{ "title": "Reactivity Data", "filters": { "stats": ["", "Species", "Dilution Info", "Notes"], "tabs": { "all-applications": {"fullname" : "All Applications", "shortname": "All Applications"}, "ICCIF" : {"fullname" : "Immunocytochemistry/ Immunofluorescence", "shortname":"ICC/IF"}, "WB" : {"fullname" : "Western blot", "shortname":"WB"}, "FlowCyt" : {"fullname" : "Flow Cytometry", "shortname":"Flow Cyt"}, "IP" : {"fullname" : "Immunoprecipitation", "shortname":"IP"}, "IHCP" : {"fullname" : "Immunohistochemistry (Formalin/PFA-fixed paraffin-embedded sections)", "shortname":"IHC-P"} }, "product-promise": { "all": "all", "testedAndGuaranteed": "tested", "guaranteed": "expected", "predicted": "predicted", "notRecommended": "not-recommended" } }, "values": { "Human": { "ICCIF-species-checked": "notRecommended", "ICCIF-species-dilution-info": "", "ICCIF-species-notes": "", "WB-species-checked": "notRecommended", "WB-species-dilution-info": "", "WB-species-notes": "<p></p>", "FlowCyt-species-checked": "notRecommended", "FlowCyt-species-dilution-info": "", "FlowCyt-species-notes": "<p></p>", "IP-species-checked": "notRecommended", "IP-species-dilution-info": "", "IP-species-notes": "", "IHCP-species-checked": "notRecommended", "IHCP-species-dilution-info": "", "IHCP-species-notes": "<p></p>" }, "Mouse": { "ICCIF-species-checked": "testedAndGuaranteed", "ICCIF-species-dilution-info": "1/500", "ICCIF-species-notes": "<p></p>", "WB-species-checked": "testedAndGuaranteed", "WB-species-dilution-info": "1/1000", "WB-species-notes": "<p></p>", "FlowCyt-species-checked": "testedAndGuaranteed", "FlowCyt-species-dilution-info": "1/500", "FlowCyt-species-notes": "<p></p>", "IP-species-checked": "testedAndGuaranteed", "IP-species-dilution-info": "1/30", "IP-species-notes": "<p></p>", "IHCP-species-checked": "testedAndGuaranteed", "IHCP-species-dilution-info": "1/2000", "IHCP-species-notes": "<p></p> Perform heat-mediated antigen retrieval with Tris/EDTA buffer pH 9.0 before commencing with IHC staining protocol." }, "Rat": { "ICCIF-species-checked": "notRecommended", "ICCIF-species-dilution-info": "", "ICCIF-species-notes": "", "WB-species-checked": "notRecommended", "WB-species-dilution-info": "", "WB-species-notes": "<p></p>", "FlowCyt-species-checked": "notRecommended", "FlowCyt-species-dilution-info": "", "FlowCyt-species-notes": "", "IP-species-checked": "notRecommended", "IP-species-dilution-info": "", "IP-species-notes": "", "IHCP-species-checked": "notRecommended", "IHCP-species-dilution-info": "", "IHCP-species-notes": "<p></p>" } } }

Product details

Patented technology
Our RabMAb® technology is a patented hybridoma-based technology for making rabbit monoclonal antibodies. For details on our patents, please refer to RabMAb® patents.

What are the advantages of a recombinant monoclonal antibody?
This product is a recombinant monoclonal antibody, which offers several advantages including:

  • - High batch-to-batch consistency and reproducibility
  • - Improved sensitivity and specificity
  • - Long-term security of supply
  • - Animal-free batch production

For more information, read more on recombinant antibodies.

Properties and storage information

Form
Liquid
Purification technique
Affinity purification Protein A
Storage buffer
pH: 7.2 - 7.4 Preservative: 0.01% Sodium azide Constituents: PBS, 40% Glycerol (glycerin, glycerine), 0.05% BSA
Shipped at conditions
Blue Ice
Appropriate short-term storage duration
1-2 weeks
Appropriate short-term storage conditions
+4°C
Appropriate long-term storage conditions
-20°C
Aliquoting information
Upon delivery aliquot
Storage information
Avoid freeze / thaw cycle

Supplementary information

This supplementary information is collated from multiple sources and compiled automatically.

CD45 also known as Protein tyrosine phosphatase receptor type C (PTPRC) is a transmembrane glycoprotein with a molecular mass ranging between 180-240 kDa depending on its isoform. It is expressed on the surface of almost all hematopoietic cells except for mature erythrocytes and platelets. CD45 has a critical role in regulating antigen receptor signaling by modifying kinases involved in signal transduction and it is essential in lymphocyte development and activation. Because of its broad expression on immune cells CD45 is a valuable marker for differentiating various immune cell types in assays like flow cytometry and immunohistochemistry (IHC) often referred to as CD45 stain.
Biological function summary

CD45 acts by regulating tyrosine phosphorylation in the immune cell signaling context participating directly in signal transduction. It functions by dephosphorylating specific phosphotyrosine residues on various proteins modulating the signaling threshold required for lymphocyte activation. Although not known to be part of a protein complex CD45 itself shows isoform variation that associates with specific immune cell types impacting their function. Importantly CD45 interacts with multiple signaling molecules to affect cell growth and differentiation.

Pathways

Scientists associate CD45 with signaling pathways such as the T-cell receptor (TCR) and B-cell receptor (BCR) signaling. CD45 modulates the activity of Src family kinases important elements in these pathways making it essential for effective immune response and tolerance. Furthermore interactions between CD45 and proteins like Lck in T-cells or Lyn in B-cells highlight its pivotal role in executing its signaling functions.

Scientists often link CD45 to immune-related conditions including autoimmunity and leukemia. In autoimmune diseases altered CD45 expression or activity can disrupt normal immune function contributing to pathogenesis. In leukemia CD45 expression levels can assist in disease classification and prognosis as it interacts with proteins involved in cell cycle regulation. The anti-CD45 antibodies can provide diagnostic and therapeutic avenues highlighting their utility in disease management.

Product protocols

For this product, it's our understanding that no specific protocols are required. You can visit:

Target data

Protein tyrosine-protein phosphatase required for T-cell activation through the antigen receptor. Acts as a positive regulator of T-cell coactivation upon binding to DPP4. The first PTPase domain has enzymatic activity, while the second one seems to affect the substrate specificity of the first one. Upon T-cell activation, recruits and dephosphorylates SKAP1 and FYN (By similarity). Dephosphorylates LYN, and thereby modulates LYN activity.
See full target information Ptprc

Publications (8)

Recent publications for all applications. Explore the full list and refine your search

European journal of histochemistry : EJH 69: PubMed40984793

2025

miR-199a-5p inhibited HIF-1α to suppress the proliferation, migration, and differentiation of cardiac stem cells.

Applications

Unspecified application

Species

Unspecified reactive species

Sha Li,Cuigai Zhang,Yanping Liu,Cuiqiao Meng,Yang Xie,Shuren Li

Journal of nanobiotechnology 23:469 PubMed40598231

2025

Targeting YTHDF2 with pH-responsive siRNA nanoparticles suppresses MYC m6A modification and restores antitumor immunity in hepatocellular carcinoma.

Applications

Unspecified application

Species

Unspecified reactive species

Ziqi Guo,Qiuling Huang,Zhenzhen Cui,Cheng Yang,Liu Yang

Journal of ovarian research 18:126 PubMed40495228

2025

MACS and acellular autologous non-ovarian tissue scaffolds: a promising strategy for safe and efficient follicle transplantation in hematologic cancer.

Applications

Unspecified application

Species

Unspecified reactive species

Lijun Yin,Yating Zhao,Peiwen Zhang,Tongyun Qi,Peilin Han,Luya Cai,Jun Pan,Yongyi Yang,Jie Shi,Shi Feng,Yinying Zou,Kangxin He,Guoliang Xie,Weihua He,Xinhui Zhou,Jianhua Qian

Cell death and differentiation 32:1336-1352 PubMed40021897

2025

The Trim32-DPEP2 axis is an inflammatory switch in macrophages during intestinal inflammation.

Applications

Unspecified application

Species

Unspecified reactive species

Zhiyan Zhan,Huisheng Liang,Zhuoqi Zhao,Liya Pan,Jing Li,Yuyun Chen,Zhoulonglong Xie,Zhilong Yan,Ying Xiang,Wenxue Liu,Li Hong

European journal of medical research 30:124 PubMed39987090

2025

Immunological landscape of periodontitis and rheumatoid arthritis and their molecular crosstalk.

Applications

Unspecified application

Species

Unspecified reactive species

Weimin Zhao,Chenxu Liu,Xiangzhi Cui,Qianjiang Chen

Journal of experimental & clinical cancer research : CR 44:35 PubMed39901195

2025

Integrative analysis of immunogenic PANoptosis and experimental validation of cinobufagin-induced activation to enhance glioma immunotherapy.

Applications

Unspecified application

Species

Unspecified reactive species

Yonghua Cai,Heng Xiao,Shuaishuai Xue,Peng Li,Zhengming Zhan,Jie Lin,Zibin Song,Jun Liu,Wei Xu,Qixiong Zhou,Songtao Qi,Xi'an Zhang,Ziyi Luo

Biomolecules & biomedicine 25:1553-1570 PubMed39739400

2025

hUC-MSC extracellular vesicles protect against hypoxic-ischemic brain injury by promoting NLRP3 ubiquitination.

Applications

Unspecified application

Species

Unspecified reactive species

Shanshan Xiao,Ying Lv,Xuejing Hou,Shuqiang Qu

NPJ Regenerative medicine 9:43 PubMed39738050

2024

Macrophage-derived extracellular vesicles transfer mitochondria to adipocytes and promote adipocyte-myofibroblast transition in epidural fibrosis.

Applications

Unspecified application

Species

Unspecified reactive species

Feng Hua,Jinpeng Sun,Mohan Shi,Rui Mei,Zeyuan Song,Jun Liu,Mingshun Zhang
View all publications

Product promise

We are committed to supporting your work with high-quality reagents, and we're here for you every step of the way. In the unlikely event that one of our products does not perform as expected, you're protected by our Product Promise.
For full details, please see our Terms & Conditions

Please note: All products are 'FOR RESEARCH USE ONLY. NOT FOR USE IN DIAGNOSTIC OR THERAPEUTIC PROCEDURES'.

For licensing inquiries, please contact partnerships@abcam.com