JavaScript is disabled in your browser. Please enable JavaScript to view this website.
AB318154

Anti-CD45 antibody [RM2051]

  • BOND RX™ Validated
  • 20ul selling size
  • Recombinant
  • RabMAb
  • What is this?

Be the first to review this product! Submit a review

|

(1 Publication)

Rabbit Recombinant Multiclonal CD45 antibody. Suitable for WB, IHC-P, ICC/IF, Flow Cyt and reacts with Mouse, Human samples. Cited in 1 publication.

View Alternative Names

CD45, Ly-5, Receptor-type tyrosine-protein phosphatase C, Leukocyte common antigen, Lymphocyte antigen 5, T200, L-CA, CD45, PTPRC, Receptor-type tyrosine-protein phosphatase C, Leukocyte common antigen, T200, L-CA

12 Images
Flow Cytometry - Anti-CD45 antibody [RM2051] (AB318154)
  • Flow Cyt

Supplier Data

Flow Cytometry - Anti-CD45 antibody [RM2051] (AB318154)

Flow cytometric analysis of 293T (human embryonic kidney epithelial cell, Left) / Jurkat (human T cell leukemia T lymphocyte from peripheral blood, Right) cells labelling CD45 with ab318154 at 1/500 dilution (0.1 ug)/Magenta compared with a Rabbit monoclonal IgG (ab172730) (Black) isotype control and an unlabelled control (cells without incubation with primary antibody and secondary antibody) (Blue).

Goat Anti-Rabbit IgG (Alexa Fluor® 488, ab150081) at 1/5000 dilution was used as the secondary antibody.

Gated on viable cell.
Negative control : 293T (PMID : 16005866)

Flow Cytometry - Anti-CD45 antibody [RM2051] (AB318154)
  • Flow Cyt

Supplier Data

Flow Cytometry - Anti-CD45 antibody [RM2051] (AB318154)

Flow cytometric analysis of human PBMC (human peripheral blood mononuclear cell) cells labelling CD45 with ab318154 at 1/500 dilution (0.1 ug)/Right compared with a Rabbit monoclonal IgG (ab172730) / Left isotype control and an unlabelled control (cells without incubation with primary antibody and secondary antibody) (Blue).

Goat Anti-Rabbit IgG (Alexa Fluor® 488, ab150081) at 1/5000 dilution was used as the secondary antibody.

Human PBMC are co-stained with CD3 conjugated BV421 (440/50BP).
Gated on viable cell.

Immunocytochemistry/ Immunofluorescence - Anti-CD45 antibody [RM2051] (AB318154)
  • ICC/IF

Supplier Data

Immunocytochemistry/ Immunofluorescence - Anti-CD45 antibody [RM2051] (AB318154)

Immunofluorescent analysis of 4% Paraformaldehyde-fixed, 0.1% TritonX-100 permeabilized Jurkat (human T cell leukemia T lymphocyte from peripheral blood) cells labelling CD45 with ab318154 at 1/100 (4.99 ug/ml) dilution, followed by ab150081 Goat Anti-Rabbit IgG H&L (Alexa Fluor® 488) preadsorbed antibody at 1/1000 2 ug/ml dilution (Green).

Confocal image showing mainly membranous staining in Jurkat cell line (shown in green). The counterstain was observed in magenta. Nuclear DNA was labeled with DAPI (shown in blue).
Negative control : 293T (PMID : 16005866).
Image was taken with a confocal microscope (Leica-Microsystems, TCS SP8).

ab195889 Anti-alpha Tubulin mouse monoclonal antibody - Microtubule Marker (Alexa Fluor® 594) was used to counterstain tubulin at 1/200 2.5ug/ml dilution (Magenta). The Nuclear counterstain was DAPI (Blue).

Secondary antibody only control : Secondary antibody is ab150081 Goat Anti-Rabbit IgG H&L (Alexa Fluor® 488) preadsorbed at 1/1000 2 ug/ml dilution.

Immunocytochemistry/ Immunofluorescence - Anti-CD45 antibody [RM2051] (AB318154)
  • ICC/IF

Supplier Data

Immunocytochemistry/ Immunofluorescence - Anti-CD45 antibody [RM2051] (AB318154)

Immunofluorescent analysis of 4% Paraformaldehyde-fixed, 0.1% TritonX-100 permeabilized Human PBMC (Human primary peripheral blood mononuclear cell ) cells labelling CD45 with ab318154 at 1/100 (4.99 ug/ml) dilution, followed by ab150081 Goat Anti-Rabbit IgG H&L (Alexa Fluor® 488) preadsorbed antibody at 1/1000 2 ug/ml dilution (Green).

Confocal image showing membranous staining in almost all of human PBMC (shown in green). The counterstain was observed in magenta. Nuclear DNA was labeled with DAPI (shown in blue).
Image was taken with a confocal microscope (Leica-Microsystems, TCS SP8).

Anti-human CD3 mouse monoclonal antibody (Alexa Fluor® 647) was used to counterstain tubulin at 1/200 2.5ug/ml dilution (Magenta). The Nuclear counterstain was DAPI (Blue).

Secondary antibody only control : Secondary antibody is ab150081 Goat Anti-Rabbit IgG H&L (Alexa Fluor® 488) preadsorbed at 1/1000 2 ug/ml dilution.

Flow Cytometry - Anti-CD45 antibody [RM2051] (AB318154)
  • Flow Cyt

Supplier Data

Flow Cytometry - Anti-CD45 antibody [RM2051] (AB318154)

Flow cytometric analysis of C2C12 (mouse myoblast, Left) / J774A.1 (mouse reticulum cell sarcoma monocyte/macrophage, Right) cells labelling CD45 with ab318154 at 1/500 dilution (0.1 ug)/Magenta compared with a Rabbit monoclonal IgG (ab172730) (Black) isotype control and an unlabelled control (cells without incubation with primary antibody and secondary antibody) (Blue).

Goat Anti-Rabbit IgG (Alexa Fluor® 488, ab150081) at 1/5000 dilution was used as the secondary antibody.

Gated on viable cell.
Negative control : C2C12

Immunohistochemistry (Formalin/PFA-fixed paraffin-embedded sections) - Anti-CD45 antibody [RM2051] (AB318154)
  • IHC-P

Supplier Data

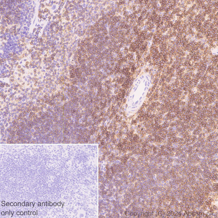
Immunohistochemistry (Formalin/PFA-fixed paraffin-embedded sections) - Anti-CD45 antibody [RM2051] (AB318154)

Immunohistochemical analysis of paraffin-embedded Mouse spleen tissue labeling CD45 with ab318154 at 1/2000 (0.25 ug/ml) dilution, followed by a ready to use LeicaDS9800 (Bond™ Polymer Refine Detection).

Positive staining on mouse spleen.
The section was incubated with ab318154 for 30 mins at room temperature.
The immunostaining was performed on a Leica Biosystems BOND® RX instrument

Counterstained with Hematoxylin.

Secondary antibody only control : Secondary antibody is a ready to use LeicaDS9800 (Bond™ Polymer Refine Detection).

Heat mediated antigen retrieval was performed with Tris-EDTA buffer (pH 9.0, Epitope Retrieval Solution2) for 20 mins

Immunocytochemistry/ Immunofluorescence - Anti-CD45 antibody [RM2051] (AB318154)
  • ICC/IF

Supplier Data

Immunocytochemistry/ Immunofluorescence - Anti-CD45 antibody [RM2051] (AB318154)

Immunofluorescent analysis of 4% Paraformaldehyde-fixed, 0.1% TritonX-100 permeabilized mouse splenocyte cells labelling CD45 with ab318154 at 1/100 (4.99 ug/ml) dilution, followed by ab150081 Goat Anti-Rabbit IgG H&L (Alexa Fluor® 488) preadsorbed antibody at 1/1000 2 ug/ml dilution (Green).

Confocal image showing membranous staining in almost all of mouse splenocytes (shown in green). The counterstain was observed in magenta. Nuclear DNA was labeled with DAPI (shown in blue).
Image was taken with a confocal microscope (Leica-Microsystems, TCS SP8).

Anti-rat CD3 mouse monoclonal antibody (Alexa Fluor® 647) was used to counterstain tubulin at 1/100 5ug/ml dilution (Magenta). The Nuclear counterstain was DAPI (Blue).

Secondary antibody only control : Secondary antibody is ab150081 Goat Anti-Rabbit IgG H&L (Alexa Fluor® 488) preadsorbed at 1/1000 2 ug/ml dilution.

Flow Cytometry - Anti-CD45 antibody [RM2051] (AB318154)
  • Flow Cyt

Supplier Data

Flow Cytometry - Anti-CD45 antibody [RM2051] (AB318154)

Flow cytometric analysis of Mouse spleen cell cells labelling CD45 with ab318154 at 1/500 dilution (0.1 ug)/Right compared with a Rabbit monoclonal IgG (ab172730) / Left isotype control and an unlabelled control (cells without incubation with primary antibody and secondary antibody) (Blue).

Goat Anti-Rabbit IgG (Alexa Fluor® 488, ab150081) at 1/5000 dilution was used as the secondary antibody.

Mouse spleen cell are co-stained with CD3 conjugated BV421 (440/50BP).
Gated on viable cell.

Immunohistochemistry (Formalin/PFA-fixed paraffin-embedded sections) - Anti-CD45 antibody [RM2051] (AB318154)
  • IHC-P

Supplier Data

Immunohistochemistry (Formalin/PFA-fixed paraffin-embedded sections) - Anti-CD45 antibody [RM2051] (AB318154)

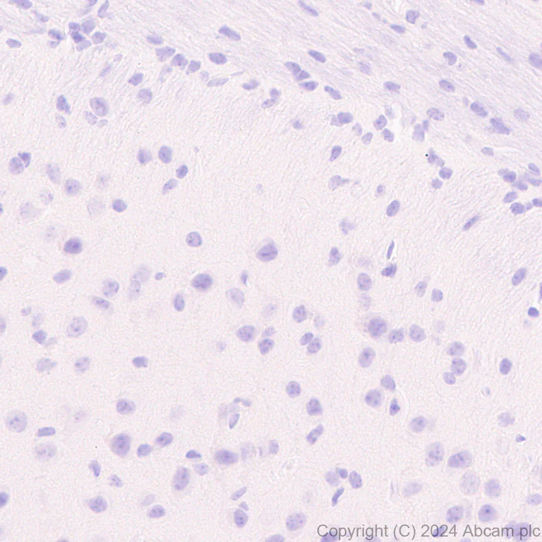
Immunohistochemical analysis of paraffin-embedded Mouse cerebrum tissue labeling CD45 with ab318154 at 1/2000 (0.25 ug/ml) dilution, followed by a ready to use LeicaDS9800 (Bond™ Polymer Refine Detection).

Negative control : No staining on mouse cerebrum.
The section was incubated with ab318154 for 30 mins at room temperature.
The immunostaining was performed on a Leica Biosystems BOND® RX instrument

Counterstained with Hematoxylin.

Secondary antibody only control : Secondary antibody is a ready to use LeicaDS9800 (Bond™ Polymer Refine Detection).

Heat mediated antigen retrieval was performed with Tris-EDTA buffer (pH 9.0, Epitope Retrieval Solution2) for 20 mins

Immunohistochemistry (Formalin/PFA-fixed paraffin-embedded sections) - Anti-CD45 antibody [RM2051] (AB318154)
  • IHC-P

Supplier Data

Immunohistochemistry (Formalin/PFA-fixed paraffin-embedded sections) - Anti-CD45 antibody [RM2051] (AB318154)

Immunohistochemical analysis of paraffin-embedded Mouse skeletal muscle tissue labeling CD45 with ab318154 at 1/2000 (0.25 ug/ml) dilution, followed by a ready to use LeicaDS9800 (Bond™ Polymer Refine Detection).

Low expression tissue : No staining on mouse skeletal muscle.
The section was incubated with ab318154 for 30 mins at room temperature.
The immunostaining was performed on a Leica Biosystems BOND® RX instrument

Counterstained with Hematoxylin.

Secondary antibody only control : Secondary antibody is a ready to use LeicaDS9800 (Bond™ Polymer Refine Detection).

Heat mediated antigen retrieval was performed with Tris-EDTA buffer (pH 9.0, Epitope Retrieval Solution2) for 20 mins

Immunocytochemistry/ Immunofluorescence - Anti-CD45 antibody [RM2051] (AB318154)
  • ICC/IF

Supplier Data

Immunocytochemistry/ Immunofluorescence - Anti-CD45 antibody [RM2051] (AB318154)

Immunofluorescent analysis of 4% Paraformaldehyde-fixed, 0.1% TritonX-100 permeabilized J774A.1 ( mouse reticulum cell sarcoma monocyte/macrophage) cells labelling CD45 with ab318154 at 1/100 (4.99 ug/ml) dilution, followed by ab150081 Goat Anti-Rabbit IgG H&L (Alexa Fluor® 488) preadsorbed antibody at 1/1000 2 ug/ml dilution (Green).

Confocal image showing mainly membranous staining in J774A.1 cell line (shown in green). The counterstain was observed in magenta. Nuclear DNA was labeled with DAPI (shown in blue).
Negative control : C2C12.
Image was taken with a confocal microscope (Leica-Microsystems, TCS SP8).

ab195889 Anti-alpha Tubulin mouse monoclonal antibody - Microtubule Marker (Alexa Fluor® 594) was used to counterstain tubulin at 1/200 2.5ug/ml dilution (Magenta). The Nuclear counterstain was DAPI (Blue).

Secondary antibody only control : Secondary antibody is ab150081 Goat Anti-Rabbit IgG H&L (Alexa Fluor® 488) preadsorbed at 1/1000 2 ug/ml dilution.

Western blot - Anti-CD45 antibody [RM2051] (AB318154)
  • WB

Supplier Data

Western blot - Anti-CD45 antibody [RM2051] (AB318154)

Low expression : testis, liver, brain.

The expression profile/ molecular weight observed is consistent with what has been described in the literature (PMID : 37917373).

In Western blot, Anti-Vinculin antibody [EPR8185] (ab129002) staining at 1/10000 dilution.

All lanes:

Western blot - Anti-CD45 antibody [RM2051] (ab318154) at 1/1000 dilution

Lane 1:

Mouse spleen tissue lysate at 20 µg

Lane 2:

Mouse testis tissue lysate at 20 µg

Lane 3:

Mouse liver tissue lysate at 20 µg

Lane 4:

Mouse brain tissue lysate at 20 µg

Secondary

All lanes:

Western blot - Goat Anti-Rabbit IgG H&L (HRP) (<a href='/en-us/products/secondary-antibodies/goat-rabbit-igg-h-l-hrp-ab97051'>ab97051</a>) at 1/20000 dilution

Observed band size: 200 kDa,124 kDa

true

Exposure time: 180s

  • Carrier free

    Anti-CD45 antibody [RM2051] - BSA and Azide free

Key facts

Host species

Rabbit

Clonality

Multiclonal

Clone number

RM2051

Isotype

IgG

Carrier free

No

Reacts with

Mouse, Human

Applications

ICC/IF, IHC-P, Flow Cyt, WB

applications

Immunogen

The exact immunogen used to generate this antibody is proprietary information.

Specificity

Not suitable for human IHC and WB.

Reactivity data

{ "title": "Reactivity Data", "filters": { "stats": ["", "Species", "Dilution Info", "Notes"], "tabs": { "all-applications": {"fullname" : "All Applications", "shortname": "All Applications"}, "WB" : {"fullname" : "Western blot", "shortname":"WB"}, "IHCP" : {"fullname" : "Immunohistochemistry (Formalin/PFA-fixed paraffin-embedded sections)", "shortname":"IHC-P"}, "ICCIF" : {"fullname" : "Immunocytochemistry/ Immunofluorescence", "shortname":"ICC/IF"}, "FlowCyt" : {"fullname" : "Flow Cytometry", "shortname":"Flow Cyt"}, "IP" : {"fullname" : "Immunoprecipitation", "shortname":"IP"} }, "product-promise": { "all": "all", "testedAndGuaranteed": "tested", "guaranteed": "expected", "predicted": "predicted", "notRecommended": "not-recommended" } }, "values": { "Human": { "WB-species-checked": "notRecommended", "WB-species-dilution-info": "", "WB-species-notes": "<p></p>", "IHCP-species-checked": "notRecommended", "IHCP-species-dilution-info": "", "IHCP-species-notes": "<p></p>", "ICCIF-species-checked": "testedAndGuaranteed", "ICCIF-species-dilution-info": "1/100", "ICCIF-species-notes": "<p></p>", "FlowCyt-species-checked": "testedAndGuaranteed", "FlowCyt-species-dilution-info": "1/500", "FlowCyt-species-notes": "<p></p>", "IP-species-checked": "notRecommended", "IP-species-dilution-info": "", "IP-species-notes": "<p></p>" }, "Mouse": { "WB-species-checked": "testedAndGuaranteed", "WB-species-dilution-info": "1/1000", "WB-species-notes": "<p></p>", "IHCP-species-checked": "testedAndGuaranteed", "IHCP-species-dilution-info": "1/2000", "IHCP-species-notes": "<p></p> Perform heat-mediated antigen retrieval with Tris/EDTA buffer pH 9.0 before commencing with IHC staining protocol.", "ICCIF-species-checked": "testedAndGuaranteed", "ICCIF-species-dilution-info": "1/100", "ICCIF-species-notes": "<p></p>", "FlowCyt-species-checked": "testedAndGuaranteed", "FlowCyt-species-dilution-info": "1/500", "FlowCyt-species-notes": "<p></p>", "IP-species-checked": "notRecommended", "IP-species-dilution-info": "", "IP-species-notes": "<p></p>" }, "Rat": { "WB-species-checked": "notRecommended", "WB-species-dilution-info": "", "WB-species-notes": "<p></p>", "IHCP-species-checked": "notRecommended", "IHCP-species-dilution-info": "", "IHCP-species-notes": "<p></p>", "ICCIF-species-checked": "notRecommended", "ICCIF-species-dilution-info": "", "ICCIF-species-notes": "", "FlowCyt-species-checked": "notRecommended", "FlowCyt-species-dilution-info": "", "FlowCyt-species-notes": "", "IP-species-checked": "notRecommended", "IP-species-dilution-info": "", "IP-species-notes": "" } } }

Product details

What are recombinant multiclonals?
Recombinant multiclonals are a mixture of recombinant antibodies co-expressed from a library of heavy and light chains. They offer several advantages including:

  • - The sensitivity of polyclonal antibodies by recognising multiple epitopes
  • - High batch-to-batch consistency and reproducibility
  • - Improved sensitivity and specificity
  • - Long-term security of supply
  • - Animal-free batch production

View our range of recombinant multiclonal antibodies.

Patented technology
Our RabMAb® technology is a patented hybridoma-based technology for making rabbit monoclonal antibodies. For details on our patents, please refer to RabMAb® patents.

Properties and storage information

Form
Liquid
Purification technique
Affinity purification Protein A
Storage buffer
pH: 7.2 - 7.4 Preservative: 0.01% Sodium azide Constituents: PBS, 40% Glycerol (glycerin, glycerine), 0.05% BSA
Shipped at conditions
Blue Ice
Appropriate short-term storage duration
1-2 weeks
Appropriate short-term storage conditions
+4°C
Appropriate long-term storage conditions
-20°C
Aliquoting information
Upon delivery aliquot
Storage information
Avoid freeze / thaw cycle

Supplementary information

This supplementary information is collated from multiple sources and compiled automatically.

CD45 also known as Protein tyrosine phosphatase receptor type C (PTPRC) is a transmembrane glycoprotein with a molecular mass ranging between 180-240 kDa depending on its isoform. It is expressed on the surface of almost all hematopoietic cells except for mature erythrocytes and platelets. CD45 has a critical role in regulating antigen receptor signaling by modifying kinases involved in signal transduction and it is essential in lymphocyte development and activation. Because of its broad expression on immune cells CD45 is a valuable marker for differentiating various immune cell types in assays like flow cytometry and immunohistochemistry (IHC) often referred to as CD45 stain.
Biological function summary

CD45 acts by regulating tyrosine phosphorylation in the immune cell signaling context participating directly in signal transduction. It functions by dephosphorylating specific phosphotyrosine residues on various proteins modulating the signaling threshold required for lymphocyte activation. Although not known to be part of a protein complex CD45 itself shows isoform variation that associates with specific immune cell types impacting their function. Importantly CD45 interacts with multiple signaling molecules to affect cell growth and differentiation.

Pathways

Scientists associate CD45 with signaling pathways such as the T-cell receptor (TCR) and B-cell receptor (BCR) signaling. CD45 modulates the activity of Src family kinases important elements in these pathways making it essential for effective immune response and tolerance. Furthermore interactions between CD45 and proteins like Lck in T-cells or Lyn in B-cells highlight its pivotal role in executing its signaling functions.

Scientists often link CD45 to immune-related conditions including autoimmunity and leukemia. In autoimmune diseases altered CD45 expression or activity can disrupt normal immune function contributing to pathogenesis. In leukemia CD45 expression levels can assist in disease classification and prognosis as it interacts with proteins involved in cell cycle regulation. The anti-CD45 antibodies can provide diagnostic and therapeutic avenues highlighting their utility in disease management.

Product protocols

For this product, it's our understanding that no specific protocols are required. You can visit:

Target data

Protein tyrosine-protein phosphatase required for T-cell activation through the antigen receptor. Acts as a positive regulator of T-cell coactivation upon binding to DPP4. The first PTPase domain has enzymatic activity, while the second one seems to affect the substrate specificity of the first one. Upon T-cell activation, recruits and dephosphorylates SKAP1 and FYN (By similarity). Dephosphorylates LYN, and thereby modulates LYN activity. Interacts with CLEC10A at antigen presenting cell-T cell contact; CLEC10A on immature dendritic cells recognizes Tn antigen-carrying PTPRC/CD45 receptor on effector T cells and modulates T cell activation threshold to limit autoreactivity.
See full target information Ptprc

Additional targets

PTPRC

Publications (1)

Recent publications for all applications. Explore the full list and refine your search

Renal failure 47:2537797 PubMed40775738

2025

Exosomes derived from human umbilical cord mesenchymal stem cells ameliorate AKI after cardiac surgery by facilitating miR-21-5p targeting TEAD1.

Applications

Unspecified application

Species

Unspecified reactive species

Zhengmin Li,Fang He,Shuyang Dai,Qingqing Yu,Chenchen Si,Fan Wu,Wenxin Zhao,Biyao Zhang,Poshi Xu
View all publications

Product promise

We are committed to supporting your work with high-quality reagents, and we're here for you every step of the way. In the unlikely event that one of our products does not perform as expected, you're protected by our Product Promise.
For full details, please see our Terms & Conditions

Please note: All products are 'FOR RESEARCH USE ONLY. NOT FOR USE IN DIAGNOSTIC OR THERAPEUTIC PROCEDURES'.

For licensing inquiries, please contact partnerships@abcam.com