JavaScript is disabled in your browser. Please enable JavaScript to view this website.
AB231426

Anti-CD45RA antibody [SPM504]

  • BOND RX™ Validated
  • 20ul selling size
  • Recombinant
  • What is this?

4

(1 Review)

|

(2 Publications)

Mouse Recombinant Monoclonal CD45 antibody. Suitable for IHC-P and reacts with Human samples. Cited in 2 publications.

View Alternative Names

CD45, PTPRC, Receptor-type tyrosine-protein phosphatase C, Leukocyte common antigen, T200, L-CA

1 Images
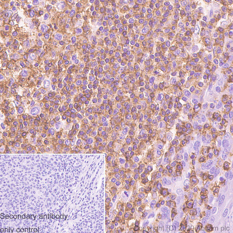
Immunohistochemistry (Formalin/PFA-fixed paraffin-embedded sections) - Anti-CD45RA antibody [SPM504] (AB231426)
  • IHC-P

Lab

Immunohistochemistry (Formalin/PFA-fixed paraffin-embedded sections) - Anti-CD45RA antibody [SPM504] (AB231426)

Immunohistochemical analysis of paraffin-embedded human tonsil tissue labelling CD45RA with ab231426 at 1/200 dilution, followed by secondary antibody Goat Anti-Mouse IgG H&L (HRP polymer) (ab214879). Staining on human tonsil is observed. Counter stained with hematoxylin.

Secondary antibody only control : Used PBS instead of primary antibody, secondary antibody is Goat Anti-Mouse IgG H&L (HRP polymer) (ab214879).

The section was incubated with ab231426 for 30 mins at room temperature. The immunostaining was performed on a Leica Biosystems BOND® RX instrument.

  • Carrier free

    Anti-CD45RA antibody [SPM504] - BSA and Azide free

Key facts

Host species

Mouse

Clonality

Monoclonal

Clone number

SPM504

Isotype

IgG2a

Carrier free

No

Reacts with

Human

Applications

IHC-P

applications

Reactivity data

{ "title": "Reactivity Data", "filters": { "stats": ["", "Species", "Dilution Info", "Notes"], "tabs": { "all-applications": {"fullname" : "All Applications", "shortname": "All Applications"}, "IHCP" : {"fullname" : "Immunohistochemistry (Formalin/PFA-fixed paraffin-embedded sections)", "shortname":"IHC-P"} }, "product-promise": { "all": "all", "testedAndGuaranteed": "tested", "guaranteed": "expected", "predicted": "predicted", "notRecommended": "not-recommended" } }, "values": { "Human": { "IHCP-species-checked": "testedAndGuaranteed", "IHCP-species-dilution-info": "1/200", "IHCP-species-notes": "<p>No antigen retreival necessary. Primary antibody incubation for 30 minutes at room temperature.</p>" }, "Mouse": { "IHCP-species-checked": "notRecommended", "IHCP-species-dilution-info": "1/200", "IHCP-species-notes": "<p>No antigen retreival necessary. Primary antibody incubation for 30 minutes at room temperature.</p>" }, "Rat": { "IHCP-species-checked": "notRecommended", "IHCP-species-dilution-info": "1/200", "IHCP-species-notes": "<p>No antigen retreival necessary. Primary antibody incubation for 30 minutes at room temperature.</p>" } } }

Product details

What are the advantages of a recombinant monoclonal antibody?
This product is a recombinant monoclonal antibody, which offers several advantages including:

  • - High batch-to-batch consistency and reproducibility
  • - Improved sensitivity and specificity
  • - Long-term security of supply
  • - Animal-free batch production

For more information, read more on recombinant antibodies.

Properties and storage information

Form
Liquid
Purification technique
Affinity purification Protein A
Storage buffer
pH: 7.2 - 7.4 Preservative: 0.1% Sodium azide Constituents: 98% PBS, 1% BSA
Shipped at conditions
Blue Ice
Appropriate short-term storage duration
1-2 weeks
Appropriate short-term storage conditions
+4°C
Appropriate long-term storage conditions
-20°C
Aliquoting information
Upon delivery aliquot
Storage information
Avoid freeze / thaw cycle

Supplementary information

This supplementary information is collated from multiple sources and compiled automatically.

CD45RA also known as CD45RA antigen and T200 is an isoform of the CD45 protein family. It is a transmembrane protein tyrosine phosphatase with a molecular mass of approximately 220 kDa. CD45RA expression is abundant on naive T-cells and subsets of other immune cells like B cells. Researchers frequently use CD45RA antibodies including CD45RA-PE and CD45RA-FITC for flow cytometry to identify and study immune cell subsets.
Biological function summary

CD45RA plays a significant role in regulating T-cell receptor (TCR) signaling. By dephosphorylating specific phosphotyrosine residues on substrates CD45RA modulates signal transduction pathways important for T-cell activation and differentiation. This protein does not act alone but is part of a regulatory network that influences immune responses and cellular development through its interaction with other cell surface receptors and intracellular kinases.

Pathways

CD45RA modulation is integral to T-cell development and activation processes. It is an important participant in the T-cell receptor signaling pathway and the Jak-STAT signaling pathway. In these pathways CD45 interacts with proteins such as Lck and Fyn which are essential for propagating receptor-mediated signaling events in T-cells. Effective signal regulation through CD45RA is necessary to ensure appropriate immune responses.

CD45RA has links to autoimmune diseases such as multiple sclerosis and rheumatoid arthritis. The aberrant expression or function of CD45RA on immune cells can lead to improper immune activation or suppression contributing to the pathology of these diseases. Crossover with other proteins such as CD45RO which is an isoform involved in memory T-cell function indicates a broader network of immune regulation where CD45RA maintains the balance between immune activation and tolerance.

Product protocols

For this product, it's our understanding that no specific protocols are required. You can visit:

Target data

Protein tyrosine-protein phosphatase required for T-cell activation through the antigen receptor (PubMed : 35767951). Acts as a positive regulator of T-cell coactivation upon binding to DPP4. The first PTPase domain has enzymatic activity, while the second one seems to affect the substrate specificity of the first one. Upon T-cell activation, recruits and dephosphorylates SKAP1 and FYN. Dephosphorylates LYN, and thereby modulates LYN activity (By similarity).. (Microbial infection) Acts as a receptor for human cytomegalovirus protein UL11 and mediates binding of UL11 to T-cells, leading to reduced induction of tyrosine phosphorylation of multiple signaling proteins upon T-cell receptor stimulation and impaired T-cell proliferation.
See full target information PTPRC

Publications (2)

Recent publications for all applications. Explore the full list and refine your search

Experimental and therapeutic medicine 22:1180 PubMed34475970

2021

Understanding the molecular role of syndecan-1 in the regulation of caspase-6 during the progression of cardiac arrhythmia.

Applications

Unspecified application

Species

Unspecified reactive species

Yuanchu Wu,Lin Chen,Caihong Wang

Cellular & molecular immunology 17:380-394 PubMed31324882

2019

Keratinocytes costimulate naive human T cells via CD2: a potential target to prevent the development of proinflammatory Th1 cells in the skin.

Applications

Unspecified application

Species

Unspecified reactive species

Christian Orlik,Daniel Deibel,Johanna Küblbeck,Emre Balta,Sabina Ganskih,Jüri Habicht,Beate Niesler,Jutta Schröder-Braunstein,Knut Schäkel,Guido Wabnitz,Yvonne Samstag
View all publications

Product promise

We are committed to supporting your work with high-quality reagents, and we're here for you every step of the way. In the unlikely event that one of our products does not perform as expected, you're protected by our Product Promise.
For full details, please see our Terms & Conditions

Please note: All products are 'FOR RESEARCH USE ONLY. NOT FOR USE IN DIAGNOSTIC OR THERAPEUTIC PROCEDURES'.

For licensing inquiries, please contact partnerships@abcam.com